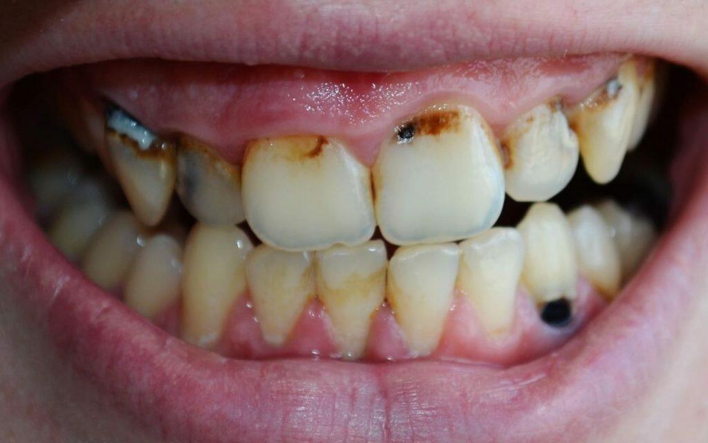
Gingivitis From Vaping . Studies indicate the need for more effective communication about the oral risks of vaping. Current research suggests vaping can have a variety of negative effects on your teeth and gums. If you are in the united states and experiencing a medical emergency, call 911 or call for emergency medical help immediately. While vaping is often promoted as a safer alternative to smoking, it carries unique risks to oral health. Some of these effects include: There are two main stages of gum disease: While most warnings about vaping focus. Vaping puts your gums at risk of developing an infection and exhibiting unhealthy symptoms, such as the gums receding from the teeth to expose the tooth roots, as well as the gums bleeding, swelling and inflaming. Vaping plays a role in the initiation and progression of periodontal disease by altering the host response resulting in the release of. In addition to systemic, respiratory, and. Gingivitis is the early stage of gum disease and is characterized by red, swollen gums that bleed easily. How does vaping affect your teeth and gums?
from kutv.com
While most warnings about vaping focus. Vaping plays a role in the initiation and progression of periodontal disease by altering the host response resulting in the release of. Gingivitis is the early stage of gum disease and is characterized by red, swollen gums that bleed easily. Studies indicate the need for more effective communication about the oral risks of vaping. Current research suggests vaping can have a variety of negative effects on your teeth and gums. Vaping puts your gums at risk of developing an infection and exhibiting unhealthy symptoms, such as the gums receding from the teeth to expose the tooth roots, as well as the gums bleeding, swelling and inflaming. How does vaping affect your teeth and gums? If you are in the united states and experiencing a medical emergency, call 911 or call for emergency medical help immediately. While vaping is often promoted as a safer alternative to smoking, it carries unique risks to oral health. In addition to systemic, respiratory, and.
Check Your Health Vaping affects oral health KUTV
Gingivitis From Vaping Gingivitis is the early stage of gum disease and is characterized by red, swollen gums that bleed easily. While most warnings about vaping focus. Vaping plays a role in the initiation and progression of periodontal disease by altering the host response resulting in the release of. While vaping is often promoted as a safer alternative to smoking, it carries unique risks to oral health. Current research suggests vaping can have a variety of negative effects on your teeth and gums. Studies indicate the need for more effective communication about the oral risks of vaping. Vaping puts your gums at risk of developing an infection and exhibiting unhealthy symptoms, such as the gums receding from the teeth to expose the tooth roots, as well as the gums bleeding, swelling and inflaming. There are two main stages of gum disease: In addition to systemic, respiratory, and. Gingivitis is the early stage of gum disease and is characterized by red, swollen gums that bleed easily. How does vaping affect your teeth and gums? Some of these effects include: If you are in the united states and experiencing a medical emergency, call 911 or call for emergency medical help immediately.
From www.dentistsoflasvegas.com
How Does Vaping Affect My Mouth Gingivitis From Vaping Gingivitis is the early stage of gum disease and is characterized by red, swollen gums that bleed easily. Current research suggests vaping can have a variety of negative effects on your teeth and gums. Vaping puts your gums at risk of developing an infection and exhibiting unhealthy symptoms, such as the gums receding from the teeth to expose the tooth. Gingivitis From Vaping.
From gumdiseaseguide.org
Does Vaping Cause Gum Disease? Should I Stop? Gingivitis From Vaping Current research suggests vaping can have a variety of negative effects on your teeth and gums. Some of these effects include: In addition to systemic, respiratory, and. If you are in the united states and experiencing a medical emergency, call 911 or call for emergency medical help immediately. How does vaping affect your teeth and gums? While vaping is often. Gingivitis From Vaping.
From www.the-dentist.co.uk
Evidence grows for vaping’s role in gum disease Gingivitis From Vaping In addition to systemic, respiratory, and. Vaping puts your gums at risk of developing an infection and exhibiting unhealthy symptoms, such as the gums receding from the teeth to expose the tooth roots, as well as the gums bleeding, swelling and inflaming. While most warnings about vaping focus. Vaping plays a role in the initiation and progression of periodontal disease. Gingivitis From Vaping.
From thehuts-eastbourne.co.uk
How to get rid of gum disease from vaping (July 2024) Gingivitis From Vaping While most warnings about vaping focus. Studies indicate the need for more effective communication about the oral risks of vaping. While vaping is often promoted as a safer alternative to smoking, it carries unique risks to oral health. Gingivitis is the early stage of gum disease and is characterized by red, swollen gums that bleed easily. There are two main. Gingivitis From Vaping.
From www.vapingunderground.com
eLeaf istick 30W... Vaping Underground Forums An Ecig and Vaping Forum Gingivitis From Vaping If you are in the united states and experiencing a medical emergency, call 911 or call for emergency medical help immediately. Some of these effects include: While vaping is often promoted as a safer alternative to smoking, it carries unique risks to oral health. Current research suggests vaping can have a variety of negative effects on your teeth and gums.. Gingivitis From Vaping.
From periobasics.com
Desquamative gingivitis Clinical Periodontology Gingivitis From Vaping In addition to systemic, respiratory, and. Current research suggests vaping can have a variety of negative effects on your teeth and gums. How does vaping affect your teeth and gums? While vaping is often promoted as a safer alternative to smoking, it carries unique risks to oral health. There are two main stages of gum disease: While most warnings about. Gingivitis From Vaping.
From www.huffandpuffers.com
ECigs & Oral Health How Vaping Affects Gums & Teeth Huff & Puffers Gingivitis From Vaping While vaping is often promoted as a safer alternative to smoking, it carries unique risks to oral health. If you are in the united states and experiencing a medical emergency, call 911 or call for emergency medical help immediately. Current research suggests vaping can have a variety of negative effects on your teeth and gums. Studies indicate the need for. Gingivitis From Vaping.
From vaping-faqs.com
Does Vaping Cause Sores In Your Mouth Gingivitis From Vaping While vaping is often promoted as a safer alternative to smoking, it carries unique risks to oral health. Vaping plays a role in the initiation and progression of periodontal disease by altering the host response resulting in the release of. There are two main stages of gum disease: Some of these effects include: How does vaping affect your teeth and. Gingivitis From Vaping.
From sdperio.com
Can Vaping Cause Gum Disease? Vaping and Dental Health Gingivitis From Vaping Some of these effects include: While vaping is often promoted as a safer alternative to smoking, it carries unique risks to oral health. There are two main stages of gum disease: If you are in the united states and experiencing a medical emergency, call 911 or call for emergency medical help immediately. How does vaping affect your teeth and gums?. Gingivitis From Vaping.
From www.theaustralian.com.au
Vaping Dentists see increasing gum disease, tooth decay, bad breath Gingivitis From Vaping While most warnings about vaping focus. There are two main stages of gum disease: In addition to systemic, respiratory, and. Vaping puts your gums at risk of developing an infection and exhibiting unhealthy symptoms, such as the gums receding from the teeth to expose the tooth roots, as well as the gums bleeding, swelling and inflaming. Vaping plays a role. Gingivitis From Vaping.
From nonicotine.org
Can Vaping Cause Gingivitis? Gingivitis From Vaping Vaping plays a role in the initiation and progression of periodontal disease by altering the host response resulting in the release of. Vaping puts your gums at risk of developing an infection and exhibiting unhealthy symptoms, such as the gums receding from the teeth to expose the tooth roots, as well as the gums bleeding, swelling and inflaming. There are. Gingivitis From Vaping.
From www.thescottishsun.co.uk
Vaping for three months can lead to gum disease and cancer, experts Gingivitis From Vaping Vaping puts your gums at risk of developing an infection and exhibiting unhealthy symptoms, such as the gums receding from the teeth to expose the tooth roots, as well as the gums bleeding, swelling and inflaming. Vaping plays a role in the initiation and progression of periodontal disease by altering the host response resulting in the release of. There are. Gingivitis From Vaping.
From www.youtube.com
Vaping Raises Your Risk of Gum Disease, Study Finds YouTube Gingivitis From Vaping There are two main stages of gum disease: While vaping is often promoted as a safer alternative to smoking, it carries unique risks to oral health. Vaping plays a role in the initiation and progression of periodontal disease by altering the host response resulting in the release of. How does vaping affect your teeth and gums? Studies indicate the need. Gingivitis From Vaping.
From mouthgenics.co.uk
Can Vaping Cause Gum Disease? Gingivitis From Vaping Current research suggests vaping can have a variety of negative effects on your teeth and gums. Studies indicate the need for more effective communication about the oral risks of vaping. Vaping puts your gums at risk of developing an infection and exhibiting unhealthy symptoms, such as the gums receding from the teeth to expose the tooth roots, as well as. Gingivitis From Vaping.
From smileessentialsdentalcare.com
What Vaping Does to your Teeth? Smile Essentials Gingivitis From Vaping How does vaping affect your teeth and gums? In addition to systemic, respiratory, and. Some of these effects include: Current research suggests vaping can have a variety of negative effects on your teeth and gums. While most warnings about vaping focus. While vaping is often promoted as a safer alternative to smoking, it carries unique risks to oral health. There. Gingivitis From Vaping.
From www.bradfordfamilydentist.ca
Vaping And Your Oral Health Bradford Family Dentistry Gingivitis From Vaping While most warnings about vaping focus. In addition to systemic, respiratory, and. Vaping plays a role in the initiation and progression of periodontal disease by altering the host response resulting in the release of. While vaping is often promoted as a safer alternative to smoking, it carries unique risks to oral health. Vaping puts your gums at risk of developing. Gingivitis From Vaping.
From www.ndspecialists.uk
Can Vaping Cause Gum Disease and Other Oral Health Issues? Gingivitis From Vaping There are two main stages of gum disease: Vaping plays a role in the initiation and progression of periodontal disease by altering the host response resulting in the release of. How does vaping affect your teeth and gums? If you are in the united states and experiencing a medical emergency, call 911 or call for emergency medical help immediately. In. Gingivitis From Vaping.
From www.monavaledental.com.au
Is Vaping Bad for Your Teeth? (Yes, According to Research) Gingivitis From Vaping While vaping is often promoted as a safer alternative to smoking, it carries unique risks to oral health. In addition to systemic, respiratory, and. Current research suggests vaping can have a variety of negative effects on your teeth and gums. Studies indicate the need for more effective communication about the oral risks of vaping. While most warnings about vaping focus.. Gingivitis From Vaping.
From mytoothhq.com
Does Vaping Provide Gum Disease? is it Bad or Good? ToothHQ Dental Gingivitis From Vaping Some of these effects include: While most warnings about vaping focus. If you are in the united states and experiencing a medical emergency, call 911 or call for emergency medical help immediately. There are two main stages of gum disease: How does vaping affect your teeth and gums? Vaping plays a role in the initiation and progression of periodontal disease. Gingivitis From Vaping.
From www.youtube.com
Gum inflammation triggered by vaping may lead to gum diseases YouTube Gingivitis From Vaping There are two main stages of gum disease: If you are in the united states and experiencing a medical emergency, call 911 or call for emergency medical help immediately. In addition to systemic, respiratory, and. Vaping plays a role in the initiation and progression of periodontal disease by altering the host response resulting in the release of. Current research suggests. Gingivitis From Vaping.
From www.campuswell.com
5 ways vaping can mess with your teeth and gums CampusWell Gingivitis From Vaping Studies indicate the need for more effective communication about the oral risks of vaping. While vaping is often promoted as a safer alternative to smoking, it carries unique risks to oral health. Some of these effects include: Vaping puts your gums at risk of developing an infection and exhibiting unhealthy symptoms, such as the gums receding from the teeth to. Gingivitis From Vaping.
From kutv.com
Check Your Health Vaping affects oral health KUTV Gingivitis From Vaping Some of these effects include: Studies indicate the need for more effective communication about the oral risks of vaping. While vaping is often promoted as a safer alternative to smoking, it carries unique risks to oral health. How does vaping affect your teeth and gums? There are two main stages of gum disease: Current research suggests vaping can have a. Gingivitis From Vaping.
From tgdaily.com
Vaping May Cause Teeth and Gum Disease, Recent Study Warns TGDaily Gingivitis From Vaping Gingivitis is the early stage of gum disease and is characterized by red, swollen gums that bleed easily. Vaping puts your gums at risk of developing an infection and exhibiting unhealthy symptoms, such as the gums receding from the teeth to expose the tooth roots, as well as the gums bleeding, swelling and inflaming. While vaping is often promoted as. Gingivitis From Vaping.
From www.lovettdentistrykohrville.com
What Is Gingivitis? Your Guide To Your Gums General Dentistry Texas Gingivitis From Vaping While most warnings about vaping focus. While vaping is often promoted as a safer alternative to smoking, it carries unique risks to oral health. Gingivitis is the early stage of gum disease and is characterized by red, swollen gums that bleed easily. Studies indicate the need for more effective communication about the oral risks of vaping. If you are in. Gingivitis From Vaping.
From neighborhoodtrials.com
Can Vaping Cause Cavities And Gum Disease? Neighborhood Trials Gingivitis From Vaping If you are in the united states and experiencing a medical emergency, call 911 or call for emergency medical help immediately. Current research suggests vaping can have a variety of negative effects on your teeth and gums. There are two main stages of gum disease: How does vaping affect your teeth and gums? While most warnings about vaping focus. While. Gingivitis From Vaping.
From www.wddty.com
Vaping increases gum disease risk and tooth loss What Doctors Don't Gingivitis From Vaping If you are in the united states and experiencing a medical emergency, call 911 or call for emergency medical help immediately. Current research suggests vaping can have a variety of negative effects on your teeth and gums. In addition to systemic, respiratory, and. Some of these effects include: Gingivitis is the early stage of gum disease and is characterized by. Gingivitis From Vaping.
From smileessentialsdentalcare.com
What Vaping Does to your Teeth? Smile Essentials Gingivitis From Vaping There are two main stages of gum disease: Current research suggests vaping can have a variety of negative effects on your teeth and gums. If you are in the united states and experiencing a medical emergency, call 911 or call for emergency medical help immediately. While vaping is often promoted as a safer alternative to smoking, it carries unique risks. Gingivitis From Vaping.
From news.osu.edu
A few months of vaping puts healthy people on the brink of oral disease Gingivitis From Vaping Vaping plays a role in the initiation and progression of periodontal disease by altering the host response resulting in the release of. Studies indicate the need for more effective communication about the oral risks of vaping. There are two main stages of gum disease: Gingivitis is the early stage of gum disease and is characterized by red, swollen gums that. Gingivitis From Vaping.
From nonicotine.org
Does Vaping Cause Gum Disease? Gingivitis From Vaping Some of these effects include: Current research suggests vaping can have a variety of negative effects on your teeth and gums. Studies indicate the need for more effective communication about the oral risks of vaping. Vaping plays a role in the initiation and progression of periodontal disease by altering the host response resulting in the release of. If you are. Gingivitis From Vaping.
From scitechdaily.com
More Evidence That Vaping ECigarettes Contributes to Gum Disease Gingivitis From Vaping There are two main stages of gum disease: Studies indicate the need for more effective communication about the oral risks of vaping. How does vaping affect your teeth and gums? Vaping puts your gums at risk of developing an infection and exhibiting unhealthy symptoms, such as the gums receding from the teeth to expose the tooth roots, as well as. Gingivitis From Vaping.
From www.drsimonrosenberg.com
The Stages Of Periodontal Disease Upper East Side New York, NY The Gingivitis From Vaping If you are in the united states and experiencing a medical emergency, call 911 or call for emergency medical help immediately. Vaping plays a role in the initiation and progression of periodontal disease by altering the host response resulting in the release of. Studies indicate the need for more effective communication about the oral risks of vaping. While vaping is. Gingivitis From Vaping.
From www.perioimplantadvisory.com
Vaping and oral health It's worse than you think Perio Implant Advisory Gingivitis From Vaping Vaping puts your gums at risk of developing an infection and exhibiting unhealthy symptoms, such as the gums receding from the teeth to expose the tooth roots, as well as the gums bleeding, swelling and inflaming. While most warnings about vaping focus. While vaping is often promoted as a safer alternative to smoking, it carries unique risks to oral health.. Gingivitis From Vaping.
From www.ingeniousdentistry.com
Is Vaping Bad for Your Teeth? Does Vaping Stain Teeth Ingenious Gingivitis From Vaping While most warnings about vaping focus. Some of these effects include: Current research suggests vaping can have a variety of negative effects on your teeth and gums. How does vaping affect your teeth and gums? While vaping is often promoted as a safer alternative to smoking, it carries unique risks to oral health. Vaping puts your gums at risk of. Gingivitis From Vaping.
From nonicotine.org
Does Vaping Cause Gingivitis? Gingivitis From Vaping Gingivitis is the early stage of gum disease and is characterized by red, swollen gums that bleed easily. There are two main stages of gum disease: Current research suggests vaping can have a variety of negative effects on your teeth and gums. Studies indicate the need for more effective communication about the oral risks of vaping. How does vaping affect. Gingivitis From Vaping.
From al-faperio.co.uk
Can vaping lead to gum disease? AlFa Perio Gingivitis From Vaping While most warnings about vaping focus. There are two main stages of gum disease: Vaping puts your gums at risk of developing an infection and exhibiting unhealthy symptoms, such as the gums receding from the teeth to expose the tooth roots, as well as the gums bleeding, swelling and inflaming. Vaping plays a role in the initiation and progression of. Gingivitis From Vaping.