What Is The Medical Condition Cjd . It is believed to be. Symptoms may take years to appear, and can include rapidly. A brain biopsy or an exam of brain tissue after death, known as an autopsy, is the gold standard to confirm the presence of. It has severe effects on the brain. It causes brain damage that worsens rapidly over time.
from www.researchgate.net
It is believed to be. It causes brain damage that worsens rapidly over time. A brain biopsy or an exam of brain tissue after death, known as an autopsy, is the gold standard to confirm the presence of. Symptoms may take years to appear, and can include rapidly. It has severe effects on the brain.
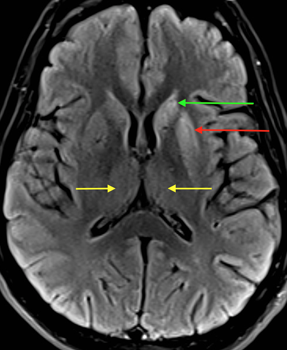
CJD profiles of MRI and EEG from probable CJD patients. (A) Brain MRIs
What Is The Medical Condition Cjd A brain biopsy or an exam of brain tissue after death, known as an autopsy, is the gold standard to confirm the presence of. It is believed to be. Symptoms may take years to appear, and can include rapidly. It has severe effects on the brain. It causes brain damage that worsens rapidly over time. A brain biopsy or an exam of brain tissue after death, known as an autopsy, is the gold standard to confirm the presence of.
From markethealthbeauty.com
CJD Brain Disease Understanding The Rare Brain Disorder [Creutzfeldt What Is The Medical Condition Cjd It causes brain damage that worsens rapidly over time. A brain biopsy or an exam of brain tissue after death, known as an autopsy, is the gold standard to confirm the presence of. It has severe effects on the brain. Symptoms may take years to appear, and can include rapidly. It is believed to be. What Is The Medical Condition Cjd.
From www.pinterest.com
How the brain is affected by CreutzfeldtJakob Disease CJD What Is The Medical Condition Cjd It causes brain damage that worsens rapidly over time. It is believed to be. Symptoms may take years to appear, and can include rapidly. A brain biopsy or an exam of brain tissue after death, known as an autopsy, is the gold standard to confirm the presence of. It has severe effects on the brain. What Is The Medical Condition Cjd.
From healthjade.com
CreutzfeldtJakob disease Causes, Symptoms, Diagnosis & Treatment What Is The Medical Condition Cjd A brain biopsy or an exam of brain tissue after death, known as an autopsy, is the gold standard to confirm the presence of. Symptoms may take years to appear, and can include rapidly. It has severe effects on the brain. It causes brain damage that worsens rapidly over time. It is believed to be. What Is The Medical Condition Cjd.
From pn.bmj.com
CJD mimics and chameleons Practical Neurology What Is The Medical Condition Cjd It is believed to be. Symptoms may take years to appear, and can include rapidly. A brain biopsy or an exam of brain tissue after death, known as an autopsy, is the gold standard to confirm the presence of. It has severe effects on the brain. It causes brain damage that worsens rapidly over time. What Is The Medical Condition Cjd.
From www.researchgate.net
Clinical characteristics of probable CJD and nonCJD subjects What Is The Medical Condition Cjd It has severe effects on the brain. A brain biopsy or an exam of brain tissue after death, known as an autopsy, is the gold standard to confirm the presence of. It is believed to be. Symptoms may take years to appear, and can include rapidly. It causes brain damage that worsens rapidly over time. What Is The Medical Condition Cjd.
From www.viviennebalonwu.com
CreutzfeldtJakob Disease, CJD Health And Medical Information What Is The Medical Condition Cjd It causes brain damage that worsens rapidly over time. Symptoms may take years to appear, and can include rapidly. A brain biopsy or an exam of brain tissue after death, known as an autopsy, is the gold standard to confirm the presence of. It is believed to be. It has severe effects on the brain. What Is The Medical Condition Cjd.
From www.10faq.com
CJD What Is CJD? What Is The Medical Condition Cjd It causes brain damage that worsens rapidly over time. A brain biopsy or an exam of brain tissue after death, known as an autopsy, is the gold standard to confirm the presence of. It is believed to be. Symptoms may take years to appear, and can include rapidly. It has severe effects on the brain. What Is The Medical Condition Cjd.
From www.slideserve.com
PPT Prions (CJD) and Processing of Reusable Medical Products What Is The Medical Condition Cjd It is believed to be. It causes brain damage that worsens rapidly over time. A brain biopsy or an exam of brain tissue after death, known as an autopsy, is the gold standard to confirm the presence of. It has severe effects on the brain. Symptoms may take years to appear, and can include rapidly. What Is The Medical Condition Cjd.
From www.slideshare.net
Gte general dementia knowledge What Is The Medical Condition Cjd A brain biopsy or an exam of brain tissue after death, known as an autopsy, is the gold standard to confirm the presence of. It is believed to be. Symptoms may take years to appear, and can include rapidly. It has severe effects on the brain. It causes brain damage that worsens rapidly over time. What Is The Medical Condition Cjd.
From medicine.yale.edu
CJD Agents & Disease What Is The Medical Condition Cjd Symptoms may take years to appear, and can include rapidly. It has severe effects on the brain. It is believed to be. A brain biopsy or an exam of brain tissue after death, known as an autopsy, is the gold standard to confirm the presence of. It causes brain damage that worsens rapidly over time. What Is The Medical Condition Cjd.
From www.pinterest.com
CreutzfeldtJakob disease (CJD) is a spongiform encephalopathy that What Is The Medical Condition Cjd It is believed to be. A brain biopsy or an exam of brain tissue after death, known as an autopsy, is the gold standard to confirm the presence of. Symptoms may take years to appear, and can include rapidly. It causes brain damage that worsens rapidly over time. It has severe effects on the brain. What Is The Medical Condition Cjd.
From www.bernsteinmedical.com
Patient CJD Bernstein Medical Center for Hair Restoration What Is The Medical Condition Cjd It is believed to be. A brain biopsy or an exam of brain tissue after death, known as an autopsy, is the gold standard to confirm the presence of. Symptoms may take years to appear, and can include rapidly. It causes brain damage that worsens rapidly over time. It has severe effects on the brain. What Is The Medical Condition Cjd.
From www.sdpuo.com
CJD Disease Understanding the Causes, Symptoms, and Treatment Options What Is The Medical Condition Cjd It has severe effects on the brain. It causes brain damage that worsens rapidly over time. A brain biopsy or an exam of brain tissue after death, known as an autopsy, is the gold standard to confirm the presence of. It is believed to be. Symptoms may take years to appear, and can include rapidly. What Is The Medical Condition Cjd.
From 10faq.com
CJD What Is CJD? What Is The Medical Condition Cjd It is believed to be. A brain biopsy or an exam of brain tissue after death, known as an autopsy, is the gold standard to confirm the presence of. It causes brain damage that worsens rapidly over time. Symptoms may take years to appear, and can include rapidly. It has severe effects on the brain. What Is The Medical Condition Cjd.
From www.researchgate.net
CJD profiles of MRI and EEG from probable CJD patients. (A) Brain MRIs What Is The Medical Condition Cjd It causes brain damage that worsens rapidly over time. It has severe effects on the brain. Symptoms may take years to appear, and can include rapidly. A brain biopsy or an exam of brain tissue after death, known as an autopsy, is the gold standard to confirm the presence of. It is believed to be. What Is The Medical Condition Cjd.
From www.slideserve.com
PPT Rapid dementia PowerPoint Presentation ID3365171 What Is The Medical Condition Cjd A brain biopsy or an exam of brain tissue after death, known as an autopsy, is the gold standard to confirm the presence of. It causes brain damage that worsens rapidly over time. It has severe effects on the brain. Symptoms may take years to appear, and can include rapidly. It is believed to be. What Is The Medical Condition Cjd.
From www.mlo-online.com
The proper handling of CJDinfected patient samples in the pathology What Is The Medical Condition Cjd Symptoms may take years to appear, and can include rapidly. It has severe effects on the brain. A brain biopsy or an exam of brain tissue after death, known as an autopsy, is the gold standard to confirm the presence of. It is believed to be. It causes brain damage that worsens rapidly over time. What Is The Medical Condition Cjd.
From bfhd.wa.gov
CJD CreutzfeldtJakob disease Benton Franklin Health District What Is The Medical Condition Cjd Symptoms may take years to appear, and can include rapidly. A brain biopsy or an exam of brain tissue after death, known as an autopsy, is the gold standard to confirm the presence of. It has severe effects on the brain. It is believed to be. It causes brain damage that worsens rapidly over time. What Is The Medical Condition Cjd.
From onlinelibrary.wiley.com
Creutzfeldt‐Jakob disease Iwasaki 2017 Neuropathology Wiley What Is The Medical Condition Cjd It is believed to be. It causes brain damage that worsens rapidly over time. It has severe effects on the brain. Symptoms may take years to appear, and can include rapidly. A brain biopsy or an exam of brain tissue after death, known as an autopsy, is the gold standard to confirm the presence of. What Is The Medical Condition Cjd.
From www.ncoa.org
The Top 10 Most Common Chronic Diseases for Older Adults What Is The Medical Condition Cjd A brain biopsy or an exam of brain tissue after death, known as an autopsy, is the gold standard to confirm the presence of. Symptoms may take years to appear, and can include rapidly. It is believed to be. It causes brain damage that worsens rapidly over time. It has severe effects on the brain. What Is The Medical Condition Cjd.
From pn.bmj.com
CJD mimics and chameleons Practical Neurology What Is The Medical Condition Cjd It is believed to be. A brain biopsy or an exam of brain tissue after death, known as an autopsy, is the gold standard to confirm the presence of. It has severe effects on the brain. Symptoms may take years to appear, and can include rapidly. It causes brain damage that worsens rapidly over time. What Is The Medical Condition Cjd.
From www.thelancet.com
Variant CJD in an individual heterozygous for PRNP codon 129 The Lancet What Is The Medical Condition Cjd It causes brain damage that worsens rapidly over time. Symptoms may take years to appear, and can include rapidly. A brain biopsy or an exam of brain tissue after death, known as an autopsy, is the gold standard to confirm the presence of. It has severe effects on the brain. It is believed to be. What Is The Medical Condition Cjd.
From www.researchgate.net
DWI in CJD. The most frequent MR imaging lesion patterns were defined What Is The Medical Condition Cjd A brain biopsy or an exam of brain tissue after death, known as an autopsy, is the gold standard to confirm the presence of. It causes brain damage that worsens rapidly over time. Symptoms may take years to appear, and can include rapidly. It has severe effects on the brain. It is believed to be. What Is The Medical Condition Cjd.
From www.cureus.com
Cureus CreutzfeldtJakob Disease Presenting with Abducens Nerve Palsy What Is The Medical Condition Cjd Symptoms may take years to appear, and can include rapidly. It causes brain damage that worsens rapidly over time. It is believed to be. A brain biopsy or an exam of brain tissue after death, known as an autopsy, is the gold standard to confirm the presence of. It has severe effects on the brain. What Is The Medical Condition Cjd.
From www.researchgate.net
CJD showing sharp wave complexes [9]. Download Scientific Diagram What Is The Medical Condition Cjd A brain biopsy or an exam of brain tissue after death, known as an autopsy, is the gold standard to confirm the presence of. Symptoms may take years to appear, and can include rapidly. It has severe effects on the brain. It is believed to be. It causes brain damage that worsens rapidly over time. What Is The Medical Condition Cjd.
From www.dovemed.com
Variant CreutzfeldtJakob Disease (vCJD) What Is The Medical Condition Cjd It causes brain damage that worsens rapidly over time. It has severe effects on the brain. A brain biopsy or an exam of brain tissue after death, known as an autopsy, is the gold standard to confirm the presence of. Symptoms may take years to appear, and can include rapidly. It is believed to be. What Is The Medical Condition Cjd.
From www.researchgate.net
Comparison of clinical course between CJD + AD and CJD without AD. The What Is The Medical Condition Cjd A brain biopsy or an exam of brain tissue after death, known as an autopsy, is the gold standard to confirm the presence of. It causes brain damage that worsens rapidly over time. It has severe effects on the brain. It is believed to be. Symptoms may take years to appear, and can include rapidly. What Is The Medical Condition Cjd.
From present5.com
Disinfection and Sterilization Issues and Controversies William A What Is The Medical Condition Cjd A brain biopsy or an exam of brain tissue after death, known as an autopsy, is the gold standard to confirm the presence of. It has severe effects on the brain. It is believed to be. It causes brain damage that worsens rapidly over time. Symptoms may take years to appear, and can include rapidly. What Is The Medical Condition Cjd.
From healthtian.com
Creutzfeldtjakob Disease Causes and Symptoms Healthtian What Is The Medical Condition Cjd It has severe effects on the brain. It is believed to be. A brain biopsy or an exam of brain tissue after death, known as an autopsy, is the gold standard to confirm the presence of. Symptoms may take years to appear, and can include rapidly. It causes brain damage that worsens rapidly over time. What Is The Medical Condition Cjd.
From www.dovemed.com
CreutzfeldtJakob Disease (CJD) What Is The Medical Condition Cjd Symptoms may take years to appear, and can include rapidly. A brain biopsy or an exam of brain tissue after death, known as an autopsy, is the gold standard to confirm the presence of. It has severe effects on the brain. It is believed to be. It causes brain damage that worsens rapidly over time. What Is The Medical Condition Cjd.
From www.researchgate.net
Pathophysiology of Creutzfeldt Jakob disease (CJD) Factors like What Is The Medical Condition Cjd A brain biopsy or an exam of brain tissue after death, known as an autopsy, is the gold standard to confirm the presence of. It has severe effects on the brain. It causes brain damage that worsens rapidly over time. Symptoms may take years to appear, and can include rapidly. It is believed to be. What Is The Medical Condition Cjd.
From www.slideserve.com
PPT CreutzfeltJacob Disease (CJD) PowerPoint Presentation, free What Is The Medical Condition Cjd It has severe effects on the brain. It causes brain damage that worsens rapidly over time. Symptoms may take years to appear, and can include rapidly. A brain biopsy or an exam of brain tissue after death, known as an autopsy, is the gold standard to confirm the presence of. It is believed to be. What Is The Medical Condition Cjd.
From gulfcoasthc.org
Chronic Diseases & Conditions Management Southeast, TX Gulf Coast What Is The Medical Condition Cjd It causes brain damage that worsens rapidly over time. It has severe effects on the brain. It is believed to be. Symptoms may take years to appear, and can include rapidly. A brain biopsy or an exam of brain tissue after death, known as an autopsy, is the gold standard to confirm the presence of. What Is The Medical Condition Cjd.
From www.researchgate.net
Pathophysiology of Creutzfeldt Jakob disease (CJD) Factors like What Is The Medical Condition Cjd A brain biopsy or an exam of brain tissue after death, known as an autopsy, is the gold standard to confirm the presence of. It is believed to be. It causes brain damage that worsens rapidly over time. Symptoms may take years to appear, and can include rapidly. It has severe effects on the brain. What Is The Medical Condition Cjd.
From www.pinterest.com
CreutzfeldtJakob disease (CJD) Radiology Case What Is The Medical Condition Cjd Symptoms may take years to appear, and can include rapidly. It causes brain damage that worsens rapidly over time. It has severe effects on the brain. It is believed to be. A brain biopsy or an exam of brain tissue after death, known as an autopsy, is the gold standard to confirm the presence of. What Is The Medical Condition Cjd.