Reservoir Ommaya Definition . It’s about the size of a quarter. an ommaya reservoir is a device that allows doctors to inject medicine into the cerebrospinal fluid or take fluid samples for testing. It allows the care team to take samples of their spinal fluid and. an ommaya reservoir (intraventricular reservoir) is a device placed next to your child’s brain. It is about the size of a. an ommaya reservoir is an intraventricular catheter system that can be used for the aspiration of cerebrospinal fluid or for the.
from www.withpower.com
It allows the care team to take samples of their spinal fluid and. It is about the size of a. an ommaya reservoir is an intraventricular catheter system that can be used for the aspiration of cerebrospinal fluid or for the. an ommaya reservoir (intraventricular reservoir) is a device placed next to your child’s brain. It’s about the size of a quarter. an ommaya reservoir is a device that allows doctors to inject medicine into the cerebrospinal fluid or take fluid samples for testing.
Intraoperative Ommaya Reservoir placement for Brain Tumor Clinical Trial 2023 Power
Reservoir Ommaya Definition an ommaya reservoir (intraventricular reservoir) is a device placed next to your child’s brain. It allows the care team to take samples of their spinal fluid and. It is about the size of a. an ommaya reservoir is a device that allows doctors to inject medicine into the cerebrospinal fluid or take fluid samples for testing. an ommaya reservoir (intraventricular reservoir) is a device placed next to your child’s brain. an ommaya reservoir is an intraventricular catheter system that can be used for the aspiration of cerebrospinal fluid or for the. It’s about the size of a quarter.
From www.withpower.com
Intraoperative Ommaya Reservoir placement for Brain Tumor Clinical Trial 2023 Power Reservoir Ommaya Definition It is about the size of a. an ommaya reservoir is an intraventricular catheter system that can be used for the aspiration of cerebrospinal fluid or for the. It’s about the size of a quarter. an ommaya reservoir is a device that allows doctors to inject medicine into the cerebrospinal fluid or take fluid samples for testing. It. Reservoir Ommaya Definition.
From www.slideserve.com
PPT Julie R. Gralow, M.D. Director, Breast Medical Oncology, Seattle РМЖ Care Alliance Reservoir Ommaya Definition It’s about the size of a quarter. an ommaya reservoir is a device that allows doctors to inject medicine into the cerebrospinal fluid or take fluid samples for testing. It is about the size of a. an ommaya reservoir (intraventricular reservoir) is a device placed next to your child’s brain. It allows the care team to take samples. Reservoir Ommaya Definition.
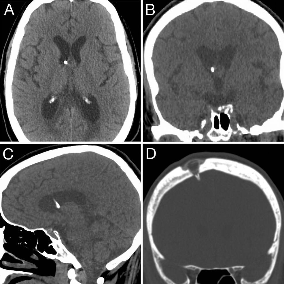
From www.cureus.com
Cureus Ommaya Reservoir Insertion A Technical Note Reservoir Ommaya Definition an ommaya reservoir is a device that allows doctors to inject medicine into the cerebrospinal fluid or take fluid samples for testing. It is about the size of a. It’s about the size of a quarter. an ommaya reservoir is an intraventricular catheter system that can be used for the aspiration of cerebrospinal fluid or for the. . Reservoir Ommaya Definition.
From www.researchgate.net
Postoperative coronal MR image demonstrating Ommaya reservoir catheter... Download Scientific Reservoir Ommaya Definition an ommaya reservoir (intraventricular reservoir) is a device placed next to your child’s brain. an ommaya reservoir is an intraventricular catheter system that can be used for the aspiration of cerebrospinal fluid or for the. It is about the size of a. It allows the care team to take samples of their spinal fluid and. It’s about the. Reservoir Ommaya Definition.
From www.cureus.com
Cureus Ommaya Reservoir Insertion A Technical Note Reservoir Ommaya Definition It is about the size of a. It’s about the size of a quarter. an ommaya reservoir is a device that allows doctors to inject medicine into the cerebrospinal fluid or take fluid samples for testing. an ommaya reservoir is an intraventricular catheter system that can be used for the aspiration of cerebrospinal fluid or for the. . Reservoir Ommaya Definition.
From www.youtube.com
Ommaya reservoir placement and external ventricular drainage YouTube Reservoir Ommaya Definition It allows the care team to take samples of their spinal fluid and. an ommaya reservoir (intraventricular reservoir) is a device placed next to your child’s brain. It is about the size of a. an ommaya reservoir is a device that allows doctors to inject medicine into the cerebrospinal fluid or take fluid samples for testing. an. Reservoir Ommaya Definition.
From www.researchgate.net
(PDF) Ommaya Reservoir Insertion A Technical Note Reservoir Ommaya Definition It’s about the size of a quarter. It allows the care team to take samples of their spinal fluid and. an ommaya reservoir is a device that allows doctors to inject medicine into the cerebrospinal fluid or take fluid samples for testing. an ommaya reservoir is an intraventricular catheter system that can be used for the aspiration of. Reservoir Ommaya Definition.
From www.medzus.com
Ommaya Reservoir Kit Medzus Medical Reservoir Ommaya Definition It is about the size of a. It allows the care team to take samples of their spinal fluid and. It’s about the size of a quarter. an ommaya reservoir (intraventricular reservoir) is a device placed next to your child’s brain. an ommaya reservoir is an intraventricular catheter system that can be used for the aspiration of cerebrospinal. Reservoir Ommaya Definition.
From cancerworld.info
Ommaya Reservoir Complications, Removal, Indications, Side Effects « CancerWORLD Reservoir Ommaya Definition an ommaya reservoir is an intraventricular catheter system that can be used for the aspiration of cerebrospinal fluid or for the. It’s about the size of a quarter. It is about the size of a. an ommaya reservoir is a device that allows doctors to inject medicine into the cerebrospinal fluid or take fluid samples for testing. It. Reservoir Ommaya Definition.
From www.researchgate.net
Ommaya reservoir placement for cystic recurrence. A 52yearold male... Download Scientific Reservoir Ommaya Definition an ommaya reservoir (intraventricular reservoir) is a device placed next to your child’s brain. It allows the care team to take samples of their spinal fluid and. an ommaya reservoir is a device that allows doctors to inject medicine into the cerebrospinal fluid or take fluid samples for testing. It’s about the size of a quarter. It is. Reservoir Ommaya Definition.
From www.cns.org
Ommaya Reservoir Placement for Intrathecal Chemotherapy Reservoir Ommaya Definition It allows the care team to take samples of their spinal fluid and. It’s about the size of a quarter. an ommaya reservoir is an intraventricular catheter system that can be used for the aspiration of cerebrospinal fluid or for the. It is about the size of a. an ommaya reservoir (intraventricular reservoir) is a device placed next. Reservoir Ommaya Definition.
From www.cureus.com
Cureus Ommaya Reservoir Insertion A Technical Note Reservoir Ommaya Definition It is about the size of a. an ommaya reservoir is an intraventricular catheter system that can be used for the aspiration of cerebrospinal fluid or for the. It allows the care team to take samples of their spinal fluid and. an ommaya reservoir (intraventricular reservoir) is a device placed next to your child’s brain. an ommaya. Reservoir Ommaya Definition.
From www.cureus.com
Cureus EndoscopicAssisted Ommaya Reservoir Placement Technical Note Reservoir Ommaya Definition an ommaya reservoir (intraventricular reservoir) is a device placed next to your child’s brain. It is about the size of a. It’s about the size of a quarter. an ommaya reservoir is a device that allows doctors to inject medicine into the cerebrospinal fluid or take fluid samples for testing. an ommaya reservoir is an intraventricular catheter. Reservoir Ommaya Definition.
From www.healthline.com
Ommaya Reservoir Placement, Removal, Safety, and Complications Reservoir Ommaya Definition It is about the size of a. It allows the care team to take samples of their spinal fluid and. It’s about the size of a quarter. an ommaya reservoir (intraventricular reservoir) is a device placed next to your child’s brain. an ommaya reservoir is an intraventricular catheter system that can be used for the aspiration of cerebrospinal. Reservoir Ommaya Definition.
From www.researchgate.net
(PDF) Stereotactic Insertion of an Ommaya Reservoir Technical Note Reservoir Ommaya Definition an ommaya reservoir (intraventricular reservoir) is a device placed next to your child’s brain. an ommaya reservoir is a device that allows doctors to inject medicine into the cerebrospinal fluid or take fluid samples for testing. It is about the size of a. It’s about the size of a quarter. It allows the care team to take samples. Reservoir Ommaya Definition.
From www.healthline.com
Ommaya Reservoir Placement, Removal, Safety, and Complications Reservoir Ommaya Definition It is about the size of a. It allows the care team to take samples of their spinal fluid and. an ommaya reservoir is an intraventricular catheter system that can be used for the aspiration of cerebrospinal fluid or for the. It’s about the size of a quarter. an ommaya reservoir is a device that allows doctors to. Reservoir Ommaya Definition.
From www.researchgate.net
Location of Intraventricular Catheter and Ommaya reservoir. Download Scientific Diagram Reservoir Ommaya Definition an ommaya reservoir is an intraventricular catheter system that can be used for the aspiration of cerebrospinal fluid or for the. It is about the size of a. an ommaya reservoir (intraventricular reservoir) is a device placed next to your child’s brain. It’s about the size of a quarter. an ommaya reservoir is a device that allows. Reservoir Ommaya Definition.
From www.scribd.com
The Ommaya Reservoir Cerebrospinal Fluid Surgery Reservoir Ommaya Definition It’s about the size of a quarter. It allows the care team to take samples of their spinal fluid and. It is about the size of a. an ommaya reservoir (intraventricular reservoir) is a device placed next to your child’s brain. an ommaya reservoir is a device that allows doctors to inject medicine into the cerebrospinal fluid or. Reservoir Ommaya Definition.
From www.semanticscholar.org
Ommaya Reservoir Tap Semantic Scholar Reservoir Ommaya Definition an ommaya reservoir is a device that allows doctors to inject medicine into the cerebrospinal fluid or take fluid samples for testing. It’s about the size of a quarter. It is about the size of a. an ommaya reservoir (intraventricular reservoir) is a device placed next to your child’s brain. It allows the care team to take samples. Reservoir Ommaya Definition.
From www.healthline.com
Ommaya Reservoir Placement, Removal, Safety, and Complications Reservoir Ommaya Definition It’s about the size of a quarter. an ommaya reservoir is an intraventricular catheter system that can be used for the aspiration of cerebrospinal fluid or for the. It is about the size of a. an ommaya reservoir (intraventricular reservoir) is a device placed next to your child’s brain. an ommaya reservoir is a device that allows. Reservoir Ommaya Definition.
From www.semanticscholar.org
Ommaya Reservoir Tap Semantic Scholar Reservoir Ommaya Definition It’s about the size of a quarter. It allows the care team to take samples of their spinal fluid and. an ommaya reservoir is an intraventricular catheter system that can be used for the aspiration of cerebrospinal fluid or for the. It is about the size of a. an ommaya reservoir is a device that allows doctors to. Reservoir Ommaya Definition.
From www.biorender.com
Ommaya Reservoir Delivery System for the Treatment of Glioblastoma BioRender Science Templates Reservoir Ommaya Definition an ommaya reservoir is an intraventricular catheter system that can be used for the aspiration of cerebrospinal fluid or for the. It is about the size of a. an ommaya reservoir (intraventricular reservoir) is a device placed next to your child’s brain. an ommaya reservoir is a device that allows doctors to inject medicine into the cerebrospinal. Reservoir Ommaya Definition.
From www.frontiersin.org
Frontiers Clinical Application of a Neurosurgical Robot in Intracranial Ommaya Reservoir Reservoir Ommaya Definition an ommaya reservoir is an intraventricular catheter system that can be used for the aspiration of cerebrospinal fluid or for the. It’s about the size of a quarter. It allows the care team to take samples of their spinal fluid and. an ommaya reservoir is a device that allows doctors to inject medicine into the cerebrospinal fluid or. Reservoir Ommaya Definition.
From www.dubourdon.fr
Le Réservoir OMMAYA (Fiches) Dubourdon Reservoir Ommaya Definition an ommaya reservoir (intraventricular reservoir) is a device placed next to your child’s brain. an ommaya reservoir is an intraventricular catheter system that can be used for the aspiration of cerebrospinal fluid or for the. an ommaya reservoir is a device that allows doctors to inject medicine into the cerebrospinal fluid or take fluid samples for testing.. Reservoir Ommaya Definition.
From together.stjude.org
Ommaya Reservoir (Intraventricular Reservoir) Together by St. Jude™ Reservoir Ommaya Definition It’s about the size of a quarter. an ommaya reservoir is an intraventricular catheter system that can be used for the aspiration of cerebrospinal fluid or for the. an ommaya reservoir (intraventricular reservoir) is a device placed next to your child’s brain. It is about the size of a. an ommaya reservoir is a device that allows. Reservoir Ommaya Definition.
From www.researchgate.net
Ommaya guidewire, catheter, and reservoir Download Scientific Diagram Reservoir Ommaya Definition It’s about the size of a quarter. It allows the care team to take samples of their spinal fluid and. an ommaya reservoir is a device that allows doctors to inject medicine into the cerebrospinal fluid or take fluid samples for testing. an ommaya reservoir is an intraventricular catheter system that can be used for the aspiration of. Reservoir Ommaya Definition.
From www.youtube.com
CSF tap procedure from Ommaya reservoir/ Ommaya tap/ decreasing RICT in Hydrocephalus YouTube Reservoir Ommaya Definition an ommaya reservoir (intraventricular reservoir) is a device placed next to your child’s brain. It is about the size of a. an ommaya reservoir is a device that allows doctors to inject medicine into the cerebrospinal fluid or take fluid samples for testing. It’s about the size of a quarter. an ommaya reservoir is an intraventricular catheter. Reservoir Ommaya Definition.
From medriva.com
Understanding the Role and Benefits of an Ommaya Reservoir in Neurological Conditions Reservoir Ommaya Definition an ommaya reservoir is an intraventricular catheter system that can be used for the aspiration of cerebrospinal fluid or for the. an ommaya reservoir is a device that allows doctors to inject medicine into the cerebrospinal fluid or take fluid samples for testing. an ommaya reservoir (intraventricular reservoir) is a device placed next to your child’s brain.. Reservoir Ommaya Definition.
From dokumen.tips
(PDF) Ommaya Reservoir Integrity Computed Tomography Evaluation · Computed Tomography Reservoir Ommaya Definition It is about the size of a. It allows the care team to take samples of their spinal fluid and. an ommaya reservoir is an intraventricular catheter system that can be used for the aspiration of cerebrospinal fluid or for the. It’s about the size of a quarter. an ommaya reservoir (intraventricular reservoir) is a device placed next. Reservoir Ommaya Definition.
From www.cureus.com
Cureus EndoscopicAssisted Ommaya Reservoir Placement Technical Note Reservoir Ommaya Definition It is about the size of a. an ommaya reservoir is an intraventricular catheter system that can be used for the aspiration of cerebrospinal fluid or for the. an ommaya reservoir is a device that allows doctors to inject medicine into the cerebrospinal fluid or take fluid samples for testing. an ommaya reservoir (intraventricular reservoir) is a. Reservoir Ommaya Definition.
From www.cns.org
Ommaya Reservoir Placement for Intrathecal Chemotherapy Reservoir Ommaya Definition an ommaya reservoir is a device that allows doctors to inject medicine into the cerebrospinal fluid or take fluid samples for testing. It is about the size of a. an ommaya reservoir is an intraventricular catheter system that can be used for the aspiration of cerebrospinal fluid or for the. an ommaya reservoir (intraventricular reservoir) is a. Reservoir Ommaya Definition.
From www.primagem.org
Ommaya Reservoir Drainage Best Drain Photos Reservoir Ommaya Definition It’s about the size of a quarter. an ommaya reservoir is a device that allows doctors to inject medicine into the cerebrospinal fluid or take fluid samples for testing. It allows the care team to take samples of their spinal fluid and. It is about the size of a. an ommaya reservoir is an intraventricular catheter system that. Reservoir Ommaya Definition.
From www.youtube.com
Ommaya reservoir Medical Definition and Pronunciation YouTube Reservoir Ommaya Definition It is about the size of a. an ommaya reservoir is a device that allows doctors to inject medicine into the cerebrospinal fluid or take fluid samples for testing. It allows the care team to take samples of their spinal fluid and. It’s about the size of a quarter. an ommaya reservoir (intraventricular reservoir) is a device placed. Reservoir Ommaya Definition.
From www.cureus.com
Cureus Ommaya Reservoir Insertion A Technical Note Reservoir Ommaya Definition It allows the care team to take samples of their spinal fluid and. It’s about the size of a quarter. an ommaya reservoir (intraventricular reservoir) is a device placed next to your child’s brain. an ommaya reservoir is a device that allows doctors to inject medicine into the cerebrospinal fluid or take fluid samples for testing. It is. Reservoir Ommaya Definition.
From www.pinterest.com
An Ommaya reservoir is a small, domeshaped device with a short tube (catheter) attached to it Reservoir Ommaya Definition It’s about the size of a quarter. It is about the size of a. an ommaya reservoir (intraventricular reservoir) is a device placed next to your child’s brain. an ommaya reservoir is a device that allows doctors to inject medicine into the cerebrospinal fluid or take fluid samples for testing. It allows the care team to take samples. Reservoir Ommaya Definition.