Nasogastric Tube Problems . What is a feeding tube? A nasogastric (ng) tube is a feeding tube inserted through your child's nostril. A nasogastric tube (ng tube) is a thin, flexible plastic tube that’s used for temporary medical purposes. Enteric tubes that will be removed within a short period of time can also be passed through the mouth (orogastric). The most common complications related to the placement of nasogastric tubes are discomfort, sinusitis, or epistaxis, all of which typically resolve spontaneously with the removal. A nasogastric tube (ng tube) can be used for feedings when your child is not able to eat or drink enough by mouth. What is a nasogastric tube? A feeding tube is a flexible plastic tube placed into your stomach or bowel to help you get nutrition. Your healthcare provider may suggest an ng tube if your bowels aren’t functioning properly, you’re unable to eat enough to meet your nutritional needs, or are unable to swallow.
from www.youtube.com
A nasogastric (ng) tube is a feeding tube inserted through your child's nostril. A nasogastric tube (ng tube) can be used for feedings when your child is not able to eat or drink enough by mouth. What is a nasogastric tube? A nasogastric tube (ng tube) is a thin, flexible plastic tube that’s used for temporary medical purposes. Your healthcare provider may suggest an ng tube if your bowels aren’t functioning properly, you’re unable to eat enough to meet your nutritional needs, or are unable to swallow. Enteric tubes that will be removed within a short period of time can also be passed through the mouth (orogastric). A feeding tube is a flexible plastic tube placed into your stomach or bowel to help you get nutrition. The most common complications related to the placement of nasogastric tubes are discomfort, sinusitis, or epistaxis, all of which typically resolve spontaneously with the removal. What is a feeding tube?
Nasogastric Tube Indications Contraindications Complications Procedure YouTube
Nasogastric Tube Problems What is a feeding tube? A nasogastric (ng) tube is a feeding tube inserted through your child's nostril. What is a nasogastric tube? A feeding tube is a flexible plastic tube placed into your stomach or bowel to help you get nutrition. What is a feeding tube? Your healthcare provider may suggest an ng tube if your bowels aren’t functioning properly, you’re unable to eat enough to meet your nutritional needs, or are unable to swallow. A nasogastric tube (ng tube) is a thin, flexible plastic tube that’s used for temporary medical purposes. A nasogastric tube (ng tube) can be used for feedings when your child is not able to eat or drink enough by mouth. The most common complications related to the placement of nasogastric tubes are discomfort, sinusitis, or epistaxis, all of which typically resolve spontaneously with the removal. Enteric tubes that will be removed within a short period of time can also be passed through the mouth (orogastric).
From www.dxline.info
Nasogastric feeding tube . Causes, symptoms, treatment Nasogastric feeding tube Nasogastric Tube Problems What is a nasogastric tube? Enteric tubes that will be removed within a short period of time can also be passed through the mouth (orogastric). A nasogastric tube (ng tube) can be used for feedings when your child is not able to eat or drink enough by mouth. The most common complications related to the placement of nasogastric tubes are. Nasogastric Tube Problems.
From publishing.rcseng.ac.uk
Gastric perforation in an adult male following nasogastric intubation The Annals of The Royal Nasogastric Tube Problems A nasogastric tube (ng tube) is a thin, flexible plastic tube that’s used for temporary medical purposes. The most common complications related to the placement of nasogastric tubes are discomfort, sinusitis, or epistaxis, all of which typically resolve spontaneously with the removal. What is a feeding tube? A nasogastric tube (ng tube) can be used for feedings when your child. Nasogastric Tube Problems.
From dxoxvnkyo.blob.core.windows.net
Clamping Nasogastric Tube at Thomas Boller blog Nasogastric Tube Problems What is a nasogastric tube? Your healthcare provider may suggest an ng tube if your bowels aren’t functioning properly, you’re unable to eat enough to meet your nutritional needs, or are unable to swallow. A nasogastric tube (ng tube) can be used for feedings when your child is not able to eat or drink enough by mouth. A nasogastric (ng). Nasogastric Tube Problems.
From www.youtube.com
Complications of Nasogastric Tube Insertion YouTube Nasogastric Tube Problems A feeding tube is a flexible plastic tube placed into your stomach or bowel to help you get nutrition. What is a nasogastric tube? A nasogastric tube (ng tube) is a thin, flexible plastic tube that’s used for temporary medical purposes. Enteric tubes that will be removed within a short period of time can also be passed through the mouth. Nasogastric Tube Problems.
From mavink.com
Nasogastric Tube X Ray Nasogastric Tube Problems A feeding tube is a flexible plastic tube placed into your stomach or bowel to help you get nutrition. A nasogastric tube (ng tube) is a thin, flexible plastic tube that’s used for temporary medical purposes. A nasogastric (ng) tube is a feeding tube inserted through your child's nostril. A nasogastric tube (ng tube) can be used for feedings when. Nasogastric Tube Problems.
From www.peertechzpublications.org
A new method of placing nasogastric tubes in patients at high risk of epistaxis Nasogastric Tube Problems Your healthcare provider may suggest an ng tube if your bowels aren’t functioning properly, you’re unable to eat enough to meet your nutritional needs, or are unable to swallow. A nasogastric tube (ng tube) can be used for feedings when your child is not able to eat or drink enough by mouth. A nasogastric (ng) tube is a feeding tube. Nasogastric Tube Problems.
From www.journalmc.org
Down the Wrong Way An Important Complication of Nasogastric Tube Placement Moorthy Journal Nasogastric Tube Problems A nasogastric tube (ng tube) can be used for feedings when your child is not able to eat or drink enough by mouth. Enteric tubes that will be removed within a short period of time can also be passed through the mouth (orogastric). A feeding tube is a flexible plastic tube placed into your stomach or bowel to help you. Nasogastric Tube Problems.
From www.slideshare.net
Nasogastric intubation Nasogastric Tube Problems Your healthcare provider may suggest an ng tube if your bowels aren’t functioning properly, you’re unable to eat enough to meet your nutritional needs, or are unable to swallow. What is a feeding tube? A feeding tube is a flexible plastic tube placed into your stomach or bowel to help you get nutrition. The most common complications related to the. Nasogastric Tube Problems.
From www.youtube.com
Nursing care of nasogastric tube YouTube Nasogastric Tube Problems The most common complications related to the placement of nasogastric tubes are discomfort, sinusitis, or epistaxis, all of which typically resolve spontaneously with the removal. What is a nasogastric tube? Enteric tubes that will be removed within a short period of time can also be passed through the mouth (orogastric). A nasogastric tube (ng tube) is a thin, flexible plastic. Nasogastric Tube Problems.
From www.nursingtimes.net
Nasogastric tubes 2 risks and guidance on avoiding and dealing with complications Nursing Times Nasogastric Tube Problems What is a nasogastric tube? Your healthcare provider may suggest an ng tube if your bowels aren’t functioning properly, you’re unable to eat enough to meet your nutritional needs, or are unable to swallow. A nasogastric tube (ng tube) can be used for feedings when your child is not able to eat or drink enough by mouth. A nasogastric (ng). Nasogastric Tube Problems.
From www.cureus.com
Knotted Nasogastric Tube Removed With a Bronchoscope Cureus Nasogastric Tube Problems A nasogastric (ng) tube is a feeding tube inserted through your child's nostril. Your healthcare provider may suggest an ng tube if your bowels aren’t functioning properly, you’re unable to eat enough to meet your nutritional needs, or are unable to swallow. A feeding tube is a flexible plastic tube placed into your stomach or bowel to help you get. Nasogastric Tube Problems.
From www.youtube.com
Nasogastric (NG) Tube Insertion OSCE Guide UKMLA CPSA YouTube Nasogastric Tube Problems Your healthcare provider may suggest an ng tube if your bowels aren’t functioning properly, you’re unable to eat enough to meet your nutritional needs, or are unable to swallow. A nasogastric (ng) tube is a feeding tube inserted through your child's nostril. A nasogastric tube (ng tube) is a thin, flexible plastic tube that’s used for temporary medical purposes. What. Nasogastric Tube Problems.
From journal.medizzy.com
A Misplaced Nasogastric Tube! MEDizzy Journal Nasogastric Tube Problems Enteric tubes that will be removed within a short period of time can also be passed through the mouth (orogastric). Your healthcare provider may suggest an ng tube if your bowels aren’t functioning properly, you’re unable to eat enough to meet your nutritional needs, or are unable to swallow. A nasogastric (ng) tube is a feeding tube inserted through your. Nasogastric Tube Problems.
From www.youtube.com
Tube Feeding Nursing Calculations Problems Dilution Enteral (PEG and Nasogastric NG) YouTube Nasogastric Tube Problems A nasogastric tube (ng tube) is a thin, flexible plastic tube that’s used for temporary medical purposes. What is a feeding tube? A feeding tube is a flexible plastic tube placed into your stomach or bowel to help you get nutrition. Your healthcare provider may suggest an ng tube if your bowels aren’t functioning properly, you’re unable to eat enough. Nasogastric Tube Problems.
From www.doctorlansford.com
Information on Gastric Feeding Tube and Nasogastric Feeding Tube Nasogastric Tube Problems A feeding tube is a flexible plastic tube placed into your stomach or bowel to help you get nutrition. Enteric tubes that will be removed within a short period of time can also be passed through the mouth (orogastric). A nasogastric tube (ng tube) can be used for feedings when your child is not able to eat or drink enough. Nasogastric Tube Problems.
From pediatricimaging.org
Pediatric Nasogastric Tube Malfunction / Malposition / Misposition / Misplacement Pediatric Nasogastric Tube Problems The most common complications related to the placement of nasogastric tubes are discomfort, sinusitis, or epistaxis, all of which typically resolve spontaneously with the removal. A feeding tube is a flexible plastic tube placed into your stomach or bowel to help you get nutrition. Enteric tubes that will be removed within a short period of time can also be passed. Nasogastric Tube Problems.
From pediatricimaging.org
Pediatric Nasogastric Tube Malfunction / Malposition / Misposition / Misplacement Pediatric Nasogastric Tube Problems Enteric tubes that will be removed within a short period of time can also be passed through the mouth (orogastric). Your healthcare provider may suggest an ng tube if your bowels aren’t functioning properly, you’re unable to eat enough to meet your nutritional needs, or are unable to swallow. What is a feeding tube? A feeding tube is a flexible. Nasogastric Tube Problems.
From www.wjgnet.com
Bedside ultrasonic localization of the nasogastric tube in a patient with severe COVID19 A Nasogastric Tube Problems What is a nasogastric tube? A nasogastric (ng) tube is a feeding tube inserted through your child's nostril. What is a feeding tube? The most common complications related to the placement of nasogastric tubes are discomfort, sinusitis, or epistaxis, all of which typically resolve spontaneously with the removal. A feeding tube is a flexible plastic tube placed into your stomach. Nasogastric Tube Problems.
From www.slideserve.com
PPT Laryngeal complications of endotracheal intubation PowerPoint Presentation ID211103 Nasogastric Tube Problems Your healthcare provider may suggest an ng tube if your bowels aren’t functioning properly, you’re unable to eat enough to meet your nutritional needs, or are unable to swallow. A nasogastric tube (ng tube) can be used for feedings when your child is not able to eat or drink enough by mouth. What is a nasogastric tube? A nasogastric tube. Nasogastric Tube Problems.
From www.shieldhealthcare.com
Tips to Solving Tube Feeding Complications Shield HealthCare Nasogastric Tube Problems Enteric tubes that will be removed within a short period of time can also be passed through the mouth (orogastric). Your healthcare provider may suggest an ng tube if your bowels aren’t functioning properly, you’re unable to eat enough to meet your nutritional needs, or are unable to swallow. What is a feeding tube? A nasogastric (ng) tube is a. Nasogastric Tube Problems.
From www.youtube.com
Another Trip to the Hospital 🏥🙄 GJ feeding tube problems YouTube Nasogastric Tube Problems Your healthcare provider may suggest an ng tube if your bowels aren’t functioning properly, you’re unable to eat enough to meet your nutritional needs, or are unable to swallow. The most common complications related to the placement of nasogastric tubes are discomfort, sinusitis, or epistaxis, all of which typically resolve spontaneously with the removal. A nasogastric tube (ng tube) can. Nasogastric Tube Problems.
From www.youtube.com
Nasogastric Tube Indications Contraindications Complications Procedure YouTube Nasogastric Tube Problems A feeding tube is a flexible plastic tube placed into your stomach or bowel to help you get nutrition. A nasogastric (ng) tube is a feeding tube inserted through your child's nostril. A nasogastric tube (ng tube) is a thin, flexible plastic tube that’s used for temporary medical purposes. What is a nasogastric tube? Your healthcare provider may suggest an. Nasogastric Tube Problems.
From e-journal.gr
FRACTURE OF NASOGASTRIC TUBE A CASE REPORT ejournal.gr Nasogastric Tube Problems Your healthcare provider may suggest an ng tube if your bowels aren’t functioning properly, you’re unable to eat enough to meet your nutritional needs, or are unable to swallow. What is a feeding tube? What is a nasogastric tube? The most common complications related to the placement of nasogastric tubes are discomfort, sinusitis, or epistaxis, all of which typically resolve. Nasogastric Tube Problems.
From pediatricimaging.org
Pediatric Nasogastric Tube Malfunction / Malposition / Misposition / Misplacement Pediatric Nasogastric Tube Problems The most common complications related to the placement of nasogastric tubes are discomfort, sinusitis, or epistaxis, all of which typically resolve spontaneously with the removal. What is a nasogastric tube? Enteric tubes that will be removed within a short period of time can also be passed through the mouth (orogastric). A nasogastric (ng) tube is a feeding tube inserted through. Nasogastric Tube Problems.
From www.youtube.com
Nasogastric tube misplacement is a problem.. Introducing NGPOD the solution to the problem Nasogastric Tube Problems What is a nasogastric tube? A nasogastric tube (ng tube) can be used for feedings when your child is not able to eat or drink enough by mouth. A nasogastric tube (ng tube) is a thin, flexible plastic tube that’s used for temporary medical purposes. What is a feeding tube? The most common complications related to the placement of nasogastric. Nasogastric Tube Problems.
From dxojejzpg.blob.core.windows.net
When To Remove An Ng Tube at Ernestine Overton blog Nasogastric Tube Problems What is a feeding tube? A nasogastric (ng) tube is a feeding tube inserted through your child's nostril. The most common complications related to the placement of nasogastric tubes are discomfort, sinusitis, or epistaxis, all of which typically resolve spontaneously with the removal. Enteric tubes that will be removed within a short period of time can also be passed through. Nasogastric Tube Problems.
From www.svuhradiology.ie
Malpositioned nasogastric tube Radiology at St. Vincent's University Hospital Nasogastric Tube Problems Enteric tubes that will be removed within a short period of time can also be passed through the mouth (orogastric). What is a feeding tube? A nasogastric tube (ng tube) is a thin, flexible plastic tube that’s used for temporary medical purposes. A feeding tube is a flexible plastic tube placed into your stomach or bowel to help you get. Nasogastric Tube Problems.
From forbesswuzzle.blogspot.com
Stomach Feeding Tube Problem Withgas and Forbes Swuzzle Nasogastric Tube Problems A nasogastric tube (ng tube) is a thin, flexible plastic tube that’s used for temporary medical purposes. A feeding tube is a flexible plastic tube placed into your stomach or bowel to help you get nutrition. The most common complications related to the placement of nasogastric tubes are discomfort, sinusitis, or epistaxis, all of which typically resolve spontaneously with the. Nasogastric Tube Problems.
From pediatricimaging.org
Pediatric Nasogastric Tube Malfunction / Malposition / Misposition / Misplacement Pediatric Nasogastric Tube Problems A nasogastric tube (ng tube) can be used for feedings when your child is not able to eat or drink enough by mouth. What is a feeding tube? A nasogastric (ng) tube is a feeding tube inserted through your child's nostril. The most common complications related to the placement of nasogastric tubes are discomfort, sinusitis, or epistaxis, all of which. Nasogastric Tube Problems.
From www.doctorlansford.com
Information on Gastric Feeding Tube and Nasogastric Feeding Tube Nasogastric Tube Problems Your healthcare provider may suggest an ng tube if your bowels aren’t functioning properly, you’re unable to eat enough to meet your nutritional needs, or are unable to swallow. Enteric tubes that will be removed within a short period of time can also be passed through the mouth (orogastric). What is a nasogastric tube? A feeding tube is a flexible. Nasogastric Tube Problems.
From pediatricimaging.org
Pediatric Nasogastric Tube Malfunction / Malposition / Misposition / Misplacement Pediatric Nasogastric Tube Problems A feeding tube is a flexible plastic tube placed into your stomach or bowel to help you get nutrition. What is a nasogastric tube? A nasogastric (ng) tube is a feeding tube inserted through your child's nostril. Enteric tubes that will be removed within a short period of time can also be passed through the mouth (orogastric). What is a. Nasogastric Tube Problems.
From www.slideserve.com
PPT Gastrointestinal Intubation Nasogastric tubes PowerPoint Presentation ID659224 Nasogastric Tube Problems A nasogastric tube (ng tube) can be used for feedings when your child is not able to eat or drink enough by mouth. A nasogastric (ng) tube is a feeding tube inserted through your child's nostril. Your healthcare provider may suggest an ng tube if your bowels aren’t functioning properly, you’re unable to eat enough to meet your nutritional needs,. Nasogastric Tube Problems.
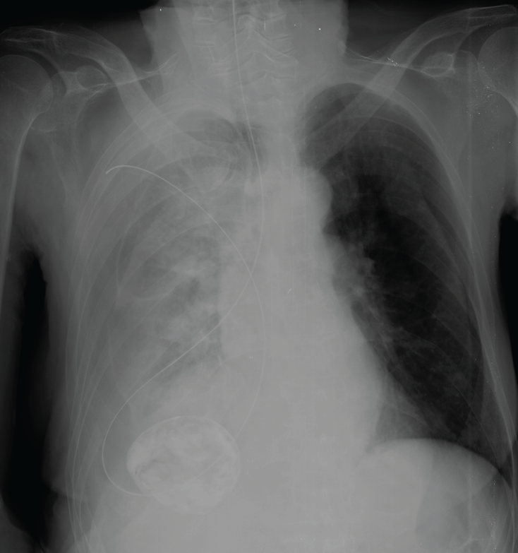
From radiopaedia.org
Misplaced nasogastric tube Image Nasogastric Tube Problems What is a nasogastric tube? Enteric tubes that will be removed within a short period of time can also be passed through the mouth (orogastric). What is a feeding tube? A nasogastric tube (ng tube) can be used for feedings when your child is not able to eat or drink enough by mouth. The most common complications related to the. Nasogastric Tube Problems.
From pediatricimaging.org
Pediatric Nasogastric Tube Malfunction / Malposition / Misposition / Misplacement Pediatric Nasogastric Tube Problems What is a nasogastric tube? A feeding tube is a flexible plastic tube placed into your stomach or bowel to help you get nutrition. The most common complications related to the placement of nasogastric tubes are discomfort, sinusitis, or epistaxis, all of which typically resolve spontaneously with the removal. What is a feeding tube? Enteric tubes that will be removed. Nasogastric Tube Problems.
From www.australiancriticalcare.com
The accuracy of intensive care nurses' interpretation of chest radiographs to recognise Nasogastric Tube Problems A nasogastric tube (ng tube) is a thin, flexible plastic tube that’s used for temporary medical purposes. A nasogastric tube (ng tube) can be used for feedings when your child is not able to eat or drink enough by mouth. A nasogastric (ng) tube is a feeding tube inserted through your child's nostril. A feeding tube is a flexible plastic. Nasogastric Tube Problems.