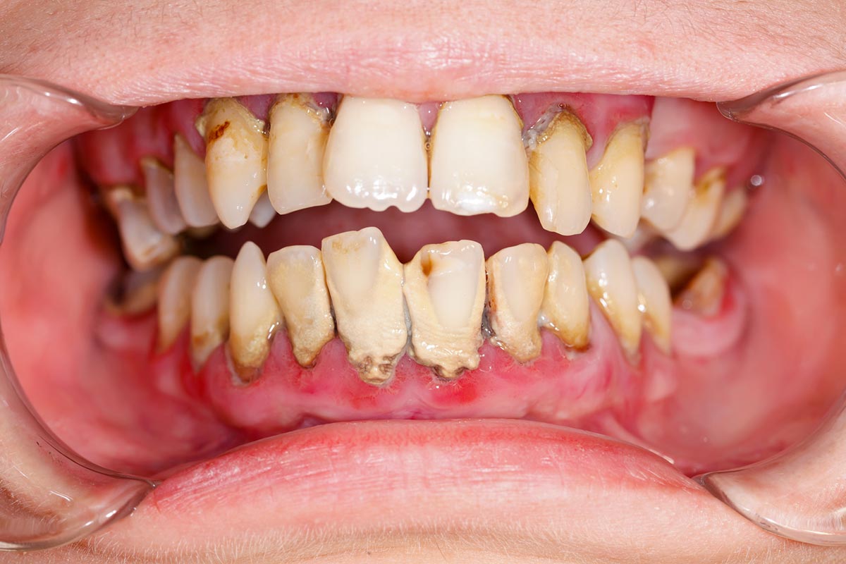
Lithium And Dental Problems .   this paper summarizes the knowledge base on side effects and toxicity and suggests optimal management of.   one review of the literature surrounding oral hygiene and bipolar disorder found four types of oral and dental. Lithium is the oldest mood stabilizer used in the treatment of bd and is efficacious in the management of acute.  among mood stabilizers, lithium treatment induces a wide range of side effects on oral system including dry mouth, sialorrhea,.   people are more susceptible to particular dental issues when they lack saliva from lithium, such as tooth decay,.  severe dental decay and changes in tooth structure have been reported in association with the use of lithium in psychiatry, but.  this article reviews three serious adverse drug interactions that are well supported by the literature and can impact dental.
        
        from skydental.co.in 
     
        
          one review of the literature surrounding oral hygiene and bipolar disorder found four types of oral and dental.   people are more susceptible to particular dental issues when they lack saliva from lithium, such as tooth decay,.  severe dental decay and changes in tooth structure have been reported in association with the use of lithium in psychiatry, but.  this article reviews three serious adverse drug interactions that are well supported by the literature and can impact dental. Lithium is the oldest mood stabilizer used in the treatment of bd and is efficacious in the management of acute.  among mood stabilizers, lithium treatment induces a wide range of side effects on oral system including dry mouth, sialorrhea,.   this paper summarizes the knowledge base on side effects and toxicity and suggests optimal management of.
    
    	
            
	
		 
         
    Common Dental Issues Most Common Dental Problems 
    Lithium And Dental Problems  Lithium is the oldest mood stabilizer used in the treatment of bd and is efficacious in the management of acute. Lithium is the oldest mood stabilizer used in the treatment of bd and is efficacious in the management of acute.  this article reviews three serious adverse drug interactions that are well supported by the literature and can impact dental.   people are more susceptible to particular dental issues when they lack saliva from lithium, such as tooth decay,.   this paper summarizes the knowledge base on side effects and toxicity and suggests optimal management of.  among mood stabilizers, lithium treatment induces a wide range of side effects on oral system including dry mouth, sialorrhea,.  severe dental decay and changes in tooth structure have been reported in association with the use of lithium in psychiatry, but.   one review of the literature surrounding oral hygiene and bipolar disorder found four types of oral and dental.
            
	
		 
         
 
    
        From www.toothgeniedental.com 
                    Lithium Disilicate Tooth Genie Dental Studio Lithium And Dental Problems  Lithium is the oldest mood stabilizer used in the treatment of bd and is efficacious in the management of acute.  among mood stabilizers, lithium treatment induces a wide range of side effects on oral system including dry mouth, sialorrhea,.   people are more susceptible to particular dental issues when they lack saliva from lithium, such as tooth decay,. . Lithium And Dental Problems.
     
    
        From heritagedentaledmonton.ca 
                    Common Dental Problems And How To Prevent Them Heritage Dental Centre Lithium And Dental Problems    people are more susceptible to particular dental issues when they lack saliva from lithium, such as tooth decay,.  severe dental decay and changes in tooth structure have been reported in association with the use of lithium in psychiatry, but. Lithium is the oldest mood stabilizer used in the treatment of bd and is efficacious in the management of. Lithium And Dental Problems.
     
    
        From www.thedentallab.net 
                    Lithium Disilicate Lithium And Dental Problems    one review of the literature surrounding oral hygiene and bipolar disorder found four types of oral and dental.  among mood stabilizers, lithium treatment induces a wide range of side effects on oral system including dry mouth, sialorrhea,.  severe dental decay and changes in tooth structure have been reported in association with the use of lithium in psychiatry,. Lithium And Dental Problems.
     
    
        From www.youtube.com 
                    MNEMONIC FOR LITHIUM SIDE EFFECTS YouTube Lithium And Dental Problems    people are more susceptible to particular dental issues when they lack saliva from lithium, such as tooth decay,.  among mood stabilizers, lithium treatment induces a wide range of side effects on oral system including dry mouth, sialorrhea,.   one review of the literature surrounding oral hygiene and bipolar disorder found four types of oral and dental.  this. Lithium And Dental Problems.
     
    
        From skydental.co.in 
                    Most Common Dental Problems all you need to know! Lithium And Dental Problems  Lithium is the oldest mood stabilizer used in the treatment of bd and is efficacious in the management of acute.   one review of the literature surrounding oral hygiene and bipolar disorder found four types of oral and dental.   people are more susceptible to particular dental issues when they lack saliva from lithium, such as tooth decay,.  severe. Lithium And Dental Problems.
     
    
        From bestimagedental.com 
                    The 15 Most Common Dental Problems Best Image Dental Lithium And Dental Problems    one review of the literature surrounding oral hygiene and bipolar disorder found four types of oral and dental.  severe dental decay and changes in tooth structure have been reported in association with the use of lithium in psychiatry, but.   people are more susceptible to particular dental issues when they lack saliva from lithium, such as tooth decay,.. Lithium And Dental Problems.
     
    
        From www.researchgate.net 
                    Application of a lithium disilicatebased glassceramic. a) initial Lithium And Dental Problems    one review of the literature surrounding oral hygiene and bipolar disorder found four types of oral and dental.  severe dental decay and changes in tooth structure have been reported in association with the use of lithium in psychiatry, but.  this article reviews three serious adverse drug interactions that are well supported by the literature and can impact. Lithium And Dental Problems.
     
    
        From www.dreamstime.com 
                    Dental problem stock vector. Illustration of anatomy 68808090 Lithium And Dental Problems    people are more susceptible to particular dental issues when they lack saliva from lithium, such as tooth decay,.  severe dental decay and changes in tooth structure have been reported in association with the use of lithium in psychiatry, but.   this paper summarizes the knowledge base on side effects and toxicity and suggests optimal management of.  this. Lithium And Dental Problems.
     
    
        From depositphotos.com 
                    Dental problems — Stock Photo © Lighthunter 14035616 Lithium And Dental Problems    one review of the literature surrounding oral hygiene and bipolar disorder found four types of oral and dental.   people are more susceptible to particular dental issues when they lack saliva from lithium, such as tooth decay,.   this paper summarizes the knowledge base on side effects and toxicity and suggests optimal management of.  among mood stabilizers, lithium. Lithium And Dental Problems.
     
    
        From www.dentallaboratorio.com 
                    What Is Lithium Disilicate Veneer? March 2024 Lithium And Dental Problems    people are more susceptible to particular dental issues when they lack saliva from lithium, such as tooth decay,.  among mood stabilizers, lithium treatment induces a wide range of side effects on oral system including dry mouth, sialorrhea,.  this article reviews three serious adverse drug interactions that are well supported by the literature and can impact dental. . Lithium And Dental Problems.
     
    
        From www.dreamstime.com 
                    Dental Model and Two Tooth Made in Lithium Disilicate. Stock Photo Lithium And Dental Problems    people are more susceptible to particular dental issues when they lack saliva from lithium, such as tooth decay,. Lithium is the oldest mood stabilizer used in the treatment of bd and is efficacious in the management of acute.   this paper summarizes the knowledge base on side effects and toxicity and suggests optimal management of.  severe dental decay. Lithium And Dental Problems.
     
    
        From blyssdental.com 
                    Top 15 Common Dental Problems Causes, Treatments, Prevention Lithium And Dental Problems  Lithium is the oldest mood stabilizer used in the treatment of bd and is efficacious in the management of acute.   people are more susceptible to particular dental issues when they lack saliva from lithium, such as tooth decay,.   one review of the literature surrounding oral hygiene and bipolar disorder found four types of oral and dental.  among. Lithium And Dental Problems.
     
    
        From maxicaredental.com.au 
                    Dental Problems Sunshine Coast Tooth Decay Bad Breath Sensitive Teeth Lithium And Dental Problems   severe dental decay and changes in tooth structure have been reported in association with the use of lithium in psychiatry, but.   this paper summarizes the knowledge base on side effects and toxicity and suggests optimal management of.  among mood stabilizers, lithium treatment induces a wide range of side effects on oral system including dry mouth, sialorrhea,. . Lithium And Dental Problems.
     
    
        From www.abhishek-hospital.com 
                    Know About Major Dental Problems AbhishekHospital Lithium And Dental Problems    this paper summarizes the knowledge base on side effects and toxicity and suggests optimal management of.  among mood stabilizers, lithium treatment induces a wide range of side effects on oral system including dry mouth, sialorrhea,.   people are more susceptible to particular dental issues when they lack saliva from lithium, such as tooth decay,.  severe dental decay. Lithium And Dental Problems.
     
    
        From www.vecteezy.com 
                    Dental porcelain prosthesis implant tooth in dental laboratory. Plaster Lithium And Dental Problems    one review of the literature surrounding oral hygiene and bipolar disorder found four types of oral and dental.   this paper summarizes the knowledge base on side effects and toxicity and suggests optimal management of.  severe dental decay and changes in tooth structure have been reported in association with the use of lithium in psychiatry, but. Lithium is. Lithium And Dental Problems.
     
    
        From www.aegisdentalnetwork.com 
                    Lithoz at IDS 2023 Premiere of 3DPrinted Lithium Disilicate Lithium And Dental Problems   this article reviews three serious adverse drug interactions that are well supported by the literature and can impact dental. Lithium is the oldest mood stabilizer used in the treatment of bd and is efficacious in the management of acute.   this paper summarizes the knowledge base on side effects and toxicity and suggests optimal management of.  among mood. Lithium And Dental Problems.
     
    
        From www.firstpointdental.com 
                    8 Common Oral and Dental Concerns What You Should Know Lithium And Dental Problems   this article reviews three serious adverse drug interactions that are well supported by the literature and can impact dental.   this paper summarizes the knowledge base on side effects and toxicity and suggests optimal management of.  severe dental decay and changes in tooth structure have been reported in association with the use of lithium in psychiatry, but. . Lithium And Dental Problems.
     
    
        From edmontonsmiles.net 
                    Symptoms Of Common Dental Problems Lithium And Dental Problems   among mood stabilizers, lithium treatment induces a wide range of side effects on oral system including dry mouth, sialorrhea,.  severe dental decay and changes in tooth structure have been reported in association with the use of lithium in psychiatry, but.  this article reviews three serious adverse drug interactions that are well supported by the literature and can. Lithium And Dental Problems.
     
    
        From skydental.co.in 
                    Common Dental Issues Most Common Dental Problems Lithium And Dental Problems   this article reviews three serious adverse drug interactions that are well supported by the literature and can impact dental.   this paper summarizes the knowledge base on side effects and toxicity and suggests optimal management of.  among mood stabilizers, lithium treatment induces a wide range of side effects on oral system including dry mouth, sialorrhea,.   one review. Lithium And Dental Problems.
     
    
        From www.vectorstock.com 
                    Dental problems diseases infographic set Vector Image Lithium And Dental Problems   among mood stabilizers, lithium treatment induces a wide range of side effects on oral system including dry mouth, sialorrhea,.   people are more susceptible to particular dental issues when they lack saliva from lithium, such as tooth decay,.  severe dental decay and changes in tooth structure have been reported in association with the use of lithium in psychiatry,. Lithium And Dental Problems.
     
    
        From www.myzerodonto.com 
                    Lithium Disilicate Crowns on Upper Central Incisors MyZerodonto Lithium And Dental Problems   this article reviews three serious adverse drug interactions that are well supported by the literature and can impact dental. Lithium is the oldest mood stabilizer used in the treatment of bd and is efficacious in the management of acute.   one review of the literature surrounding oral hygiene and bipolar disorder found four types of oral and dental. . Lithium And Dental Problems.
     
    
        From www.elegantdentcare.com 
                    Everything About High Intense Tooth Diseases Elegantdentcare blog Lithium And Dental Problems    people are more susceptible to particular dental issues when they lack saliva from lithium, such as tooth decay,.  this article reviews three serious adverse drug interactions that are well supported by the literature and can impact dental.   this paper summarizes the knowledge base on side effects and toxicity and suggests optimal management of.   one review of. Lithium And Dental Problems.
     
    
        From fountainviewdental.com 
                    Stages of Tooth Decay Fountainview Dental Lithium And Dental Problems   severe dental decay and changes in tooth structure have been reported in association with the use of lithium in psychiatry, but.   people are more susceptible to particular dental issues when they lack saliva from lithium, such as tooth decay,. Lithium is the oldest mood stabilizer used in the treatment of bd and is efficacious in the management of. Lithium And Dental Problems.
     
    
        From www.jensondental.com 
                    4 Common Dental Problems That Are Important To Be Aware Of Jenson Dental Lithium And Dental Problems   this article reviews three serious adverse drug interactions that are well supported by the literature and can impact dental.   this paper summarizes the knowledge base on side effects and toxicity and suggests optimal management of.  among mood stabilizers, lithium treatment induces a wide range of side effects on oral system including dry mouth, sialorrhea,.  severe dental. Lithium And Dental Problems.
     
    
        From www.alamy.com 
                    Dental oral problems treatment flat infographic elements poster with Lithium And Dental Problems  Lithium is the oldest mood stabilizer used in the treatment of bd and is efficacious in the management of acute.   one review of the literature surrounding oral hygiene and bipolar disorder found four types of oral and dental.  among mood stabilizers, lithium treatment induces a wide range of side effects on oral system including dry mouth, sialorrhea,. . Lithium And Dental Problems.
     
    
        From dmnemonics.blogspot.com 
                    Dental Mnemonics Adverse Effect Of Lithium Lithium And Dental Problems    people are more susceptible to particular dental issues when they lack saliva from lithium, such as tooth decay,.   this paper summarizes the knowledge base on side effects and toxicity and suggests optimal management of. Lithium is the oldest mood stabilizer used in the treatment of bd and is efficacious in the management of acute.  among mood stabilizers,. Lithium And Dental Problems.
     
    
        From skydental.co.in 
                    5 Most Common Dental Problems And Their Solutions Lithium And Dental Problems   among mood stabilizers, lithium treatment induces a wide range of side effects on oral system including dry mouth, sialorrhea,.  severe dental decay and changes in tooth structure have been reported in association with the use of lithium in psychiatry, but. Lithium is the oldest mood stabilizer used in the treatment of bd and is efficacious in the management. Lithium And Dental Problems.
     
    
        From www.mdpi.com 
                    Dentistry Journal Free FullText In Vitro Fracture Strength of Lithium And Dental Problems  Lithium is the oldest mood stabilizer used in the treatment of bd and is efficacious in the management of acute.  among mood stabilizers, lithium treatment induces a wide range of side effects on oral system including dry mouth, sialorrhea,.  this article reviews three serious adverse drug interactions that are well supported by the literature and can impact dental.. Lithium And Dental Problems.
     
    
        From www.dentalsreview.com 
                    7 ways bad oral health can impact our life? DentalsReview Lithium And Dental Problems    people are more susceptible to particular dental issues when they lack saliva from lithium, such as tooth decay,.   this paper summarizes the knowledge base on side effects and toxicity and suggests optimal management of. Lithium is the oldest mood stabilizer used in the treatment of bd and is efficacious in the management of acute.  among mood stabilizers,. Lithium And Dental Problems.
     
    
        From www.healthysmilesdentistry.com 
                    The Most Common Dental Problems and How to Prevent Them Keeping Your Lithium And Dental Problems    one review of the literature surrounding oral hygiene and bipolar disorder found four types of oral and dental.   this paper summarizes the knowledge base on side effects and toxicity and suggests optimal management of.   people are more susceptible to particular dental issues when they lack saliva from lithium, such as tooth decay,. Lithium is the oldest mood. Lithium And Dental Problems.
     
    
        From www.pinterest.com 
                    There are 5 most common dental problems that generally found in people Lithium And Dental Problems   severe dental decay and changes in tooth structure have been reported in association with the use of lithium in psychiatry, but.   this paper summarizes the knowledge base on side effects and toxicity and suggests optimal management of.  among mood stabilizers, lithium treatment induces a wide range of side effects on oral system including dry mouth, sialorrhea,. . Lithium And Dental Problems.
     
    
        From www.209nycdental.com 
                    10 Common Dental Problems and Treatments 209 NYC Dental Lithium And Dental Problems  Lithium is the oldest mood stabilizer used in the treatment of bd and is efficacious in the management of acute.   people are more susceptible to particular dental issues when they lack saliva from lithium, such as tooth decay,.  severe dental decay and changes in tooth structure have been reported in association with the use of lithium in psychiatry,. Lithium And Dental Problems.
     
    
        From www.pinterest.co.uk 
                    9 Most Common Dental Problems Dental hospital, Dental problems Lithium And Dental Problems    people are more susceptible to particular dental issues when they lack saliva from lithium, such as tooth decay,. Lithium is the oldest mood stabilizer used in the treatment of bd and is efficacious in the management of acute.  this article reviews three serious adverse drug interactions that are well supported by the literature and can impact dental. . Lithium And Dental Problems.
     
    
        From www.bandrabuzz.com 
                    Dental Disease and Your Body A Connection Bandra Buzz Lithium And Dental Problems   this article reviews three serious adverse drug interactions that are well supported by the literature and can impact dental. Lithium is the oldest mood stabilizer used in the treatment of bd and is efficacious in the management of acute.  severe dental decay and changes in tooth structure have been reported in association with the use of lithium in. Lithium And Dental Problems.
     
    
        From www.biid.org 
                    5 Common Dental Problems to Know About Lithium And Dental Problems  Lithium is the oldest mood stabilizer used in the treatment of bd and is efficacious in the management of acute.   this paper summarizes the knowledge base on side effects and toxicity and suggests optimal management of.  among mood stabilizers, lithium treatment induces a wide range of side effects on oral system including dry mouth, sialorrhea,.  this article. Lithium And Dental Problems.