Dip Joint Pinky Finger . Phalanx dislocations are common traumatic injury of the hand involving the proximal interphalangeal joint (pip) or distal interphalangeal joint (dip). Diagnosis is made radiographically with joint. Diagnosis can be made clinically. Arthritis of the dip and pip joints are very common forms of osteoarthritis seen in the hand and can be associated with pain and deformity. The dip joint in the finger is located at the tip of the finger, just before the finger nail starts. The lumps grow on the joint closest to the tip of your finger, called the distal interphalangeal, or dip joint. Common problems at this joint include mallet finger , jersey finger, arthritis, mucous cysts, and fractures. The middle joint, called the proximal interphalangeal (pip) joint; The joint where the finger connects to the hand, called the metacarpophalangeal (mcp) joint;
from www.braceability.com
The joint where the finger connects to the hand, called the metacarpophalangeal (mcp) joint; Arthritis of the dip and pip joints are very common forms of osteoarthritis seen in the hand and can be associated with pain and deformity. The middle joint, called the proximal interphalangeal (pip) joint; The dip joint in the finger is located at the tip of the finger, just before the finger nail starts. Common problems at this joint include mallet finger , jersey finger, arthritis, mucous cysts, and fractures. The lumps grow on the joint closest to the tip of your finger, called the distal interphalangeal, or dip joint. Diagnosis can be made clinically. Phalanx dislocations are common traumatic injury of the hand involving the proximal interphalangeal joint (pip) or distal interphalangeal joint (dip). Diagnosis is made radiographically with joint.
Your Finger Joint Pain is Probably Caused by Arthritis
Dip Joint Pinky Finger Arthritis of the dip and pip joints are very common forms of osteoarthritis seen in the hand and can be associated with pain and deformity. Common problems at this joint include mallet finger , jersey finger, arthritis, mucous cysts, and fractures. The middle joint, called the proximal interphalangeal (pip) joint; The lumps grow on the joint closest to the tip of your finger, called the distal interphalangeal, or dip joint. The joint where the finger connects to the hand, called the metacarpophalangeal (mcp) joint; Diagnosis can be made clinically. The dip joint in the finger is located at the tip of the finger, just before the finger nail starts. Diagnosis is made radiographically with joint. Arthritis of the dip and pip joints are very common forms of osteoarthritis seen in the hand and can be associated with pain and deformity. Phalanx dislocations are common traumatic injury of the hand involving the proximal interphalangeal joint (pip) or distal interphalangeal joint (dip).
From www.braceability.com
Your Finger Joint Pain is Probably Caused by Arthritis Dip Joint Pinky Finger Diagnosis is made radiographically with joint. The dip joint in the finger is located at the tip of the finger, just before the finger nail starts. The joint where the finger connects to the hand, called the metacarpophalangeal (mcp) joint; The lumps grow on the joint closest to the tip of your finger, called the distal interphalangeal, or dip joint.. Dip Joint Pinky Finger.
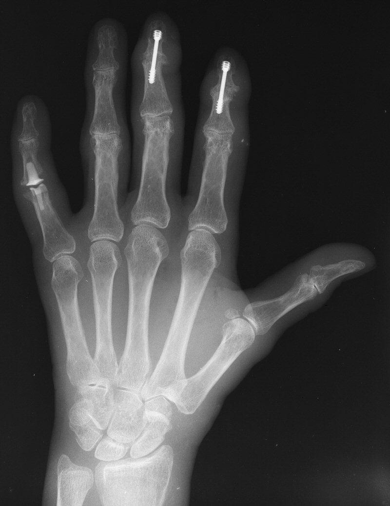
From e-hand.com
Arthritis Distal Interphalangeal Joint Arthroplasty with reversed Dip Joint Pinky Finger The lumps grow on the joint closest to the tip of your finger, called the distal interphalangeal, or dip joint. The middle joint, called the proximal interphalangeal (pip) joint; Diagnosis can be made clinically. The joint where the finger connects to the hand, called the metacarpophalangeal (mcp) joint; The dip joint in the finger is located at the tip of. Dip Joint Pinky Finger.
From exosfsgtd.blob.core.windows.net
Skin Cancer Clear Blister at Carrie Delay blog Dip Joint Pinky Finger Arthritis of the dip and pip joints are very common forms of osteoarthritis seen in the hand and can be associated with pain and deformity. Common problems at this joint include mallet finger , jersey finger, arthritis, mucous cysts, and fractures. The lumps grow on the joint closest to the tip of your finger, called the distal interphalangeal, or dip. Dip Joint Pinky Finger.
From www.clinicaladvisor.com
OrthoDx Injury to Pinky Finger Clinical Advisor Dip Joint Pinky Finger Diagnosis can be made clinically. The middle joint, called the proximal interphalangeal (pip) joint; Phalanx dislocations are common traumatic injury of the hand involving the proximal interphalangeal joint (pip) or distal interphalangeal joint (dip). The lumps grow on the joint closest to the tip of your finger, called the distal interphalangeal, or dip joint. Common problems at this joint include. Dip Joint Pinky Finger.
From www.osmosis.org
Bouchard Nodes What Are They, Causes, Signs, Symptoms, and More Osmosis Dip Joint Pinky Finger The lumps grow on the joint closest to the tip of your finger, called the distal interphalangeal, or dip joint. The middle joint, called the proximal interphalangeal (pip) joint; Phalanx dislocations are common traumatic injury of the hand involving the proximal interphalangeal joint (pip) or distal interphalangeal joint (dip). Arthritis of the dip and pip joints are very common forms. Dip Joint Pinky Finger.
From www.pinterest.com
Our three finger joints DIP (D for Distal, remember it as distant Dip Joint Pinky Finger The middle joint, called the proximal interphalangeal (pip) joint; Arthritis of the dip and pip joints are very common forms of osteoarthritis seen in the hand and can be associated with pain and deformity. Diagnosis is made radiographically with joint. The dip joint in the finger is located at the tip of the finger, just before the finger nail starts.. Dip Joint Pinky Finger.
From pl.pinterest.com
Sites of hand or wrist involvement and their potential disease Dip Joint Pinky Finger Common problems at this joint include mallet finger , jersey finger, arthritis, mucous cysts, and fractures. Phalanx dislocations are common traumatic injury of the hand involving the proximal interphalangeal joint (pip) or distal interphalangeal joint (dip). The joint where the finger connects to the hand, called the metacarpophalangeal (mcp) joint; Diagnosis can be made clinically. The middle joint, called the. Dip Joint Pinky Finger.
From www.researchgate.net
Bones and joints of the human hand, DIPDistal Interphalangeal joint Dip Joint Pinky Finger Diagnosis is made radiographically with joint. The joint where the finger connects to the hand, called the metacarpophalangeal (mcp) joint; Arthritis of the dip and pip joints are very common forms of osteoarthritis seen in the hand and can be associated with pain and deformity. Diagnosis can be made clinically. Phalanx dislocations are common traumatic injury of the hand involving. Dip Joint Pinky Finger.
From theclimbingdoctor.com
Capsulitis and Synovitis Climbing Swelling of the Fingers The Dip Joint Pinky Finger The lumps grow on the joint closest to the tip of your finger, called the distal interphalangeal, or dip joint. Common problems at this joint include mallet finger , jersey finger, arthritis, mucous cysts, and fractures. The dip joint in the finger is located at the tip of the finger, just before the finger nail starts. Diagnosis is made radiographically. Dip Joint Pinky Finger.
From knowt.com
wrist & hand (lectures 3 and 4) Flashcards Knowt Dip Joint Pinky Finger The dip joint in the finger is located at the tip of the finger, just before the finger nail starts. The middle joint, called the proximal interphalangeal (pip) joint; Diagnosis can be made clinically. Arthritis of the dip and pip joints are very common forms of osteoarthritis seen in the hand and can be associated with pain and deformity. The. Dip Joint Pinky Finger.
From exoydzgys.blob.core.windows.net
Fingers Hurt Knuckles at Elizabeth Caban blog Dip Joint Pinky Finger Diagnosis is made radiographically with joint. The middle joint, called the proximal interphalangeal (pip) joint; Diagnosis can be made clinically. The dip joint in the finger is located at the tip of the finger, just before the finger nail starts. Common problems at this joint include mallet finger , jersey finger, arthritis, mucous cysts, and fractures. The lumps grow on. Dip Joint Pinky Finger.
From www.researchgate.net
Kinematic model of a hand each finger has 3 joints with 4 DoF index Dip Joint Pinky Finger Diagnosis can be made clinically. The middle joint, called the proximal interphalangeal (pip) joint; The joint where the finger connects to the hand, called the metacarpophalangeal (mcp) joint; The lumps grow on the joint closest to the tip of your finger, called the distal interphalangeal, or dip joint. The dip joint in the finger is located at the tip of. Dip Joint Pinky Finger.
From www.medicalsupplies.co.uk
How To Measure Your Finger for the Oval8 MedicalSupplies.co.uk Dip Joint Pinky Finger The lumps grow on the joint closest to the tip of your finger, called the distal interphalangeal, or dip joint. The middle joint, called the proximal interphalangeal (pip) joint; The dip joint in the finger is located at the tip of the finger, just before the finger nail starts. Arthritis of the dip and pip joints are very common forms. Dip Joint Pinky Finger.
From wikem.org
Metacarpophalangeal dislocation (finger) WikEM Dip Joint Pinky Finger The middle joint, called the proximal interphalangeal (pip) joint; The joint where the finger connects to the hand, called the metacarpophalangeal (mcp) joint; Diagnosis can be made clinically. Diagnosis is made radiographically with joint. The lumps grow on the joint closest to the tip of your finger, called the distal interphalangeal, or dip joint. Common problems at this joint include. Dip Joint Pinky Finger.
From www.pinterest.com
Pin on Blog Posts Dip Joint Pinky Finger Arthritis of the dip and pip joints are very common forms of osteoarthritis seen in the hand and can be associated with pain and deformity. The lumps grow on the joint closest to the tip of your finger, called the distal interphalangeal, or dip joint. Common problems at this joint include mallet finger , jersey finger, arthritis, mucous cysts, and. Dip Joint Pinky Finger.
From www.orthoinfo.org
Finger Fractures OrthoInfo AAOS Dip Joint Pinky Finger Diagnosis is made radiographically with joint. Phalanx dislocations are common traumatic injury of the hand involving the proximal interphalangeal joint (pip) or distal interphalangeal joint (dip). Arthritis of the dip and pip joints are very common forms of osteoarthritis seen in the hand and can be associated with pain and deformity. The lumps grow on the joint closest to the. Dip Joint Pinky Finger.
From www.pinterest.co.uk
Pin on OTA Dip Joint Pinky Finger The middle joint, called the proximal interphalangeal (pip) joint; Diagnosis can be made clinically. Arthritis of the dip and pip joints are very common forms of osteoarthritis seen in the hand and can be associated with pain and deformity. Common problems at this joint include mallet finger , jersey finger, arthritis, mucous cysts, and fractures. The dip joint in the. Dip Joint Pinky Finger.
From exoenqlpt.blob.core.windows.net
Finger Joints Dip at Deborah Randolph blog Dip Joint Pinky Finger Diagnosis is made radiographically with joint. Phalanx dislocations are common traumatic injury of the hand involving the proximal interphalangeal joint (pip) or distal interphalangeal joint (dip). The middle joint, called the proximal interphalangeal (pip) joint; Arthritis of the dip and pip joints are very common forms of osteoarthritis seen in the hand and can be associated with pain and deformity.. Dip Joint Pinky Finger.
From www.reumatologiaclinica.org
Acute calcific periarthritis in proximal interphalangeal joint An Dip Joint Pinky Finger Diagnosis is made radiographically with joint. The joint where the finger connects to the hand, called the metacarpophalangeal (mcp) joint; Arthritis of the dip and pip joints are very common forms of osteoarthritis seen in the hand and can be associated with pain and deformity. The lumps grow on the joint closest to the tip of your finger, called the. Dip Joint Pinky Finger.
From www.physio-pedia.com
Interphalangeal Joints of the Hand Physiopedia Dip Joint Pinky Finger The joint where the finger connects to the hand, called the metacarpophalangeal (mcp) joint; Arthritis of the dip and pip joints are very common forms of osteoarthritis seen in the hand and can be associated with pain and deformity. Phalanx dislocations are common traumatic injury of the hand involving the proximal interphalangeal joint (pip) or distal interphalangeal joint (dip). The. Dip Joint Pinky Finger.
From theclimbingdoctor.com
Clinical Management of Finger Joint Capsulitis/Synovitis in a Rock Dip Joint Pinky Finger The joint where the finger connects to the hand, called the metacarpophalangeal (mcp) joint; Diagnosis is made radiographically with joint. Common problems at this joint include mallet finger , jersey finger, arthritis, mucous cysts, and fractures. Arthritis of the dip and pip joints are very common forms of osteoarthritis seen in the hand and can be associated with pain and. Dip Joint Pinky Finger.
From www.health.harvard.edu
Identifying arthritis in your fingers and thumbs Harvard Health Dip Joint Pinky Finger The lumps grow on the joint closest to the tip of your finger, called the distal interphalangeal, or dip joint. Diagnosis is made radiographically with joint. The middle joint, called the proximal interphalangeal (pip) joint; Diagnosis can be made clinically. Arthritis of the dip and pip joints are very common forms of osteoarthritis seen in the hand and can be. Dip Joint Pinky Finger.
From www.arthritis-health.com
Get a Grip on Rheumatoid Arthritis in the Hands and Wrists Dip Joint Pinky Finger Phalanx dislocations are common traumatic injury of the hand involving the proximal interphalangeal joint (pip) or distal interphalangeal joint (dip). Diagnosis is made radiographically with joint. The dip joint in the finger is located at the tip of the finger, just before the finger nail starts. The joint where the finger connects to the hand, called the metacarpophalangeal (mcp) joint;. Dip Joint Pinky Finger.
From www.flickr.com
fingertip arthritis DIP joint Swelling and deformity of … Flickr Dip Joint Pinky Finger Arthritis of the dip and pip joints are very common forms of osteoarthritis seen in the hand and can be associated with pain and deformity. Common problems at this joint include mallet finger , jersey finger, arthritis, mucous cysts, and fractures. The lumps grow on the joint closest to the tip of your finger, called the distal interphalangeal, or dip. Dip Joint Pinky Finger.
From creakyjoints.org
Hand Osteoarthritis Is Worse When It Affects Your Fingers and Base of Thumb Dip Joint Pinky Finger The lumps grow on the joint closest to the tip of your finger, called the distal interphalangeal, or dip joint. Common problems at this joint include mallet finger , jersey finger, arthritis, mucous cysts, and fractures. The joint where the finger connects to the hand, called the metacarpophalangeal (mcp) joint; The dip joint in the finger is located at the. Dip Joint Pinky Finger.
From healthjade.net
Osteoarthritis Causes, Symptoms, Diagnosis, Prognosis & Treatment Dip Joint Pinky Finger The dip joint in the finger is located at the tip of the finger, just before the finger nail starts. The middle joint, called the proximal interphalangeal (pip) joint; Diagnosis can be made clinically. Phalanx dislocations are common traumatic injury of the hand involving the proximal interphalangeal joint (pip) or distal interphalangeal joint (dip). Common problems at this joint include. Dip Joint Pinky Finger.
From pl.pinterest.com
Sites of hand or wrist involvement and their potential disease Dip Joint Pinky Finger Diagnosis is made radiographically with joint. Common problems at this joint include mallet finger , jersey finger, arthritis, mucous cysts, and fractures. The middle joint, called the proximal interphalangeal (pip) joint; The lumps grow on the joint closest to the tip of your finger, called the distal interphalangeal, or dip joint. Phalanx dislocations are common traumatic injury of the hand. Dip Joint Pinky Finger.
From exovxmoxk.blob.core.windows.net
Dip Joint Nodule at Buford Bell blog Dip Joint Pinky Finger Common problems at this joint include mallet finger , jersey finger, arthritis, mucous cysts, and fractures. The joint where the finger connects to the hand, called the metacarpophalangeal (mcp) joint; The dip joint in the finger is located at the tip of the finger, just before the finger nail starts. Diagnosis is made radiographically with joint. Phalanx dislocations are common. Dip Joint Pinky Finger.
From www.osmifw.com
Mucous Cyst of the Finger Dip Joint Pinky Finger Diagnosis is made radiographically with joint. The middle joint, called the proximal interphalangeal (pip) joint; The dip joint in the finger is located at the tip of the finger, just before the finger nail starts. Common problems at this joint include mallet finger , jersey finger, arthritis, mucous cysts, and fractures. Arthritis of the dip and pip joints are very. Dip Joint Pinky Finger.
From www.youtube.com
TREAT HAND STIFFNESS AND PAIN BY PIP AND DIP MOBILIZATION TECHNIQUE Dip Joint Pinky Finger Diagnosis can be made clinically. The dip joint in the finger is located at the tip of the finger, just before the finger nail starts. Common problems at this joint include mallet finger , jersey finger, arthritis, mucous cysts, and fractures. Diagnosis is made radiographically with joint. The joint where the finger connects to the hand, called the metacarpophalangeal (mcp). Dip Joint Pinky Finger.
From www.youtube.com
DIPJ Ring finger Fracture (Xray 34) YouTube Dip Joint Pinky Finger The middle joint, called the proximal interphalangeal (pip) joint; Phalanx dislocations are common traumatic injury of the hand involving the proximal interphalangeal joint (pip) or distal interphalangeal joint (dip). Diagnosis can be made clinically. Arthritis of the dip and pip joints are very common forms of osteoarthritis seen in the hand and can be associated with pain and deformity. Diagnosis. Dip Joint Pinky Finger.
From joibslxra.blob.core.windows.net
Dip Joint Finger Rom at Francis Finch blog Dip Joint Pinky Finger Diagnosis is made radiographically with joint. Common problems at this joint include mallet finger , jersey finger, arthritis, mucous cysts, and fractures. The lumps grow on the joint closest to the tip of your finger, called the distal interphalangeal, or dip joint. The joint where the finger connects to the hand, called the metacarpophalangeal (mcp) joint; The middle joint, called. Dip Joint Pinky Finger.
From www.youtube.com
Home Exercise for Spinal Cord Injury MCP PIP to DIP Flexion YouTube Dip Joint Pinky Finger The lumps grow on the joint closest to the tip of your finger, called the distal interphalangeal, or dip joint. The joint where the finger connects to the hand, called the metacarpophalangeal (mcp) joint; Diagnosis is made radiographically with joint. Arthritis of the dip and pip joints are very common forms of osteoarthritis seen in the hand and can be. Dip Joint Pinky Finger.