What Is A Snuff Box Fracture . It is located at the level of the. It is the most common carpal bone to fracture among athletes, often caused by. A fall on the outstretched wrist is itself a red flag and should raise suspicion for a scaphoid fracture. When there is tenderness in the anatomic snuff. Previous studies have shown that a scaphoid fracture is the most common frac. Anatomic snuffbox tenderness is a highly sensitive test for scaphoid fracture, whereas scaphoid compression pain and tenderness of. This type of fracture occurs most often after a fall onto an outstretched. The anatomical snuffbox (also known as the radial fossa), is a triangular depression found on the lateral aspect of the dorsum of the hand. The scaphoid is one of the small groups of bones in the wrist called the carpal bones. A scaphoid fracture is a break in one of the small bones of the wrist.
from laptrinhx.com
It is the most common carpal bone to fracture among athletes, often caused by. A fall on the outstretched wrist is itself a red flag and should raise suspicion for a scaphoid fracture. When there is tenderness in the anatomic snuff. Anatomic snuffbox tenderness is a highly sensitive test for scaphoid fracture, whereas scaphoid compression pain and tenderness of. Previous studies have shown that a scaphoid fracture is the most common frac. The anatomical snuffbox (also known as the radial fossa), is a triangular depression found on the lateral aspect of the dorsum of the hand. The scaphoid is one of the small groups of bones in the wrist called the carpal bones. It is located at the level of the. This type of fracture occurs most often after a fall onto an outstretched. A scaphoid fracture is a break in one of the small bones of the wrist.
Fun Fact Anatomical Snuff Box LaptrinhX / News
What Is A Snuff Box Fracture The anatomical snuffbox (also known as the radial fossa), is a triangular depression found on the lateral aspect of the dorsum of the hand. When there is tenderness in the anatomic snuff. The scaphoid is one of the small groups of bones in the wrist called the carpal bones. Previous studies have shown that a scaphoid fracture is the most common frac. A fall on the outstretched wrist is itself a red flag and should raise suspicion for a scaphoid fracture. It is the most common carpal bone to fracture among athletes, often caused by. Anatomic snuffbox tenderness is a highly sensitive test for scaphoid fracture, whereas scaphoid compression pain and tenderness of. This type of fracture occurs most often after a fall onto an outstretched. A scaphoid fracture is a break in one of the small bones of the wrist. The anatomical snuffbox (also known as the radial fossa), is a triangular depression found on the lateral aspect of the dorsum of the hand. It is located at the level of the.
From music-is-my-weakness.blogspot.com
Anatomical Snuff Box Usmle / Jump to navigation jump to search. Musicis What Is A Snuff Box Fracture The anatomical snuffbox (also known as the radial fossa), is a triangular depression found on the lateral aspect of the dorsum of the hand. This type of fracture occurs most often after a fall onto an outstretched. The scaphoid is one of the small groups of bones in the wrist called the carpal bones. A scaphoid fracture is a break. What Is A Snuff Box Fracture.
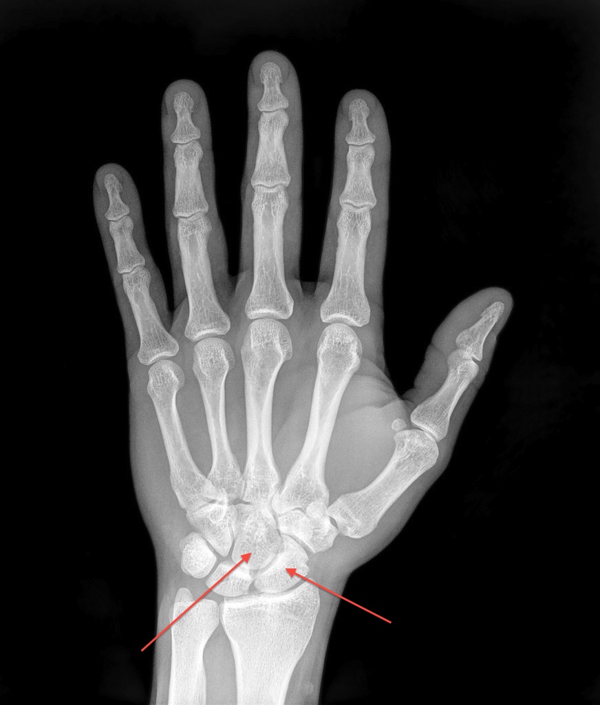
From aneskey.com
Occult Scaphoid Fractures Anesthesia Key What Is A Snuff Box Fracture The anatomical snuffbox (also known as the radial fossa), is a triangular depression found on the lateral aspect of the dorsum of the hand. A scaphoid fracture is a break in one of the small bones of the wrist. It is located at the level of the. Anatomic snuffbox tenderness is a highly sensitive test for scaphoid fracture, whereas scaphoid. What Is A Snuff Box Fracture.
From www.pinterest.com
Pin on Study What Is A Snuff Box Fracture The anatomical snuffbox (also known as the radial fossa), is a triangular depression found on the lateral aspect of the dorsum of the hand. Previous studies have shown that a scaphoid fracture is the most common frac. It is the most common carpal bone to fracture among athletes, often caused by. When there is tenderness in the anatomic snuff. A. What Is A Snuff Box Fracture.
From www.youtube.com
Scaphoid fracture diagnosis Anatomical snuff box YouTube What Is A Snuff Box Fracture The scaphoid is one of the small groups of bones in the wrist called the carpal bones. A fall on the outstretched wrist is itself a red flag and should raise suspicion for a scaphoid fracture. This type of fracture occurs most often after a fall onto an outstretched. Anatomic snuffbox tenderness is a highly sensitive test for scaphoid fracture,. What Is A Snuff Box Fracture.
From www.svuhradiology.ie
Boxer's fracture Radiology at St. Vincent's University Hospital What Is A Snuff Box Fracture When there is tenderness in the anatomic snuff. The scaphoid is one of the small groups of bones in the wrist called the carpal bones. A scaphoid fracture is a break in one of the small bones of the wrist. It is the most common carpal bone to fracture among athletes, often caused by. Anatomic snuffbox tenderness is a highly. What Is A Snuff Box Fracture.
From www.johnericksonmd.com
What is a boxer's fracture? John Erickson, MD What Is A Snuff Box Fracture This type of fracture occurs most often after a fall onto an outstretched. The anatomical snuffbox (also known as the radial fossa), is a triangular depression found on the lateral aspect of the dorsum of the hand. It is located at the level of the. Previous studies have shown that a scaphoid fracture is the most common frac. Anatomic snuffbox. What Is A Snuff Box Fracture.
From www.slideserve.com
PPT Management of Extremity Fractures PowerPoint Presentation ID182329 What Is A Snuff Box Fracture The anatomical snuffbox (also known as the radial fossa), is a triangular depression found on the lateral aspect of the dorsum of the hand. When there is tenderness in the anatomic snuff. It is the most common carpal bone to fracture among athletes, often caused by. It is located at the level of the. This type of fracture occurs most. What Is A Snuff Box Fracture.
From www.aliem.com
SplintER Series Pain in the Snuff Box What Is A Snuff Box Fracture A scaphoid fracture is a break in one of the small bones of the wrist. When there is tenderness in the anatomic snuff. This type of fracture occurs most often after a fall onto an outstretched. The anatomical snuffbox (also known as the radial fossa), is a triangular depression found on the lateral aspect of the dorsum of the hand.. What Is A Snuff Box Fracture.
From anatomytool.org
Radiopaedia Drawing Anatomical snuff box superficial bones no What Is A Snuff Box Fracture The anatomical snuffbox (also known as the radial fossa), is a triangular depression found on the lateral aspect of the dorsum of the hand. Anatomic snuffbox tenderness is a highly sensitive test for scaphoid fracture, whereas scaphoid compression pain and tenderness of. This type of fracture occurs most often after a fall onto an outstretched. Previous studies have shown that. What Is A Snuff Box Fracture.
From orthopaedicprinciples.com
Boxer’s Fracture — What Is A Snuff Box Fracture The anatomical snuffbox (also known as the radial fossa), is a triangular depression found on the lateral aspect of the dorsum of the hand. Previous studies have shown that a scaphoid fracture is the most common frac. Anatomic snuffbox tenderness is a highly sensitive test for scaphoid fracture, whereas scaphoid compression pain and tenderness of. It is the most common. What Is A Snuff Box Fracture.
From www.researchgate.net
Boxer fracture. Radiograph shows a fracture of the fifth metacarpal What Is A Snuff Box Fracture A fall on the outstretched wrist is itself a red flag and should raise suspicion for a scaphoid fracture. When there is tenderness in the anatomic snuff. Anatomic snuffbox tenderness is a highly sensitive test for scaphoid fracture, whereas scaphoid compression pain and tenderness of. The anatomical snuffbox (also known as the radial fossa), is a triangular depression found on. What Is A Snuff Box Fracture.
From music-is-my-weakness.blogspot.com
Anatomical Snuff Box Injury / The anatomical snuff box is actually a What Is A Snuff Box Fracture A fall on the outstretched wrist is itself a red flag and should raise suspicion for a scaphoid fracture. Previous studies have shown that a scaphoid fracture is the most common frac. It is the most common carpal bone to fracture among athletes, often caused by. This type of fracture occurs most often after a fall onto an outstretched. A. What Is A Snuff Box Fracture.
From www.prodoctor.blog
Scaphoid Fractures how to not miss them Pro doctor What Is A Snuff Box Fracture A fall on the outstretched wrist is itself a red flag and should raise suspicion for a scaphoid fracture. The scaphoid is one of the small groups of bones in the wrist called the carpal bones. Anatomic snuffbox tenderness is a highly sensitive test for scaphoid fracture, whereas scaphoid compression pain and tenderness of. This type of fracture occurs most. What Is A Snuff Box Fracture.
From radiopaedia.org
Boxer's fracture Image What Is A Snuff Box Fracture Anatomic snuffbox tenderness is a highly sensitive test for scaphoid fracture, whereas scaphoid compression pain and tenderness of. A scaphoid fracture is a break in one of the small bones of the wrist. Previous studies have shown that a scaphoid fracture is the most common frac. When there is tenderness in the anatomic snuff. It is located at the level. What Is A Snuff Box Fracture.
From www.pinterest.com
Anatomical Snuffbox scaphoid fracture navicular orthopedic surgery What Is A Snuff Box Fracture A fall on the outstretched wrist is itself a red flag and should raise suspicion for a scaphoid fracture. Anatomic snuffbox tenderness is a highly sensitive test for scaphoid fracture, whereas scaphoid compression pain and tenderness of. This type of fracture occurs most often after a fall onto an outstretched. Previous studies have shown that a scaphoid fracture is the. What Is A Snuff Box Fracture.
From 13.54.221.109
What You Need To Know About A Scaphoid Fracture A Physio perspective What Is A Snuff Box Fracture The anatomical snuffbox (also known as the radial fossa), is a triangular depression found on the lateral aspect of the dorsum of the hand. This type of fracture occurs most often after a fall onto an outstretched. It is the most common carpal bone to fracture among athletes, often caused by. A fall on the outstretched wrist is itself a. What Is A Snuff Box Fracture.
From medizzy.com
Scaphoid Fracture MEDizzy What Is A Snuff Box Fracture Previous studies have shown that a scaphoid fracture is the most common frac. This type of fracture occurs most often after a fall onto an outstretched. The anatomical snuffbox (also known as the radial fossa), is a triangular depression found on the lateral aspect of the dorsum of the hand. It is the most common carpal bone to fracture among. What Is A Snuff Box Fracture.
From ar.inspiredpencil.com
Anatomical Snuff Box Bones What Is A Snuff Box Fracture This type of fracture occurs most often after a fall onto an outstretched. A scaphoid fracture is a break in one of the small bones of the wrist. The scaphoid is one of the small groups of bones in the wrist called the carpal bones. Previous studies have shown that a scaphoid fracture is the most common frac. The anatomical. What Is A Snuff Box Fracture.
From radiologykey.com
Snuffbox? Scaphoid fractures Radiology Key What Is A Snuff Box Fracture It is located at the level of the. A fall on the outstretched wrist is itself a red flag and should raise suspicion for a scaphoid fracture. The anatomical snuffbox (also known as the radial fossa), is a triangular depression found on the lateral aspect of the dorsum of the hand. The scaphoid is one of the small groups of. What Is A Snuff Box Fracture.
From motusspt.com
Boxer’s Fracture Motus Physical Therapy What Is A Snuff Box Fracture The scaphoid is one of the small groups of bones in the wrist called the carpal bones. A scaphoid fracture is a break in one of the small bones of the wrist. A fall on the outstretched wrist is itself a red flag and should raise suspicion for a scaphoid fracture. It is located at the level of the. Anatomic. What Is A Snuff Box Fracture.
From www.youtube.com
Anatomical Snuff box (Part 2) Scaphoid Fracture; AVN In 3 MINUTES What Is A Snuff Box Fracture The anatomical snuffbox (also known as the radial fossa), is a triangular depression found on the lateral aspect of the dorsum of the hand. Previous studies have shown that a scaphoid fracture is the most common frac. Anatomic snuffbox tenderness is a highly sensitive test for scaphoid fracture, whereas scaphoid compression pain and tenderness of. A fall on the outstretched. What Is A Snuff Box Fracture.
From www.aafp.org
Evaluation and Diagnosis of Wrist Pain A CaseBased Approach AAFP What Is A Snuff Box Fracture This type of fracture occurs most often after a fall onto an outstretched. It is the most common carpal bone to fracture among athletes, often caused by. A scaphoid fracture is a break in one of the small bones of the wrist. Anatomic snuffbox tenderness is a highly sensitive test for scaphoid fracture, whereas scaphoid compression pain and tenderness of.. What Is A Snuff Box Fracture.
From music-is-my-weakness.blogspot.com
Anatomical Snuff Box Pain Fracture Exploring the shoulder programme What Is A Snuff Box Fracture This type of fracture occurs most often after a fall onto an outstretched. A scaphoid fracture is a break in one of the small bones of the wrist. Previous studies have shown that a scaphoid fracture is the most common frac. The anatomical snuffbox (also known as the radial fossa), is a triangular depression found on the lateral aspect of. What Is A Snuff Box Fracture.
From facty.com
Understanding a Boxer's Fracture of the Hand Facty Health What Is A Snuff Box Fracture The anatomical snuffbox (also known as the radial fossa), is a triangular depression found on the lateral aspect of the dorsum of the hand. Anatomic snuffbox tenderness is a highly sensitive test for scaphoid fracture, whereas scaphoid compression pain and tenderness of. A fall on the outstretched wrist is itself a red flag and should raise suspicion for a scaphoid. What Is A Snuff Box Fracture.
From www.theinjurysource.com
Diagnosis and Management of Scaphoid Fractures What Is A Snuff Box Fracture This type of fracture occurs most often after a fall onto an outstretched. When there is tenderness in the anatomic snuff. A scaphoid fracture is a break in one of the small bones of the wrist. It is located at the level of the. Anatomic snuffbox tenderness is a highly sensitive test for scaphoid fracture, whereas scaphoid compression pain and. What Is A Snuff Box Fracture.
From litfl.com
Boxer's fracture • LITFL • Trauma Library What Is A Snuff Box Fracture The scaphoid is one of the small groups of bones in the wrist called the carpal bones. It is located at the level of the. When there is tenderness in the anatomic snuff. This type of fracture occurs most often after a fall onto an outstretched. Anatomic snuffbox tenderness is a highly sensitive test for scaphoid fracture, whereas scaphoid compression. What Is A Snuff Box Fracture.
From www.reddit.com
The anatomical snuffbox is a triangular depression at the back of the What Is A Snuff Box Fracture The anatomical snuffbox (also known as the radial fossa), is a triangular depression found on the lateral aspect of the dorsum of the hand. It is located at the level of the. Previous studies have shown that a scaphoid fracture is the most common frac. It is the most common carpal bone to fracture among athletes, often caused by. When. What Is A Snuff Box Fracture.
From anatomyqa.com
Anatomical Snuff Box Anatomy QA What Is A Snuff Box Fracture It is the most common carpal bone to fracture among athletes, often caused by. It is located at the level of the. The scaphoid is one of the small groups of bones in the wrist called the carpal bones. Previous studies have shown that a scaphoid fracture is the most common frac. This type of fracture occurs most often after. What Is A Snuff Box Fracture.
From music-is-my-weakness.blogspot.com
Anatomical Snuff Box Pain Fracture Exploring the shoulder programme What Is A Snuff Box Fracture The scaphoid is one of the small groups of bones in the wrist called the carpal bones. It is located at the level of the. When there is tenderness in the anatomic snuff. A scaphoid fracture is a break in one of the small bones of the wrist. Previous studies have shown that a scaphoid fracture is the most common. What Is A Snuff Box Fracture.
From music-is-my-weakness.blogspot.com
Anatomical Snuff Box Radiology / The name arises from the use of this What Is A Snuff Box Fracture Previous studies have shown that a scaphoid fracture is the most common frac. This type of fracture occurs most often after a fall onto an outstretched. It is the most common carpal bone to fracture among athletes, often caused by. A fall on the outstretched wrist is itself a red flag and should raise suspicion for a scaphoid fracture. The. What Is A Snuff Box Fracture.
From music-is-my-weakness.blogspot.com
Anatomical Snuff Box Pain Fracture Exploring the shoulder programme What Is A Snuff Box Fracture This type of fracture occurs most often after a fall onto an outstretched. A fall on the outstretched wrist is itself a red flag and should raise suspicion for a scaphoid fracture. It is located at the level of the. The scaphoid is one of the small groups of bones in the wrist called the carpal bones. A scaphoid fracture. What Is A Snuff Box Fracture.
From www.vrogue.co
Anatomical Snuffbox Scaphoid Fracture Navicular Ortho vrogue.co What Is A Snuff Box Fracture Previous studies have shown that a scaphoid fracture is the most common frac. This type of fracture occurs most often after a fall onto an outstretched. It is located at the level of the. A scaphoid fracture is a break in one of the small bones of the wrist. A fall on the outstretched wrist is itself a red flag. What Is A Snuff Box Fracture.
From motusspt.com
Boxer’s Fracture Motus Physical Therapy What Is A Snuff Box Fracture When there is tenderness in the anatomic snuff. This type of fracture occurs most often after a fall onto an outstretched. It is located at the level of the. A fall on the outstretched wrist is itself a red flag and should raise suspicion for a scaphoid fracture. A scaphoid fracture is a break in one of the small bones. What Is A Snuff Box Fracture.
From laptrinhx.com
Fun Fact Anatomical Snuff Box LaptrinhX / News What Is A Snuff Box Fracture A fall on the outstretched wrist is itself a red flag and should raise suspicion for a scaphoid fracture. It is located at the level of the. A scaphoid fracture is a break in one of the small bones of the wrist. When there is tenderness in the anatomic snuff. It is the most common carpal bone to fracture among. What Is A Snuff Box Fracture.
From radiologykey.com
Punchin’ out Fifth metacarpal (boxer’s) fracture Radiology Key What Is A Snuff Box Fracture A fall on the outstretched wrist is itself a red flag and should raise suspicion for a scaphoid fracture. The anatomical snuffbox (also known as the radial fossa), is a triangular depression found on the lateral aspect of the dorsum of the hand. It is the most common carpal bone to fracture among athletes, often caused by. It is located. What Is A Snuff Box Fracture.