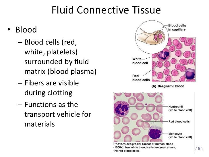
Form Blood Cells Connective Tissue . The cellular elements—referred to as the formed elements—include red blood cells (rbcs), white blood cells (wbcs), and cell fragments called platelets. Lymph is a specialized connective tissue. The blood cells, also called the formed elements, carried by plasma are the erythrocytes (red blood cells), leukocytes. The macrophage cell is a large cell derived from a monocyte, a type of blood cell, which enters the connective tissue matrix from the blood vessels. Soft and specialized connective tissue. Blood is considered a specialized connective tissue as it connects all systems of the body and transports oxygen, nutrients, and wastes. Cells of connective tissue like lymphocytes, macrophages, and white blood cells are immune cells that protect the body against. The macrophage cells are an. Connective tissue is classified into two subtypes: Major functions of connective tissue include: Connective tissue is an umbrella that encompasses a variety of tissue types, including loose and dense connective tissue, adipose, cartilage, bone, and blood.
from medcell.org
The cellular elements—referred to as the formed elements—include red blood cells (rbcs), white blood cells (wbcs), and cell fragments called platelets. Blood is considered a specialized connective tissue as it connects all systems of the body and transports oxygen, nutrients, and wastes. Connective tissue is an umbrella that encompasses a variety of tissue types, including loose and dense connective tissue, adipose, cartilage, bone, and blood. The blood cells, also called the formed elements, carried by plasma are the erythrocytes (red blood cells), leukocytes. Soft and specialized connective tissue. Cells of connective tissue like lymphocytes, macrophages, and white blood cells are immune cells that protect the body against. Lymph is a specialized connective tissue. The macrophage cell is a large cell derived from a monocyte, a type of blood cell, which enters the connective tissue matrix from the blood vessels. Connective tissue is classified into two subtypes: Major functions of connective tissue include:
Structure And Function Of Connective Tissue And Bone Lab
Form Blood Cells Connective Tissue Connective tissue is classified into two subtypes: Soft and specialized connective tissue. Blood is considered a specialized connective tissue as it connects all systems of the body and transports oxygen, nutrients, and wastes. Connective tissue is classified into two subtypes: The cellular elements—referred to as the formed elements—include red blood cells (rbcs), white blood cells (wbcs), and cell fragments called platelets. The macrophage cells are an. The macrophage cell is a large cell derived from a monocyte, a type of blood cell, which enters the connective tissue matrix from the blood vessels. Connective tissue is an umbrella that encompasses a variety of tissue types, including loose and dense connective tissue, adipose, cartilage, bone, and blood. The blood cells, also called the formed elements, carried by plasma are the erythrocytes (red blood cells), leukocytes. Cells of connective tissue like lymphocytes, macrophages, and white blood cells are immune cells that protect the body against. Lymph is a specialized connective tissue. Major functions of connective tissue include:
From www.britannica.com
White blood cell Definition & Function Britannica Form Blood Cells Connective Tissue The cellular elements—referred to as the formed elements—include red blood cells (rbcs), white blood cells (wbcs), and cell fragments called platelets. Blood is considered a specialized connective tissue as it connects all systems of the body and transports oxygen, nutrients, and wastes. Lymph is a specialized connective tissue. Connective tissue is classified into two subtypes: Cells of connective tissue like. Form Blood Cells Connective Tissue.
From philschatz.com
Connective Tissue Supports and Protects · Anatomy and Physiology Form Blood Cells Connective Tissue Soft and specialized connective tissue. Connective tissue is classified into two subtypes: Major functions of connective tissue include: The blood cells, also called the formed elements, carried by plasma are the erythrocytes (red blood cells), leukocytes. Cells of connective tissue like lymphocytes, macrophages, and white blood cells are immune cells that protect the body against. Connective tissue is an umbrella. Form Blood Cells Connective Tissue.
From courses.lumenlearning.com
Connective Tissues Biology for Majors II Form Blood Cells Connective Tissue Connective tissue is classified into two subtypes: Blood is considered a specialized connective tissue as it connects all systems of the body and transports oxygen, nutrients, and wastes. The cellular elements—referred to as the formed elements—include red blood cells (rbcs), white blood cells (wbcs), and cell fragments called platelets. Cells of connective tissue like lymphocytes, macrophages, and white blood cells. Form Blood Cells Connective Tissue.
From medcell.org
Structure And Function Of Connective Tissue And Bone Lab Form Blood Cells Connective Tissue Soft and specialized connective tissue. The cellular elements—referred to as the formed elements—include red blood cells (rbcs), white blood cells (wbcs), and cell fragments called platelets. Connective tissue is an umbrella that encompasses a variety of tissue types, including loose and dense connective tissue, adipose, cartilage, bone, and blood. The macrophage cell is a large cell derived from a monocyte,. Form Blood Cells Connective Tissue.
From www.slideshare.net
Blood/White Blood Cells/Fluid Connective tissue Form Blood Cells Connective Tissue The macrophage cells are an. Connective tissue is classified into two subtypes: Blood is considered a specialized connective tissue as it connects all systems of the body and transports oxygen, nutrients, and wastes. Lymph is a specialized connective tissue. The cellular elements—referred to as the formed elements—include red blood cells (rbcs), white blood cells (wbcs), and cell fragments called platelets.. Form Blood Cells Connective Tissue.
From slideplayer.com
Specialized Cells & Tissues ppt download Form Blood Cells Connective Tissue Blood is considered a specialized connective tissue as it connects all systems of the body and transports oxygen, nutrients, and wastes. Lymph is a specialized connective tissue. Connective tissue is an umbrella that encompasses a variety of tissue types, including loose and dense connective tissue, adipose, cartilage, bone, and blood. Major functions of connective tissue include: Soft and specialized connective. Form Blood Cells Connective Tissue.
From www.dreamstime.com
Connective Tissue. Structure and Anatomy Stock Vector Illustration of Form Blood Cells Connective Tissue The blood cells, also called the formed elements, carried by plasma are the erythrocytes (red blood cells), leukocytes. The cellular elements—referred to as the formed elements—include red blood cells (rbcs), white blood cells (wbcs), and cell fragments called platelets. Soft and specialized connective tissue. Blood is considered a specialized connective tissue as it connects all systems of the body and. Form Blood Cells Connective Tissue.
From byjus.com
Write the structure and function of the following connective tissuesa Form Blood Cells Connective Tissue Blood is considered a specialized connective tissue as it connects all systems of the body and transports oxygen, nutrients, and wastes. Connective tissue is classified into two subtypes: Lymph is a specialized connective tissue. The cellular elements—referred to as the formed elements—include red blood cells (rbcs), white blood cells (wbcs), and cell fragments called platelets. Cells of connective tissue like. Form Blood Cells Connective Tissue.
From blogs.berkshirecc.edu
Mammalian Histology Connective Tissues Berkshire Community College Form Blood Cells Connective Tissue The macrophage cells are an. Blood is considered a specialized connective tissue as it connects all systems of the body and transports oxygen, nutrients, and wastes. The macrophage cell is a large cell derived from a monocyte, a type of blood cell, which enters the connective tissue matrix from the blood vessels. The cellular elements—referred to as the formed elements—include. Form Blood Cells Connective Tissue.
From www.thoughtco.com
Connective Tissue Types and Examples Form Blood Cells Connective Tissue Soft and specialized connective tissue. Cells of connective tissue like lymphocytes, macrophages, and white blood cells are immune cells that protect the body against. The macrophage cell is a large cell derived from a monocyte, a type of blood cell, which enters the connective tissue matrix from the blood vessels. The cellular elements—referred to as the formed elements—include red blood. Form Blood Cells Connective Tissue.
From www.pinterest.com
Connective tissue. It's all over the place, really... Body tissues Form Blood Cells Connective Tissue The cellular elements—referred to as the formed elements—include red blood cells (rbcs), white blood cells (wbcs), and cell fragments called platelets. Connective tissue is an umbrella that encompasses a variety of tissue types, including loose and dense connective tissue, adipose, cartilage, bone, and blood. The macrophage cell is a large cell derived from a monocyte, a type of blood cell,. Form Blood Cells Connective Tissue.
From www.scientistcindy.com
Connective Tissue SCIENTIST CINDY Form Blood Cells Connective Tissue Connective tissue is an umbrella that encompasses a variety of tissue types, including loose and dense connective tissue, adipose, cartilage, bone, and blood. The blood cells, also called the formed elements, carried by plasma are the erythrocytes (red blood cells), leukocytes. Major functions of connective tissue include: The cellular elements—referred to as the formed elements—include red blood cells (rbcs), white. Form Blood Cells Connective Tissue.
From slideplayer.com
Tissues Mr. Hill Anatomy. ppt download Form Blood Cells Connective Tissue Blood is considered a specialized connective tissue as it connects all systems of the body and transports oxygen, nutrients, and wastes. The macrophage cell is a large cell derived from a monocyte, a type of blood cell, which enters the connective tissue matrix from the blood vessels. Cells of connective tissue like lymphocytes, macrophages, and white blood cells are immune. Form Blood Cells Connective Tissue.
From quizlet.com
Blood (connective tissue) Diagram Quizlet Form Blood Cells Connective Tissue Cells of connective tissue like lymphocytes, macrophages, and white blood cells are immune cells that protect the body against. Blood is considered a specialized connective tissue as it connects all systems of the body and transports oxygen, nutrients, and wastes. Lymph is a specialized connective tissue. The macrophage cells are an. Connective tissue is an umbrella that encompasses a variety. Form Blood Cells Connective Tissue.
From www.slideserve.com
PPT Connective Tissue PowerPoint Presentation, free download ID1777219 Form Blood Cells Connective Tissue The macrophage cells are an. Connective tissue is classified into two subtypes: Connective tissue is an umbrella that encompasses a variety of tissue types, including loose and dense connective tissue, adipose, cartilage, bone, and blood. The blood cells, also called the formed elements, carried by plasma are the erythrocytes (red blood cells), leukocytes. The cellular elements—referred to as the formed. Form Blood Cells Connective Tissue.
From onffans.blogspot.com
Connective Tissue / Connective tissue cells are usually divided into Form Blood Cells Connective Tissue Lymph is a specialized connective tissue. The macrophage cell is a large cell derived from a monocyte, a type of blood cell, which enters the connective tissue matrix from the blood vessels. Major functions of connective tissue include: Cells of connective tissue like lymphocytes, macrophages, and white blood cells are immune cells that protect the body against. Soft and specialized. Form Blood Cells Connective Tissue.
From www.thoughtco.com
Connective Tissue Types and Examples Form Blood Cells Connective Tissue The macrophage cells are an. Cells of connective tissue like lymphocytes, macrophages, and white blood cells are immune cells that protect the body against. The blood cells, also called the formed elements, carried by plasma are the erythrocytes (red blood cells), leukocytes. Connective tissue is classified into two subtypes: The macrophage cell is a large cell derived from a monocyte,. Form Blood Cells Connective Tissue.
From blogs.berkshirecc.edu
Mammalian Histology Connective Tissues Berkshire Community College Form Blood Cells Connective Tissue The cellular elements—referred to as the formed elements—include red blood cells (rbcs), white blood cells (wbcs), and cell fragments called platelets. Connective tissue is an umbrella that encompasses a variety of tissue types, including loose and dense connective tissue, adipose, cartilage, bone, and blood. The macrophage cells are an. Blood is considered a specialized connective tissue as it connects all. Form Blood Cells Connective Tissue.
From www.istockphoto.com
Blood Cells Under Microscope View For Education Human Tissue Connective Form Blood Cells Connective Tissue Blood is considered a specialized connective tissue as it connects all systems of the body and transports oxygen, nutrients, and wastes. Soft and specialized connective tissue. Lymph is a specialized connective tissue. The blood cells, also called the formed elements, carried by plasma are the erythrocytes (red blood cells), leukocytes. Major functions of connective tissue include: Connective tissue is an. Form Blood Cells Connective Tissue.
From onffans.blogspot.com
Connective Tissue / Connective tissue cells are usually divided into Form Blood Cells Connective Tissue The macrophage cell is a large cell derived from a monocyte, a type of blood cell, which enters the connective tissue matrix from the blood vessels. Connective tissue is classified into two subtypes: Lymph is a specialized connective tissue. Connective tissue is an umbrella that encompasses a variety of tissue types, including loose and dense connective tissue, adipose, cartilage, bone,. Form Blood Cells Connective Tissue.
From www.onlinebiologynotes.com
Fluid or liquid connective tissue blood and lymph Online Biology Notes Form Blood Cells Connective Tissue The cellular elements—referred to as the formed elements—include red blood cells (rbcs), white blood cells (wbcs), and cell fragments called platelets. Blood is considered a specialized connective tissue as it connects all systems of the body and transports oxygen, nutrients, and wastes. Connective tissue is an umbrella that encompasses a variety of tissue types, including loose and dense connective tissue,. Form Blood Cells Connective Tissue.
From www.slideserve.com
PPT Connective Tissue PowerPoint Presentation, free download ID1974907 Form Blood Cells Connective Tissue The cellular elements—referred to as the formed elements—include red blood cells (rbcs), white blood cells (wbcs), and cell fragments called platelets. Cells of connective tissue like lymphocytes, macrophages, and white blood cells are immune cells that protect the body against. Blood is considered a specialized connective tissue as it connects all systems of the body and transports oxygen, nutrients, and. Form Blood Cells Connective Tissue.
From www.slideshare.net
AnatCh33 Form Blood Cells Connective Tissue The blood cells, also called the formed elements, carried by plasma are the erythrocytes (red blood cells), leukocytes. Connective tissue is an umbrella that encompasses a variety of tissue types, including loose and dense connective tissue, adipose, cartilage, bone, and blood. Blood is considered a specialized connective tissue as it connects all systems of the body and transports oxygen, nutrients,. Form Blood Cells Connective Tissue.
From www.fishersci.com
Connective Tissue Chart FullColor; 12 detailed micrographs; 44.45 x 59 Form Blood Cells Connective Tissue Connective tissue is classified into two subtypes: Connective tissue is an umbrella that encompasses a variety of tissue types, including loose and dense connective tissue, adipose, cartilage, bone, and blood. Soft and specialized connective tissue. The macrophage cell is a large cell derived from a monocyte, a type of blood cell, which enters the connective tissue matrix from the blood. Form Blood Cells Connective Tissue.
From www.scientistcindy.com
Connective Tissue SCIENTIST CINDY Form Blood Cells Connective Tissue The blood cells, also called the formed elements, carried by plasma are the erythrocytes (red blood cells), leukocytes. Major functions of connective tissue include: Cells of connective tissue like lymphocytes, macrophages, and white blood cells are immune cells that protect the body against. The cellular elements—referred to as the formed elements—include red blood cells (rbcs), white blood cells (wbcs), and. Form Blood Cells Connective Tissue.
From classnotes123.com
Tissues Class 9 Chapter 6 CBSE Class Notes Online Classnotes123 Form Blood Cells Connective Tissue Major functions of connective tissue include: Cells of connective tissue like lymphocytes, macrophages, and white blood cells are immune cells that protect the body against. Connective tissue is classified into two subtypes: The macrophage cell is a large cell derived from a monocyte, a type of blood cell, which enters the connective tissue matrix from the blood vessels. Lymph is. Form Blood Cells Connective Tissue.
From www.pinterest.nz
Connective tissue Tissue biology, Anatomy and physiology, Biology Form Blood Cells Connective Tissue Soft and specialized connective tissue. Cells of connective tissue like lymphocytes, macrophages, and white blood cells are immune cells that protect the body against. The macrophage cells are an. Lymph is a specialized connective tissue. Major functions of connective tissue include: Connective tissue is an umbrella that encompasses a variety of tissue types, including loose and dense connective tissue, adipose,. Form Blood Cells Connective Tissue.
From basicmedicalkey.com
Connective Tissue Basicmedical Key Form Blood Cells Connective Tissue Connective tissue is an umbrella that encompasses a variety of tissue types, including loose and dense connective tissue, adipose, cartilage, bone, and blood. Major functions of connective tissue include: The macrophage cell is a large cell derived from a monocyte, a type of blood cell, which enters the connective tissue matrix from the blood vessels. Blood is considered a specialized. Form Blood Cells Connective Tissue.
From www2.victoriacollege.edu
Connective Tissue Form Blood Cells Connective Tissue Lymph is a specialized connective tissue. The cellular elements—referred to as the formed elements—include red blood cells (rbcs), white blood cells (wbcs), and cell fragments called platelets. Soft and specialized connective tissue. The macrophage cell is a large cell derived from a monocyte, a type of blood cell, which enters the connective tissue matrix from the blood vessels. Connective tissue. Form Blood Cells Connective Tissue.
From www.slideserve.com
PPT Histology Connective Tissue PowerPoint Presentation, free Form Blood Cells Connective Tissue The macrophage cells are an. Major functions of connective tissue include: The cellular elements—referred to as the formed elements—include red blood cells (rbcs), white blood cells (wbcs), and cell fragments called platelets. The blood cells, also called the formed elements, carried by plasma are the erythrocytes (red blood cells), leukocytes. Blood is considered a specialized connective tissue as it connects. Form Blood Cells Connective Tissue.
From studylib.net
connective tissues Form Blood Cells Connective Tissue The blood cells, also called the formed elements, carried by plasma are the erythrocytes (red blood cells), leukocytes. The macrophage cells are an. Major functions of connective tissue include: Cells of connective tissue like lymphocytes, macrophages, and white blood cells are immune cells that protect the body against. The cellular elements—referred to as the formed elements—include red blood cells (rbcs),. Form Blood Cells Connective Tissue.
From www.scientistcindy.com
Connective Tissue SCIENTIST CINDY Form Blood Cells Connective Tissue The blood cells, also called the formed elements, carried by plasma are the erythrocytes (red blood cells), leukocytes. Connective tissue is classified into two subtypes: Cells of connective tissue like lymphocytes, macrophages, and white blood cells are immune cells that protect the body against. The macrophage cells are an. Major functions of connective tissue include: Lymph is a specialized connective. Form Blood Cells Connective Tissue.
From courses.lumenlearning.com
Types of Tissues Anatomy and Physiology I Form Blood Cells Connective Tissue The macrophage cells are an. The blood cells, also called the formed elements, carried by plasma are the erythrocytes (red blood cells), leukocytes. Connective tissue is classified into two subtypes: Connective tissue is an umbrella that encompasses a variety of tissue types, including loose and dense connective tissue, adipose, cartilage, bone, and blood. Lymph is a specialized connective tissue. Cells. Form Blood Cells Connective Tissue.
From www.slideserve.com
PPT Connective Tissues PowerPoint Presentation, free download ID Form Blood Cells Connective Tissue Lymph is a specialized connective tissue. Cells of connective tissue like lymphocytes, macrophages, and white blood cells are immune cells that protect the body against. Blood is considered a specialized connective tissue as it connects all systems of the body and transports oxygen, nutrients, and wastes. The macrophage cell is a large cell derived from a monocyte, a type of. Form Blood Cells Connective Tissue.
From healthsystem.netlify.app
Connective tissues and their functions Form Blood Cells Connective Tissue The macrophage cells are an. Connective tissue is an umbrella that encompasses a variety of tissue types, including loose and dense connective tissue, adipose, cartilage, bone, and blood. Major functions of connective tissue include: Soft and specialized connective tissue. Connective tissue is classified into two subtypes: The macrophage cell is a large cell derived from a monocyte, a type of. Form Blood Cells Connective Tissue.