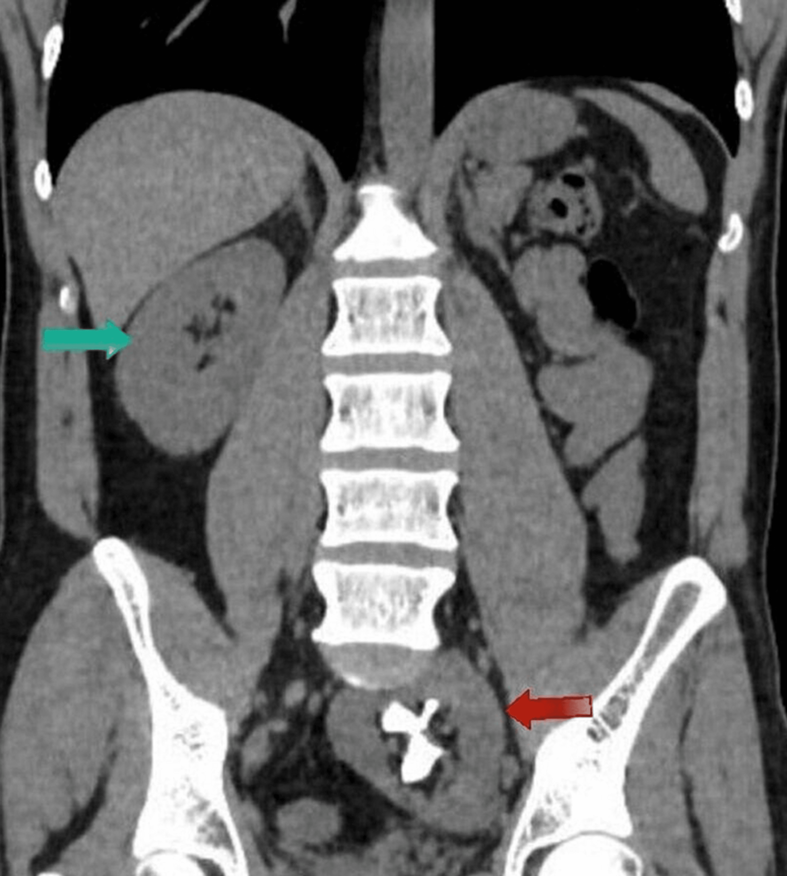
Ectopic Fused Pelvic Kidney Radiology . Crossed fused renal ectopia is then further divided depending on the orientation and position of the fused kidney. Us examination demonstrated a fused pelvic kidney with lobulated contours. The imaging revealed the rare finding of crossed fused ectopia of the kidneys. Four types of crossed renal ectopia (fig 14) can be seen at imaging, mainly at ct and mri, including cre with fusion characterized by the ectopic kidney crossing over to the opposite side, with its upper pole fused to the lower pole of the normal kidney and its ureter crossing the midline to insert in the usual position in the. An emergency ultrasound scan of the abdomen was reported as non. Renal ectopy and fusion are common congenital anomalies of the kidney and urinary tract (cakut) and result from disruption of the. In very rare instances, the ectopic. No family history of congenital anomalies was reported. If the kidney does not enter the retroperitoneal fossa, it is termed ectopic, and if it remains within the pelvis, it is deemed a pelvic kidney.
from casereports.bmj.com
No family history of congenital anomalies was reported. An emergency ultrasound scan of the abdomen was reported as non. In very rare instances, the ectopic. The imaging revealed the rare finding of crossed fused ectopia of the kidneys. Us examination demonstrated a fused pelvic kidney with lobulated contours. If the kidney does not enter the retroperitoneal fossa, it is termed ectopic, and if it remains within the pelvis, it is deemed a pelvic kidney. Four types of crossed renal ectopia (fig 14) can be seen at imaging, mainly at ct and mri, including cre with fusion characterized by the ectopic kidney crossing over to the opposite side, with its upper pole fused to the lower pole of the normal kidney and its ureter crossing the midline to insert in the usual position in the. Renal ectopy and fusion are common congenital anomalies of the kidney and urinary tract (cakut) and result from disruption of the. Crossed fused renal ectopia is then further divided depending on the orientation and position of the fused kidney.
Crossed unfused renal ectopia BMJ Case Reports
Ectopic Fused Pelvic Kidney Radiology Us examination demonstrated a fused pelvic kidney with lobulated contours. In very rare instances, the ectopic. Us examination demonstrated a fused pelvic kidney with lobulated contours. Crossed fused renal ectopia is then further divided depending on the orientation and position of the fused kidney. If the kidney does not enter the retroperitoneal fossa, it is termed ectopic, and if it remains within the pelvis, it is deemed a pelvic kidney. The imaging revealed the rare finding of crossed fused ectopia of the kidneys. An emergency ultrasound scan of the abdomen was reported as non. No family history of congenital anomalies was reported. Renal ectopy and fusion are common congenital anomalies of the kidney and urinary tract (cakut) and result from disruption of the. Four types of crossed renal ectopia (fig 14) can be seen at imaging, mainly at ct and mri, including cre with fusion characterized by the ectopic kidney crossing over to the opposite side, with its upper pole fused to the lower pole of the normal kidney and its ureter crossing the midline to insert in the usual position in the.
From www.wikidoc.org
Renal ectopia CT wikidoc Ectopic Fused Pelvic Kidney Radiology Crossed fused renal ectopia is then further divided depending on the orientation and position of the fused kidney. Us examination demonstrated a fused pelvic kidney with lobulated contours. In very rare instances, the ectopic. An emergency ultrasound scan of the abdomen was reported as non. If the kidney does not enter the retroperitoneal fossa, it is termed ectopic, and if. Ectopic Fused Pelvic Kidney Radiology.
From www.youtube.com
Ectopic Kidney full CT image YouTube Ectopic Fused Pelvic Kidney Radiology In very rare instances, the ectopic. Four types of crossed renal ectopia (fig 14) can be seen at imaging, mainly at ct and mri, including cre with fusion characterized by the ectopic kidney crossing over to the opposite side, with its upper pole fused to the lower pole of the normal kidney and its ureter crossing the midline to insert. Ectopic Fused Pelvic Kidney Radiology.
From www.researchgate.net
Crossed fused renal ectopia. Fig A (ultrasound) and B (scintigraphy Ectopic Fused Pelvic Kidney Radiology If the kidney does not enter the retroperitoneal fossa, it is termed ectopic, and if it remains within the pelvis, it is deemed a pelvic kidney. Four types of crossed renal ectopia (fig 14) can be seen at imaging, mainly at ct and mri, including cre with fusion characterized by the ectopic kidney crossing over to the opposite side, with. Ectopic Fused Pelvic Kidney Radiology.
From www.researchgate.net
CT scan with coronal image of ectopic left pelvic kidney showing the Ectopic Fused Pelvic Kidney Radiology If the kidney does not enter the retroperitoneal fossa, it is termed ectopic, and if it remains within the pelvis, it is deemed a pelvic kidney. Four types of crossed renal ectopia (fig 14) can be seen at imaging, mainly at ct and mri, including cre with fusion characterized by the ectopic kidney crossing over to the opposite side, with. Ectopic Fused Pelvic Kidney Radiology.
From casereports.bmj.com
Crossed unfused renal ectopia BMJ Case Reports Ectopic Fused Pelvic Kidney Radiology Renal ectopy and fusion are common congenital anomalies of the kidney and urinary tract (cakut) and result from disruption of the. Us examination demonstrated a fused pelvic kidney with lobulated contours. In very rare instances, the ectopic. If the kidney does not enter the retroperitoneal fossa, it is termed ectopic, and if it remains within the pelvis, it is deemed. Ectopic Fused Pelvic Kidney Radiology.
From radiopaedia.org
Crossed fused renal ectopia Radiology Reference Article Ectopic Fused Pelvic Kidney Radiology If the kidney does not enter the retroperitoneal fossa, it is termed ectopic, and if it remains within the pelvis, it is deemed a pelvic kidney. Four types of crossed renal ectopia (fig 14) can be seen at imaging, mainly at ct and mri, including cre with fusion characterized by the ectopic kidney crossing over to the opposite side, with. Ectopic Fused Pelvic Kidney Radiology.
From www.cureus.com
Cureus Case Report on Crossed Fused Renal Ectopia With a Large Ectopic Fused Pelvic Kidney Radiology Four types of crossed renal ectopia (fig 14) can be seen at imaging, mainly at ct and mri, including cre with fusion characterized by the ectopic kidney crossing over to the opposite side, with its upper pole fused to the lower pole of the normal kidney and its ureter crossing the midline to insert in the usual position in the.. Ectopic Fused Pelvic Kidney Radiology.
From buyxraysonline.com
ECTOPIC PELVIC KIDNEY Ectopic Fused Pelvic Kidney Radiology Four types of crossed renal ectopia (fig 14) can be seen at imaging, mainly at ct and mri, including cre with fusion characterized by the ectopic kidney crossing over to the opposite side, with its upper pole fused to the lower pole of the normal kidney and its ureter crossing the midline to insert in the usual position in the.. Ectopic Fused Pelvic Kidney Radiology.
From www.pinterest.jp
Crossed fused renal ectopia essentially refers to an anomaly where the Ectopic Fused Pelvic Kidney Radiology Crossed fused renal ectopia is then further divided depending on the orientation and position of the fused kidney. The imaging revealed the rare finding of crossed fused ectopia of the kidneys. No family history of congenital anomalies was reported. If the kidney does not enter the retroperitoneal fossa, it is termed ectopic, and if it remains within the pelvis, it. Ectopic Fused Pelvic Kidney Radiology.
From pubs.rsna.org
Congenital Anomalies of the Upper Urinary Tract A Comprehensive Review Ectopic Fused Pelvic Kidney Radiology Four types of crossed renal ectopia (fig 14) can be seen at imaging, mainly at ct and mri, including cre with fusion characterized by the ectopic kidney crossing over to the opposite side, with its upper pole fused to the lower pole of the normal kidney and its ureter crossing the midline to insert in the usual position in the.. Ectopic Fused Pelvic Kidney Radiology.
From radiopaedia.org
Crossed fused renal ectopia Radiology Reference Article Ectopic Fused Pelvic Kidney Radiology Crossed fused renal ectopia is then further divided depending on the orientation and position of the fused kidney. An emergency ultrasound scan of the abdomen was reported as non. If the kidney does not enter the retroperitoneal fossa, it is termed ectopic, and if it remains within the pelvis, it is deemed a pelvic kidney. Four types of crossed renal. Ectopic Fused Pelvic Kidney Radiology.
From benthamopen.com
Crossed Fused Ectopia of Kidney An Account of Tertiary Healthcare Ectopic Fused Pelvic Kidney Radiology Four types of crossed renal ectopia (fig 14) can be seen at imaging, mainly at ct and mri, including cre with fusion characterized by the ectopic kidney crossing over to the opposite side, with its upper pole fused to the lower pole of the normal kidney and its ureter crossing the midline to insert in the usual position in the.. Ectopic Fused Pelvic Kidney Radiology.
From adc.bmj.com
Crossed fused ectopic left kidney Archives of Disease in Childhood Ectopic Fused Pelvic Kidney Radiology Crossed fused renal ectopia is then further divided depending on the orientation and position of the fused kidney. Four types of crossed renal ectopia (fig 14) can be seen at imaging, mainly at ct and mri, including cre with fusion characterized by the ectopic kidney crossing over to the opposite side, with its upper pole fused to the lower pole. Ectopic Fused Pelvic Kidney Radiology.
From www.semanticscholar.org
Figure 2 from An Ectopic Pelvic Kidney Semantic Scholar Ectopic Fused Pelvic Kidney Radiology No family history of congenital anomalies was reported. Us examination demonstrated a fused pelvic kidney with lobulated contours. If the kidney does not enter the retroperitoneal fossa, it is termed ectopic, and if it remains within the pelvis, it is deemed a pelvic kidney. In very rare instances, the ectopic. Crossed fused renal ectopia is then further divided depending on. Ectopic Fused Pelvic Kidney Radiology.
From radiopaedia.org
Image Ectopic Fused Pelvic Kidney Radiology If the kidney does not enter the retroperitoneal fossa, it is termed ectopic, and if it remains within the pelvis, it is deemed a pelvic kidney. No family history of congenital anomalies was reported. An emergency ultrasound scan of the abdomen was reported as non. Renal ectopy and fusion are common congenital anomalies of the kidney and urinary tract (cakut). Ectopic Fused Pelvic Kidney Radiology.
From www.researchgate.net
Abdominopelvic ultrasound scan showed ectopic kidneys at the Ectopic Fused Pelvic Kidney Radiology Renal ectopy and fusion are common congenital anomalies of the kidney and urinary tract (cakut) and result from disruption of the. Crossed fused renal ectopia is then further divided depending on the orientation and position of the fused kidney. No family history of congenital anomalies was reported. In very rare instances, the ectopic. An emergency ultrasound scan of the abdomen. Ectopic Fused Pelvic Kidney Radiology.
From ultrasoundpaedia.com
Kidney ectopic ULTRASOUNDPAEDIA Ectopic Fused Pelvic Kidney Radiology If the kidney does not enter the retroperitoneal fossa, it is termed ectopic, and if it remains within the pelvis, it is deemed a pelvic kidney. In very rare instances, the ectopic. Us examination demonstrated a fused pelvic kidney with lobulated contours. No family history of congenital anomalies was reported. Crossed fused renal ectopia is then further divided depending on. Ectopic Fused Pelvic Kidney Radiology.
From radrounds.com
Ectopic Kidney in Pelvis CT Abdomen and Pelvis radRounds Radiology Ectopic Fused Pelvic Kidney Radiology Four types of crossed renal ectopia (fig 14) can be seen at imaging, mainly at ct and mri, including cre with fusion characterized by the ectopic kidney crossing over to the opposite side, with its upper pole fused to the lower pole of the normal kidney and its ureter crossing the midline to insert in the usual position in the.. Ectopic Fused Pelvic Kidney Radiology.
From www.researchgate.net
Retrograde pyelography of a patient with an ectopic pelvic kidney Ectopic Fused Pelvic Kidney Radiology An emergency ultrasound scan of the abdomen was reported as non. No family history of congenital anomalies was reported. Renal ectopy and fusion are common congenital anomalies of the kidney and urinary tract (cakut) and result from disruption of the. Four types of crossed renal ectopia (fig 14) can be seen at imaging, mainly at ct and mri, including cre. Ectopic Fused Pelvic Kidney Radiology.
From www.researchgate.net
ectopic pelvic right kidney. Intravenous urography (A) and computed Ectopic Fused Pelvic Kidney Radiology No family history of congenital anomalies was reported. If the kidney does not enter the retroperitoneal fossa, it is termed ectopic, and if it remains within the pelvis, it is deemed a pelvic kidney. Renal ectopy and fusion are common congenital anomalies of the kidney and urinary tract (cakut) and result from disruption of the. The imaging revealed the rare. Ectopic Fused Pelvic Kidney Radiology.
From www.researchgate.net
A computed tomography (CT) scan revealed an ectopic pelvic left kidney Ectopic Fused Pelvic Kidney Radiology An emergency ultrasound scan of the abdomen was reported as non. Crossed fused renal ectopia is then further divided depending on the orientation and position of the fused kidney. Four types of crossed renal ectopia (fig 14) can be seen at imaging, mainly at ct and mri, including cre with fusion characterized by the ectopic kidney crossing over to the. Ectopic Fused Pelvic Kidney Radiology.
From www.cureus.com
Cureus LaparoscopyAssisted Percutaneous Nephrolithotripsy (PCNL) in Ectopic Fused Pelvic Kidney Radiology The imaging revealed the rare finding of crossed fused ectopia of the kidneys. An emergency ultrasound scan of the abdomen was reported as non. Us examination demonstrated a fused pelvic kidney with lobulated contours. If the kidney does not enter the retroperitoneal fossa, it is termed ectopic, and if it remains within the pelvis, it is deemed a pelvic kidney.. Ectopic Fused Pelvic Kidney Radiology.
From www.researchgate.net
MRI showed crossfused ectopic kidney within the pelvic cavity on Ectopic Fused Pelvic Kidney Radiology The imaging revealed the rare finding of crossed fused ectopia of the kidneys. Us examination demonstrated a fused pelvic kidney with lobulated contours. If the kidney does not enter the retroperitoneal fossa, it is termed ectopic, and if it remains within the pelvis, it is deemed a pelvic kidney. An emergency ultrasound scan of the abdomen was reported as non.. Ectopic Fused Pelvic Kidney Radiology.
From www.jpurol.com
Crossed fused renal ectopia in children a review of clinical profile Ectopic Fused Pelvic Kidney Radiology Us examination demonstrated a fused pelvic kidney with lobulated contours. Four types of crossed renal ectopia (fig 14) can be seen at imaging, mainly at ct and mri, including cre with fusion characterized by the ectopic kidney crossing over to the opposite side, with its upper pole fused to the lower pole of the normal kidney and its ureter crossing. Ectopic Fused Pelvic Kidney Radiology.
From www.vrogue.co
Ectopic Kidney Ct Scan Stock Image C0353639 Science P vrogue.co Ectopic Fused Pelvic Kidney Radiology If the kidney does not enter the retroperitoneal fossa, it is termed ectopic, and if it remains within the pelvis, it is deemed a pelvic kidney. No family history of congenital anomalies was reported. The imaging revealed the rare finding of crossed fused ectopia of the kidneys. Renal ectopy and fusion are common congenital anomalies of the kidney and urinary. Ectopic Fused Pelvic Kidney Radiology.
From www.youtube.com
Ultrasound video showing An Ectopic Kidney Renal Ectopia Pelvic Ectopic Fused Pelvic Kidney Radiology The imaging revealed the rare finding of crossed fused ectopia of the kidneys. Crossed fused renal ectopia is then further divided depending on the orientation and position of the fused kidney. Us examination demonstrated a fused pelvic kidney with lobulated contours. Renal ectopy and fusion are common congenital anomalies of the kidney and urinary tract (cakut) and result from disruption. Ectopic Fused Pelvic Kidney Radiology.
From www.researchgate.net
MRI showed crossfused ectopic kidney within the pelvic cavity on Ectopic Fused Pelvic Kidney Radiology Four types of crossed renal ectopia (fig 14) can be seen at imaging, mainly at ct and mri, including cre with fusion characterized by the ectopic kidney crossing over to the opposite side, with its upper pole fused to the lower pole of the normal kidney and its ureter crossing the midline to insert in the usual position in the.. Ectopic Fused Pelvic Kidney Radiology.
From www.pinterest.co.kr
Crossed fused renal ectopia Radiology Reference Article Radiopaedia Ectopic Fused Pelvic Kidney Radiology If the kidney does not enter the retroperitoneal fossa, it is termed ectopic, and if it remains within the pelvis, it is deemed a pelvic kidney. In very rare instances, the ectopic. The imaging revealed the rare finding of crossed fused ectopia of the kidneys. Four types of crossed renal ectopia (fig 14) can be seen at imaging, mainly at. Ectopic Fused Pelvic Kidney Radiology.
From radiopaedia.org
Supernumerary crossed fused renal ectopia Image Ectopic Fused Pelvic Kidney Radiology Four types of crossed renal ectopia (fig 14) can be seen at imaging, mainly at ct and mri, including cre with fusion characterized by the ectopic kidney crossing over to the opposite side, with its upper pole fused to the lower pole of the normal kidney and its ureter crossing the midline to insert in the usual position in the.. Ectopic Fused Pelvic Kidney Radiology.
From radiopaedia.org
Image Ectopic Fused Pelvic Kidney Radiology An emergency ultrasound scan of the abdomen was reported as non. In very rare instances, the ectopic. If the kidney does not enter the retroperitoneal fossa, it is termed ectopic, and if it remains within the pelvis, it is deemed a pelvic kidney. No family history of congenital anomalies was reported. Us examination demonstrated a fused pelvic kidney with lobulated. Ectopic Fused Pelvic Kidney Radiology.
From jetem.org
Ectopic Kidney JETem Ectopic Fused Pelvic Kidney Radiology An emergency ultrasound scan of the abdomen was reported as non. Renal ectopy and fusion are common congenital anomalies of the kidney and urinary tract (cakut) and result from disruption of the. In very rare instances, the ectopic. Four types of crossed renal ectopia (fig 14) can be seen at imaging, mainly at ct and mri, including cre with fusion. Ectopic Fused Pelvic Kidney Radiology.
From www.cureus.com
Cureus LaparoscopyAssisted Percutaneous Nephrolithotripsy (PCNL) in Ectopic Fused Pelvic Kidney Radiology Us examination demonstrated a fused pelvic kidney with lobulated contours. Four types of crossed renal ectopia (fig 14) can be seen at imaging, mainly at ct and mri, including cre with fusion characterized by the ectopic kidney crossing over to the opposite side, with its upper pole fused to the lower pole of the normal kidney and its ureter crossing. Ectopic Fused Pelvic Kidney Radiology.
From www.cureus.com
Cureus Crossed Renal Ectopia with a Fused Supernumerary Kidney Ectopic Fused Pelvic Kidney Radiology Crossed fused renal ectopia is then further divided depending on the orientation and position of the fused kidney. Us examination demonstrated a fused pelvic kidney with lobulated contours. In very rare instances, the ectopic. Four types of crossed renal ectopia (fig 14) can be seen at imaging, mainly at ct and mri, including cre with fusion characterized by the ectopic. Ectopic Fused Pelvic Kidney Radiology.
From www.svuhradiology.ie
Pelvic kidney Radiology at St. Vincent's University Hospital Ectopic Fused Pelvic Kidney Radiology Crossed fused renal ectopia is then further divided depending on the orientation and position of the fused kidney. The imaging revealed the rare finding of crossed fused ectopia of the kidneys. In very rare instances, the ectopic. Us examination demonstrated a fused pelvic kidney with lobulated contours. An emergency ultrasound scan of the abdomen was reported as non. If the. Ectopic Fused Pelvic Kidney Radiology.
From radiopaedia.org
Crossed fused ectopic kidney Image Ectopic Fused Pelvic Kidney Radiology The imaging revealed the rare finding of crossed fused ectopia of the kidneys. An emergency ultrasound scan of the abdomen was reported as non. In very rare instances, the ectopic. Crossed fused renal ectopia is then further divided depending on the orientation and position of the fused kidney. Four types of crossed renal ectopia (fig 14) can be seen at. Ectopic Fused Pelvic Kidney Radiology.