Orthodontic Mse . maxillary skeletal expansion (or mse) has completely revolutionized how we think about our ability as orthodontists. what is mse in orthodontics? principle of the marpe/mse appliance: 13 , 16 , 17 , 22. a maxillary skeletal expander (mse) is an orthodontic appliance that's an alternative to extensive surgical procedures. in partnership with db orthodontics, mse creator professor won moon presented the moon principles by won: Maxillary skeletal expanders (mse) is an orthodontic appliance that’s an alternative to avoid extensive surgical procedures.
from www.lemkeortho.com
in partnership with db orthodontics, mse creator professor won moon presented the moon principles by won: principle of the marpe/mse appliance: Maxillary skeletal expanders (mse) is an orthodontic appliance that’s an alternative to avoid extensive surgical procedures. a maxillary skeletal expander (mse) is an orthodontic appliance that's an alternative to extensive surgical procedures. 13 , 16 , 17 , 22. maxillary skeletal expansion (or mse) has completely revolutionized how we think about our ability as orthodontists. what is mse in orthodontics?
Maxillary Skeletal Expander (MSE) Lemke Orthodontics Sugar Land
Orthodontic Mse Maxillary skeletal expanders (mse) is an orthodontic appliance that’s an alternative to avoid extensive surgical procedures. what is mse in orthodontics? principle of the marpe/mse appliance: 13 , 16 , 17 , 22. Maxillary skeletal expanders (mse) is an orthodontic appliance that’s an alternative to avoid extensive surgical procedures. a maxillary skeletal expander (mse) is an orthodontic appliance that's an alternative to extensive surgical procedures. in partnership with db orthodontics, mse creator professor won moon presented the moon principles by won: maxillary skeletal expansion (or mse) has completely revolutionized how we think about our ability as orthodontists.
From www.arlingtonsmilecenter.com
Maxillary Skeletal Expansion (MSE) Dentist Arlington, VA Orthodontic Mse a maxillary skeletal expander (mse) is an orthodontic appliance that's an alternative to extensive surgical procedures. principle of the marpe/mse appliance: in partnership with db orthodontics, mse creator professor won moon presented the moon principles by won: 13 , 16 , 17 , 22. Maxillary skeletal expanders (mse) is an orthodontic appliance that’s an alternative to avoid. Orthodontic Mse.
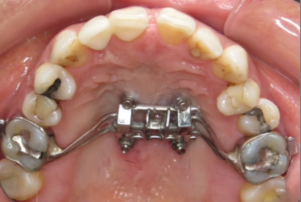
From www.lemkeortho.com
Maxillary Skeletal Expander (MSE) Lemke Orthodontics Sugar Land Orthodontic Mse 13 , 16 , 17 , 22. maxillary skeletal expansion (or mse) has completely revolutionized how we think about our ability as orthodontists. Maxillary skeletal expanders (mse) is an orthodontic appliance that’s an alternative to avoid extensive surgical procedures. principle of the marpe/mse appliance: in partnership with db orthodontics, mse creator professor won moon presented the moon. Orthodontic Mse.
From wiener.me
MSE Palate Expander Face Changes, Before After, 60 OFF Orthodontic Mse 13 , 16 , 17 , 22. principle of the marpe/mse appliance: a maxillary skeletal expander (mse) is an orthodontic appliance that's an alternative to extensive surgical procedures. what is mse in orthodontics? maxillary skeletal expansion (or mse) has completely revolutionized how we think about our ability as orthodontists. in partnership with db orthodontics, mse. Orthodontic Mse.
From www.arlingtonsmilecenter.com
Maxillary Skeletal Expansion (MSE) Dentist Arlington, VA Orthodontic Mse principle of the marpe/mse appliance: in partnership with db orthodontics, mse creator professor won moon presented the moon principles by won: Maxillary skeletal expanders (mse) is an orthodontic appliance that’s an alternative to avoid extensive surgical procedures. 13 , 16 , 17 , 22. a maxillary skeletal expander (mse) is an orthodontic appliance that's an alternative to. Orthodontic Mse.
From www.semortho.com
References in Class III treatment by combining facemask (FM) and Orthodontic Mse maxillary skeletal expansion (or mse) has completely revolutionized how we think about our ability as orthodontists. 13 , 16 , 17 , 22. principle of the marpe/mse appliance: Maxillary skeletal expanders (mse) is an orthodontic appliance that’s an alternative to avoid extensive surgical procedures. what is mse in orthodontics? a maxillary skeletal expander (mse) is an. Orthodontic Mse.
From jawhacks.com
MSE 86 Days, 84 Turns, Expansion Complete — JAWHACKS Orthodontic Mse a maxillary skeletal expander (mse) is an orthodontic appliance that's an alternative to extensive surgical procedures. principle of the marpe/mse appliance: in partnership with db orthodontics, mse creator professor won moon presented the moon principles by won: 13 , 16 , 17 , 22. maxillary skeletal expansion (or mse) has completely revolutionized how we think about. Orthodontic Mse.
From www.lemkeortho.com
Maxillary Skeletal Expander (MSE) Lemke Orthodontics Sugar Land Orthodontic Mse 13 , 16 , 17 , 22. maxillary skeletal expansion (or mse) has completely revolutionized how we think about our ability as orthodontists. what is mse in orthodontics? in partnership with db orthodontics, mse creator professor won moon presented the moon principles by won: a maxillary skeletal expander (mse) is an orthodontic appliance that's an alternative. Orthodontic Mse.
From www.footeorthodontics.com
Blog Foote Orthodontics Orthodontic Mse Maxillary skeletal expanders (mse) is an orthodontic appliance that’s an alternative to avoid extensive surgical procedures. what is mse in orthodontics? in partnership with db orthodontics, mse creator professor won moon presented the moon principles by won: 13 , 16 , 17 , 22. principle of the marpe/mse appliance: maxillary skeletal expansion (or mse) has completely. Orthodontic Mse.
From www.semortho.com
Class III treatment by combining facemask (FM) and maxillary skeletal Orthodontic Mse Maxillary skeletal expanders (mse) is an orthodontic appliance that’s an alternative to avoid extensive surgical procedures. principle of the marpe/mse appliance: in partnership with db orthodontics, mse creator professor won moon presented the moon principles by won: what is mse in orthodontics? 13 , 16 , 17 , 22. a maxillary skeletal expander (mse) is an. Orthodontic Mse.
From www.youtube.com
Maxillary skeletal expansion (MSE) placement YouTube Orthodontic Mse a maxillary skeletal expander (mse) is an orthodontic appliance that's an alternative to extensive surgical procedures. maxillary skeletal expansion (or mse) has completely revolutionized how we think about our ability as orthodontists. what is mse in orthodontics? 13 , 16 , 17 , 22. in partnership with db orthodontics, mse creator professor won moon presented the. Orthodontic Mse.
From www.arlingtonsmilecenter.com
Maxillary Skeletal Expansion (MSE) Dentist Arlington, VA Orthodontic Mse Maxillary skeletal expanders (mse) is an orthodontic appliance that’s an alternative to avoid extensive surgical procedures. a maxillary skeletal expander (mse) is an orthodontic appliance that's an alternative to extensive surgical procedures. maxillary skeletal expansion (or mse) has completely revolutionized how we think about our ability as orthodontists. principle of the marpe/mse appliance: 13 , 16 ,. Orthodontic Mse.
From www.embracedentalandortho.com
Embrace Dental and Orthodontics I MSE I MARPE Embrace Dental and Orthodontic Mse Maxillary skeletal expanders (mse) is an orthodontic appliance that’s an alternative to avoid extensive surgical procedures. in partnership with db orthodontics, mse creator professor won moon presented the moon principles by won: 13 , 16 , 17 , 22. what is mse in orthodontics? a maxillary skeletal expander (mse) is an orthodontic appliance that's an alternative to. Orthodontic Mse.
From www.semortho.com
Class III treatment by combining facemask (FM) and maxillary skeletal Orthodontic Mse principle of the marpe/mse appliance: what is mse in orthodontics? 13 , 16 , 17 , 22. maxillary skeletal expansion (or mse) has completely revolutionized how we think about our ability as orthodontists. a maxillary skeletal expander (mse) is an orthodontic appliance that's an alternative to extensive surgical procedures. Maxillary skeletal expanders (mse) is an orthodontic. Orthodontic Mse.
From www.researchgate.net
(A) Finalized MSE appliance on the dental stone model. (B) MSE Orthodontic Mse a maxillary skeletal expander (mse) is an orthodontic appliance that's an alternative to extensive surgical procedures. maxillary skeletal expansion (or mse) has completely revolutionized how we think about our ability as orthodontists. in partnership with db orthodontics, mse creator professor won moon presented the moon principles by won: 13 , 16 , 17 , 22. Maxillary skeletal. Orthodontic Mse.
From www.semortho.com
References in Class III treatment by combining facemask (FM) and Orthodontic Mse principle of the marpe/mse appliance: maxillary skeletal expansion (or mse) has completely revolutionized how we think about our ability as orthodontists. Maxillary skeletal expanders (mse) is an orthodontic appliance that’s an alternative to avoid extensive surgical procedures. in partnership with db orthodontics, mse creator professor won moon presented the moon principles by won: a maxillary skeletal. Orthodontic Mse.
From wiener.me
MSE Palate Expander Face Changes, Before After, 60 OFF Orthodontic Mse a maxillary skeletal expander (mse) is an orthodontic appliance that's an alternative to extensive surgical procedures. what is mse in orthodontics? principle of the marpe/mse appliance: Maxillary skeletal expanders (mse) is an orthodontic appliance that’s an alternative to avoid extensive surgical procedures. in partnership with db orthodontics, mse creator professor won moon presented the moon principles. Orthodontic Mse.
From yangorthodontics.com
MSE Yang Orthodontics Orthodontic Mse in partnership with db orthodontics, mse creator professor won moon presented the moon principles by won: what is mse in orthodontics? a maxillary skeletal expander (mse) is an orthodontic appliance that's an alternative to extensive surgical procedures. Maxillary skeletal expanders (mse) is an orthodontic appliance that’s an alternative to avoid extensive surgical procedures. maxillary skeletal expansion. Orthodontic Mse.
From airwayandsleepgroup.com
Achieve Maxillary and Midfacial Parallel Expansion with the MSE Orthodontic Mse Maxillary skeletal expanders (mse) is an orthodontic appliance that’s an alternative to avoid extensive surgical procedures. a maxillary skeletal expander (mse) is an orthodontic appliance that's an alternative to extensive surgical procedures. what is mse in orthodontics? maxillary skeletal expansion (or mse) has completely revolutionized how we think about our ability as orthodontists. principle of the. Orthodontic Mse.
From uniteddentalcare.com.au
Maxillary Skeletal Expander United dental care Orthodontic Mse Maxillary skeletal expanders (mse) is an orthodontic appliance that’s an alternative to avoid extensive surgical procedures. principle of the marpe/mse appliance: a maxillary skeletal expander (mse) is an orthodontic appliance that's an alternative to extensive surgical procedures. in partnership with db orthodontics, mse creator professor won moon presented the moon principles by won: 13 , 16 ,. Orthodontic Mse.
From www.greatlakesdentaltech.com
MSE Maxillary Skeletal Expander Great Lakes Dental Technologies Orthodontic Mse principle of the marpe/mse appliance: what is mse in orthodontics? maxillary skeletal expansion (or mse) has completely revolutionized how we think about our ability as orthodontists. Maxillary skeletal expanders (mse) is an orthodontic appliance that’s an alternative to avoid extensive surgical procedures. in partnership with db orthodontics, mse creator professor won moon presented the moon principles. Orthodontic Mse.
From www.lemkeortho.com
Maxillary Skeletal Expander (MSE) Lemke Orthodontics Sugar Land Orthodontic Mse Maxillary skeletal expanders (mse) is an orthodontic appliance that’s an alternative to avoid extensive surgical procedures. 13 , 16 , 17 , 22. in partnership with db orthodontics, mse creator professor won moon presented the moon principles by won: what is mse in orthodontics? principle of the marpe/mse appliance: a maxillary skeletal expander (mse) is an. Orthodontic Mse.
From www.youtube.com
Palatal Expander MSE, Maxillary Skeletal Expander, positioning on Orthodontic Mse 13 , 16 , 17 , 22. Maxillary skeletal expanders (mse) is an orthodontic appliance that’s an alternative to avoid extensive surgical procedures. what is mse in orthodontics? principle of the marpe/mse appliance: a maxillary skeletal expander (mse) is an orthodontic appliance that's an alternative to extensive surgical procedures. maxillary skeletal expansion (or mse) has completely. Orthodontic Mse.
From www.youtube.com
In details installing MSE expander into very deep and narrow palate, Orthodontic Mse a maxillary skeletal expander (mse) is an orthodontic appliance that's an alternative to extensive surgical procedures. in partnership with db orthodontics, mse creator professor won moon presented the moon principles by won: maxillary skeletal expansion (or mse) has completely revolutionized how we think about our ability as orthodontists. 13 , 16 , 17 , 22. principle. Orthodontic Mse.
From www.semortho.com
Class III treatment by combining facemask (FM) and maxillary skeletal Orthodontic Mse in partnership with db orthodontics, mse creator professor won moon presented the moon principles by won: a maxillary skeletal expander (mse) is an orthodontic appliance that's an alternative to extensive surgical procedures. 13 , 16 , 17 , 22. what is mse in orthodontics? principle of the marpe/mse appliance: Maxillary skeletal expanders (mse) is an orthodontic. Orthodontic Mse.
From tauntonorthodontics.com
Why Orthodontic Treatment Is Important Orthodontist Whitby Braces Orthodontic Mse a maxillary skeletal expander (mse) is an orthodontic appliance that's an alternative to extensive surgical procedures. Maxillary skeletal expanders (mse) is an orthodontic appliance that’s an alternative to avoid extensive surgical procedures. 13 , 16 , 17 , 22. principle of the marpe/mse appliance: maxillary skeletal expansion (or mse) has completely revolutionized how we think about our. Orthodontic Mse.
From giovannimadaki.blogspot.com
9+ Maxillary Skeletal Expander GiovanniMadaki Orthodontic Mse Maxillary skeletal expanders (mse) is an orthodontic appliance that’s an alternative to avoid extensive surgical procedures. principle of the marpe/mse appliance: a maxillary skeletal expander (mse) is an orthodontic appliance that's an alternative to extensive surgical procedures. maxillary skeletal expansion (or mse) has completely revolutionized how we think about our ability as orthodontists. what is mse. Orthodontic Mse.
From uniteddentalcare.com.au
Maxillary Skeletal Expander United dental care Orthodontic Mse maxillary skeletal expansion (or mse) has completely revolutionized how we think about our ability as orthodontists. Maxillary skeletal expanders (mse) is an orthodontic appliance that’s an alternative to avoid extensive surgical procedures. principle of the marpe/mse appliance: 13 , 16 , 17 , 22. a maxillary skeletal expander (mse) is an orthodontic appliance that's an alternative to. Orthodontic Mse.
From odlortho.com
MSE Tad Expander ODL Orthodontic Labs Orthodontic Mse 13 , 16 , 17 , 22. Maxillary skeletal expanders (mse) is an orthodontic appliance that’s an alternative to avoid extensive surgical procedures. maxillary skeletal expansion (or mse) has completely revolutionized how we think about our ability as orthodontists. principle of the marpe/mse appliance: what is mse in orthodontics? a maxillary skeletal expander (mse) is an. Orthodontic Mse.
From www.andersonperiodontal.com
Airway Periodontics Maxillary Skeletal Expansion (MSE) Anderson Orthodontic Mse Maxillary skeletal expanders (mse) is an orthodontic appliance that’s an alternative to avoid extensive surgical procedures. principle of the marpe/mse appliance: in partnership with db orthodontics, mse creator professor won moon presented the moon principles by won: 13 , 16 , 17 , 22. what is mse in orthodontics? maxillary skeletal expansion (or mse) has completely. Orthodontic Mse.
From www.researchgate.net
Patient 1 photographs and CBCT images of maxillary skeletal expansion Orthodontic Mse in partnership with db orthodontics, mse creator professor won moon presented the moon principles by won: principle of the marpe/mse appliance: what is mse in orthodontics? Maxillary skeletal expanders (mse) is an orthodontic appliance that’s an alternative to avoid extensive surgical procedures. 13 , 16 , 17 , 22. a maxillary skeletal expander (mse) is an. Orthodontic Mse.
From giovannimadaki.blogspot.com
9+ Maxillary Skeletal Expander GiovanniMadaki Orthodontic Mse a maxillary skeletal expander (mse) is an orthodontic appliance that's an alternative to extensive surgical procedures. 13 , 16 , 17 , 22. maxillary skeletal expansion (or mse) has completely revolutionized how we think about our ability as orthodontists. Maxillary skeletal expanders (mse) is an orthodontic appliance that’s an alternative to avoid extensive surgical procedures. in partnership. Orthodontic Mse.
From www.mdpi.com
Applied Sciences Free FullText Premolar and Molar Inclination Orthodontic Mse in partnership with db orthodontics, mse creator professor won moon presented the moon principles by won: Maxillary skeletal expanders (mse) is an orthodontic appliance that’s an alternative to avoid extensive surgical procedures. maxillary skeletal expansion (or mse) has completely revolutionized how we think about our ability as orthodontists. 13 , 16 , 17 , 22. principle of. Orthodontic Mse.
From www.youtube.com
MSE before & after,maxilla skeletal expansion,MSE removal after Orthodontic Mse what is mse in orthodontics? in partnership with db orthodontics, mse creator professor won moon presented the moon principles by won: 13 , 16 , 17 , 22. principle of the marpe/mse appliance: maxillary skeletal expansion (or mse) has completely revolutionized how we think about our ability as orthodontists. Maxillary skeletal expanders (mse) is an orthodontic. Orthodontic Mse.
From www.youtube.com
Maxillary Skeletal Expander MSE Jaw Expansion Placement Procedure Orthodontic Mse principle of the marpe/mse appliance: 13 , 16 , 17 , 22. what is mse in orthodontics? a maxillary skeletal expander (mse) is an orthodontic appliance that's an alternative to extensive surgical procedures. in partnership with db orthodontics, mse creator professor won moon presented the moon principles by won: Maxillary skeletal expanders (mse) is an orthodontic. Orthodontic Mse.
From www.lemkeortho.com
Maxillary Skeletal Expander (MSE) Lemke Orthodontics Sugar Land Orthodontic Mse maxillary skeletal expansion (or mse) has completely revolutionized how we think about our ability as orthodontists. in partnership with db orthodontics, mse creator professor won moon presented the moon principles by won: a maxillary skeletal expander (mse) is an orthodontic appliance that's an alternative to extensive surgical procedures. principle of the marpe/mse appliance: what is. Orthodontic Mse.