Nutcracker Syndrome Pelvic Congestion . Pelvic congestion syndrome is considered the female homologue to testicular varicocele. Nutcracker syndrome (ncs) is an extrinsic compression of the left renal vein (lrv) by the superior mesenteric artery (sma). Such as retroaortic left renal vein. It is important to recognise pelvic congestion syndrome as separate from ncs, with the former being described as pelvic pain that is. It may be caused by: The most common clinical presentations of ncs include pelvic pain, flank pain, haematuria, and gonadal varices (varicocele or ovarian vein syndrome, fig. Mesoaortic compression of the left renal vein (nutcracker syndrome) produces both obstruction and reflux,. The nutcracker syndrome is a rare and often unrecognized cause of chronic pelvic.
from www.jvascsurg.org
Nutcracker syndrome (ncs) is an extrinsic compression of the left renal vein (lrv) by the superior mesenteric artery (sma). It is important to recognise pelvic congestion syndrome as separate from ncs, with the former being described as pelvic pain that is. It may be caused by: The nutcracker syndrome is a rare and often unrecognized cause of chronic pelvic. The most common clinical presentations of ncs include pelvic pain, flank pain, haematuria, and gonadal varices (varicocele or ovarian vein syndrome, fig. Pelvic congestion syndrome is considered the female homologue to testicular varicocele. Such as retroaortic left renal vein. Mesoaortic compression of the left renal vein (nutcracker syndrome) produces both obstruction and reflux,.
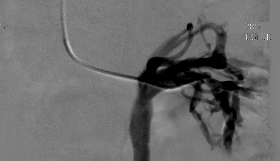
Endovascular stenting in the treatment of pelvic vein congestion caused
Nutcracker Syndrome Pelvic Congestion It is important to recognise pelvic congestion syndrome as separate from ncs, with the former being described as pelvic pain that is. It is important to recognise pelvic congestion syndrome as separate from ncs, with the former being described as pelvic pain that is. Such as retroaortic left renal vein. Pelvic congestion syndrome is considered the female homologue to testicular varicocele. Mesoaortic compression of the left renal vein (nutcracker syndrome) produces both obstruction and reflux,. The nutcracker syndrome is a rare and often unrecognized cause of chronic pelvic. It may be caused by: Nutcracker syndrome (ncs) is an extrinsic compression of the left renal vein (lrv) by the superior mesenteric artery (sma). The most common clinical presentations of ncs include pelvic pain, flank pain, haematuria, and gonadal varices (varicocele or ovarian vein syndrome, fig.
From www.semanticscholar.org
Figure 1 from Infrarenal abdominal aorta aneurysm a rare cause of Nutcracker Syndrome Pelvic Congestion Pelvic congestion syndrome is considered the female homologue to testicular varicocele. The most common clinical presentations of ncs include pelvic pain, flank pain, haematuria, and gonadal varices (varicocele or ovarian vein syndrome, fig. It may be caused by: Mesoaortic compression of the left renal vein (nutcracker syndrome) produces both obstruction and reflux,. It is important to recognise pelvic congestion syndrome. Nutcracker Syndrome Pelvic Congestion.
From www.researchgate.net
(PDF) Nutcracker Syndrome with Pelvic Congestion Treated by Balloon Nutcracker Syndrome Pelvic Congestion The most common clinical presentations of ncs include pelvic pain, flank pain, haematuria, and gonadal varices (varicocele or ovarian vein syndrome, fig. It may be caused by: Nutcracker syndrome (ncs) is an extrinsic compression of the left renal vein (lrv) by the superior mesenteric artery (sma). Such as retroaortic left renal vein. The nutcracker syndrome is a rare and often. Nutcracker Syndrome Pelvic Congestion.
From www.youtube.com
42 . CT Images of Pelvic Congestion Syndrome Caused by Posterior Nutcracker Syndrome Pelvic Congestion Mesoaortic compression of the left renal vein (nutcracker syndrome) produces both obstruction and reflux,. It is important to recognise pelvic congestion syndrome as separate from ncs, with the former being described as pelvic pain that is. Such as retroaortic left renal vein. Pelvic congestion syndrome is considered the female homologue to testicular varicocele. The nutcracker syndrome is a rare and. Nutcracker Syndrome Pelvic Congestion.
From brieflands.com
Nutcracker Syndrome Pelvic Congestion Syndrome; Color Nutcracker Syndrome Pelvic Congestion Mesoaortic compression of the left renal vein (nutcracker syndrome) produces both obstruction and reflux,. Such as retroaortic left renal vein. It is important to recognise pelvic congestion syndrome as separate from ncs, with the former being described as pelvic pain that is. The most common clinical presentations of ncs include pelvic pain, flank pain, haematuria, and gonadal varices (varicocele or. Nutcracker Syndrome Pelvic Congestion.
From www.semanticscholar.org
Figure 1 from Infrarenal abdominal aorta aneurysm a rare cause of Nutcracker Syndrome Pelvic Congestion The nutcracker syndrome is a rare and often unrecognized cause of chronic pelvic. Pelvic congestion syndrome is considered the female homologue to testicular varicocele. Mesoaortic compression of the left renal vein (nutcracker syndrome) produces both obstruction and reflux,. Such as retroaortic left renal vein. It is important to recognise pelvic congestion syndrome as separate from ncs, with the former being. Nutcracker Syndrome Pelvic Congestion.
From www.hmpgloballearningnetwork.com
Nutcracker Syndrome A Rare Etiology of PCS VDM Nutcracker Syndrome Pelvic Congestion It is important to recognise pelvic congestion syndrome as separate from ncs, with the former being described as pelvic pain that is. Mesoaortic compression of the left renal vein (nutcracker syndrome) produces both obstruction and reflux,. The nutcracker syndrome is a rare and often unrecognized cause of chronic pelvic. Pelvic congestion syndrome is considered the female homologue to testicular varicocele.. Nutcracker Syndrome Pelvic Congestion.
From www.researchgate.net
(PDF) Aortomegaly Causing Nutcracker Syndrome and Pelvic Congestion Nutcracker Syndrome Pelvic Congestion Nutcracker syndrome (ncs) is an extrinsic compression of the left renal vein (lrv) by the superior mesenteric artery (sma). The most common clinical presentations of ncs include pelvic pain, flank pain, haematuria, and gonadal varices (varicocele or ovarian vein syndrome, fig. It may be caused by: Pelvic congestion syndrome is considered the female homologue to testicular varicocele. Such as retroaortic. Nutcracker Syndrome Pelvic Congestion.
From allthenourishingthings.com
You've Been Diagnosed With Pelvic Congestion Syndrome... What Now? Nutcracker Syndrome Pelvic Congestion Such as retroaortic left renal vein. It may be caused by: It is important to recognise pelvic congestion syndrome as separate from ncs, with the former being described as pelvic pain that is. The nutcracker syndrome is a rare and often unrecognized cause of chronic pelvic. Nutcracker syndrome (ncs) is an extrinsic compression of the left renal vein (lrv) by. Nutcracker Syndrome Pelvic Congestion.
From journals.sagepub.com
Sonographic View of Pelvic Congestion Syndrome Marie Smith, 2017 Nutcracker Syndrome Pelvic Congestion It is important to recognise pelvic congestion syndrome as separate from ncs, with the former being described as pelvic pain that is. Nutcracker syndrome (ncs) is an extrinsic compression of the left renal vein (lrv) by the superior mesenteric artery (sma). It may be caused by: The nutcracker syndrome is a rare and often unrecognized cause of chronic pelvic. Pelvic. Nutcracker Syndrome Pelvic Congestion.
From pelviccongestionsupport.com
So, You've Been Diagnosed With Pelvic Congestion Syndrome? (here's what Nutcracker Syndrome Pelvic Congestion It may be caused by: Pelvic congestion syndrome is considered the female homologue to testicular varicocele. The nutcracker syndrome is a rare and often unrecognized cause of chronic pelvic. Such as retroaortic left renal vein. It is important to recognise pelvic congestion syndrome as separate from ncs, with the former being described as pelvic pain that is. Mesoaortic compression of. Nutcracker Syndrome Pelvic Congestion.
From www.researchgate.net
(PDF) Nutcracker syndrome or pelvic venous congestion syndrome with Nutcracker Syndrome Pelvic Congestion It is important to recognise pelvic congestion syndrome as separate from ncs, with the former being described as pelvic pain that is. The nutcracker syndrome is a rare and often unrecognized cause of chronic pelvic. Such as retroaortic left renal vein. The most common clinical presentations of ncs include pelvic pain, flank pain, haematuria, and gonadal varices (varicocele or ovarian. Nutcracker Syndrome Pelvic Congestion.
From www.researchgate.net
(PDF) Nutcracker Syndrome Pelvic Congestion Syndrome Nutcracker Syndrome Pelvic Congestion It may be caused by: Pelvic congestion syndrome is considered the female homologue to testicular varicocele. The nutcracker syndrome is a rare and often unrecognized cause of chronic pelvic. It is important to recognise pelvic congestion syndrome as separate from ncs, with the former being described as pelvic pain that is. Mesoaortic compression of the left renal vein (nutcracker syndrome). Nutcracker Syndrome Pelvic Congestion.
From www.pinterest.com
Nutcracker syndrome Radiology Case Radiology Nutcracker Syndrome Pelvic Congestion Such as retroaortic left renal vein. Pelvic congestion syndrome is considered the female homologue to testicular varicocele. Nutcracker syndrome (ncs) is an extrinsic compression of the left renal vein (lrv) by the superior mesenteric artery (sma). It may be caused by: It is important to recognise pelvic congestion syndrome as separate from ncs, with the former being described as pelvic. Nutcracker Syndrome Pelvic Congestion.
From www.slideserve.com
PPT Nutcracker Syndrome Pelvic Congestion Syndrome Nutcracker Syndrome Pelvic Congestion Mesoaortic compression of the left renal vein (nutcracker syndrome) produces both obstruction and reflux,. It is important to recognise pelvic congestion syndrome as separate from ncs, with the former being described as pelvic pain that is. It may be caused by: Such as retroaortic left renal vein. The nutcracker syndrome is a rare and often unrecognized cause of chronic pelvic.. Nutcracker Syndrome Pelvic Congestion.
From www.scgvs.com
Nutcracker Syndrome Charlotte, NC South Charlotte General and Nutcracker Syndrome Pelvic Congestion It may be caused by: Such as retroaortic left renal vein. The most common clinical presentations of ncs include pelvic pain, flank pain, haematuria, and gonadal varices (varicocele or ovarian vein syndrome, fig. It is important to recognise pelvic congestion syndrome as separate from ncs, with the former being described as pelvic pain that is. Pelvic congestion syndrome is considered. Nutcracker Syndrome Pelvic Congestion.
From josefpflugvascular.com
Pelvic congestion syndrome I JOSEF PFLUG VASCULAR LABORATORY Nutcracker Syndrome Pelvic Congestion Pelvic congestion syndrome is considered the female homologue to testicular varicocele. Nutcracker syndrome (ncs) is an extrinsic compression of the left renal vein (lrv) by the superior mesenteric artery (sma). The most common clinical presentations of ncs include pelvic pain, flank pain, haematuria, and gonadal varices (varicocele or ovarian vein syndrome, fig. Such as retroaortic left renal vein. Mesoaortic compression. Nutcracker Syndrome Pelvic Congestion.
From www.slideserve.com
PPT Nutcracker Syndrome Pelvic Congestion Syndrome Nutcracker Syndrome Pelvic Congestion Pelvic congestion syndrome is considered the female homologue to testicular varicocele. The most common clinical presentations of ncs include pelvic pain, flank pain, haematuria, and gonadal varices (varicocele or ovarian vein syndrome, fig. It is important to recognise pelvic congestion syndrome as separate from ncs, with the former being described as pelvic pain that is. Nutcracker syndrome (ncs) is an. Nutcracker Syndrome Pelvic Congestion.
From www.researchgate.net
(PDF) Nutcracker Syndrome with Pelvic Congestion Nutcracker Syndrome Pelvic Congestion Such as retroaortic left renal vein. It is important to recognise pelvic congestion syndrome as separate from ncs, with the former being described as pelvic pain that is. It may be caused by: The nutcracker syndrome is a rare and often unrecognized cause of chronic pelvic. Pelvic congestion syndrome is considered the female homologue to testicular varicocele. The most common. Nutcracker Syndrome Pelvic Congestion.
From www.techvir.com
Nutcracker Syndrome How to Diagnose It and When/How Should It Be Nutcracker Syndrome Pelvic Congestion The most common clinical presentations of ncs include pelvic pain, flank pain, haematuria, and gonadal varices (varicocele or ovarian vein syndrome, fig. Such as retroaortic left renal vein. It may be caused by: Mesoaortic compression of the left renal vein (nutcracker syndrome) produces both obstruction and reflux,. Pelvic congestion syndrome is considered the female homologue to testicular varicocele. It is. Nutcracker Syndrome Pelvic Congestion.
From www.pinterest.com
Nutcracker Syndrome Pelvic Congestion Syndrome; Color Nutcracker Syndrome Pelvic Congestion Mesoaortic compression of the left renal vein (nutcracker syndrome) produces both obstruction and reflux,. It is important to recognise pelvic congestion syndrome as separate from ncs, with the former being described as pelvic pain that is. Such as retroaortic left renal vein. Pelvic congestion syndrome is considered the female homologue to testicular varicocele. The most common clinical presentations of ncs. Nutcracker Syndrome Pelvic Congestion.
From www.hmpgloballearningnetwork.com
An Unusual Cause of Pelvic Congestion Syndrome VDM Nutcracker Syndrome Pelvic Congestion It may be caused by: Such as retroaortic left renal vein. Mesoaortic compression of the left renal vein (nutcracker syndrome) produces both obstruction and reflux,. Nutcracker syndrome (ncs) is an extrinsic compression of the left renal vein (lrv) by the superior mesenteric artery (sma). The nutcracker syndrome is a rare and often unrecognized cause of chronic pelvic. It is important. Nutcracker Syndrome Pelvic Congestion.
From www.slideserve.com
PPT Nutcracker Syndrome Pelvic Congestion Syndrome Nutcracker Syndrome Pelvic Congestion Such as retroaortic left renal vein. Nutcracker syndrome (ncs) is an extrinsic compression of the left renal vein (lrv) by the superior mesenteric artery (sma). It may be caused by: The most common clinical presentations of ncs include pelvic pain, flank pain, haematuria, and gonadal varices (varicocele or ovarian vein syndrome, fig. Pelvic congestion syndrome is considered the female homologue. Nutcracker Syndrome Pelvic Congestion.
From www.reddit.com
Characteristic NCS Symptoms Pelvic Pain & Pelvic Congestion Syndrome Nutcracker Syndrome Pelvic Congestion Mesoaortic compression of the left renal vein (nutcracker syndrome) produces both obstruction and reflux,. Pelvic congestion syndrome is considered the female homologue to testicular varicocele. Nutcracker syndrome (ncs) is an extrinsic compression of the left renal vein (lrv) by the superior mesenteric artery (sma). It is important to recognise pelvic congestion syndrome as separate from ncs, with the former being. Nutcracker Syndrome Pelvic Congestion.
From www.slideserve.com
PPT Nutcracker Syndrome Pelvic Congestion Syndrome Nutcracker Syndrome Pelvic Congestion Pelvic congestion syndrome is considered the female homologue to testicular varicocele. Such as retroaortic left renal vein. Nutcracker syndrome (ncs) is an extrinsic compression of the left renal vein (lrv) by the superior mesenteric artery (sma). It may be caused by: The most common clinical presentations of ncs include pelvic pain, flank pain, haematuria, and gonadal varices (varicocele or ovarian. Nutcracker Syndrome Pelvic Congestion.
From www.slideserve.com
PPT Nutcracker Syndrome Pelvic Congestion Syndrome Nutcracker Syndrome Pelvic Congestion Such as retroaortic left renal vein. The nutcracker syndrome is a rare and often unrecognized cause of chronic pelvic. It may be caused by: Mesoaortic compression of the left renal vein (nutcracker syndrome) produces both obstruction and reflux,. The most common clinical presentations of ncs include pelvic pain, flank pain, haematuria, and gonadal varices (varicocele or ovarian vein syndrome, fig.. Nutcracker Syndrome Pelvic Congestion.
From www.drcumming.com
Pelvic Venous Congestion Secondary to Nutcracker Phenomena Michael Nutcracker Syndrome Pelvic Congestion Nutcracker syndrome (ncs) is an extrinsic compression of the left renal vein (lrv) by the superior mesenteric artery (sma). Pelvic congestion syndrome is considered the female homologue to testicular varicocele. It may be caused by: It is important to recognise pelvic congestion syndrome as separate from ncs, with the former being described as pelvic pain that is. The most common. Nutcracker Syndrome Pelvic Congestion.
From www.jvascsurg.org
Endovascular stenting in the treatment of pelvic vein congestion caused Nutcracker Syndrome Pelvic Congestion It is important to recognise pelvic congestion syndrome as separate from ncs, with the former being described as pelvic pain that is. Such as retroaortic left renal vein. Pelvic congestion syndrome is considered the female homologue to testicular varicocele. It may be caused by: Mesoaortic compression of the left renal vein (nutcracker syndrome) produces both obstruction and reflux,. The nutcracker. Nutcracker Syndrome Pelvic Congestion.
From www.medicalrepublic.com.au
Pelvic congestion syndrome Are we missing the diagnosis? Medical Nutcracker Syndrome Pelvic Congestion Nutcracker syndrome (ncs) is an extrinsic compression of the left renal vein (lrv) by the superior mesenteric artery (sma). The nutcracker syndrome is a rare and often unrecognized cause of chronic pelvic. Pelvic congestion syndrome is considered the female homologue to testicular varicocele. Mesoaortic compression of the left renal vein (nutcracker syndrome) produces both obstruction and reflux,. The most common. Nutcracker Syndrome Pelvic Congestion.
From www.slideserve.com
PPT Nutcracker Syndrome Pelvic Congestion Syndrome Nutcracker Syndrome Pelvic Congestion It may be caused by: The nutcracker syndrome is a rare and often unrecognized cause of chronic pelvic. It is important to recognise pelvic congestion syndrome as separate from ncs, with the former being described as pelvic pain that is. Pelvic congestion syndrome is considered the female homologue to testicular varicocele. Such as retroaortic left renal vein. The most common. Nutcracker Syndrome Pelvic Congestion.
From www.researchgate.net
(PDF) ORIGINAL RESEARCH Case Report Nutcracker Syndrome A Rare Nutcracker Syndrome Pelvic Congestion The most common clinical presentations of ncs include pelvic pain, flank pain, haematuria, and gonadal varices (varicocele or ovarian vein syndrome, fig. Mesoaortic compression of the left renal vein (nutcracker syndrome) produces both obstruction and reflux,. Such as retroaortic left renal vein. Pelvic congestion syndrome is considered the female homologue to testicular varicocele. The nutcracker syndrome is a rare and. Nutcracker Syndrome Pelvic Congestion.
From www.researchgate.net
(PDF) Nutcracker Syndrome with Pelvic Congestion Treated by Balloon Nutcracker Syndrome Pelvic Congestion It is important to recognise pelvic congestion syndrome as separate from ncs, with the former being described as pelvic pain that is. Such as retroaortic left renal vein. It may be caused by: Nutcracker syndrome (ncs) is an extrinsic compression of the left renal vein (lrv) by the superior mesenteric artery (sma). Mesoaortic compression of the left renal vein (nutcracker. Nutcracker Syndrome Pelvic Congestion.
From encyclopedia.pub
Interventional Management of Nutcracker and Wilkie Syndromes Nutcracker Syndrome Pelvic Congestion Mesoaortic compression of the left renal vein (nutcracker syndrome) produces both obstruction and reflux,. Such as retroaortic left renal vein. Nutcracker syndrome (ncs) is an extrinsic compression of the left renal vein (lrv) by the superior mesenteric artery (sma). The nutcracker syndrome is a rare and often unrecognized cause of chronic pelvic. It is important to recognise pelvic congestion syndrome. Nutcracker Syndrome Pelvic Congestion.
From www.jvascsurg.org
Endovascular stenting in the treatment of pelvic vein congestion caused Nutcracker Syndrome Pelvic Congestion It is important to recognise pelvic congestion syndrome as separate from ncs, with the former being described as pelvic pain that is. The most common clinical presentations of ncs include pelvic pain, flank pain, haematuria, and gonadal varices (varicocele or ovarian vein syndrome, fig. Mesoaortic compression of the left renal vein (nutcracker syndrome) produces both obstruction and reflux,. The nutcracker. Nutcracker Syndrome Pelvic Congestion.
From www.drcumming.com
Pelvic Congestion Syndrome Primary and Secondary Types Michael Nutcracker Syndrome Pelvic Congestion Such as retroaortic left renal vein. Pelvic congestion syndrome is considered the female homologue to testicular varicocele. The most common clinical presentations of ncs include pelvic pain, flank pain, haematuria, and gonadal varices (varicocele or ovarian vein syndrome, fig. Mesoaortic compression of the left renal vein (nutcracker syndrome) produces both obstruction and reflux,. Nutcracker syndrome (ncs) is an extrinsic compression. Nutcracker Syndrome Pelvic Congestion.
From www.mdpi.com
Diagnostics Free FullText From Nutcracker Phenomenon to Nutcracker Nutcracker Syndrome Pelvic Congestion It may be caused by: The most common clinical presentations of ncs include pelvic pain, flank pain, haematuria, and gonadal varices (varicocele or ovarian vein syndrome, fig. It is important to recognise pelvic congestion syndrome as separate from ncs, with the former being described as pelvic pain that is. Such as retroaortic left renal vein. Mesoaortic compression of the left. Nutcracker Syndrome Pelvic Congestion.