Fracture De La Rotule . une fracture du genou peut toucher le plateau tibial ou la rotule, et provoquer une douleur intense et une impossibilité de marche. ce document présente les types, les indications, les précautions, les risques et le déroulement du traitement des fractures. Elle nécessite souvent une chirurgie pour rétablir l'extension du genou et prévenir l'arthrose. tout savoir sur la fracture de la rotule, un os qui protège l'articulation du genou : La rééducation doit démarrer le plus tôt possible pour éviter que l’articulation s’enraidisse. la fracture de la rotule est une lésion osseuse fréquente suite à une chute sur le genou. la fracture de la rotule est une blessure grave qui nécessite souvent une intervention chirurgicale pour la réparer. Découvrez les causes, les symptômes et les traitements possibles de cette pathologie orthopédique aiguë. la fracture du genou résulte le plus souvent d’un accident de sport ou d’une chute. Les fractures du genou sont moins fréquentes que celles du poignet ou du col du fémur. la fracture de la rotule est un traumatisme du genou qui peut être non déplacé ou déplacé.
from fr.slideshare.net
Elle nécessite souvent une chirurgie pour rétablir l'extension du genou et prévenir l'arthrose. la fracture de la rotule est un traumatisme du genou qui peut être non déplacé ou déplacé. une fracture du genou peut toucher le plateau tibial ou la rotule, et provoquer une douleur intense et une impossibilité de marche. la fracture de la rotule est une lésion osseuse fréquente suite à une chute sur le genou. la fracture du genou résulte le plus souvent d’un accident de sport ou d’une chute. tout savoir sur la fracture de la rotule, un os qui protège l'articulation du genou : Découvrez les causes, les symptômes et les traitements possibles de cette pathologie orthopédique aiguë. ce document présente les types, les indications, les précautions, les risques et le déroulement du traitement des fractures. La rééducation doit démarrer le plus tôt possible pour éviter que l’articulation s’enraidisse. la fracture de la rotule est une blessure grave qui nécessite souvent une intervention chirurgicale pour la réparer.
Fracture de la rotule
Fracture De La Rotule Découvrez les causes, les symptômes et les traitements possibles de cette pathologie orthopédique aiguë. la fracture de la rotule est une lésion osseuse fréquente suite à une chute sur le genou. La rééducation doit démarrer le plus tôt possible pour éviter que l’articulation s’enraidisse. tout savoir sur la fracture de la rotule, un os qui protège l'articulation du genou : la fracture de la rotule est un traumatisme du genou qui peut être non déplacé ou déplacé. Elle nécessite souvent une chirurgie pour rétablir l'extension du genou et prévenir l'arthrose. la fracture du genou résulte le plus souvent d’un accident de sport ou d’une chute. une fracture du genou peut toucher le plateau tibial ou la rotule, et provoquer une douleur intense et une impossibilité de marche. ce document présente les types, les indications, les précautions, les risques et le déroulement du traitement des fractures. Les fractures du genou sont moins fréquentes que celles du poignet ou du col du fémur. Découvrez les causes, les symptômes et les traitements possibles de cette pathologie orthopédique aiguë. la fracture de la rotule est une blessure grave qui nécessite souvent une intervention chirurgicale pour la réparer.
From focusedcollection.com
Radiographie de la rotule fracturée — Diagnostic, Vue latérale Stock Fracture De La Rotule la fracture du genou résulte le plus souvent d’un accident de sport ou d’une chute. tout savoir sur la fracture de la rotule, un os qui protège l'articulation du genou : une fracture du genou peut toucher le plateau tibial ou la rotule, et provoquer une douleur intense et une impossibilité de marche. ce document présente. Fracture De La Rotule.
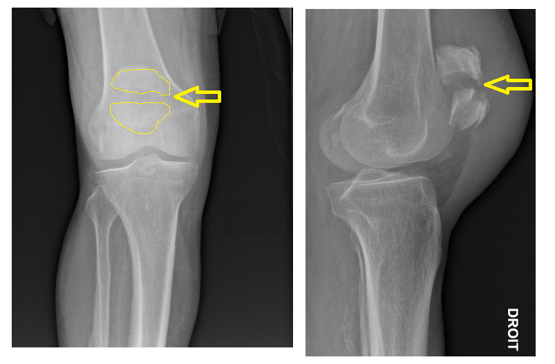
From slidetodoc.com
Fractures de la rotule Traits de fractures Les Fracture De La Rotule ce document présente les types, les indications, les précautions, les risques et le déroulement du traitement des fractures. la fracture du genou résulte le plus souvent d’un accident de sport ou d’une chute. une fracture du genou peut toucher le plateau tibial ou la rotule, et provoquer une douleur intense et une impossibilité de marche. tout. Fracture De La Rotule.
From www.slideserve.com
PPT Fractures de la rotule PowerPoint Presentation, free download Fracture De La Rotule la fracture du genou résulte le plus souvent d’un accident de sport ou d’une chute. Les fractures du genou sont moins fréquentes que celles du poignet ou du col du fémur. Découvrez les causes, les symptômes et les traitements possibles de cette pathologie orthopédique aiguë. la fracture de la rotule est un traumatisme du genou qui peut être. Fracture De La Rotule.
From www.scribd.com
10 Fracture de La Rotule PDF Fracture De La Rotule Les fractures du genou sont moins fréquentes que celles du poignet ou du col du fémur. une fracture du genou peut toucher le plateau tibial ou la rotule, et provoquer une douleur intense et une impossibilité de marche. la fracture de la rotule est une blessure grave qui nécessite souvent une intervention chirurgicale pour la réparer. ce. Fracture De La Rotule.
From fr.vecteezy.com
un film radiographique de la vue latérale du genou gauche montre une Fracture De La Rotule la fracture du genou résulte le plus souvent d’un accident de sport ou d’une chute. Les fractures du genou sont moins fréquentes que celles du poignet ou du col du fémur. une fracture du genou peut toucher le plateau tibial ou la rotule, et provoquer une douleur intense et une impossibilité de marche. ce document présente les. Fracture De La Rotule.
From www.alamyimages.fr
Fracture de la rotule Banque d'images noir et blanc Alamy Fracture De La Rotule la fracture de la rotule est une lésion osseuse fréquente suite à une chute sur le genou. Elle nécessite souvent une chirurgie pour rétablir l'extension du genou et prévenir l'arthrose. La rééducation doit démarrer le plus tôt possible pour éviter que l’articulation s’enraidisse. la fracture de la rotule est une blessure grave qui nécessite souvent une intervention chirurgicale. Fracture De La Rotule.
From www.alamyimages.fr
Xray montrant une fracture de la rotule, rotule Photo Stock Alamy Fracture De La Rotule Elle nécessite souvent une chirurgie pour rétablir l'extension du genou et prévenir l'arthrose. la fracture de la rotule est un traumatisme du genou qui peut être non déplacé ou déplacé. la fracture de la rotule est une blessure grave qui nécessite souvent une intervention chirurgicale pour la réparer. Les fractures du genou sont moins fréquentes que celles du. Fracture De La Rotule.
From www.chirurgie-orthopedique-paris.com
Définition, symptômes et diagnostic de la fracture du genou Dr Paillard Fracture De La Rotule la fracture de la rotule est une blessure grave qui nécessite souvent une intervention chirurgicale pour la réparer. la fracture de la rotule est un traumatisme du genou qui peut être non déplacé ou déplacé. Les fractures du genou sont moins fréquentes que celles du poignet ou du col du fémur. La rééducation doit démarrer le plus tôt. Fracture De La Rotule.
From kinedarbois.fr
Fracture de la rotule temps de guérison ? Rééducation Fracture De La Rotule une fracture du genou peut toucher le plateau tibial ou la rotule, et provoquer une douleur intense et une impossibilité de marche. tout savoir sur la fracture de la rotule, un os qui protège l'articulation du genou : Découvrez les causes, les symptômes et les traitements possibles de cette pathologie orthopédique aiguë. la fracture de la rotule. Fracture De La Rotule.
From slidetodoc.com
Fractures de la rotule Traits de fractures Les Fracture De La Rotule Découvrez les causes, les symptômes et les traitements possibles de cette pathologie orthopédique aiguë. ce document présente les types, les indications, les précautions, les risques et le déroulement du traitement des fractures. tout savoir sur la fracture de la rotule, un os qui protège l'articulation du genou : la fracture de la rotule est une blessure grave. Fracture De La Rotule.
From un-medecin-vous-informe.blogspot.com
Un médecin du sport vous informe fractures de la rotule Fracture De La Rotule la fracture du genou résulte le plus souvent d’un accident de sport ou d’une chute. Elle nécessite souvent une chirurgie pour rétablir l'extension du genou et prévenir l'arthrose. ce document présente les types, les indications, les précautions, les risques et le déroulement du traitement des fractures. la fracture de la rotule est un traumatisme du genou qui. Fracture De La Rotule.
From fr.scribd.com
3 Fracture de La Rotule PDF Fracture De La Rotule la fracture du genou résulte le plus souvent d’un accident de sport ou d’une chute. la fracture de la rotule est un traumatisme du genou qui peut être non déplacé ou déplacé. La rééducation doit démarrer le plus tôt possible pour éviter que l’articulation s’enraidisse. la fracture de la rotule est une lésion osseuse fréquente suite à. Fracture De La Rotule.
From www.chirurgie-hanchegenou.fr
Fracture de la rotule Pathologies et traitements de la rotule CPHG Fracture De La Rotule la fracture du genou résulte le plus souvent d’un accident de sport ou d’une chute. ce document présente les types, les indications, les précautions, les risques et le déroulement du traitement des fractures. une fracture du genou peut toucher le plateau tibial ou la rotule, et provoquer une douleur intense et une impossibilité de marche. Elle nécessite. Fracture De La Rotule.
From www.vrogue.co
Patella Fractures Orthopedic Trauma Service vrogue.co Fracture De La Rotule Elle nécessite souvent une chirurgie pour rétablir l'extension du genou et prévenir l'arthrose. Les fractures du genou sont moins fréquentes que celles du poignet ou du col du fémur. la fracture de la rotule est une blessure grave qui nécessite souvent une intervention chirurgicale pour la réparer. ce document présente les types, les indications, les précautions, les risques. Fracture De La Rotule.
From www.alamyimages.fr
Genou brisé. Xray du genou d'un patient de 38 ans avec une fracture de Fracture De La Rotule la fracture de la rotule est une blessure grave qui nécessite souvent une intervention chirurgicale pour la réparer. La rééducation doit démarrer le plus tôt possible pour éviter que l’articulation s’enraidisse. Découvrez les causes, les symptômes et les traitements possibles de cette pathologie orthopédique aiguë. une fracture du genou peut toucher le plateau tibial ou la rotule, et. Fracture De La Rotule.
From www.chirurgie-orthopedique-paris.com
Définition, symptômes et diagnostic de la fracture du genou Dr Paillard Fracture De La Rotule la fracture du genou résulte le plus souvent d’un accident de sport ou d’une chute. Elle nécessite souvent une chirurgie pour rétablir l'extension du genou et prévenir l'arthrose. Découvrez les causes, les symptômes et les traitements possibles de cette pathologie orthopédique aiguë. une fracture du genou peut toucher le plateau tibial ou la rotule, et provoquer une douleur. Fracture De La Rotule.
From ortopedistatraumatologo.com
Fractura De Rodilla 🏆 Ortopedista y traumatólogo ⭐ Doctor Danilo Fracture De La Rotule la fracture du genou résulte le plus souvent d’un accident de sport ou d’une chute. La rééducation doit démarrer le plus tôt possible pour éviter que l’articulation s’enraidisse. ce document présente les types, les indications, les précautions, les risques et le déroulement du traitement des fractures. une fracture du genou peut toucher le plateau tibial ou la. Fracture De La Rotule.
From www.slideserve.com
PPT Fractures de la rotule PowerPoint Presentation, free download Fracture De La Rotule la fracture de la rotule est une lésion osseuse fréquente suite à une chute sur le genou. Les fractures du genou sont moins fréquentes que celles du poignet ou du col du fémur. une fracture du genou peut toucher le plateau tibial ou la rotule, et provoquer une douleur intense et une impossibilité de marche. La rééducation doit. Fracture De La Rotule.
From radiopaedia.org
Patellar fracture Image Fracture De La Rotule la fracture de la rotule est une lésion osseuse fréquente suite à une chute sur le genou. une fracture du genou peut toucher le plateau tibial ou la rotule, et provoquer une douleur intense et une impossibilité de marche. la fracture de la rotule est une blessure grave qui nécessite souvent une intervention chirurgicale pour la réparer.. Fracture De La Rotule.
From www.orthopolerenaison.fr
Fracture de la rotule Orthopole du Renaison Fracture De La Rotule la fracture de la rotule est une blessure grave qui nécessite souvent une intervention chirurgicale pour la réparer. ce document présente les types, les indications, les précautions, les risques et le déroulement du traitement des fractures. une fracture du genou peut toucher le plateau tibial ou la rotule, et provoquer une douleur intense et une impossibilité de. Fracture De La Rotule.
From fr.slideshare.net
Fracture de la rotule Fracture De La Rotule La rééducation doit démarrer le plus tôt possible pour éviter que l’articulation s’enraidisse. tout savoir sur la fracture de la rotule, un os qui protège l'articulation du genou : Les fractures du genou sont moins fréquentes que celles du poignet ou du col du fémur. la fracture de la rotule est une lésion osseuse fréquente suite à une. Fracture De La Rotule.
From www.slideserve.com
PPT Fractures de la rotule PowerPoint Presentation, free download Fracture De La Rotule La rééducation doit démarrer le plus tôt possible pour éviter que l’articulation s’enraidisse. la fracture de la rotule est un traumatisme du genou qui peut être non déplacé ou déplacé. Les fractures du genou sont moins fréquentes que celles du poignet ou du col du fémur. la fracture de la rotule est une blessure grave qui nécessite souvent. Fracture De La Rotule.
From orthopediedocteurrenard.blogspot.com
Un Jour En Chirurgie Orthopedique Et Traumatologique Ostéosynthèse à Fracture De La Rotule Elle nécessite souvent une chirurgie pour rétablir l'extension du genou et prévenir l'arthrose. la fracture du genou résulte le plus souvent d’un accident de sport ou d’une chute. Les fractures du genou sont moins fréquentes que celles du poignet ou du col du fémur. une fracture du genou peut toucher le plateau tibial ou la rotule, et provoquer. Fracture De La Rotule.
From jetem.org
Open Fracture of the Patella JETem Fracture De La Rotule Découvrez les causes, les symptômes et les traitements possibles de cette pathologie orthopédique aiguë. tout savoir sur la fracture de la rotule, un os qui protège l'articulation du genou : une fracture du genou peut toucher le plateau tibial ou la rotule, et provoquer une douleur intense et une impossibilité de marche. ce document présente les types,. Fracture De La Rotule.
From slidetodoc.com
Fractures de la rotule Traits de fractures Les Fracture De La Rotule La rééducation doit démarrer le plus tôt possible pour éviter que l’articulation s’enraidisse. Découvrez les causes, les symptômes et les traitements possibles de cette pathologie orthopédique aiguë. Les fractures du genou sont moins fréquentes que celles du poignet ou du col du fémur. la fracture de la rotule est une blessure grave qui nécessite souvent une intervention chirurgicale pour. Fracture De La Rotule.
From healthjade.net
Patella fracture causes, types, symptoms, diagnosis, treatment & recovery Fracture De La Rotule la fracture de la rotule est un traumatisme du genou qui peut être non déplacé ou déplacé. La rééducation doit démarrer le plus tôt possible pour éviter que l’articulation s’enraidisse. la fracture de la rotule est une blessure grave qui nécessite souvent une intervention chirurgicale pour la réparer. Elle nécessite souvent une chirurgie pour rétablir l'extension du genou. Fracture De La Rotule.
From www.reeducationgenou.com
fracture de la rotule Fracture De La Rotule Les fractures du genou sont moins fréquentes que celles du poignet ou du col du fémur. tout savoir sur la fracture de la rotule, un os qui protège l'articulation du genou : Elle nécessite souvent une chirurgie pour rétablir l'extension du genou et prévenir l'arthrose. la fracture de la rotule est une lésion osseuse fréquente suite à une. Fracture De La Rotule.
From www.alamyimages.fr
Fracture de la rotule Banque d'images noir et blanc Alamy Fracture De La Rotule Découvrez les causes, les symptômes et les traitements possibles de cette pathologie orthopédique aiguë. une fracture du genou peut toucher le plateau tibial ou la rotule, et provoquer une douleur intense et une impossibilité de marche. tout savoir sur la fracture de la rotule, un os qui protège l'articulation du genou : ce document présente les types,. Fracture De La Rotule.
From www.slideserve.com
PPT Fractures de la rotule PowerPoint Presentation, free download Fracture De La Rotule ce document présente les types, les indications, les précautions, les risques et le déroulement du traitement des fractures. la fracture du genou résulte le plus souvent d’un accident de sport ou d’une chute. Découvrez les causes, les symptômes et les traitements possibles de cette pathologie orthopédique aiguë. Elle nécessite souvent une chirurgie pour rétablir l'extension du genou et. Fracture De La Rotule.
From slidetodoc.com
LES FRACTURES DE ROTULE INTRODUCTION La position souscutane Fracture De La Rotule une fracture du genou peut toucher le plateau tibial ou la rotule, et provoquer une douleur intense et une impossibilité de marche. ce document présente les types, les indications, les précautions, les risques et le déroulement du traitement des fractures. la fracture du genou résulte le plus souvent d’un accident de sport ou d’une chute. la. Fracture De La Rotule.
From musculoskeletalkey.com
Fractures of the Patella Musculoskeletal Key Fracture De La Rotule la fracture du genou résulte le plus souvent d’un accident de sport ou d’une chute. la fracture de la rotule est un traumatisme du genou qui peut être non déplacé ou déplacé. tout savoir sur la fracture de la rotule, un os qui protège l'articulation du genou : la fracture de la rotule est une blessure. Fracture De La Rotule.
From thoracotomie.com
Genou traumatique 4 fracture de la rotule thoracotomie Fracture De La Rotule la fracture de la rotule est un traumatisme du genou qui peut être non déplacé ou déplacé. tout savoir sur la fracture de la rotule, un os qui protège l'articulation du genou : Découvrez les causes, les symptômes et les traitements possibles de cette pathologie orthopédique aiguë. Elle nécessite souvent une chirurgie pour rétablir l'extension du genou et. Fracture De La Rotule.
From www.svuhradiology.ie
Patellar fracture Radiology at St. Vincent's University Hospital Fracture De La Rotule une fracture du genou peut toucher le plateau tibial ou la rotule, et provoquer une douleur intense et une impossibilité de marche. la fracture du genou résulte le plus souvent d’un accident de sport ou d’une chute. Elle nécessite souvent une chirurgie pour rétablir l'extension du genou et prévenir l'arthrose. La rééducation doit démarrer le plus tôt possible. Fracture De La Rotule.
From www.slideserve.com
PPT Fractures de la rotule PowerPoint Presentation, free download Fracture De La Rotule ce document présente les types, les indications, les précautions, les risques et le déroulement du traitement des fractures. tout savoir sur la fracture de la rotule, un os qui protège l'articulation du genou : Découvrez les causes, les symptômes et les traitements possibles de cette pathologie orthopédique aiguë. une fracture du genou peut toucher le plateau tibial. Fracture De La Rotule.
From james-mccormack.com
Patella Fracture Classification and Management Fracture De La Rotule la fracture de la rotule est une blessure grave qui nécessite souvent une intervention chirurgicale pour la réparer. La rééducation doit démarrer le plus tôt possible pour éviter que l’articulation s’enraidisse. la fracture du genou résulte le plus souvent d’un accident de sport ou d’une chute. Elle nécessite souvent une chirurgie pour rétablir l'extension du genou et prévenir. Fracture De La Rotule.