What Is A Dens Process . Learn about its role in motion, how it can be injured by trauma or. Crowned dens syndrome is a rare condition that occurs when calcium deposits form on the odontoid process, a bone that connects the first and second cervical vertebrae. Learn about odontoid fractures, the most common fractures of the axis (c2) dens, and their classification, diagnosis, and treatment. The odontoid process (or dens) is a projection of the second cervical vertebra that articulates with the atlas. Odontoid fracture, also known as a peg or dens fracture, is a fracture through the odontoid process of c2. Learn about its anatomy, function and types of fractures, with images and references. The odontoid process, known as the dens, is a bony element extending superiorly from the second cervical vertebra (c2, or the axis). The odontoid process, or dens, is a bone that connects the atlas and axis vertebrae in the neck. Learn about the mechanism of injury, classification, differential. The odontoid process is a. Lets take a quick look at one type of neck injury called an odontoid fracture, aka a den's fracture. We will briefly explain what a den's fracture is,.
from www.cureus.com
The odontoid process, known as the dens, is a bony element extending superiorly from the second cervical vertebra (c2, or the axis). The odontoid process (or dens) is a projection of the second cervical vertebra that articulates with the atlas. Learn about odontoid fractures, the most common fractures of the axis (c2) dens, and their classification, diagnosis, and treatment. Odontoid fracture, also known as a peg or dens fracture, is a fracture through the odontoid process of c2. We will briefly explain what a den's fracture is,. Crowned dens syndrome is a rare condition that occurs when calcium deposits form on the odontoid process, a bone that connects the first and second cervical vertebrae. Learn about the mechanism of injury, classification, differential. Lets take a quick look at one type of neck injury called an odontoid fracture, aka a den's fracture. Learn about its anatomy, function and types of fractures, with images and references. The odontoid process, or dens, is a bone that connects the atlas and axis vertebrae in the neck.
Cureus Crowned Dens Syndrome A Rare Complication of Calcium
What Is A Dens Process Learn about odontoid fractures, the most common fractures of the axis (c2) dens, and their classification, diagnosis, and treatment. The odontoid process, or dens, is a bone that connects the atlas and axis vertebrae in the neck. The odontoid process is a. Crowned dens syndrome is a rare condition that occurs when calcium deposits form on the odontoid process, a bone that connects the first and second cervical vertebrae. Lets take a quick look at one type of neck injury called an odontoid fracture, aka a den's fracture. Learn about the mechanism of injury, classification, differential. Learn about its anatomy, function and types of fractures, with images and references. Learn about its role in motion, how it can be injured by trauma or. The odontoid process (or dens) is a projection of the second cervical vertebra that articulates with the atlas. We will briefly explain what a den's fracture is,. The odontoid process, known as the dens, is a bony element extending superiorly from the second cervical vertebra (c2, or the axis). Learn about odontoid fractures, the most common fractures of the axis (c2) dens, and their classification, diagnosis, and treatment. Odontoid fracture, also known as a peg or dens fracture, is a fracture through the odontoid process of c2.
From mungfali.com
Odontoid Process Anatomy What Is A Dens Process Odontoid fracture, also known as a peg or dens fracture, is a fracture through the odontoid process of c2. The odontoid process is a. Learn about its role in motion, how it can be injured by trauma or. Lets take a quick look at one type of neck injury called an odontoid fracture, aka a den's fracture. The odontoid process,. What Is A Dens Process.
From mungfali.com
Odontoid Process Anatomy What Is A Dens Process We will briefly explain what a den's fracture is,. Learn about the mechanism of injury, classification, differential. The odontoid process, or dens, is a bone that connects the atlas and axis vertebrae in the neck. Learn about odontoid fractures, the most common fractures of the axis (c2) dens, and their classification, diagnosis, and treatment. Learn about its anatomy, function and. What Is A Dens Process.
From www.pinterest.com
Image result for odontoid process Foto, Anatomía, Anatomía humana What Is A Dens Process Learn about the mechanism of injury, classification, differential. Odontoid fracture, also known as a peg or dens fracture, is a fracture through the odontoid process of c2. We will briefly explain what a den's fracture is,. Lets take a quick look at one type of neck injury called an odontoid fracture, aka a den's fracture. The odontoid process (or dens). What Is A Dens Process.
From www.semanticscholar.org
Current Concepts in the Management of Type II Odontoid Fractures What Is A Dens Process Crowned dens syndrome is a rare condition that occurs when calcium deposits form on the odontoid process, a bone that connects the first and second cervical vertebrae. We will briefly explain what a den's fracture is,. Learn about its role in motion, how it can be injured by trauma or. Lets take a quick look at one type of neck. What Is A Dens Process.
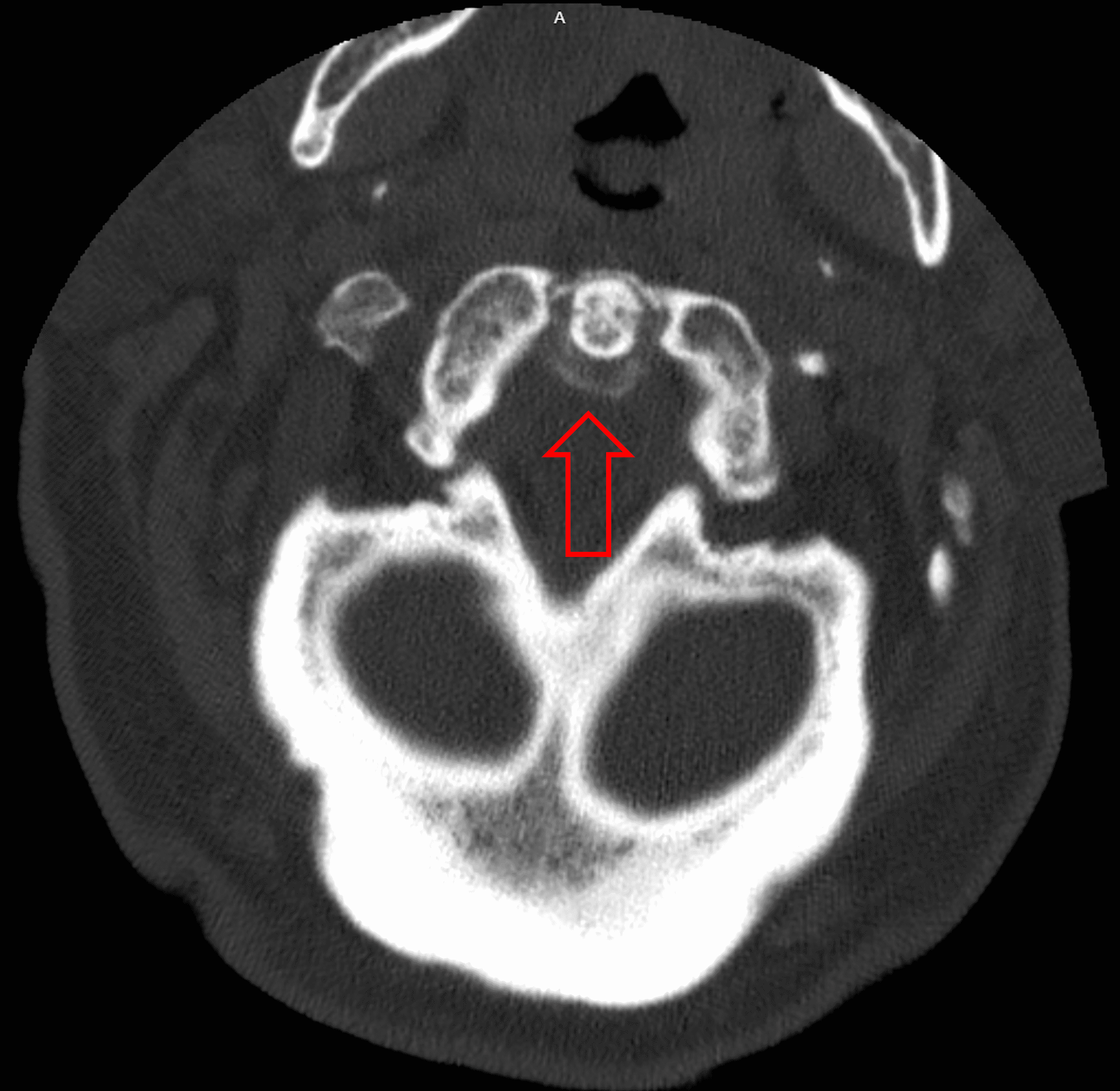
From www.researchgate.net
Cervical CT scans around the odontoid process (dens). a The axial image What Is A Dens Process Learn about its role in motion, how it can be injured by trauma or. The odontoid process, or dens, is a bone that connects the atlas and axis vertebrae in the neck. Learn about its anatomy, function and types of fractures, with images and references. The odontoid process (or dens) is a projection of the second cervical vertebra that articulates. What Is A Dens Process.
From www.globalradiologycme.com
Type 2 Dens Fracture What Is A Dens Process Learn about the mechanism of injury, classification, differential. Crowned dens syndrome is a rare condition that occurs when calcium deposits form on the odontoid process, a bone that connects the first and second cervical vertebrae. The odontoid process, or dens, is a bone that connects the atlas and axis vertebrae in the neck. We will briefly explain what a den's. What Is A Dens Process.
From www.getbodysmart.com
Axis Bone Anatomy GetBodySmart What Is A Dens Process Lets take a quick look at one type of neck injury called an odontoid fracture, aka a den's fracture. The odontoid process is a. Learn about odontoid fractures, the most common fractures of the axis (c2) dens, and their classification, diagnosis, and treatment. The odontoid process (or dens) is a projection of the second cervical vertebra that articulates with the. What Is A Dens Process.
From www.globalradiologycme.com
Type 3 Dens Fracture What Is A Dens Process Learn about odontoid fractures, the most common fractures of the axis (c2) dens, and their classification, diagnosis, and treatment. Learn about the mechanism of injury, classification, differential. Crowned dens syndrome is a rare condition that occurs when calcium deposits form on the odontoid process, a bone that connects the first and second cervical vertebrae. Learn about its anatomy, function and. What Is A Dens Process.
From www.orthobullets.com
Odontoid Fracture Spine Orthobullets What Is A Dens Process The odontoid process, known as the dens, is a bony element extending superiorly from the second cervical vertebra (c2, or the axis). Lets take a quick look at one type of neck injury called an odontoid fracture, aka a den's fracture. Learn about the mechanism of injury, classification, differential. The odontoid process, or dens, is a bone that connects the. What Is A Dens Process.
From ar.inspiredpencil.com
Dens Anatomy What Is A Dens Process The odontoid process, known as the dens, is a bony element extending superiorly from the second cervical vertebra (c2, or the axis). Odontoid fracture, also known as a peg or dens fracture, is a fracture through the odontoid process of c2. Learn about the mechanism of injury, classification, differential. Crowned dens syndrome is a rare condition that occurs when calcium. What Is A Dens Process.
From www.earthslab.com
Axis C2 Earth's Lab What Is A Dens Process Learn about the mechanism of injury, classification, differential. Odontoid fracture, also known as a peg or dens fracture, is a fracture through the odontoid process of c2. Lets take a quick look at one type of neck injury called an odontoid fracture, aka a den's fracture. The odontoid process, or dens, is a bone that connects the atlas and axis. What Is A Dens Process.
From www.getbodysmart.com
Axis Bone Anatomy GetBodySmart What Is A Dens Process We will briefly explain what a den's fracture is,. Learn about its anatomy, function and types of fractures, with images and references. The odontoid process, or dens, is a bone that connects the atlas and axis vertebrae in the neck. Odontoid fracture, also known as a peg or dens fracture, is a fracture through the odontoid process of c2. The. What Is A Dens Process.
From hughston.com
Odontoid Fractures Hughston Clinic What Is A Dens Process Learn about odontoid fractures, the most common fractures of the axis (c2) dens, and their classification, diagnosis, and treatment. The odontoid process (or dens) is a projection of the second cervical vertebra that articulates with the atlas. Lets take a quick look at one type of neck injury called an odontoid fracture, aka a den's fracture. Crowned dens syndrome is. What Is A Dens Process.
From www.physio-pedia.com
Odontoid fractures Physiopedia What Is A Dens Process Lets take a quick look at one type of neck injury called an odontoid fracture, aka a den's fracture. Crowned dens syndrome is a rare condition that occurs when calcium deposits form on the odontoid process, a bone that connects the first and second cervical vertebrae. The odontoid process (or dens) is a projection of the second cervical vertebra that. What Is A Dens Process.
From geekymedics.com
Atypical Vertebrae of the Vertebral Column Spine Geeky Medics What Is A Dens Process The odontoid process, or dens, is a bone that connects the atlas and axis vertebrae in the neck. Learn about the mechanism of injury, classification, differential. The odontoid process (or dens) is a projection of the second cervical vertebra that articulates with the atlas. Lets take a quick look at one type of neck injury called an odontoid fracture, aka. What Is A Dens Process.
From savecatchingfire.blogspot.com
Dens Anatomy Anatomy Reading Source What Is A Dens Process The odontoid process (or dens) is a projection of the second cervical vertebra that articulates with the atlas. Learn about odontoid fractures, the most common fractures of the axis (c2) dens, and their classification, diagnosis, and treatment. Learn about the mechanism of injury, classification, differential. Lets take a quick look at one type of neck injury called an odontoid fracture,. What Is A Dens Process.
From www.ezmedlearning.com
Vertebral Column Anatomy Cervical, Thoracic, Lumbar, Sacral Spine — EZmed What Is A Dens Process Learn about the mechanism of injury, classification, differential. Learn about odontoid fractures, the most common fractures of the axis (c2) dens, and their classification, diagnosis, and treatment. Lets take a quick look at one type of neck injury called an odontoid fracture, aka a den's fracture. Crowned dens syndrome is a rare condition that occurs when calcium deposits form on. What Is A Dens Process.
From www.verywellhealth.com
Odontoid Process — What is it and What Happens If You Injure It What Is A Dens Process Lets take a quick look at one type of neck injury called an odontoid fracture, aka a den's fracture. We will briefly explain what a den's fracture is,. The odontoid process (or dens) is a projection of the second cervical vertebra that articulates with the atlas. Learn about its anatomy, function and types of fractures, with images and references. Learn. What Is A Dens Process.
From rxharun.com
Rxharun..a global war against illness!!! What Is A Dens Process We will briefly explain what a den's fracture is,. The odontoid process is a. The odontoid process, known as the dens, is a bony element extending superiorly from the second cervical vertebra (c2, or the axis). Learn about its role in motion, how it can be injured by trauma or. Learn about the mechanism of injury, classification, differential. The odontoid. What Is A Dens Process.
From www.earthslab.com
Dens (Odontoid Process) Earth's Lab What Is A Dens Process Crowned dens syndrome is a rare condition that occurs when calcium deposits form on the odontoid process, a bone that connects the first and second cervical vertebrae. Learn about its anatomy, function and types of fractures, with images and references. The odontoid process (or dens) is a projection of the second cervical vertebra that articulates with the atlas. We will. What Is A Dens Process.
From www.physio-pedia.com
Odontoid process Physiopedia What Is A Dens Process Learn about its anatomy, function and types of fractures, with images and references. The odontoid process is a. Crowned dens syndrome is a rare condition that occurs when calcium deposits form on the odontoid process, a bone that connects the first and second cervical vertebrae. Learn about odontoid fractures, the most common fractures of the axis (c2) dens, and their. What Is A Dens Process.
From boneschool.com
Dens / Odontoid Fracture The Bone School What Is A Dens Process Learn about odontoid fractures, the most common fractures of the axis (c2) dens, and their classification, diagnosis, and treatment. The odontoid process, or dens, is a bone that connects the atlas and axis vertebrae in the neck. Lets take a quick look at one type of neck injury called an odontoid fracture, aka a den's fracture. Odontoid fracture, also known. What Is A Dens Process.
From hughston.com
Odontoid Fractures Hughston Clinic What Is A Dens Process Learn about its role in motion, how it can be injured by trauma or. The odontoid process, known as the dens, is a bony element extending superiorly from the second cervical vertebra (c2, or the axis). Learn about the mechanism of injury, classification, differential. Crowned dens syndrome is a rare condition that occurs when calcium deposits form on the odontoid. What Is A Dens Process.
From ar.inspiredpencil.com
Dens Anatomy What Is A Dens Process The odontoid process (or dens) is a projection of the second cervical vertebra that articulates with the atlas. Lets take a quick look at one type of neck injury called an odontoid fracture, aka a den's fracture. We will briefly explain what a den's fracture is,. Learn about its anatomy, function and types of fractures, with images and references. The. What Is A Dens Process.
From quizlet.com
Odontoid Process (Dens) Diagram Quizlet What Is A Dens Process The odontoid process is a. The odontoid process (or dens) is a projection of the second cervical vertebra that articulates with the atlas. Learn about odontoid fractures, the most common fractures of the axis (c2) dens, and their classification, diagnosis, and treatment. Odontoid fracture, also known as a peg or dens fracture, is a fracture through the odontoid process of. What Is A Dens Process.
From healthiack.com
Pictures Of Axis Vertebra, Odontoid Process What Is A Dens Process Learn about the mechanism of injury, classification, differential. The odontoid process is a. Lets take a quick look at one type of neck injury called an odontoid fracture, aka a den's fracture. Learn about odontoid fractures, the most common fractures of the axis (c2) dens, and their classification, diagnosis, and treatment. Odontoid fracture, also known as a peg or dens. What Is A Dens Process.
From healthiack.com
Pictures Of Axis Vertebra, Odontoid Process What Is A Dens Process Learn about its role in motion, how it can be injured by trauma or. Learn about the mechanism of injury, classification, differential. Crowned dens syndrome is a rare condition that occurs when calcium deposits form on the odontoid process, a bone that connects the first and second cervical vertebrae. The odontoid process, or dens, is a bone that connects the. What Is A Dens Process.
From www.earthslab.com
Dens (Odontoid Process) Earth's Lab What Is A Dens Process Crowned dens syndrome is a rare condition that occurs when calcium deposits form on the odontoid process, a bone that connects the first and second cervical vertebrae. Learn about the mechanism of injury, classification, differential. Learn about odontoid fractures, the most common fractures of the axis (c2) dens, and their classification, diagnosis, and treatment. We will briefly explain what a. What Is A Dens Process.
From hughston.com
Odontoid Fractures Hughston Clinic What Is A Dens Process Learn about its anatomy, function and types of fractures, with images and references. Crowned dens syndrome is a rare condition that occurs when calcium deposits form on the odontoid process, a bone that connects the first and second cervical vertebrae. Lets take a quick look at one type of neck injury called an odontoid fracture, aka a den's fracture. The. What Is A Dens Process.
From teachmeanatomy.info
The Cervical Spine Features Joints Ligaments TeachMeAnatomy What Is A Dens Process Learn about its role in motion, how it can be injured by trauma or. The odontoid process, or dens, is a bone that connects the atlas and axis vertebrae in the neck. Learn about its anatomy, function and types of fractures, with images and references. Crowned dens syndrome is a rare condition that occurs when calcium deposits form on the. What Is A Dens Process.
From www.youtube.com
Fracture of the dens (Odontoid process) Classification, clinical What Is A Dens Process Learn about its anatomy, function and types of fractures, with images and references. We will briefly explain what a den's fracture is,. Crowned dens syndrome is a rare condition that occurs when calcium deposits form on the odontoid process, a bone that connects the first and second cervical vertebrae. The odontoid process (or dens) is a projection of the second. What Is A Dens Process.
From www.physio-pedia.com
Odontoid fractures Physiopedia What Is A Dens Process The odontoid process, or dens, is a bone that connects the atlas and axis vertebrae in the neck. Learn about its role in motion, how it can be injured by trauma or. Lets take a quick look at one type of neck injury called an odontoid fracture, aka a den's fracture. Crowned dens syndrome is a rare condition that occurs. What Is A Dens Process.
From www.pinterest.com
Odontoid fracture classification diagram Radiology Case What Is A Dens Process The odontoid process is a. Lets take a quick look at one type of neck injury called an odontoid fracture, aka a den's fracture. Learn about odontoid fractures, the most common fractures of the axis (c2) dens, and their classification, diagnosis, and treatment. Learn about the mechanism of injury, classification, differential. The odontoid process, known as the dens, is a. What Is A Dens Process.
From www.cureus.com
Cureus Crowned Dens Syndrome A Rare Complication of Calcium What Is A Dens Process Lets take a quick look at one type of neck injury called an odontoid fracture, aka a den's fracture. Learn about odontoid fractures, the most common fractures of the axis (c2) dens, and their classification, diagnosis, and treatment. Crowned dens syndrome is a rare condition that occurs when calcium deposits form on the odontoid process, a bone that connects the. What Is A Dens Process.
From healthiack.com
Pictures Of Axis Vertebra, Odontoid ProcessHealthiack What Is A Dens Process Crowned dens syndrome is a rare condition that occurs when calcium deposits form on the odontoid process, a bone that connects the first and second cervical vertebrae. The odontoid process, or dens, is a bone that connects the atlas and axis vertebrae in the neck. The odontoid process (or dens) is a projection of the second cervical vertebra that articulates. What Is A Dens Process.