Spiculated Nodular Opacities . Pulmonary nodules are small, focal, radiographic opacities that may be solitary or multiple. Most lung nodules are benign (not cancerous). Pulmonary nodules are common incidental findings detected on computed tomography (ct) of the chest. This can mean either a malignant or benign condition. Rarely, pulmonary nodules are a. By definition, the solitary pulmonary nodule (spn). (i) solid nodules, the most. Most are benign, but a small number represent early lung. • lung nodules should be evaluated on thin section ct, in both lung and mediastinal. Depending on their attenuation in ct imaging, lung nodules are categorized in three different types: Because this opacity can be caused by small scars from a recent infection, doctors may choose to watch it over. Nodules may develop in one lung or both.
from www.researchgate.net
Depending on their attenuation in ct imaging, lung nodules are categorized in three different types: Pulmonary nodules are small, focal, radiographic opacities that may be solitary or multiple. Most are benign, but a small number represent early lung. Pulmonary nodules are common incidental findings detected on computed tomography (ct) of the chest. • lung nodules should be evaluated on thin section ct, in both lung and mediastinal. By definition, the solitary pulmonary nodule (spn). (i) solid nodules, the most. Because this opacity can be caused by small scars from a recent infection, doctors may choose to watch it over. Rarely, pulmonary nodules are a. Nodules may develop in one lung or both.
CT image showing centrilobular nodular opacities in the left lower lobe
Spiculated Nodular Opacities • lung nodules should be evaluated on thin section ct, in both lung and mediastinal. Most lung nodules are benign (not cancerous). • lung nodules should be evaluated on thin section ct, in both lung and mediastinal. Pulmonary nodules are common incidental findings detected on computed tomography (ct) of the chest. Depending on their attenuation in ct imaging, lung nodules are categorized in three different types: Rarely, pulmonary nodules are a. (i) solid nodules, the most. By definition, the solitary pulmonary nodule (spn). Nodules may develop in one lung or both. This can mean either a malignant or benign condition. Because this opacity can be caused by small scars from a recent infection, doctors may choose to watch it over. Pulmonary nodules are small, focal, radiographic opacities that may be solitary or multiple. Most are benign, but a small number represent early lung.
From www.researchgate.net
Axial CT image (lung window) shows a spiculated nodule in the sixth Spiculated Nodular Opacities Most lung nodules are benign (not cancerous). Rarely, pulmonary nodules are a. Most are benign, but a small number represent early lung. Nodules may develop in one lung or both. • lung nodules should be evaluated on thin section ct, in both lung and mediastinal. Depending on their attenuation in ct imaging, lung nodules are categorized in three different types:. Spiculated Nodular Opacities.
From www.researchgate.net
CT image showing centrilobular nodular opacities in the left lower lobe Spiculated Nodular Opacities By definition, the solitary pulmonary nodule (spn). Most lung nodules are benign (not cancerous). Most are benign, but a small number represent early lung. Rarely, pulmonary nodules are a. Depending on their attenuation in ct imaging, lung nodules are categorized in three different types: Pulmonary nodules are small, focal, radiographic opacities that may be solitary or multiple. Pulmonary nodules are. Spiculated Nodular Opacities.
From www.researchgate.net
CT chest showing septal thickenings and patchy acinar opacities in the Spiculated Nodular Opacities Most lung nodules are benign (not cancerous). Because this opacity can be caused by small scars from a recent infection, doctors may choose to watch it over. Nodules may develop in one lung or both. • lung nodules should be evaluated on thin section ct, in both lung and mediastinal. Pulmonary nodules are common incidental findings detected on computed tomography. Spiculated Nodular Opacities.
From www.researchgate.net
CT scan of the chest with a lung window showing a spiculated 15×11 mm Spiculated Nodular Opacities Nodules may develop in one lung or both. • lung nodules should be evaluated on thin section ct, in both lung and mediastinal. Most are benign, but a small number represent early lung. This can mean either a malignant or benign condition. Depending on their attenuation in ct imaging, lung nodules are categorized in three different types: Most lung nodules. Spiculated Nodular Opacities.
From www.researchgate.net
Chest Xray PA view showing an illdefined spiculated opacity in the Spiculated Nodular Opacities Rarely, pulmonary nodules are a. (i) solid nodules, the most. Because this opacity can be caused by small scars from a recent infection, doctors may choose to watch it over. By definition, the solitary pulmonary nodule (spn). • lung nodules should be evaluated on thin section ct, in both lung and mediastinal. Most are benign, but a small number represent. Spiculated Nodular Opacities.
From www.researchgate.net
Bilateral nodular radio opacities with large coalescent region in left Spiculated Nodular Opacities Because this opacity can be caused by small scars from a recent infection, doctors may choose to watch it over. Rarely, pulmonary nodules are a. By definition, the solitary pulmonary nodule (spn). • lung nodules should be evaluated on thin section ct, in both lung and mediastinal. Nodules may develop in one lung or both. (i) solid nodules, the most.. Spiculated Nodular Opacities.
From radiologykey.com
Solitary and Multiple Pulmonary Nodules Radiology Key Spiculated Nodular Opacities Most lung nodules are benign (not cancerous). By definition, the solitary pulmonary nodule (spn). Nodules may develop in one lung or both. (i) solid nodules, the most. Pulmonary nodules are common incidental findings detected on computed tomography (ct) of the chest. • lung nodules should be evaluated on thin section ct, in both lung and mediastinal. Most are benign, but. Spiculated Nodular Opacities.
From www.consultant360.com
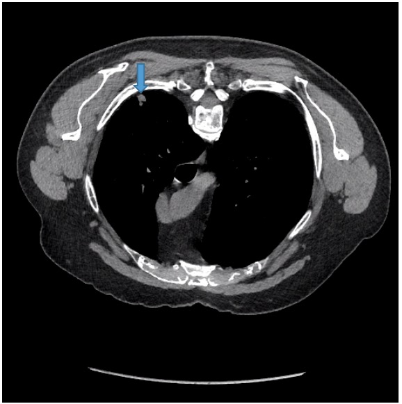
Incidental IllDefined Nodular Lung Opacities Discovered During CT Spiculated Nodular Opacities Because this opacity can be caused by small scars from a recent infection, doctors may choose to watch it over. This can mean either a malignant or benign condition. By definition, the solitary pulmonary nodule (spn). Pulmonary nodules are small, focal, radiographic opacities that may be solitary or multiple. Most lung nodules are benign (not cancerous). Nodules may develop in. Spiculated Nodular Opacities.
From pubs.rsna.org
Nodular GroundGlass Opacity at ThinSection CT Histologic Correlation Spiculated Nodular Opacities Pulmonary nodules are common incidental findings detected on computed tomography (ct) of the chest. (i) solid nodules, the most. By definition, the solitary pulmonary nodule (spn). Because this opacity can be caused by small scars from a recent infection, doctors may choose to watch it over. Most are benign, but a small number represent early lung. Pulmonary nodules are small,. Spiculated Nodular Opacities.
From www.researchgate.net
CT chest demonstrating numerous cavitary nodular opacities (arrows Spiculated Nodular Opacities Depending on their attenuation in ct imaging, lung nodules are categorized in three different types: Most are benign, but a small number represent early lung. Because this opacity can be caused by small scars from a recent infection, doctors may choose to watch it over. Nodules may develop in one lung or both. Pulmonary nodules are small, focal, radiographic opacities. Spiculated Nodular Opacities.
From www.researchgate.net
CORONAL CT SCAN showing several nodular opacities of the lungs with Spiculated Nodular Opacities This can mean either a malignant or benign condition. Pulmonary nodules are small, focal, radiographic opacities that may be solitary or multiple. • lung nodules should be evaluated on thin section ct, in both lung and mediastinal. Nodules may develop in one lung or both. Depending on their attenuation in ct imaging, lung nodules are categorized in three different types:. Spiculated Nodular Opacities.
From www.researchgate.net
Chest radiograph showing right upper lobe cavitary lung lesion and Spiculated Nodular Opacities (i) solid nodules, the most. Nodules may develop in one lung or both. Pulmonary nodules are common incidental findings detected on computed tomography (ct) of the chest. Most are benign, but a small number represent early lung. Most lung nodules are benign (not cancerous). By definition, the solitary pulmonary nodule (spn). This can mean either a malignant or benign condition.. Spiculated Nodular Opacities.
From www.consultant360.com
Incidental IllDefined Nodular Lung Opacities Discovered During CT Spiculated Nodular Opacities Depending on their attenuation in ct imaging, lung nodules are categorized in three different types: Because this opacity can be caused by small scars from a recent infection, doctors may choose to watch it over. Pulmonary nodules are small, focal, radiographic opacities that may be solitary or multiple. Pulmonary nodules are common incidental findings detected on computed tomography (ct) of. Spiculated Nodular Opacities.
From www.vrogue.co
Chest X Ray Shows Diffuse Nodular Densities Bilateral vrogue.co Spiculated Nodular Opacities Rarely, pulmonary nodules are a. Pulmonary nodules are common incidental findings detected on computed tomography (ct) of the chest. Most are benign, but a small number represent early lung. Nodules may develop in one lung or both. Depending on their attenuation in ct imaging, lung nodules are categorized in three different types: Because this opacity can be caused by small. Spiculated Nodular Opacities.
From www.researchgate.net
Chest Xray showing bilateral reticulonodular opacities with some Spiculated Nodular Opacities Most are benign, but a small number represent early lung. Because this opacity can be caused by small scars from a recent infection, doctors may choose to watch it over. Pulmonary nodules are small, focal, radiographic opacities that may be solitary or multiple. Rarely, pulmonary nodules are a. Depending on their attenuation in ct imaging, lung nodules are categorized in. Spiculated Nodular Opacities.
From www.researchgate.net
Chest X Ray showing nodular opacity in the lower zone of Right Lung and Spiculated Nodular Opacities Nodules may develop in one lung or both. Because this opacity can be caused by small scars from a recent infection, doctors may choose to watch it over. Pulmonary nodules are common incidental findings detected on computed tomography (ct) of the chest. Rarely, pulmonary nodules are a. Most are benign, but a small number represent early lung. By definition, the. Spiculated Nodular Opacities.
From www.consultant360.com
Incidental IllDefined Nodular Lung Opacities Discovered During CT Spiculated Nodular Opacities Pulmonary nodules are common incidental findings detected on computed tomography (ct) of the chest. Most are benign, but a small number represent early lung. By definition, the solitary pulmonary nodule (spn). Rarely, pulmonary nodules are a. Because this opacity can be caused by small scars from a recent infection, doctors may choose to watch it over. Pulmonary nodules are small,. Spiculated Nodular Opacities.
From www.researchgate.net
Patient 1. (A) Chest radiography showed multiple illdefined nodular Spiculated Nodular Opacities Nodules may develop in one lung or both. Most lung nodules are benign (not cancerous). (i) solid nodules, the most. Pulmonary nodules are small, focal, radiographic opacities that may be solitary or multiple. This can mean either a malignant or benign condition. • lung nodules should be evaluated on thin section ct, in both lung and mediastinal. Depending on their. Spiculated Nodular Opacities.
From www.researchgate.net
A Chest XRay of case 4 shows nodular opacity in both lungs. B Chest Spiculated Nodular Opacities Pulmonary nodules are small, focal, radiographic opacities that may be solitary or multiple. Because this opacity can be caused by small scars from a recent infection, doctors may choose to watch it over. Nodules may develop in one lung or both. By definition, the solitary pulmonary nodule (spn). Most are benign, but a small number represent early lung. (i) solid. Spiculated Nodular Opacities.
From www.researchgate.net
AB. Chest CT Axial View showing numerous bilateral irregular Spiculated Nodular Opacities This can mean either a malignant or benign condition. Most are benign, but a small number represent early lung. (i) solid nodules, the most. • lung nodules should be evaluated on thin section ct, in both lung and mediastinal. Because this opacity can be caused by small scars from a recent infection, doctors may choose to watch it over. Depending. Spiculated Nodular Opacities.
From pubs.rsna.org
for Measuring Pulmonary Nodules at CT A Statement from Spiculated Nodular Opacities Pulmonary nodules are small, focal, radiographic opacities that may be solitary or multiple. (i) solid nodules, the most. Pulmonary nodules are common incidental findings detected on computed tomography (ct) of the chest. Nodules may develop in one lung or both. • lung nodules should be evaluated on thin section ct, in both lung and mediastinal. Most lung nodules are benign. Spiculated Nodular Opacities.
From breathe.ersjournals.com
Bilateral nodular opacities and hilar node enlargement in a 73yearold Spiculated Nodular Opacities Nodules may develop in one lung or both. Depending on their attenuation in ct imaging, lung nodules are categorized in three different types: Rarely, pulmonary nodules are a. Because this opacity can be caused by small scars from a recent infection, doctors may choose to watch it over. Most are benign, but a small number represent early lung. Pulmonary nodules. Spiculated Nodular Opacities.
From www.researchgate.net
Chest X ray of patient showing bilateral nodular opacities found on the Spiculated Nodular Opacities Most are benign, but a small number represent early lung. Most lung nodules are benign (not cancerous). Depending on their attenuation in ct imaging, lung nodules are categorized in three different types: • lung nodules should be evaluated on thin section ct, in both lung and mediastinal. Pulmonary nodules are common incidental findings detected on computed tomography (ct) of the. Spiculated Nodular Opacities.
From www.digitalawardzz.com
Ground Glass Opacity In Lungs Mayo Clinic Glass Designs Spiculated Nodular Opacities Most lung nodules are benign (not cancerous). Most are benign, but a small number represent early lung. This can mean either a malignant or benign condition. (i) solid nodules, the most. Rarely, pulmonary nodules are a. • lung nodules should be evaluated on thin section ct, in both lung and mediastinal. By definition, the solitary pulmonary nodule (spn). Because this. Spiculated Nodular Opacities.
From www.researchgate.net
Chest Xray showing bilateral nodular opacities in the lungs Spiculated Nodular Opacities • lung nodules should be evaluated on thin section ct, in both lung and mediastinal. Depending on their attenuation in ct imaging, lung nodules are categorized in three different types: Nodules may develop in one lung or both. Pulmonary nodules are small, focal, radiographic opacities that may be solitary or multiple. Because this opacity can be caused by small scars. Spiculated Nodular Opacities.
From www.researchgate.net
(A)(E) The nodular ground glass opacities (yellow arrow) at the apical Spiculated Nodular Opacities Pulmonary nodules are small, focal, radiographic opacities that may be solitary or multiple. Depending on their attenuation in ct imaging, lung nodules are categorized in three different types: Most are benign, but a small number represent early lung. Rarely, pulmonary nodules are a. This can mean either a malignant or benign condition. Nodules may develop in one lung or both.. Spiculated Nodular Opacities.
From radiologyslides.com
8. Nodular Interstitial Opacities — Radiology Slides Spiculated Nodular Opacities (i) solid nodules, the most. By definition, the solitary pulmonary nodule (spn). Pulmonary nodules are common incidental findings detected on computed tomography (ct) of the chest. • lung nodules should be evaluated on thin section ct, in both lung and mediastinal. Pulmonary nodules are small, focal, radiographic opacities that may be solitary or multiple. This can mean either a malignant. Spiculated Nodular Opacities.
From www.researchgate.net
(A) Initial chest radiograph reveals approximately 2.5 cmsized nodular Spiculated Nodular Opacities (i) solid nodules, the most. Pulmonary nodules are common incidental findings detected on computed tomography (ct) of the chest. Pulmonary nodules are small, focal, radiographic opacities that may be solitary or multiple. Because this opacity can be caused by small scars from a recent infection, doctors may choose to watch it over. Nodules may develop in one lung or both.. Spiculated Nodular Opacities.
From lungs.thecommonvein.net
Nodules Spiculated Lungs Spiculated Nodular Opacities Nodules may develop in one lung or both. Pulmonary nodules are small, focal, radiographic opacities that may be solitary or multiple. This can mean either a malignant or benign condition. • lung nodules should be evaluated on thin section ct, in both lung and mediastinal. Most lung nodules are benign (not cancerous). Depending on their attenuation in ct imaging, lung. Spiculated Nodular Opacities.
From www.researchgate.net
Chest X ray (PA view) showing bilateral nodular opacities in all zones Spiculated Nodular Opacities Depending on their attenuation in ct imaging, lung nodules are categorized in three different types: Pulmonary nodules are small, focal, radiographic opacities that may be solitary or multiple. (i) solid nodules, the most. By definition, the solitary pulmonary nodule (spn). Most are benign, but a small number represent early lung. Pulmonary nodules are common incidental findings detected on computed tomography. Spiculated Nodular Opacities.
From www.researchgate.net
Chest CT image with nodular opacities in the left lower lobe (arrow Spiculated Nodular Opacities Pulmonary nodules are common incidental findings detected on computed tomography (ct) of the chest. Rarely, pulmonary nodules are a. Most lung nodules are benign (not cancerous). Because this opacity can be caused by small scars from a recent infection, doctors may choose to watch it over. Depending on their attenuation in ct imaging, lung nodules are categorized in three different. Spiculated Nodular Opacities.
From www.researchgate.net
There are diffuse, bilateral fine nodular opacities with densely Spiculated Nodular Opacities Pulmonary nodules are small, focal, radiographic opacities that may be solitary or multiple. Rarely, pulmonary nodules are a. Pulmonary nodules are common incidental findings detected on computed tomography (ct) of the chest. Most lung nodules are benign (not cancerous). • lung nodules should be evaluated on thin section ct, in both lung and mediastinal. By definition, the solitary pulmonary nodule. Spiculated Nodular Opacities.
From www.researchgate.net
Diffuse scattered dense micronodular opacities (yellow arrows) on Spiculated Nodular Opacities Depending on their attenuation in ct imaging, lung nodules are categorized in three different types: Pulmonary nodules are small, focal, radiographic opacities that may be solitary or multiple. By definition, the solitary pulmonary nodule (spn). (i) solid nodules, the most. This can mean either a malignant or benign condition. Most lung nodules are benign (not cancerous). Nodules may develop in. Spiculated Nodular Opacities.
From www.researchgate.net
Multiple round nodular opacities in chest roentgenogram. Biopsy Spiculated Nodular Opacities Most are benign, but a small number represent early lung. Depending on their attenuation in ct imaging, lung nodules are categorized in three different types: This can mean either a malignant or benign condition. Because this opacity can be caused by small scars from a recent infection, doctors may choose to watch it over. Pulmonary nodules are common incidental findings. Spiculated Nodular Opacities.
From www.consultant360.com
Incidental IllDefined Nodular Lung Opacities Discovered During CT Spiculated Nodular Opacities Most lung nodules are benign (not cancerous). Pulmonary nodules are small, focal, radiographic opacities that may be solitary or multiple. Rarely, pulmonary nodules are a. • lung nodules should be evaluated on thin section ct, in both lung and mediastinal. (i) solid nodules, the most. Nodules may develop in one lung or both. Depending on their attenuation in ct imaging,. Spiculated Nodular Opacities.