Testicular Torsion In Newborn . In testicular torsion, twisting of the testis around its vascular. Neonatal testicular torsion is a rare event in clinical practice. Neonatal testicular torsion is rare, but can lead to testicular ischaemia and necrosis, with a detrimental effect upon future fertility. The presence of a testicular mass or swelling in a neonate can be a dilemma. The sonographic spectrum we describe should allow one to easily differentiate neonatal testicular torsion. A hard firm testis with bluish discolouration of the scrotum in the. Newborn torsion, which accounts for 12 percent of all cases of testicular torsion, is usually discovered after the development of an. In neonates the attachment between the scrotum and tunica vaginalis is not fully formed and the. A medline search for the terms neonatal torsion (n = 21), perinatal torsion (n = 12), newborn torsion (n = 1), antenatal torsion (n =.
from www.youtube.com
The presence of a testicular mass or swelling in a neonate can be a dilemma. In testicular torsion, twisting of the testis around its vascular. The sonographic spectrum we describe should allow one to easily differentiate neonatal testicular torsion. Neonatal testicular torsion is a rare event in clinical practice. In neonates the attachment between the scrotum and tunica vaginalis is not fully formed and the. Neonatal testicular torsion is rare, but can lead to testicular ischaemia and necrosis, with a detrimental effect upon future fertility. A medline search for the terms neonatal torsion (n = 21), perinatal torsion (n = 12), newborn torsion (n = 1), antenatal torsion (n =. Newborn torsion, which accounts for 12 percent of all cases of testicular torsion, is usually discovered after the development of an. A hard firm testis with bluish discolouration of the scrotum in the.
Understanding Testicular Torsion YouTube
Testicular Torsion In Newborn Neonatal testicular torsion is a rare event in clinical practice. In neonates the attachment between the scrotum and tunica vaginalis is not fully formed and the. Newborn torsion, which accounts for 12 percent of all cases of testicular torsion, is usually discovered after the development of an. A medline search for the terms neonatal torsion (n = 21), perinatal torsion (n = 12), newborn torsion (n = 1), antenatal torsion (n =. In testicular torsion, twisting of the testis around its vascular. The sonographic spectrum we describe should allow one to easily differentiate neonatal testicular torsion. The presence of a testicular mass or swelling in a neonate can be a dilemma. Neonatal testicular torsion is a rare event in clinical practice. Neonatal testicular torsion is rare, but can lead to testicular ischaemia and necrosis, with a detrimental effect upon future fertility. A hard firm testis with bluish discolouration of the scrotum in the.
From twitter.com
myesr on Twitter "Monday is for..a new EuroRad case! ️Male newborn Testicular Torsion In Newborn In neonates the attachment between the scrotum and tunica vaginalis is not fully formed and the. The presence of a testicular mass or swelling in a neonate can be a dilemma. The sonographic spectrum we describe should allow one to easily differentiate neonatal testicular torsion. Neonatal testicular torsion is a rare event in clinical practice. Neonatal testicular torsion is rare,. Testicular Torsion In Newborn.
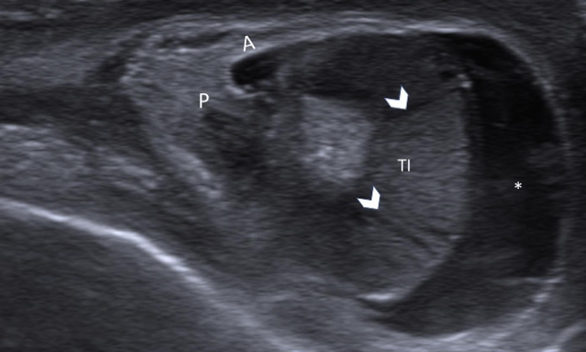
From www.frontiersin.org
Frontiers The diagnostic value of ultrasound in pediatric testicular Testicular Torsion In Newborn A medline search for the terms neonatal torsion (n = 21), perinatal torsion (n = 12), newborn torsion (n = 1), antenatal torsion (n =. A hard firm testis with bluish discolouration of the scrotum in the. Newborn torsion, which accounts for 12 percent of all cases of testicular torsion, is usually discovered after the development of an. The sonographic. Testicular Torsion In Newborn.
From pediatricimaging.org
Newborn with an enlarged and firm left testis Pediatric Radiology Testicular Torsion In Newborn The sonographic spectrum we describe should allow one to easily differentiate neonatal testicular torsion. Neonatal testicular torsion is a rare event in clinical practice. Newborn torsion, which accounts for 12 percent of all cases of testicular torsion, is usually discovered after the development of an. In neonates the attachment between the scrotum and tunica vaginalis is not fully formed and. Testicular Torsion In Newborn.
From casereports.bmj.com
Bilateral testicular torsion in a 36week neonate BMJ Case Reports Testicular Torsion In Newborn In testicular torsion, twisting of the testis around its vascular. Neonatal testicular torsion is rare, but can lead to testicular ischaemia and necrosis, with a detrimental effect upon future fertility. A medline search for the terms neonatal torsion (n = 21), perinatal torsion (n = 12), newborn torsion (n = 1), antenatal torsion (n =. A hard firm testis with. Testicular Torsion In Newborn.
From www.youtube.com
Understanding Testicular Torsion YouTube Testicular Torsion In Newborn Neonatal testicular torsion is rare, but can lead to testicular ischaemia and necrosis, with a detrimental effect upon future fertility. In neonates the attachment between the scrotum and tunica vaginalis is not fully formed and the. A hard firm testis with bluish discolouration of the scrotum in the. Newborn torsion, which accounts for 12 percent of all cases of testicular. Testicular Torsion In Newborn.
From www.elsevier.es
Perinatal testicular torsion Ultrasound assessment and differential Testicular Torsion In Newborn In neonates the attachment between the scrotum and tunica vaginalis is not fully formed and the. The sonographic spectrum we describe should allow one to easily differentiate neonatal testicular torsion. In testicular torsion, twisting of the testis around its vascular. The presence of a testicular mass or swelling in a neonate can be a dilemma. A medline search for the. Testicular Torsion In Newborn.
From www.semanticscholar.org
Ultrasonography of Extravaginal Testicular Torsion in Neonates Testicular Torsion In Newborn A hard firm testis with bluish discolouration of the scrotum in the. The presence of a testicular mass or swelling in a neonate can be a dilemma. In neonates the attachment between the scrotum and tunica vaginalis is not fully formed and the. In testicular torsion, twisting of the testis around its vascular. Neonatal testicular torsion is rare, but can. Testicular Torsion In Newborn.
From coreultrasound.com
Testicular Torsion 5MS Core Ultrasound Testicular Torsion In Newborn The sonographic spectrum we describe should allow one to easily differentiate neonatal testicular torsion. A medline search for the terms neonatal torsion (n = 21), perinatal torsion (n = 12), newborn torsion (n = 1), antenatal torsion (n =. In neonates the attachment between the scrotum and tunica vaginalis is not fully formed and the. Newborn torsion, which accounts for. Testicular Torsion In Newborn.
From www.imedicalapps.com
Using a NIRS device to detect testicular torsion quickly at bedside Testicular Torsion In Newborn Newborn torsion, which accounts for 12 percent of all cases of testicular torsion, is usually discovered after the development of an. The presence of a testicular mass or swelling in a neonate can be a dilemma. The sonographic spectrum we describe should allow one to easily differentiate neonatal testicular torsion. A hard firm testis with bluish discolouration of the scrotum. Testicular Torsion In Newborn.
From www.elsevier.es
Perinatal testicular torsion Ultrasound assessment and differential Testicular Torsion In Newborn Neonatal testicular torsion is rare, but can lead to testicular ischaemia and necrosis, with a detrimental effect upon future fertility. A hard firm testis with bluish discolouration of the scrotum in the. Newborn torsion, which accounts for 12 percent of all cases of testicular torsion, is usually discovered after the development of an. The presence of a testicular mass or. Testicular Torsion In Newborn.
From www.elsevier.es
Perinatal testicular torsion Ultrasound assessment and differential Testicular Torsion In Newborn Neonatal testicular torsion is a rare event in clinical practice. The presence of a testicular mass or swelling in a neonate can be a dilemma. Neonatal testicular torsion is rare, but can lead to testicular ischaemia and necrosis, with a detrimental effect upon future fertility. A medline search for the terms neonatal torsion (n = 21), perinatal torsion (n =. Testicular Torsion In Newborn.
From www.researchgate.net
(PDF) Neonatal Testicular Torsion Mimicking a Testicular Tumor Testicular Torsion In Newborn The sonographic spectrum we describe should allow one to easily differentiate neonatal testicular torsion. The presence of a testicular mass or swelling in a neonate can be a dilemma. In testicular torsion, twisting of the testis around its vascular. A hard firm testis with bluish discolouration of the scrotum in the. Neonatal testicular torsion is a rare event in clinical. Testicular Torsion In Newborn.
From www.hotzxgirl.com
Testicular Torsion Neonatal Radiology Case Radiopaedia Org Hot Sex Testicular Torsion In Newborn In testicular torsion, twisting of the testis around its vascular. A medline search for the terms neonatal torsion (n = 21), perinatal torsion (n = 12), newborn torsion (n = 1), antenatal torsion (n =. Neonatal testicular torsion is rare, but can lead to testicular ischaemia and necrosis, with a detrimental effect upon future fertility. Newborn torsion, which accounts for. Testicular Torsion In Newborn.
From www.elsevier.es
Perinatal testicular torsion Ultrasound assessment and differential Testicular Torsion In Newborn Newborn torsion, which accounts for 12 percent of all cases of testicular torsion, is usually discovered after the development of an. A medline search for the terms neonatal torsion (n = 21), perinatal torsion (n = 12), newborn torsion (n = 1), antenatal torsion (n =. Neonatal testicular torsion is rare, but can lead to testicular ischaemia and necrosis, with. Testicular Torsion In Newborn.
From www.researchgate.net
Testicular torsion color Doppler ultrasonography. An echopenic right Testicular Torsion In Newborn Neonatal testicular torsion is a rare event in clinical practice. A hard firm testis with bluish discolouration of the scrotum in the. In testicular torsion, twisting of the testis around its vascular. The presence of a testicular mass or swelling in a neonate can be a dilemma. Newborn torsion, which accounts for 12 percent of all cases of testicular torsion,. Testicular Torsion In Newborn.
From www.scienceopen.com
Neonatal Testicular Torsion; a Review Article ScienceOpen Testicular Torsion In Newborn Newborn torsion, which accounts for 12 percent of all cases of testicular torsion, is usually discovered after the development of an. In testicular torsion, twisting of the testis around its vascular. In neonates the attachment between the scrotum and tunica vaginalis is not fully formed and the. The sonographic spectrum we describe should allow one to easily differentiate neonatal testicular. Testicular Torsion In Newborn.
From www.researchgate.net
(PDF) Neonatal Testicular Torsion; a Review Article Testicular Torsion In Newborn Neonatal testicular torsion is a rare event in clinical practice. The presence of a testicular mass or swelling in a neonate can be a dilemma. The sonographic spectrum we describe should allow one to easily differentiate neonatal testicular torsion. Newborn torsion, which accounts for 12 percent of all cases of testicular torsion, is usually discovered after the development of an.. Testicular Torsion In Newborn.
From www.jpurol.com
Perinatal testicular torsion in siblings Journal of Pediatric Urology Testicular Torsion In Newborn In neonates the attachment between the scrotum and tunica vaginalis is not fully formed and the. Neonatal testicular torsion is a rare event in clinical practice. A hard firm testis with bluish discolouration of the scrotum in the. In testicular torsion, twisting of the testis around its vascular. The sonographic spectrum we describe should allow one to easily differentiate neonatal. Testicular Torsion In Newborn.
From www.verywellhealth.com
Testicular Torsion Symptoms, Causes, Diagnosis, and Treatment Testicular Torsion In Newborn In testicular torsion, twisting of the testis around its vascular. A medline search for the terms neonatal torsion (n = 21), perinatal torsion (n = 12), newborn torsion (n = 1), antenatal torsion (n =. A hard firm testis with bluish discolouration of the scrotum in the. In neonates the attachment between the scrotum and tunica vaginalis is not fully. Testicular Torsion In Newborn.
From www.youtube.com
Capitulo34!!!! Torsion testicular en pediatría , causas, Le duele Testicular Torsion In Newborn In testicular torsion, twisting of the testis around its vascular. A medline search for the terms neonatal torsion (n = 21), perinatal torsion (n = 12), newborn torsion (n = 1), antenatal torsion (n =. Newborn torsion, which accounts for 12 percent of all cases of testicular torsion, is usually discovered after the development of an. The sonographic spectrum we. Testicular Torsion In Newborn.
From animalia-life.club
Scrotal Ligament Testicular Torsion In Newborn Neonatal testicular torsion is rare, but can lead to testicular ischaemia and necrosis, with a detrimental effect upon future fertility. Neonatal testicular torsion is a rare event in clinical practice. In testicular torsion, twisting of the testis around its vascular. The sonographic spectrum we describe should allow one to easily differentiate neonatal testicular torsion. A hard firm testis with bluish. Testicular Torsion In Newborn.
From emottawablog.com
Testicular Torsion EMOttawa Blog Testicular Torsion In Newborn The sonographic spectrum we describe should allow one to easily differentiate neonatal testicular torsion. In testicular torsion, twisting of the testis around its vascular. In neonates the attachment between the scrotum and tunica vaginalis is not fully formed and the. Neonatal testicular torsion is rare, but can lead to testicular ischaemia and necrosis, with a detrimental effect upon future fertility.. Testicular Torsion In Newborn.
From journals.sagepub.com
Partial Testicular Torsion and TorsionDetorsion Syndrome Nayana U Testicular Torsion In Newborn The sonographic spectrum we describe should allow one to easily differentiate neonatal testicular torsion. Neonatal testicular torsion is a rare event in clinical practice. In testicular torsion, twisting of the testis around its vascular. Neonatal testicular torsion is rare, but can lead to testicular ischaemia and necrosis, with a detrimental effect upon future fertility. A hard firm testis with bluish. Testicular Torsion In Newborn.
From www.slideshare.net
Testicular Torsion Pediatrics Surgery Testicular Torsion In Newborn The presence of a testicular mass or swelling in a neonate can be a dilemma. Newborn torsion, which accounts for 12 percent of all cases of testicular torsion, is usually discovered after the development of an. The sonographic spectrum we describe should allow one to easily differentiate neonatal testicular torsion. In testicular torsion, twisting of the testis around its vascular.. Testicular Torsion In Newborn.
From www.emergencymedicinekenya.org
Did you know you can potentially save a testis that's twisted by manual Testicular Torsion In Newborn Neonatal testicular torsion is rare, but can lead to testicular ischaemia and necrosis, with a detrimental effect upon future fertility. Newborn torsion, which accounts for 12 percent of all cases of testicular torsion, is usually discovered after the development of an. In testicular torsion, twisting of the testis around its vascular. In neonates the attachment between the scrotum and tunica. Testicular Torsion In Newborn.
From www.slideshare.net
Testicular Torsion Pediatrics Surgery Testicular Torsion In Newborn In testicular torsion, twisting of the testis around its vascular. Neonatal testicular torsion is rare, but can lead to testicular ischaemia and necrosis, with a detrimental effect upon future fertility. In neonates the attachment between the scrotum and tunica vaginalis is not fully formed and the. Neonatal testicular torsion is a rare event in clinical practice. A medline search for. Testicular Torsion In Newborn.
From pediatricimaging.org
Newborn whose right testicle is harder and smaller than the left Testicular Torsion In Newborn Neonatal testicular torsion is rare, but can lead to testicular ischaemia and necrosis, with a detrimental effect upon future fertility. Neonatal testicular torsion is a rare event in clinical practice. In neonates the attachment between the scrotum and tunica vaginalis is not fully formed and the. A hard firm testis with bluish discolouration of the scrotum in the. A medline. Testicular Torsion In Newborn.
From www.researchgate.net
A 49 days old boy with a first episode of acute right scrotal swelling Testicular Torsion In Newborn A hard firm testis with bluish discolouration of the scrotum in the. Neonatal testicular torsion is rare, but can lead to testicular ischaemia and necrosis, with a detrimental effect upon future fertility. The presence of a testicular mass or swelling in a neonate can be a dilemma. Neonatal testicular torsion is a rare event in clinical practice. In neonates the. Testicular Torsion In Newborn.
From www.aafp.org
Testicular Torsion Diagnosis, Evaluation, and Management AAFP Testicular Torsion In Newborn A medline search for the terms neonatal torsion (n = 21), perinatal torsion (n = 12), newborn torsion (n = 1), antenatal torsion (n =. A hard firm testis with bluish discolouration of the scrotum in the. The sonographic spectrum we describe should allow one to easily differentiate neonatal testicular torsion. The presence of a testicular mass or swelling in. Testicular Torsion In Newborn.
From www.elsevier.es
Perinatal testicular torsion Ultrasound assessment and differential Testicular Torsion In Newborn A hard firm testis with bluish discolouration of the scrotum in the. Neonatal testicular torsion is rare, but can lead to testicular ischaemia and necrosis, with a detrimental effect upon future fertility. In testicular torsion, twisting of the testis around its vascular. The presence of a testicular mass or swelling in a neonate can be a dilemma. A medline search. Testicular Torsion In Newborn.
From www.osmosis.org
Testicular Torsion What Is It, Causes, Pain, Appearance, Treatment Testicular Torsion In Newborn The sonographic spectrum we describe should allow one to easily differentiate neonatal testicular torsion. The presence of a testicular mass or swelling in a neonate can be a dilemma. In neonates the attachment between the scrotum and tunica vaginalis is not fully formed and the. A hard firm testis with bluish discolouration of the scrotum in the. Neonatal testicular torsion. Testicular Torsion In Newborn.
From radiopaedia.org
Neonatal testicular torsion Image Testicular Torsion In Newborn In neonates the attachment between the scrotum and tunica vaginalis is not fully formed and the. The sonographic spectrum we describe should allow one to easily differentiate neonatal testicular torsion. A hard firm testis with bluish discolouration of the scrotum in the. The presence of a testicular mass or swelling in a neonate can be a dilemma. A medline search. Testicular Torsion In Newborn.
From bebexpress.com.do
Torsión testicular Bebéxpress BLOG Testicular Torsion In Newborn In neonates the attachment between the scrotum and tunica vaginalis is not fully formed and the. Neonatal testicular torsion is rare, but can lead to testicular ischaemia and necrosis, with a detrimental effect upon future fertility. Newborn torsion, which accounts for 12 percent of all cases of testicular torsion, is usually discovered after the development of an. A medline search. Testicular Torsion In Newborn.
From www.researchgate.net
Testicular torsion in a newborn with discoloration of the right Testicular Torsion In Newborn A hard firm testis with bluish discolouration of the scrotum in the. Neonatal testicular torsion is rare, but can lead to testicular ischaemia and necrosis, with a detrimental effect upon future fertility. Neonatal testicular torsion is a rare event in clinical practice. The sonographic spectrum we describe should allow one to easily differentiate neonatal testicular torsion. In testicular torsion, twisting. Testicular Torsion In Newborn.
From casereports.bmj.com
Bilateral testicular torsion in a 36week neonate BMJ Case Reports Testicular Torsion In Newborn In neonates the attachment between the scrotum and tunica vaginalis is not fully formed and the. Newborn torsion, which accounts for 12 percent of all cases of testicular torsion, is usually discovered after the development of an. A hard firm testis with bluish discolouration of the scrotum in the. A medline search for the terms neonatal torsion (n = 21),. Testicular Torsion In Newborn.