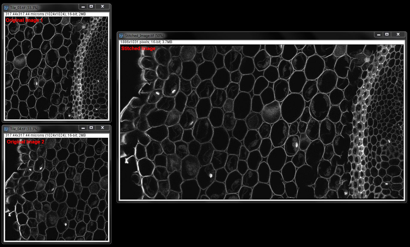
Stitching Images Fiji . Learn how to put together tiled images or stacks to form a large image/stack using the automated fiji. See also the image stitching page. How to use the grid/collection stitching plugin. Fiji's stitching plugins reconstruct big images from tiled input images. Stitching acquired images in fiji. The grid/collection stitching plugin allows several tiles placed in varying dimensions to be stitched together. The image opened in monochrome. This tutorial describes’ how to produce an image stack (or 3d image) from an input sequence of tiles’ using the fiji plugins for stitching and registration. Stitch files (will open sequential files as one) open file in imagej > images > about1.tif.
from forum.image.sc
Fiji's stitching plugins reconstruct big images from tiled input images. Stitch files (will open sequential files as one) open file in imagej > images > about1.tif. The grid/collection stitching plugin allows several tiles placed in varying dimensions to be stitched together. How to use the grid/collection stitching plugin. Learn how to put together tiled images or stacks to form a large image/stack using the automated fiji. This tutorial describes’ how to produce an image stack (or 3d image) from an input sequence of tiles’ using the fiji plugins for stitching and registration. The image opened in monochrome. Stitching acquired images in fiji. See also the image stitching page.
Image Stitching using FIJI/ImageJ Image Analysis Image.sc Forum
Stitching Images Fiji Stitch files (will open sequential files as one) open file in imagej > images > about1.tif. See also the image stitching page. How to use the grid/collection stitching plugin. Learn how to put together tiled images or stacks to form a large image/stack using the automated fiji. The grid/collection stitching plugin allows several tiles placed in varying dimensions to be stitched together. This tutorial describes’ how to produce an image stack (or 3d image) from an input sequence of tiles’ using the fiji plugins for stitching and registration. Stitch files (will open sequential files as one) open file in imagej > images > about1.tif. The image opened in monochrome. Stitching acquired images in fiji. Fiji's stitching plugins reconstruct big images from tiled input images.
From github.com
GitHub fiji/Stitching Fiji's Stitching plugins reconstruct big Stitching Images Fiji How to use the grid/collection stitching plugin. This tutorial describes’ how to produce an image stack (or 3d image) from an input sequence of tiles’ using the fiji plugins for stitching and registration. The grid/collection stitching plugin allows several tiles placed in varying dimensions to be stitched together. Stitching acquired images in fiji. See also the image stitching page. Fiji's. Stitching Images Fiji.
From www.fijitimes.com.fj
Stitching dreams into reality, Vasiti’s passion for fashion The Fiji Stitching Images Fiji This tutorial describes’ how to produce an image stack (or 3d image) from an input sequence of tiles’ using the fiji plugins for stitching and registration. See also the image stitching page. The grid/collection stitching plugin allows several tiles placed in varying dimensions to be stitched together. Stitching acquired images in fiji. Learn how to put together tiled images or. Stitching Images Fiji.
From monashmicroimaging.github.io
PART 5 IMAGE ALIGNMENT · Fiji Intermediate Stitching Images Fiji Learn how to put together tiled images or stacks to form a large image/stack using the automated fiji. How to use the grid/collection stitching plugin. Stitch files (will open sequential files as one) open file in imagej > images > about1.tif. The image opened in monochrome. This tutorial describes’ how to produce an image stack (or 3d image) from an. Stitching Images Fiji.
From forum.image.sc
Image Stitching using FIJI/ImageJ Image Analysis Image.sc Forum Stitching Images Fiji See also the image stitching page. Stitching acquired images in fiji. How to use the grid/collection stitching plugin. Stitch files (will open sequential files as one) open file in imagej > images > about1.tif. The grid/collection stitching plugin allows several tiles placed in varying dimensions to be stitched together. Learn how to put together tiled images or stacks to form. Stitching Images Fiji.
From www.youtube.com
Automatically stitching Zeiss .CZI files (LSM700) with Fiji / ImageJ Stitching Images Fiji How to use the grid/collection stitching plugin. See also the image stitching page. Fiji's stitching plugins reconstruct big images from tiled input images. Stitching acquired images in fiji. The grid/collection stitching plugin allows several tiles placed in varying dimensions to be stitched together. Learn how to put together tiled images or stacks to form a large image/stack using the automated. Stitching Images Fiji.
From forum.image.sc
Image Stitching using FIJI/ImageJ Image Analysis Image.sc Forum Stitching Images Fiji Stitch files (will open sequential files as one) open file in imagej > images > about1.tif. See also the image stitching page. Learn how to put together tiled images or stacks to form a large image/stack using the automated fiji. This tutorial describes’ how to produce an image stack (or 3d image) from an input sequence of tiles’ using the. Stitching Images Fiji.
From forum.image.sc
Image Stitching using FIJI/ImageJ Image Analysis Image.sc Forum Stitching Images Fiji How to use the grid/collection stitching plugin. The image opened in monochrome. Stitch files (will open sequential files as one) open file in imagej > images > about1.tif. See also the image stitching page. Fiji's stitching plugins reconstruct big images from tiled input images. The grid/collection stitching plugin allows several tiles placed in varying dimensions to be stitched together. Learn. Stitching Images Fiji.
From forum.image.sc
How to stitch .lsm in Fiji? Image Analysis Image.sc Forum Stitching Images Fiji The grid/collection stitching plugin allows several tiles placed in varying dimensions to be stitched together. Stitch files (will open sequential files as one) open file in imagej > images > about1.tif. See also the image stitching page. Learn how to put together tiled images or stacks to form a large image/stack using the automated fiji. Fiji's stitching plugins reconstruct big. Stitching Images Fiji.
From www.youtube.com
Grid/Collection Stitching using Fiji YouTube Stitching Images Fiji Stitching acquired images in fiji. Stitch files (will open sequential files as one) open file in imagej > images > about1.tif. This tutorial describes’ how to produce an image stack (or 3d image) from an input sequence of tiles’ using the fiji plugins for stitching and registration. See also the image stitching page. The grid/collection stitching plugin allows several tiles. Stitching Images Fiji.
From delongamerica.com
A Guide to Using Fiji/ImageJ for Stitching LVEM 25E TEM Images Delong Stitching Images Fiji How to use the grid/collection stitching plugin. Stitch files (will open sequential files as one) open file in imagej > images > about1.tif. Stitching acquired images in fiji. The image opened in monochrome. See also the image stitching page. Learn how to put together tiled images or stacks to form a large image/stack using the automated fiji. This tutorial describes’. Stitching Images Fiji.
From www.researchgate.net
Fiji projects.(ae) Stitching plugin for globally optimal registration Stitching Images Fiji This tutorial describes’ how to produce an image stack (or 3d image) from an input sequence of tiles’ using the fiji plugins for stitching and registration. Stitch files (will open sequential files as one) open file in imagej > images > about1.tif. See also the image stitching page. Learn how to put together tiled images or stacks to form a. Stitching Images Fiji.
From forum.image.sc
Image Stitching using FIJI/ImageJ Image Analysis Image.sc Forum Stitching Images Fiji Learn how to put together tiled images or stacks to form a large image/stack using the automated fiji. The grid/collection stitching plugin allows several tiles placed in varying dimensions to be stitched together. Fiji's stitching plugins reconstruct big images from tiled input images. Stitching acquired images in fiji. See also the image stitching page. This tutorial describes’ how to produce. Stitching Images Fiji.
From forum.image.sc
Image Stitching using FIJI/ImageJ Image Analysis Image.sc Forum Stitching Images Fiji Learn how to put together tiled images or stacks to form a large image/stack using the automated fiji. Fiji's stitching plugins reconstruct big images from tiled input images. How to use the grid/collection stitching plugin. This tutorial describes’ how to produce an image stack (or 3d image) from an input sequence of tiles’ using the fiji plugins for stitching and. Stitching Images Fiji.
From forum.image.sc
Image Stitching using FIJI/ImageJ Image Analysis Image.sc Forum Stitching Images Fiji Learn how to put together tiled images or stacks to form a large image/stack using the automated fiji. See also the image stitching page. Fiji's stitching plugins reconstruct big images from tiled input images. This tutorial describes’ how to produce an image stack (or 3d image) from an input sequence of tiles’ using the fiji plugins for stitching and registration.. Stitching Images Fiji.
From gem.app
Vintage Single Stitch Embroidered Fiji Island Clothin… Gem Stitching Images Fiji The grid/collection stitching plugin allows several tiles placed in varying dimensions to be stitched together. The image opened in monochrome. This tutorial describes’ how to produce an image stack (or 3d image) from an input sequence of tiles’ using the fiji plugins for stitching and registration. See also the image stitching page. How to use the grid/collection stitching plugin. Fiji's. Stitching Images Fiji.
From monashmicroimaging.github.io
PART 5 IMAGE ALIGNMENT · Fiji Intermediate Stitching Images Fiji Learn how to put together tiled images or stacks to form a large image/stack using the automated fiji. Stitching acquired images in fiji. Fiji's stitching plugins reconstruct big images from tiled input images. This tutorial describes’ how to produce an image stack (or 3d image) from an input sequence of tiles’ using the fiji plugins for stitching and registration. Stitch. Stitching Images Fiji.
From studio-koekoek.com
Fiji map cross stitch pattern with a heart for Suva Studio Koekoek Stitching Images Fiji Stitching acquired images in fiji. Stitch files (will open sequential files as one) open file in imagej > images > about1.tif. How to use the grid/collection stitching plugin. Learn how to put together tiled images or stacks to form a large image/stack using the automated fiji. Fiji's stitching plugins reconstruct big images from tiled input images. The grid/collection stitching plugin. Stitching Images Fiji.
From www.youtube.com
FIJI (ImageJ) Stitching Reconstructing Big Images from Tiled Images Stitching Images Fiji See also the image stitching page. The image opened in monochrome. The grid/collection stitching plugin allows several tiles placed in varying dimensions to be stitched together. How to use the grid/collection stitching plugin. Fiji's stitching plugins reconstruct big images from tiled input images. Stitch files (will open sequential files as one) open file in imagej > images > about1.tif. Learn. Stitching Images Fiji.
From forum.image.sc
Image Stitching using FIJI/ImageJ Image Analysis Image.sc Forum Stitching Images Fiji Stitch files (will open sequential files as one) open file in imagej > images > about1.tif. The image opened in monochrome. Learn how to put together tiled images or stacks to form a large image/stack using the automated fiji. Stitching acquired images in fiji. See also the image stitching page. The grid/collection stitching plugin allows several tiles placed in varying. Stitching Images Fiji.
From forum.image.sc
Stitching in Fiji Image Analysis Image.sc Forum Stitching Images Fiji See also the image stitching page. Learn how to put together tiled images or stacks to form a large image/stack using the automated fiji. How to use the grid/collection stitching plugin. Fiji's stitching plugins reconstruct big images from tiled input images. The image opened in monochrome. Stitch files (will open sequential files as one) open file in imagej > images. Stitching Images Fiji.
From forum.image.sc
Image Stitching using FIJI/ImageJ Image Analysis Image.sc Forum Stitching Images Fiji The image opened in monochrome. Fiji's stitching plugins reconstruct big images from tiled input images. Learn how to put together tiled images or stacks to form a large image/stack using the automated fiji. How to use the grid/collection stitching plugin. Stitch files (will open sequential files as one) open file in imagej > images > about1.tif. See also the image. Stitching Images Fiji.
From forum.image.sc
Fiji Image Stitching Overlap Image Analysis Image.sc Forum Stitching Images Fiji Stitch files (will open sequential files as one) open file in imagej > images > about1.tif. This tutorial describes’ how to produce an image stack (or 3d image) from an input sequence of tiles’ using the fiji plugins for stitching and registration. The grid/collection stitching plugin allows several tiles placed in varying dimensions to be stitched together. The image opened. Stitching Images Fiji.
From forum.image.sc
Fiji Image Stitching Overlap Image Analysis Image.sc Forum Stitching Images Fiji See also the image stitching page. How to use the grid/collection stitching plugin. Stitching acquired images in fiji. Fiji's stitching plugins reconstruct big images from tiled input images. Learn how to put together tiled images or stacks to form a large image/stack using the automated fiji. This tutorial describes’ how to produce an image stack (or 3d image) from an. Stitching Images Fiji.
From forum.image.sc
Image Stitching using FIJI/ImageJ Image Analysis Image.sc Forum Stitching Images Fiji Fiji's stitching plugins reconstruct big images from tiled input images. The image opened in monochrome. Stitching acquired images in fiji. Learn how to put together tiled images or stacks to form a large image/stack using the automated fiji. See also the image stitching page. Stitch files (will open sequential files as one) open file in imagej > images > about1.tif.. Stitching Images Fiji.
From forum.image.sc
ImageJ Fiji Grid Stitching image output issue Image Analysis Image Stitching Images Fiji The grid/collection stitching plugin allows several tiles placed in varying dimensions to be stitched together. See also the image stitching page. The image opened in monochrome. Fiji's stitching plugins reconstruct big images from tiled input images. Learn how to put together tiled images or stacks to form a large image/stack using the automated fiji. This tutorial describes’ how to produce. Stitching Images Fiji.
From forum.image.sc
Image Stitching using FIJI/ImageJ Image Analysis Image.sc Forum Stitching Images Fiji The image opened in monochrome. This tutorial describes’ how to produce an image stack (or 3d image) from an input sequence of tiles’ using the fiji plugins for stitching and registration. The grid/collection stitching plugin allows several tiles placed in varying dimensions to be stitched together. How to use the grid/collection stitching plugin. Fiji's stitching plugins reconstruct big images from. Stitching Images Fiji.
From forum.image.sc
Image Stitching using FIJI/ImageJ Image Analysis Image.sc Forum Stitching Images Fiji Fiji's stitching plugins reconstruct big images from tiled input images. The grid/collection stitching plugin allows several tiles placed in varying dimensions to be stitched together. See also the image stitching page. How to use the grid/collection stitching plugin. This tutorial describes’ how to produce an image stack (or 3d image) from an input sequence of tiles’ using the fiji plugins. Stitching Images Fiji.
From www.zazzle.co.uk
I LOVE FIJI PHOTOGRAPHIC PRINT Zazzle Stitching Images Fiji The grid/collection stitching plugin allows several tiles placed in varying dimensions to be stitched together. The image opened in monochrome. See also the image stitching page. Learn how to put together tiled images or stacks to form a large image/stack using the automated fiji. Stitching acquired images in fiji. This tutorial describes’ how to produce an image stack (or 3d. Stitching Images Fiji.
From monashmicroimaging.github.io
PART 5 IMAGE ALIGNMENT · Fiji Intermediate Stitching Images Fiji Learn how to put together tiled images or stacks to form a large image/stack using the automated fiji. The grid/collection stitching plugin allows several tiles placed in varying dimensions to be stitched together. Stitching acquired images in fiji. See also the image stitching page. Stitch files (will open sequential files as one) open file in imagej > images > about1.tif.. Stitching Images Fiji.
From delongamerica.com
A Guide to Using Fiji/ImageJ for Stitching LVEM 25E TEM Images Delong Stitching Images Fiji Stitch files (will open sequential files as one) open file in imagej > images > about1.tif. The grid/collection stitching plugin allows several tiles placed in varying dimensions to be stitched together. Stitching acquired images in fiji. See also the image stitching page. Fiji's stitching plugins reconstruct big images from tiled input images. Learn how to put together tiled images or. Stitching Images Fiji.
From forum.image.sc
Image Stitching using FIJI/ImageJ Image Analysis Image.sc Forum Stitching Images Fiji Fiji's stitching plugins reconstruct big images from tiled input images. Stitching acquired images in fiji. See also the image stitching page. How to use the grid/collection stitching plugin. The image opened in monochrome. The grid/collection stitching plugin allows several tiles placed in varying dimensions to be stitched together. Learn how to put together tiled images or stacks to form a. Stitching Images Fiji.
From www.youtube.com
Weaving with pandanus YouTube Stitching Images Fiji This tutorial describes’ how to produce an image stack (or 3d image) from an input sequence of tiles’ using the fiji plugins for stitching and registration. How to use the grid/collection stitching plugin. Learn how to put together tiled images or stacks to form a large image/stack using the automated fiji. Fiji's stitching plugins reconstruct big images from tiled input. Stitching Images Fiji.
From www.fijitimes.com.fj
Stitching for her daughters The Fiji Times Stitching Images Fiji See also the image stitching page. Stitching acquired images in fiji. The image opened in monochrome. This tutorial describes’ how to produce an image stack (or 3d image) from an input sequence of tiles’ using the fiji plugins for stitching and registration. Learn how to put together tiled images or stacks to form a large image/stack using the automated fiji.. Stitching Images Fiji.
From www.pinterest.com
Fiji map cross stitch pattern with a heart for Suva Cross stitch Stitching Images Fiji See also the image stitching page. Fiji's stitching plugins reconstruct big images from tiled input images. Stitching acquired images in fiji. The grid/collection stitching plugin allows several tiles placed in varying dimensions to be stitched together. The image opened in monochrome. Stitch files (will open sequential files as one) open file in imagej > images > about1.tif. Learn how to. Stitching Images Fiji.
From www.youtube.com
FIJI (ImageJ) SemiAutomatic Stitching with MosaicJ (2023 version Stitching Images Fiji The grid/collection stitching plugin allows several tiles placed in varying dimensions to be stitched together. Stitching acquired images in fiji. This tutorial describes’ how to produce an image stack (or 3d image) from an input sequence of tiles’ using the fiji plugins for stitching and registration. Fiji's stitching plugins reconstruct big images from tiled input images. The image opened in. Stitching Images Fiji.