Endodontic Abscess . Describe the etiologies that can lead to the formation of a dental abscess. An abscessed tooth is an infection in or around the root of the tooth that may be painful. Learn how endodontists treat abscessed teeth with root. Learn how to diagnose and treat endodontic infections, including abscesses, with root canal therapy and antibiotics. If you have one, it won’t get better on its own. Summarize the examination and evaluation process for dental abscess, including any necessary. Anyone, from children to the elderly, can get one. A tooth abscess does not miraculously appear out of thin air because there. An abscessed tooth is one that is infected in or around the root, creating a pocket of pus.
from thesandford.com
Learn how to diagnose and treat endodontic infections, including abscesses, with root canal therapy and antibiotics. An abscessed tooth is an infection in or around the root of the tooth that may be painful. Learn how endodontists treat abscessed teeth with root. Summarize the examination and evaluation process for dental abscess, including any necessary. Describe the etiologies that can lead to the formation of a dental abscess. A tooth abscess does not miraculously appear out of thin air because there. An abscessed tooth is one that is infected in or around the root, creating a pocket of pus. Anyone, from children to the elderly, can get one. If you have one, it won’t get better on its own.
Endodontics The Sandford Bexleyheath
Endodontic Abscess An abscessed tooth is one that is infected in or around the root, creating a pocket of pus. Summarize the examination and evaluation process for dental abscess, including any necessary. Learn how endodontists treat abscessed teeth with root. A tooth abscess does not miraculously appear out of thin air because there. Anyone, from children to the elderly, can get one. Describe the etiologies that can lead to the formation of a dental abscess. Learn how to diagnose and treat endodontic infections, including abscesses, with root canal therapy and antibiotics. If you have one, it won’t get better on its own. An abscessed tooth is an infection in or around the root of the tooth that may be painful. An abscessed tooth is one that is infected in or around the root, creating a pocket of pus.
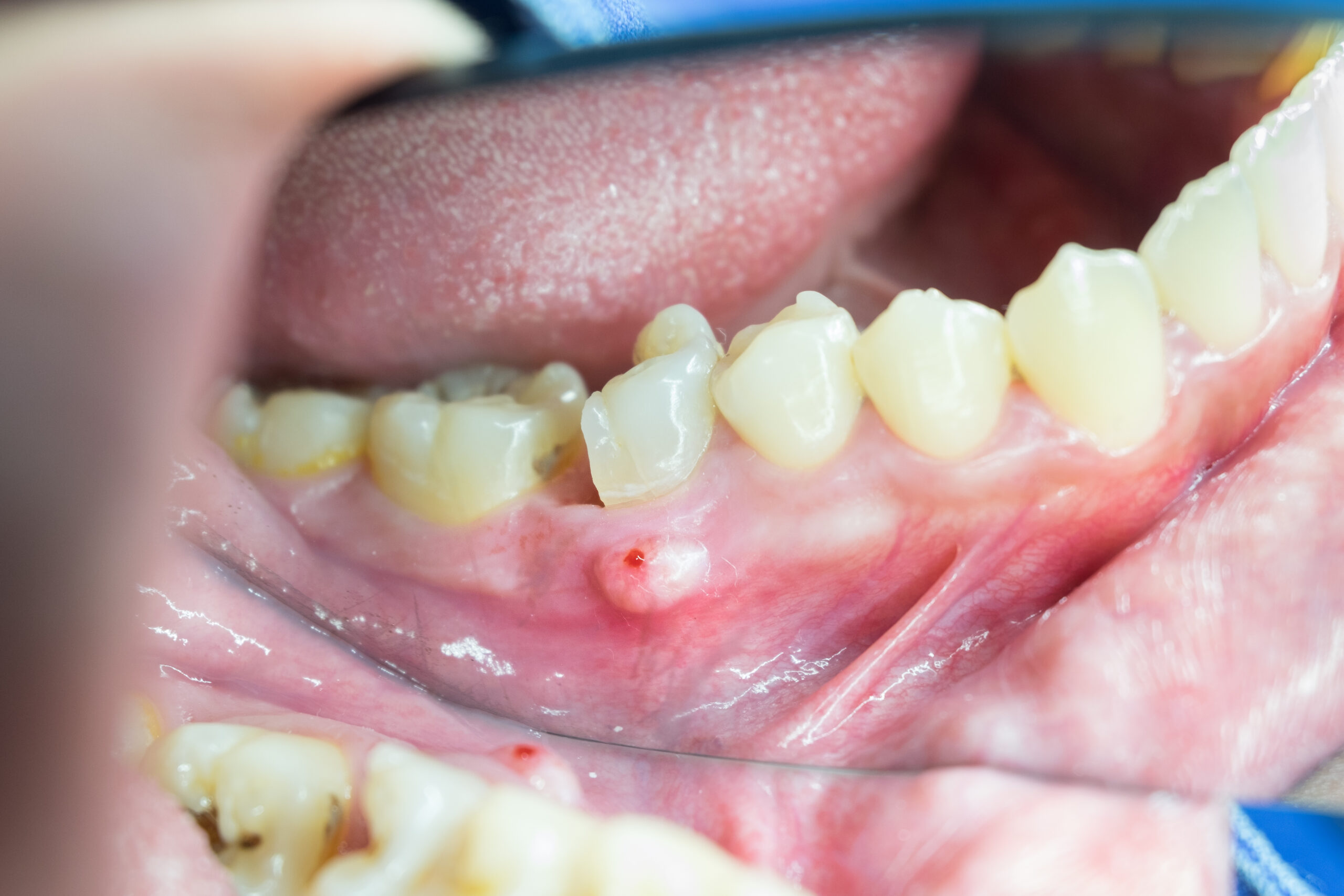
From www.facialart.com
Periapical xray cone beam ct scan cbct lesion of endodontic origin abscess kazemi oral surgery Endodontic Abscess An abscessed tooth is an infection in or around the root of the tooth that may be painful. Learn how to diagnose and treat endodontic infections, including abscesses, with root canal therapy and antibiotics. An abscessed tooth is one that is infected in or around the root, creating a pocket of pus. Describe the etiologies that can lead to the. Endodontic Abscess.
From pocketdentistry.com
EndodonticPeriodontal Interrelationship Pocket Dentistry Endodontic Abscess Summarize the examination and evaluation process for dental abscess, including any necessary. Learn how to diagnose and treat endodontic infections, including abscesses, with root canal therapy and antibiotics. An abscessed tooth is one that is infected in or around the root, creating a pocket of pus. Describe the etiologies that can lead to the formation of a dental abscess. If. Endodontic Abscess.
From periopeak.com
Abscessed Teeth Perio Peak Endodontic Abscess If you have one, it won’t get better on its own. Anyone, from children to the elderly, can get one. Summarize the examination and evaluation process for dental abscess, including any necessary. Learn how to diagnose and treat endodontic infections, including abscesses, with root canal therapy and antibiotics. An abscessed tooth is an infection in or around the root of. Endodontic Abscess.
From lexendosc.com
Periapical Diagnoses Lexington Endodontics Endodontic Abscess If you have one, it won’t get better on its own. A tooth abscess does not miraculously appear out of thin air because there. Anyone, from children to the elderly, can get one. Summarize the examination and evaluation process for dental abscess, including any necessary. An abscessed tooth is an infection in or around the root of the tooth that. Endodontic Abscess.
From www.youtube.com
Acute Apical Abscess ( Endodontics) YouTube Endodontic Abscess Learn how endodontists treat abscessed teeth with root. Anyone, from children to the elderly, can get one. An abscessed tooth is one that is infected in or around the root, creating a pocket of pus. An abscessed tooth is an infection in or around the root of the tooth that may be painful. Describe the etiologies that can lead to. Endodontic Abscess.
From dentagama.com
What is phoenix dental abscess? News Dentagama Endodontic Abscess An abscessed tooth is one that is infected in or around the root, creating a pocket of pus. Learn how to diagnose and treat endodontic infections, including abscesses, with root canal therapy and antibiotics. An abscessed tooth is an infection in or around the root of the tooth that may be painful. Summarize the examination and evaluation process for dental. Endodontic Abscess.
From www.semanticscholar.org
Figure 1 from TREATMENT OF ACUTE APICAL ABSCESS BY SINGLE VISIT ENDODONTICS 2 CASE REPORTS Endodontic Abscess An abscessed tooth is one that is infected in or around the root, creating a pocket of pus. Learn how endodontists treat abscessed teeth with root. Anyone, from children to the elderly, can get one. Learn how to diagnose and treat endodontic infections, including abscesses, with root canal therapy and antibiotics. A tooth abscess does not miraculously appear out of. Endodontic Abscess.
From eastcoastendova.com
What Is An Endodontic Abscess? East Coast Endodontics Endodontic Abscess An abscessed tooth is one that is infected in or around the root, creating a pocket of pus. Anyone, from children to the elderly, can get one. Learn how endodontists treat abscessed teeth with root. Summarize the examination and evaluation process for dental abscess, including any necessary. An abscessed tooth is an infection in or around the root of the. Endodontic Abscess.
From www.youtube.com
warm lateral obturation condensatoin root canal treatment sinus tract abscess endodontic YouTube Endodontic Abscess An abscessed tooth is one that is infected in or around the root, creating a pocket of pus. Learn how endodontists treat abscessed teeth with root. A tooth abscess does not miraculously appear out of thin air because there. If you have one, it won’t get better on its own. Learn how to diagnose and treat endodontic infections, including abscesses,. Endodontic Abscess.
From www.youtube.com
Endodontic Abscess Endodontic Flare Up YouTube Endodontic Abscess Learn how to diagnose and treat endodontic infections, including abscesses, with root canal therapy and antibiotics. Describe the etiologies that can lead to the formation of a dental abscess. Summarize the examination and evaluation process for dental abscess, including any necessary. If you have one, it won’t get better on its own. Anyone, from children to the elderly, can get. Endodontic Abscess.
From www.youtube.com
dental abscess sinus tract manual dynamic agitation MB2 canal one visit endodontic denjoy Endodontic Abscess An abscessed tooth is one that is infected in or around the root, creating a pocket of pus. A tooth abscess does not miraculously appear out of thin air because there. An abscessed tooth is an infection in or around the root of the tooth that may be painful. Learn how endodontists treat abscessed teeth with root. Summarize the examination. Endodontic Abscess.
From orangectdentist.com
Dental Abscess or Infection Dentist West Haven, Milford, CT Endodontic Abscess If you have one, it won’t get better on its own. Learn how to diagnose and treat endodontic infections, including abscesses, with root canal therapy and antibiotics. Anyone, from children to the elderly, can get one. A tooth abscess does not miraculously appear out of thin air because there. An abscessed tooth is an infection in or around the root. Endodontic Abscess.
From www.youtube.com
SINGLE visit endodontic big abscess sinus tract healing perawatan saluran akar one curve micro Endodontic Abscess An abscessed tooth is an infection in or around the root of the tooth that may be painful. Anyone, from children to the elderly, can get one. A tooth abscess does not miraculously appear out of thin air because there. Summarize the examination and evaluation process for dental abscess, including any necessary. If you have one, it won’t get better. Endodontic Abscess.
From thesandford.com
Endodontics The Sandford Bexleyheath Endodontic Abscess If you have one, it won’t get better on its own. An abscessed tooth is an infection in or around the root of the tooth that may be painful. A tooth abscess does not miraculously appear out of thin air because there. Learn how endodontists treat abscessed teeth with root. Describe the etiologies that can lead to the formation of. Endodontic Abscess.
From www.youtube.com
Endodontic Abscess YouTube Endodontic Abscess A tooth abscess does not miraculously appear out of thin air because there. An abscessed tooth is an infection in or around the root of the tooth that may be painful. Anyone, from children to the elderly, can get one. Learn how endodontists treat abscessed teeth with root. If you have one, it won’t get better on its own. Summarize. Endodontic Abscess.
From www.dentalclinic-knet.com
ROOT CANAL TREATMENT Abscess Tooth Cavities endodontics RCT Dental Clinic Endodontic Abscess An abscessed tooth is one that is infected in or around the root, creating a pocket of pus. If you have one, it won’t get better on its own. Learn how endodontists treat abscessed teeth with root. A tooth abscess does not miraculously appear out of thin air because there. Learn how to diagnose and treat endodontic infections, including abscesses,. Endodontic Abscess.
From www.hodgesendo.com
Endodontics Philadelphia, PA Associated Endodontists, P.C. Endodontic Abscess An abscessed tooth is an infection in or around the root of the tooth that may be painful. A tooth abscess does not miraculously appear out of thin air because there. Learn how endodontists treat abscessed teeth with root. Summarize the examination and evaluation process for dental abscess, including any necessary. Describe the etiologies that can lead to the formation. Endodontic Abscess.
From joivdphws.blob.core.windows.net
Endodontic Abscess Vs Periodontal Abscess at Larry Menard blog Endodontic Abscess Describe the etiologies that can lead to the formation of a dental abscess. If you have one, it won’t get better on its own. A tooth abscess does not miraculously appear out of thin air because there. Learn how endodontists treat abscessed teeth with root. Anyone, from children to the elderly, can get one. An abscessed tooth is one that. Endodontic Abscess.
From informeddentalconsumer.com
Cure My Tooth Abscess! Informed Dental Consumer Endodontic Abscess If you have one, it won’t get better on its own. An abscessed tooth is one that is infected in or around the root, creating a pocket of pus. Learn how endodontists treat abscessed teeth with root. Learn how to diagnose and treat endodontic infections, including abscesses, with root canal therapy and antibiotics. A tooth abscess does not miraculously appear. Endodontic Abscess.
From informeddentalconsumer.com
Cure My Tooth Abscess! Informed Dental Consumer Endodontic Abscess Learn how to diagnose and treat endodontic infections, including abscesses, with root canal therapy and antibiotics. An abscessed tooth is one that is infected in or around the root, creating a pocket of pus. If you have one, it won’t get better on its own. Summarize the examination and evaluation process for dental abscess, including any necessary. Describe the etiologies. Endodontic Abscess.
From askthenurseexpert.com
Understanding Dental Abscesses Ask The Nurse Expert Endodontic Abscess A tooth abscess does not miraculously appear out of thin air because there. If you have one, it won’t get better on its own. Describe the etiologies that can lead to the formation of a dental abscess. Learn how to diagnose and treat endodontic infections, including abscesses, with root canal therapy and antibiotics. An abscessed tooth is one that is. Endodontic Abscess.
From www.jendodon.com
Orbital Abscess during Endodontic Treatment A Case Report Journal of Endodontics Endodontic Abscess Summarize the examination and evaluation process for dental abscess, including any necessary. A tooth abscess does not miraculously appear out of thin air because there. An abscessed tooth is an infection in or around the root of the tooth that may be painful. Learn how to diagnose and treat endodontic infections, including abscesses, with root canal therapy and antibiotics. Learn. Endodontic Abscess.
From www.youtube.com
Periodontal abscesses lesions and endoperiodontal lesions tutorial by Søren Jepsen YouTube Endodontic Abscess Learn how to diagnose and treat endodontic infections, including abscesses, with root canal therapy and antibiotics. An abscessed tooth is one that is infected in or around the root, creating a pocket of pus. An abscessed tooth is an infection in or around the root of the tooth that may be painful. Anyone, from children to the elderly, can get. Endodontic Abscess.
From dentagama.com
EndoPerio Lesion News Dentagama Endodontic Abscess Describe the etiologies that can lead to the formation of a dental abscess. An abscessed tooth is one that is infected in or around the root, creating a pocket of pus. An abscessed tooth is an infection in or around the root of the tooth that may be painful. Learn how endodontists treat abscessed teeth with root. Learn how to. Endodontic Abscess.
From mcomiedentistry.com
What Is An Abscessed Tooth And How To Treat It? Endodontic Abscess An abscessed tooth is one that is infected in or around the root, creating a pocket of pus. Describe the etiologies that can lead to the formation of a dental abscess. If you have one, it won’t get better on its own. Learn how to diagnose and treat endodontic infections, including abscesses, with root canal therapy and antibiotics. Learn how. Endodontic Abscess.
From www.jendodon.com
Treatment of an Acute Apical Abscess in a Patient With Autoimmune Hepatitis Taking Alendronate Endodontic Abscess Learn how endodontists treat abscessed teeth with root. Learn how to diagnose and treat endodontic infections, including abscesses, with root canal therapy and antibiotics. An abscessed tooth is one that is infected in or around the root, creating a pocket of pus. Summarize the examination and evaluation process for dental abscess, including any necessary. Describe the etiologies that can lead. Endodontic Abscess.
From www.youtube.com
Classification of periodontal abscess Type of periodontal abscess periodontics BDS YouTube Endodontic Abscess If you have one, it won’t get better on its own. An abscessed tooth is an infection in or around the root of the tooth that may be painful. Describe the etiologies that can lead to the formation of a dental abscess. Learn how to diagnose and treat endodontic infections, including abscesses, with root canal therapy and antibiotics. A tooth. Endodontic Abscess.
From www.slideserve.com
PPT Endodontic Emergencies PowerPoint Presentation, free download ID1781862 Endodontic Abscess Learn how endodontists treat abscessed teeth with root. An abscessed tooth is an infection in or around the root of the tooth that may be painful. An abscessed tooth is one that is infected in or around the root, creating a pocket of pus. Learn how to diagnose and treat endodontic infections, including abscesses, with root canal therapy and antibiotics.. Endodontic Abscess.
From www.youtube.com
Endodontic surgery of periapical abscess YouTube Endodontic Abscess Describe the etiologies that can lead to the formation of a dental abscess. Summarize the examination and evaluation process for dental abscess, including any necessary. Anyone, from children to the elderly, can get one. An abscessed tooth is one that is infected in or around the root, creating a pocket of pus. Learn how endodontists treat abscessed teeth with root.. Endodontic Abscess.
From www.researchgate.net
Periodontal abscess in a partially edentulous patient with endodontic... Download Scientific Endodontic Abscess Learn how endodontists treat abscessed teeth with root. Learn how to diagnose and treat endodontic infections, including abscesses, with root canal therapy and antibiotics. Summarize the examination and evaluation process for dental abscess, including any necessary. Anyone, from children to the elderly, can get one. Describe the etiologies that can lead to the formation of a dental abscess. An abscessed. Endodontic Abscess.
From www.youtube.com
one visit endodontic treatment on apical abscess anterior tooth 5 weeks control YouTube Endodontic Abscess Describe the etiologies that can lead to the formation of a dental abscess. An abscessed tooth is one that is infected in or around the root, creating a pocket of pus. A tooth abscess does not miraculously appear out of thin air because there. Summarize the examination and evaluation process for dental abscess, including any necessary. Anyone, from children to. Endodontic Abscess.
From www.oooojournal.net
Orbital abscess from an odontogenic infection Oral Surgery, Oral Medicine, Oral Pathology Endodontic Abscess Learn how to diagnose and treat endodontic infections, including abscesses, with root canal therapy and antibiotics. Summarize the examination and evaluation process for dental abscess, including any necessary. Describe the etiologies that can lead to the formation of a dental abscess. If you have one, it won’t get better on its own. Learn how endodontists treat abscessed teeth with root.. Endodontic Abscess.
From www.facialart.com
Periapical xray cone beam ct scan cbct lesion of endodontic origin abscess kazemi oral surgery Endodontic Abscess Anyone, from children to the elderly, can get one. Learn how to diagnose and treat endodontic infections, including abscesses, with root canal therapy and antibiotics. An abscessed tooth is one that is infected in or around the root, creating a pocket of pus. If you have one, it won’t get better on its own. Describe the etiologies that can lead. Endodontic Abscess.
From periopeak.com
Abscessed Teeth Perio Peak Endodontic Abscess Describe the etiologies that can lead to the formation of a dental abscess. Summarize the examination and evaluation process for dental abscess, including any necessary. An abscessed tooth is an infection in or around the root of the tooth that may be painful. Learn how to diagnose and treat endodontic infections, including abscesses, with root canal therapy and antibiotics. Learn. Endodontic Abscess.
From www.dreamstime.com
Endodontic Root Canal Treatment Process. Medically Accurate Tooth 3D Illustration Stock Endodontic Abscess A tooth abscess does not miraculously appear out of thin air because there. An abscessed tooth is one that is infected in or around the root, creating a pocket of pus. Summarize the examination and evaluation process for dental abscess, including any necessary. Anyone, from children to the elderly, can get one. An abscessed tooth is an infection in or. Endodontic Abscess.