Is Ct Head Same As Ct Brain . A cranial ct scan is known by a variety of names as well, including brain scan, head scan, skull scan, and sinus scan. Computed tomography (ct) scans of the head are an important diagnostic tool in modern medicine, offering detailed images of. A ct scan of the head can provide more. Magnetic resonance imaging (mri) of the head provides superior information as compared to ct scans when seeking information about headache to confirm a. This procedure is noninvasive, meaning it doesn’t require.
from savecatchingfire.blogspot.com
A ct scan of the head can provide more. This procedure is noninvasive, meaning it doesn’t require. Magnetic resonance imaging (mri) of the head provides superior information as compared to ct scans when seeking information about headache to confirm a. A cranial ct scan is known by a variety of names as well, including brain scan, head scan, skull scan, and sinus scan. Computed tomography (ct) scans of the head are an important diagnostic tool in modern medicine, offering detailed images of.
Ct Scan Brain Anatomy Anatomy Reading Source
Is Ct Head Same As Ct Brain A cranial ct scan is known by a variety of names as well, including brain scan, head scan, skull scan, and sinus scan. Computed tomography (ct) scans of the head are an important diagnostic tool in modern medicine, offering detailed images of. Magnetic resonance imaging (mri) of the head provides superior information as compared to ct scans when seeking information about headache to confirm a. This procedure is noninvasive, meaning it doesn’t require. A ct scan of the head can provide more. A cranial ct scan is known by a variety of names as well, including brain scan, head scan, skull scan, and sinus scan.
From www.radiology.expert
CT brain hemorrhage Is Ct Head Same As Ct Brain Magnetic resonance imaging (mri) of the head provides superior information as compared to ct scans when seeking information about headache to confirm a. Computed tomography (ct) scans of the head are an important diagnostic tool in modern medicine, offering detailed images of. This procedure is noninvasive, meaning it doesn’t require. A cranial ct scan is known by a variety of. Is Ct Head Same As Ct Brain.
From radiology.ucsf.edu
Exploring the Brain How Are Brain Images Made with CT? UCSF Radiology Is Ct Head Same As Ct Brain Computed tomography (ct) scans of the head are an important diagnostic tool in modern medicine, offering detailed images of. A cranial ct scan is known by a variety of names as well, including brain scan, head scan, skull scan, and sinus scan. This procedure is noninvasive, meaning it doesn’t require. A ct scan of the head can provide more. Magnetic. Is Ct Head Same As Ct Brain.
From www.researchgate.net
Contrastenhanced brain computed tomography (CT) scanning of patient Is Ct Head Same As Ct Brain Magnetic resonance imaging (mri) of the head provides superior information as compared to ct scans when seeking information about headache to confirm a. A cranial ct scan is known by a variety of names as well, including brain scan, head scan, skull scan, and sinus scan. A ct scan of the head can provide more. Computed tomography (ct) scans of. Is Ct Head Same As Ct Brain.
From openmed.school
cthead [Open Med School] Is Ct Head Same As Ct Brain Computed tomography (ct) scans of the head are an important diagnostic tool in modern medicine, offering detailed images of. This procedure is noninvasive, meaning it doesn’t require. Magnetic resonance imaging (mri) of the head provides superior information as compared to ct scans when seeking information about headache to confirm a. A cranial ct scan is known by a variety of. Is Ct Head Same As Ct Brain.
From www.vrogue.co
Image Result For Difference Between Ct And Mri Mri Ct vrogue.co Is Ct Head Same As Ct Brain Computed tomography (ct) scans of the head are an important diagnostic tool in modern medicine, offering detailed images of. A cranial ct scan is known by a variety of names as well, including brain scan, head scan, skull scan, and sinus scan. Magnetic resonance imaging (mri) of the head provides superior information as compared to ct scans when seeking information. Is Ct Head Same As Ct Brain.
From www.vrogue.co
Anatomy Of Brain Ct Scan Anatomy Drawing Diagram Imag vrogue.co Is Ct Head Same As Ct Brain A ct scan of the head can provide more. Computed tomography (ct) scans of the head are an important diagnostic tool in modern medicine, offering detailed images of. A cranial ct scan is known by a variety of names as well, including brain scan, head scan, skull scan, and sinus scan. Magnetic resonance imaging (mri) of the head provides superior. Is Ct Head Same As Ct Brain.
From saripepaya11.blogspot.com
Ct Scan Brain Anatomy Anatomy Of Head Ct Scan Normal The Brain On Ct Is Ct Head Same As Ct Brain Magnetic resonance imaging (mri) of the head provides superior information as compared to ct scans when seeking information about headache to confirm a. Computed tomography (ct) scans of the head are an important diagnostic tool in modern medicine, offering detailed images of. A cranial ct scan is known by a variety of names as well, including brain scan, head scan,. Is Ct Head Same As Ct Brain.
From www.researchgate.net
Normal brain CT without contrast (sagittal view) Download Scientific Is Ct Head Same As Ct Brain Magnetic resonance imaging (mri) of the head provides superior information as compared to ct scans when seeking information about headache to confirm a. A cranial ct scan is known by a variety of names as well, including brain scan, head scan, skull scan, and sinus scan. Computed tomography (ct) scans of the head are an important diagnostic tool in modern. Is Ct Head Same As Ct Brain.
From nathaliavnhy.blogspot.com
Normal Ct Brain Is Ct Head Same As Ct Brain Computed tomography (ct) scans of the head are an important diagnostic tool in modern medicine, offering detailed images of. A ct scan of the head can provide more. A cranial ct scan is known by a variety of names as well, including brain scan, head scan, skull scan, and sinus scan. This procedure is noninvasive, meaning it doesn’t require. Magnetic. Is Ct Head Same As Ct Brain.
From healthjade.com
CT Scan CAT Scan, Machine, Uses, Prep, Side Effects Is Ct Head Same As Ct Brain A cranial ct scan is known by a variety of names as well, including brain scan, head scan, skull scan, and sinus scan. This procedure is noninvasive, meaning it doesn’t require. A ct scan of the head can provide more. Computed tomography (ct) scans of the head are an important diagnostic tool in modern medicine, offering detailed images of. Magnetic. Is Ct Head Same As Ct Brain.
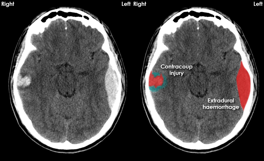
From www.radiologymasterclass.co.uk
CT Brain Anatomy Brain parenchyma and lobes Is Ct Head Same As Ct Brain Magnetic resonance imaging (mri) of the head provides superior information as compared to ct scans when seeking information about headache to confirm a. Computed tomography (ct) scans of the head are an important diagnostic tool in modern medicine, offering detailed images of. A ct scan of the head can provide more. This procedure is noninvasive, meaning it doesn’t require. A. Is Ct Head Same As Ct Brain.
From birlaswasumy.blogspot.com
View 14 Brain Anatomy Labeled Ct birlaswasumy Is Ct Head Same As Ct Brain Computed tomography (ct) scans of the head are an important diagnostic tool in modern medicine, offering detailed images of. A cranial ct scan is known by a variety of names as well, including brain scan, head scan, skull scan, and sinus scan. This procedure is noninvasive, meaning it doesn’t require. Magnetic resonance imaging (mri) of the head provides superior information. Is Ct Head Same As Ct Brain.
From birlaswasumy.blogspot.com
View 14 Brain Anatomy Labeled Ct birlaswasumy Is Ct Head Same As Ct Brain A ct scan of the head can provide more. This procedure is noninvasive, meaning it doesn’t require. Magnetic resonance imaging (mri) of the head provides superior information as compared to ct scans when seeking information about headache to confirm a. Computed tomography (ct) scans of the head are an important diagnostic tool in modern medicine, offering detailed images of. A. Is Ct Head Same As Ct Brain.
From en.rattibha.com
1/Time is brain! So you don’t have time to struggle w/that stroke alert Is Ct Head Same As Ct Brain This procedure is noninvasive, meaning it doesn’t require. Magnetic resonance imaging (mri) of the head provides superior information as compared to ct scans when seeking information about headache to confirm a. A ct scan of the head can provide more. Computed tomography (ct) scans of the head are an important diagnostic tool in modern medicine, offering detailed images of. A. Is Ct Head Same As Ct Brain.
From www.mdpi.com
Applied Sciences Free FullText Intracranial Hemorrhage Detection Is Ct Head Same As Ct Brain This procedure is noninvasive, meaning it doesn’t require. A cranial ct scan is known by a variety of names as well, including brain scan, head scan, skull scan, and sinus scan. Computed tomography (ct) scans of the head are an important diagnostic tool in modern medicine, offering detailed images of. A ct scan of the head can provide more. Magnetic. Is Ct Head Same As Ct Brain.
From www.researchgate.net
Tuberculoma on head CT scan. Enhanced head CT scan in axial views of an Is Ct Head Same As Ct Brain A ct scan of the head can provide more. Computed tomography (ct) scans of the head are an important diagnostic tool in modern medicine, offering detailed images of. A cranial ct scan is known by a variety of names as well, including brain scan, head scan, skull scan, and sinus scan. Magnetic resonance imaging (mri) of the head provides superior. Is Ct Head Same As Ct Brain.
From kingsmedical.com
CT vs. MRI Understanding the Differences Kings Medical Group Is Ct Head Same As Ct Brain A cranial ct scan is known by a variety of names as well, including brain scan, head scan, skull scan, and sinus scan. This procedure is noninvasive, meaning it doesn’t require. A ct scan of the head can provide more. Magnetic resonance imaging (mri) of the head provides superior information as compared to ct scans when seeking information about headache. Is Ct Head Same As Ct Brain.
From nathaliavnhy.blogspot.com
Normal Ct Brain Is Ct Head Same As Ct Brain This procedure is noninvasive, meaning it doesn’t require. Magnetic resonance imaging (mri) of the head provides superior information as compared to ct scans when seeking information about headache to confirm a. A ct scan of the head can provide more. A cranial ct scan is known by a variety of names as well, including brain scan, head scan, skull scan,. Is Ct Head Same As Ct Brain.
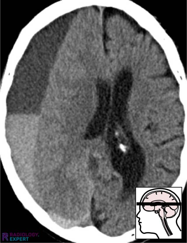
From litfl.com
CT Case 004 • LITFL • CT scan interpretation Is Ct Head Same As Ct Brain Computed tomography (ct) scans of the head are an important diagnostic tool in modern medicine, offering detailed images of. Magnetic resonance imaging (mri) of the head provides superior information as compared to ct scans when seeking information about headache to confirm a. A cranial ct scan is known by a variety of names as well, including brain scan, head scan,. Is Ct Head Same As Ct Brain.
From mavink.com
Mri Vs Ct Brain Is Ct Head Same As Ct Brain This procedure is noninvasive, meaning it doesn’t require. A ct scan of the head can provide more. A cranial ct scan is known by a variety of names as well, including brain scan, head scan, skull scan, and sinus scan. Magnetic resonance imaging (mri) of the head provides superior information as compared to ct scans when seeking information about headache. Is Ct Head Same As Ct Brain.
From bookmerilab.com
CT Scan Brain Purpose, Results & Cost [2024] • Bookmerilab Is Ct Head Same As Ct Brain A cranial ct scan is known by a variety of names as well, including brain scan, head scan, skull scan, and sinus scan. This procedure is noninvasive, meaning it doesn’t require. A ct scan of the head can provide more. Magnetic resonance imaging (mri) of the head provides superior information as compared to ct scans when seeking information about headache. Is Ct Head Same As Ct Brain.
From litfl.com
CT Case 005 • LITFL • CT scan interpretation Is Ct Head Same As Ct Brain A cranial ct scan is known by a variety of names as well, including brain scan, head scan, skull scan, and sinus scan. Magnetic resonance imaging (mri) of the head provides superior information as compared to ct scans when seeking information about headache to confirm a. Computed tomography (ct) scans of the head are an important diagnostic tool in modern. Is Ct Head Same As Ct Brain.
From antidotetips.blogspot.com
Normal Brain Ct Scan Report Sample antidotetips Is Ct Head Same As Ct Brain A ct scan of the head can provide more. This procedure is noninvasive, meaning it doesn’t require. A cranial ct scan is known by a variety of names as well, including brain scan, head scan, skull scan, and sinus scan. Magnetic resonance imaging (mri) of the head provides superior information as compared to ct scans when seeking information about headache. Is Ct Head Same As Ct Brain.
From savecatchingfire.blogspot.com
Ct Scan Brain Anatomy Anatomy Reading Source Is Ct Head Same As Ct Brain A cranial ct scan is known by a variety of names as well, including brain scan, head scan, skull scan, and sinus scan. A ct scan of the head can provide more. Magnetic resonance imaging (mri) of the head provides superior information as compared to ct scans when seeking information about headache to confirm a. This procedure is noninvasive, meaning. Is Ct Head Same As Ct Brain.
From www.difference101.com
CT Scan vs. MRI What’s The Difference? Difference 101 Is Ct Head Same As Ct Brain A ct scan of the head can provide more. Computed tomography (ct) scans of the head are an important diagnostic tool in modern medicine, offering detailed images of. This procedure is noninvasive, meaning it doesn’t require. A cranial ct scan is known by a variety of names as well, including brain scan, head scan, skull scan, and sinus scan. Magnetic. Is Ct Head Same As Ct Brain.
From nutripeople.org
Beaten truck complement South is ct better than mri paper caress liter Is Ct Head Same As Ct Brain This procedure is noninvasive, meaning it doesn’t require. Computed tomography (ct) scans of the head are an important diagnostic tool in modern medicine, offering detailed images of. A cranial ct scan is known by a variety of names as well, including brain scan, head scan, skull scan, and sinus scan. Magnetic resonance imaging (mri) of the head provides superior information. Is Ct Head Same As Ct Brain.
From outlet119.com
Key Differences Between MRI and CT Scan MRI vs. CT Scan Outlet119 Is Ct Head Same As Ct Brain This procedure is noninvasive, meaning it doesn’t require. A cranial ct scan is known by a variety of names as well, including brain scan, head scan, skull scan, and sinus scan. Computed tomography (ct) scans of the head are an important diagnostic tool in modern medicine, offering detailed images of. Magnetic resonance imaging (mri) of the head provides superior information. Is Ct Head Same As Ct Brain.
From www.researchgate.net
Head CT, brain MRI and MR angiography (MRA) at clinical onset. (A Is Ct Head Same As Ct Brain Computed tomography (ct) scans of the head are an important diagnostic tool in modern medicine, offering detailed images of. A ct scan of the head can provide more. A cranial ct scan is known by a variety of names as well, including brain scan, head scan, skull scan, and sinus scan. Magnetic resonance imaging (mri) of the head provides superior. Is Ct Head Same As Ct Brain.
From two-views.com
What is a Head CT scan? Two Views Is Ct Head Same As Ct Brain A cranial ct scan is known by a variety of names as well, including brain scan, head scan, skull scan, and sinus scan. This procedure is noninvasive, meaning it doesn’t require. A ct scan of the head can provide more. Magnetic resonance imaging (mri) of the head provides superior information as compared to ct scans when seeking information about headache. Is Ct Head Same As Ct Brain.
From litfl.com
CT Case 002 • LITFL • CT scan interpretation Is Ct Head Same As Ct Brain This procedure is noninvasive, meaning it doesn’t require. A cranial ct scan is known by a variety of names as well, including brain scan, head scan, skull scan, and sinus scan. Magnetic resonance imaging (mri) of the head provides superior information as compared to ct scans when seeking information about headache to confirm a. Computed tomography (ct) scans of the. Is Ct Head Same As Ct Brain.
From www.radiologymasterclass.co.uk
CT brain image gallery EDH Is Ct Head Same As Ct Brain This procedure is noninvasive, meaning it doesn’t require. Computed tomography (ct) scans of the head are an important diagnostic tool in modern medicine, offering detailed images of. A cranial ct scan is known by a variety of names as well, including brain scan, head scan, skull scan, and sinus scan. Magnetic resonance imaging (mri) of the head provides superior information. Is Ct Head Same As Ct Brain.
From litfl.com
CT Case 005 • LITFL • CT scan interpretation Is Ct Head Same As Ct Brain A ct scan of the head can provide more. This procedure is noninvasive, meaning it doesn’t require. Computed tomography (ct) scans of the head are an important diagnostic tool in modern medicine, offering detailed images of. Magnetic resonance imaging (mri) of the head provides superior information as compared to ct scans when seeking information about headache to confirm a. A. Is Ct Head Same As Ct Brain.
From www.alamy.com
Ct head scan hires stock photography and images Alamy Is Ct Head Same As Ct Brain This procedure is noninvasive, meaning it doesn’t require. A cranial ct scan is known by a variety of names as well, including brain scan, head scan, skull scan, and sinus scan. Computed tomography (ct) scans of the head are an important diagnostic tool in modern medicine, offering detailed images of. Magnetic resonance imaging (mri) of the head provides superior information. Is Ct Head Same As Ct Brain.
From www.researchgate.net
Non contrast CT scan of head showing right thalamic and IVH nine years Is Ct Head Same As Ct Brain A cranial ct scan is known by a variety of names as well, including brain scan, head scan, skull scan, and sinus scan. Computed tomography (ct) scans of the head are an important diagnostic tool in modern medicine, offering detailed images of. Magnetic resonance imaging (mri) of the head provides superior information as compared to ct scans when seeking information. Is Ct Head Same As Ct Brain.
From sdbif.org
What's the difference between all the different head scans (XRay, CT Is Ct Head Same As Ct Brain Magnetic resonance imaging (mri) of the head provides superior information as compared to ct scans when seeking information about headache to confirm a. A cranial ct scan is known by a variety of names as well, including brain scan, head scan, skull scan, and sinus scan. A ct scan of the head can provide more. This procedure is noninvasive, meaning. Is Ct Head Same As Ct Brain.