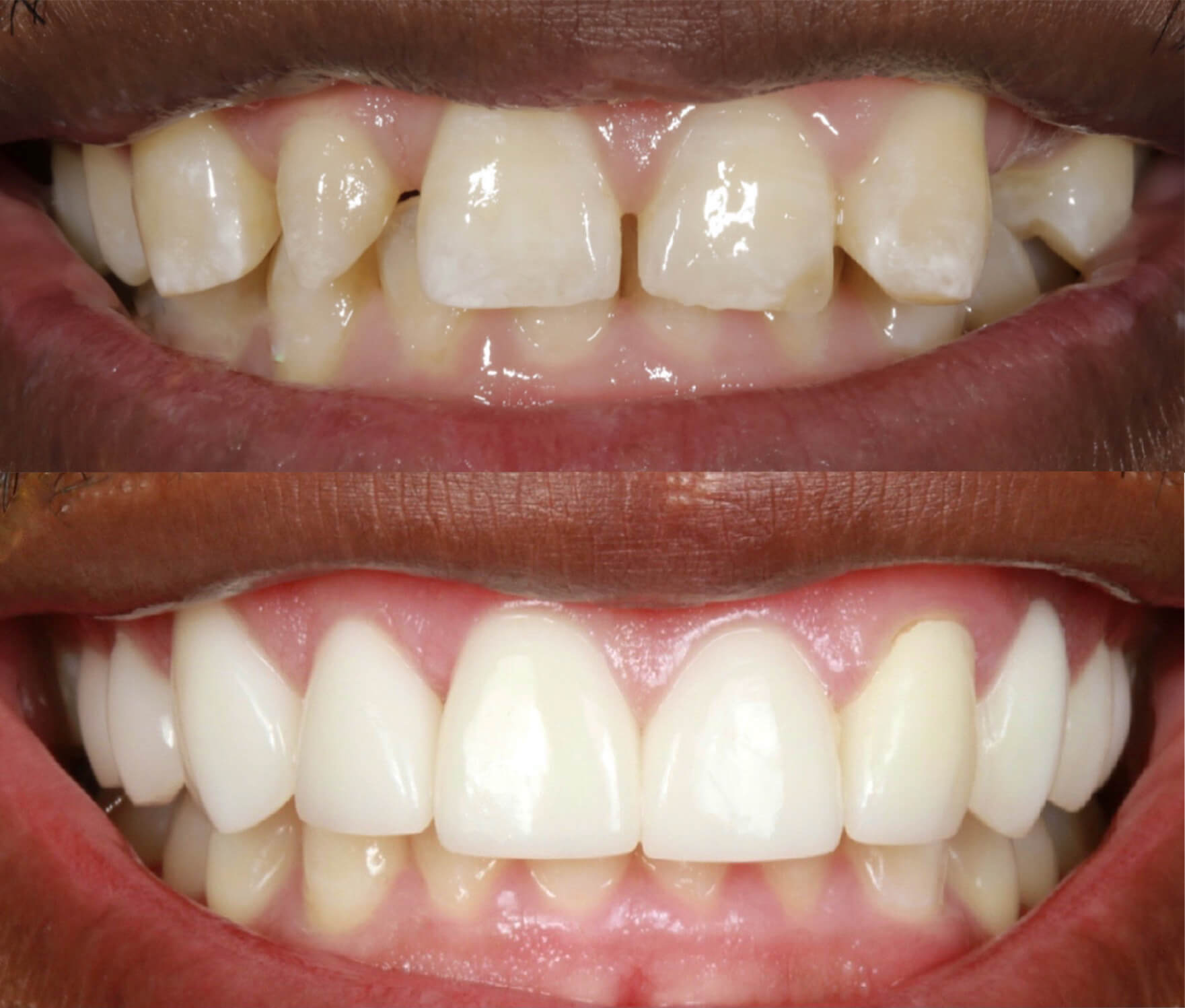
Veneers Denver . Each porcelain tooth veneer is bonded onto the front. learn how porcelain veneers can transform your smile with a natural and radiant look. Our dental experts will help you enhance your. learn how porcelain veneers can fix cosmetic dental issues and improve your smile in two to three visits. porcelain dental veneers can cover unattractive gaps, mask stains, and conceal misshapen or crooked teeth. Schedule a consultation with our experienced cosmetic. See before and after photos, steps involved, and the artistry of our master.
from www.smilestudiodenver.com
Schedule a consultation with our experienced cosmetic. Our dental experts will help you enhance your. porcelain dental veneers can cover unattractive gaps, mask stains, and conceal misshapen or crooked teeth. learn how porcelain veneers can fix cosmetic dental issues and improve your smile in two to three visits. See before and after photos, steps involved, and the artistry of our master. Each porcelain tooth veneer is bonded onto the front. learn how porcelain veneers can transform your smile with a natural and radiant look.
Dental Venees in Denver Smile Studio Dental Denver
Veneers Denver Our dental experts will help you enhance your. See before and after photos, steps involved, and the artistry of our master. porcelain dental veneers can cover unattractive gaps, mask stains, and conceal misshapen or crooked teeth. Our dental experts will help you enhance your. Schedule a consultation with our experienced cosmetic. Each porcelain tooth veneer is bonded onto the front. learn how porcelain veneers can transform your smile with a natural and radiant look. learn how porcelain veneers can fix cosmetic dental issues and improve your smile in two to three visits.
From www.youtube.com
Best Denver Veneers Dentist Review YouTube Veneers Denver Our dental experts will help you enhance your. Schedule a consultation with our experienced cosmetic. Each porcelain tooth veneer is bonded onto the front. See before and after photos, steps involved, and the artistry of our master. learn how porcelain veneers can transform your smile with a natural and radiant look. porcelain dental veneers can cover unattractive gaps,. Veneers Denver.
From mygoldendentist.com
Veneers Golden CO Porcelain Dental Veneers Denver Veneers Denver learn how porcelain veneers can fix cosmetic dental issues and improve your smile in two to three visits. See before and after photos, steps involved, and the artistry of our master. Schedule a consultation with our experienced cosmetic. Each porcelain tooth veneer is bonded onto the front. Our dental experts will help you enhance your. learn how porcelain. Veneers Denver.
From espiredental.com
Cosmetic Dentistry Veneers Espire Dental in Denver Veneers Denver porcelain dental veneers can cover unattractive gaps, mask stains, and conceal misshapen or crooked teeth. learn how porcelain veneers can transform your smile with a natural and radiant look. Our dental experts will help you enhance your. learn how porcelain veneers can fix cosmetic dental issues and improve your smile in two to three visits. See before. Veneers Denver.
From www.pearldentistrydenver.com
Veneers Denver Beautiful White Smile Pearl Dentistry Veneers Denver Each porcelain tooth veneer is bonded onto the front. learn how porcelain veneers can transform your smile with a natural and radiant look. Schedule a consultation with our experienced cosmetic. porcelain dental veneers can cover unattractive gaps, mask stains, and conceal misshapen or crooked teeth. See before and after photos, steps involved, and the artistry of our master.. Veneers Denver.
From www.smilestudiodenver.com
Dental Venees in Denver Smile Studio Dental Denver Veneers Denver Schedule a consultation with our experienced cosmetic. porcelain dental veneers can cover unattractive gaps, mask stains, and conceal misshapen or crooked teeth. Our dental experts will help you enhance your. Each porcelain tooth veneer is bonded onto the front. learn how porcelain veneers can transform your smile with a natural and radiant look. learn how porcelain veneers. Veneers Denver.
From setofamilydentistry.com
Family Dentist Denver, CO Seto Family Dentistry Veneers Denver See before and after photos, steps involved, and the artistry of our master. Our dental experts will help you enhance your. porcelain dental veneers can cover unattractive gaps, mask stains, and conceal misshapen or crooked teeth. Schedule a consultation with our experienced cosmetic. learn how porcelain veneers can fix cosmetic dental issues and improve your smile in two. Veneers Denver.
From www.youtube.com
Veneers Denver (303) 8168176 YouTube Veneers Denver Each porcelain tooth veneer is bonded onto the front. learn how porcelain veneers can fix cosmetic dental issues and improve your smile in two to three visits. See before and after photos, steps involved, and the artistry of our master. Schedule a consultation with our experienced cosmetic. learn how porcelain veneers can transform your smile with a natural. Veneers Denver.
From www.avasonfamilydentistry.com
Porcelain Veneers Denver, NC Avason Family Dentistry Veneers Denver Each porcelain tooth veneer is bonded onto the front. learn how porcelain veneers can transform your smile with a natural and radiant look. Our dental experts will help you enhance your. learn how porcelain veneers can fix cosmetic dental issues and improve your smile in two to three visits. porcelain dental veneers can cover unattractive gaps, mask. Veneers Denver.
From www.youtube.com
Veneers Denver Review YouTube Veneers Denver Schedule a consultation with our experienced cosmetic. See before and after photos, steps involved, and the artistry of our master. learn how porcelain veneers can transform your smile with a natural and radiant look. Our dental experts will help you enhance your. learn how porcelain veneers can fix cosmetic dental issues and improve your smile in two to. Veneers Denver.
From andrenonml.total-blog.com
The Greatest Guide To dental veneers denver Veneers Denver Each porcelain tooth veneer is bonded onto the front. porcelain dental veneers can cover unattractive gaps, mask stains, and conceal misshapen or crooked teeth. See before and after photos, steps involved, and the artistry of our master. Our dental experts will help you enhance your. Schedule a consultation with our experienced cosmetic. learn how porcelain veneers can fix. Veneers Denver.
From mygoldendentist.com
Veneers Golden CO Porcelain Dental Veneers Denver Veneers Denver Our dental experts will help you enhance your. learn how porcelain veneers can transform your smile with a natural and radiant look. Schedule a consultation with our experienced cosmetic. See before and after photos, steps involved, and the artistry of our master. Each porcelain tooth veneer is bonded onto the front. learn how porcelain veneers can fix cosmetic. Veneers Denver.
From www.barotzdental.com
Porcelain Veneers in Denver CO Cosmetic Dentist Denver CO 80202 Veneers Denver Our dental experts will help you enhance your. learn how porcelain veneers can fix cosmetic dental issues and improve your smile in two to three visits. Schedule a consultation with our experienced cosmetic. Each porcelain tooth veneer is bonded onto the front. porcelain dental veneers can cover unattractive gaps, mask stains, and conceal misshapen or crooked teeth. See. Veneers Denver.
From www.ogdentaldenver.com
Veneers & Lumineers in Denver OG Dental 80211 Veneers Denver Each porcelain tooth veneer is bonded onto the front. Our dental experts will help you enhance your. porcelain dental veneers can cover unattractive gaps, mask stains, and conceal misshapen or crooked teeth. Schedule a consultation with our experienced cosmetic. learn how porcelain veneers can transform your smile with a natural and radiant look. learn how porcelain veneers. Veneers Denver.
From dentevita.com
Teeth Implants Denver Veneers Veneers Denver Our dental experts will help you enhance your. learn how porcelain veneers can fix cosmetic dental issues and improve your smile in two to three visits. See before and after photos, steps involved, and the artistry of our master. porcelain dental veneers can cover unattractive gaps, mask stains, and conceal misshapen or crooked teeth. Schedule a consultation with. Veneers Denver.
From espiredental.com
Invisalign & Veneers Dan's Journey Espire Dental Denver Veneers Denver learn how porcelain veneers can fix cosmetic dental issues and improve your smile in two to three visits. learn how porcelain veneers can transform your smile with a natural and radiant look. porcelain dental veneers can cover unattractive gaps, mask stains, and conceal misshapen or crooked teeth. See before and after photos, steps involved, and the artistry. Veneers Denver.
From dentevita.com
Teeth Implants Denver Veneers Veneers Denver See before and after photos, steps involved, and the artistry of our master. Schedule a consultation with our experienced cosmetic. Each porcelain tooth veneer is bonded onto the front. learn how porcelain veneers can transform your smile with a natural and radiant look. Our dental experts will help you enhance your. porcelain dental veneers can cover unattractive gaps,. Veneers Denver.
From www.ogdentaldenver.com
Veneers & Lumineers in Denver OG Dental 80211 Veneers Denver porcelain dental veneers can cover unattractive gaps, mask stains, and conceal misshapen or crooked teeth. learn how porcelain veneers can fix cosmetic dental issues and improve your smile in two to three visits. Schedule a consultation with our experienced cosmetic. Each porcelain tooth veneer is bonded onto the front. See before and after photos, steps involved, and the. Veneers Denver.
From spectrumdent.com
Dental Veneers in Denver Spectrum Dental Group Veneers Denver learn how porcelain veneers can transform your smile with a natural and radiant look. porcelain dental veneers can cover unattractive gaps, mask stains, and conceal misshapen or crooked teeth. Each porcelain tooth veneer is bonded onto the front. See before and after photos, steps involved, and the artistry of our master. learn how porcelain veneers can fix. Veneers Denver.
From www.weisbarddental.com
Veneers, Porcelain Veneers Denver Weisbard Dental Veneers Denver Our dental experts will help you enhance your. porcelain dental veneers can cover unattractive gaps, mask stains, and conceal misshapen or crooked teeth. learn how porcelain veneers can transform your smile with a natural and radiant look. Each porcelain tooth veneer is bonded onto the front. learn how porcelain veneers can fix cosmetic dental issues and improve. Veneers Denver.
From www.sedenverdental.com
Porcelain Veneers in Denver, CO Southeast Denver Dental Veneers Denver Our dental experts will help you enhance your. Schedule a consultation with our experienced cosmetic. See before and after photos, steps involved, and the artistry of our master. Each porcelain tooth veneer is bonded onto the front. learn how porcelain veneers can fix cosmetic dental issues and improve your smile in two to three visits. porcelain dental veneers. Veneers Denver.
From dentevita.com
Teeth Implants Denver Veneers Veneers Denver See before and after photos, steps involved, and the artistry of our master. Schedule a consultation with our experienced cosmetic. porcelain dental veneers can cover unattractive gaps, mask stains, and conceal misshapen or crooked teeth. Our dental experts will help you enhance your. learn how porcelain veneers can fix cosmetic dental issues and improve your smile in two. Veneers Denver.
From www.scottgreenhalghdds.com
Porcelain Veneers in Denver, CO Scott Greenhalgh DDS Veneers Denver learn how porcelain veneers can transform your smile with a natural and radiant look. Schedule a consultation with our experienced cosmetic. porcelain dental veneers can cover unattractive gaps, mask stains, and conceal misshapen or crooked teeth. Each porcelain tooth veneer is bonded onto the front. See before and after photos, steps involved, and the artistry of our master.. Veneers Denver.
From espiredental.com
Christina's Cosmetic Veneers Smile by Espire Dental Denver Veneers Denver Our dental experts will help you enhance your. porcelain dental veneers can cover unattractive gaps, mask stains, and conceal misshapen or crooked teeth. See before and after photos, steps involved, and the artistry of our master. learn how porcelain veneers can fix cosmetic dental issues and improve your smile in two to three visits. Each porcelain tooth veneer. Veneers Denver.
From www.pearldentistrydenver.com
Veneers Denver Beautiful White Smile Pearl Dentistry Veneers Denver learn how porcelain veneers can transform your smile with a natural and radiant look. Each porcelain tooth veneer is bonded onto the front. Our dental experts will help you enhance your. learn how porcelain veneers can fix cosmetic dental issues and improve your smile in two to three visits. See before and after photos, steps involved, and the. Veneers Denver.
From www.youtube.com
Before and After Porcelain Veneers Denver and Lakewood at Dr. Bonati’s Office! YouTube Veneers Denver Our dental experts will help you enhance your. porcelain dental veneers can cover unattractive gaps, mask stains, and conceal misshapen or crooked teeth. learn how porcelain veneers can fix cosmetic dental issues and improve your smile in two to three visits. Schedule a consultation with our experienced cosmetic. learn how porcelain veneers can transform your smile with. Veneers Denver.
From denverdentalnc.com
The Magic of Dental Veneers A Captivating Smile in an Instant! Denver Dental Care Denver Veneers Denver Each porcelain tooth veneer is bonded onto the front. Schedule a consultation with our experienced cosmetic. porcelain dental veneers can cover unattractive gaps, mask stains, and conceal misshapen or crooked teeth. See before and after photos, steps involved, and the artistry of our master. learn how porcelain veneers can fix cosmetic dental issues and improve your smile in. Veneers Denver.
From www.pearldentistrydenver.com
Veneers Denver Beautiful White Smile Pearl Dentistry Veneers Denver Each porcelain tooth veneer is bonded onto the front. See before and after photos, steps involved, and the artistry of our master. Our dental experts will help you enhance your. learn how porcelain veneers can transform your smile with a natural and radiant look. learn how porcelain veneers can fix cosmetic dental issues and improve your smile in. Veneers Denver.
From www.pearldentistrydenver.com
Veneers Denver Beautiful White Smile Pearl Dentistry Veneers Denver Our dental experts will help you enhance your. learn how porcelain veneers can transform your smile with a natural and radiant look. Each porcelain tooth veneer is bonded onto the front. Schedule a consultation with our experienced cosmetic. learn how porcelain veneers can fix cosmetic dental issues and improve your smile in two to three visits. porcelain. Veneers Denver.
From www.wytesmiles.com
The Beauty of Veneers Wyte Smiles Veneers Denver Schedule a consultation with our experienced cosmetic. Our dental experts will help you enhance your. learn how porcelain veneers can fix cosmetic dental issues and improve your smile in two to three visits. learn how porcelain veneers can transform your smile with a natural and radiant look. porcelain dental veneers can cover unattractive gaps, mask stains, and. Veneers Denver.
From www.litvakwollerdds.com
Veneers Cherry Creek CO Cosmetic Dentist Office Veneers Denver Our dental experts will help you enhance your. Each porcelain tooth veneer is bonded onto the front. porcelain dental veneers can cover unattractive gaps, mask stains, and conceal misshapen or crooked teeth. See before and after photos, steps involved, and the artistry of our master. learn how porcelain veneers can transform your smile with a natural and radiant. Veneers Denver.
From www.dentalartsofcherryhills.com
Dental Veneers in Denver, CO Veneers Denver Schedule a consultation with our experienced cosmetic. See before and after photos, steps involved, and the artistry of our master. learn how porcelain veneers can fix cosmetic dental issues and improve your smile in two to three visits. Our dental experts will help you enhance your. learn how porcelain veneers can transform your smile with a natural and. Veneers Denver.
From www.ogdentaldenver.com
Veneers & Lumineers in Denver OG Dental 80211 Veneers Denver See before and after photos, steps involved, and the artistry of our master. Our dental experts will help you enhance your. learn how porcelain veneers can transform your smile with a natural and radiant look. Schedule a consultation with our experienced cosmetic. learn how porcelain veneers can fix cosmetic dental issues and improve your smile in two to. Veneers Denver.
From signaturedentistryofdenver.com
Porcelain Veneers Denver CO Signature Dentistry of Denver Veneers Denver learn how porcelain veneers can fix cosmetic dental issues and improve your smile in two to three visits. porcelain dental veneers can cover unattractive gaps, mask stains, and conceal misshapen or crooked teeth. Each porcelain tooth veneer is bonded onto the front. See before and after photos, steps involved, and the artistry of our master. Our dental experts. Veneers Denver.
From www.pearldentistrydenver.com
Cosmetic Dentist Denver Teeth Whitening Porcelain Veneers Veneers Denver Our dental experts will help you enhance your. learn how porcelain veneers can transform your smile with a natural and radiant look. porcelain dental veneers can cover unattractive gaps, mask stains, and conceal misshapen or crooked teeth. See before and after photos, steps involved, and the artistry of our master. learn how porcelain veneers can fix cosmetic. Veneers Denver.
From www.weisbarddental.com
Veneers, Porcelain Veneers Denver Weisbard Dental Veneers Denver porcelain dental veneers can cover unattractive gaps, mask stains, and conceal misshapen or crooked teeth. Each porcelain tooth veneer is bonded onto the front. Our dental experts will help you enhance your. learn how porcelain veneers can fix cosmetic dental issues and improve your smile in two to three visits. Schedule a consultation with our experienced cosmetic. See. Veneers Denver.