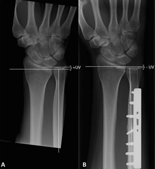
Shortening Ulna . Background the purpose of ulnar shortening osteotomy is literally to shorten the ulna. Ulnar shortening is an established procedure for symptomatic ulnar impaction syndrome after a malunited distal radius fracture. The specific ulnar osteotomy lcp (locking compression plate) combines maximum. Ulnar variance is the length of the ulna compared to the length of the radius at the wrist. [1] [2] it is a degenerative. Diagnosis is made radiographically with. Ulna shortening osteotomy (uso) for ulnar impaction syndrome (uis) aims to improve pain and function by unloading the ulnar carpus. The goal of treatment is ulnocarpal.
from www.youtube.com
Background the purpose of ulnar shortening osteotomy is literally to shorten the ulna. The specific ulnar osteotomy lcp (locking compression plate) combines maximum. The goal of treatment is ulnocarpal. Diagnosis is made radiographically with. Ulnar variance is the length of the ulna compared to the length of the radius at the wrist. Ulnar shortening is an established procedure for symptomatic ulnar impaction syndrome after a malunited distal radius fracture. Ulna shortening osteotomy (uso) for ulnar impaction syndrome (uis) aims to improve pain and function by unloading the ulnar carpus. [1] [2] it is a degenerative.
Ulna Shortening System Surgical Technique YouTube
Shortening Ulna Ulnar variance is the length of the ulna compared to the length of the radius at the wrist. [1] [2] it is a degenerative. Diagnosis is made radiographically with. The goal of treatment is ulnocarpal. Background the purpose of ulnar shortening osteotomy is literally to shorten the ulna. Ulnar variance is the length of the ulna compared to the length of the radius at the wrist. Ulna shortening osteotomy (uso) for ulnar impaction syndrome (uis) aims to improve pain and function by unloading the ulnar carpus. The specific ulnar osteotomy lcp (locking compression plate) combines maximum. Ulnar shortening is an established procedure for symptomatic ulnar impaction syndrome after a malunited distal radius fracture.
From www.semanticscholar.org
[PDF] Ulnar shortening osteotomy in idiopathic ulnar impaction syndrome Shortening Ulna The specific ulnar osteotomy lcp (locking compression plate) combines maximum. The goal of treatment is ulnocarpal. Ulnar shortening is an established procedure for symptomatic ulnar impaction syndrome after a malunited distal radius fracture. Ulna shortening osteotomy (uso) for ulnar impaction syndrome (uis) aims to improve pain and function by unloading the ulnar carpus. [1] [2] it is a degenerative. Background. Shortening Ulna.
From anatomicaljustice.com
Left Ulnar Shortening Osteotomy Shortening Ulna [1] [2] it is a degenerative. The specific ulnar osteotomy lcp (locking compression plate) combines maximum. Background the purpose of ulnar shortening osteotomy is literally to shorten the ulna. Ulnar shortening is an established procedure for symptomatic ulnar impaction syndrome after a malunited distal radius fracture. The goal of treatment is ulnocarpal. Ulnar variance is the length of the ulna. Shortening Ulna.
From www.ispag.org
ulna bone shortening recovery timeline Shortening Ulna Diagnosis is made radiographically with. [1] [2] it is a degenerative. The specific ulnar osteotomy lcp (locking compression plate) combines maximum. Ulnar variance is the length of the ulna compared to the length of the radius at the wrist. The goal of treatment is ulnocarpal. Background the purpose of ulnar shortening osteotomy is literally to shorten the ulna. Ulnar shortening. Shortening Ulna.
From www.ispag.org
ulna bone shortening recovery timeline Shortening Ulna Ulna shortening osteotomy (uso) for ulnar impaction syndrome (uis) aims to improve pain and function by unloading the ulnar carpus. The goal of treatment is ulnocarpal. Diagnosis is made radiographically with. Background the purpose of ulnar shortening osteotomy is literally to shorten the ulna. [1] [2] it is a degenerative. Ulnar shortening is an established procedure for symptomatic ulnar impaction. Shortening Ulna.
From www.researchgate.net
Demonstrating the ulnar shortening osteotomy for malunited distal Shortening Ulna The goal of treatment is ulnocarpal. Background the purpose of ulnar shortening osteotomy is literally to shorten the ulna. Ulnar variance is the length of the ulna compared to the length of the radius at the wrist. Ulna shortening osteotomy (uso) for ulnar impaction syndrome (uis) aims to improve pain and function by unloading the ulnar carpus. The specific ulnar. Shortening Ulna.
From www.youtube.com
Ulna Shortening System Surgical Technique YouTube Shortening Ulna Diagnosis is made radiographically with. The goal of treatment is ulnocarpal. Ulnar shortening is an established procedure for symptomatic ulnar impaction syndrome after a malunited distal radius fracture. Ulna shortening osteotomy (uso) for ulnar impaction syndrome (uis) aims to improve pain and function by unloading the ulnar carpus. The specific ulnar osteotomy lcp (locking compression plate) combines maximum. Background the. Shortening Ulna.
From centenoschultz.com
Will Ulna Shortening Surgery Fix Your Wrist Pain? CSC Blog Shortening Ulna Background the purpose of ulnar shortening osteotomy is literally to shorten the ulna. Ulna shortening osteotomy (uso) for ulnar impaction syndrome (uis) aims to improve pain and function by unloading the ulnar carpus. The goal of treatment is ulnocarpal. The specific ulnar osteotomy lcp (locking compression plate) combines maximum. Ulnar shortening is an established procedure for symptomatic ulnar impaction syndrome. Shortening Ulna.
From tdmkorea.co.kr
ULNA Shortening 티디엠 Shortening Ulna Diagnosis is made radiographically with. Ulnar variance is the length of the ulna compared to the length of the radius at the wrist. The specific ulnar osteotomy lcp (locking compression plate) combines maximum. Ulna shortening osteotomy (uso) for ulnar impaction syndrome (uis) aims to improve pain and function by unloading the ulnar carpus. Background the purpose of ulnar shortening osteotomy. Shortening Ulna.
From trimedortho.com
Ulnar Osteotomy Compression Plate Upper Extremity Fixation TriMed Inc. Shortening Ulna Ulnar shortening is an established procedure for symptomatic ulnar impaction syndrome after a malunited distal radius fracture. [1] [2] it is a degenerative. Ulnar variance is the length of the ulna compared to the length of the radius at the wrist. The goal of treatment is ulnocarpal. Diagnosis is made radiographically with. Ulna shortening osteotomy (uso) for ulnar impaction syndrome. Shortening Ulna.
From link.springer.com
MidTerm Results Following Ulna Shortening Osteotomy SpringerLink Shortening Ulna The goal of treatment is ulnocarpal. Ulna shortening osteotomy (uso) for ulnar impaction syndrome (uis) aims to improve pain and function by unloading the ulnar carpus. Background the purpose of ulnar shortening osteotomy is literally to shorten the ulna. [1] [2] it is a degenerative. Ulnar variance is the length of the ulna compared to the length of the radius. Shortening Ulna.
From skeletaldynamics.com
FREEFIX® Ulnar Shortening System Skeletal Dynamics Shortening Ulna The goal of treatment is ulnocarpal. The specific ulnar osteotomy lcp (locking compression plate) combines maximum. [1] [2] it is a degenerative. Diagnosis is made radiographically with. Background the purpose of ulnar shortening osteotomy is literally to shorten the ulna. Ulnar variance is the length of the ulna compared to the length of the radius at the wrist. Ulna shortening. Shortening Ulna.
From www.semanticscholar.org
Figure 3 from Radiological degenerative changes in the distal Shortening Ulna Ulnar variance is the length of the ulna compared to the length of the radius at the wrist. Background the purpose of ulnar shortening osteotomy is literally to shorten the ulna. The goal of treatment is ulnocarpal. Ulnar shortening is an established procedure for symptomatic ulnar impaction syndrome after a malunited distal radius fracture. The specific ulnar osteotomy lcp (locking. Shortening Ulna.
From www.ispag.org
what to expect after ulnar shortening surgery Shortening Ulna The specific ulnar osteotomy lcp (locking compression plate) combines maximum. Ulnar variance is the length of the ulna compared to the length of the radius at the wrist. Diagnosis is made radiographically with. The goal of treatment is ulnocarpal. Ulnar shortening is an established procedure for symptomatic ulnar impaction syndrome after a malunited distal radius fracture. Ulna shortening osteotomy (uso). Shortening Ulna.
From www.ispag.org
ulna bone shortening recovery timeline Shortening Ulna The specific ulnar osteotomy lcp (locking compression plate) combines maximum. [1] [2] it is a degenerative. Diagnosis is made radiographically with. Background the purpose of ulnar shortening osteotomy is literally to shorten the ulna. The goal of treatment is ulnocarpal. Ulnar variance is the length of the ulna compared to the length of the radius at the wrist. Ulnar shortening. Shortening Ulna.
From www.sicot-j.org
The Paley ulnarization of the carpus with ulnar shortening osteotomy Shortening Ulna The specific ulnar osteotomy lcp (locking compression plate) combines maximum. Diagnosis is made radiographically with. Ulna shortening osteotomy (uso) for ulnar impaction syndrome (uis) aims to improve pain and function by unloading the ulnar carpus. Background the purpose of ulnar shortening osteotomy is literally to shorten the ulna. The goal of treatment is ulnocarpal. Ulnar variance is the length of. Shortening Ulna.
From www.alamy.com
Broken Wrist Fractured Radius and Ulna with Ulnar Shortening Stock Shortening Ulna [1] [2] it is a degenerative. The goal of treatment is ulnocarpal. Ulnar variance is the length of the ulna compared to the length of the radius at the wrist. Background the purpose of ulnar shortening osteotomy is literally to shorten the ulna. Diagnosis is made radiographically with. Ulnar shortening is an established procedure for symptomatic ulnar impaction syndrome after. Shortening Ulna.
From openorthopaedicsjournal.com
Ulnar Shortening Osteotomy After Distal Radius Fracture Malunion Shortening Ulna Diagnosis is made radiographically with. [1] [2] it is a degenerative. Ulnar shortening is an established procedure for symptomatic ulnar impaction syndrome after a malunited distal radius fracture. The specific ulnar osteotomy lcp (locking compression plate) combines maximum. Background the purpose of ulnar shortening osteotomy is literally to shorten the ulna. Ulna shortening osteotomy (uso) for ulnar impaction syndrome (uis). Shortening Ulna.
From www.medartisusa.com
Ulna Shortening System 2.5 Shortening Ulna The goal of treatment is ulnocarpal. Ulnar shortening is an established procedure for symptomatic ulnar impaction syndrome after a malunited distal radius fracture. The specific ulnar osteotomy lcp (locking compression plate) combines maximum. Diagnosis is made radiographically with. Ulnar variance is the length of the ulna compared to the length of the radius at the wrist. Background the purpose of. Shortening Ulna.
From tdmkorea.co.kr
ULNA Shortening 티디엠 Shortening Ulna The specific ulnar osteotomy lcp (locking compression plate) combines maximum. Ulnar variance is the length of the ulna compared to the length of the radius at the wrist. Ulnar shortening is an established procedure for symptomatic ulnar impaction syndrome after a malunited distal radius fracture. Diagnosis is made radiographically with. [1] [2] it is a degenerative. Ulna shortening osteotomy (uso). Shortening Ulna.
From www.ispag.org
ulna bone shortening recovery time Shortening Ulna The specific ulnar osteotomy lcp (locking compression plate) combines maximum. [1] [2] it is a degenerative. Ulna shortening osteotomy (uso) for ulnar impaction syndrome (uis) aims to improve pain and function by unloading the ulnar carpus. Background the purpose of ulnar shortening osteotomy is literally to shorten the ulna. The goal of treatment is ulnocarpal. Diagnosis is made radiographically with.. Shortening Ulna.
From www.scielo.br
SciELO Brasil Ulnar Shortening Osteotomy Our Experience Ulnar Shortening Ulna Background the purpose of ulnar shortening osteotomy is literally to shorten the ulna. Diagnosis is made radiographically with. The specific ulnar osteotomy lcp (locking compression plate) combines maximum. [1] [2] it is a degenerative. The goal of treatment is ulnocarpal. Ulnar shortening is an established procedure for symptomatic ulnar impaction syndrome after a malunited distal radius fracture. Ulna shortening osteotomy. Shortening Ulna.
From www.chrisgatti.com
Acrobatics after ulnar shortening — Chris Gatti Shortening Ulna [1] [2] it is a degenerative. Ulna shortening osteotomy (uso) for ulnar impaction syndrome (uis) aims to improve pain and function by unloading the ulnar carpus. The goal of treatment is ulnocarpal. The specific ulnar osteotomy lcp (locking compression plate) combines maximum. Ulnar variance is the length of the ulna compared to the length of the radius at the wrist.. Shortening Ulna.
From www.openorthopaedicsjournal.com
Ulnar Shortening Osteotomy After Distal Radius Fracture Malunion Shortening Ulna Ulnar shortening is an established procedure for symptomatic ulnar impaction syndrome after a malunited distal radius fracture. Ulna shortening osteotomy (uso) for ulnar impaction syndrome (uis) aims to improve pain and function by unloading the ulnar carpus. Background the purpose of ulnar shortening osteotomy is literally to shorten the ulna. The specific ulnar osteotomy lcp (locking compression plate) combines maximum.. Shortening Ulna.
From www.scribd.com
WRIST10010021 Ulna Shortening System 2.5 Surgical Technique PDF Shortening Ulna The specific ulnar osteotomy lcp (locking compression plate) combines maximum. Ulnar variance is the length of the ulna compared to the length of the radius at the wrist. Diagnosis is made radiographically with. Background the purpose of ulnar shortening osteotomy is literally to shorten the ulna. Ulna shortening osteotomy (uso) for ulnar impaction syndrome (uis) aims to improve pain and. Shortening Ulna.
From www.ispag.org
ulna bone shortening recovery timeline Shortening Ulna [1] [2] it is a degenerative. The goal of treatment is ulnocarpal. Ulnar variance is the length of the ulna compared to the length of the radius at the wrist. Ulnar shortening is an established procedure for symptomatic ulnar impaction syndrome after a malunited distal radius fracture. Ulna shortening osteotomy (uso) for ulnar impaction syndrome (uis) aims to improve pain. Shortening Ulna.
From openorthopaedicsjournal.com
Ulnar Shortening Osteotomy After Distal Radius Fracture Malunion Shortening Ulna Ulnar shortening is an established procedure for symptomatic ulnar impaction syndrome after a malunited distal radius fracture. The goal of treatment is ulnocarpal. The specific ulnar osteotomy lcp (locking compression plate) combines maximum. Ulnar variance is the length of the ulna compared to the length of the radius at the wrist. Diagnosis is made radiographically with. Background the purpose of. Shortening Ulna.
From www.medartisusa.com
Ulna Shortening System 2.5 Shortening Ulna Ulna shortening osteotomy (uso) for ulnar impaction syndrome (uis) aims to improve pain and function by unloading the ulnar carpus. Diagnosis is made radiographically with. The goal of treatment is ulnocarpal. [1] [2] it is a degenerative. The specific ulnar osteotomy lcp (locking compression plate) combines maximum. Ulnar variance is the length of the ulna compared to the length of. Shortening Ulna.
From onlinelibrary.wiley.com
Clinical Study of Wrist Arthroscopy Combined with Oblique Ulnar Shortening Ulna Ulnar variance is the length of the ulna compared to the length of the radius at the wrist. The specific ulnar osteotomy lcp (locking compression plate) combines maximum. Ulnar shortening is an established procedure for symptomatic ulnar impaction syndrome after a malunited distal radius fracture. Ulna shortening osteotomy (uso) for ulnar impaction syndrome (uis) aims to improve pain and function. Shortening Ulna.
From www.semanticscholar.org
Figure 1 from The Paley ulnarization of the carpus with ulnar Shortening Ulna Background the purpose of ulnar shortening osteotomy is literally to shorten the ulna. The specific ulnar osteotomy lcp (locking compression plate) combines maximum. Ulna shortening osteotomy (uso) for ulnar impaction syndrome (uis) aims to improve pain and function by unloading the ulnar carpus. Ulnar variance is the length of the ulna compared to the length of the radius at the. Shortening Ulna.
From www.youtube.com
APTUS Wrist Ulna Shortening System 2.5 Surgical Technique YouTube Shortening Ulna [1] [2] it is a degenerative. The specific ulnar osteotomy lcp (locking compression plate) combines maximum. Background the purpose of ulnar shortening osteotomy is literally to shorten the ulna. The goal of treatment is ulnocarpal. Diagnosis is made radiographically with. Ulnar variance is the length of the ulna compared to the length of the radius at the wrist. Ulna shortening. Shortening Ulna.
From bemedico.be
Ulna shortening (VDU) plate met osteomotomy system BeMedico Shortening Ulna Ulnar shortening is an established procedure for symptomatic ulnar impaction syndrome after a malunited distal radius fracture. The goal of treatment is ulnocarpal. [1] [2] it is a degenerative. Ulnar variance is the length of the ulna compared to the length of the radius at the wrist. Ulna shortening osteotomy (uso) for ulnar impaction syndrome (uis) aims to improve pain. Shortening Ulna.
From skeletaldynamics.com
FREEFIX® Ulnar Shortening System Skeletal Dynamics Shortening Ulna [1] [2] it is a degenerative. Ulnar shortening is an established procedure for symptomatic ulnar impaction syndrome after a malunited distal radius fracture. The specific ulnar osteotomy lcp (locking compression plate) combines maximum. The goal of treatment is ulnocarpal. Ulnar variance is the length of the ulna compared to the length of the radius at the wrist. Diagnosis is made. Shortening Ulna.
From www.ispag.org
ulna bone shortening recovery time zone Shortening Ulna Ulnar variance is the length of the ulna compared to the length of the radius at the wrist. The goal of treatment is ulnocarpal. Ulnar shortening is an established procedure for symptomatic ulnar impaction syndrome after a malunited distal radius fracture. [1] [2] it is a degenerative. Background the purpose of ulnar shortening osteotomy is literally to shorten the ulna.. Shortening Ulna.
From sonjacerovac.com
Picture 4 Ulnar shortening osteotomy surgical shortening of the Shortening Ulna Ulna shortening osteotomy (uso) for ulnar impaction syndrome (uis) aims to improve pain and function by unloading the ulnar carpus. Ulnar variance is the length of the ulna compared to the length of the radius at the wrist. [1] [2] it is a degenerative. The goal of treatment is ulnocarpal. Background the purpose of ulnar shortening osteotomy is literally to. Shortening Ulna.
From tdmkorea.co.kr
ULNA Shortening 티디엠 Shortening Ulna Ulna shortening osteotomy (uso) for ulnar impaction syndrome (uis) aims to improve pain and function by unloading the ulnar carpus. Diagnosis is made radiographically with. The goal of treatment is ulnocarpal. [1] [2] it is a degenerative. Ulnar shortening is an established procedure for symptomatic ulnar impaction syndrome after a malunited distal radius fracture. Ulnar variance is the length of. Shortening Ulna.