Rib Bone Tumor . Benign bone tumors are bone tumors that are not cancerous. Chest wall cancer is cancer of the bone, cartilage, or soft tissue that protects and supports the organs in the chest cavity. Types of primary cancerous chest wall tumors include: The most common of the. Forms in cartilage and can spread to bones, usually your. Some types of bone cancers mostly happen in children. The chest wall is made up of the bones of the spine, ribs, and sternum, as well as the muscles, fat, connective tissues, and nerves attached to them. The prevalence of tumors of the rib bones ranges from 3 to 8% depending on the series [1], [2]. Rib neoplasms are a diverse group of benign and malignant entities, which often makes determining an accurate diagnosis. The spectrum of rib lesions ranges from benign entities such as fibrous dysplasia (fd) to aggressive malignancies including metastases; These tumors may cause pain that gets worse and not better. Other types happen mostly in adults.
from www.semanticscholar.org
Benign bone tumors are bone tumors that are not cancerous. These tumors may cause pain that gets worse and not better. Other types happen mostly in adults. The prevalence of tumors of the rib bones ranges from 3 to 8% depending on the series [1], [2]. The spectrum of rib lesions ranges from benign entities such as fibrous dysplasia (fd) to aggressive malignancies including metastases; Chest wall cancer is cancer of the bone, cartilage, or soft tissue that protects and supports the organs in the chest cavity. The most common of the. The chest wall is made up of the bones of the spine, ribs, and sternum, as well as the muscles, fat, connective tissues, and nerves attached to them. Some types of bone cancers mostly happen in children. Forms in cartilage and can spread to bones, usually your.
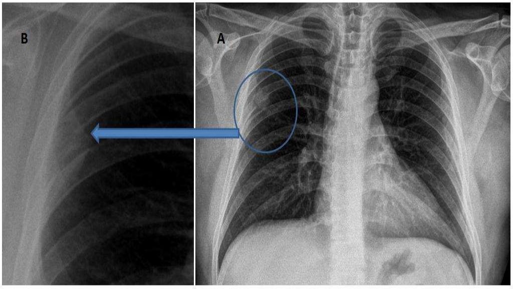
Figure 1 from Osteochondroma of the Rib a rare radiological apeareance
Rib Bone Tumor Chest wall cancer is cancer of the bone, cartilage, or soft tissue that protects and supports the organs in the chest cavity. The chest wall is made up of the bones of the spine, ribs, and sternum, as well as the muscles, fat, connective tissues, and nerves attached to them. The prevalence of tumors of the rib bones ranges from 3 to 8% depending on the series [1], [2]. Benign bone tumors are bone tumors that are not cancerous. These tumors may cause pain that gets worse and not better. Chest wall cancer is cancer of the bone, cartilage, or soft tissue that protects and supports the organs in the chest cavity. The spectrum of rib lesions ranges from benign entities such as fibrous dysplasia (fd) to aggressive malignancies including metastases; The most common of the. Forms in cartilage and can spread to bones, usually your. Other types happen mostly in adults. Types of primary cancerous chest wall tumors include: Some types of bone cancers mostly happen in children. Rib neoplasms are a diverse group of benign and malignant entities, which often makes determining an accurate diagnosis.
From mavink.com
Tumor On Chest X Ray Rib Bone Tumor Forms in cartilage and can spread to bones, usually your. The most common of the. Other types happen mostly in adults. Rib neoplasms are a diverse group of benign and malignant entities, which often makes determining an accurate diagnosis. The prevalence of tumors of the rib bones ranges from 3 to 8% depending on the series [1], [2]. The spectrum. Rib Bone Tumor.
From www.researchgate.net
CT scan images of a patient with rib fracture. The same patient as Rib Bone Tumor The most common of the. Some types of bone cancers mostly happen in children. The spectrum of rib lesions ranges from benign entities such as fibrous dysplasia (fd) to aggressive malignancies including metastases; Forms in cartilage and can spread to bones, usually your. These tumors may cause pain that gets worse and not better. The chest wall is made up. Rib Bone Tumor.
From www.siemens-healthineers.com
Differentiation of a rib benign lesion from a metastasis using xSPECT Rib Bone Tumor Types of primary cancerous chest wall tumors include: Some types of bone cancers mostly happen in children. Benign bone tumors are bone tumors that are not cancerous. Chest wall cancer is cancer of the bone, cartilage, or soft tissue that protects and supports the organs in the chest cavity. The chest wall is made up of the bones of the. Rib Bone Tumor.
From www.semanticscholar.org
Figure 1 from Osteochondroma of the Rib a rare radiological apeareance Rib Bone Tumor Types of primary cancerous chest wall tumors include: Forms in cartilage and can spread to bones, usually your. Rib neoplasms are a diverse group of benign and malignant entities, which often makes determining an accurate diagnosis. These tumors may cause pain that gets worse and not better. Benign bone tumors are bone tumors that are not cancerous. Other types happen. Rib Bone Tumor.
From mmsjournals.org
Atypical presentation of a Rib Malta Medical Journal Rib Bone Tumor Chest wall cancer is cancer of the bone, cartilage, or soft tissue that protects and supports the organs in the chest cavity. The spectrum of rib lesions ranges from benign entities such as fibrous dysplasia (fd) to aggressive malignancies including metastases; Types of primary cancerous chest wall tumors include: Forms in cartilage and can spread to bones, usually your. The. Rib Bone Tumor.
From anatomybody99.storage.googleapis.com
ribs bone anatomy Rib Bone Tumor Types of primary cancerous chest wall tumors include: Benign bone tumors are bone tumors that are not cancerous. Chest wall cancer is cancer of the bone, cartilage, or soft tissue that protects and supports the organs in the chest cavity. The chest wall is made up of the bones of the spine, ribs, and sternum, as well as the muscles,. Rib Bone Tumor.
From www.regmednet.com
3D printed rib implanted to replace bone corrupted by tumors Rib Bone Tumor Benign bone tumors are bone tumors that are not cancerous. Rib neoplasms are a diverse group of benign and malignant entities, which often makes determining an accurate diagnosis. The spectrum of rib lesions ranges from benign entities such as fibrous dysplasia (fd) to aggressive malignancies including metastases; Forms in cartilage and can spread to bones, usually your. The chest wall. Rib Bone Tumor.
From www.animalcancersurgeon.com
Bone Tumors Rib — DR. JULIUS M. LIPTAK Rib Bone Tumor The prevalence of tumors of the rib bones ranges from 3 to 8% depending on the series [1], [2]. Rib neoplasms are a diverse group of benign and malignant entities, which often makes determining an accurate diagnosis. Chest wall cancer is cancer of the bone, cartilage, or soft tissue that protects and supports the organs in the chest cavity. The. Rib Bone Tumor.
From www.svuhradiology.ie
Myeloma in rib Radiology at St. Vincent's University Hospital Rib Bone Tumor The most common of the. Other types happen mostly in adults. These tumors may cause pain that gets worse and not better. Chest wall cancer is cancer of the bone, cartilage, or soft tissue that protects and supports the organs in the chest cavity. The prevalence of tumors of the rib bones ranges from 3 to 8% depending on the. Rib Bone Tumor.
From www.animalcancersurgeon.com
Bone Tumors Rib — DR. JULIUS LIPTAK Rib Bone Tumor Chest wall cancer is cancer of the bone, cartilage, or soft tissue that protects and supports the organs in the chest cavity. Forms in cartilage and can spread to bones, usually your. The most common of the. Rib neoplasms are a diverse group of benign and malignant entities, which often makes determining an accurate diagnosis. The chest wall is made. Rib Bone Tumor.
From www.animalcancersurgeon.com
Bone Tumors Rib — DR. JULIUS LIPTAK Rib Bone Tumor Some types of bone cancers mostly happen in children. The spectrum of rib lesions ranges from benign entities such as fibrous dysplasia (fd) to aggressive malignancies including metastases; The prevalence of tumors of the rib bones ranges from 3 to 8% depending on the series [1], [2]. Other types happen mostly in adults. The chest wall is made up of. Rib Bone Tumor.
From www.ajronline.org
CT of Rib Lesions AJR Rib Bone Tumor Types of primary cancerous chest wall tumors include: Benign bone tumors are bone tumors that are not cancerous. The chest wall is made up of the bones of the spine, ribs, and sternum, as well as the muscles, fat, connective tissues, and nerves attached to them. Chest wall cancer is cancer of the bone, cartilage, or soft tissue that protects. Rib Bone Tumor.
From www.eurorad.org
Rib fibrous dysplasia associated with aneurysmal bone cyst Eurorad Rib Bone Tumor Rib neoplasms are a diverse group of benign and malignant entities, which often makes determining an accurate diagnosis. Chest wall cancer is cancer of the bone, cartilage, or soft tissue that protects and supports the organs in the chest cavity. The chest wall is made up of the bones of the spine, ribs, and sternum, as well as the muscles,. Rib Bone Tumor.
From www.semanticscholar.org
Figure 1 from A giant cell tumor of the bone in the rib cage left to Rib Bone Tumor Benign bone tumors are bone tumors that are not cancerous. The most common of the. Other types happen mostly in adults. Some types of bone cancers mostly happen in children. Types of primary cancerous chest wall tumors include: Rib neoplasms are a diverse group of benign and malignant entities, which often makes determining an accurate diagnosis. The spectrum of rib. Rib Bone Tumor.
From www.researchgate.net
Conventional radiograph of the left lower ribs shows a... Download Rib Bone Tumor The most common of the. The prevalence of tumors of the rib bones ranges from 3 to 8% depending on the series [1], [2]. Some types of bone cancers mostly happen in children. Rib neoplasms are a diverse group of benign and malignant entities, which often makes determining an accurate diagnosis. Chest wall cancer is cancer of the bone, cartilage,. Rib Bone Tumor.
From www.degruyter.com
Hemangioma of the rib a rare case report and literature review Rib Bone Tumor Rib neoplasms are a diverse group of benign and malignant entities, which often makes determining an accurate diagnosis. These tumors may cause pain that gets worse and not better. The spectrum of rib lesions ranges from benign entities such as fibrous dysplasia (fd) to aggressive malignancies including metastases; The chest wall is made up of the bones of the spine,. Rib Bone Tumor.
From www.animalcancersurgeon.com
Bone Tumors Rib — DR. JULIUS M. LIPTAK Rib Bone Tumor Forms in cartilage and can spread to bones, usually your. The most common of the. Types of primary cancerous chest wall tumors include: Other types happen mostly in adults. Benign bone tumors are bone tumors that are not cancerous. Some types of bone cancers mostly happen in children. The chest wall is made up of the bones of the spine,. Rib Bone Tumor.
From www.animalcancersurgeon.com
Bone Tumors Pelvic — DR. JULIUS M. LIPTAK Rib Bone Tumor Types of primary cancerous chest wall tumors include: The prevalence of tumors of the rib bones ranges from 3 to 8% depending on the series [1], [2]. Benign bone tumors are bone tumors that are not cancerous. Some types of bone cancers mostly happen in children. Other types happen mostly in adults. These tumors may cause pain that gets worse. Rib Bone Tumor.
From www.ajronline.org
CT of Rib Lesions AJR Rib Bone Tumor The prevalence of tumors of the rib bones ranges from 3 to 8% depending on the series [1], [2]. Other types happen mostly in adults. These tumors may cause pain that gets worse and not better. The most common of the. Types of primary cancerous chest wall tumors include: The chest wall is made up of the bones of the. Rib Bone Tumor.
From www.researchgate.net
(PDF) Benign rib tumors a case series from tertiary care Centre of Rib Bone Tumor Other types happen mostly in adults. Rib neoplasms are a diverse group of benign and malignant entities, which often makes determining an accurate diagnosis. Chest wall cancer is cancer of the bone, cartilage, or soft tissue that protects and supports the organs in the chest cavity. The chest wall is made up of the bones of the spine, ribs, and. Rib Bone Tumor.
From www.mdpi.com
JPM Free FullText Effects of TumorRib Distance and DoseDependent Rib Bone Tumor Some types of bone cancers mostly happen in children. Benign bone tumors are bone tumors that are not cancerous. Forms in cartilage and can spread to bones, usually your. Chest wall cancer is cancer of the bone, cartilage, or soft tissue that protects and supports the organs in the chest cavity. The prevalence of tumors of the rib bones ranges. Rib Bone Tumor.
From www.researchgate.net
Chest CT scan tumor of the 6th left rib without invasion of adjacent Rib Bone Tumor Types of primary cancerous chest wall tumors include: The spectrum of rib lesions ranges from benign entities such as fibrous dysplasia (fd) to aggressive malignancies including metastases; Some types of bone cancers mostly happen in children. The most common of the. Other types happen mostly in adults. Forms in cartilage and can spread to bones, usually your. Benign bone tumors. Rib Bone Tumor.
From radiologyassistant.nl
The Radiology Assistant Bone tumor Differential diagnosis and Rib Bone Tumor Other types happen mostly in adults. Chest wall cancer is cancer of the bone, cartilage, or soft tissue that protects and supports the organs in the chest cavity. Forms in cartilage and can spread to bones, usually your. These tumors may cause pain that gets worse and not better. The spectrum of rib lesions ranges from benign entities such as. Rib Bone Tumor.
From www.svuhradiology.ie
Lung cancer with bone metastasis Radiology at St. Vincent's Rib Bone Tumor Types of primary cancerous chest wall tumors include: Benign bone tumors are bone tumors that are not cancerous. The prevalence of tumors of the rib bones ranges from 3 to 8% depending on the series [1], [2]. Rib neoplasms are a diverse group of benign and malignant entities, which often makes determining an accurate diagnosis. The spectrum of rib lesions. Rib Bone Tumor.
From www.slideshare.net
Malignant bone tumors 2 Rib Bone Tumor Some types of bone cancers mostly happen in children. Rib neoplasms are a diverse group of benign and malignant entities, which often makes determining an accurate diagnosis. The most common of the. Types of primary cancerous chest wall tumors include: Benign bone tumors are bone tumors that are not cancerous. Forms in cartilage and can spread to bones, usually your.. Rib Bone Tumor.
From www.spandidos-publications.com
Osteoid osteoma of the rib A report of two cases Rib Bone Tumor Forms in cartilage and can spread to bones, usually your. The chest wall is made up of the bones of the spine, ribs, and sternum, as well as the muscles, fat, connective tissues, and nerves attached to them. Types of primary cancerous chest wall tumors include: Other types happen mostly in adults. The spectrum of rib lesions ranges from benign. Rib Bone Tumor.
From www.kenhub.com
Giant first rib tumor Clinical case, imaging and surgery Kenhub Rib Bone Tumor Some types of bone cancers mostly happen in children. Other types happen mostly in adults. The spectrum of rib lesions ranges from benign entities such as fibrous dysplasia (fd) to aggressive malignancies including metastases; Types of primary cancerous chest wall tumors include: The prevalence of tumors of the rib bones ranges from 3 to 8% depending on the series [1],. Rib Bone Tumor.
From www.researchgate.net
Chest x ray showing tumor of 6 th rib on right side Download Rib Bone Tumor Other types happen mostly in adults. Rib neoplasms are a diverse group of benign and malignant entities, which often makes determining an accurate diagnosis. The most common of the. Types of primary cancerous chest wall tumors include: Chest wall cancer is cancer of the bone, cartilage, or soft tissue that protects and supports the organs in the chest cavity. These. Rib Bone Tumor.
From www.researchgate.net
(A) A plain radiograph showing the bone tumor with ballooning on the Rib Bone Tumor These tumors may cause pain that gets worse and not better. Types of primary cancerous chest wall tumors include: Forms in cartilage and can spread to bones, usually your. Chest wall cancer is cancer of the bone, cartilage, or soft tissue that protects and supports the organs in the chest cavity. The spectrum of rib lesions ranges from benign entities. Rib Bone Tumor.
From www.wjgnet.com
Traumatic giant cell tumor of rib A case report Rib Bone Tumor The spectrum of rib lesions ranges from benign entities such as fibrous dysplasia (fd) to aggressive malignancies including metastases; Forms in cartilage and can spread to bones, usually your. Rib neoplasms are a diverse group of benign and malignant entities, which often makes determining an accurate diagnosis. Benign bone tumors are bone tumors that are not cancerous. The most common. Rib Bone Tumor.
From www.radiologymasterclass.co.uk
Chest Xray Lung cancer Bone disease Rib Bone Tumor Forms in cartilage and can spread to bones, usually your. The prevalence of tumors of the rib bones ranges from 3 to 8% depending on the series [1], [2]. The most common of the. Types of primary cancerous chest wall tumors include: Rib neoplasms are a diverse group of benign and malignant entities, which often makes determining an accurate diagnosis.. Rib Bone Tumor.
From www.semanticscholar.org
Figure 1 from Giant Cell Tumor of Bone of the First Rib Successfully Rib Bone Tumor The most common of the. Types of primary cancerous chest wall tumors include: Rib neoplasms are a diverse group of benign and malignant entities, which often makes determining an accurate diagnosis. Benign bone tumors are bone tumors that are not cancerous. Chest wall cancer is cancer of the bone, cartilage, or soft tissue that protects and supports the organs in. Rib Bone Tumor.
From www.siemens-healthineers.com
Differentiation of a rib benign lesion from a metastasis using xSPECT Rib Bone Tumor Forms in cartilage and can spread to bones, usually your. Some types of bone cancers mostly happen in children. Rib neoplasms are a diverse group of benign and malignant entities, which often makes determining an accurate diagnosis. These tumors may cause pain that gets worse and not better. Benign bone tumors are bone tumors that are not cancerous. The spectrum. Rib Bone Tumor.
From www.cureus.com
Cureus Osteochondroma of the Rib A Potentially LifeThreatening Rib Bone Tumor Chest wall cancer is cancer of the bone, cartilage, or soft tissue that protects and supports the organs in the chest cavity. The most common of the. The prevalence of tumors of the rib bones ranges from 3 to 8% depending on the series [1], [2]. Types of primary cancerous chest wall tumors include: Some types of bone cancers mostly. Rib Bone Tumor.
From www.ajronline.org
The Spectrum of Rib Neoplasms in Adults A Practical Approach and Rib Bone Tumor Some types of bone cancers mostly happen in children. Other types happen mostly in adults. Rib neoplasms are a diverse group of benign and malignant entities, which often makes determining an accurate diagnosis. The most common of the. The spectrum of rib lesions ranges from benign entities such as fibrous dysplasia (fd) to aggressive malignancies including metastases; Forms in cartilage. Rib Bone Tumor.