Ischemic Colitis Perforation . As the underlying cause of ischemic colitis is hypoperfusion of the colon, it is important to remove any potential exacerbating factors and. Ischemic colitis usually gets better on its own within 2 to 3 days. Chronic forms usually present as chronic segmental colitis and may result in stricture formation. Gangrene occurs in 15% of. Ischaemic colitis occurs when there is an acute, transient compromise in blood flow, below that required for the metabolic needs of the colon. Ischemic colitis is a leading cause of acute abdomen in elderly patients. Gross and microscopic findings depend on the severity.
from present5.com
Ischemic colitis is a leading cause of acute abdomen in elderly patients. Gross and microscopic findings depend on the severity. Ischemic colitis usually gets better on its own within 2 to 3 days. As the underlying cause of ischemic colitis is hypoperfusion of the colon, it is important to remove any potential exacerbating factors and. Gangrene occurs in 15% of. Chronic forms usually present as chronic segmental colitis and may result in stricture formation. Ischaemic colitis occurs when there is an acute, transient compromise in blood flow, below that required for the metabolic needs of the colon.
Ischemic Colitis Michael Libes MD Senior Physician Carmel
Ischemic Colitis Perforation Ischemic colitis is a leading cause of acute abdomen in elderly patients. As the underlying cause of ischemic colitis is hypoperfusion of the colon, it is important to remove any potential exacerbating factors and. Chronic forms usually present as chronic segmental colitis and may result in stricture formation. Gross and microscopic findings depend on the severity. Ischemic colitis usually gets better on its own within 2 to 3 days. Ischaemic colitis occurs when there is an acute, transient compromise in blood flow, below that required for the metabolic needs of the colon. Ischemic colitis is a leading cause of acute abdomen in elderly patients. Gangrene occurs in 15% of.
From publishing.rcseng.ac.uk
Ischaemic bowel perforation secondary to a gravid uterus in a patient Ischemic Colitis Perforation Gross and microscopic findings depend on the severity. Ischemic colitis usually gets better on its own within 2 to 3 days. Gangrene occurs in 15% of. Chronic forms usually present as chronic segmental colitis and may result in stricture formation. As the underlying cause of ischemic colitis is hypoperfusion of the colon, it is important to remove any potential exacerbating. Ischemic Colitis Perforation.
From present5.com
Ischemic Colitis Michael Libes MD Senior Physician Carmel Ischemic Colitis Perforation Ischaemic colitis occurs when there is an acute, transient compromise in blood flow, below that required for the metabolic needs of the colon. Ischemic colitis usually gets better on its own within 2 to 3 days. Ischemic colitis is a leading cause of acute abdomen in elderly patients. As the underlying cause of ischemic colitis is hypoperfusion of the colon,. Ischemic Colitis Perforation.
From librepathology.org
Ischemic colitis Libre Pathology Ischemic Colitis Perforation Gangrene occurs in 15% of. Ischemic colitis is a leading cause of acute abdomen in elderly patients. Chronic forms usually present as chronic segmental colitis and may result in stricture formation. Ischaemic colitis occurs when there is an acute, transient compromise in blood flow, below that required for the metabolic needs of the colon. Ischemic colitis usually gets better on. Ischemic Colitis Perforation.
From www.researchgate.net
Ischemic colitis in a critically ill patient. CT scan obtained with Ischemic Colitis Perforation Ischemic colitis is a leading cause of acute abdomen in elderly patients. Chronic forms usually present as chronic segmental colitis and may result in stricture formation. Ischaemic colitis occurs when there is an acute, transient compromise in blood flow, below that required for the metabolic needs of the colon. Ischemic colitis usually gets better on its own within 2 to. Ischemic Colitis Perforation.
From www.ctisus.com
Gastric Perforation and Ischemic Bowel with Halo Sign Small Bowel Ischemic Colitis Perforation Ischemic colitis usually gets better on its own within 2 to 3 days. Chronic forms usually present as chronic segmental colitis and may result in stricture formation. Ischaemic colitis occurs when there is an acute, transient compromise in blood flow, below that required for the metabolic needs of the colon. As the underlying cause of ischemic colitis is hypoperfusion of. Ischemic Colitis Perforation.
From www.pathologyoutlines.com
Pathology Outlines Ischemic colitis Ischemic Colitis Perforation As the underlying cause of ischemic colitis is hypoperfusion of the colon, it is important to remove any potential exacerbating factors and. Gangrene occurs in 15% of. Ischemic colitis usually gets better on its own within 2 to 3 days. Ischaemic colitis occurs when there is an acute, transient compromise in blood flow, below that required for the metabolic needs. Ischemic Colitis Perforation.
From www.osmosis.org
Ischemic colitis Clinical sciences Osmosis Video Library Ischemic Colitis Perforation Gangrene occurs in 15% of. Ischemic colitis is a leading cause of acute abdomen in elderly patients. Ischemic colitis usually gets better on its own within 2 to 3 days. Ischaemic colitis occurs when there is an acute, transient compromise in blood flow, below that required for the metabolic needs of the colon. Gross and microscopic findings depend on the. Ischemic Colitis Perforation.
From www.ctisus.com
Gastric Perforation and Ischemic Bowel with Halo Sign Small Bowel Ischemic Colitis Perforation Gangrene occurs in 15% of. Chronic forms usually present as chronic segmental colitis and may result in stricture formation. Ischemic colitis usually gets better on its own within 2 to 3 days. Ischemic colitis is a leading cause of acute abdomen in elderly patients. Gross and microscopic findings depend on the severity. As the underlying cause of ischemic colitis is. Ischemic Colitis Perforation.
From www.ctisus.com
Gastric Perforation and Ischemic Bowel Stomach Case Studies CTisus Ischemic Colitis Perforation Gangrene occurs in 15% of. As the underlying cause of ischemic colitis is hypoperfusion of the colon, it is important to remove any potential exacerbating factors and. Ischemic colitis usually gets better on its own within 2 to 3 days. Gross and microscopic findings depend on the severity. Chronic forms usually present as chronic segmental colitis and may result in. Ischemic Colitis Perforation.
From publishing.rcseng.ac.uk
Ischaemic bowel perforation secondary to a gravid uterus in a patient Ischemic Colitis Perforation Ischaemic colitis occurs when there is an acute, transient compromise in blood flow, below that required for the metabolic needs of the colon. Chronic forms usually present as chronic segmental colitis and may result in stricture formation. Gangrene occurs in 15% of. Gross and microscopic findings depend on the severity. Ischemic colitis is a leading cause of acute abdomen in. Ischemic Colitis Perforation.
From www.dreamstime.com
Ogilvies Syndrome with Perforated Colon and Ischemic Bowel Stock Photo Ischemic Colitis Perforation Ischemic colitis usually gets better on its own within 2 to 3 days. As the underlying cause of ischemic colitis is hypoperfusion of the colon, it is important to remove any potential exacerbating factors and. Ischaemic colitis occurs when there is an acute, transient compromise in blood flow, below that required for the metabolic needs of the colon. Ischemic colitis. Ischemic Colitis Perforation.
From capsulehealth.one
Ischemic colitis (IC) An overview Capsule Health Ischemic Colitis Perforation Ischaemic colitis occurs when there is an acute, transient compromise in blood flow, below that required for the metabolic needs of the colon. Chronic forms usually present as chronic segmental colitis and may result in stricture formation. As the underlying cause of ischemic colitis is hypoperfusion of the colon, it is important to remove any potential exacerbating factors and. Ischemic. Ischemic Colitis Perforation.
From www.semanticscholar.org
Figure 1 from A Case of Ischemic Enteritis with Small Bowel Perforation Ischemic Colitis Perforation Gangrene occurs in 15% of. Ischemic colitis is a leading cause of acute abdomen in elderly patients. Gross and microscopic findings depend on the severity. Chronic forms usually present as chronic segmental colitis and may result in stricture formation. Ischemic colitis usually gets better on its own within 2 to 3 days. As the underlying cause of ischemic colitis is. Ischemic Colitis Perforation.
From www.ctisus.com
Gastric Perforation and Ischemic Bowel Stomach Case Studies CTisus Ischemic Colitis Perforation Ischemic colitis is a leading cause of acute abdomen in elderly patients. Gangrene occurs in 15% of. Ischemic colitis usually gets better on its own within 2 to 3 days. Gross and microscopic findings depend on the severity. As the underlying cause of ischemic colitis is hypoperfusion of the colon, it is important to remove any potential exacerbating factors and.. Ischemic Colitis Perforation.
From www.mayoclinic.org
Ischemic colitis Symptoms and causes Mayo Clinic Ischemic Colitis Perforation As the underlying cause of ischemic colitis is hypoperfusion of the colon, it is important to remove any potential exacerbating factors and. Gangrene occurs in 15% of. Gross and microscopic findings depend on the severity. Ischaemic colitis occurs when there is an acute, transient compromise in blood flow, below that required for the metabolic needs of the colon. Ischemic colitis. Ischemic Colitis Perforation.
From calgaryguide.ucalgary.ca
Ischemic Colitis Calgary Guide Ischemic Colitis Perforation Ischaemic colitis occurs when there is an acute, transient compromise in blood flow, below that required for the metabolic needs of the colon. Gangrene occurs in 15% of. As the underlying cause of ischemic colitis is hypoperfusion of the colon, it is important to remove any potential exacerbating factors and. Ischemic colitis is a leading cause of acute abdomen in. Ischemic Colitis Perforation.
From www.researchgate.net
(PDF) Transstomal Small Bowel Evisceration after Colonic Perforation Ischemic Colitis Perforation Ischaemic colitis occurs when there is an acute, transient compromise in blood flow, below that required for the metabolic needs of the colon. Ischemic colitis is a leading cause of acute abdomen in elderly patients. As the underlying cause of ischemic colitis is hypoperfusion of the colon, it is important to remove any potential exacerbating factors and. Ischemic colitis usually. Ischemic Colitis Perforation.
From www.pathologyoutlines.com
Pathology Outlines Ischemic colitis Ischemic Colitis Perforation Gross and microscopic findings depend on the severity. Ischaemic colitis occurs when there is an acute, transient compromise in blood flow, below that required for the metabolic needs of the colon. Chronic forms usually present as chronic segmental colitis and may result in stricture formation. Ischemic colitis usually gets better on its own within 2 to 3 days. As the. Ischemic Colitis Perforation.
From www.ctisus.com
Gastric Perforation and Ischemic Bowel Stomach Case Studies CTisus Ischemic Colitis Perforation Ischaemic colitis occurs when there is an acute, transient compromise in blood flow, below that required for the metabolic needs of the colon. Gross and microscopic findings depend on the severity. Chronic forms usually present as chronic segmental colitis and may result in stricture formation. Gangrene occurs in 15% of. Ischemic colitis is a leading cause of acute abdomen in. Ischemic Colitis Perforation.
From radiologykey.com
Ischemic Colitis Radiology Key Ischemic Colitis Perforation Ischemic colitis usually gets better on its own within 2 to 3 days. Gross and microscopic findings depend on the severity. Ischemic colitis is a leading cause of acute abdomen in elderly patients. Ischaemic colitis occurs when there is an acute, transient compromise in blood flow, below that required for the metabolic needs of the colon. Gangrene occurs in 15%. Ischemic Colitis Perforation.
From www.epainassist.com
What Causes Ischemic Colitis Know its Symptoms, Pathophysiology, Etiology Ischemic Colitis Perforation Ischemic colitis usually gets better on its own within 2 to 3 days. Gangrene occurs in 15% of. Gross and microscopic findings depend on the severity. As the underlying cause of ischemic colitis is hypoperfusion of the colon, it is important to remove any potential exacerbating factors and. Ischaemic colitis occurs when there is an acute, transient compromise in blood. Ischemic Colitis Perforation.
From litfl.com
Abdominal CT bowel perforation • LITFL • Radiology Library Ischemic Colitis Perforation Ischaemic colitis occurs when there is an acute, transient compromise in blood flow, below that required for the metabolic needs of the colon. Ischemic colitis is a leading cause of acute abdomen in elderly patients. Chronic forms usually present as chronic segmental colitis and may result in stricture formation. Gangrene occurs in 15% of. Gross and microscopic findings depend on. Ischemic Colitis Perforation.
From www.semanticscholar.org
Figure 2 from Sevelamerassociated ischemic colitis with perforation Ischemic Colitis Perforation Gangrene occurs in 15% of. As the underlying cause of ischemic colitis is hypoperfusion of the colon, it is important to remove any potential exacerbating factors and. Ischemic colitis usually gets better on its own within 2 to 3 days. Gross and microscopic findings depend on the severity. Ischemic colitis is a leading cause of acute abdomen in elderly patients.. Ischemic Colitis Perforation.
From www.ctisus.com
Gastric Perforation and Ischemic Bowel Stomach Case Studies CTisus Ischemic Colitis Perforation Ischemic colitis usually gets better on its own within 2 to 3 days. Ischemic colitis is a leading cause of acute abdomen in elderly patients. Gangrene occurs in 15% of. Ischaemic colitis occurs when there is an acute, transient compromise in blood flow, below that required for the metabolic needs of the colon. As the underlying cause of ischemic colitis. Ischemic Colitis Perforation.
From www.cureus.com
Cureus OlmesartanInduced Ischemic Enteritis Complicated With Bowel Ischemic Colitis Perforation As the underlying cause of ischemic colitis is hypoperfusion of the colon, it is important to remove any potential exacerbating factors and. Chronic forms usually present as chronic segmental colitis and may result in stricture formation. Gangrene occurs in 15% of. Ischemic colitis usually gets better on its own within 2 to 3 days. Ischaemic colitis occurs when there is. Ischemic Colitis Perforation.
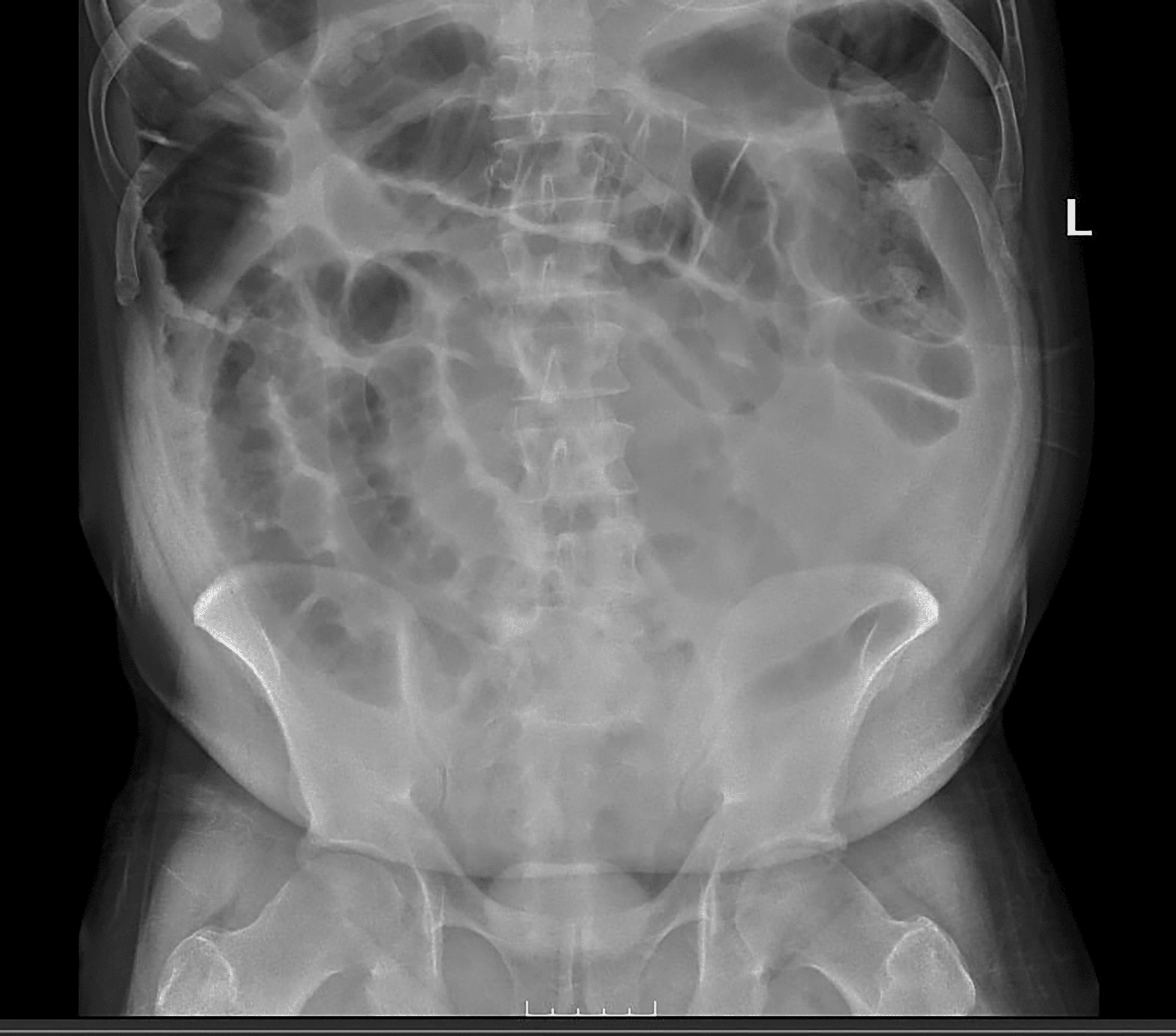
From www.wikidoc.org
Ischemic colitis abdominal x ray wikidoc Ischemic Colitis Perforation Ischemic colitis is a leading cause of acute abdomen in elderly patients. Gross and microscopic findings depend on the severity. Chronic forms usually present as chronic segmental colitis and may result in stricture formation. Ischemic colitis usually gets better on its own within 2 to 3 days. Ischaemic colitis occurs when there is an acute, transient compromise in blood flow,. Ischemic Colitis Perforation.
From www.ctisus.com
Gastric Perforation and Ischemic Bowel Stomach Case Studies CTisus Ischemic Colitis Perforation Ischemic colitis usually gets better on its own within 2 to 3 days. Gangrene occurs in 15% of. As the underlying cause of ischemic colitis is hypoperfusion of the colon, it is important to remove any potential exacerbating factors and. Ischaemic colitis occurs when there is an acute, transient compromise in blood flow, below that required for the metabolic needs. Ischemic Colitis Perforation.
From www.cureus.com
Cureus OlmesartanInduced Ischemic Enteritis Complicated With Bowel Ischemic Colitis Perforation Ischaemic colitis occurs when there is an acute, transient compromise in blood flow, below that required for the metabolic needs of the colon. Chronic forms usually present as chronic segmental colitis and may result in stricture formation. As the underlying cause of ischemic colitis is hypoperfusion of the colon, it is important to remove any potential exacerbating factors and. Ischemic. Ischemic Colitis Perforation.
From www.cureus.com
Cureus Perforated Giant Meckel's Diverticulum Mimicking Colonic Ischemia Ischemic Colitis Perforation Ischaemic colitis occurs when there is an acute, transient compromise in blood flow, below that required for the metabolic needs of the colon. Ischemic colitis is a leading cause of acute abdomen in elderly patients. Ischemic colitis usually gets better on its own within 2 to 3 days. Chronic forms usually present as chronic segmental colitis and may result in. Ischemic Colitis Perforation.
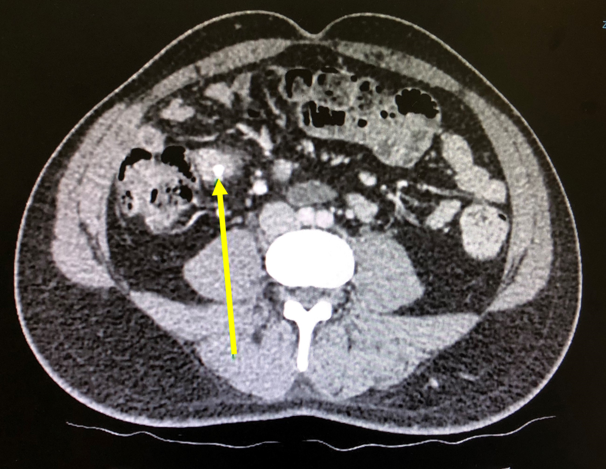
From www.researchgate.net
Contrastenhanced CT image of spontaneous perforation of the sigmoid Ischemic Colitis Perforation Ischemic colitis usually gets better on its own within 2 to 3 days. Gangrene occurs in 15% of. Gross and microscopic findings depend on the severity. Ischaemic colitis occurs when there is an acute, transient compromise in blood flow, below that required for the metabolic needs of the colon. Ischemic colitis is a leading cause of acute abdomen in elderly. Ischemic Colitis Perforation.
From radiologykey.com
Diverticulitis Radiology Key Ischemic Colitis Perforation Gross and microscopic findings depend on the severity. Gangrene occurs in 15% of. Ischemic colitis is a leading cause of acute abdomen in elderly patients. Ischemic colitis usually gets better on its own within 2 to 3 days. As the underlying cause of ischemic colitis is hypoperfusion of the colon, it is important to remove any potential exacerbating factors and.. Ischemic Colitis Perforation.
From www.pathologyoutlines.com
Pathology Outlines Ischemic colitis Ischemic Colitis Perforation As the underlying cause of ischemic colitis is hypoperfusion of the colon, it is important to remove any potential exacerbating factors and. Gangrene occurs in 15% of. Chronic forms usually present as chronic segmental colitis and may result in stricture formation. Ischemic colitis is a leading cause of acute abdomen in elderly patients. Gross and microscopic findings depend on the. Ischemic Colitis Perforation.
From www.ctisus.com
Gastric Perforation and Ischemic Bowel Stomach Case Studies CTisus Ischemic Colitis Perforation As the underlying cause of ischemic colitis is hypoperfusion of the colon, it is important to remove any potential exacerbating factors and. Chronic forms usually present as chronic segmental colitis and may result in stricture formation. Ischaemic colitis occurs when there is an acute, transient compromise in blood flow, below that required for the metabolic needs of the colon. Ischemic. Ischemic Colitis Perforation.
From cemgvagq.blob.core.windows.net
Ischemic Colitis Pathophysiology at Antonio Jones blog Ischemic Colitis Perforation As the underlying cause of ischemic colitis is hypoperfusion of the colon, it is important to remove any potential exacerbating factors and. Ischemic colitis usually gets better on its own within 2 to 3 days. Ischaemic colitis occurs when there is an acute, transient compromise in blood flow, below that required for the metabolic needs of the colon. Chronic forms. Ischemic Colitis Perforation.
From www.ctisus.com
Ischemic Colitis Splenic Flexure Colon Case Studies CTisus CT Scanning Ischemic Colitis Perforation Chronic forms usually present as chronic segmental colitis and may result in stricture formation. Ischemic colitis is a leading cause of acute abdomen in elderly patients. Gross and microscopic findings depend on the severity. Gangrene occurs in 15% of. Ischemic colitis usually gets better on its own within 2 to 3 days. Ischaemic colitis occurs when there is an acute,. Ischemic Colitis Perforation.