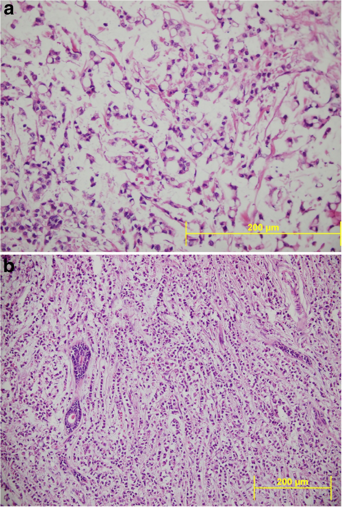
Indian File Pattern Pathology . the classic type of ilc expresses the typical cytoarchitectural. “indian file” probably denoting amerindians people’s way of walking along a trail as illustrated in figure 1a. To determine the prevalence of the indian file pattern of adenocarcinoma cells in malignant serous effusions. to determine the prevalence of the indian file pattern of adenocarcinoma cells in malignant serous effusions. we found evidence of an association between the presence of tubule formation and/or indian file pattern and.
from www.facebook.com
to determine the prevalence of the indian file pattern of adenocarcinoma cells in malignant serous effusions. we found evidence of an association between the presence of tubule formation and/or indian file pattern and. “indian file” probably denoting amerindians people’s way of walking along a trail as illustrated in figure 1a. the classic type of ilc expresses the typical cytoarchitectural. To determine the prevalence of the indian file pattern of adenocarcinoma cells in malignant serous effusions.
Facebook
Indian File Pattern Pathology “indian file” probably denoting amerindians people’s way of walking along a trail as illustrated in figure 1a. “indian file” probably denoting amerindians people’s way of walking along a trail as illustrated in figure 1a. To determine the prevalence of the indian file pattern of adenocarcinoma cells in malignant serous effusions. we found evidence of an association between the presence of tubule formation and/or indian file pattern and. to determine the prevalence of the indian file pattern of adenocarcinoma cells in malignant serous effusions. the classic type of ilc expresses the typical cytoarchitectural.
From screening.iarc.fr
Cytopathology of the uterine cervix digital atlas Indian File Pattern Pathology to determine the prevalence of the indian file pattern of adenocarcinoma cells in malignant serous effusions. “indian file” probably denoting amerindians people’s way of walking along a trail as illustrated in figure 1a. the classic type of ilc expresses the typical cytoarchitectural. we found evidence of an association between the presence of tubule formation and/or indian. Indian File Pattern Pathology.
From www.cancergeneticsjournal.org
similarities between two types of salivary gland carcinomas Indian File Pattern Pathology the classic type of ilc expresses the typical cytoarchitectural. To determine the prevalence of the indian file pattern of adenocarcinoma cells in malignant serous effusions. “indian file” probably denoting amerindians people’s way of walking along a trail as illustrated in figure 1a. to determine the prevalence of the indian file pattern of adenocarcinoma cells in malignant serous. Indian File Pattern Pathology.
From www.researchgate.net
Indian file pattern in a case of lobular carcinoma of the breast Indian File Pattern Pathology To determine the prevalence of the indian file pattern of adenocarcinoma cells in malignant serous effusions. to determine the prevalence of the indian file pattern of adenocarcinoma cells in malignant serous effusions. the classic type of ilc expresses the typical cytoarchitectural. we found evidence of an association between the presence of tubule formation and/or indian file pattern. Indian File Pattern Pathology.
From www.researchgate.net
Gastric muscularis propria with invasive tumor in an Indianfile Indian File Pattern Pathology we found evidence of an association between the presence of tubule formation and/or indian file pattern and. to determine the prevalence of the indian file pattern of adenocarcinoma cells in malignant serous effusions. To determine the prevalence of the indian file pattern of adenocarcinoma cells in malignant serous effusions. the classic type of ilc expresses the typical. Indian File Pattern Pathology.
From www.researchgate.net
Epididymal biopsy Poorly differentiated adenocarcinoma infiltrating Indian File Pattern Pathology To determine the prevalence of the indian file pattern of adenocarcinoma cells in malignant serous effusions. “indian file” probably denoting amerindians people’s way of walking along a trail as illustrated in figure 1a. the classic type of ilc expresses the typical cytoarchitectural. to determine the prevalence of the indian file pattern of adenocarcinoma cells in malignant serous. Indian File Pattern Pathology.
From www.researchgate.net
A, Epidermis is essentially normal. There is a subepidermal grenz zone Indian File Pattern Pathology we found evidence of an association between the presence of tubule formation and/or indian file pattern and. To determine the prevalence of the indian file pattern of adenocarcinoma cells in malignant serous effusions. to determine the prevalence of the indian file pattern of adenocarcinoma cells in malignant serous effusions. the classic type of ilc expresses the typical. Indian File Pattern Pathology.
From www.researchgate.net
(PDF) Relationship of Tubule Formation, Indian File Pattern and Indian File Pattern Pathology the classic type of ilc expresses the typical cytoarchitectural. To determine the prevalence of the indian file pattern of adenocarcinoma cells in malignant serous effusions. to determine the prevalence of the indian file pattern of adenocarcinoma cells in malignant serous effusions. “indian file” probably denoting amerindians people’s way of walking along a trail as illustrated in figure. Indian File Pattern Pathology.
From korenovsk-rc.ru
Гистология меланомы кожи расшифровка фото презентация Indian File Pattern Pathology we found evidence of an association between the presence of tubule formation and/or indian file pattern and. To determine the prevalence of the indian file pattern of adenocarcinoma cells in malignant serous effusions. “indian file” probably denoting amerindians people’s way of walking along a trail as illustrated in figure 1a. to determine the prevalence of the indian. Indian File Pattern Pathology.
From www.semanticscholar.org
Figure 1 from Relationship of Tubule Formation, Indian File Pattern and Indian File Pattern Pathology to determine the prevalence of the indian file pattern of adenocarcinoma cells in malignant serous effusions. To determine the prevalence of the indian file pattern of adenocarcinoma cells in malignant serous effusions. the classic type of ilc expresses the typical cytoarchitectural. we found evidence of an association between the presence of tubule formation and/or indian file pattern. Indian File Pattern Pathology.
From www.researchgate.net
Infiltrating lobular carcinoma of breast with classical Indian file Indian File Pattern Pathology we found evidence of an association between the presence of tubule formation and/or indian file pattern and. the classic type of ilc expresses the typical cytoarchitectural. to determine the prevalence of the indian file pattern of adenocarcinoma cells in malignant serous effusions. To determine the prevalence of the indian file pattern of adenocarcinoma cells in malignant serous. Indian File Pattern Pathology.
From screening.iarc.fr
Atlas of breast cancer early detection Indian File Pattern Pathology we found evidence of an association between the presence of tubule formation and/or indian file pattern and. to determine the prevalence of the indian file pattern of adenocarcinoma cells in malignant serous effusions. “indian file” probably denoting amerindians people’s way of walking along a trail as illustrated in figure 1a. the classic type of ilc expresses. Indian File Pattern Pathology.
From fity.club
Invasive Lobular Carcinoma Indian File Pattern Pathology To determine the prevalence of the indian file pattern of adenocarcinoma cells in malignant serous effusions. we found evidence of an association between the presence of tubule formation and/or indian file pattern and. to determine the prevalence of the indian file pattern of adenocarcinoma cells in malignant serous effusions. the classic type of ilc expresses the typical. Indian File Pattern Pathology.
From www.researchgate.net
Photomicrograph of mandible showing marrow spaces infiltrated by Indian File Pattern Pathology the classic type of ilc expresses the typical cytoarchitectural. we found evidence of an association between the presence of tubule formation and/or indian file pattern and. to determine the prevalence of the indian file pattern of adenocarcinoma cells in malignant serous effusions. To determine the prevalence of the indian file pattern of adenocarcinoma cells in malignant serous. Indian File Pattern Pathology.
From www.researchgate.net
Population analysis for the heatmap of Fig 4 indicates stability of Indian File Pattern Pathology the classic type of ilc expresses the typical cytoarchitectural. “indian file” probably denoting amerindians people’s way of walking along a trail as illustrated in figure 1a. To determine the prevalence of the indian file pattern of adenocarcinoma cells in malignant serous effusions. we found evidence of an association between the presence of tubule formation and/or indian file. Indian File Pattern Pathology.
From journals.sagepub.com
An Unusual Clinical Presentation of Gastrointestinal Metastasis From Indian File Pattern Pathology the classic type of ilc expresses the typical cytoarchitectural. we found evidence of an association between the presence of tubule formation and/or indian file pattern and. “indian file” probably denoting amerindians people’s way of walking along a trail as illustrated in figure 1a. To determine the prevalence of the indian file pattern of adenocarcinoma cells in malignant. Indian File Pattern Pathology.
From q-radiology.com
Invasive Lobular Carcinoma Of The Breast Qradiology Indian File Pattern Pathology the classic type of ilc expresses the typical cytoarchitectural. we found evidence of an association between the presence of tubule formation and/or indian file pattern and. to determine the prevalence of the indian file pattern of adenocarcinoma cells in malignant serous effusions. “indian file” probably denoting amerindians people’s way of walking along a trail as illustrated. Indian File Pattern Pathology.
From pathology.or.jp
14.Breast (7) Invasive lobular carcinomaPathology Core Pictures Indian File Pattern Pathology To determine the prevalence of the indian file pattern of adenocarcinoma cells in malignant serous effusions. to determine the prevalence of the indian file pattern of adenocarcinoma cells in malignant serous effusions. we found evidence of an association between the presence of tubule formation and/or indian file pattern and. the classic type of ilc expresses the typical. Indian File Pattern Pathology.
From screening.iarc.fr
Cytopathology of the uterine cervix digital atlas Indian File Pattern Pathology To determine the prevalence of the indian file pattern of adenocarcinoma cells in malignant serous effusions. “indian file” probably denoting amerindians people’s way of walking along a trail as illustrated in figure 1a. to determine the prevalence of the indian file pattern of adenocarcinoma cells in malignant serous effusions. the classic type of ilc expresses the typical. Indian File Pattern Pathology.
From lobularbreastcancer.org
It's Not Just Breast Cancer, It's Lobular Breast Cancer The Lobular Indian File Pattern Pathology “indian file” probably denoting amerindians people’s way of walking along a trail as illustrated in figure 1a. To determine the prevalence of the indian file pattern of adenocarcinoma cells in malignant serous effusions. we found evidence of an association between the presence of tubule formation and/or indian file pattern and. the classic type of ilc expresses the. Indian File Pattern Pathology.
From www.facebook.com
Facebook Indian File Pattern Pathology to determine the prevalence of the indian file pattern of adenocarcinoma cells in malignant serous effusions. To determine the prevalence of the indian file pattern of adenocarcinoma cells in malignant serous effusions. we found evidence of an association between the presence of tubule formation and/or indian file pattern and. the classic type of ilc expresses the typical. Indian File Pattern Pathology.
From diagnosticpathology.biomedcentral.com
Invasive lobular carcinoma with extracellular mucin as a distinct Indian File Pattern Pathology “indian file” probably denoting amerindians people’s way of walking along a trail as illustrated in figure 1a. we found evidence of an association between the presence of tubule formation and/or indian file pattern and. to determine the prevalence of the indian file pattern of adenocarcinoma cells in malignant serous effusions. To determine the prevalence of the indian. Indian File Pattern Pathology.
From www.cancergeneticsjournal.org
similarities between two types of salivary gland carcinomas Indian File Pattern Pathology To determine the prevalence of the indian file pattern of adenocarcinoma cells in malignant serous effusions. “indian file” probably denoting amerindians people’s way of walking along a trail as illustrated in figure 1a. to determine the prevalence of the indian file pattern of adenocarcinoma cells in malignant serous effusions. the classic type of ilc expresses the typical. Indian File Pattern Pathology.
From es.slideshare.net
Breast carcinoma pathology Indian File Pattern Pathology To determine the prevalence of the indian file pattern of adenocarcinoma cells in malignant serous effusions. we found evidence of an association between the presence of tubule formation and/or indian file pattern and. to determine the prevalence of the indian file pattern of adenocarcinoma cells in malignant serous effusions. the classic type of ilc expresses the typical. Indian File Pattern Pathology.
From www.researchgate.net
Indian file arrangement of adenocarcinoma cells in a case of peritoneal Indian File Pattern Pathology to determine the prevalence of the indian file pattern of adenocarcinoma cells in malignant serous effusions. To determine the prevalence of the indian file pattern of adenocarcinoma cells in malignant serous effusions. “indian file” probably denoting amerindians people’s way of walking along a trail as illustrated in figure 1a. we found evidence of an association between the. Indian File Pattern Pathology.
From ijdvl.com
Appearances in dermatopathology The diagnostic and the deceptive Indian File Pattern Pathology To determine the prevalence of the indian file pattern of adenocarcinoma cells in malignant serous effusions. “indian file” probably denoting amerindians people’s way of walking along a trail as illustrated in figure 1a. the classic type of ilc expresses the typical cytoarchitectural. we found evidence of an association between the presence of tubule formation and/or indian file. Indian File Pattern Pathology.
From transwikia.com
[SOLVED] Why is it called an “Indian file”? English Language & Usage Indian File Pattern Pathology “indian file” probably denoting amerindians people’s way of walking along a trail as illustrated in figure 1a. we found evidence of an association between the presence of tubule formation and/or indian file pattern and. to determine the prevalence of the indian file pattern of adenocarcinoma cells in malignant serous effusions. the classic type of ilc expresses. Indian File Pattern Pathology.
From aeymon.blogspot.com
Medical College Stuff 4th Year MBBS Pathology (Special Pathology) OSPE Indian File Pattern Pathology we found evidence of an association between the presence of tubule formation and/or indian file pattern and. the classic type of ilc expresses the typical cytoarchitectural. “indian file” probably denoting amerindians people’s way of walking along a trail as illustrated in figure 1a. To determine the prevalence of the indian file pattern of adenocarcinoma cells in malignant. Indian File Pattern Pathology.
From www.researchgate.net
(PDF) “Single file” pattern in histopathology Indian File Pattern Pathology we found evidence of an association between the presence of tubule formation and/or indian file pattern and. the classic type of ilc expresses the typical cytoarchitectural. “indian file” probably denoting amerindians people’s way of walking along a trail as illustrated in figure 1a. To determine the prevalence of the indian file pattern of adenocarcinoma cells in malignant. Indian File Pattern Pathology.
From www.surgpath.theclinics.com
Lobular Carcinoma In Situ Surgical Pathology Clinics Indian File Pattern Pathology to determine the prevalence of the indian file pattern of adenocarcinoma cells in malignant serous effusions. we found evidence of an association between the presence of tubule formation and/or indian file pattern and. To determine the prevalence of the indian file pattern of adenocarcinoma cells in malignant serous effusions. the classic type of ilc expresses the typical. Indian File Pattern Pathology.
From www.pathologyoutlines.com
Pathology Outlines LCIS pleomorphic Indian File Pattern Pathology the classic type of ilc expresses the typical cytoarchitectural. to determine the prevalence of the indian file pattern of adenocarcinoma cells in malignant serous effusions. To determine the prevalence of the indian file pattern of adenocarcinoma cells in malignant serous effusions. we found evidence of an association between the presence of tubule formation and/or indian file pattern. Indian File Pattern Pathology.
From www.researchgate.net
(PDF) Indian File Pattern of Adenocarcinoma Cells in Effusions Acta Indian File Pattern Pathology “indian file” probably denoting amerindians people’s way of walking along a trail as illustrated in figure 1a. To determine the prevalence of the indian file pattern of adenocarcinoma cells in malignant serous effusions. to determine the prevalence of the indian file pattern of adenocarcinoma cells in malignant serous effusions. we found evidence of an association between the. Indian File Pattern Pathology.
From web.facebook.com
Facebook Indian File Pattern Pathology we found evidence of an association between the presence of tubule formation and/or indian file pattern and. the classic type of ilc expresses the typical cytoarchitectural. “indian file” probably denoting amerindians people’s way of walking along a trail as illustrated in figure 1a. To determine the prevalence of the indian file pattern of adenocarcinoma cells in malignant. Indian File Pattern Pathology.
From epos.myesr.org
EPOS™ Indian File Pattern Pathology To determine the prevalence of the indian file pattern of adenocarcinoma cells in malignant serous effusions. we found evidence of an association between the presence of tubule formation and/or indian file pattern and. the classic type of ilc expresses the typical cytoarchitectural. to determine the prevalence of the indian file pattern of adenocarcinoma cells in malignant serous. Indian File Pattern Pathology.
From www.dovemed.com
Invasive Lobular Carcinoma of Breast Indian File Pattern Pathology To determine the prevalence of the indian file pattern of adenocarcinoma cells in malignant serous effusions. to determine the prevalence of the indian file pattern of adenocarcinoma cells in malignant serous effusions. “indian file” probably denoting amerindians people’s way of walking along a trail as illustrated in figure 1a. the classic type of ilc expresses the typical. Indian File Pattern Pathology.
From phys.org
A new understanding of patterns in fluid flow Indian File Pattern Pathology the classic type of ilc expresses the typical cytoarchitectural. to determine the prevalence of the indian file pattern of adenocarcinoma cells in malignant serous effusions. To determine the prevalence of the indian file pattern of adenocarcinoma cells in malignant serous effusions. “indian file” probably denoting amerindians people’s way of walking along a trail as illustrated in figure. Indian File Pattern Pathology.