How Long Does A Distal Radius Take To Heal . Distal radius fractures can be reset either with surgery (open reduction) or without it (closed reduction). If you have an office job, returning to work after this for light duties. Most people are able to regain full wrist function. Usually a cast will remain on for up to six weeks. It often serves as a final treatment until the bone heals. It usually takes around six to eight weeks for a fracture to heal. If the distal radius fracture is in a good position, a splint or cast is applied. A year or two may be required for complete healing. This article discusses the recovery process for both approaches, plus the pain. What is a distal radius. Treatment will vary depending on. What treatment will i have had in hospital? How long might it take for my distal radius fracture to heal? Most distal radius fractures take 3 months or so to heal before you are able to return to all activities, and full recovery from these injuries can take up to 1 year. This injury can be treated in a removable cast or wrist splint for 5 weeks, this will provide the support needed for the fracture to heal and will help relieve any pain you may feel.
from www.semanticscholar.org
It usually takes about six weeks for this type of fracture to heal. Most people are able to regain full wrist function. Most distal radius fractures take 3 months or so to heal before you are able to return to all activities, and full recovery from these injuries can take up to 1 year. Distal radius fractures can be reset either with surgery (open reduction) or without it (closed reduction). What treatment will i have had in hospital? If the distal radius fracture is in a good position, a splint or cast is applied. What is a distal radius. This injury can be treated in a removable cast or wrist splint for 5 weeks, this will provide the support needed for the fracture to heal and will help relieve any pain you may feel. Usually a cast will remain on for up to six weeks. It often serves as a final treatment until the bone heals.
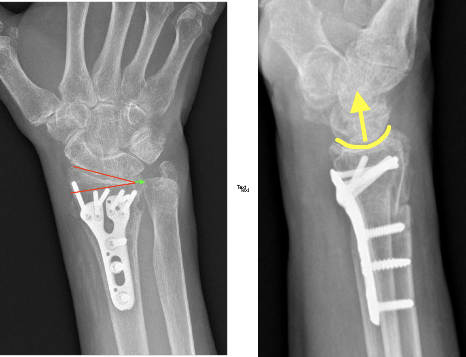
Figure 2 from Treatment of distal radius fractures with percutaneous
How Long Does A Distal Radius Take To Heal Distal radius fractures can be reset either with surgery (open reduction) or without it (closed reduction). This injury can be treated in a removable cast or wrist splint for 5 weeks, this will provide the support needed for the fracture to heal and will help relieve any pain you may feel. If the distal radius fracture is in a good position, a splint or cast is applied. Most people are able to regain full wrist function. It usually takes around six to eight weeks for a fracture to heal. What treatment will i have had in hospital? It often serves as a final treatment until the bone heals. If you have an office job, returning to work after this for light duties. Most distal radius fractures take 3 months or so to heal before you are able to return to all activities, and full recovery from these injuries can take up to 1 year. This article discusses the recovery process for both approaches, plus the pain. Distal radius fractures can be reset either with surgery (open reduction) or without it (closed reduction). It usually takes about six weeks for this type of fracture to heal. How long might it take for my distal radius fracture to heal? What is a distal radius. Usually a cast will remain on for up to six weeks. Treatment will vary depending on.
From radiopaedia.org
Image How Long Does A Distal Radius Take To Heal Most people are able to regain full wrist function. Distal radius fractures can be reset either with surgery (open reduction) or without it (closed reduction). What treatment will i have had in hospital? If you have an office job, returning to work after this for light duties. If the distal radius fracture is in a good position, a splint or. How Long Does A Distal Radius Take To Heal.
From www.pinterest.co.uk
How a Broken Bone Heals Broken ankle recovery, Broken bone, Bone healing How Long Does A Distal Radius Take To Heal If the distal radius fracture is in a good position, a splint or cast is applied. How long might it take for my distal radius fracture to heal? Treatment will vary depending on. Usually a cast will remain on for up to six weeks. This article discusses the recovery process for both approaches, plus the pain. This injury can be. How Long Does A Distal Radius Take To Heal.
From www.nickgolinvauxmd.com
I Have A Broken Wrist A Primer on Distal Radius Fracture Surgery — Dr How Long Does A Distal Radius Take To Heal Distal radius fractures can be reset either with surgery (open reduction) or without it (closed reduction). It often serves as a final treatment until the bone heals. If you have an office job, returning to work after this for light duties. If the distal radius fracture is in a good position, a splint or cast is applied. How long might. How Long Does A Distal Radius Take To Heal.
From www.vrogue.co
Avoiding Distal Radius Fracture Complications Broken vrogue.co How Long Does A Distal Radius Take To Heal What treatment will i have had in hospital? Most people are able to regain full wrist function. A year or two may be required for complete healing. Most distal radius fractures take 3 months or so to heal before you are able to return to all activities, and full recovery from these injuries can take up to 1 year. Usually. How Long Does A Distal Radius Take To Heal.
From sportsmedtexas.com
Distal Radius Fracture SPORT Orthopedics Dallas & Frisco, TX How Long Does A Distal Radius Take To Heal Most people are able to regain full wrist function. Treatment will vary depending on. Usually a cast will remain on for up to six weeks. How long might it take for my distal radius fracture to heal? Distal radius fractures can be reset either with surgery (open reduction) or without it (closed reduction). If the distal radius fracture is in. How Long Does A Distal Radius Take To Heal.
From hubpages.com
How Long Does It Take to Recover and Heal From a Broken Wrist? HealDove How Long Does A Distal Radius Take To Heal A year or two may be required for complete healing. This article discusses the recovery process for both approaches, plus the pain. Usually a cast will remain on for up to six weeks. Treatment will vary depending on. What is a distal radius. How long might it take for my distal radius fracture to heal? Most distal radius fractures take. How Long Does A Distal Radius Take To Heal.
From handsots.com
How Long Does it Take to Rehab a Distal Radius Fracture? How Long Does A Distal Radius Take To Heal Usually a cast will remain on for up to six weeks. This article discusses the recovery process for both approaches, plus the pain. Most people are able to regain full wrist function. A year or two may be required for complete healing. If you have an office job, returning to work after this for light duties. It usually takes around. How Long Does A Distal Radius Take To Heal.
From stock.adobe.com
Distal radius fracture and broken arm bone types anatomy outline How Long Does A Distal Radius Take To Heal Distal radius fractures can be reset either with surgery (open reduction) or without it (closed reduction). This article discusses the recovery process for both approaches, plus the pain. If you have an office job, returning to work after this for light duties. Most distal radius fractures take 3 months or so to heal before you are able to return to. How Long Does A Distal Radius Take To Heal.
From www.healthline.com
Distal Radius Fracture Diagnosis, Treatment, and Home Care How Long Does A Distal Radius Take To Heal Distal radius fractures can be reset either with surgery (open reduction) or without it (closed reduction). Most distal radius fractures take 3 months or so to heal before you are able to return to all activities, and full recovery from these injuries can take up to 1 year. Usually a cast will remain on for up to six weeks. It. How Long Does A Distal Radius Take To Heal.
From www.orthoinfo.org
Adult Forearm Fractures OrthoInfo AAOS How Long Does A Distal Radius Take To Heal It usually takes about six weeks for this type of fracture to heal. What treatment will i have had in hospital? This article discusses the recovery process for both approaches, plus the pain. What is a distal radius. Most people are able to regain full wrist function. Treatment will vary depending on. How long might it take for my distal. How Long Does A Distal Radius Take To Heal.
From www.researchgate.net
Xrays of healing fractures in the distal radius and ulna on initial How Long Does A Distal Radius Take To Heal Distal radius fractures can be reset either with surgery (open reduction) or without it (closed reduction). If you have an office job, returning to work after this for light duties. A year or two may be required for complete healing. What treatment will i have had in hospital? Most people are able to regain full wrist function. Most distal radius. How Long Does A Distal Radius Take To Heal.
From uoflhealth.org
How Do You Treat Distal Radius Fractures? Louisville KY UofL Health How Long Does A Distal Radius Take To Heal It often serves as a final treatment until the bone heals. It usually takes around six to eight weeks for a fracture to heal. Most distal radius fractures take 3 months or so to heal before you are able to return to all activities, and full recovery from these injuries can take up to 1 year. If the distal radius. How Long Does A Distal Radius Take To Heal.
From www.jacksonorthopaedicsurgery.com
Distal Radius Fractures San Antonio, TX Jackson Orthopaedics How Long Does A Distal Radius Take To Heal A year or two may be required for complete healing. If you have an office job, returning to work after this for light duties. It often serves as a final treatment until the bone heals. This injury can be treated in a removable cast or wrist splint for 5 weeks, this will provide the support needed for the fracture to. How Long Does A Distal Radius Take To Heal.
From www.johnericksonmd.com
Broken Wrist Treatment in Raleigh, NC John Erickson, MD How Long Does A Distal Radius Take To Heal It often serves as a final treatment until the bone heals. This injury can be treated in a removable cast or wrist splint for 5 weeks, this will provide the support needed for the fracture to heal and will help relieve any pain you may feel. Most distal radius fractures take 3 months or so to heal before you are. How Long Does A Distal Radius Take To Heal.
From aberdeenvirtualhandclinic.co.uk
Malunion of the Distal Radius Aberdeen Virtual Hand Clinic How Long Does A Distal Radius Take To Heal Most distal radius fractures take 3 months or so to heal before you are able to return to all activities, and full recovery from these injuries can take up to 1 year. Most people are able to regain full wrist function. If you have an office job, returning to work after this for light duties. How long might it take. How Long Does A Distal Radius Take To Heal.
From www.medicalnewstoday.com
Wrist fracture Risk factors, treatment, and recovery How Long Does A Distal Radius Take To Heal This article discusses the recovery process for both approaches, plus the pain. Most people are able to regain full wrist function. Distal radius fractures can be reset either with surgery (open reduction) or without it (closed reduction). Treatment will vary depending on. If you have an office job, returning to work after this for light duties. It usually takes around. How Long Does A Distal Radius Take To Heal.
From www.ct-ortho.com
Distal Radius Fracture Connecticut Orthopaedics How Long Does A Distal Radius Take To Heal Most people are able to regain full wrist function. This injury can be treated in a removable cast or wrist splint for 5 weeks, this will provide the support needed for the fracture to heal and will help relieve any pain you may feel. How long might it take for my distal radius fracture to heal? It often serves as. How Long Does A Distal Radius Take To Heal.
From www.doctorpedia.com
Distal Radius Fracture Healing Timeline Doctorpedia How Long Does A Distal Radius Take To Heal This injury can be treated in a removable cast or wrist splint for 5 weeks, this will provide the support needed for the fracture to heal and will help relieve any pain you may feel. It usually takes around six to eight weeks for a fracture to heal. What is a distal radius. Distal radius fractures can be reset either. How Long Does A Distal Radius Take To Heal.
From www.orthoinfo.org
Distal Radius Fractures (Broken Wrist) OrthoInfo AAOS How Long Does A Distal Radius Take To Heal What is a distal radius. If you have an office job, returning to work after this for light duties. How long might it take for my distal radius fracture to heal? Treatment will vary depending on. This article discusses the recovery process for both approaches, plus the pain. This injury can be treated in a removable cast or wrist splint. How Long Does A Distal Radius Take To Heal.
From dokumen.tips
(PDF) InfoSheet Distal Radius Fracture3 KWOC heal, you will slowly How Long Does A Distal Radius Take To Heal A year or two may be required for complete healing. If the distal radius fracture is in a good position, a splint or cast is applied. Usually a cast will remain on for up to six weeks. If you have an office job, returning to work after this for light duties. It usually takes around six to eight weeks for. How Long Does A Distal Radius Take To Heal.
From boundbobskryptis.blogspot.com
What Is Distal In Anatomy Anatomical Charts & Posters How Long Does A Distal Radius Take To Heal Treatment will vary depending on. What is a distal radius. Usually a cast will remain on for up to six weeks. This injury can be treated in a removable cast or wrist splint for 5 weeks, this will provide the support needed for the fracture to heal and will help relieve any pain you may feel. A year or two. How Long Does A Distal Radius Take To Heal.
From www.schreibermd.com
Distal Radius Fracture Raleigh Hand Surgery — Joseph J. Schreiber, MD How Long Does A Distal Radius Take To Heal A year or two may be required for complete healing. Treatment will vary depending on. It usually takes around six to eight weeks for a fracture to heal. Usually a cast will remain on for up to six weeks. It often serves as a final treatment until the bone heals. If you have an office job, returning to work after. How Long Does A Distal Radius Take To Heal.
From www.central-health.com
Navigating the Complex World of Distal Radius Fracture Types What You How Long Does A Distal Radius Take To Heal It usually takes about six weeks for this type of fracture to heal. It usually takes around six to eight weeks for a fracture to heal. If the distal radius fracture is in a good position, a splint or cast is applied. How long might it take for my distal radius fracture to heal? What treatment will i have had. How Long Does A Distal Radius Take To Heal.
From www.researchgate.net
Left distal radius after healing and before LCP extraction. Download How Long Does A Distal Radius Take To Heal Most distal radius fractures take 3 months or so to heal before you are able to return to all activities, and full recovery from these injuries can take up to 1 year. This article discusses the recovery process for both approaches, plus the pain. Treatment will vary depending on. Distal radius fractures can be reset either with surgery (open reduction). How Long Does A Distal Radius Take To Heal.
From www.coastalorthoteam.com
Distal Radius Fracture Signs, Symptoms, Causes, and Treatment Options How Long Does A Distal Radius Take To Heal Most people are able to regain full wrist function. What is a distal radius. Distal radius fractures can be reset either with surgery (open reduction) or without it (closed reduction). If you have an office job, returning to work after this for light duties. How long might it take for my distal radius fracture to heal? It often serves as. How Long Does A Distal Radius Take To Heal.
From www.schreibermd.com
Distal Radius Fracture Raleigh Hand Surgery — Joseph J. Schreiber, MD How Long Does A Distal Radius Take To Heal A year or two may be required for complete healing. It usually takes about six weeks for this type of fracture to heal. Treatment will vary depending on. Usually a cast will remain on for up to six weeks. Most distal radius fractures take 3 months or so to heal before you are able to return to all activities, and. How Long Does A Distal Radius Take To Heal.
From boneschool.com
Distal Radius Fracture The Bone School How Long Does A Distal Radius Take To Heal If the distal radius fracture is in a good position, a splint or cast is applied. Usually a cast will remain on for up to six weeks. Treatment will vary depending on. What is a distal radius. How long might it take for my distal radius fracture to heal? If you have an office job, returning to work after this. How Long Does A Distal Radius Take To Heal.
From www.jacksonorthopaedicsurgery.com
Wrist Fractures San Antonio, TX Jackson Orthopaedics How Long Does A Distal Radius Take To Heal Distal radius fractures can be reset either with surgery (open reduction) or without it (closed reduction). Usually a cast will remain on for up to six weeks. If you have an office job, returning to work after this for light duties. Treatment will vary depending on. This article discusses the recovery process for both approaches, plus the pain. What is. How Long Does A Distal Radius Take To Heal.
From orthopaedicprinciples.com
Principles of Fracture healing — How Long Does A Distal Radius Take To Heal What treatment will i have had in hospital? Usually a cast will remain on for up to six weeks. If the distal radius fracture is in a good position, a splint or cast is applied. It often serves as a final treatment until the bone heals. It usually takes around six to eight weeks for a fracture to heal. Most. How Long Does A Distal Radius Take To Heal.
From www.hss.edu
Avoiding Distal Radius Fracture Complications (Broken Wrist) How Long Does A Distal Radius Take To Heal A year or two may be required for complete healing. Most people are able to regain full wrist function. Treatment will vary depending on. Distal radius fractures can be reset either with surgery (open reduction) or without it (closed reduction). If the distal radius fracture is in a good position, a splint or cast is applied. It often serves as. How Long Does A Distal Radius Take To Heal.
From orthoinfo.aaos.org
Distal Radius Fractures (Broken Wrist) OrthoInfo AAOS How Long Does A Distal Radius Take To Heal Treatment will vary depending on. It usually takes about six weeks for this type of fracture to heal. What is a distal radius. If the distal radius fracture is in a good position, a splint or cast is applied. This article discusses the recovery process for both approaches, plus the pain. How long might it take for my distal radius. How Long Does A Distal Radius Take To Heal.
From healthjade.net
Buckle fracture causes, symptoms, diagnosis & treatment How Long Does A Distal Radius Take To Heal What treatment will i have had in hospital? It usually takes around six to eight weeks for a fracture to heal. This injury can be treated in a removable cast or wrist splint for 5 weeks, this will provide the support needed for the fracture to heal and will help relieve any pain you may feel. Usually a cast will. How Long Does A Distal Radius Take To Heal.
From www.semanticscholar.org
Figure 2 from Treatment of distal radius fractures with percutaneous How Long Does A Distal Radius Take To Heal It usually takes about six weeks for this type of fracture to heal. How long might it take for my distal radius fracture to heal? What is a distal radius. It usually takes around six to eight weeks for a fracture to heal. This injury can be treated in a removable cast or wrist splint for 5 weeks, this will. How Long Does A Distal Radius Take To Heal.
From www.miamihandcenter.com
Distal Radial Fractures Treatment Miami Hand Center How Long Does A Distal Radius Take To Heal It often serves as a final treatment until the bone heals. Usually a cast will remain on for up to six weeks. What is a distal radius. What treatment will i have had in hospital? This injury can be treated in a removable cast or wrist splint for 5 weeks, this will provide the support needed for the fracture to. How Long Does A Distal Radius Take To Heal.
From www.johnericksonmd.com
broken wrist surgery in Raleigh How Long Does A Distal Radius Take To Heal A year or two may be required for complete healing. This injury can be treated in a removable cast or wrist splint for 5 weeks, this will provide the support needed for the fracture to heal and will help relieve any pain you may feel. It usually takes about six weeks for this type of fracture to heal. Most distal. How Long Does A Distal Radius Take To Heal.