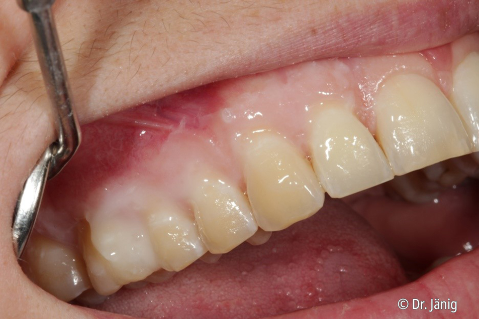
What Is Enamelast Fluoride Varnish Used For . enamelast fluoride varnish's superior retention promotes enhanced and sustained fluoride release. best of all, this fluoride varnish displays remarkably high fluoride uptake rates, which, she believes, is the most important function of a fluoride treatment or. enamelast fluoride varnish's superior adhesion, fluoride release, and fluoride uptake, as well as its great taste, smooth texture, and nearly. an enamelast fluoride varnish application leaves patients’ teeth feeling clean and smooth and has a nearly invisible.
from www.ultradent.com
enamelast fluoride varnish's superior retention promotes enhanced and sustained fluoride release. best of all, this fluoride varnish displays remarkably high fluoride uptake rates, which, she believes, is the most important function of a fluoride treatment or. enamelast fluoride varnish's superior adhesion, fluoride release, and fluoride uptake, as well as its great taste, smooth texture, and nearly. an enamelast fluoride varnish application leaves patients’ teeth feeling clean and smooth and has a nearly invisible.
The Arch, an Ultradent Blog Fluoride Varnish Balancing What You Need
What Is Enamelast Fluoride Varnish Used For best of all, this fluoride varnish displays remarkably high fluoride uptake rates, which, she believes, is the most important function of a fluoride treatment or. enamelast fluoride varnish's superior adhesion, fluoride release, and fluoride uptake, as well as its great taste, smooth texture, and nearly. an enamelast fluoride varnish application leaves patients’ teeth feeling clean and smooth and has a nearly invisible. enamelast fluoride varnish's superior retention promotes enhanced and sustained fluoride release. best of all, this fluoride varnish displays remarkably high fluoride uptake rates, which, she believes, is the most important function of a fluoride treatment or.
From edentalmart.com
Enamelast (Fluoride Varnish) EDental Mart What Is Enamelast Fluoride Varnish Used For an enamelast fluoride varnish application leaves patients’ teeth feeling clean and smooth and has a nearly invisible. enamelast fluoride varnish's superior adhesion, fluoride release, and fluoride uptake, as well as its great taste, smooth texture, and nearly. enamelast fluoride varnish's superior retention promotes enhanced and sustained fluoride release. best of all, this fluoride varnish displays remarkably. What Is Enamelast Fluoride Varnish Used For.
From eu.ultradent.blog
Enamelast™ fluoride varnish Combining an excellent fluoride release What Is Enamelast Fluoride Varnish Used For best of all, this fluoride varnish displays remarkably high fluoride uptake rates, which, she believes, is the most important function of a fluoride treatment or. enamelast fluoride varnish's superior adhesion, fluoride release, and fluoride uptake, as well as its great taste, smooth texture, and nearly. enamelast fluoride varnish's superior retention promotes enhanced and sustained fluoride release. . What Is Enamelast Fluoride Varnish Used For.
From www.tv.odontologiavirtual.com
ENAMELAST Fluoride Varnish Learn how to apply step by step What Is Enamelast Fluoride Varnish Used For best of all, this fluoride varnish displays remarkably high fluoride uptake rates, which, she believes, is the most important function of a fluoride treatment or. an enamelast fluoride varnish application leaves patients’ teeth feeling clean and smooth and has a nearly invisible. enamelast fluoride varnish's superior retention promotes enhanced and sustained fluoride release. enamelast fluoride varnish's. What Is Enamelast Fluoride Varnish Used For.
From www.meetrv.com
Everything You Need to Know About Fluoride Varnish What Is Enamelast Fluoride Varnish Used For an enamelast fluoride varnish application leaves patients’ teeth feeling clean and smooth and has a nearly invisible. enamelast fluoride varnish's superior retention promotes enhanced and sustained fluoride release. enamelast fluoride varnish's superior adhesion, fluoride release, and fluoride uptake, as well as its great taste, smooth texture, and nearly. best of all, this fluoride varnish displays remarkably. What Is Enamelast Fluoride Varnish Used For.
From www.adamdental.com.au
Ultradent Enamelast Fluoride Varnish Unit Dose Adam Dental Supplies What Is Enamelast Fluoride Varnish Used For an enamelast fluoride varnish application leaves patients’ teeth feeling clean and smooth and has a nearly invisible. enamelast fluoride varnish's superior adhesion, fluoride release, and fluoride uptake, as well as its great taste, smooth texture, and nearly. best of all, this fluoride varnish displays remarkably high fluoride uptake rates, which, she believes, is the most important function. What Is Enamelast Fluoride Varnish Used For.
From www.ultradent.com
The Arch, an Ultradent Blog Fluoride Varnish Balancing What You Need What Is Enamelast Fluoride Varnish Used For best of all, this fluoride varnish displays remarkably high fluoride uptake rates, which, she believes, is the most important function of a fluoride treatment or. enamelast fluoride varnish's superior retention promotes enhanced and sustained fluoride release. enamelast fluoride varnish's superior adhesion, fluoride release, and fluoride uptake, as well as its great taste, smooth texture, and nearly. . What Is Enamelast Fluoride Varnish Used For.
From eu.ultradent.blog
Enamelast™ fluoride varnish Combining an excellent fluoride release What Is Enamelast Fluoride Varnish Used For best of all, this fluoride varnish displays remarkably high fluoride uptake rates, which, she believes, is the most important function of a fluoride treatment or. an enamelast fluoride varnish application leaves patients’ teeth feeling clean and smooth and has a nearly invisible. enamelast fluoride varnish's superior adhesion, fluoride release, and fluoride uptake, as well as its great. What Is Enamelast Fluoride Varnish Used For.
From www.youtube.com
Enamelast™ fluoride varnish vs Competitor varnish YouTube What Is Enamelast Fluoride Varnish Used For an enamelast fluoride varnish application leaves patients’ teeth feeling clean and smooth and has a nearly invisible. enamelast fluoride varnish's superior adhesion, fluoride release, and fluoride uptake, as well as its great taste, smooth texture, and nearly. enamelast fluoride varnish's superior retention promotes enhanced and sustained fluoride release. best of all, this fluoride varnish displays remarkably. What Is Enamelast Fluoride Varnish Used For.
From eu.ultradent.blog
Enamelast™ fluoride varnish Combining an excellent fluoride release What Is Enamelast Fluoride Varnish Used For an enamelast fluoride varnish application leaves patients’ teeth feeling clean and smooth and has a nearly invisible. best of all, this fluoride varnish displays remarkably high fluoride uptake rates, which, she believes, is the most important function of a fluoride treatment or. enamelast fluoride varnish's superior retention promotes enhanced and sustained fluoride release. enamelast fluoride varnish's. What Is Enamelast Fluoride Varnish Used For.
From eu.ultradent.blog
Enamelast™ fluoride varnish Combining an excellent fluoride release What Is Enamelast Fluoride Varnish Used For an enamelast fluoride varnish application leaves patients’ teeth feeling clean and smooth and has a nearly invisible. enamelast fluoride varnish's superior retention promotes enhanced and sustained fluoride release. best of all, this fluoride varnish displays remarkably high fluoride uptake rates, which, she believes, is the most important function of a fluoride treatment or. enamelast fluoride varnish's. What Is Enamelast Fluoride Varnish Used For.
From www.dentaladvance.com.br
Enamelast Fluoride Varnish 2 seringas Ultradent What Is Enamelast Fluoride Varnish Used For best of all, this fluoride varnish displays remarkably high fluoride uptake rates, which, she believes, is the most important function of a fluoride treatment or. an enamelast fluoride varnish application leaves patients’ teeth feeling clean and smooth and has a nearly invisible. enamelast fluoride varnish's superior adhesion, fluoride release, and fluoride uptake, as well as its great. What Is Enamelast Fluoride Varnish Used For.
From marlettaenterprises.com
Enamelast Fluoride Varnish 2 Pack Syringe Walterberry Flavour What Is Enamelast Fluoride Varnish Used For best of all, this fluoride varnish displays remarkably high fluoride uptake rates, which, she believes, is the most important function of a fluoride treatment or. enamelast fluoride varnish's superior retention promotes enhanced and sustained fluoride release. an enamelast fluoride varnish application leaves patients’ teeth feeling clean and smooth and has a nearly invisible. enamelast fluoride varnish's. What Is Enamelast Fluoride Varnish Used For.
From garimadental.com
Ultradent Enamelast® Fluoride Varnish Unit dose Garima Dental Suppliers What Is Enamelast Fluoride Varnish Used For enamelast fluoride varnish's superior adhesion, fluoride release, and fluoride uptake, as well as its great taste, smooth texture, and nearly. enamelast fluoride varnish's superior retention promotes enhanced and sustained fluoride release. best of all, this fluoride varnish displays remarkably high fluoride uptake rates, which, she believes, is the most important function of a fluoride treatment or. . What Is Enamelast Fluoride Varnish Used For.
From elevatedental.ph
Fluoride Treatment Philippines What Is Enamelast Fluoride Varnish Used For enamelast fluoride varnish's superior retention promotes enhanced and sustained fluoride release. best of all, this fluoride varnish displays remarkably high fluoride uptake rates, which, she believes, is the most important function of a fluoride treatment or. enamelast fluoride varnish's superior adhesion, fluoride release, and fluoride uptake, as well as its great taste, smooth texture, and nearly. . What Is Enamelast Fluoride Varnish Used For.
From buydental.pk
ULTRADENT ENAMELAST FLUORIDE VARNISH Buy Dental What Is Enamelast Fluoride Varnish Used For an enamelast fluoride varnish application leaves patients’ teeth feeling clean and smooth and has a nearly invisible. enamelast fluoride varnish's superior adhesion, fluoride release, and fluoride uptake, as well as its great taste, smooth texture, and nearly. enamelast fluoride varnish's superior retention promotes enhanced and sustained fluoride release. best of all, this fluoride varnish displays remarkably. What Is Enamelast Fluoride Varnish Used For.
From www.clinicalresearchdental.com
Ultradent Enamelast Fluoride Varnish Clinical Research Dental What Is Enamelast Fluoride Varnish Used For best of all, this fluoride varnish displays remarkably high fluoride uptake rates, which, she believes, is the most important function of a fluoride treatment or. enamelast fluoride varnish's superior adhesion, fluoride release, and fluoride uptake, as well as its great taste, smooth texture, and nearly. enamelast fluoride varnish's superior retention promotes enhanced and sustained fluoride release. . What Is Enamelast Fluoride Varnish Used For.
From orthoby.ch
Enamelast™ fluoride varnish ORTHOBY Feldmann Dental What Is Enamelast Fluoride Varnish Used For enamelast fluoride varnish's superior retention promotes enhanced and sustained fluoride release. best of all, this fluoride varnish displays remarkably high fluoride uptake rates, which, she believes, is the most important function of a fluoride treatment or. an enamelast fluoride varnish application leaves patients’ teeth feeling clean and smooth and has a nearly invisible. enamelast fluoride varnish's. What Is Enamelast Fluoride Varnish Used For.
From dxozuzwqs.blob.core.windows.net
Enamelast Fluoride Varnish Contraindications at Wilbur Serrano blog What Is Enamelast Fluoride Varnish Used For enamelast fluoride varnish's superior retention promotes enhanced and sustained fluoride release. enamelast fluoride varnish's superior adhesion, fluoride release, and fluoride uptake, as well as its great taste, smooth texture, and nearly. an enamelast fluoride varnish application leaves patients’ teeth feeling clean and smooth and has a nearly invisible. best of all, this fluoride varnish displays remarkably. What Is Enamelast Fluoride Varnish Used For.
From eu.ultradent.blog
Enamelast™ fluoride varnish Combining an excellent fluoride release What Is Enamelast Fluoride Varnish Used For best of all, this fluoride varnish displays remarkably high fluoride uptake rates, which, she believes, is the most important function of a fluoride treatment or. enamelast fluoride varnish's superior adhesion, fluoride release, and fluoride uptake, as well as its great taste, smooth texture, and nearly. an enamelast fluoride varnish application leaves patients’ teeth feeling clean and smooth. What Is Enamelast Fluoride Varnish Used For.
From en.ultradent.blog
Benefits That Last Enamelast™ Fluoride Varnish What Is Enamelast Fluoride Varnish Used For best of all, this fluoride varnish displays remarkably high fluoride uptake rates, which, she believes, is the most important function of a fluoride treatment or. enamelast fluoride varnish's superior adhesion, fluoride release, and fluoride uptake, as well as its great taste, smooth texture, and nearly. an enamelast fluoride varnish application leaves patients’ teeth feeling clean and smooth. What Is Enamelast Fluoride Varnish Used For.
From www.edentalmart.com
EDental Mart Enamelast (Fluoride Varnish) What Is Enamelast Fluoride Varnish Used For best of all, this fluoride varnish displays remarkably high fluoride uptake rates, which, she believes, is the most important function of a fluoride treatment or. an enamelast fluoride varnish application leaves patients’ teeth feeling clean and smooth and has a nearly invisible. enamelast fluoride varnish's superior adhesion, fluoride release, and fluoride uptake, as well as its great. What Is Enamelast Fluoride Varnish Used For.
From www.royal-dent.com
Enamelast Fluoride Varnish con xytol 4521 Ultradent Royal Dent What Is Enamelast Fluoride Varnish Used For enamelast fluoride varnish's superior retention promotes enhanced and sustained fluoride release. best of all, this fluoride varnish displays remarkably high fluoride uptake rates, which, she believes, is the most important function of a fluoride treatment or. enamelast fluoride varnish's superior adhesion, fluoride release, and fluoride uptake, as well as its great taste, smooth texture, and nearly. . What Is Enamelast Fluoride Varnish Used For.
From www.dentistryiq.com
Ultradent Products Inc. introduces new Enamelast fluoride varnish What Is Enamelast Fluoride Varnish Used For enamelast fluoride varnish's superior retention promotes enhanced and sustained fluoride release. enamelast fluoride varnish's superior adhesion, fluoride release, and fluoride uptake, as well as its great taste, smooth texture, and nearly. best of all, this fluoride varnish displays remarkably high fluoride uptake rates, which, she believes, is the most important function of a fluoride treatment or. . What Is Enamelast Fluoride Varnish Used For.
From www.practicon.com
Premier Enamel Pro Fluoride Varnish Clear 35/Box Practicon Dental What Is Enamelast Fluoride Varnish Used For enamelast fluoride varnish's superior retention promotes enhanced and sustained fluoride release. best of all, this fluoride varnish displays remarkably high fluoride uptake rates, which, she believes, is the most important function of a fluoride treatment or. enamelast fluoride varnish's superior adhesion, fluoride release, and fluoride uptake, as well as its great taste, smooth texture, and nearly. . What Is Enamelast Fluoride Varnish Used For.
From eu.ultradent.blog
Enamelast™ fluoride varnish Combining an excellent fluoride release What Is Enamelast Fluoride Varnish Used For enamelast fluoride varnish's superior retention promotes enhanced and sustained fluoride release. best of all, this fluoride varnish displays remarkably high fluoride uptake rates, which, she believes, is the most important function of a fluoride treatment or. an enamelast fluoride varnish application leaves patients’ teeth feeling clean and smooth and has a nearly invisible. enamelast fluoride varnish's. What Is Enamelast Fluoride Varnish Used For.
From www.clinicalresearchdental.com
Benefits That Last Enamelast™ Fluoride Varnish Clinical Research Dental What Is Enamelast Fluoride Varnish Used For enamelast fluoride varnish's superior adhesion, fluoride release, and fluoride uptake, as well as its great taste, smooth texture, and nearly. enamelast fluoride varnish's superior retention promotes enhanced and sustained fluoride release. best of all, this fluoride varnish displays remarkably high fluoride uptake rates, which, she believes, is the most important function of a fluoride treatment or. . What Is Enamelast Fluoride Varnish Used For.
From www.advancedentistry.pk
Enamelast (Fluoride Varnish) ADVANCE DENTISTRY What Is Enamelast Fluoride Varnish Used For enamelast fluoride varnish's superior retention promotes enhanced and sustained fluoride release. best of all, this fluoride varnish displays remarkably high fluoride uptake rates, which, she believes, is the most important function of a fluoride treatment or. enamelast fluoride varnish's superior adhesion, fluoride release, and fluoride uptake, as well as its great taste, smooth texture, and nearly. . What Is Enamelast Fluoride Varnish Used For.
From mixdent.pl
Enamelast fluoride varnish 2 x syringe 1.2ml Watermelon0pcs MIXDENT What Is Enamelast Fluoride Varnish Used For best of all, this fluoride varnish displays remarkably high fluoride uptake rates, which, she believes, is the most important function of a fluoride treatment or. enamelast fluoride varnish's superior adhesion, fluoride release, and fluoride uptake, as well as its great taste, smooth texture, and nearly. an enamelast fluoride varnish application leaves patients’ teeth feeling clean and smooth. What Is Enamelast Fluoride Varnish Used For.
From www.ultradent.com
Enamelast™Fluoride Varnish What Is Enamelast Fluoride Varnish Used For an enamelast fluoride varnish application leaves patients’ teeth feeling clean and smooth and has a nearly invisible. enamelast fluoride varnish's superior retention promotes enhanced and sustained fluoride release. enamelast fluoride varnish's superior adhesion, fluoride release, and fluoride uptake, as well as its great taste, smooth texture, and nearly. best of all, this fluoride varnish displays remarkably. What Is Enamelast Fluoride Varnish Used For.
From www.youtube.com
How to Apply Enamelast Fluoride Varnish StepbyStep YouTube What Is Enamelast Fluoride Varnish Used For best of all, this fluoride varnish displays remarkably high fluoride uptake rates, which, she believes, is the most important function of a fluoride treatment or. an enamelast fluoride varnish application leaves patients’ teeth feeling clean and smooth and has a nearly invisible. enamelast fluoride varnish's superior retention promotes enhanced and sustained fluoride release. enamelast fluoride varnish's. What Is Enamelast Fluoride Varnish Used For.
From nudent.co.th
Benefits That Last Enamelast™ Fluoride Varnish What Is Enamelast Fluoride Varnish Used For an enamelast fluoride varnish application leaves patients’ teeth feeling clean and smooth and has a nearly invisible. best of all, this fluoride varnish displays remarkably high fluoride uptake rates, which, she believes, is the most important function of a fluoride treatment or. enamelast fluoride varnish's superior retention promotes enhanced and sustained fluoride release. enamelast fluoride varnish's. What Is Enamelast Fluoride Varnish Used For.
From eu.ultradent.blog
Enamelast™ fluoride varnish Combining an excellent fluoride release What Is Enamelast Fluoride Varnish Used For enamelast fluoride varnish's superior retention promotes enhanced and sustained fluoride release. best of all, this fluoride varnish displays remarkably high fluoride uptake rates, which, she believes, is the most important function of a fluoride treatment or. enamelast fluoride varnish's superior adhesion, fluoride release, and fluoride uptake, as well as its great taste, smooth texture, and nearly. . What Is Enamelast Fluoride Varnish Used For.
From marlettaenterprises.com
ENAMELAST FLUORIDE VARNISH 2 PACK SYRINGE WALTERBERRY FLAVOUR What Is Enamelast Fluoride Varnish Used For best of all, this fluoride varnish displays remarkably high fluoride uptake rates, which, she believes, is the most important function of a fluoride treatment or. enamelast fluoride varnish's superior retention promotes enhanced and sustained fluoride release. enamelast fluoride varnish's superior adhesion, fluoride release, and fluoride uptake, as well as its great taste, smooth texture, and nearly. . What Is Enamelast Fluoride Varnish Used For.
From www.ultradent.com
Enamelast™Fluoride Varnish What Is Enamelast Fluoride Varnish Used For enamelast fluoride varnish's superior retention promotes enhanced and sustained fluoride release. best of all, this fluoride varnish displays remarkably high fluoride uptake rates, which, she believes, is the most important function of a fluoride treatment or. an enamelast fluoride varnish application leaves patients’ teeth feeling clean and smooth and has a nearly invisible. enamelast fluoride varnish's. What Is Enamelast Fluoride Varnish Used For.
From www.dentalvidafarma.com.br
Verniz Enamelast Fluoride Varnish ULTRADENT Dental Vidafarma What Is Enamelast Fluoride Varnish Used For best of all, this fluoride varnish displays remarkably high fluoride uptake rates, which, she believes, is the most important function of a fluoride treatment or. enamelast fluoride varnish's superior adhesion, fluoride release, and fluoride uptake, as well as its great taste, smooth texture, and nearly. enamelast fluoride varnish's superior retention promotes enhanced and sustained fluoride release. . What Is Enamelast Fluoride Varnish Used For.