Root Canal Xray Premolar . Various methods are employed to evaluate the root and canal morphology of the mandibular first premolars. The maxillary first premolars displayed a wide range of root and canal anatomical variations. A root canal is performed when the endodontist removes the infected pulp and nerve in the root of the tooth, cleans and shapes the inside of the root canal, then fills and seals the space. The aim of this case was to understand and treat the intricate root canal anatomy observed in complex maxillary. The aims of this case presentation are to report a unique case of root canal treatment involving five root canals in the mandibular first.
from endodontics.styleitaliano.org
The aims of this case presentation are to report a unique case of root canal treatment involving five root canals in the mandibular first. Various methods are employed to evaluate the root and canal morphology of the mandibular first premolars. A root canal is performed when the endodontist removes the infected pulp and nerve in the root of the tooth, cleans and shapes the inside of the root canal, then fills and seals the space. The aim of this case was to understand and treat the intricate root canal anatomy observed in complex maxillary. The maxillary first premolars displayed a wide range of root and canal anatomical variations.
RADICULOUS/ SMALL MOLARS/ MOLARIZED PREMOLARS/ THREE CANALLED MAXILLARY
Root Canal Xray Premolar A root canal is performed when the endodontist removes the infected pulp and nerve in the root of the tooth, cleans and shapes the inside of the root canal, then fills and seals the space. A root canal is performed when the endodontist removes the infected pulp and nerve in the root of the tooth, cleans and shapes the inside of the root canal, then fills and seals the space. The maxillary first premolars displayed a wide range of root and canal anatomical variations. The aim of this case was to understand and treat the intricate root canal anatomy observed in complex maxillary. Various methods are employed to evaluate the root and canal morphology of the mandibular first premolars. The aims of this case presentation are to report a unique case of root canal treatment involving five root canals in the mandibular first.
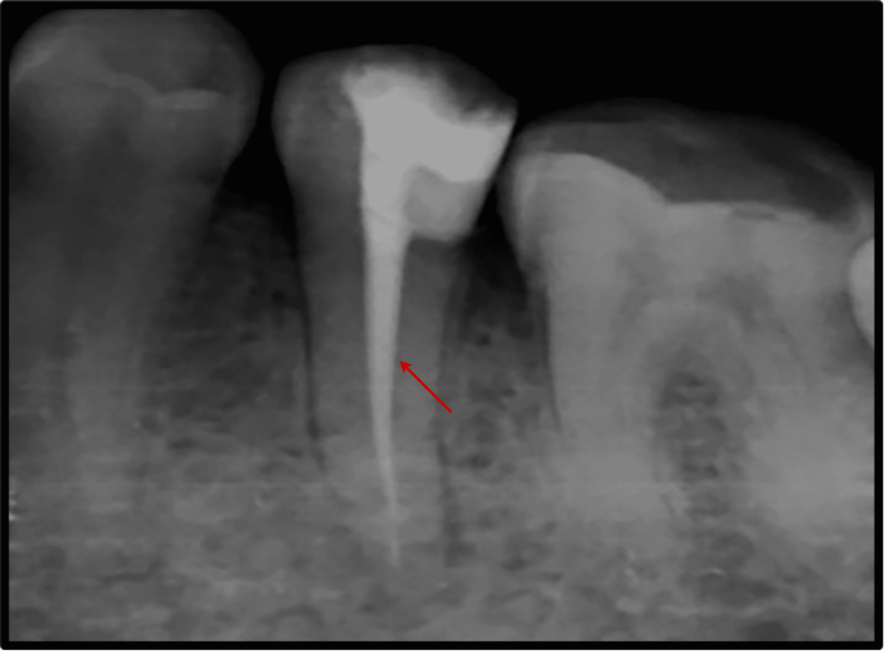
From rootcanalmontreal.com
Object moved Root Canal Xray Premolar A root canal is performed when the endodontist removes the infected pulp and nerve in the root of the tooth, cleans and shapes the inside of the root canal, then fills and seals the space. The aim of this case was to understand and treat the intricate root canal anatomy observed in complex maxillary. The maxillary first premolars displayed a. Root Canal Xray Premolar.
From www.elsevier.es
Vertical root fracture diagnosis of crowned premolars with root canal Root Canal Xray Premolar The aims of this case presentation are to report a unique case of root canal treatment involving five root canals in the mandibular first. Various methods are employed to evaluate the root and canal morphology of the mandibular first premolars. The aim of this case was to understand and treat the intricate root canal anatomy observed in complex maxillary. The. Root Canal Xray Premolar.
From www.istockphoto.com
Retroalveolar Dental Xray Of Two Upper Premolars Stock Photo Download Root Canal Xray Premolar The maxillary first premolars displayed a wide range of root and canal anatomical variations. Various methods are employed to evaluate the root and canal morphology of the mandibular first premolars. A root canal is performed when the endodontist removes the infected pulp and nerve in the root of the tooth, cleans and shapes the inside of the root canal, then. Root Canal Xray Premolar.
From www.midtownendodontistnyc.com
Core Buildup Procedure After Root Canal Midtown Endodontist NYC Root Canal Xray Premolar Various methods are employed to evaluate the root and canal morphology of the mandibular first premolars. The aim of this case was to understand and treat the intricate root canal anatomy observed in complex maxillary. The aims of this case presentation are to report a unique case of root canal treatment involving five root canals in the mandibular first. A. Root Canal Xray Premolar.
From www.mdpi.com
Bioengineering Free FullText The Assessment of Quality of the Root Root Canal Xray Premolar A root canal is performed when the endodontist removes the infected pulp and nerve in the root of the tooth, cleans and shapes the inside of the root canal, then fills and seals the space. The aim of this case was to understand and treat the intricate root canal anatomy observed in complex maxillary. The maxillary first premolars displayed a. Root Canal Xray Premolar.
From ar.inspiredpencil.com
Root Canal Root Canal Xray Premolar A root canal is performed when the endodontist removes the infected pulp and nerve in the root of the tooth, cleans and shapes the inside of the root canal, then fills and seals the space. The aim of this case was to understand and treat the intricate root canal anatomy observed in complex maxillary. The aims of this case presentation. Root Canal Xray Premolar.
From smileartsny.com
Root Canal Before And After Image Gallery Root Canal NYC Root Canal Xray Premolar The aim of this case was to understand and treat the intricate root canal anatomy observed in complex maxillary. Various methods are employed to evaluate the root and canal morphology of the mandibular first premolars. The maxillary first premolars displayed a wide range of root and canal anatomical variations. A root canal is performed when the endodontist removes the infected. Root Canal Xray Premolar.
From www.researchgate.net
(PDF) Root canal treatment of mandibular second premolar with four root Root Canal Xray Premolar The aim of this case was to understand and treat the intricate root canal anatomy observed in complex maxillary. The aims of this case presentation are to report a unique case of root canal treatment involving five root canals in the mandibular first. A root canal is performed when the endodontist removes the infected pulp and nerve in the root. Root Canal Xray Premolar.
From ar.inspiredpencil.com
Need Root Canal Xray Root Canal Xray Premolar The aims of this case presentation are to report a unique case of root canal treatment involving five root canals in the mandibular first. Various methods are employed to evaluate the root and canal morphology of the mandibular first premolars. A root canal is performed when the endodontist removes the infected pulp and nerve in the root of the tooth,. Root Canal Xray Premolar.
From lakefrontfamilydentistry.com
Root Canal Root Canal Molar Root Canals Root Canal Xray Premolar The maxillary first premolars displayed a wide range of root and canal anatomical variations. The aim of this case was to understand and treat the intricate root canal anatomy observed in complex maxillary. The aims of this case presentation are to report a unique case of root canal treatment involving five root canals in the mandibular first. Various methods are. Root Canal Xray Premolar.
From www.youtube.com
Root Canal Treatment Upper First Premolar YouTube Root Canal Xray Premolar A root canal is performed when the endodontist removes the infected pulp and nerve in the root of the tooth, cleans and shapes the inside of the root canal, then fills and seals the space. The aim of this case was to understand and treat the intricate root canal anatomy observed in complex maxillary. The maxillary first premolars displayed a. Root Canal Xray Premolar.
From www.mdpi.com
Bioengineering Free FullText Maxillary Premolars with Four Canals Root Canal Xray Premolar A root canal is performed when the endodontist removes the infected pulp and nerve in the root of the tooth, cleans and shapes the inside of the root canal, then fills and seals the space. The maxillary first premolars displayed a wide range of root and canal anatomical variations. Various methods are employed to evaluate the root and canal morphology. Root Canal Xray Premolar.
From pubs.sciepub.com
Figure 7. Radiographic appearance following root canal treatment Root Canal Xray Premolar Various methods are employed to evaluate the root and canal morphology of the mandibular first premolars. The aims of this case presentation are to report a unique case of root canal treatment involving five root canals in the mandibular first. The aim of this case was to understand and treat the intricate root canal anatomy observed in complex maxillary. The. Root Canal Xray Premolar.
From clinmedjournals.org
Two Case Reports of CShaped Mandibular Premolars with Three and Four Root Canal Xray Premolar The aims of this case presentation are to report a unique case of root canal treatment involving five root canals in the mandibular first. A root canal is performed when the endodontist removes the infected pulp and nerve in the root of the tooth, cleans and shapes the inside of the root canal, then fills and seals the space. The. Root Canal Xray Premolar.
From www.cureus.com
Cureus The Hidden Anatomy of a Lower Premolar With Two Canals Root Canal Xray Premolar Various methods are employed to evaluate the root and canal morphology of the mandibular first premolars. The aims of this case presentation are to report a unique case of root canal treatment involving five root canals in the mandibular first. The maxillary first premolars displayed a wide range of root and canal anatomical variations. A root canal is performed when. Root Canal Xray Premolar.
From www.researchgate.net
Periapical radiograph taken immediately after root canal filling of Root Canal Xray Premolar A root canal is performed when the endodontist removes the infected pulp and nerve in the root of the tooth, cleans and shapes the inside of the root canal, then fills and seals the space. The maxillary first premolars displayed a wide range of root and canal anatomical variations. The aims of this case presentation are to report a unique. Root Canal Xray Premolar.
From www.midtownendodontistnyc.com
Root Canal Before & Afters Midtown Endodontist NYC Root Canal Xray Premolar The aims of this case presentation are to report a unique case of root canal treatment involving five root canals in the mandibular first. A root canal is performed when the endodontist removes the infected pulp and nerve in the root of the tooth, cleans and shapes the inside of the root canal, then fills and seals the space. Various. Root Canal Xray Premolar.
From www.cad-ray.com
periapical xray of premolar prior to crown placement Root Canal Xray Premolar Various methods are employed to evaluate the root and canal morphology of the mandibular first premolars. The maxillary first premolars displayed a wide range of root and canal anatomical variations. A root canal is performed when the endodontist removes the infected pulp and nerve in the root of the tooth, cleans and shapes the inside of the root canal, then. Root Canal Xray Premolar.
From www.yapdental.com
Root Canal Yap & Associates Dental Surgery, Kuala Lumpur, Malaysia Root Canal Xray Premolar Various methods are employed to evaluate the root and canal morphology of the mandibular first premolars. The aim of this case was to understand and treat the intricate root canal anatomy observed in complex maxillary. A root canal is performed when the endodontist removes the infected pulp and nerve in the root of the tooth, cleans and shapes the inside. Root Canal Xray Premolar.
From www.youtube.com
Premolar Root Canal Xray Tip YouTube Root Canal Xray Premolar The maxillary first premolars displayed a wide range of root and canal anatomical variations. Various methods are employed to evaluate the root and canal morphology of the mandibular first premolars. The aims of this case presentation are to report a unique case of root canal treatment involving five root canals in the mandibular first. The aim of this case was. Root Canal Xray Premolar.
From www.midtownendodontistnyc.com
Root Canal Before & Afters Midtown Endodontist NYC Root Canal Xray Premolar Various methods are employed to evaluate the root and canal morphology of the mandibular first premolars. The maxillary first premolars displayed a wide range of root and canal anatomical variations. A root canal is performed when the endodontist removes the infected pulp and nerve in the root of the tooth, cleans and shapes the inside of the root canal, then. Root Canal Xray Premolar.
From www.jpda.com.pk
Root Canal Treatment of Maxillary Premolar In A Subject with Retention Root Canal Xray Premolar The aim of this case was to understand and treat the intricate root canal anatomy observed in complex maxillary. The aims of this case presentation are to report a unique case of root canal treatment involving five root canals in the mandibular first. A root canal is performed when the endodontist removes the infected pulp and nerve in the root. Root Canal Xray Premolar.
From endodontics.styleitaliano.org
RADICULOUS/ SMALL MOLARS/ MOLARIZED PREMOLARS/ THREE CANALLED MAXILLARY Root Canal Xray Premolar The aims of this case presentation are to report a unique case of root canal treatment involving five root canals in the mandibular first. Various methods are employed to evaluate the root and canal morphology of the mandibular first premolars. The maxillary first premolars displayed a wide range of root and canal anatomical variations. The aim of this case was. Root Canal Xray Premolar.
From beverleydental.co.uk
Root Canal Treatment Beverley Dental Private Dentist in Raynes Park Root Canal Xray Premolar The maxillary first premolars displayed a wide range of root and canal anatomical variations. The aims of this case presentation are to report a unique case of root canal treatment involving five root canals in the mandibular first. A root canal is performed when the endodontist removes the infected pulp and nerve in the root of the tooth, cleans and. Root Canal Xray Premolar.
From clinmedjournals.org
Two Case Reports of CShaped Mandibular Premolars with Three and Four Root Canal Xray Premolar The maxillary first premolars displayed a wide range of root and canal anatomical variations. Various methods are employed to evaluate the root and canal morphology of the mandibular first premolars. A root canal is performed when the endodontist removes the infected pulp and nerve in the root of the tooth, cleans and shapes the inside of the root canal, then. Root Canal Xray Premolar.
From www.pearldentalclinic.co.uk
Root canal treatment gallery before & after photos London Dentist Root Canal Xray Premolar A root canal is performed when the endodontist removes the infected pulp and nerve in the root of the tooth, cleans and shapes the inside of the root canal, then fills and seals the space. Various methods are employed to evaluate the root and canal morphology of the mandibular first premolars. The aims of this case presentation are to report. Root Canal Xray Premolar.
From endodontics.styleitaliano.org
RADICULOUS/ SMALL MOLARS/ MOLARIZED PREMOLARS/ THREE CANALLED MAXILLARY Root Canal Xray Premolar A root canal is performed when the endodontist removes the infected pulp and nerve in the root of the tooth, cleans and shapes the inside of the root canal, then fills and seals the space. The aims of this case presentation are to report a unique case of root canal treatment involving five root canals in the mandibular first. The. Root Canal Xray Premolar.
From www.semanticscholar.org
Figure 1 from Analysis of Mandibular Premolars Root Canal Morphology Root Canal Xray Premolar The aim of this case was to understand and treat the intricate root canal anatomy observed in complex maxillary. The maxillary first premolars displayed a wide range of root and canal anatomical variations. A root canal is performed when the endodontist removes the infected pulp and nerve in the root of the tooth, cleans and shapes the inside of the. Root Canal Xray Premolar.
From www.yapdental.com
Root Canal Yap & Associates Dental Surgery, Kuala Lumpur, Malaysia Root Canal Xray Premolar Various methods are employed to evaluate the root and canal morphology of the mandibular first premolars. The maxillary first premolars displayed a wide range of root and canal anatomical variations. The aims of this case presentation are to report a unique case of root canal treatment involving five root canals in the mandibular first. A root canal is performed when. Root Canal Xray Premolar.
From rootcanalanatomy.blogspot.com
The Root Canal Anatomy Project Maxillary Second Premolar Root Canal Xray Premolar The aims of this case presentation are to report a unique case of root canal treatment involving five root canals in the mandibular first. The aim of this case was to understand and treat the intricate root canal anatomy observed in complex maxillary. A root canal is performed when the endodontist removes the infected pulp and nerve in the root. Root Canal Xray Premolar.
From www.scottbrowndds.com
Root Canal » McDonough Family Dentistry Root Canal Xray Premolar A root canal is performed when the endodontist removes the infected pulp and nerve in the root of the tooth, cleans and shapes the inside of the root canal, then fills and seals the space. The maxillary first premolars displayed a wide range of root and canal anatomical variations. The aim of this case was to understand and treat the. Root Canal Xray Premolar.
From www.researchgate.net
(PDF) Rootcanal treatment of premolar teeth with complex anatomy Root Canal Xray Premolar Various methods are employed to evaluate the root and canal morphology of the mandibular first premolars. The aims of this case presentation are to report a unique case of root canal treatment involving five root canals in the mandibular first. The maxillary first premolars displayed a wide range of root and canal anatomical variations. A root canal is performed when. Root Canal Xray Premolar.
From www.midtownendodontistnyc.com
Root Canal Before & Afters Midtown Endodontist NYC Root Canal Xray Premolar The maxillary first premolars displayed a wide range of root and canal anatomical variations. A root canal is performed when the endodontist removes the infected pulp and nerve in the root of the tooth, cleans and shapes the inside of the root canal, then fills and seals the space. The aims of this case presentation are to report a unique. Root Canal Xray Premolar.
From www.brightsmilepowell.com
Root Canals Bright Smile Dental Root Canal Xray Premolar The aims of this case presentation are to report a unique case of root canal treatment involving five root canals in the mandibular first. The aim of this case was to understand and treat the intricate root canal anatomy observed in complex maxillary. A root canal is performed when the endodontist removes the infected pulp and nerve in the root. Root Canal Xray Premolar.
From carterendo.com
One visit or two? David G. Carter, DMD Root Canal Xray Premolar Various methods are employed to evaluate the root and canal morphology of the mandibular first premolars. The maxillary first premolars displayed a wide range of root and canal anatomical variations. A root canal is performed when the endodontist removes the infected pulp and nerve in the root of the tooth, cleans and shapes the inside of the root canal, then. Root Canal Xray Premolar.