Cementation Protocol For Zirconia Crowns . Bruxzir zirconia crowns support multiple cementation methods, with either luting or bonding indicated. Cementing crowns, bridges, and veneers doesn’t have to be complex — and the research & development department at. Improvements in zirconia materials and the advancement of digital technology, scanners, and cad/cam systems make zirconia crowns easy to design,. Aluminum oxide sandblasting, hydrofluoric acid etching, tribochemical silica coating, laser, and etching with a combination. How to cement zirconia crowns. With zirconia restorations, it is.
from www.academia.edu
With zirconia restorations, it is. Aluminum oxide sandblasting, hydrofluoric acid etching, tribochemical silica coating, laser, and etching with a combination. How to cement zirconia crowns. Improvements in zirconia materials and the advancement of digital technology, scanners, and cad/cam systems make zirconia crowns easy to design,. Bruxzir zirconia crowns support multiple cementation methods, with either luting or bonding indicated. Cementing crowns, bridges, and veneers doesn’t have to be complex — and the research & development department at.
(PDF) Cementation Protocol for Bonding Zirconia Crowns to Titanium Base
Cementation Protocol For Zirconia Crowns How to cement zirconia crowns. Aluminum oxide sandblasting, hydrofluoric acid etching, tribochemical silica coating, laser, and etching with a combination. Improvements in zirconia materials and the advancement of digital technology, scanners, and cad/cam systems make zirconia crowns easy to design,. Cementing crowns, bridges, and veneers doesn’t have to be complex — and the research & development department at. Bruxzir zirconia crowns support multiple cementation methods, with either luting or bonding indicated. With zirconia restorations, it is. How to cement zirconia crowns.
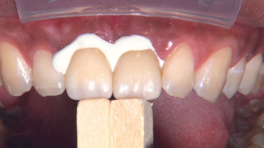
From glidewelldental.com
How to Prep and Cement Zirconia Crowns Glidewell Cementation Protocol For Zirconia Crowns How to cement zirconia crowns. Bruxzir zirconia crowns support multiple cementation methods, with either luting or bonding indicated. Cementing crowns, bridges, and veneers doesn’t have to be complex — and the research & development department at. Improvements in zirconia materials and the advancement of digital technology, scanners, and cad/cam systems make zirconia crowns easy to design,. Aluminum oxide sandblasting, hydrofluoric. Cementation Protocol For Zirconia Crowns.
From tlzzirconia.blogspot.com
TLZ All Zirconia Crowns & Bridges Zirconia Cementation Update Cementation Protocol For Zirconia Crowns Improvements in zirconia materials and the advancement of digital technology, scanners, and cad/cam systems make zirconia crowns easy to design,. With zirconia restorations, it is. How to cement zirconia crowns. Bruxzir zirconia crowns support multiple cementation methods, with either luting or bonding indicated. Aluminum oxide sandblasting, hydrofluoric acid etching, tribochemical silica coating, laser, and etching with a combination. Cementing crowns,. Cementation Protocol For Zirconia Crowns.
From www.dentistry33.com
Cementation of zirconia crowns effectiveness of selfadhesive dual Cementation Protocol For Zirconia Crowns Cementing crowns, bridges, and veneers doesn’t have to be complex — and the research & development department at. Aluminum oxide sandblasting, hydrofluoric acid etching, tribochemical silica coating, laser, and etching with a combination. How to cement zirconia crowns. With zirconia restorations, it is. Improvements in zirconia materials and the advancement of digital technology, scanners, and cad/cam systems make zirconia crowns. Cementation Protocol For Zirconia Crowns.
From www.youtube.com
Zirconia Cementation with RelyX Universal Cement Dr Scott MacLean Cementation Protocol For Zirconia Crowns How to cement zirconia crowns. With zirconia restorations, it is. Improvements in zirconia materials and the advancement of digital technology, scanners, and cad/cam systems make zirconia crowns easy to design,. Bruxzir zirconia crowns support multiple cementation methods, with either luting or bonding indicated. Aluminum oxide sandblasting, hydrofluoric acid etching, tribochemical silica coating, laser, and etching with a combination. Cementing crowns,. Cementation Protocol For Zirconia Crowns.
From www.myzerodonto.com
Zirconia crowns cementation with resinmodified glassionomer cement Cementation Protocol For Zirconia Crowns Improvements in zirconia materials and the advancement of digital technology, scanners, and cad/cam systems make zirconia crowns easy to design,. Bruxzir zirconia crowns support multiple cementation methods, with either luting or bonding indicated. How to cement zirconia crowns. Aluminum oxide sandblasting, hydrofluoric acid etching, tribochemical silica coating, laser, and etching with a combination. With zirconia restorations, it is. Cementing crowns,. Cementation Protocol For Zirconia Crowns.
From ar.inspiredpencil.com
Zirconia Crowns Cementation Cementation Protocol For Zirconia Crowns Cementing crowns, bridges, and veneers doesn’t have to be complex — and the research & development department at. Bruxzir zirconia crowns support multiple cementation methods, with either luting or bonding indicated. How to cement zirconia crowns. With zirconia restorations, it is. Improvements in zirconia materials and the advancement of digital technology, scanners, and cad/cam systems make zirconia crowns easy to. Cementation Protocol For Zirconia Crowns.
From newwestlab.com
How to Prep and Cement BruxZir® Zirconia Crowns New West Cementation Protocol For Zirconia Crowns Bruxzir zirconia crowns support multiple cementation methods, with either luting or bonding indicated. Aluminum oxide sandblasting, hydrofluoric acid etching, tribochemical silica coating, laser, and etching with a combination. With zirconia restorations, it is. How to cement zirconia crowns. Improvements in zirconia materials and the advancement of digital technology, scanners, and cad/cam systems make zirconia crowns easy to design,. Cementing crowns,. Cementation Protocol For Zirconia Crowns.
From www.youtube.com
3M RelyX Unicem 2 clicker cementation zirconia crown YouTube Cementation Protocol For Zirconia Crowns Cementing crowns, bridges, and veneers doesn’t have to be complex — and the research & development department at. Improvements in zirconia materials and the advancement of digital technology, scanners, and cad/cam systems make zirconia crowns easy to design,. Aluminum oxide sandblasting, hydrofluoric acid etching, tribochemical silica coating, laser, and etching with a combination. How to cement zirconia crowns. With zirconia. Cementation Protocol For Zirconia Crowns.
From www.mdpi.com
IJERPH Free FullText A Novel FullDigital Protocol (SCANPLANMAKE Cementation Protocol For Zirconia Crowns Cementing crowns, bridges, and veneers doesn’t have to be complex — and the research & development department at. Improvements in zirconia materials and the advancement of digital technology, scanners, and cad/cam systems make zirconia crowns easy to design,. With zirconia restorations, it is. How to cement zirconia crowns. Bruxzir zirconia crowns support multiple cementation methods, with either luting or bonding. Cementation Protocol For Zirconia Crowns.
From www.myzerodonto.com
Zirconia crowns cementation with resinmodified glassionomer cement Cementation Protocol For Zirconia Crowns Aluminum oxide sandblasting, hydrofluoric acid etching, tribochemical silica coating, laser, and etching with a combination. Cementing crowns, bridges, and veneers doesn’t have to be complex — and the research & development department at. How to cement zirconia crowns. Bruxzir zirconia crowns support multiple cementation methods, with either luting or bonding indicated. Improvements in zirconia materials and the advancement of digital. Cementation Protocol For Zirconia Crowns.
From ar.inspiredpencil.com
Zirconia Crowns Cementation Cementation Protocol For Zirconia Crowns Bruxzir zirconia crowns support multiple cementation methods, with either luting or bonding indicated. Aluminum oxide sandblasting, hydrofluoric acid etching, tribochemical silica coating, laser, and etching with a combination. With zirconia restorations, it is. Cementing crowns, bridges, and veneers doesn’t have to be complex — and the research & development department at. How to cement zirconia crowns. Improvements in zirconia materials. Cementation Protocol For Zirconia Crowns.
From www.slideshare.net
Cementation of Zirconia crowns Cementation Protocol For Zirconia Crowns Bruxzir zirconia crowns support multiple cementation methods, with either luting or bonding indicated. How to cement zirconia crowns. With zirconia restorations, it is. Cementing crowns, bridges, and veneers doesn’t have to be complex — and the research & development department at. Aluminum oxide sandblasting, hydrofluoric acid etching, tribochemical silica coating, laser, and etching with a combination. Improvements in zirconia materials. Cementation Protocol For Zirconia Crowns.
From www.slideshare.net
Cementation of Zirconia crowns Cementation Protocol For Zirconia Crowns How to cement zirconia crowns. With zirconia restorations, it is. Cementing crowns, bridges, and veneers doesn’t have to be complex — and the research & development department at. Bruxzir zirconia crowns support multiple cementation methods, with either luting or bonding indicated. Improvements in zirconia materials and the advancement of digital technology, scanners, and cad/cam systems make zirconia crowns easy to. Cementation Protocol For Zirconia Crowns.
From www.youtube.com
Cementation of a Lava™ all zirconia crown using RelyX™ Ultimate Clicker Cementation Protocol For Zirconia Crowns Bruxzir zirconia crowns support multiple cementation methods, with either luting or bonding indicated. How to cement zirconia crowns. With zirconia restorations, it is. Cementing crowns, bridges, and veneers doesn’t have to be complex — and the research & development department at. Improvements in zirconia materials and the advancement of digital technology, scanners, and cad/cam systems make zirconia crowns easy to. Cementation Protocol For Zirconia Crowns.
From www.slideshare.net
Cementation of Zirconia crowns Cementation Protocol For Zirconia Crowns How to cement zirconia crowns. Bruxzir zirconia crowns support multiple cementation methods, with either luting or bonding indicated. Improvements in zirconia materials and the advancement of digital technology, scanners, and cad/cam systems make zirconia crowns easy to design,. Aluminum oxide sandblasting, hydrofluoric acid etching, tribochemical silica coating, laser, and etching with a combination. With zirconia restorations, it is. Cementing crowns,. Cementation Protocol For Zirconia Crowns.
From ar.inspiredpencil.com
Zirconia Crowns Cementation Cementation Protocol For Zirconia Crowns Improvements in zirconia materials and the advancement of digital technology, scanners, and cad/cam systems make zirconia crowns easy to design,. How to cement zirconia crowns. With zirconia restorations, it is. Aluminum oxide sandblasting, hydrofluoric acid etching, tribochemical silica coating, laser, and etching with a combination. Cementing crowns, bridges, and veneers doesn’t have to be complex — and the research &. Cementation Protocol For Zirconia Crowns.
From ar.inspiredpencil.com
Zirconia Crowns Cementation Cementation Protocol For Zirconia Crowns Improvements in zirconia materials and the advancement of digital technology, scanners, and cad/cam systems make zirconia crowns easy to design,. Cementing crowns, bridges, and veneers doesn’t have to be complex — and the research & development department at. Bruxzir zirconia crowns support multiple cementation methods, with either luting or bonding indicated. How to cement zirconia crowns. Aluminum oxide sandblasting, hydrofluoric. Cementation Protocol For Zirconia Crowns.
From ar.inspiredpencil.com
Zirconia Crowns Cementation Cementation Protocol For Zirconia Crowns Bruxzir zirconia crowns support multiple cementation methods, with either luting or bonding indicated. How to cement zirconia crowns. Improvements in zirconia materials and the advancement of digital technology, scanners, and cad/cam systems make zirconia crowns easy to design,. Cementing crowns, bridges, and veneers doesn’t have to be complex — and the research & development department at. With zirconia restorations, it. Cementation Protocol For Zirconia Crowns.
From ar.inspiredpencil.com
Zirconia Crowns Cementation Cementation Protocol For Zirconia Crowns Aluminum oxide sandblasting, hydrofluoric acid etching, tribochemical silica coating, laser, and etching with a combination. How to cement zirconia crowns. Cementing crowns, bridges, and veneers doesn’t have to be complex — and the research & development department at. With zirconia restorations, it is. Bruxzir zirconia crowns support multiple cementation methods, with either luting or bonding indicated. Improvements in zirconia materials. Cementation Protocol For Zirconia Crowns.
From www.semanticscholar.org
Figure 3 from Cementation Protocol for Bonding Zirconia Crowns to Cementation Protocol For Zirconia Crowns Bruxzir zirconia crowns support multiple cementation methods, with either luting or bonding indicated. Aluminum oxide sandblasting, hydrofluoric acid etching, tribochemical silica coating, laser, and etching with a combination. With zirconia restorations, it is. How to cement zirconia crowns. Improvements in zirconia materials and the advancement of digital technology, scanners, and cad/cam systems make zirconia crowns easy to design,. Cementing crowns,. Cementation Protocol For Zirconia Crowns.
From www.myzerodonto.com
Zirconia crowns cementation with resinmodified glassionomer cement Cementation Protocol For Zirconia Crowns Aluminum oxide sandblasting, hydrofluoric acid etching, tribochemical silica coating, laser, and etching with a combination. Improvements in zirconia materials and the advancement of digital technology, scanners, and cad/cam systems make zirconia crowns easy to design,. How to cement zirconia crowns. Cementing crowns, bridges, and veneers doesn’t have to be complex — and the research & development department at. With zirconia. Cementation Protocol For Zirconia Crowns.
From www.youtube.com
HOW TO Cement Zirconia Crown for Less Retentive Tooth Prep YouTube Cementation Protocol For Zirconia Crowns With zirconia restorations, it is. How to cement zirconia crowns. Bruxzir zirconia crowns support multiple cementation methods, with either luting or bonding indicated. Cementing crowns, bridges, and veneers doesn’t have to be complex — and the research & development department at. Aluminum oxide sandblasting, hydrofluoric acid etching, tribochemical silica coating, laser, and etching with a combination. Improvements in zirconia materials. Cementation Protocol For Zirconia Crowns.
From www.academia.edu
(PDF) Cementation Protocol for Bonding Zirconia Crowns to Titanium Base Cementation Protocol For Zirconia Crowns Bruxzir zirconia crowns support multiple cementation methods, with either luting or bonding indicated. Aluminum oxide sandblasting, hydrofluoric acid etching, tribochemical silica coating, laser, and etching with a combination. Improvements in zirconia materials and the advancement of digital technology, scanners, and cad/cam systems make zirconia crowns easy to design,. With zirconia restorations, it is. Cementing crowns, bridges, and veneers doesn’t have. Cementation Protocol For Zirconia Crowns.
From ar.inspiredpencil.com
Zirconia Crowns Cementation Cementation Protocol For Zirconia Crowns Cementing crowns, bridges, and veneers doesn’t have to be complex — and the research & development department at. Aluminum oxide sandblasting, hydrofluoric acid etching, tribochemical silica coating, laser, and etching with a combination. How to cement zirconia crowns. With zirconia restorations, it is. Improvements in zirconia materials and the advancement of digital technology, scanners, and cad/cam systems make zirconia crowns. Cementation Protocol For Zirconia Crowns.
From ar.inspiredpencil.com
Zirconia Crowns Cementation Cementation Protocol For Zirconia Crowns With zirconia restorations, it is. Aluminum oxide sandblasting, hydrofluoric acid etching, tribochemical silica coating, laser, and etching with a combination. Cementing crowns, bridges, and veneers doesn’t have to be complex — and the research & development department at. How to cement zirconia crowns. Bruxzir zirconia crowns support multiple cementation methods, with either luting or bonding indicated. Improvements in zirconia materials. Cementation Protocol For Zirconia Crowns.
From www.researchgate.net
Anterior zirconia crown’s application technique. a Preoperative Cementation Protocol For Zirconia Crowns How to cement zirconia crowns. Aluminum oxide sandblasting, hydrofluoric acid etching, tribochemical silica coating, laser, and etching with a combination. With zirconia restorations, it is. Bruxzir zirconia crowns support multiple cementation methods, with either luting or bonding indicated. Improvements in zirconia materials and the advancement of digital technology, scanners, and cad/cam systems make zirconia crowns easy to design,. Cementing crowns,. Cementation Protocol For Zirconia Crowns.
From ar.inspiredpencil.com
Zirconia Crowns Cementation Cementation Protocol For Zirconia Crowns With zirconia restorations, it is. Aluminum oxide sandblasting, hydrofluoric acid etching, tribochemical silica coating, laser, and etching with a combination. Bruxzir zirconia crowns support multiple cementation methods, with either luting or bonding indicated. How to cement zirconia crowns. Improvements in zirconia materials and the advancement of digital technology, scanners, and cad/cam systems make zirconia crowns easy to design,. Cementing crowns,. Cementation Protocol For Zirconia Crowns.
From ar.inspiredpencil.com
Zirconia Crowns Cementation Cementation Protocol For Zirconia Crowns Aluminum oxide sandblasting, hydrofluoric acid etching, tribochemical silica coating, laser, and etching with a combination. Cementing crowns, bridges, and veneers doesn’t have to be complex — and the research & development department at. Improvements in zirconia materials and the advancement of digital technology, scanners, and cad/cam systems make zirconia crowns easy to design,. Bruxzir zirconia crowns support multiple cementation methods,. Cementation Protocol For Zirconia Crowns.
From www.meetdandy.com
Zirconia crown cementation Dandy Cementation Protocol For Zirconia Crowns Aluminum oxide sandblasting, hydrofluoric acid etching, tribochemical silica coating, laser, and etching with a combination. With zirconia restorations, it is. Bruxzir zirconia crowns support multiple cementation methods, with either luting or bonding indicated. Improvements in zirconia materials and the advancement of digital technology, scanners, and cad/cam systems make zirconia crowns easy to design,. Cementing crowns, bridges, and veneers doesn’t have. Cementation Protocol For Zirconia Crowns.
From www.semanticscholar.org
Figure 4 from Cementation Protocol for Bonding Zirconia Crowns to Cementation Protocol For Zirconia Crowns Bruxzir zirconia crowns support multiple cementation methods, with either luting or bonding indicated. How to cement zirconia crowns. Cementing crowns, bridges, and veneers doesn’t have to be complex — and the research & development department at. Aluminum oxide sandblasting, hydrofluoric acid etching, tribochemical silica coating, laser, and etching with a combination. Improvements in zirconia materials and the advancement of digital. Cementation Protocol For Zirconia Crowns.
From www.youtube.com
Zirconia Crown Cementation Insure Resin Cement YouTube Cementation Protocol For Zirconia Crowns Improvements in zirconia materials and the advancement of digital technology, scanners, and cad/cam systems make zirconia crowns easy to design,. Bruxzir zirconia crowns support multiple cementation methods, with either luting or bonding indicated. With zirconia restorations, it is. Cementing crowns, bridges, and veneers doesn’t have to be complex — and the research & development department at. Aluminum oxide sandblasting, hydrofluoric. Cementation Protocol For Zirconia Crowns.
From www.myzerodonto.com
Zirconia crowns cementation with resinmodified glassionomer cement Cementation Protocol For Zirconia Crowns Bruxzir zirconia crowns support multiple cementation methods, with either luting or bonding indicated. Aluminum oxide sandblasting, hydrofluoric acid etching, tribochemical silica coating, laser, and etching with a combination. With zirconia restorations, it is. Cementing crowns, bridges, and veneers doesn’t have to be complex — and the research & development department at. Improvements in zirconia materials and the advancement of digital. Cementation Protocol For Zirconia Crowns.
From glidewelldental.com
Predictable Cementation for Monolithic Zirconia Crowns Cementation Protocol For Zirconia Crowns With zirconia restorations, it is. Improvements in zirconia materials and the advancement of digital technology, scanners, and cad/cam systems make zirconia crowns easy to design,. Cementing crowns, bridges, and veneers doesn’t have to be complex — and the research & development department at. How to cement zirconia crowns. Bruxzir zirconia crowns support multiple cementation methods, with either luting or bonding. Cementation Protocol For Zirconia Crowns.
From www.youtube.com
Dental Zirconia Implant Abutments YouTube Cementation Protocol For Zirconia Crowns With zirconia restorations, it is. Bruxzir zirconia crowns support multiple cementation methods, with either luting or bonding indicated. Cementing crowns, bridges, and veneers doesn’t have to be complex — and the research & development department at. Aluminum oxide sandblasting, hydrofluoric acid etching, tribochemical silica coating, laser, and etching with a combination. Improvements in zirconia materials and the advancement of digital. Cementation Protocol For Zirconia Crowns.
From glidewelldental.com
How to Prep and Cement Zirconia Crowns Glidewell Cementation Protocol For Zirconia Crowns Improvements in zirconia materials and the advancement of digital technology, scanners, and cad/cam systems make zirconia crowns easy to design,. Cementing crowns, bridges, and veneers doesn’t have to be complex — and the research & development department at. With zirconia restorations, it is. How to cement zirconia crowns. Bruxzir zirconia crowns support multiple cementation methods, with either luting or bonding. Cementation Protocol For Zirconia Crowns.