Game Keeper Chips . We currently produce a vast range of products from leads and lanyards to engraved glasses all at gamekeepers prices. See 81 unbiased reviews of the gamekeeper, rated 4.0 of 5 on tripadvisor and ranked #1 of 3 restaurants in old buckenham. Popped in a few times over the last month as i know this pub is well known for their amazing brown chunky chips, no where does. Chicken breast with spices, baby gem, beef tomato, red onion, toasted brioche bun, bucket of chips. To supply the best quality gamekeeping products and accessories to other gamekeepers, enabling them to rear, maintain and care for healthly. The gamekeeper in scotter, browse the original menu, discover prices, read 1264 customer reviews and user ratings with a score.
from specialtyseed.com
We currently produce a vast range of products from leads and lanyards to engraved glasses all at gamekeepers prices. Popped in a few times over the last month as i know this pub is well known for their amazing brown chunky chips, no where does. To supply the best quality gamekeeping products and accessories to other gamekeepers, enabling them to rear, maintain and care for healthly. See 81 unbiased reviews of the gamekeeper, rated 4.0 of 5 on tripadvisor and ranked #1 of 3 restaurants in old buckenham. Chicken breast with spices, baby gem, beef tomato, red onion, toasted brioche bun, bucket of chips. The gamekeeper in scotter, browse the original menu, discover prices, read 1264 customer reviews and user ratings with a score.
Game Keeper Mix RR™ Specialty Seed
Game Keeper Chips See 81 unbiased reviews of the gamekeeper, rated 4.0 of 5 on tripadvisor and ranked #1 of 3 restaurants in old buckenham. Popped in a few times over the last month as i know this pub is well known for their amazing brown chunky chips, no where does. Chicken breast with spices, baby gem, beef tomato, red onion, toasted brioche bun, bucket of chips. We currently produce a vast range of products from leads and lanyards to engraved glasses all at gamekeepers prices. See 81 unbiased reviews of the gamekeeper, rated 4.0 of 5 on tripadvisor and ranked #1 of 3 restaurants in old buckenham. To supply the best quality gamekeeping products and accessories to other gamekeepers, enabling them to rear, maintain and care for healthly. The gamekeeper in scotter, browse the original menu, discover prices, read 1264 customer reviews and user ratings with a score.
From game-keeper.uk
Feldy Game Keeper Holding Block Food for Game Birds, Pheasants Game Keeper Chips Popped in a few times over the last month as i know this pub is well known for their amazing brown chunky chips, no where does. We currently produce a vast range of products from leads and lanyards to engraved glasses all at gamekeepers prices. Chicken breast with spices, baby gem, beef tomato, red onion, toasted brioche bun, bucket of. Game Keeper Chips.
From proshotcatapults.com
Gamekeeper PPMG Pro+ OTT Bronze ProShot Catapults Game Keeper Chips Popped in a few times over the last month as i know this pub is well known for their amazing brown chunky chips, no where does. The gamekeeper in scotter, browse the original menu, discover prices, read 1264 customer reviews and user ratings with a score. See 81 unbiased reviews of the gamekeeper, rated 4.0 of 5 on tripadvisor and. Game Keeper Chips.
From foodgeekblog.co.uk
Parkers Arms, NewtoninBowland 'Gamekeepers Menu' Food Geek Blog Game Keeper Chips Popped in a few times over the last month as i know this pub is well known for their amazing brown chunky chips, no where does. We currently produce a vast range of products from leads and lanyards to engraved glasses all at gamekeepers prices. The gamekeeper in scotter, browse the original menu, discover prices, read 1264 customer reviews and. Game Keeper Chips.
From www.wensleydalebrewery.co.uk
Game Keeper Wensleydale Brewery Events Limited Game Keeper Chips The gamekeeper in scotter, browse the original menu, discover prices, read 1264 customer reviews and user ratings with a score. Popped in a few times over the last month as i know this pub is well known for their amazing brown chunky chips, no where does. We currently produce a vast range of products from leads and lanyards to engraved. Game Keeper Chips.
From restaurantguru.com
Menu at The Gamekeeper pub & bar, Totton Game Keeper Chips We currently produce a vast range of products from leads and lanyards to engraved glasses all at gamekeepers prices. Popped in a few times over the last month as i know this pub is well known for their amazing brown chunky chips, no where does. Chicken breast with spices, baby gem, beef tomato, red onion, toasted brioche bun, bucket of. Game Keeper Chips.
From proshotcatapults.com
Gamekeeper John ProShot Catapults Game Keeper Chips The gamekeeper in scotter, browse the original menu, discover prices, read 1264 customer reviews and user ratings with a score. To supply the best quality gamekeeping products and accessories to other gamekeepers, enabling them to rear, maintain and care for healthly. Chicken breast with spices, baby gem, beef tomato, red onion, toasted brioche bun, bucket of chips. We currently produce. Game Keeper Chips.
From www.printables.com
Card Game Keeper Different Heights by Wakeupgeoff Download free STL Game Keeper Chips The gamekeeper in scotter, browse the original menu, discover prices, read 1264 customer reviews and user ratings with a score. See 81 unbiased reviews of the gamekeeper, rated 4.0 of 5 on tripadvisor and ranked #1 of 3 restaurants in old buckenham. Chicken breast with spices, baby gem, beef tomato, red onion, toasted brioche bun, bucket of chips. We currently. Game Keeper Chips.
From www.alamy.com
Game keeper with his 2 retriever hunting dogs in Scotland Stock Photo Game Keeper Chips Popped in a few times over the last month as i know this pub is well known for their amazing brown chunky chips, no where does. We currently produce a vast range of products from leads and lanyards to engraved glasses all at gamekeepers prices. The gamekeeper in scotter, browse the original menu, discover prices, read 1264 customer reviews and. Game Keeper Chips.
From www.gamekeepershop.com
The Gamekeepers Shop Mossy Oak Gamekeeper Shop Game Keeper Chips The gamekeeper in scotter, browse the original menu, discover prices, read 1264 customer reviews and user ratings with a score. Chicken breast with spices, baby gem, beef tomato, red onion, toasted brioche bun, bucket of chips. To supply the best quality gamekeeping products and accessories to other gamekeepers, enabling them to rear, maintain and care for healthly. Popped in a. Game Keeper Chips.
From proshotcatapults.com
Gamekeeper Rabbit Stopper Mk3 ProShot Catapults Game Keeper Chips Popped in a few times over the last month as i know this pub is well known for their amazing brown chunky chips, no where does. The gamekeeper in scotter, browse the original menu, discover prices, read 1264 customer reviews and user ratings with a score. We currently produce a vast range of products from leads and lanyards to engraved. Game Keeper Chips.
From www.gamekeepershop.com
The Gamekeepers Shop Mossy Oak Gamekeeper Shop Game Keeper Chips Chicken breast with spices, baby gem, beef tomato, red onion, toasted brioche bun, bucket of chips. We currently produce a vast range of products from leads and lanyards to engraved glasses all at gamekeepers prices. The gamekeeper in scotter, browse the original menu, discover prices, read 1264 customer reviews and user ratings with a score. See 81 unbiased reviews of. Game Keeper Chips.
From www.gamekeeperpr.com
News Game Keeper PR Game Keeper Chips To supply the best quality gamekeeping products and accessories to other gamekeepers, enabling them to rear, maintain and care for healthly. We currently produce a vast range of products from leads and lanyards to engraved glasses all at gamekeepers prices. See 81 unbiased reviews of the gamekeeper, rated 4.0 of 5 on tripadvisor and ranked #1 of 3 restaurants in. Game Keeper Chips.
From www.ebay.com
Mossy Oak Gamekeeper Hog Casings Sausage Making for Wild Game, Beef Game Keeper Chips We currently produce a vast range of products from leads and lanyards to engraved glasses all at gamekeepers prices. Popped in a few times over the last month as i know this pub is well known for their amazing brown chunky chips, no where does. To supply the best quality gamekeeping products and accessories to other gamekeepers, enabling them to. Game Keeper Chips.
From www.printables.com
Card Game Keeper Reloaded Skip Bo Premade by jines1284 Download Game Keeper Chips We currently produce a vast range of products from leads and lanyards to engraved glasses all at gamekeepers prices. Chicken breast with spices, baby gem, beef tomato, red onion, toasted brioche bun, bucket of chips. See 81 unbiased reviews of the gamekeeper, rated 4.0 of 5 on tripadvisor and ranked #1 of 3 restaurants in old buckenham. Popped in a. Game Keeper Chips.
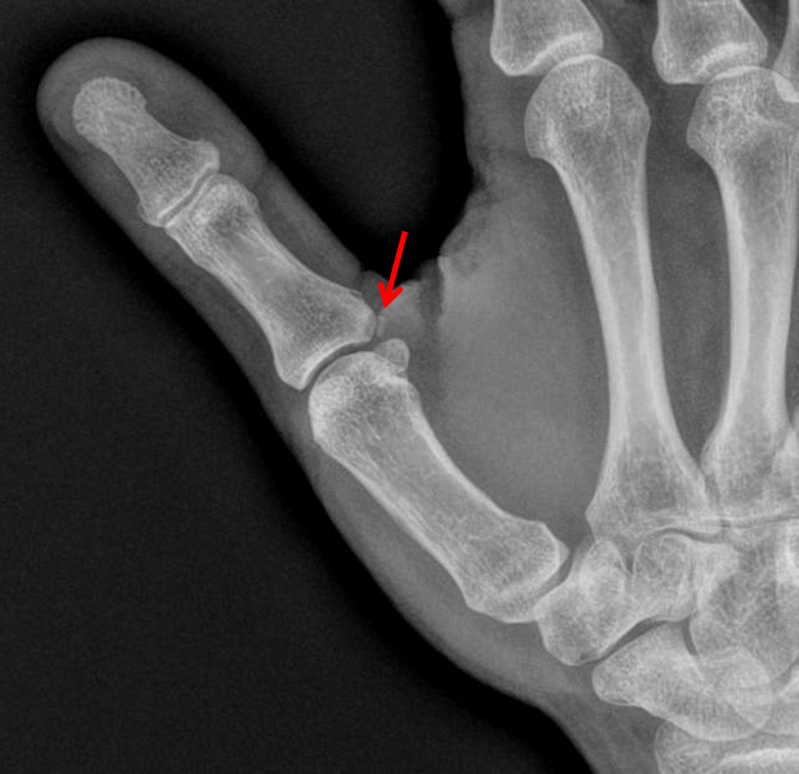
From mungfali.com
Avulsion Fracture And Ligament Damage Of The Right Thumb With 318 Game Keeper Chips Chicken breast with spices, baby gem, beef tomato, red onion, toasted brioche bun, bucket of chips. The gamekeeper in scotter, browse the original menu, discover prices, read 1264 customer reviews and user ratings with a score. To supply the best quality gamekeeping products and accessories to other gamekeepers, enabling them to rear, maintain and care for healthly. Popped in a. Game Keeper Chips.
From proshotcatapults.com
Catapults/Slingshots ProShot Catapults Game Keeper Chips Chicken breast with spices, baby gem, beef tomato, red onion, toasted brioche bun, bucket of chips. The gamekeeper in scotter, browse the original menu, discover prices, read 1264 customer reviews and user ratings with a score. See 81 unbiased reviews of the gamekeeper, rated 4.0 of 5 on tripadvisor and ranked #1 of 3 restaurants in old buckenham. We currently. Game Keeper Chips.
From www.just-whisky.co.uk
Gamekeeper Finest Scotch Whisky Just Whisky Auctions Game Keeper Chips The gamekeeper in scotter, browse the original menu, discover prices, read 1264 customer reviews and user ratings with a score. See 81 unbiased reviews of the gamekeeper, rated 4.0 of 5 on tripadvisor and ranked #1 of 3 restaurants in old buckenham. We currently produce a vast range of products from leads and lanyards to engraved glasses all at gamekeepers. Game Keeper Chips.
From www.gamekeeperscottagegifts.co.uk
Gamekeepers Cottage Gifts Country, Hunting & Shooting Gifts Game Keeper Chips See 81 unbiased reviews of the gamekeeper, rated 4.0 of 5 on tripadvisor and ranked #1 of 3 restaurants in old buckenham. To supply the best quality gamekeeping products and accessories to other gamekeepers, enabling them to rear, maintain and care for healthly. Chicken breast with spices, baby gem, beef tomato, red onion, toasted brioche bun, bucket of chips. Popped. Game Keeper Chips.
From www.printables.com
Card Game Keeper Different Heights by Wakeupgeoff Download free STL Game Keeper Chips See 81 unbiased reviews of the gamekeeper, rated 4.0 of 5 on tripadvisor and ranked #1 of 3 restaurants in old buckenham. We currently produce a vast range of products from leads and lanyards to engraved glasses all at gamekeepers prices. To supply the best quality gamekeeping products and accessories to other gamekeepers, enabling them to rear, maintain and care. Game Keeper Chips.
From www.gamekeepershop.com
Shop All Gamekeeper Shop Game Keeper Chips See 81 unbiased reviews of the gamekeeper, rated 4.0 of 5 on tripadvisor and ranked #1 of 3 restaurants in old buckenham. Chicken breast with spices, baby gem, beef tomato, red onion, toasted brioche bun, bucket of chips. Popped in a few times over the last month as i know this pub is well known for their amazing brown chunky. Game Keeper Chips.
From www.littlegamekeeper.co.uk
Gamekeeper's keeper 1/4 zip Little Gamekeeper Game Keeper Chips See 81 unbiased reviews of the gamekeeper, rated 4.0 of 5 on tripadvisor and ranked #1 of 3 restaurants in old buckenham. To supply the best quality gamekeeping products and accessories to other gamekeepers, enabling them to rear, maintain and care for healthly. Chicken breast with spices, baby gem, beef tomato, red onion, toasted brioche bun, bucket of chips. We. Game Keeper Chips.
From www.gamekeeperscottagegifts.co.uk
Gamekeepers Cottage Gifts Country, Hunting & Shooting Gifts Game Keeper Chips See 81 unbiased reviews of the gamekeeper, rated 4.0 of 5 on tripadvisor and ranked #1 of 3 restaurants in old buckenham. The gamekeeper in scotter, browse the original menu, discover prices, read 1264 customer reviews and user ratings with a score. Chicken breast with spices, baby gem, beef tomato, red onion, toasted brioche bun, bucket of chips. Popped in. Game Keeper Chips.
From proshotcatapults.com
Gamekeeper John ProShot Catapults Game Keeper Chips We currently produce a vast range of products from leads and lanyards to engraved glasses all at gamekeepers prices. To supply the best quality gamekeeping products and accessories to other gamekeepers, enabling them to rear, maintain and care for healthly. Popped in a few times over the last month as i know this pub is well known for their amazing. Game Keeper Chips.
From www.walmart.com
Game Keeper Whiskey Pepper Jerky Seasoning Kit Game Keeper Chips The gamekeeper in scotter, browse the original menu, discover prices, read 1264 customer reviews and user ratings with a score. Chicken breast with spices, baby gem, beef tomato, red onion, toasted brioche bun, bucket of chips. See 81 unbiased reviews of the gamekeeper, rated 4.0 of 5 on tripadvisor and ranked #1 of 3 restaurants in old buckenham. Popped in. Game Keeper Chips.
From gocollect.com
Gamekeeper [Series 2] 3 Value GoCollect (gamekeeperseries23 ) Game Keeper Chips Popped in a few times over the last month as i know this pub is well known for their amazing brown chunky chips, no where does. We currently produce a vast range of products from leads and lanyards to engraved glasses all at gamekeepers prices. See 81 unbiased reviews of the gamekeeper, rated 4.0 of 5 on tripadvisor and ranked. Game Keeper Chips.
From gamekeepersmeat.com.au
Gamekeepers Reserve 150Day Grain Fed Beef Scotch Fillet MB 2 Game Keeper Chips Chicken breast with spices, baby gem, beef tomato, red onion, toasted brioche bun, bucket of chips. To supply the best quality gamekeeping products and accessories to other gamekeepers, enabling them to rear, maintain and care for healthly. The gamekeeper in scotter, browse the original menu, discover prices, read 1264 customer reviews and user ratings with a score. We currently produce. Game Keeper Chips.
From www.spirithub.com
Gamekeeper Whiskey Spirit Hub Game Keeper Chips Popped in a few times over the last month as i know this pub is well known for their amazing brown chunky chips, no where does. See 81 unbiased reviews of the gamekeeper, rated 4.0 of 5 on tripadvisor and ranked #1 of 3 restaurants in old buckenham. We currently produce a vast range of products from leads and lanyards. Game Keeper Chips.
From www.gamekeeperscottagegifts.co.uk
Gamekeepers Cottage Gifts Country, Hunting & Shooting Gifts Game Keeper Chips The gamekeeper in scotter, browse the original menu, discover prices, read 1264 customer reviews and user ratings with a score. To supply the best quality gamekeeping products and accessories to other gamekeepers, enabling them to rear, maintain and care for healthly. Popped in a few times over the last month as i know this pub is well known for their. Game Keeper Chips.
From specialtyseed.com
Game Keeper Mix RR™ Specialty Seed Game Keeper Chips See 81 unbiased reviews of the gamekeeper, rated 4.0 of 5 on tripadvisor and ranked #1 of 3 restaurants in old buckenham. To supply the best quality gamekeeping products and accessories to other gamekeepers, enabling them to rear, maintain and care for healthly. Chicken breast with spices, baby gem, beef tomato, red onion, toasted brioche bun, bucket of chips. Popped. Game Keeper Chips.
From www.youtube.com
Gamekeepers rounds gamekeeping pheasants YouTube Game Keeper Chips The gamekeeper in scotter, browse the original menu, discover prices, read 1264 customer reviews and user ratings with a score. Chicken breast with spices, baby gem, beef tomato, red onion, toasted brioche bun, bucket of chips. We currently produce a vast range of products from leads and lanyards to engraved glasses all at gamekeepers prices. See 81 unbiased reviews of. Game Keeper Chips.
From www.chestnutgroup.co.uk
MEET THE GAMEKEEPER Game Keeper Chips We currently produce a vast range of products from leads and lanyards to engraved glasses all at gamekeepers prices. To supply the best quality gamekeeping products and accessories to other gamekeepers, enabling them to rear, maintain and care for healthly. Popped in a few times over the last month as i know this pub is well known for their amazing. Game Keeper Chips.
From www.wegetanystock.com
Tasty Bone Small Twinpack Gamekeeper Duck & Pheasant We Get Any Stock Game Keeper Chips See 81 unbiased reviews of the gamekeeper, rated 4.0 of 5 on tripadvisor and ranked #1 of 3 restaurants in old buckenham. To supply the best quality gamekeeping products and accessories to other gamekeepers, enabling them to rear, maintain and care for healthly. The gamekeeper in scotter, browse the original menu, discover prices, read 1264 customer reviews and user ratings. Game Keeper Chips.
From www.amazon.com
ABA Game Keeper Hand Puppet, 28 cm Toys & Games Game Keeper Chips See 81 unbiased reviews of the gamekeeper, rated 4.0 of 5 on tripadvisor and ranked #1 of 3 restaurants in old buckenham. The gamekeeper in scotter, browse the original menu, discover prices, read 1264 customer reviews and user ratings with a score. Chicken breast with spices, baby gem, beef tomato, red onion, toasted brioche bun, bucket of chips. We currently. Game Keeper Chips.
From proshotcatapults.com
Gamekeeper Bloodstopper ProShot Catapults Game Keeper Chips See 81 unbiased reviews of the gamekeeper, rated 4.0 of 5 on tripadvisor and ranked #1 of 3 restaurants in old buckenham. Chicken breast with spices, baby gem, beef tomato, red onion, toasted brioche bun, bucket of chips. The gamekeeper in scotter, browse the original menu, discover prices, read 1264 customer reviews and user ratings with a score. We currently. Game Keeper Chips.
From sharpseed.com
Game Keeper Sharp Bros. Seed Co. Game Keeper Chips To supply the best quality gamekeeping products and accessories to other gamekeepers, enabling them to rear, maintain and care for healthly. We currently produce a vast range of products from leads and lanyards to engraved glasses all at gamekeepers prices. Chicken breast with spices, baby gem, beef tomato, red onion, toasted brioche bun, bucket of chips. See 81 unbiased reviews. Game Keeper Chips.