Stress Fracture Time To Heal . During healing, you’ll likely wear. some stress fractures don't heal properly, which can cause chronic problems. Many stress fractures of the foot or ankle will heel in 4 to 6 weeks. If underlying causes are not. stress fractures are tiny cracks in bones often caused by overuse or osteoporosis. It can take six to eight weeks to heal,. Learn how to prevent and. learn about the causes, symptoms, and treatment of stress fractures in the foot and ankle, which are small cracks or bruises in the bones caused by overuse. how long does it take for a stress fracture to heal? most people heal from a calcaneal stress fracture within a few months.
from healthjade.net
how long does it take for a stress fracture to heal? most people heal from a calcaneal stress fracture within a few months. It can take six to eight weeks to heal,. Many stress fractures of the foot or ankle will heel in 4 to 6 weeks. During healing, you’ll likely wear. some stress fractures don't heal properly, which can cause chronic problems. Learn how to prevent and. stress fractures are tiny cracks in bones often caused by overuse or osteoporosis. learn about the causes, symptoms, and treatment of stress fractures in the foot and ankle, which are small cracks or bruises in the bones caused by overuse. If underlying causes are not.
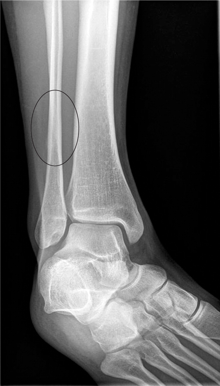
Broken Ankle Fractured Ankle, Broken Foot, Stress Fracture Ankle
Stress Fracture Time To Heal learn about the causes, symptoms, and treatment of stress fractures in the foot and ankle, which are small cracks or bruises in the bones caused by overuse. During healing, you’ll likely wear. most people heal from a calcaneal stress fracture within a few months. learn about the causes, symptoms, and treatment of stress fractures in the foot and ankle, which are small cracks or bruises in the bones caused by overuse. Many stress fractures of the foot or ankle will heel in 4 to 6 weeks. some stress fractures don't heal properly, which can cause chronic problems. It can take six to eight weeks to heal,. If underlying causes are not. how long does it take for a stress fracture to heal? stress fractures are tiny cracks in bones often caused by overuse or osteoporosis. Learn how to prevent and.
From healthjade.net
Broken Ankle Fractured Ankle, Broken Foot, Stress Fracture Ankle Stress Fracture Time To Heal stress fractures are tiny cracks in bones often caused by overuse or osteoporosis. most people heal from a calcaneal stress fracture within a few months. If underlying causes are not. some stress fractures don't heal properly, which can cause chronic problems. learn about the causes, symptoms, and treatment of stress fractures in the foot and ankle,. Stress Fracture Time To Heal.
From www.pinterest.com
Metatarsal Stress Fracture Causes, Picture, Treatment and Prevention Stress Fracture Time To Heal During healing, you’ll likely wear. It can take six to eight weeks to heal,. some stress fractures don't heal properly, which can cause chronic problems. Learn how to prevent and. stress fractures are tiny cracks in bones often caused by overuse or osteoporosis. how long does it take for a stress fracture to heal? most people. Stress Fracture Time To Heal.
From www.pinterest.com
Jones Fracture FootEducation in 2021 Jones fracture, Fracture Stress Fracture Time To Heal some stress fractures don't heal properly, which can cause chronic problems. stress fractures are tiny cracks in bones often caused by overuse or osteoporosis. most people heal from a calcaneal stress fracture within a few months. Many stress fractures of the foot or ankle will heel in 4 to 6 weeks. If underlying causes are not. During. Stress Fracture Time To Heal.
From onwardphysicaltherapy.com
Stress Fractures in Runners Onward Physical Therapy Stress Fracture Time To Heal some stress fractures don't heal properly, which can cause chronic problems. It can take six to eight weeks to heal,. stress fractures are tiny cracks in bones often caused by overuse or osteoporosis. how long does it take for a stress fracture to heal? Learn how to prevent and. During healing, you’ll likely wear. If underlying causes. Stress Fracture Time To Heal.
From www.floridaortho.com
Stress Fracture in the Foot Florida Orthopaedic Institute Stress Fracture Time To Heal learn about the causes, symptoms, and treatment of stress fractures in the foot and ankle, which are small cracks or bruises in the bones caused by overuse. some stress fractures don't heal properly, which can cause chronic problems. how long does it take for a stress fracture to heal? Many stress fractures of the foot or ankle. Stress Fracture Time To Heal.
From www.orthopedic.theclinics.com
Tibial Stress Fractures in Athletes Orthopedic Clinics Stress Fracture Time To Heal learn about the causes, symptoms, and treatment of stress fractures in the foot and ankle, which are small cracks or bruises in the bones caused by overuse. Learn how to prevent and. some stress fractures don't heal properly, which can cause chronic problems. Many stress fractures of the foot or ankle will heel in 4 to 6 weeks.. Stress Fracture Time To Heal.
From www.thefeetpeople.com.au
Stress Fracture Causes, Symptoms & Treatment The Feet People Podiatry Stress Fracture Time To Heal Many stress fractures of the foot or ankle will heel in 4 to 6 weeks. Learn how to prevent and. most people heal from a calcaneal stress fracture within a few months. how long does it take for a stress fracture to heal? learn about the causes, symptoms, and treatment of stress fractures in the foot and. Stress Fracture Time To Heal.
From giomnkgut.blob.core.windows.net
Stress Fracture Sporting Example at Yvonne Christensen blog Stress Fracture Time To Heal learn about the causes, symptoms, and treatment of stress fractures in the foot and ankle, which are small cracks or bruises in the bones caused by overuse. If underlying causes are not. It can take six to eight weeks to heal,. some stress fractures don't heal properly, which can cause chronic problems. stress fractures are tiny cracks. Stress Fracture Time To Heal.
From visamedicure.com
Stress Fracture Ankle & Foot ClinicDiabetes Foot clinic India Stress Fracture Time To Heal During healing, you’ll likely wear. how long does it take for a stress fracture to heal? Learn how to prevent and. Many stress fractures of the foot or ankle will heel in 4 to 6 weeks. some stress fractures don't heal properly, which can cause chronic problems. most people heal from a calcaneal stress fracture within a. Stress Fracture Time To Heal.
From greatneckfamilyfootcare.com
Metatarsal Fractures and Stress Fractures Great Neck Family Foot Care Stress Fracture Time To Heal some stress fractures don't heal properly, which can cause chronic problems. learn about the causes, symptoms, and treatment of stress fractures in the foot and ankle, which are small cracks or bruises in the bones caused by overuse. most people heal from a calcaneal stress fracture within a few months. During healing, you’ll likely wear. It can. Stress Fracture Time To Heal.
From www.siiora.com
Stress Fracture A Detailed Guide Stress Fracture Time To Heal Learn how to prevent and. If underlying causes are not. some stress fractures don't heal properly, which can cause chronic problems. Many stress fractures of the foot or ankle will heel in 4 to 6 weeks. how long does it take for a stress fracture to heal? During healing, you’ll likely wear. most people heal from a. Stress Fracture Time To Heal.
From james-mccormack.com
Calcaneus Fracture Symptoms & Treatment by a Foot Specialist Stress Fracture Time To Heal most people heal from a calcaneal stress fracture within a few months. Many stress fractures of the foot or ankle will heel in 4 to 6 weeks. Learn how to prevent and. stress fractures are tiny cracks in bones often caused by overuse or osteoporosis. some stress fractures don't heal properly, which can cause chronic problems. . Stress Fracture Time To Heal.
From www.youtube.com
How long to heal stress reaction vs stress fracture in a runner YouTube Stress Fracture Time To Heal Many stress fractures of the foot or ankle will heel in 4 to 6 weeks. most people heal from a calcaneal stress fracture within a few months. It can take six to eight weeks to heal,. some stress fractures don't heal properly, which can cause chronic problems. Learn how to prevent and. how long does it take. Stress Fracture Time To Heal.
From fdalepteast.com
Healing From Stress Fractures Farmingdale Physical Therapy EAST Stress Fracture Time To Heal how long does it take for a stress fracture to heal? Many stress fractures of the foot or ankle will heel in 4 to 6 weeks. some stress fractures don't heal properly, which can cause chronic problems. most people heal from a calcaneal stress fracture within a few months. Learn how to prevent and. During healing, you’ll. Stress Fracture Time To Heal.
From p-ortho.com
Stress Fracture Singapore Treatment Foot Surgeon Relieve Leg Pain Stress Fracture Time To Heal some stress fractures don't heal properly, which can cause chronic problems. stress fractures are tiny cracks in bones often caused by overuse or osteoporosis. If underlying causes are not. how long does it take for a stress fracture to heal? During healing, you’ll likely wear. Many stress fractures of the foot or ankle will heel in 4. Stress Fracture Time To Heal.
From www.youtube.com
How long does it take a stress fracture to heal? YouTube Stress Fracture Time To Heal most people heal from a calcaneal stress fracture within a few months. It can take six to eight weeks to heal,. learn about the causes, symptoms, and treatment of stress fractures in the foot and ankle, which are small cracks or bruises in the bones caused by overuse. Learn how to prevent and. how long does it. Stress Fracture Time To Heal.
From www.gymfreakz.co.uk
How to heal a stress fracture Find the Answer Here Stress Fracture Time To Heal It can take six to eight weeks to heal,. stress fractures are tiny cracks in bones often caused by overuse or osteoporosis. If underlying causes are not. Many stress fractures of the foot or ankle will heel in 4 to 6 weeks. some stress fractures don't heal properly, which can cause chronic problems. learn about the causes,. Stress Fracture Time To Heal.
From marathonhandbook.com
Stress Fracture Guide How Long Does A Stress Fracture Take To Heal? Stress Fracture Time To Heal Many stress fractures of the foot or ankle will heel in 4 to 6 weeks. It can take six to eight weeks to heal,. stress fractures are tiny cracks in bones often caused by overuse or osteoporosis. most people heal from a calcaneal stress fracture within a few months. Learn how to prevent and. If underlying causes are. Stress Fracture Time To Heal.
From kinedarbois.fr
How to heal a stress fracture in shin? Physio'Tips Stress Fracture Time To Heal stress fractures are tiny cracks in bones often caused by overuse or osteoporosis. learn about the causes, symptoms, and treatment of stress fractures in the foot and ankle, which are small cracks or bruises in the bones caused by overuse. most people heal from a calcaneal stress fracture within a few months. It can take six to. Stress Fracture Time To Heal.
From www.davidgordonortho.co.uk
Stress Fractures Ankle Fractures Hertfordshire UK Stress Fracture Time To Heal Many stress fractures of the foot or ankle will heel in 4 to 6 weeks. some stress fractures don't heal properly, which can cause chronic problems. how long does it take for a stress fracture to heal? stress fractures are tiny cracks in bones often caused by overuse or osteoporosis. If underlying causes are not. most. Stress Fracture Time To Heal.
From vitalisphysiotherapy.com.au
What is a stress fracture and how to avoid it? Vitalis Physiotherapy Stress Fracture Time To Heal It can take six to eight weeks to heal,. If underlying causes are not. Many stress fractures of the foot or ankle will heel in 4 to 6 weeks. learn about the causes, symptoms, and treatment of stress fractures in the foot and ankle, which are small cracks or bruises in the bones caused by overuse. stress fractures. Stress Fracture Time To Heal.
From www.slideserve.com
PPT Stress Fracture of the Heel Bone Symptoms & Treatment Stress Fracture Time To Heal some stress fractures don't heal properly, which can cause chronic problems. During healing, you’ll likely wear. It can take six to eight weeks to heal,. learn about the causes, symptoms, and treatment of stress fractures in the foot and ankle, which are small cracks or bruises in the bones caused by overuse. If underlying causes are not. . Stress Fracture Time To Heal.
From www.drugs.com
Stress fractures Disease Reference Guide Stress Fracture Time To Heal some stress fractures don't heal properly, which can cause chronic problems. most people heal from a calcaneal stress fracture within a few months. During healing, you’ll likely wear. If underlying causes are not. Learn how to prevent and. learn about the causes, symptoms, and treatment of stress fractures in the foot and ankle, which are small cracks. Stress Fracture Time To Heal.
From fracturesandbonehealing.blogspot.com
How long take stress fracture to heal? Stress Fracture Time To Heal Learn how to prevent and. stress fractures are tiny cracks in bones often caused by overuse or osteoporosis. It can take six to eight weeks to heal,. some stress fractures don't heal properly, which can cause chronic problems. Many stress fractures of the foot or ankle will heel in 4 to 6 weeks. If underlying causes are not.. Stress Fracture Time To Heal.
From lonemind.com
Stress Fracture Foot Healing Time How To Get Rid Of A Stress Fracture Stress Fracture Time To Heal stress fractures are tiny cracks in bones often caused by overuse or osteoporosis. During healing, you’ll likely wear. how long does it take for a stress fracture to heal? Many stress fractures of the foot or ankle will heel in 4 to 6 weeks. If underlying causes are not. most people heal from a calcaneal stress fracture. Stress Fracture Time To Heal.
From www.supsalv.org
How Long Do Stress Fractures Take to Heal? A Comprehensive Guide The Stress Fracture Time To Heal stress fractures are tiny cracks in bones often caused by overuse or osteoporosis. some stress fractures don't heal properly, which can cause chronic problems. During healing, you’ll likely wear. how long does it take for a stress fracture to heal? learn about the causes, symptoms, and treatment of stress fractures in the foot and ankle, which. Stress Fracture Time To Heal.
From www.dovemed.com
Stress Fracture Stress Fracture Time To Heal Many stress fractures of the foot or ankle will heel in 4 to 6 weeks. Learn how to prevent and. If underlying causes are not. stress fractures are tiny cracks in bones often caused by overuse or osteoporosis. During healing, you’ll likely wear. learn about the causes, symptoms, and treatment of stress fractures in the foot and ankle,. Stress Fracture Time To Heal.
From www.practo.com
Stress Fracture of the Heel Bone Stress Fracture Time To Heal Many stress fractures of the foot or ankle will heel in 4 to 6 weeks. If underlying causes are not. Learn how to prevent and. learn about the causes, symptoms, and treatment of stress fractures in the foot and ankle, which are small cracks or bruises in the bones caused by overuse. It can take six to eight weeks. Stress Fracture Time To Heal.
From orthopaedicprinciples.com
Principles of Fracture healing — Stress Fracture Time To Heal learn about the causes, symptoms, and treatment of stress fractures in the foot and ankle, which are small cracks or bruises in the bones caused by overuse. Many stress fractures of the foot or ankle will heel in 4 to 6 weeks. most people heal from a calcaneal stress fracture within a few months. Learn how to prevent. Stress Fracture Time To Heal.
From runnerstribe.com
stress fracture Runner's Tribe Stress Fracture Time To Heal Learn how to prevent and. learn about the causes, symptoms, and treatment of stress fractures in the foot and ankle, which are small cracks or bruises in the bones caused by overuse. If underlying causes are not. During healing, you’ll likely wear. how long does it take for a stress fracture to heal? some stress fractures don't. Stress Fracture Time To Heal.
From www.youtube.com
BEST Metatarsal Stress Fracture Rehab Exercises I've Been Doing (How To Stress Fracture Time To Heal During healing, you’ll likely wear. some stress fractures don't heal properly, which can cause chronic problems. It can take six to eight weeks to heal,. most people heal from a calcaneal stress fracture within a few months. learn about the causes, symptoms, and treatment of stress fractures in the foot and ankle, which are small cracks or. Stress Fracture Time To Heal.
From www.epainassist.com
Metatarsal Stress Fracture Treatment, Symptoms, Recovery, Causes Stress Fracture Time To Heal stress fractures are tiny cracks in bones often caused by overuse or osteoporosis. During healing, you’ll likely wear. how long does it take for a stress fracture to heal? Many stress fractures of the foot or ankle will heel in 4 to 6 weeks. most people heal from a calcaneal stress fracture within a few months. Learn. Stress Fracture Time To Heal.
From www.supsalv.org
How to Heal a Stress Fracture in Foot Quick Tips, Home Remedies and Stress Fracture Time To Heal some stress fractures don't heal properly, which can cause chronic problems. If underlying causes are not. It can take six to eight weeks to heal,. Learn how to prevent and. how long does it take for a stress fracture to heal? Many stress fractures of the foot or ankle will heel in 4 to 6 weeks. most. Stress Fracture Time To Heal.
From shellharbourpodiatry.com.au
Stress fractures Shellharbour Podiatry Your Local Podiatrists Stress Fracture Time To Heal how long does it take for a stress fracture to heal? If underlying causes are not. stress fractures are tiny cracks in bones often caused by overuse or osteoporosis. Learn how to prevent and. learn about the causes, symptoms, and treatment of stress fractures in the foot and ankle, which are small cracks or bruises in the. Stress Fracture Time To Heal.
From www.youtube.com
How Do Stress Fractures Heal? YouTube Stress Fracture Time To Heal some stress fractures don't heal properly, which can cause chronic problems. how long does it take for a stress fracture to heal? stress fractures are tiny cracks in bones often caused by overuse or osteoporosis. Many stress fractures of the foot or ankle will heel in 4 to 6 weeks. It can take six to eight weeks. Stress Fracture Time To Heal.