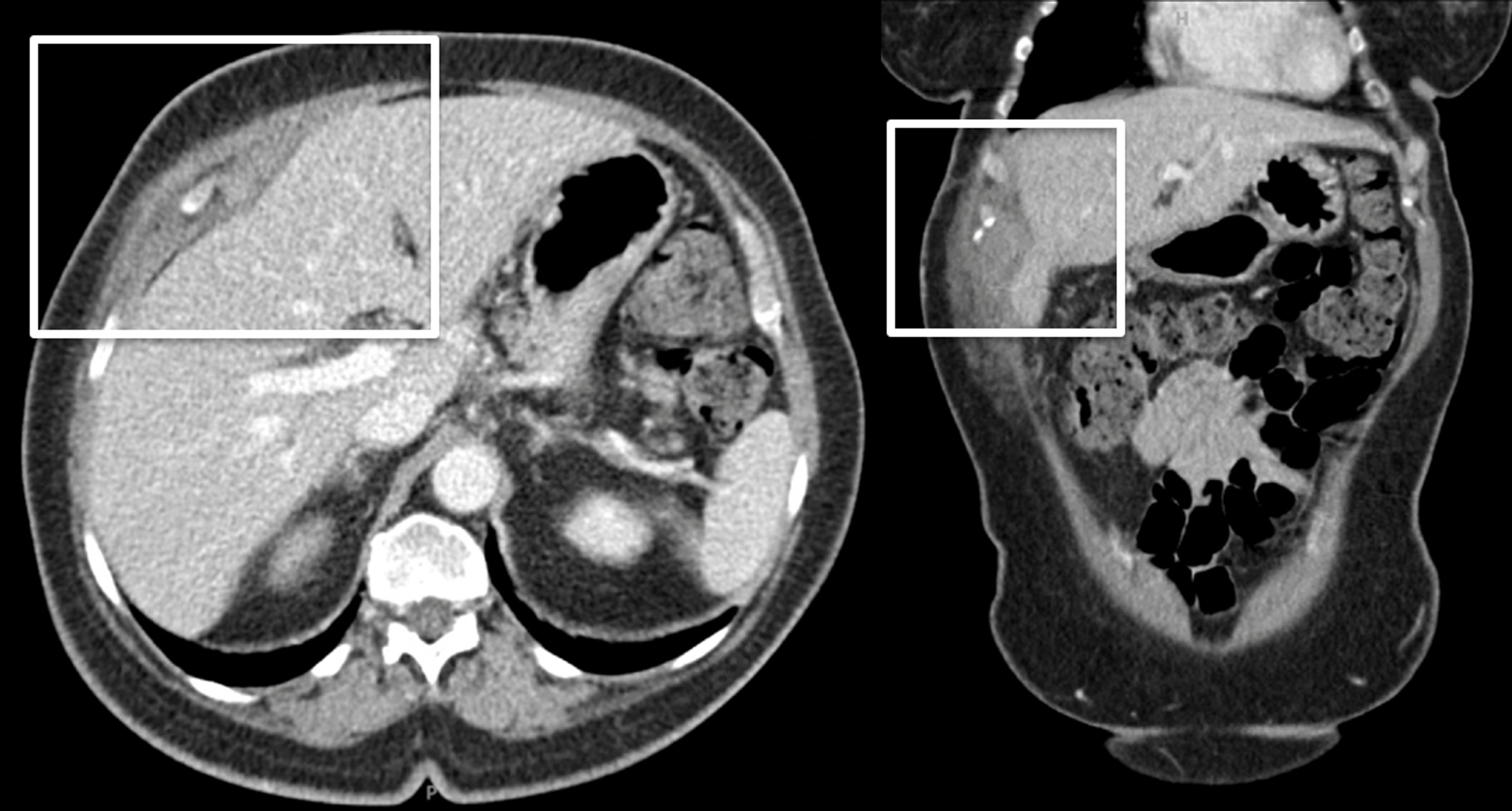
Fluid Collection Post Cholecystectomy . Bile collections are usually close to the site of the leak, but occasionally they may be remote or may even be intrahepatic. Cholecystectomy is one of the most performed surgical procedures. Imaging studies may be required to look for evidence of biloma, abscess collections, or hematomas. The safety of this surgery notwithstanding, the sheer volume of operations results in a notable incidence. Ct and us of a bile leak often show a small to moderate amount of. The collection of as much as 60 ml of fluid in the gallbladder fossa soon after laparoscopic cholecystectomy. These fluid collections have a high risk of infection after cholecystectomy for acute cholecystitis. If a fluid collection is identified on.
from www.cureus.com
If a fluid collection is identified on. Cholecystectomy is one of the most performed surgical procedures. Imaging studies may be required to look for evidence of biloma, abscess collections, or hematomas. The safety of this surgery notwithstanding, the sheer volume of operations results in a notable incidence. These fluid collections have a high risk of infection after cholecystectomy for acute cholecystitis. Bile collections are usually close to the site of the leak, but occasionally they may be remote or may even be intrahepatic. Ct and us of a bile leak often show a small to moderate amount of. The collection of as much as 60 ml of fluid in the gallbladder fossa soon after laparoscopic cholecystectomy.
Migrated Laparoscopic Surgical Clips Causing Acute Cholangitis 32 Years
Fluid Collection Post Cholecystectomy These fluid collections have a high risk of infection after cholecystectomy for acute cholecystitis. These fluid collections have a high risk of infection after cholecystectomy for acute cholecystitis. If a fluid collection is identified on. The safety of this surgery notwithstanding, the sheer volume of operations results in a notable incidence. The collection of as much as 60 ml of fluid in the gallbladder fossa soon after laparoscopic cholecystectomy. Imaging studies may be required to look for evidence of biloma, abscess collections, or hematomas. Bile collections are usually close to the site of the leak, but occasionally they may be remote or may even be intrahepatic. Cholecystectomy is one of the most performed surgical procedures. Ct and us of a bile leak often show a small to moderate amount of.
From www.researchgate.net
Bile leak after cholecystectomy. a Axial T2 HASTE MRI image Fluid Collection Post Cholecystectomy Imaging studies may be required to look for evidence of biloma, abscess collections, or hematomas. The safety of this surgery notwithstanding, the sheer volume of operations results in a notable incidence. Ct and us of a bile leak often show a small to moderate amount of. The collection of as much as 60 ml of fluid in the gallbladder fossa. Fluid Collection Post Cholecystectomy.
From radiopaedia.org
Postcholecystectomy biloma Image Fluid Collection Post Cholecystectomy Imaging studies may be required to look for evidence of biloma, abscess collections, or hematomas. If a fluid collection is identified on. Bile collections are usually close to the site of the leak, but occasionally they may be remote or may even be intrahepatic. Cholecystectomy is one of the most performed surgical procedures. These fluid collections have a high risk. Fluid Collection Post Cholecystectomy.
From www.researchgate.net
Status post cholecystectomy with a trace amount of free fluid in the Fluid Collection Post Cholecystectomy Bile collections are usually close to the site of the leak, but occasionally they may be remote or may even be intrahepatic. The safety of this surgery notwithstanding, the sheer volume of operations results in a notable incidence. Cholecystectomy is one of the most performed surgical procedures. These fluid collections have a high risk of infection after cholecystectomy for acute. Fluid Collection Post Cholecystectomy.
From www.ajronline.org
Laparoscopic Cholecystectomy Postoperative Imaging AJR Fluid Collection Post Cholecystectomy The safety of this surgery notwithstanding, the sheer volume of operations results in a notable incidence. Bile collections are usually close to the site of the leak, but occasionally they may be remote or may even be intrahepatic. Cholecystectomy is one of the most performed surgical procedures. If a fluid collection is identified on. Imaging studies may be required to. Fluid Collection Post Cholecystectomy.
From www.ajronline.org
Laparoscopic Cholecystectomy Postoperative Imaging AJR Fluid Collection Post Cholecystectomy Bile collections are usually close to the site of the leak, but occasionally they may be remote or may even be intrahepatic. The collection of as much as 60 ml of fluid in the gallbladder fossa soon after laparoscopic cholecystectomy. Imaging studies may be required to look for evidence of biloma, abscess collections, or hematomas. Ct and us of a. Fluid Collection Post Cholecystectomy.
From casereports.bmj.com
Retroperitoneal bile leak after laparoscopic cholecystectomy BMJ Case Fluid Collection Post Cholecystectomy Bile collections are usually close to the site of the leak, but occasionally they may be remote or may even be intrahepatic. The safety of this surgery notwithstanding, the sheer volume of operations results in a notable incidence. The collection of as much as 60 ml of fluid in the gallbladder fossa soon after laparoscopic cholecystectomy. These fluid collections have. Fluid Collection Post Cholecystectomy.
From www.cureus.com
Delayed Postcholecystectomy Gallbladder Fossa Abscess Due to Fluid Collection Post Cholecystectomy The collection of as much as 60 ml of fluid in the gallbladder fossa soon after laparoscopic cholecystectomy. Ct and us of a bile leak often show a small to moderate amount of. If a fluid collection is identified on. Bile collections are usually close to the site of the leak, but occasionally they may be remote or may even. Fluid Collection Post Cholecystectomy.
From www.drrpadmakumar.com
Laparoscopic Cholecystectomy Gallbladder Surgery Kochi Fluid Collection Post Cholecystectomy The safety of this surgery notwithstanding, the sheer volume of operations results in a notable incidence. Ct and us of a bile leak often show a small to moderate amount of. Bile collections are usually close to the site of the leak, but occasionally they may be remote or may even be intrahepatic. If a fluid collection is identified on.. Fluid Collection Post Cholecystectomy.
From www.semanticscholar.org
Figure 2 from Pointofcare ultrasound diagnosis of a post Fluid Collection Post Cholecystectomy If a fluid collection is identified on. Bile collections are usually close to the site of the leak, but occasionally they may be remote or may even be intrahepatic. The collection of as much as 60 ml of fluid in the gallbladder fossa soon after laparoscopic cholecystectomy. These fluid collections have a high risk of infection after cholecystectomy for acute. Fluid Collection Post Cholecystectomy.
From www.wjgnet.com
Safe laparoscopic cholecystectomy Adoption of universal culture of Fluid Collection Post Cholecystectomy If a fluid collection is identified on. These fluid collections have a high risk of infection after cholecystectomy for acute cholecystitis. The safety of this surgery notwithstanding, the sheer volume of operations results in a notable incidence. Bile collections are usually close to the site of the leak, but occasionally they may be remote or may even be intrahepatic. Imaging. Fluid Collection Post Cholecystectomy.
From tech.snmjournals.org
Gallbladder Fossa Abscess Masquerading as Cholecystitis After Fluid Collection Post Cholecystectomy If a fluid collection is identified on. These fluid collections have a high risk of infection after cholecystectomy for acute cholecystitis. The collection of as much as 60 ml of fluid in the gallbladder fossa soon after laparoscopic cholecystectomy. Cholecystectomy is one of the most performed surgical procedures. The safety of this surgery notwithstanding, the sheer volume of operations results. Fluid Collection Post Cholecystectomy.
From www.pinterest.com.au
Figure 2. A laparoscopic cholecystectomy with intraoperative Fluid Collection Post Cholecystectomy Imaging studies may be required to look for evidence of biloma, abscess collections, or hematomas. If a fluid collection is identified on. The collection of as much as 60 ml of fluid in the gallbladder fossa soon after laparoscopic cholecystectomy. The safety of this surgery notwithstanding, the sheer volume of operations results in a notable incidence. These fluid collections have. Fluid Collection Post Cholecystectomy.
From journals.sagepub.com
Sonographic Findings of Gallbladder Perforation With Hepatic Abscesses Fluid Collection Post Cholecystectomy Ct and us of a bile leak often show a small to moderate amount of. The safety of this surgery notwithstanding, the sheer volume of operations results in a notable incidence. Bile collections are usually close to the site of the leak, but occasionally they may be remote or may even be intrahepatic. The collection of as much as 60. Fluid Collection Post Cholecystectomy.
From www.cureus.com
Cureus A Rare Case Report of Biloma After Cholecystectomy Fluid Collection Post Cholecystectomy Ct and us of a bile leak often show a small to moderate amount of. Cholecystectomy is one of the most performed surgical procedures. If a fluid collection is identified on. These fluid collections have a high risk of infection after cholecystectomy for acute cholecystitis. Bile collections are usually close to the site of the leak, but occasionally they may. Fluid Collection Post Cholecystectomy.
From www.cureus.com
Cureus Unusual Presentation of Gallbladder Fossa Abscess Following Fluid Collection Post Cholecystectomy Ct and us of a bile leak often show a small to moderate amount of. Cholecystectomy is one of the most performed surgical procedures. These fluid collections have a high risk of infection after cholecystectomy for acute cholecystitis. The collection of as much as 60 ml of fluid in the gallbladder fossa soon after laparoscopic cholecystectomy. Imaging studies may be. Fluid Collection Post Cholecystectomy.
From www.ajronline.org
Laparoscopic Cholecystectomy Postoperative Imaging AJR Fluid Collection Post Cholecystectomy The collection of as much as 60 ml of fluid in the gallbladder fossa soon after laparoscopic cholecystectomy. These fluid collections have a high risk of infection after cholecystectomy for acute cholecystitis. If a fluid collection is identified on. Ct and us of a bile leak often show a small to moderate amount of. Cholecystectomy is one of the most. Fluid Collection Post Cholecystectomy.
From epos.myesr.org
EPOS™ Fluid Collection Post Cholecystectomy These fluid collections have a high risk of infection after cholecystectomy for acute cholecystitis. Imaging studies may be required to look for evidence of biloma, abscess collections, or hematomas. The collection of as much as 60 ml of fluid in the gallbladder fossa soon after laparoscopic cholecystectomy. Bile collections are usually close to the site of the leak, but occasionally. Fluid Collection Post Cholecystectomy.
From www.gbmc-jo.com
Cholecystectomy & SPL GBMC Jordan Fluid Collection Post Cholecystectomy Imaging studies may be required to look for evidence of biloma, abscess collections, or hematomas. If a fluid collection is identified on. Ct and us of a bile leak often show a small to moderate amount of. These fluid collections have a high risk of infection after cholecystectomy for acute cholecystitis. Bile collections are usually close to the site of. Fluid Collection Post Cholecystectomy.
From dasarimd.com
Cholecystectomy Top Surgeon Dr. Dasari Fluid Collection Post Cholecystectomy These fluid collections have a high risk of infection after cholecystectomy for acute cholecystitis. Cholecystectomy is one of the most performed surgical procedures. If a fluid collection is identified on. The safety of this surgery notwithstanding, the sheer volume of operations results in a notable incidence. The collection of as much as 60 ml of fluid in the gallbladder fossa. Fluid Collection Post Cholecystectomy.
From www.researchgate.net
Postlaparoscopiccholecystectomy endoscopic retrograde... Download Fluid Collection Post Cholecystectomy These fluid collections have a high risk of infection after cholecystectomy for acute cholecystitis. Ct and us of a bile leak often show a small to moderate amount of. The collection of as much as 60 ml of fluid in the gallbladder fossa soon after laparoscopic cholecystectomy. Imaging studies may be required to look for evidence of biloma, abscess collections,. Fluid Collection Post Cholecystectomy.
From link.springer.com
Identification and Management of Bile Leaks Post Cholecystectomy Fluid Collection Post Cholecystectomy If a fluid collection is identified on. The safety of this surgery notwithstanding, the sheer volume of operations results in a notable incidence. These fluid collections have a high risk of infection after cholecystectomy for acute cholecystitis. Cholecystectomy is one of the most performed surgical procedures. Bile collections are usually close to the site of the leak, but occasionally they. Fluid Collection Post Cholecystectomy.
From www.researchgate.net
Male, age 39 years old, post cholecystectomy with multiple Fluid Collection Post Cholecystectomy Imaging studies may be required to look for evidence of biloma, abscess collections, or hematomas. The collection of as much as 60 ml of fluid in the gallbladder fossa soon after laparoscopic cholecystectomy. The safety of this surgery notwithstanding, the sheer volume of operations results in a notable incidence. These fluid collections have a high risk of infection after cholecystectomy. Fluid Collection Post Cholecystectomy.
From www.youtube.com
Post cholecystectomy, calculi in Gallbladder remnant, stump and cystic Fluid Collection Post Cholecystectomy These fluid collections have a high risk of infection after cholecystectomy for acute cholecystitis. Bile collections are usually close to the site of the leak, but occasionally they may be remote or may even be intrahepatic. If a fluid collection is identified on. Imaging studies may be required to look for evidence of biloma, abscess collections, or hematomas. Cholecystectomy is. Fluid Collection Post Cholecystectomy.
From europepmc.org
Role of sonography in assessing complications after laparoscopic Fluid Collection Post Cholecystectomy Ct and us of a bile leak often show a small to moderate amount of. Cholecystectomy is one of the most performed surgical procedures. These fluid collections have a high risk of infection after cholecystectomy for acute cholecystitis. The collection of as much as 60 ml of fluid in the gallbladder fossa soon after laparoscopic cholecystectomy. Imaging studies may be. Fluid Collection Post Cholecystectomy.
From www.researchgate.net
(PDF) Treatment of postcholecystectomy biliary strictures with fully Fluid Collection Post Cholecystectomy Cholecystectomy is one of the most performed surgical procedures. If a fluid collection is identified on. The collection of as much as 60 ml of fluid in the gallbladder fossa soon after laparoscopic cholecystectomy. These fluid collections have a high risk of infection after cholecystectomy for acute cholecystitis. Bile collections are usually close to the site of the leak, but. Fluid Collection Post Cholecystectomy.
From www.ctisus.com
Subcapsular Fluid Collection in the Liver Liver Case Studies CTisus Fluid Collection Post Cholecystectomy The safety of this surgery notwithstanding, the sheer volume of operations results in a notable incidence. The collection of as much as 60 ml of fluid in the gallbladder fossa soon after laparoscopic cholecystectomy. Imaging studies may be required to look for evidence of biloma, abscess collections, or hematomas. Bile collections are usually close to the site of the leak,. Fluid Collection Post Cholecystectomy.
From www.cureus.com
Migrated Laparoscopic Surgical Clips Causing Acute Cholangitis 32 Years Fluid Collection Post Cholecystectomy Imaging studies may be required to look for evidence of biloma, abscess collections, or hematomas. The safety of this surgery notwithstanding, the sheer volume of operations results in a notable incidence. Bile collections are usually close to the site of the leak, but occasionally they may be remote or may even be intrahepatic. Cholecystectomy is one of the most performed. Fluid Collection Post Cholecystectomy.
From www.researchgate.net
Ultrasound demonstrating hypoechoic fluid collection in the anterior Fluid Collection Post Cholecystectomy The safety of this surgery notwithstanding, the sheer volume of operations results in a notable incidence. Cholecystectomy is one of the most performed surgical procedures. Bile collections are usually close to the site of the leak, but occasionally they may be remote or may even be intrahepatic. The collection of as much as 60 ml of fluid in the gallbladder. Fluid Collection Post Cholecystectomy.
From www.researchgate.net
A 16yearold man after cholecystectomy presenting with abdominal pain Fluid Collection Post Cholecystectomy Bile collections are usually close to the site of the leak, but occasionally they may be remote or may even be intrahepatic. If a fluid collection is identified on. These fluid collections have a high risk of infection after cholecystectomy for acute cholecystitis. The safety of this surgery notwithstanding, the sheer volume of operations results in a notable incidence. The. Fluid Collection Post Cholecystectomy.
From www.researchgate.net
e (A) CT scan of post cholecystectomy female patient with highgrade Fluid Collection Post Cholecystectomy If a fluid collection is identified on. Cholecystectomy is one of the most performed surgical procedures. The safety of this surgery notwithstanding, the sheer volume of operations results in a notable incidence. These fluid collections have a high risk of infection after cholecystectomy for acute cholecystitis. Ct and us of a bile leak often show a small to moderate amount. Fluid Collection Post Cholecystectomy.
From www.researchgate.net
Biliary leakage postcholecystectomy. A 69yearold female ten days Fluid Collection Post Cholecystectomy Imaging studies may be required to look for evidence of biloma, abscess collections, or hematomas. The collection of as much as 60 ml of fluid in the gallbladder fossa soon after laparoscopic cholecystectomy. The safety of this surgery notwithstanding, the sheer volume of operations results in a notable incidence. If a fluid collection is identified on. Cholecystectomy is one of. Fluid Collection Post Cholecystectomy.
From www.researchgate.net
Abdomen CT scan showed complicated fluid collection in gallbladder bed Fluid Collection Post Cholecystectomy These fluid collections have a high risk of infection after cholecystectomy for acute cholecystitis. If a fluid collection is identified on. The collection of as much as 60 ml of fluid in the gallbladder fossa soon after laparoscopic cholecystectomy. The safety of this surgery notwithstanding, the sheer volume of operations results in a notable incidence. Imaging studies may be required. Fluid Collection Post Cholecystectomy.
From www.researchgate.net
(PDF) Abdominal fluid collection after laparoscopic cholecystectomy Fluid Collection Post Cholecystectomy Bile collections are usually close to the site of the leak, but occasionally they may be remote or may even be intrahepatic. Cholecystectomy is one of the most performed surgical procedures. These fluid collections have a high risk of infection after cholecystectomy for acute cholecystitis. Ct and us of a bile leak often show a small to moderate amount of.. Fluid Collection Post Cholecystectomy.
From www.trialexhibitsinc.com
Surgical Cholecystectomy TrialExhibits Inc. Fluid Collection Post Cholecystectomy The safety of this surgery notwithstanding, the sheer volume of operations results in a notable incidence. Ct and us of a bile leak often show a small to moderate amount of. The collection of as much as 60 ml of fluid in the gallbladder fossa soon after laparoscopic cholecystectomy. These fluid collections have a high risk of infection after cholecystectomy. Fluid Collection Post Cholecystectomy.
From www.researchgate.net
Computed tomography after laparoscopic cholecystectomy demonstrating an Fluid Collection Post Cholecystectomy Imaging studies may be required to look for evidence of biloma, abscess collections, or hematomas. Ct and us of a bile leak often show a small to moderate amount of. If a fluid collection is identified on. Bile collections are usually close to the site of the leak, but occasionally they may be remote or may even be intrahepatic. The. Fluid Collection Post Cholecystectomy.