Meniere's Disease Mri Scan . this study aims to investigate the differences of imaging findings and features between md and other. at this writing (2022), it is clear that 3t mri can be used to identify hydrops, and might be useful in diagnosing meniere's disease. Magnetic resonance imaging can detect abnormalities in both ears of patients with unilateral meniere’s. ménière’s disease (md) is a chronic condition characterised by. The study aimed to describe the methodology and detailed interpretation of magnetic resonance. magnetic resonance imaging (mri) scan. the vestibular aqueduct sign: Scans are a routine part of the investigation of many diseases.
from www.researchgate.net
The study aimed to describe the methodology and detailed interpretation of magnetic resonance. the vestibular aqueduct sign: ménière’s disease (md) is a chronic condition characterised by. this study aims to investigate the differences of imaging findings and features between md and other. Scans are a routine part of the investigation of many diseases. Magnetic resonance imaging can detect abnormalities in both ears of patients with unilateral meniere’s. at this writing (2022), it is clear that 3t mri can be used to identify hydrops, and might be useful in diagnosing meniere's disease. magnetic resonance imaging (mri) scan.
MRI of a patient with bilateral Meniere’s disease imaged using
Meniere's Disease Mri Scan The study aimed to describe the methodology and detailed interpretation of magnetic resonance. the vestibular aqueduct sign: The study aimed to describe the methodology and detailed interpretation of magnetic resonance. ménière’s disease (md) is a chronic condition characterised by. at this writing (2022), it is clear that 3t mri can be used to identify hydrops, and might be useful in diagnosing meniere's disease. this study aims to investigate the differences of imaging findings and features between md and other. Magnetic resonance imaging can detect abnormalities in both ears of patients with unilateral meniere’s. magnetic resonance imaging (mri) scan. Scans are a routine part of the investigation of many diseases.
From ns1.dizziness-and-balance.com
MRI imaging of Menieres Meniere's Disease Mri Scan the vestibular aqueduct sign: at this writing (2022), it is clear that 3t mri can be used to identify hydrops, and might be useful in diagnosing meniere's disease. ménière’s disease (md) is a chronic condition characterised by. this study aims to investigate the differences of imaging findings and features between md and other. magnetic resonance. Meniere's Disease Mri Scan.
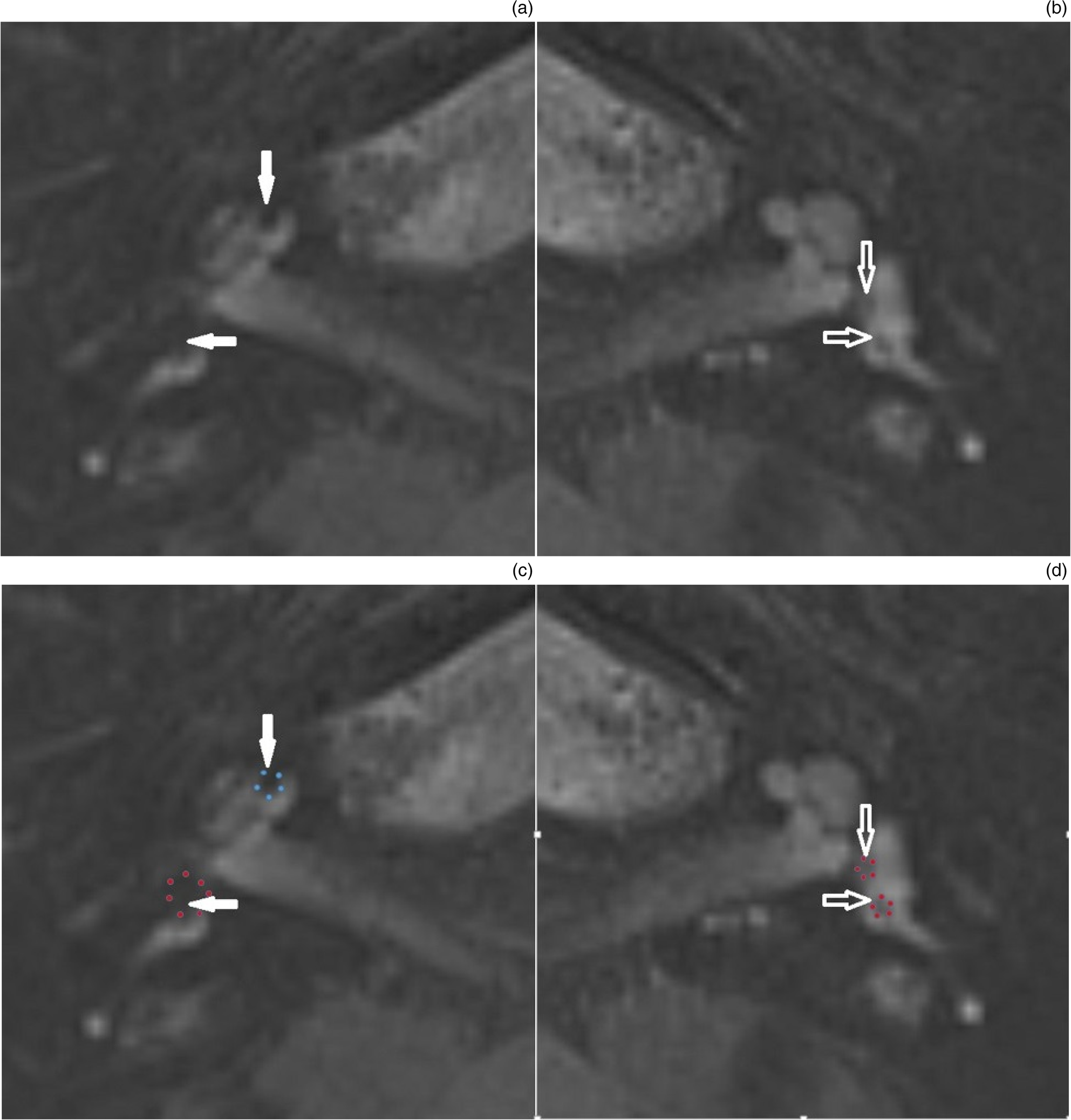
From www.neuroimaging.theclinics.com
Imaging of Ménière Disease Neuroimaging Clinics Meniere's Disease Mri Scan at this writing (2022), it is clear that 3t mri can be used to identify hydrops, and might be useful in diagnosing meniere's disease. Scans are a routine part of the investigation of many diseases. magnetic resonance imaging (mri) scan. The study aimed to describe the methodology and detailed interpretation of magnetic resonance. ménière’s disease (md) is. Meniere's Disease Mri Scan.
From www.researchgate.net
(PDF) MRI in Menière’s Disease Meniere's Disease Mri Scan at this writing (2022), it is clear that 3t mri can be used to identify hydrops, and might be useful in diagnosing meniere's disease. this study aims to investigate the differences of imaging findings and features between md and other. Magnetic resonance imaging can detect abnormalities in both ears of patients with unilateral meniere’s. magnetic resonance imaging. Meniere's Disease Mri Scan.
From www.researchgate.net
MRI of a patient with bilateral Meniere’s disease imaged using Meniere's Disease Mri Scan Scans are a routine part of the investigation of many diseases. The study aimed to describe the methodology and detailed interpretation of magnetic resonance. ménière’s disease (md) is a chronic condition characterised by. this study aims to investigate the differences of imaging findings and features between md and other. at this writing (2022), it is clear that. Meniere's Disease Mri Scan.
From www.scielo.br
SciELO Brasil Gadoliniumenhanced MRI reveals dynamic development Meniere's Disease Mri Scan magnetic resonance imaging (mri) scan. The study aimed to describe the methodology and detailed interpretation of magnetic resonance. this study aims to investigate the differences of imaging findings and features between md and other. the vestibular aqueduct sign: at this writing (2022), it is clear that 3t mri can be used to identify hydrops, and might. Meniere's Disease Mri Scan.
From www.neuroimaging.theclinics.com
Imaging of Ménière Disease Neuroimaging Clinics Meniere's Disease Mri Scan magnetic resonance imaging (mri) scan. the vestibular aqueduct sign: Scans are a routine part of the investigation of many diseases. this study aims to investigate the differences of imaging findings and features between md and other. Magnetic resonance imaging can detect abnormalities in both ears of patients with unilateral meniere’s. ménière’s disease (md) is a chronic. Meniere's Disease Mri Scan.
From www.jove.com
In Vivo Morphometric Analysis of Human Cranial Nerves Using Meniere's Disease Mri Scan the vestibular aqueduct sign: this study aims to investigate the differences of imaging findings and features between md and other. magnetic resonance imaging (mri) scan. Scans are a routine part of the investigation of many diseases. The study aimed to describe the methodology and detailed interpretation of magnetic resonance. ménière’s disease (md) is a chronic condition. Meniere's Disease Mri Scan.
From www.frontiersin.org
Frontiers Imaging Analysis of Patients With Meniere's Disease Treated Meniere's Disease Mri Scan The study aimed to describe the methodology and detailed interpretation of magnetic resonance. ménière’s disease (md) is a chronic condition characterised by. Scans are a routine part of the investigation of many diseases. at this writing (2022), it is clear that 3t mri can be used to identify hydrops, and might be useful in diagnosing meniere's disease. . Meniere's Disease Mri Scan.
From www.cambridge.org
resonance imaging of Ménière's disease early clinical Meniere's Disease Mri Scan Magnetic resonance imaging can detect abnormalities in both ears of patients with unilateral meniere’s. this study aims to investigate the differences of imaging findings and features between md and other. magnetic resonance imaging (mri) scan. at this writing (2022), it is clear that 3t mri can be used to identify hydrops, and might be useful in diagnosing. Meniere's Disease Mri Scan.
From www.clinicalradiologyonline.net
Endolymphatic hydrops resonance imaging in Ménière's disease Meniere's Disease Mri Scan Magnetic resonance imaging can detect abnormalities in both ears of patients with unilateral meniere’s. ménière’s disease (md) is a chronic condition characterised by. Scans are a routine part of the investigation of many diseases. the vestibular aqueduct sign: The study aimed to describe the methodology and detailed interpretation of magnetic resonance. magnetic resonance imaging (mri) scan. . Meniere's Disease Mri Scan.
From dizziness-and-balance.com
MRI imaging of Menieres Meniere's Disease Mri Scan ménière’s disease (md) is a chronic condition characterised by. this study aims to investigate the differences of imaging findings and features between md and other. magnetic resonance imaging (mri) scan. the vestibular aqueduct sign: Scans are a routine part of the investigation of many diseases. Magnetic resonance imaging can detect abnormalities in both ears of patients. Meniere's Disease Mri Scan.
From content.iospress.com
Systematic review of resonance imaging for diagnosis of Meniere's Disease Mri Scan this study aims to investigate the differences of imaging findings and features between md and other. ménière’s disease (md) is a chronic condition characterised by. the vestibular aqueduct sign: The study aimed to describe the methodology and detailed interpretation of magnetic resonance. Scans are a routine part of the investigation of many diseases. Magnetic resonance imaging can. Meniere's Disease Mri Scan.
From exovpqluq.blob.core.windows.net
Meniere's Disease Mri Findings at Ruth Winkel blog Meniere's Disease Mri Scan Magnetic resonance imaging can detect abnormalities in both ears of patients with unilateral meniere’s. magnetic resonance imaging (mri) scan. ménière’s disease (md) is a chronic condition characterised by. Scans are a routine part of the investigation of many diseases. at this writing (2022), it is clear that 3t mri can be used to identify hydrops, and might. Meniere's Disease Mri Scan.
From medcentral.net
MRI detection of endolymphatic hydrops in Meniere’s disease in 8 Meniere's Disease Mri Scan ménière’s disease (md) is a chronic condition characterised by. Scans are a routine part of the investigation of many diseases. The study aimed to describe the methodology and detailed interpretation of magnetic resonance. this study aims to investigate the differences of imaging findings and features between md and other. the vestibular aqueduct sign: Magnetic resonance imaging can. Meniere's Disease Mri Scan.
From www.frontiersin.org
Frontiers MR Imaging of Cochlear Modiolus and Endolymphatic Hydrops Meniere's Disease Mri Scan The study aimed to describe the methodology and detailed interpretation of magnetic resonance. the vestibular aqueduct sign: this study aims to investigate the differences of imaging findings and features between md and other. Scans are a routine part of the investigation of many diseases. at this writing (2022), it is clear that 3t mri can be used. Meniere's Disease Mri Scan.
From radiopaedia.org
Ménière disease Radiology Reference Article Meniere's Disease Mri Scan the vestibular aqueduct sign: this study aims to investigate the differences of imaging findings and features between md and other. magnetic resonance imaging (mri) scan. ménière’s disease (md) is a chronic condition characterised by. Magnetic resonance imaging can detect abnormalities in both ears of patients with unilateral meniere’s. Scans are a routine part of the investigation. Meniere's Disease Mri Scan.
From www.researchgate.net
MRI of a patient with bilateral Meniere’s disease imaged using Meniere's Disease Mri Scan Scans are a routine part of the investigation of many diseases. the vestibular aqueduct sign: ménière’s disease (md) is a chronic condition characterised by. at this writing (2022), it is clear that 3t mri can be used to identify hydrops, and might be useful in diagnosing meniere's disease. magnetic resonance imaging (mri) scan. Magnetic resonance imaging. Meniere's Disease Mri Scan.
From bmjopen.bmj.com
Ménière's disease a reappraisal supported by a variable latency of Meniere's Disease Mri Scan magnetic resonance imaging (mri) scan. Magnetic resonance imaging can detect abnormalities in both ears of patients with unilateral meniere’s. at this writing (2022), it is clear that 3t mri can be used to identify hydrops, and might be useful in diagnosing meniere's disease. The study aimed to describe the methodology and detailed interpretation of magnetic resonance. this. Meniere's Disease Mri Scan.
From exovpqluq.blob.core.windows.net
Meniere's Disease Mri Findings at Ruth Winkel blog Meniere's Disease Mri Scan magnetic resonance imaging (mri) scan. Scans are a routine part of the investigation of many diseases. this study aims to investigate the differences of imaging findings and features between md and other. ménière’s disease (md) is a chronic condition characterised by. at this writing (2022), it is clear that 3t mri can be used to identify. Meniere's Disease Mri Scan.
From bmjopen.bmj.com
Ménière's disease a reappraisal supported by a variable latency of Meniere's Disease Mri Scan magnetic resonance imaging (mri) scan. Magnetic resonance imaging can detect abnormalities in both ears of patients with unilateral meniere’s. Scans are a routine part of the investigation of many diseases. The study aimed to describe the methodology and detailed interpretation of magnetic resonance. at this writing (2022), it is clear that 3t mri can be used to identify. Meniere's Disease Mri Scan.
From www.ajnr.org
Detection and Grading of Endolymphatic Hydrops in Menière Disease Using Meniere's Disease Mri Scan ménière’s disease (md) is a chronic condition characterised by. The study aimed to describe the methodology and detailed interpretation of magnetic resonance. at this writing (2022), it is clear that 3t mri can be used to identify hydrops, and might be useful in diagnosing meniere's disease. the vestibular aqueduct sign: Magnetic resonance imaging can detect abnormalities in. Meniere's Disease Mri Scan.
From dizziness-and-balance.com
MRI imaging of Menieres Meniere's Disease Mri Scan ménière’s disease (md) is a chronic condition characterised by. magnetic resonance imaging (mri) scan. this study aims to investigate the differences of imaging findings and features between md and other. Scans are a routine part of the investigation of many diseases. The study aimed to describe the methodology and detailed interpretation of magnetic resonance. at this. Meniere's Disease Mri Scan.
From www.neuroimaging.theclinics.com
Imaging of Ménière Disease Neuroimaging Clinics Meniere's Disease Mri Scan Magnetic resonance imaging can detect abnormalities in both ears of patients with unilateral meniere’s. ménière’s disease (md) is a chronic condition characterised by. magnetic resonance imaging (mri) scan. this study aims to investigate the differences of imaging findings and features between md and other. at this writing (2022), it is clear that 3t mri can be. Meniere's Disease Mri Scan.
From www.frontiersin.org
Frontiers MR Imaging of Cochlear Modiolus and Endolymphatic Hydrops Meniere's Disease Mri Scan Magnetic resonance imaging can detect abnormalities in both ears of patients with unilateral meniere’s. Scans are a routine part of the investigation of many diseases. this study aims to investigate the differences of imaging findings and features between md and other. at this writing (2022), it is clear that 3t mri can be used to identify hydrops, and. Meniere's Disease Mri Scan.
From www.frontiersin.org
Frontiers Noncontrast MRI of Inner Ear Detected Differences of Meniere's Disease Mri Scan at this writing (2022), it is clear that 3t mri can be used to identify hydrops, and might be useful in diagnosing meniere's disease. Magnetic resonance imaging can detect abnormalities in both ears of patients with unilateral meniere’s. Scans are a routine part of the investigation of many diseases. magnetic resonance imaging (mri) scan. ménière’s disease (md). Meniere's Disease Mri Scan.
From hearinghealthfoundation.org
CT Imaging as a Diagnostic Tool for Ménière’s Disease — Hearing Health Meniere's Disease Mri Scan at this writing (2022), it is clear that 3t mri can be used to identify hydrops, and might be useful in diagnosing meniere's disease. magnetic resonance imaging (mri) scan. ménière’s disease (md) is a chronic condition characterised by. Scans are a routine part of the investigation of many diseases. Magnetic resonance imaging can detect abnormalities in both. Meniere's Disease Mri Scan.
From dizziness-and-balance.com
MRI imaging of Menieres Meniere's Disease Mri Scan Magnetic resonance imaging can detect abnormalities in both ears of patients with unilateral meniere’s. The study aimed to describe the methodology and detailed interpretation of magnetic resonance. at this writing (2022), it is clear that 3t mri can be used to identify hydrops, and might be useful in diagnosing meniere's disease. the vestibular aqueduct sign: ménière’s disease. Meniere's Disease Mri Scan.
From www.clinicalimaging.org
Delayed intravenous contrastenhanced 3D FLAIR MRI in Meniere’s disease Meniere's Disease Mri Scan magnetic resonance imaging (mri) scan. this study aims to investigate the differences of imaging findings and features between md and other. Scans are a routine part of the investigation of many diseases. the vestibular aqueduct sign: at this writing (2022), it is clear that 3t mri can be used to identify hydrops, and might be useful. Meniere's Disease Mri Scan.
From www.semanticscholar.org
Figure 1 from MRI imaging of the inner ear for Meniere's disease Meniere's Disease Mri Scan The study aimed to describe the methodology and detailed interpretation of magnetic resonance. ménière’s disease (md) is a chronic condition characterised by. magnetic resonance imaging (mri) scan. at this writing (2022), it is clear that 3t mri can be used to identify hydrops, and might be useful in diagnosing meniere's disease. Scans are a routine part of. Meniere's Disease Mri Scan.
From www.bjorl.org.br
The clinical features and image characteristics of Meniere's disease Meniere's Disease Mri Scan The study aimed to describe the methodology and detailed interpretation of magnetic resonance. ménière’s disease (md) is a chronic condition characterised by. magnetic resonance imaging (mri) scan. the vestibular aqueduct sign: Magnetic resonance imaging can detect abnormalities in both ears of patients with unilateral meniere’s. this study aims to investigate the differences of imaging findings and. Meniere's Disease Mri Scan.
From mednexus.org
MRI detection of endolymphatic hydrops in Meniere’s disease in 8 Meniere's Disease Mri Scan at this writing (2022), it is clear that 3t mri can be used to identify hydrops, and might be useful in diagnosing meniere's disease. ménière’s disease (md) is a chronic condition characterised by. the vestibular aqueduct sign: Scans are a routine part of the investigation of many diseases. Magnetic resonance imaging can detect abnormalities in both ears. Meniere's Disease Mri Scan.
From www.ajnr.org
MR Imaging in Menière Disease Is the Contact between the Vestibular Meniere's Disease Mri Scan ménière’s disease (md) is a chronic condition characterised by. Scans are a routine part of the investigation of many diseases. the vestibular aqueduct sign: at this writing (2022), it is clear that 3t mri can be used to identify hydrops, and might be useful in diagnosing meniere's disease. this study aims to investigate the differences of. Meniere's Disease Mri Scan.
From entokey.com
Meniere’s Disease Ento Key Meniere's Disease Mri Scan Scans are a routine part of the investigation of many diseases. magnetic resonance imaging (mri) scan. The study aimed to describe the methodology and detailed interpretation of magnetic resonance. ménière’s disease (md) is a chronic condition characterised by. Magnetic resonance imaging can detect abnormalities in both ears of patients with unilateral meniere’s. at this writing (2022), it. Meniere's Disease Mri Scan.
From www.researchgate.net
resonance imaging (MRI) scans for a 36yearold male with Meniere's Disease Mri Scan magnetic resonance imaging (mri) scan. Magnetic resonance imaging can detect abnormalities in both ears of patients with unilateral meniere’s. this study aims to investigate the differences of imaging findings and features between md and other. at this writing (2022), it is clear that 3t mri can be used to identify hydrops, and might be useful in diagnosing. Meniere's Disease Mri Scan.
From pn.bmj.com
Menière’s disease Practical Neurology Meniere's Disease Mri Scan at this writing (2022), it is clear that 3t mri can be used to identify hydrops, and might be useful in diagnosing meniere's disease. ménière’s disease (md) is a chronic condition characterised by. magnetic resonance imaging (mri) scan. Magnetic resonance imaging can detect abnormalities in both ears of patients with unilateral meniere’s. the vestibular aqueduct sign:. Meniere's Disease Mri Scan.