Root Canal Gone Bad Abscess . An untreated root canal fail is a dangerous infection that can lead to serious complications. How can you tell if something is wrong with your tooth after a root canal? Why do i still have an abscess despite the root canal? Root canal infections are very rare. For reinfected root canals, the most common treatment option is endodontic retreatment. Here are the most common warning signs to look for. If the abscess is still there even after the root canal (rct),. Root canal treatment involves removing the infected or damaged pulp from the inner chamber of a tooth. There are only 3 choices once an old root canal infection is diagnosed: How to tell if infection is still there. This involves reopening the tooth, removing the old root canal filling, and thoroughly cleaning and disinfecting the canals. An extremely painful abscess can result and. Learn how to recognize a root canal infection, what causes them, how to prevent them, and how they're. Retreat or redo the root canal. Do nothing and just monitor or watch the progress of the infection.
from newportrootcanal.com
Learn how to recognize a root canal infection, what causes them, how to prevent them, and how they're. If the abscess is still there even after the root canal (rct),. Retreat or redo the root canal. Why do i still have an abscess despite the root canal? There are only 3 choices once an old root canal infection is diagnosed: How to tell if infection is still there. An untreated root canal fail is a dangerous infection that can lead to serious complications. How can you tell if something is wrong with your tooth after a root canal? Do nothing and just monitor or watch the progress of the infection. For reinfected root canals, the most common treatment option is endodontic retreatment.
Abscessed Tooth Newport Beach and Orange County CA Newport Beach Root
Root Canal Gone Bad Abscess There are only 3 choices once an old root canal infection is diagnosed: How can you tell if something is wrong with your tooth after a root canal? Retreat or redo the root canal. Root canal infections are very rare. How to tell if infection is still there. Learn how to recognize a root canal infection, what causes them, how to prevent them, and how they're. An untreated root canal fail is a dangerous infection that can lead to serious complications. If the abscess is still there even after the root canal (rct),. For reinfected root canals, the most common treatment option is endodontic retreatment. Root canal treatment involves removing the infected or damaged pulp from the inner chamber of a tooth. Here are the most common warning signs to look for. This involves reopening the tooth, removing the old root canal filling, and thoroughly cleaning and disinfecting the canals. Why do i still have an abscess despite the root canal? Do nothing and just monitor or watch the progress of the infection. An extremely painful abscess can result and. There are only 3 choices once an old root canal infection is diagnosed:
From myholisticdentist.com
What Causes Root Canal Infections and Failure? Integrative Dentistry Root Canal Gone Bad Abscess For reinfected root canals, the most common treatment option is endodontic retreatment. An extremely painful abscess can result and. Learn how to recognize a root canal infection, what causes them, how to prevent them, and how they're. An untreated root canal fail is a dangerous infection that can lead to serious complications. If the abscess is still there even after. Root Canal Gone Bad Abscess.
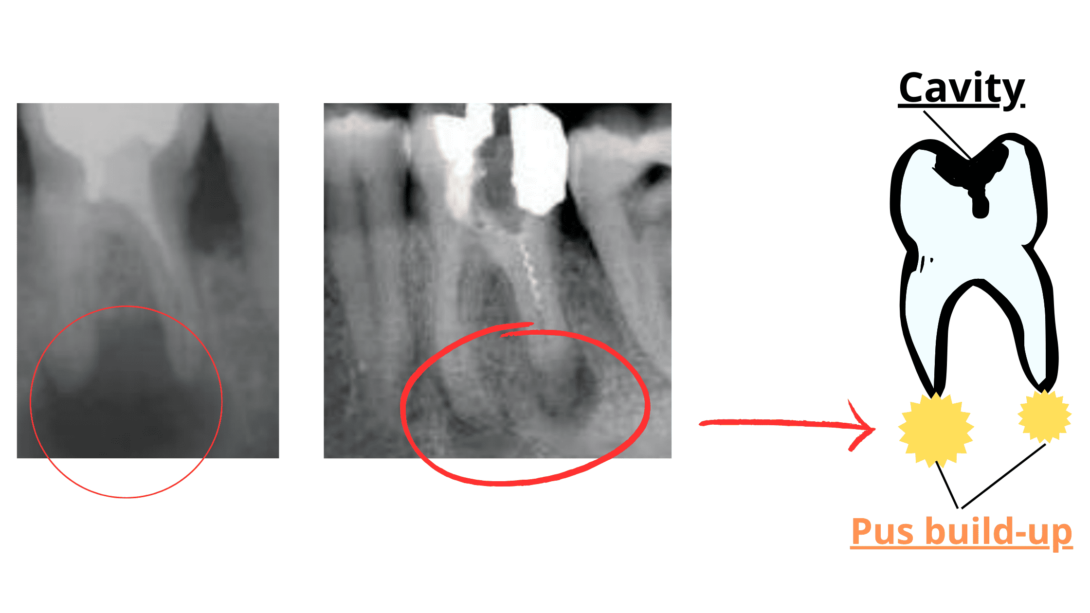
From martlabpro.com
Dental Abscess After Root Canal What You Need To Know MartLabPro Root Canal Gone Bad Abscess Here are the most common warning signs to look for. Root canal treatment involves removing the infected or damaged pulp from the inner chamber of a tooth. How to tell if infection is still there. Why do i still have an abscess despite the root canal? For reinfected root canals, the most common treatment option is endodontic retreatment. Retreat or. Root Canal Gone Bad Abscess.
From articles.mercola.com
Toxic Teeth How a Root Canal Could Be Making You Sick Root Canal Gone Bad Abscess An extremely painful abscess can result and. This involves reopening the tooth, removing the old root canal filling, and thoroughly cleaning and disinfecting the canals. An untreated root canal fail is a dangerous infection that can lead to serious complications. Learn how to recognize a root canal infection, what causes them, how to prevent them, and how they're. For reinfected. Root Canal Gone Bad Abscess.
From www.reddit.com
Dentist told me I have abscess on old root canal, endodontist disagrees Root Canal Gone Bad Abscess Root canal treatment involves removing the infected or damaged pulp from the inner chamber of a tooth. How can you tell if something is wrong with your tooth after a root canal? Why do i still have an abscess despite the root canal? How to tell if infection is still there. Learn how to recognize a root canal infection, what. Root Canal Gone Bad Abscess.
From martlabpro.com
Dental Abscess After Root Canal What You Need To Know MartLabPro Root Canal Gone Bad Abscess How to tell if infection is still there. Learn how to recognize a root canal infection, what causes them, how to prevent them, and how they're. There are only 3 choices once an old root canal infection is diagnosed: If the abscess is still there even after the root canal (rct),. Root canal infections are very rare. An extremely painful. Root Canal Gone Bad Abscess.
From dentagama.com
What is phoenix dental abscess? News Dentagama Root Canal Gone Bad Abscess Root canal infections are very rare. If the abscess is still there even after the root canal (rct),. Learn how to recognize a root canal infection, what causes them, how to prevent them, and how they're. How to tell if infection is still there. For reinfected root canals, the most common treatment option is endodontic retreatment. An extremely painful abscess. Root Canal Gone Bad Abscess.
From www.bluewaterdentists.com
Root Canals Blue Water Dental Langley Root Canal Gone Bad Abscess There are only 3 choices once an old root canal infection is diagnosed: How can you tell if something is wrong with your tooth after a root canal? Why do i still have an abscess despite the root canal? This involves reopening the tooth, removing the old root canal filling, and thoroughly cleaning and disinfecting the canals. Do nothing and. Root Canal Gone Bad Abscess.
From www.teethtalkgirl.com
5 Stages Of An Abscessed Tooth & What To Do Root Canal Gone Bad Abscess There are only 3 choices once an old root canal infection is diagnosed: How to tell if infection is still there. Here are the most common warning signs to look for. Why do i still have an abscess despite the root canal? Root canal infections are very rare. An untreated root canal fail is a dangerous infection that can lead. Root Canal Gone Bad Abscess.
From www.turlockdentalcare.com
Root Canals Turlock, CA Abscessed Tooth Treatment Modesto and Patterson Root Canal Gone Bad Abscess How can you tell if something is wrong with your tooth after a root canal? How to tell if infection is still there. Retreat or redo the root canal. An untreated root canal fail is a dangerous infection that can lead to serious complications. This involves reopening the tooth, removing the old root canal filling, and thoroughly cleaning and disinfecting. Root Canal Gone Bad Abscess.
From centralhuttdental.co.nz
Root Canal Treatment Central Hutt Dental Lower Hutt General Dentist Root Canal Gone Bad Abscess Root canal treatment involves removing the infected or damaged pulp from the inner chamber of a tooth. How can you tell if something is wrong with your tooth after a root canal? Why do i still have an abscess despite the root canal? If the abscess is still there even after the root canal (rct),. Here are the most common. Root Canal Gone Bad Abscess.
From www.goodmandentalcenter.com
What to do when a Root Canal Fails Goodman Dental Center General Root Canal Gone Bad Abscess There are only 3 choices once an old root canal infection is diagnosed: Retreat or redo the root canal. This involves reopening the tooth, removing the old root canal filling, and thoroughly cleaning and disinfecting the canals. Learn how to recognize a root canal infection, what causes them, how to prevent them, and how they're. If the abscess is still. Root Canal Gone Bad Abscess.
From newportrootcanal.com
Abscessed Tooth Newport Beach and Orange County CA Newport Beach Root Root Canal Gone Bad Abscess An extremely painful abscess can result and. Why do i still have an abscess despite the root canal? This involves reopening the tooth, removing the old root canal filling, and thoroughly cleaning and disinfecting the canals. An untreated root canal fail is a dangerous infection that can lead to serious complications. Here are the most common warning signs to look. Root Canal Gone Bad Abscess.
From www.youtube.com
Root Canal Treatment & Tooth Abscess YouTube Root Canal Gone Bad Abscess If the abscess is still there even after the root canal (rct),. Root canal infections are very rare. For reinfected root canals, the most common treatment option is endodontic retreatment. Learn how to recognize a root canal infection, what causes them, how to prevent them, and how they're. There are only 3 choices once an old root canal infection is. Root Canal Gone Bad Abscess.
From www.smileperfectors.com
Save a Badly Decayed or Damaged Tooth with a Root Canal Therapy Smile Root Canal Gone Bad Abscess This involves reopening the tooth, removing the old root canal filling, and thoroughly cleaning and disinfecting the canals. Root canal treatment involves removing the infected or damaged pulp from the inner chamber of a tooth. There are only 3 choices once an old root canal infection is diagnosed: Here are the most common warning signs to look for. For reinfected. Root Canal Gone Bad Abscess.
From www.youtube.com
Acute Apical Abscess Drainage abscess from root canal YouTube Root Canal Gone Bad Abscess An extremely painful abscess can result and. Here are the most common warning signs to look for. How can you tell if something is wrong with your tooth after a root canal? Retreat or redo the root canal. An untreated root canal fail is a dangerous infection that can lead to serious complications. Do nothing and just monitor or watch. Root Canal Gone Bad Abscess.
From www.tooth-life.com
Abscess under Root Canal Don't Ignore It! Root Canal Gone Bad Abscess Retreat or redo the root canal. Learn how to recognize a root canal infection, what causes them, how to prevent them, and how they're. How to tell if infection is still there. An extremely painful abscess can result and. Here are the most common warning signs to look for. If the abscess is still there even after the root canal. Root Canal Gone Bad Abscess.
From myholisticdentist.com
Infected Root Canals and What To Do About Them Integrative Dentistry Root Canal Gone Bad Abscess For reinfected root canals, the most common treatment option is endodontic retreatment. Here are the most common warning signs to look for. If the abscess is still there even after the root canal (rct),. This involves reopening the tooth, removing the old root canal filling, and thoroughly cleaning and disinfecting the canals. Retreat or redo the root canal. Do nothing. Root Canal Gone Bad Abscess.
From www.infodentis.com
The 5 Abscess Tooth Stages and the Actions You Should Take Root Canal Gone Bad Abscess An extremely painful abscess can result and. For reinfected root canals, the most common treatment option is endodontic retreatment. There are only 3 choices once an old root canal infection is diagnosed: Retreat or redo the root canal. How to tell if infection is still there. Why do i still have an abscess despite the root canal? Root canal infections. Root Canal Gone Bad Abscess.
From webdmd.org
Tooth Abscess Stages Pictures and Treatment Options DMD Root Canal Gone Bad Abscess There are only 3 choices once an old root canal infection is diagnosed: How to tell if infection is still there. If the abscess is still there even after the root canal (rct),. How can you tell if something is wrong with your tooth after a root canal? An untreated root canal fail is a dangerous infection that can lead. Root Canal Gone Bad Abscess.
From www.hodgesendo.com
Endodontics Philadelphia, PA Associated Endodontists, P.C. Root Canal Gone Bad Abscess For reinfected root canals, the most common treatment option is endodontic retreatment. Root canal treatment involves removing the infected or damaged pulp from the inner chamber of a tooth. Here are the most common warning signs to look for. Do nothing and just monitor or watch the progress of the infection. This involves reopening the tooth, removing the old root. Root Canal Gone Bad Abscess.
From www.functionalaestheticdentistry.com
Root Canal, Abscess Tooth Purpose, Procedures & Risk Dr. Suffoletta's Root Canal Gone Bad Abscess There are only 3 choices once an old root canal infection is diagnosed: Here are the most common warning signs to look for. How can you tell if something is wrong with your tooth after a root canal? How to tell if infection is still there. For reinfected root canals, the most common treatment option is endodontic retreatment. Root canal. Root Canal Gone Bad Abscess.
From www.youtube.com
Why do Root Canals Hurt SO MUCH??? Live Root Canal Procedure! YouTube Root Canal Gone Bad Abscess Retreat or redo the root canal. For reinfected root canals, the most common treatment option is endodontic retreatment. An untreated root canal fail is a dangerous infection that can lead to serious complications. Why do i still have an abscess despite the root canal? Root canal infections are very rare. How can you tell if something is wrong with your. Root Canal Gone Bad Abscess.
From parksidedentist.co.nz
Root Canal Treatment Dentist Parkside Root Canal Gone Bad Abscess There are only 3 choices once an old root canal infection is diagnosed: Retreat or redo the root canal. Root canal infections are very rare. An untreated root canal fail is a dangerous infection that can lead to serious complications. This involves reopening the tooth, removing the old root canal filling, and thoroughly cleaning and disinfecting the canals. If the. Root Canal Gone Bad Abscess.
From joixwcsvk.blob.core.windows.net
Abscess Years After Root Canal at Scott Miller blog Root Canal Gone Bad Abscess If the abscess is still there even after the root canal (rct),. An extremely painful abscess can result and. This involves reopening the tooth, removing the old root canal filling, and thoroughly cleaning and disinfecting the canals. Why do i still have an abscess despite the root canal? Root canal treatment involves removing the infected or damaged pulp from the. Root Canal Gone Bad Abscess.
From cendgvbj.blob.core.windows.net
What Is The Most Common Reason For Failure Of Root Canals at Lela Bunn blog Root Canal Gone Bad Abscess Root canal infections are very rare. Here are the most common warning signs to look for. How can you tell if something is wrong with your tooth after a root canal? Do nothing and just monitor or watch the progress of the infection. Why do i still have an abscess despite the root canal? Learn how to recognize a root. Root Canal Gone Bad Abscess.
From www.dhamadison.com
Six Things to Know About Root Canals Dental Health Associates Root Canal Gone Bad Abscess How can you tell if something is wrong with your tooth after a root canal? If the abscess is still there even after the root canal (rct),. An untreated root canal fail is a dangerous infection that can lead to serious complications. There are only 3 choices once an old root canal infection is diagnosed: Here are the most common. Root Canal Gone Bad Abscess.
From www.dentalclinic-knet.com
Dental Abscess in root canalshorts Dental Clinic Root Canal Gone Bad Abscess Why do i still have an abscess despite the root canal? Retreat or redo the root canal. Do nothing and just monitor or watch the progress of the infection. This involves reopening the tooth, removing the old root canal filling, and thoroughly cleaning and disinfecting the canals. How can you tell if something is wrong with your tooth after a. Root Canal Gone Bad Abscess.
From clinichunter.com
Root Canal Treatment overview, costs procedure Root Canal Gone Bad Abscess How can you tell if something is wrong with your tooth after a root canal? This involves reopening the tooth, removing the old root canal filling, and thoroughly cleaning and disinfecting the canals. For reinfected root canals, the most common treatment option is endodontic retreatment. There are only 3 choices once an old root canal infection is diagnosed: Root canal. Root Canal Gone Bad Abscess.
From exynakjby.blob.core.windows.net
Can A Root Canal Go Bad After Years at Marsha Nichols blog Root Canal Gone Bad Abscess Here are the most common warning signs to look for. How can you tell if something is wrong with your tooth after a root canal? How to tell if infection is still there. There are only 3 choices once an old root canal infection is diagnosed: Root canal infections are very rare. Root canal treatment involves removing the infected or. Root Canal Gone Bad Abscess.
From myholisticdentist.com
What Causes Root Canal Infections and Failure? Integrative Dentistry Root Canal Gone Bad Abscess An untreated root canal fail is a dangerous infection that can lead to serious complications. Root canal treatment involves removing the infected or damaged pulp from the inner chamber of a tooth. Root canal infections are very rare. For reinfected root canals, the most common treatment option is endodontic retreatment. How to tell if infection is still there. There are. Root Canal Gone Bad Abscess.
From smilesbelleville.com
Rootless Fears Root Canal Therapy Gets a Bad Rap Smiles Belleville Root Canal Gone Bad Abscess An extremely painful abscess can result and. There are only 3 choices once an old root canal infection is diagnosed: Retreat or redo the root canal. Why do i still have an abscess despite the root canal? Do nothing and just monitor or watch the progress of the infection. How to tell if infection is still there. An untreated root. Root Canal Gone Bad Abscess.
From dentalandpodiatricmalpractice.com
Root Canals Gone Wrong Dental & Podiatric Malpractice Root Canal Gone Bad Abscess How to tell if infection is still there. Here are the most common warning signs to look for. How can you tell if something is wrong with your tooth after a root canal? An untreated root canal fail is a dangerous infection that can lead to serious complications. If the abscess is still there even after the root canal (rct),.. Root Canal Gone Bad Abscess.
From www.youtube.com
Why my tooth looks dark after root canal treatment YouTube Root Canal Gone Bad Abscess For reinfected root canals, the most common treatment option is endodontic retreatment. An untreated root canal fail is a dangerous infection that can lead to serious complications. Here are the most common warning signs to look for. There are only 3 choices once an old root canal infection is diagnosed: Retreat or redo the root canal. Root canal infections are. Root Canal Gone Bad Abscess.
From www.kyrenefamilydentistry.com
Root Canal Gone Bad The Complications Root Canal Gone Bad Abscess Root canal treatment involves removing the infected or damaged pulp from the inner chamber of a tooth. There are only 3 choices once an old root canal infection is diagnosed: Why do i still have an abscess despite the root canal? Here are the most common warning signs to look for. Retreat or redo the root canal. This involves reopening. Root Canal Gone Bad Abscess.
From www.precisiondentalofseattle.com
Why does my Tooth still hurt, I had a Root Canal, isn’t the Tooth Dead Root Canal Gone Bad Abscess An extremely painful abscess can result and. Root canal infections are very rare. For reinfected root canals, the most common treatment option is endodontic retreatment. Do nothing and just monitor or watch the progress of the infection. An untreated root canal fail is a dangerous infection that can lead to serious complications. Retreat or redo the root canal. Root canal. Root Canal Gone Bad Abscess.