Nutcracker Syndrome Pain . This can restrict blood flow, which may lead to symptoms such as left flank pain and blood and protein. Nutcracker syndrome is a rare vein compression disorder. The increased left renal vein pressure can lead to left flank pain and gross. Often, patients have had several emergency room visits for pain. Symptoms can worsen with physical activity. Nutcracker syndrome is the clinical manifestation of the nutcracker phenomenon. Patients most commonly present with unexplained hematuria and flank or pelvic pain, which can be severe at times. It occurs when arteries, most often the abdomen’s aorta and superior mesenteric artery,. The nutcracker syndrome is a rare and often unrecognized cause of chronic pelvic pain and left back pain. These symptoms are due to the left. Nutcracker syndrome (ncs) is an extrinsic compression of the left renal vein (lrv) by the superior mesenteric artery (sma) anteriorly and. Nutcracker syndrome (ns) is a condition in which the left renal vein becomes compressed.
from onlinelibrary.wiley.com
Often, patients have had several emergency room visits for pain. The nutcracker syndrome is a rare and often unrecognized cause of chronic pelvic pain and left back pain. Nutcracker syndrome (ncs) is an extrinsic compression of the left renal vein (lrv) by the superior mesenteric artery (sma) anteriorly and. Nutcracker syndrome is the clinical manifestation of the nutcracker phenomenon. These symptoms are due to the left. The increased left renal vein pressure can lead to left flank pain and gross. Symptoms can worsen with physical activity. Nutcracker syndrome is a rare vein compression disorder. It occurs when arteries, most often the abdomen’s aorta and superior mesenteric artery,. This can restrict blood flow, which may lead to symptoms such as left flank pain and blood and protein.
Breaking open the case of one patient's acute left flank pain nutcracker syndrome Bajkowski
Nutcracker Syndrome Pain The nutcracker syndrome is a rare and often unrecognized cause of chronic pelvic pain and left back pain. The increased left renal vein pressure can lead to left flank pain and gross. Symptoms can worsen with physical activity. Nutcracker syndrome is the clinical manifestation of the nutcracker phenomenon. Nutcracker syndrome (ncs) is an extrinsic compression of the left renal vein (lrv) by the superior mesenteric artery (sma) anteriorly and. Patients most commonly present with unexplained hematuria and flank or pelvic pain, which can be severe at times. It occurs when arteries, most often the abdomen’s aorta and superior mesenteric artery,. These symptoms are due to the left. Often, patients have had several emergency room visits for pain. Nutcracker syndrome is a rare vein compression disorder. This can restrict blood flow, which may lead to symptoms such as left flank pain and blood and protein. The nutcracker syndrome is a rare and often unrecognized cause of chronic pelvic pain and left back pain. Nutcracker syndrome (ns) is a condition in which the left renal vein becomes compressed.
From www.scgvs.com
Nutcracker Syndrome Charlotte, NC South Charlotte General and Vascular Surgery Nutcracker Syndrome Pain It occurs when arteries, most often the abdomen’s aorta and superior mesenteric artery,. This can restrict blood flow, which may lead to symptoms such as left flank pain and blood and protein. Patients most commonly present with unexplained hematuria and flank or pelvic pain, which can be severe at times. The nutcracker syndrome is a rare and often unrecognized cause. Nutcracker Syndrome Pain.
From sonographictendencies.com
Nutcracker Phenomenon/Syndrome Sonographic Tendencies Nutcracker Syndrome Pain Nutcracker syndrome (ns) is a condition in which the left renal vein becomes compressed. Patients most commonly present with unexplained hematuria and flank or pelvic pain, which can be severe at times. Symptoms can worsen with physical activity. The increased left renal vein pressure can lead to left flank pain and gross. This can restrict blood flow, which may lead. Nutcracker Syndrome Pain.
From www.semanticscholar.org
Figure 1 from A Rare Cause of Abdominal and Flank Pain in Children Nutcracker Syndrome Nutcracker Syndrome Pain Patients most commonly present with unexplained hematuria and flank or pelvic pain, which can be severe at times. These symptoms are due to the left. It occurs when arteries, most often the abdomen’s aorta and superior mesenteric artery,. Nutcracker syndrome (ncs) is an extrinsic compression of the left renal vein (lrv) by the superior mesenteric artery (sma) anteriorly and. Nutcracker. Nutcracker Syndrome Pain.
From www.researchgate.net
(PDF) Nutcracker syndrome in adolescent with perineal pain Nutcracker Syndrome Pain Nutcracker syndrome is a rare vein compression disorder. Often, patients have had several emergency room visits for pain. Nutcracker syndrome is the clinical manifestation of the nutcracker phenomenon. The increased left renal vein pressure can lead to left flank pain and gross. These symptoms are due to the left. This can restrict blood flow, which may lead to symptoms such. Nutcracker Syndrome Pain.
From onlinelibrary.wiley.com
Breaking open the case of one patient's acute left flank pain nutcracker syndrome Bajkowski Nutcracker Syndrome Pain It occurs when arteries, most often the abdomen’s aorta and superior mesenteric artery,. Nutcracker syndrome (ns) is a condition in which the left renal vein becomes compressed. The nutcracker syndrome is a rare and often unrecognized cause of chronic pelvic pain and left back pain. This can restrict blood flow, which may lead to symptoms such as left flank pain. Nutcracker Syndrome Pain.
From www.cureus.com
Cureus An Unusual Cause of Abdominal Pain in a MiddleAged Female The Nutcracker Syndrome Nutcracker Syndrome Pain It occurs when arteries, most often the abdomen’s aorta and superior mesenteric artery,. Nutcracker syndrome (ns) is a condition in which the left renal vein becomes compressed. The nutcracker syndrome is a rare and often unrecognized cause of chronic pelvic pain and left back pain. Nutcracker syndrome is the clinical manifestation of the nutcracker phenomenon. Often, patients have had several. Nutcracker Syndrome Pain.
From www.cureus.com
Cureus An Unusual Cause of Abdominal Pain in a MiddleAged Female The Nutcracker Syndrome Nutcracker Syndrome Pain Nutcracker syndrome is the clinical manifestation of the nutcracker phenomenon. This can restrict blood flow, which may lead to symptoms such as left flank pain and blood and protein. Patients most commonly present with unexplained hematuria and flank or pelvic pain, which can be severe at times. These symptoms are due to the left. Nutcracker syndrome (ncs) is an extrinsic. Nutcracker Syndrome Pain.
From www.cureus.com
An Unusual Cause of Abdominal Pain in a MiddleAged Female The Nutcracker Syndrome Cureus Nutcracker Syndrome Pain It occurs when arteries, most often the abdomen’s aorta and superior mesenteric artery,. Nutcracker syndrome is a rare vein compression disorder. Nutcracker syndrome (ns) is a condition in which the left renal vein becomes compressed. Patients most commonly present with unexplained hematuria and flank or pelvic pain, which can be severe at times. This can restrict blood flow, which may. Nutcracker Syndrome Pain.
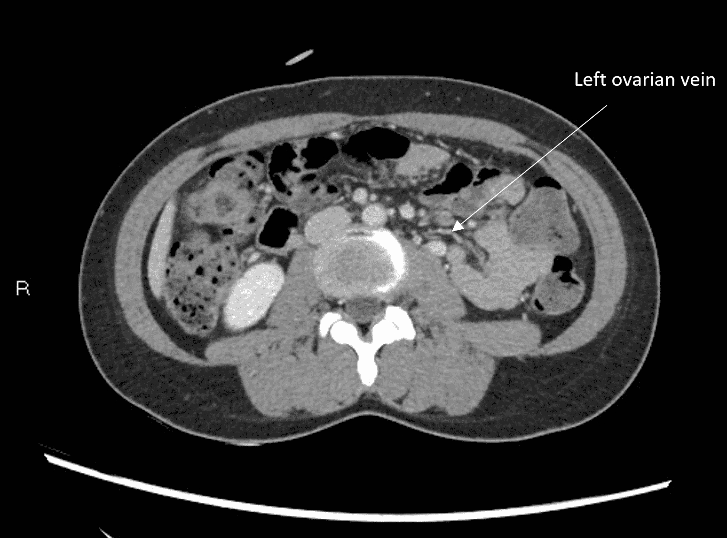
From appliedradiology.com
Posterior Nutcracker Syndrome with Left Renal Vein Duplication • APPLIED RADIOLOGY Nutcracker Syndrome Pain Patients most commonly present with unexplained hematuria and flank or pelvic pain, which can be severe at times. The increased left renal vein pressure can lead to left flank pain and gross. Nutcracker syndrome (ns) is a condition in which the left renal vein becomes compressed. These symptoms are due to the left. Symptoms can worsen with physical activity. Nutcracker. Nutcracker Syndrome Pain.
From www.researchgate.net
(PDF) Nutcracker Syndrome A Cause of Hematuria and Low Back Pain in Young Patients Nutcracker Syndrome Pain Symptoms can worsen with physical activity. Nutcracker syndrome is the clinical manifestation of the nutcracker phenomenon. These symptoms are due to the left. Nutcracker syndrome (ns) is a condition in which the left renal vein becomes compressed. Nutcracker syndrome (ncs) is an extrinsic compression of the left renal vein (lrv) by the superior mesenteric artery (sma) anteriorly and. It occurs. Nutcracker Syndrome Pain.
From www.semanticscholar.org
Figure 2 from Nutcracker Syndrome A Cause of Hematuria and Low Back Pain in Young Patients Nutcracker Syndrome Pain This can restrict blood flow, which may lead to symptoms such as left flank pain and blood and protein. These symptoms are due to the left. The nutcracker syndrome is a rare and often unrecognized cause of chronic pelvic pain and left back pain. Nutcracker syndrome (ncs) is an extrinsic compression of the left renal vein (lrv) by the superior. Nutcracker Syndrome Pain.
From www.semanticscholar.org
Figure 1 from A Rare Cause of Abdominal and Flank Pain in Children Nutcracker Syndrome Nutcracker Syndrome Pain Often, patients have had several emergency room visits for pain. It occurs when arteries, most often the abdomen’s aorta and superior mesenteric artery,. Patients most commonly present with unexplained hematuria and flank or pelvic pain, which can be severe at times. Nutcracker syndrome is the clinical manifestation of the nutcracker phenomenon. Symptoms can worsen with physical activity. Nutcracker syndrome is. Nutcracker Syndrome Pain.
From www.youtube.com
Woman Living With Crippling Pain Diagnosed With Nutcracker Syndrome YouTube Nutcracker Syndrome Pain This can restrict blood flow, which may lead to symptoms such as left flank pain and blood and protein. Nutcracker syndrome is a rare vein compression disorder. Patients most commonly present with unexplained hematuria and flank or pelvic pain, which can be severe at times. Nutcracker syndrome (ncs) is an extrinsic compression of the left renal vein (lrv) by the. Nutcracker Syndrome Pain.
From www.scgvs.com
Nutcracker Syndrome Charlotte, NC South Charlotte General and Vascular Surgery Nutcracker Syndrome Pain This can restrict blood flow, which may lead to symptoms such as left flank pain and blood and protein. Nutcracker syndrome is a rare vein compression disorder. Nutcracker syndrome (ns) is a condition in which the left renal vein becomes compressed. It occurs when arteries, most often the abdomen’s aorta and superior mesenteric artery,. These symptoms are due to the. Nutcracker Syndrome Pain.
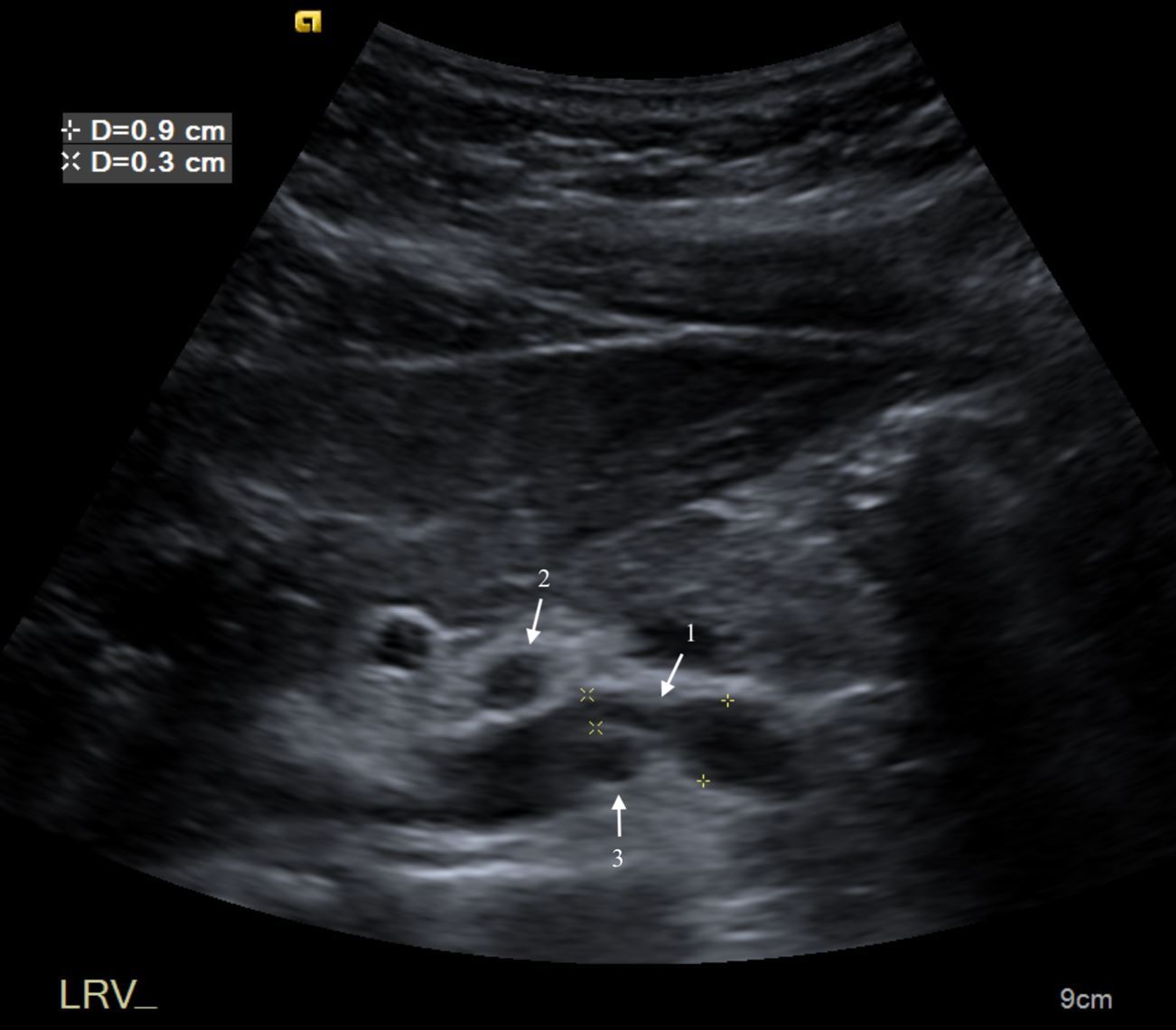
From www.semanticscholar.org
Figure 1 from Nutcracker SyndromeAn Unusual Case of Chronic Left Upper Abdominal Pain A Case Nutcracker Syndrome Pain Nutcracker syndrome (ns) is a condition in which the left renal vein becomes compressed. It occurs when arteries, most often the abdomen’s aorta and superior mesenteric artery,. Nutcracker syndrome is a rare vein compression disorder. These symptoms are due to the left. Nutcracker syndrome (ncs) is an extrinsic compression of the left renal vein (lrv) by the superior mesenteric artery. Nutcracker Syndrome Pain.
From veinscarolina.com
Nutcracker Syndrome Archives Vein Specialists of the Carolinas Nutcracker Syndrome Pain Nutcracker syndrome (ncs) is an extrinsic compression of the left renal vein (lrv) by the superior mesenteric artery (sma) anteriorly and. It occurs when arteries, most often the abdomen’s aorta and superior mesenteric artery,. Nutcracker syndrome (ns) is a condition in which the left renal vein becomes compressed. This can restrict blood flow, which may lead to symptoms such as. Nutcracker Syndrome Pain.
From www.researchgate.net
(PDF) Nutcracker syndrome in adolescent with perineal pain Nutcracker Syndrome Pain Nutcracker syndrome is the clinical manifestation of the nutcracker phenomenon. Nutcracker syndrome is a rare vein compression disorder. Nutcracker syndrome (ncs) is an extrinsic compression of the left renal vein (lrv) by the superior mesenteric artery (sma) anteriorly and. Symptoms can worsen with physical activity. This can restrict blood flow, which may lead to symptoms such as left flank pain. Nutcracker Syndrome Pain.
From www.pinterest.com
Renal nutcracker syndrome (NCS) is a condition that occurs when the left renal vein (the v Nutcracker Syndrome Pain These symptoms are due to the left. This can restrict blood flow, which may lead to symptoms such as left flank pain and blood and protein. Nutcracker syndrome (ncs) is an extrinsic compression of the left renal vein (lrv) by the superior mesenteric artery (sma) anteriorly and. Symptoms can worsen with physical activity. Nutcracker syndrome is the clinical manifestation of. Nutcracker Syndrome Pain.
From www.bilibili.com
【Osmosis医学】肾胡桃夹综合征 Nutcracker Syndrome 哔哩哔哩 Nutcracker Syndrome Pain Nutcracker syndrome (ns) is a condition in which the left renal vein becomes compressed. Nutcracker syndrome is a rare vein compression disorder. The increased left renal vein pressure can lead to left flank pain and gross. Nutcracker syndrome is the clinical manifestation of the nutcracker phenomenon. This can restrict blood flow, which may lead to symptoms such as left flank. Nutcracker Syndrome Pain.
From www.researchgate.net
(PDF) Pain management for a case with Nutcracker syndrome, undergoing a newly developed bypass Nutcracker Syndrome Pain It occurs when arteries, most often the abdomen’s aorta and superior mesenteric artery,. These symptoms are due to the left. This can restrict blood flow, which may lead to symptoms such as left flank pain and blood and protein. Nutcracker syndrome (ncs) is an extrinsic compression of the left renal vein (lrv) by the superior mesenteric artery (sma) anteriorly and.. Nutcracker Syndrome Pain.
From www.angiologist.com
Nutcracker syndrome Definition, Symptoms and Treatment Nutcracker Syndrome Pain Patients most commonly present with unexplained hematuria and flank or pelvic pain, which can be severe at times. Nutcracker syndrome (ns) is a condition in which the left renal vein becomes compressed. The nutcracker syndrome is a rare and often unrecognized cause of chronic pelvic pain and left back pain. It occurs when arteries, most often the abdomen’s aorta and. Nutcracker Syndrome Pain.
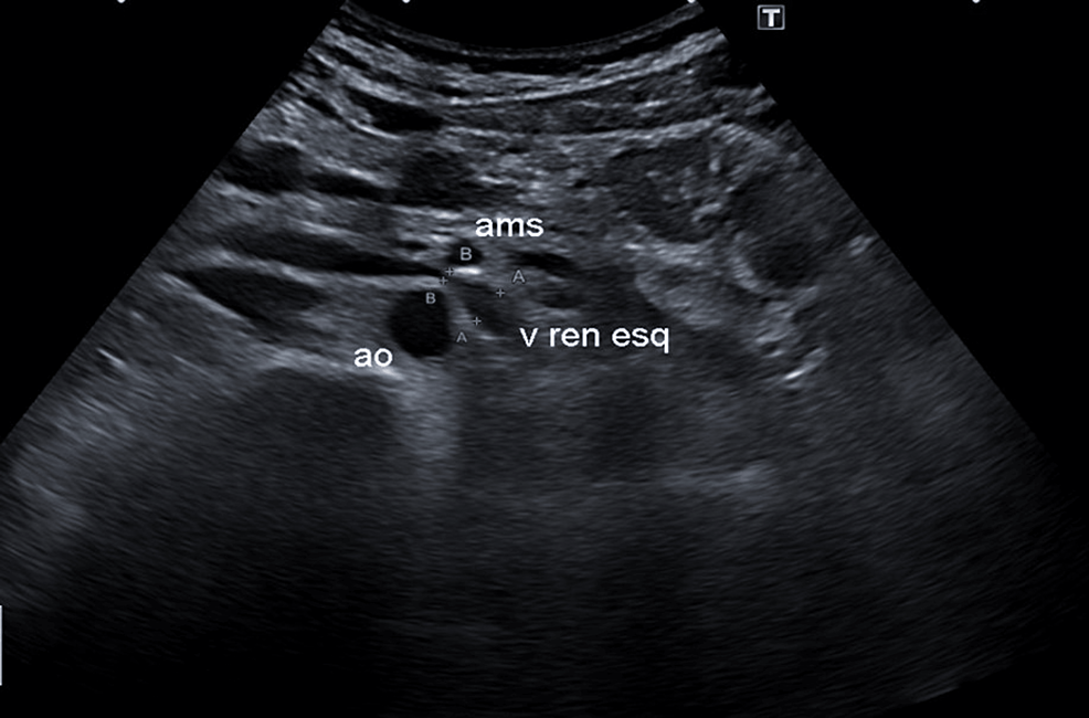
From sonographictendencies.com
Nutcracker Phenomenon/Syndrome Sonographic Tendencies Nutcracker Syndrome Pain Patients most commonly present with unexplained hematuria and flank or pelvic pain, which can be severe at times. Often, patients have had several emergency room visits for pain. Nutcracker syndrome (ns) is a condition in which the left renal vein becomes compressed. These symptoms are due to the left. Nutcracker syndrome is a rare vein compression disorder. This can restrict. Nutcracker Syndrome Pain.
From casereports.bmj.com
An easily missed diagnosis flank pain and nutcracker syndrome BMJ Case Reports Nutcracker Syndrome Pain Nutcracker syndrome is the clinical manifestation of the nutcracker phenomenon. Nutcracker syndrome is a rare vein compression disorder. Nutcracker syndrome (ns) is a condition in which the left renal vein becomes compressed. Nutcracker syndrome (ncs) is an extrinsic compression of the left renal vein (lrv) by the superior mesenteric artery (sma) anteriorly and. Often, patients have had several emergency room. Nutcracker Syndrome Pain.
From www.researchgate.net
(PDF) Breaking open the case of one patient's acute left flank pain nutcracker syndrome Nutcracker Syndrome Pain Nutcracker syndrome (ns) is a condition in which the left renal vein becomes compressed. Nutcracker syndrome (ncs) is an extrinsic compression of the left renal vein (lrv) by the superior mesenteric artery (sma) anteriorly and. Nutcracker syndrome is the clinical manifestation of the nutcracker phenomenon. Patients most commonly present with unexplained hematuria and flank or pelvic pain, which can be. Nutcracker Syndrome Pain.
From www.researchgate.net
(PDF) Chronic Pelvic Pain and Hematuria Associated with Posterior Nutcracker Syndrome Nutcracker Syndrome Pain Nutcracker syndrome is the clinical manifestation of the nutcracker phenomenon. Symptoms can worsen with physical activity. These symptoms are due to the left. This can restrict blood flow, which may lead to symptoms such as left flank pain and blood and protein. It occurs when arteries, most often the abdomen’s aorta and superior mesenteric artery,. Nutcracker syndrome (ns) is a. Nutcracker Syndrome Pain.
From www.cureus.com
Cureus Nutcracker Syndrome A Cause of Hematuria and Low Back Pain in Young Patients Nutcracker Syndrome Pain Patients most commonly present with unexplained hematuria and flank or pelvic pain, which can be severe at times. The nutcracker syndrome is a rare and often unrecognized cause of chronic pelvic pain and left back pain. Nutcracker syndrome is a rare vein compression disorder. Nutcracker syndrome (ns) is a condition in which the left renal vein becomes compressed. Often, patients. Nutcracker Syndrome Pain.
From www.researchgate.net
(PDF) Inverted Nutcracker Syndrome A Case of Persistent Hematuria and Pain in the Presence of a Nutcracker Syndrome Pain Nutcracker syndrome is the clinical manifestation of the nutcracker phenomenon. Nutcracker syndrome (ncs) is an extrinsic compression of the left renal vein (lrv) by the superior mesenteric artery (sma) anteriorly and. Symptoms can worsen with physical activity. This can restrict blood flow, which may lead to symptoms such as left flank pain and blood and protein. Often, patients have had. Nutcracker Syndrome Pain.
From www.cureus.com
Cureus A Rare Cause of Abdominal and Flank Pain in Children Nutcracker Syndrome Nutcracker Syndrome Pain Nutcracker syndrome is a rare vein compression disorder. Nutcracker syndrome is the clinical manifestation of the nutcracker phenomenon. Nutcracker syndrome (ns) is a condition in which the left renal vein becomes compressed. This can restrict blood flow, which may lead to symptoms such as left flank pain and blood and protein. Symptoms can worsen with physical activity. Patients most commonly. Nutcracker Syndrome Pain.
From radiopaedia.org
Nutcracker syndrome (annotated CT) Image Nutcracker Syndrome Pain Often, patients have had several emergency room visits for pain. This can restrict blood flow, which may lead to symptoms such as left flank pain and blood and protein. These symptoms are due to the left. Patients most commonly present with unexplained hematuria and flank or pelvic pain, which can be severe at times. Nutcracker syndrome (ns) is a condition. Nutcracker Syndrome Pain.
From vascsurg.me
Nutcracker Syndrome A Surgeon's Notes Nutcracker Syndrome Pain The increased left renal vein pressure can lead to left flank pain and gross. Patients most commonly present with unexplained hematuria and flank or pelvic pain, which can be severe at times. This can restrict blood flow, which may lead to symptoms such as left flank pain and blood and protein. Nutcracker syndrome (ns) is a condition in which the. Nutcracker Syndrome Pain.
From www.icliniq.com
What Is Nutcracker Syndrome? Nutcracker Syndrome Pain Nutcracker syndrome (ns) is a condition in which the left renal vein becomes compressed. This can restrict blood flow, which may lead to symptoms such as left flank pain and blood and protein. Nutcracker syndrome (ncs) is an extrinsic compression of the left renal vein (lrv) by the superior mesenteric artery (sma) anteriorly and. It occurs when arteries, most often. Nutcracker Syndrome Pain.
From www.hmpgloballearningnetwork.com
Nutcracker Syndrome A Rare Etiology of PCS VDM Nutcracker Syndrome Pain The increased left renal vein pressure can lead to left flank pain and gross. Nutcracker syndrome (ncs) is an extrinsic compression of the left renal vein (lrv) by the superior mesenteric artery (sma) anteriorly and. It occurs when arteries, most often the abdomen’s aorta and superior mesenteric artery,. The nutcracker syndrome is a rare and often unrecognized cause of chronic. Nutcracker Syndrome Pain.
From www.mdpi.com
Children Free FullText Diagnostic Clues in Pediatric Nutcracker Syndrome From Two Clinical Nutcracker Syndrome Pain Often, patients have had several emergency room visits for pain. This can restrict blood flow, which may lead to symptoms such as left flank pain and blood and protein. Nutcracker syndrome (ns) is a condition in which the left renal vein becomes compressed. Nutcracker syndrome is the clinical manifestation of the nutcracker phenomenon. The increased left renal vein pressure can. Nutcracker Syndrome Pain.
From casereports.bmj.com
Asymptomatic nutcracker phenomenon entrapment of the left renal vein shown by CT without left Nutcracker Syndrome Pain Nutcracker syndrome (ncs) is an extrinsic compression of the left renal vein (lrv) by the superior mesenteric artery (sma) anteriorly and. Nutcracker syndrome (ns) is a condition in which the left renal vein becomes compressed. This can restrict blood flow, which may lead to symptoms such as left flank pain and blood and protein. Patients most commonly present with unexplained. Nutcracker Syndrome Pain.
From vascularcarecentre.com
Nutcracker phenomenon and syndrome Vascular Care Centre Nutcracker Syndrome Pain It occurs when arteries, most often the abdomen’s aorta and superior mesenteric artery,. Nutcracker syndrome is the clinical manifestation of the nutcracker phenomenon. These symptoms are due to the left. The nutcracker syndrome is a rare and often unrecognized cause of chronic pelvic pain and left back pain. Nutcracker syndrome (ncs) is an extrinsic compression of the left renal vein. Nutcracker Syndrome Pain.