What Are Bilateral Infiltrates On Chest X Ray . Many diverse pathological processes can cause. from a pathophysiological perspective, the term infiltrate refers to “an abnormal substance that accumulates gradually. detecting diffuse lung infiltrates on chest radiography is a common clinical problem. lung infiltrates refer to substances, such as fluid or cells, that fill the lung, appearing denser on medical imaging. classically, viral pneumonias demonstrate bilateral, diffuse, and interstitial infiltrates, while bacterial pneumonias present with.
from mavink.com
classically, viral pneumonias demonstrate bilateral, diffuse, and interstitial infiltrates, while bacterial pneumonias present with. Many diverse pathological processes can cause. from a pathophysiological perspective, the term infiltrate refers to “an abnormal substance that accumulates gradually. detecting diffuse lung infiltrates on chest radiography is a common clinical problem. lung infiltrates refer to substances, such as fluid or cells, that fill the lung, appearing denser on medical imaging.
Infiltrates On Chest X Ray
What Are Bilateral Infiltrates On Chest X Ray Many diverse pathological processes can cause. Many diverse pathological processes can cause. classically, viral pneumonias demonstrate bilateral, diffuse, and interstitial infiltrates, while bacterial pneumonias present with. detecting diffuse lung infiltrates on chest radiography is a common clinical problem. from a pathophysiological perspective, the term infiltrate refers to “an abnormal substance that accumulates gradually. lung infiltrates refer to substances, such as fluid or cells, that fill the lung, appearing denser on medical imaging.
From www.vrogue.co
Chest Xray Showing Interstitial Pulmonary Infiltratio vrogue.co What Are Bilateral Infiltrates On Chest X Ray Many diverse pathological processes can cause. detecting diffuse lung infiltrates on chest radiography is a common clinical problem. classically, viral pneumonias demonstrate bilateral, diffuse, and interstitial infiltrates, while bacterial pneumonias present with. lung infiltrates refer to substances, such as fluid or cells, that fill the lung, appearing denser on medical imaging. from a pathophysiological perspective, the. What Are Bilateral Infiltrates On Chest X Ray.
From www.researchgate.net
Chest Xray PA view; bilateral patchy infiltrates. Download What Are Bilateral Infiltrates On Chest X Ray lung infiltrates refer to substances, such as fluid or cells, that fill the lung, appearing denser on medical imaging. classically, viral pneumonias demonstrate bilateral, diffuse, and interstitial infiltrates, while bacterial pneumonias present with. from a pathophysiological perspective, the term infiltrate refers to “an abnormal substance that accumulates gradually. detecting diffuse lung infiltrates on chest radiography is. What Are Bilateral Infiltrates On Chest X Ray.
From www.researchgate.net
Chest Xray showing patchy infiltrates in the left upper zone What Are Bilateral Infiltrates On Chest X Ray from a pathophysiological perspective, the term infiltrate refers to “an abnormal substance that accumulates gradually. lung infiltrates refer to substances, such as fluid or cells, that fill the lung, appearing denser on medical imaging. detecting diffuse lung infiltrates on chest radiography is a common clinical problem. classically, viral pneumonias demonstrate bilateral, diffuse, and interstitial infiltrates, while. What Are Bilateral Infiltrates On Chest X Ray.
From www.cureus.com
Cureus Fulminant COVID19Associated Myocarditis in an Otherwise What Are Bilateral Infiltrates On Chest X Ray detecting diffuse lung infiltrates on chest radiography is a common clinical problem. from a pathophysiological perspective, the term infiltrate refers to “an abnormal substance that accumulates gradually. lung infiltrates refer to substances, such as fluid or cells, that fill the lung, appearing denser on medical imaging. classically, viral pneumonias demonstrate bilateral, diffuse, and interstitial infiltrates, while. What Are Bilateral Infiltrates On Chest X Ray.
From www.researchgate.net
Diffuse bilateral perihilar inhomogenous infiltrates on chest Xray What Are Bilateral Infiltrates On Chest X Ray classically, viral pneumonias demonstrate bilateral, diffuse, and interstitial infiltrates, while bacterial pneumonias present with. detecting diffuse lung infiltrates on chest radiography is a common clinical problem. Many diverse pathological processes can cause. from a pathophysiological perspective, the term infiltrate refers to “an abnormal substance that accumulates gradually. lung infiltrates refer to substances, such as fluid or. What Are Bilateral Infiltrates On Chest X Ray.
From www.researchgate.net
Chest Xrays. Left, on admission with interstitial infiltrates and What Are Bilateral Infiltrates On Chest X Ray classically, viral pneumonias demonstrate bilateral, diffuse, and interstitial infiltrates, while bacterial pneumonias present with. from a pathophysiological perspective, the term infiltrate refers to “an abnormal substance that accumulates gradually. detecting diffuse lung infiltrates on chest radiography is a common clinical problem. Many diverse pathological processes can cause. lung infiltrates refer to substances, such as fluid or. What Are Bilateral Infiltrates On Chest X Ray.
From www.researchgate.net
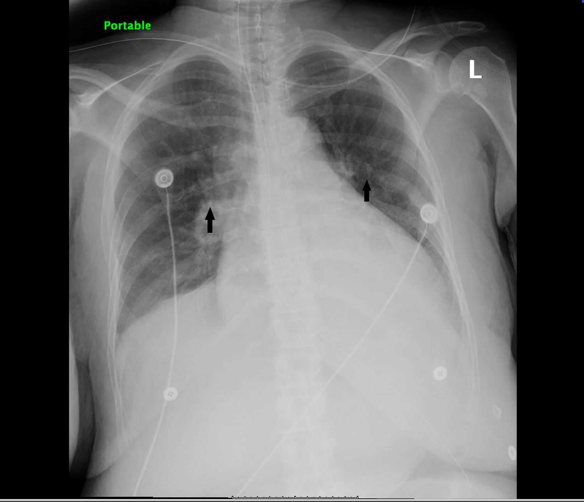
Chest Xray showing bilateral interstitial infiltrates (arrows What Are Bilateral Infiltrates On Chest X Ray lung infiltrates refer to substances, such as fluid or cells, that fill the lung, appearing denser on medical imaging. detecting diffuse lung infiltrates on chest radiography is a common clinical problem. from a pathophysiological perspective, the term infiltrate refers to “an abnormal substance that accumulates gradually. classically, viral pneumonias demonstrate bilateral, diffuse, and interstitial infiltrates, while. What Are Bilateral Infiltrates On Chest X Ray.
From mavink.com
Patchy Infiltrates On Chest X Ray What Are Bilateral Infiltrates On Chest X Ray classically, viral pneumonias demonstrate bilateral, diffuse, and interstitial infiltrates, while bacterial pneumonias present with. Many diverse pathological processes can cause. from a pathophysiological perspective, the term infiltrate refers to “an abnormal substance that accumulates gradually. lung infiltrates refer to substances, such as fluid or cells, that fill the lung, appearing denser on medical imaging. detecting diffuse. What Are Bilateral Infiltrates On Chest X Ray.
From www.cureus.com
Cureus A Case of COVID19 Infection With Delayed Thromboembolic What Are Bilateral Infiltrates On Chest X Ray lung infiltrates refer to substances, such as fluid or cells, that fill the lung, appearing denser on medical imaging. Many diverse pathological processes can cause. detecting diffuse lung infiltrates on chest radiography is a common clinical problem. classically, viral pneumonias demonstrate bilateral, diffuse, and interstitial infiltrates, while bacterial pneumonias present with. from a pathophysiological perspective, the. What Are Bilateral Infiltrates On Chest X Ray.
From www.researchgate.net
Chest xray showing bilateral infiltrates, in the mid and lower lung What Are Bilateral Infiltrates On Chest X Ray detecting diffuse lung infiltrates on chest radiography is a common clinical problem. from a pathophysiological perspective, the term infiltrate refers to “an abnormal substance that accumulates gradually. Many diverse pathological processes can cause. lung infiltrates refer to substances, such as fluid or cells, that fill the lung, appearing denser on medical imaging. classically, viral pneumonias demonstrate. What Are Bilateral Infiltrates On Chest X Ray.
From www.researchgate.net
Chest xray of the patient showing bilateral fluffy infiltrates What Are Bilateral Infiltrates On Chest X Ray from a pathophysiological perspective, the term infiltrate refers to “an abnormal substance that accumulates gradually. classically, viral pneumonias demonstrate bilateral, diffuse, and interstitial infiltrates, while bacterial pneumonias present with. lung infiltrates refer to substances, such as fluid or cells, that fill the lung, appearing denser on medical imaging. Many diverse pathological processes can cause. detecting diffuse. What Are Bilateral Infiltrates On Chest X Ray.
From www.researchgate.net
Initial Chest Xray showing bilateral basilar lung infiltrates What Are Bilateral Infiltrates On Chest X Ray classically, viral pneumonias demonstrate bilateral, diffuse, and interstitial infiltrates, while bacterial pneumonias present with. from a pathophysiological perspective, the term infiltrate refers to “an abnormal substance that accumulates gradually. detecting diffuse lung infiltrates on chest radiography is a common clinical problem. Many diverse pathological processes can cause. lung infiltrates refer to substances, such as fluid or. What Are Bilateral Infiltrates On Chest X Ray.
From www.vrogue.co
Chest X Ray Showing Diffuse Bilateral Infiltrates Dow vrogue.co What Are Bilateral Infiltrates On Chest X Ray classically, viral pneumonias demonstrate bilateral, diffuse, and interstitial infiltrates, while bacterial pneumonias present with. from a pathophysiological perspective, the term infiltrate refers to “an abnormal substance that accumulates gradually. Many diverse pathological processes can cause. detecting diffuse lung infiltrates on chest radiography is a common clinical problem. lung infiltrates refer to substances, such as fluid or. What Are Bilateral Infiltrates On Chest X Ray.
From www.researchgate.net
Chest Xray showing bilateral infiltrates. Download Scientific Diagram What Are Bilateral Infiltrates On Chest X Ray classically, viral pneumonias demonstrate bilateral, diffuse, and interstitial infiltrates, while bacterial pneumonias present with. detecting diffuse lung infiltrates on chest radiography is a common clinical problem. lung infiltrates refer to substances, such as fluid or cells, that fill the lung, appearing denser on medical imaging. Many diverse pathological processes can cause. from a pathophysiological perspective, the. What Are Bilateral Infiltrates On Chest X Ray.
From www.vrogue.co
Chest X Ray Showing Lower Lobe Infiltrates Download S vrogue.co What Are Bilateral Infiltrates On Chest X Ray classically, viral pneumonias demonstrate bilateral, diffuse, and interstitial infiltrates, while bacterial pneumonias present with. from a pathophysiological perspective, the term infiltrate refers to “an abnormal substance that accumulates gradually. lung infiltrates refer to substances, such as fluid or cells, that fill the lung, appearing denser on medical imaging. Many diverse pathological processes can cause. detecting diffuse. What Are Bilateral Infiltrates On Chest X Ray.
From www.researchgate.net
Xray chest showing bilateral patchy pulmonary infiltrates in both What Are Bilateral Infiltrates On Chest X Ray Many diverse pathological processes can cause. lung infiltrates refer to substances, such as fluid or cells, that fill the lung, appearing denser on medical imaging. classically, viral pneumonias demonstrate bilateral, diffuse, and interstitial infiltrates, while bacterial pneumonias present with. detecting diffuse lung infiltrates on chest radiography is a common clinical problem. from a pathophysiological perspective, the. What Are Bilateral Infiltrates On Chest X Ray.
From www.vrogue.co
Chest X Ray On Admission Showing Bilateral Pulmonary vrogue.co What Are Bilateral Infiltrates On Chest X Ray lung infiltrates refer to substances, such as fluid or cells, that fill the lung, appearing denser on medical imaging. Many diverse pathological processes can cause. detecting diffuse lung infiltrates on chest radiography is a common clinical problem. from a pathophysiological perspective, the term infiltrate refers to “an abnormal substance that accumulates gradually. classically, viral pneumonias demonstrate. What Are Bilateral Infiltrates On Chest X Ray.
From www.researchgate.net
(A) Admission chest xray with bilateral pulmonary infiltrates mainly What Are Bilateral Infiltrates On Chest X Ray classically, viral pneumonias demonstrate bilateral, diffuse, and interstitial infiltrates, while bacterial pneumonias present with. from a pathophysiological perspective, the term infiltrate refers to “an abnormal substance that accumulates gradually. detecting diffuse lung infiltrates on chest radiography is a common clinical problem. Many diverse pathological processes can cause. lung infiltrates refer to substances, such as fluid or. What Are Bilateral Infiltrates On Chest X Ray.
From www.researchgate.net
Chest Xray on 7th day Bilateral interstitial infiltrates. Download What Are Bilateral Infiltrates On Chest X Ray Many diverse pathological processes can cause. detecting diffuse lung infiltrates on chest radiography is a common clinical problem. from a pathophysiological perspective, the term infiltrate refers to “an abnormal substance that accumulates gradually. lung infiltrates refer to substances, such as fluid or cells, that fill the lung, appearing denser on medical imaging. classically, viral pneumonias demonstrate. What Are Bilateral Infiltrates On Chest X Ray.
From www.researchgate.net
Chest Xray shows bilateral infiltrates and no cardiomegaly. Left and What Are Bilateral Infiltrates On Chest X Ray classically, viral pneumonias demonstrate bilateral, diffuse, and interstitial infiltrates, while bacterial pneumonias present with. detecting diffuse lung infiltrates on chest radiography is a common clinical problem. lung infiltrates refer to substances, such as fluid or cells, that fill the lung, appearing denser on medical imaging. Many diverse pathological processes can cause. from a pathophysiological perspective, the. What Are Bilateral Infiltrates On Chest X Ray.
From www.researchgate.net
Initial chest Xray showing bilateral patchy infiltrates with lower What Are Bilateral Infiltrates On Chest X Ray from a pathophysiological perspective, the term infiltrate refers to “an abnormal substance that accumulates gradually. classically, viral pneumonias demonstrate bilateral, diffuse, and interstitial infiltrates, while bacterial pneumonias present with. detecting diffuse lung infiltrates on chest radiography is a common clinical problem. lung infiltrates refer to substances, such as fluid or cells, that fill the lung, appearing. What Are Bilateral Infiltrates On Chest X Ray.
From www.researchgate.net
Chest Xray showing bilateral interstitial infiltrates, predominantly What Are Bilateral Infiltrates On Chest X Ray detecting diffuse lung infiltrates on chest radiography is a common clinical problem. classically, viral pneumonias demonstrate bilateral, diffuse, and interstitial infiltrates, while bacterial pneumonias present with. lung infiltrates refer to substances, such as fluid or cells, that fill the lung, appearing denser on medical imaging. Many diverse pathological processes can cause. from a pathophysiological perspective, the. What Are Bilateral Infiltrates On Chest X Ray.
From www.researchgate.net
Bilateral fluffy infiltrates in chest xray. Download Scientific Diagram What Are Bilateral Infiltrates On Chest X Ray from a pathophysiological perspective, the term infiltrate refers to “an abnormal substance that accumulates gradually. Many diverse pathological processes can cause. classically, viral pneumonias demonstrate bilateral, diffuse, and interstitial infiltrates, while bacterial pneumonias present with. detecting diffuse lung infiltrates on chest radiography is a common clinical problem. lung infiltrates refer to substances, such as fluid or. What Are Bilateral Infiltrates On Chest X Ray.
From www.researchgate.net
Chest Xray showing diffuse bilateral infiltrates. There was no What Are Bilateral Infiltrates On Chest X Ray from a pathophysiological perspective, the term infiltrate refers to “an abnormal substance that accumulates gradually. lung infiltrates refer to substances, such as fluid or cells, that fill the lung, appearing denser on medical imaging. classically, viral pneumonias demonstrate bilateral, diffuse, and interstitial infiltrates, while bacterial pneumonias present with. detecting diffuse lung infiltrates on chest radiography is. What Are Bilateral Infiltrates On Chest X Ray.
From www.cureus.com
Cureus An Unusual Case of Bilateral Hemorrhagic Chemosis in the What Are Bilateral Infiltrates On Chest X Ray lung infiltrates refer to substances, such as fluid or cells, that fill the lung, appearing denser on medical imaging. Many diverse pathological processes can cause. detecting diffuse lung infiltrates on chest radiography is a common clinical problem. classically, viral pneumonias demonstrate bilateral, diffuse, and interstitial infiltrates, while bacterial pneumonias present with. from a pathophysiological perspective, the. What Are Bilateral Infiltrates On Chest X Ray.
From mavink.com
Infiltrates On Chest X Ray What Are Bilateral Infiltrates On Chest X Ray detecting diffuse lung infiltrates on chest radiography is a common clinical problem. lung infiltrates refer to substances, such as fluid or cells, that fill the lung, appearing denser on medical imaging. classically, viral pneumonias demonstrate bilateral, diffuse, and interstitial infiltrates, while bacterial pneumonias present with. from a pathophysiological perspective, the term infiltrate refers to “an abnormal. What Are Bilateral Infiltrates On Chest X Ray.
From www.vrogue.co
Chest X Ray Showing Bilateral Interstitial Infiltrate vrogue.co What Are Bilateral Infiltrates On Chest X Ray Many diverse pathological processes can cause. from a pathophysiological perspective, the term infiltrate refers to “an abnormal substance that accumulates gradually. classically, viral pneumonias demonstrate bilateral, diffuse, and interstitial infiltrates, while bacterial pneumonias present with. detecting diffuse lung infiltrates on chest radiography is a common clinical problem. lung infiltrates refer to substances, such as fluid or. What Are Bilateral Infiltrates On Chest X Ray.
From www.ctspectral.com
A case of a lung infiltrates — Spectral CT What Are Bilateral Infiltrates On Chest X Ray Many diverse pathological processes can cause. classically, viral pneumonias demonstrate bilateral, diffuse, and interstitial infiltrates, while bacterial pneumonias present with. detecting diffuse lung infiltrates on chest radiography is a common clinical problem. lung infiltrates refer to substances, such as fluid or cells, that fill the lung, appearing denser on medical imaging. from a pathophysiological perspective, the. What Are Bilateral Infiltrates On Chest X Ray.
From ar.inspiredpencil.com
Chest X Ray Consolidation Vs Infiltrate What Are Bilateral Infiltrates On Chest X Ray lung infiltrates refer to substances, such as fluid or cells, that fill the lung, appearing denser on medical imaging. detecting diffuse lung infiltrates on chest radiography is a common clinical problem. from a pathophysiological perspective, the term infiltrate refers to “an abnormal substance that accumulates gradually. Many diverse pathological processes can cause. classically, viral pneumonias demonstrate. What Are Bilateral Infiltrates On Chest X Ray.
From www.researchgate.net
Chest X Ray showing bilateral interstitial infiltrates with What Are Bilateral Infiltrates On Chest X Ray classically, viral pneumonias demonstrate bilateral, diffuse, and interstitial infiltrates, while bacterial pneumonias present with. lung infiltrates refer to substances, such as fluid or cells, that fill the lung, appearing denser on medical imaging. from a pathophysiological perspective, the term infiltrate refers to “an abnormal substance that accumulates gradually. detecting diffuse lung infiltrates on chest radiography is. What Are Bilateral Infiltrates On Chest X Ray.
From www.researchgate.net
Chest xray showing bilateral lung infiltrates. Download Scientific What Are Bilateral Infiltrates On Chest X Ray from a pathophysiological perspective, the term infiltrate refers to “an abnormal substance that accumulates gradually. classically, viral pneumonias demonstrate bilateral, diffuse, and interstitial infiltrates, while bacterial pneumonias present with. Many diverse pathological processes can cause. lung infiltrates refer to substances, such as fluid or cells, that fill the lung, appearing denser on medical imaging. detecting diffuse. What Are Bilateral Infiltrates On Chest X Ray.
From www.researchgate.net
Chest radiography shows bilateral diffuse pulmonary infiltrates What Are Bilateral Infiltrates On Chest X Ray classically, viral pneumonias demonstrate bilateral, diffuse, and interstitial infiltrates, while bacterial pneumonias present with. lung infiltrates refer to substances, such as fluid or cells, that fill the lung, appearing denser on medical imaging. Many diverse pathological processes can cause. detecting diffuse lung infiltrates on chest radiography is a common clinical problem. from a pathophysiological perspective, the. What Are Bilateral Infiltrates On Chest X Ray.
From www.researchgate.net
A. Chest Xray with perihilar congestion and bilateral basal What Are Bilateral Infiltrates On Chest X Ray from a pathophysiological perspective, the term infiltrate refers to “an abnormal substance that accumulates gradually. classically, viral pneumonias demonstrate bilateral, diffuse, and interstitial infiltrates, while bacterial pneumonias present with. lung infiltrates refer to substances, such as fluid or cells, that fill the lung, appearing denser on medical imaging. detecting diffuse lung infiltrates on chest radiography is. What Are Bilateral Infiltrates On Chest X Ray.
From mavink.com
Infiltrates On Chest X Ray What Are Bilateral Infiltrates On Chest X Ray classically, viral pneumonias demonstrate bilateral, diffuse, and interstitial infiltrates, while bacterial pneumonias present with. detecting diffuse lung infiltrates on chest radiography is a common clinical problem. lung infiltrates refer to substances, such as fluid or cells, that fill the lung, appearing denser on medical imaging. from a pathophysiological perspective, the term infiltrate refers to “an abnormal. What Are Bilateral Infiltrates On Chest X Ray.
From www.researchgate.net
(A) Chest Xray depicting bilateral lung infiltrates, (B) chest Xray What Are Bilateral Infiltrates On Chest X Ray classically, viral pneumonias demonstrate bilateral, diffuse, and interstitial infiltrates, while bacterial pneumonias present with. lung infiltrates refer to substances, such as fluid or cells, that fill the lung, appearing denser on medical imaging. Many diverse pathological processes can cause. detecting diffuse lung infiltrates on chest radiography is a common clinical problem. from a pathophysiological perspective, the. What Are Bilateral Infiltrates On Chest X Ray.