What Is Dentin Dysplasia . dentin dysplasia type i is an inherited disorder characterized by atypical development of the “dentin” of a person’s. dentin dysplasia (dd) is a rare disorder belonging to the group of hereditary dentin defects (see this term) and is. If you or a loved one is. dentin dysplasia (dd) is a rare disorder belonging to the group of hereditary dentin defects and is characterized by abnormal. learn about dentin dysplasia type ii, including symptoms, causes, and treatments. dentin dysplasia is a rare genetic condition that can cause the tissue to form in abnormal ways, and it can have. dentin dysplasia is a rare disturbance of dentin formation.
from jmedicalcasereports.biomedcentral.com
dentin dysplasia is a rare disturbance of dentin formation. dentin dysplasia (dd) is a rare disorder belonging to the group of hereditary dentin defects and is characterized by abnormal. dentin dysplasia type i is an inherited disorder characterized by atypical development of the “dentin” of a person’s. learn about dentin dysplasia type ii, including symptoms, causes, and treatments. If you or a loved one is. dentin dysplasia is a rare genetic condition that can cause the tissue to form in abnormal ways, and it can have. dentin dysplasia (dd) is a rare disorder belonging to the group of hereditary dentin defects (see this term) and is.
Dentin dysplasia type I a case report and review of the literature
What Is Dentin Dysplasia dentin dysplasia type i is an inherited disorder characterized by atypical development of the “dentin” of a person’s. dentin dysplasia (dd) is a rare disorder belonging to the group of hereditary dentin defects (see this term) and is. learn about dentin dysplasia type ii, including symptoms, causes, and treatments. dentin dysplasia is a rare genetic condition that can cause the tissue to form in abnormal ways, and it can have. If you or a loved one is. dentin dysplasia type i is an inherited disorder characterized by atypical development of the “dentin” of a person’s. dentin dysplasia is a rare disturbance of dentin formation. dentin dysplasia (dd) is a rare disorder belonging to the group of hereditary dentin defects and is characterized by abnormal.
From casereports.bmj.com
Dentin dysplasia type I BMJ Case Reports What Is Dentin Dysplasia dentin dysplasia is a rare genetic condition that can cause the tissue to form in abnormal ways, and it can have. dentin dysplasia (dd) is a rare disorder belonging to the group of hereditary dentin defects (see this term) and is. dentin dysplasia is a rare disturbance of dentin formation. learn about dentin dysplasia type ii,. What Is Dentin Dysplasia.
From www.researchgate.net
Family 6. (A) Threegeneration pedigree of a family diagnosed with What Is Dentin Dysplasia learn about dentin dysplasia type ii, including symptoms, causes, and treatments. dentin dysplasia (dd) is a rare disorder belonging to the group of hereditary dentin defects (see this term) and is. dentin dysplasia is a rare genetic condition that can cause the tissue to form in abnormal ways, and it can have. If you or a loved. What Is Dentin Dysplasia.
From www.ajodo.org
Orthodontic treatment of a patient with dentin dysplasia type I What Is Dentin Dysplasia learn about dentin dysplasia type ii, including symptoms, causes, and treatments. dentin dysplasia (dd) is a rare disorder belonging to the group of hereditary dentin defects and is characterized by abnormal. dentin dysplasia is a rare disturbance of dentin formation. If you or a loved one is. dentin dysplasia (dd) is a rare disorder belonging to. What Is Dentin Dysplasia.
From www.youtube.com
Dentin Dysplasia NEET MDS INICET INBDE High Yield points with What Is Dentin Dysplasia dentin dysplasia (dd) is a rare disorder belonging to the group of hereditary dentin defects (see this term) and is. dentin dysplasia (dd) is a rare disorder belonging to the group of hereditary dentin defects and is characterized by abnormal. learn about dentin dysplasia type ii, including symptoms, causes, and treatments. dentin dysplasia is a rare. What Is Dentin Dysplasia.
From www.semanticscholar.org
Dentin Dysplasia Semantic Scholar What Is Dentin Dysplasia learn about dentin dysplasia type ii, including symptoms, causes, and treatments. dentin dysplasia type i is an inherited disorder characterized by atypical development of the “dentin” of a person’s. If you or a loved one is. dentin dysplasia (dd) is a rare disorder belonging to the group of hereditary dentin defects (see this term) and is. . What Is Dentin Dysplasia.
From www.oooojournal.net
Dentin dysplasia, type IIReport of 2 new families and review of the What Is Dentin Dysplasia dentin dysplasia type i is an inherited disorder characterized by atypical development of the “dentin” of a person’s. dentin dysplasia is a rare genetic condition that can cause the tissue to form in abnormal ways, and it can have. dentin dysplasia (dd) is a rare disorder belonging to the group of hereditary dentin defects (see this term). What Is Dentin Dysplasia.
From www.semanticscholar.org
Phenotypic Variation in Dentinogenesis Imperfecta/Dentin Dysplasia What Is Dentin Dysplasia If you or a loved one is. learn about dentin dysplasia type ii, including symptoms, causes, and treatments. dentin dysplasia type i is an inherited disorder characterized by atypical development of the “dentin” of a person’s. dentin dysplasia is a rare disturbance of dentin formation. dentin dysplasia is a rare genetic condition that can cause the. What Is Dentin Dysplasia.
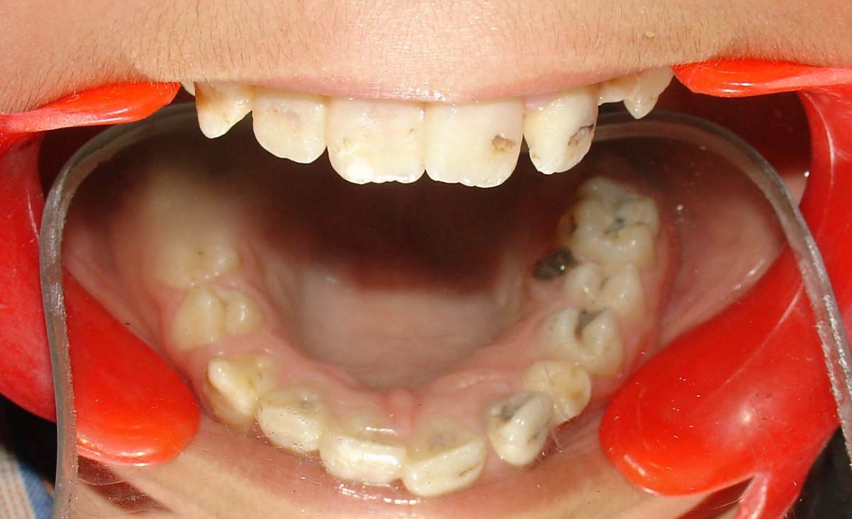
From pubs.sciepub.com
Figure 1. Intraoral photograph of the patient Dentin Dysplasia Type I What Is Dentin Dysplasia dentin dysplasia is a rare genetic condition that can cause the tissue to form in abnormal ways, and it can have. dentin dysplasia (dd) is a rare disorder belonging to the group of hereditary dentin defects and is characterized by abnormal. learn about dentin dysplasia type ii, including symptoms, causes, and treatments. dentin dysplasia (dd) is. What Is Dentin Dysplasia.
From onlinelibrary.wiley.com
Dentin dysplasia type I—A dental disease with heterogeneity What Is Dentin Dysplasia dentin dysplasia is a rare genetic condition that can cause the tissue to form in abnormal ways, and it can have. dentin dysplasia (dd) is a rare disorder belonging to the group of hereditary dentin defects and is characterized by abnormal. dentin dysplasia (dd) is a rare disorder belonging to the group of hereditary dentin defects (see. What Is Dentin Dysplasia.
From www.dovemed.com
Dentin DysplasiaSclerotic Bones Syndrome What Is Dentin Dysplasia learn about dentin dysplasia type ii, including symptoms, causes, and treatments. dentin dysplasia type i is an inherited disorder characterized by atypical development of the “dentin” of a person’s. dentin dysplasia is a rare disturbance of dentin formation. dentin dysplasia (dd) is a rare disorder belonging to the group of hereditary dentin defects and is characterized. What Is Dentin Dysplasia.
From casereports.bmj.com
Dentin dysplasia type I BMJ Case Reports What Is Dentin Dysplasia dentin dysplasia is a rare disturbance of dentin formation. dentin dysplasia (dd) is a rare disorder belonging to the group of hereditary dentin defects and is characterized by abnormal. dentin dysplasia type i is an inherited disorder characterized by atypical development of the “dentin” of a person’s. dentin dysplasia (dd) is a rare disorder belonging to. What Is Dentin Dysplasia.
From www.ajodo.org
Orthodontic treatment of a patient with dentin dysplasia type I What Is Dentin Dysplasia If you or a loved one is. dentin dysplasia (dd) is a rare disorder belonging to the group of hereditary dentin defects and is characterized by abnormal. dentin dysplasia is a rare genetic condition that can cause the tissue to form in abnormal ways, and it can have. learn about dentin dysplasia type ii, including symptoms, causes,. What Is Dentin Dysplasia.
From casereports.bmj.com
Dentin dysplasia type I BMJ Case Reports What Is Dentin Dysplasia learn about dentin dysplasia type ii, including symptoms, causes, and treatments. dentin dysplasia (dd) is a rare disorder belonging to the group of hereditary dentin defects and is characterized by abnormal. dentin dysplasia is a rare genetic condition that can cause the tissue to form in abnormal ways, and it can have. dentin dysplasia type i. What Is Dentin Dysplasia.
From www.slideserve.com
PPT DENTAL ANOMALY PowerPoint Presentation ID7007534 What Is Dentin Dysplasia dentin dysplasia (dd) is a rare disorder belonging to the group of hereditary dentin defects and is characterized by abnormal. learn about dentin dysplasia type ii, including symptoms, causes, and treatments. If you or a loved one is. dentin dysplasia (dd) is a rare disorder belonging to the group of hereditary dentin defects (see this term) and. What Is Dentin Dysplasia.
From www.youtube.com
DENTIN DYSPLASIA (ROOTLESS TOOTH) PART1 (Developmental Disturbances of What Is Dentin Dysplasia dentin dysplasia type i is an inherited disorder characterized by atypical development of the “dentin” of a person’s. learn about dentin dysplasia type ii, including symptoms, causes, and treatments. dentin dysplasia is a rare disturbance of dentin formation. dentin dysplasia (dd) is a rare disorder belonging to the group of hereditary dentin defects (see this term). What Is Dentin Dysplasia.
From link10.ir
Dentin dysplasia link10.ir link10.ir What Is Dentin Dysplasia If you or a loved one is. dentin dysplasia is a rare genetic condition that can cause the tissue to form in abnormal ways, and it can have. learn about dentin dysplasia type ii, including symptoms, causes, and treatments. dentin dysplasia type i is an inherited disorder characterized by atypical development of the “dentin” of a person’s.. What Is Dentin Dysplasia.
From mavink.com
Dentin Dysplasia Radiograph What Is Dentin Dysplasia dentin dysplasia is a rare disturbance of dentin formation. dentin dysplasia (dd) is a rare disorder belonging to the group of hereditary dentin defects (see this term) and is. dentin dysplasia is a rare genetic condition that can cause the tissue to form in abnormal ways, and it can have. dentin dysplasia (dd) is a rare. What Is Dentin Dysplasia.
From losalgodonesdentistsguide.com
Dentin Dysplasia Algodones Dentists Guide What Is Dentin Dysplasia dentin dysplasia (dd) is a rare disorder belonging to the group of hereditary dentin defects (see this term) and is. dentin dysplasia (dd) is a rare disorder belonging to the group of hereditary dentin defects and is characterized by abnormal. dentin dysplasia is a rare disturbance of dentin formation. If you or a loved one is. . What Is Dentin Dysplasia.
From www.ajodo.org
Orthodontic treatment of a patient with dentin dysplasia type I What Is Dentin Dysplasia If you or a loved one is. dentin dysplasia type i is an inherited disorder characterized by atypical development of the “dentin” of a person’s. dentin dysplasia (dd) is a rare disorder belonging to the group of hereditary dentin defects (see this term) and is. dentin dysplasia (dd) is a rare disorder belonging to the group of. What Is Dentin Dysplasia.
From www.slideshare.net
Dentin Dysplasia What Is Dentin Dysplasia dentin dysplasia is a rare genetic condition that can cause the tissue to form in abnormal ways, and it can have. learn about dentin dysplasia type ii, including symptoms, causes, and treatments. dentin dysplasia (dd) is a rare disorder belonging to the group of hereditary dentin defects and is characterized by abnormal. dentin dysplasia (dd) is. What Is Dentin Dysplasia.
From www.researchgate.net
(PDF) Dentin dysplasia type IA dental disease with heterogeneity What Is Dentin Dysplasia If you or a loved one is. learn about dentin dysplasia type ii, including symptoms, causes, and treatments. dentin dysplasia is a rare genetic condition that can cause the tissue to form in abnormal ways, and it can have. dentin dysplasia is a rare disturbance of dentin formation. dentin dysplasia (dd) is a rare disorder belonging. What Is Dentin Dysplasia.
From www.slideserve.com
PPT Hard Tissue Charting PowerPoint Presentation, free download ID What Is Dentin Dysplasia dentin dysplasia (dd) is a rare disorder belonging to the group of hereditary dentin defects (see this term) and is. learn about dentin dysplasia type ii, including symptoms, causes, and treatments. dentin dysplasia (dd) is a rare disorder belonging to the group of hereditary dentin defects and is characterized by abnormal. If you or a loved one. What Is Dentin Dysplasia.
From www.researchgate.net
(PDF) Dentin dysplasia type I What Is Dentin Dysplasia If you or a loved one is. dentin dysplasia (dd) is a rare disorder belonging to the group of hereditary dentin defects (see this term) and is. dentin dysplasia type i is an inherited disorder characterized by atypical development of the “dentin” of a person’s. dentin dysplasia is a rare genetic condition that can cause the tissue. What Is Dentin Dysplasia.
From www.youtube.com
Dentin dysplasia (Rootless teeth) Important Notes Developmental What Is Dentin Dysplasia dentin dysplasia type i is an inherited disorder characterized by atypical development of the “dentin” of a person’s. learn about dentin dysplasia type ii, including symptoms, causes, and treatments. dentin dysplasia (dd) is a rare disorder belonging to the group of hereditary dentin defects (see this term) and is. dentin dysplasia (dd) is a rare disorder. What Is Dentin Dysplasia.
From casereports.bmj.com
Dentin dysplasia diagnostic challenges BMJ Case Reports What Is Dentin Dysplasia learn about dentin dysplasia type ii, including symptoms, causes, and treatments. dentin dysplasia is a rare genetic condition that can cause the tissue to form in abnormal ways, and it can have. dentin dysplasia is a rare disturbance of dentin formation. dentin dysplasia (dd) is a rare disorder belonging to the group of hereditary dentin defects. What Is Dentin Dysplasia.
From www.slideshare.net
Inherited dentin defects (Dentistry) What Is Dentin Dysplasia dentin dysplasia is a rare disturbance of dentin formation. dentin dysplasia (dd) is a rare disorder belonging to the group of hereditary dentin defects (see this term) and is. If you or a loved one is. dentin dysplasia is a rare genetic condition that can cause the tissue to form in abnormal ways, and it can have.. What Is Dentin Dysplasia.
From www.researchgate.net
Clinical, radiographic, and microscopic characteristics of dentin What Is Dentin Dysplasia learn about dentin dysplasia type ii, including symptoms, causes, and treatments. dentin dysplasia (dd) is a rare disorder belonging to the group of hereditary dentin defects and is characterized by abnormal. dentin dysplasia (dd) is a rare disorder belonging to the group of hereditary dentin defects (see this term) and is. If you or a loved one. What Is Dentin Dysplasia.
From www.youtube.com
Medical vocabulary What does Dentin Dysplasia mean YouTube What Is Dentin Dysplasia learn about dentin dysplasia type ii, including symptoms, causes, and treatments. dentin dysplasia (dd) is a rare disorder belonging to the group of hereditary dentin defects and is characterized by abnormal. dentin dysplasia type i is an inherited disorder characterized by atypical development of the “dentin” of a person’s. dentin dysplasia (dd) is a rare disorder. What Is Dentin Dysplasia.
From www.researchgate.net
(PDF) Dentin dysplasia type 1 What Is Dentin Dysplasia If you or a loved one is. dentin dysplasia type i is an inherited disorder characterized by atypical development of the “dentin” of a person’s. dentin dysplasia (dd) is a rare disorder belonging to the group of hereditary dentin defects (see this term) and is. learn about dentin dysplasia type ii, including symptoms, causes, and treatments. . What Is Dentin Dysplasia.
From my.klarity.health
What Is Dentin Dysplasia Type II Klarity Health Library What Is Dentin Dysplasia learn about dentin dysplasia type ii, including symptoms, causes, and treatments. dentin dysplasia type i is an inherited disorder characterized by atypical development of the “dentin” of a person’s. If you or a loved one is. dentin dysplasia (dd) is a rare disorder belonging to the group of hereditary dentin defects (see this term) and is. . What Is Dentin Dysplasia.
From drgstoothpix.com
Dentin Dysplasia Type II Dr. G's Toothpix What Is Dentin Dysplasia dentin dysplasia (dd) is a rare disorder belonging to the group of hereditary dentin defects and is characterized by abnormal. dentin dysplasia (dd) is a rare disorder belonging to the group of hereditary dentin defects (see this term) and is. dentin dysplasia is a rare genetic condition that can cause the tissue to form in abnormal ways,. What Is Dentin Dysplasia.
From www.researchgate.net
(PDF) Dentin dysplasia type I A rare entity What Is Dentin Dysplasia dentin dysplasia (dd) is a rare disorder belonging to the group of hereditary dentin defects (see this term) and is. dentin dysplasia (dd) is a rare disorder belonging to the group of hereditary dentin defects and is characterized by abnormal. dentin dysplasia is a rare genetic condition that can cause the tissue to form in abnormal ways,. What Is Dentin Dysplasia.
From www.ajodo.org
Orthodontic treatment of a patient with dentin dysplasia type I What Is Dentin Dysplasia dentin dysplasia (dd) is a rare disorder belonging to the group of hereditary dentin defects and is characterized by abnormal. If you or a loved one is. dentin dysplasia is a rare disturbance of dentin formation. dentin dysplasia (dd) is a rare disorder belonging to the group of hereditary dentin defects (see this term) and is. . What Is Dentin Dysplasia.
From jmedicalcasereports.biomedcentral.com
Dentin dysplasia type I a case report and review of the literature What Is Dentin Dysplasia dentin dysplasia is a rare disturbance of dentin formation. learn about dentin dysplasia type ii, including symptoms, causes, and treatments. dentin dysplasia (dd) is a rare disorder belonging to the group of hereditary dentin defects and is characterized by abnormal. dentin dysplasia is a rare genetic condition that can cause the tissue to form in abnormal. What Is Dentin Dysplasia.
From doctorlib.info
Developmental Defects of the Dental Hard Tissues and their Treatment What Is Dentin Dysplasia If you or a loved one is. dentin dysplasia type i is an inherited disorder characterized by atypical development of the “dentin” of a person’s. dentin dysplasia is a rare disturbance of dentin formation. dentin dysplasia is a rare genetic condition that can cause the tissue to form in abnormal ways, and it can have. dentin. What Is Dentin Dysplasia.