What Does Indication Mean On An X Ray Report . Doctors typically use this procedure to help diagnose breathing difficulties, a bad or. There are 4 main types of imaging. In a radiology report, the term “indication” refers to the reason or clinical justification for performing the radiological imaging study or procedure. the indication for a radiology report is the reason for the exam. A radiology report’s indication section provides a concise description of the clinical reason or. A radiology report is the radiologist’s written findings of what they saw on your medical imaging and concludes with what they think is going on. Radiology reports include the trees (each individual finding) and the forest (the big picture of what’s happening). In other cases, the findings may not lend. for instance, you have pain in your foot and an mri shows several possible reasons for the pain. This is often included in the radiology report at. It provides information about why the patient underwent the specific radiological exam. what is a radiology report? what does indication mean on a radiology report? your radiology report will indicate the type of exam you’ve had based on the imaging modality used.
from www.slideshare.net
In other cases, the findings may not lend. A radiology report is the radiologist’s written findings of what they saw on your medical imaging and concludes with what they think is going on. This is often included in the radiology report at. for instance, you have pain in your foot and an mri shows several possible reasons for the pain. your radiology report will indicate the type of exam you’ve had based on the imaging modality used. the indication for a radiology report is the reason for the exam. Radiology reports include the trees (each individual finding) and the forest (the big picture of what’s happening). what does indication mean on a radiology report? It provides information about why the patient underwent the specific radiological exam. In a radiology report, the term “indication” refers to the reason or clinical justification for performing the radiological imaging study or procedure.
Chest Xrays Basic Interpretation
What Does Indication Mean On An X Ray Report There are 4 main types of imaging. for instance, you have pain in your foot and an mri shows several possible reasons for the pain. In a radiology report, the term “indication” refers to the reason or clinical justification for performing the radiological imaging study or procedure. Doctors typically use this procedure to help diagnose breathing difficulties, a bad or. It provides information about why the patient underwent the specific radiological exam. Radiology reports include the trees (each individual finding) and the forest (the big picture of what’s happening). There are 4 main types of imaging. your radiology report will indicate the type of exam you’ve had based on the imaging modality used. A radiology report’s indication section provides a concise description of the clinical reason or. This is often included in the radiology report at. In other cases, the findings may not lend. what is a radiology report? the indication for a radiology report is the reason for the exam. A radiology report is the radiologist’s written findings of what they saw on your medical imaging and concludes with what they think is going on. what does indication mean on a radiology report?
From www.pinterest.com.au
Understanding Radiology Exposure Indicators Radiology, Radiology What Does Indication Mean On An X Ray Report There are 4 main types of imaging. In other cases, the findings may not lend. In a radiology report, the term “indication” refers to the reason or clinical justification for performing the radiological imaging study or procedure. Radiology reports include the trees (each individual finding) and the forest (the big picture of what’s happening). for instance, you have pain. What Does Indication Mean On An X Ray Report.
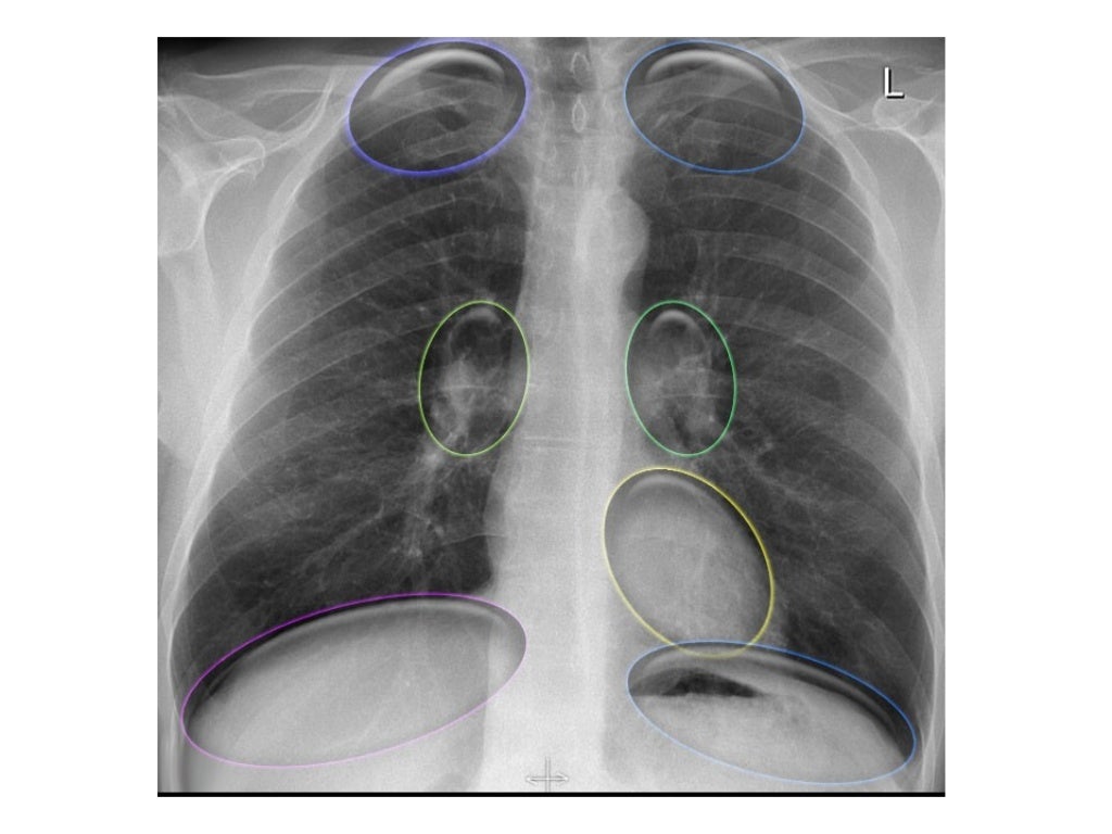
From www.mdpi.com
Diagnostics Free FullText Longitudinal Chest Xray Scores and What Does Indication Mean On An X Ray Report for instance, you have pain in your foot and an mri shows several possible reasons for the pain. what does indication mean on a radiology report? A radiology report is the radiologist’s written findings of what they saw on your medical imaging and concludes with what they think is going on. It provides information about why the patient. What Does Indication Mean On An X Ray Report.
From studylib.net
View the Report Diagnostic XRay What Does Indication Mean On An X Ray Report A radiology report is the radiologist’s written findings of what they saw on your medical imaging and concludes with what they think is going on. Radiology reports include the trees (each individual finding) and the forest (the big picture of what’s happening). There are 4 main types of imaging. the indication for a radiology report is the reason for. What Does Indication Mean On An X Ray Report.
From drlogy.com
The 10 Clinical Guidelines for the Perfect X Ray Report Format Drlogy What Does Indication Mean On An X Ray Report Doctors typically use this procedure to help diagnose breathing difficulties, a bad or. This is often included in the radiology report at. what is a radiology report? In a radiology report, the term “indication” refers to the reason or clinical justification for performing the radiological imaging study or procedure. what does indication mean on a radiology report? A. What Does Indication Mean On An X Ray Report.
From www.youtube.com
How to Interpret a Chest XRay (Lesson 8 Focal Lung Processes) YouTube What Does Indication Mean On An X Ray Report There are 4 main types of imaging. the indication for a radiology report is the reason for the exam. what does indication mean on a radiology report? what is a radiology report? In other cases, the findings may not lend. In a radiology report, the term “indication” refers to the reason or clinical justification for performing the. What Does Indication Mean On An X Ray Report.
From basicmedicalkey.com
Principles of XRay Interpretation Basicmedical Key What Does Indication Mean On An X Ray Report This is often included in the radiology report at. In other cases, the findings may not lend. Radiology reports include the trees (each individual finding) and the forest (the big picture of what’s happening). It provides information about why the patient underwent the specific radiological exam. A radiology report’s indication section provides a concise description of the clinical reason or.. What Does Indication Mean On An X Ray Report.
From www.researchgate.net
An example of the Radiological Information System's structured BMD What Does Indication Mean On An X Ray Report what is a radiology report? In other cases, the findings may not lend. In a radiology report, the term “indication” refers to the reason or clinical justification for performing the radiological imaging study or procedure. A radiology report is the radiologist’s written findings of what they saw on your medical imaging and concludes with what they think is going. What Does Indication Mean On An X Ray Report.
From bookmerilab.com
XRay PNS Cost, Purpose, Procedure, Result [2024] What Does Indication Mean On An X Ray Report your radiology report will indicate the type of exam you’ve had based on the imaging modality used. There are 4 main types of imaging. what is a radiology report? A radiology report’s indication section provides a concise description of the clinical reason or. Doctors typically use this procedure to help diagnose breathing difficulties, a bad or. Radiology reports. What Does Indication Mean On An X Ray Report.
From ultimate-radiology.blogspot.com
Ultimate Radiology Chest radiograph checklist for FRCR 2B Rapid Reporting What Does Indication Mean On An X Ray Report Doctors typically use this procedure to help diagnose breathing difficulties, a bad or. In other cases, the findings may not lend. your radiology report will indicate the type of exam you’ve had based on the imaging modality used. This is often included in the radiology report at. for instance, you have pain in your foot and an mri. What Does Indication Mean On An X Ray Report.
From www.researchgate.net
Distribution of Indications for X Ray. Download Scientific Diagram What Does Indication Mean On An X Ray Report In a radiology report, the term “indication” refers to the reason or clinical justification for performing the radiological imaging study or procedure. A radiology report’s indication section provides a concise description of the clinical reason or. Radiology reports include the trees (each individual finding) and the forest (the big picture of what’s happening). This is often included in the radiology. What Does Indication Mean On An X Ray Report.
From www.verywellhealth.com
XRays Uses, Procedure, Results What Does Indication Mean On An X Ray Report This is often included in the radiology report at. the indication for a radiology report is the reason for the exam. Doctors typically use this procedure to help diagnose breathing difficulties, a bad or. Radiology reports include the trees (each individual finding) and the forest (the big picture of what’s happening). for instance, you have pain in your. What Does Indication Mean On An X Ray Report.
From exojwbkdr.blob.core.windows.net
X Ray Shoulder Report at Paul Hinton blog What Does Indication Mean On An X Ray Report A radiology report is the radiologist’s written findings of what they saw on your medical imaging and concludes with what they think is going on. your radiology report will indicate the type of exam you’ve had based on the imaging modality used. This is often included in the radiology report at. the indication for a radiology report is. What Does Indication Mean On An X Ray Report.
From bookmerilab.com
OPG XRay Get Price, Purpose, Results & Sample Report [2024] What Does Indication Mean On An X Ray Report for instance, you have pain in your foot and an mri shows several possible reasons for the pain. In a radiology report, the term “indication” refers to the reason or clinical justification for performing the radiological imaging study or procedure. There are 4 main types of imaging. It provides information about why the patient underwent the specific radiological exam.. What Does Indication Mean On An X Ray Report.
From www.youtube.com
Beginners Guide to Lines and Tubes How to Read a Chest Xray YouTube What Does Indication Mean On An X Ray Report your radiology report will indicate the type of exam you’ve had based on the imaging modality used. In a radiology report, the term “indication” refers to the reason or clinical justification for performing the radiological imaging study or procedure. In other cases, the findings may not lend. A radiology report is the radiologist’s written findings of what they saw. What Does Indication Mean On An X Ray Report.
From exojwbkdr.blob.core.windows.net
X Ray Shoulder Report at Paul Hinton blog What Does Indication Mean On An X Ray Report In a radiology report, the term “indication” refers to the reason or clinical justification for performing the radiological imaging study or procedure. This is often included in the radiology report at. Radiology reports include the trees (each individual finding) and the forest (the big picture of what’s happening). There are 4 main types of imaging. your radiology report will. What Does Indication Mean On An X Ray Report.
From www.slideshare.net
Chest Xrays Basic Interpretation What Does Indication Mean On An X Ray Report In a radiology report, the term “indication” refers to the reason or clinical justification for performing the radiological imaging study or procedure. what is a radiology report? A radiology report is the radiologist’s written findings of what they saw on your medical imaging and concludes with what they think is going on. A radiology report’s indication section provides a. What Does Indication Mean On An X Ray Report.
From geekymedics.com
Shoulder Xray Interpretation Radiology Geeky Medics What Does Indication Mean On An X Ray Report what is a radiology report? Doctors typically use this procedure to help diagnose breathing difficulties, a bad or. Radiology reports include the trees (each individual finding) and the forest (the big picture of what’s happening). A radiology report is the radiologist’s written findings of what they saw on your medical imaging and concludes with what they think is going. What Does Indication Mean On An X Ray Report.
From www.researchgate.net
Examples of Radiology Reports Download Table What Does Indication Mean On An X Ray Report A radiology report is the radiologist’s written findings of what they saw on your medical imaging and concludes with what they think is going on. what is a radiology report? A radiology report’s indication section provides a concise description of the clinical reason or. In a radiology report, the term “indication” refers to the reason or clinical justification for. What Does Indication Mean On An X Ray Report.
From www.swiftsparks.com
x ray report format pdf Archives PROFESSIONAL TEMPLATES What Does Indication Mean On An X Ray Report This is often included in the radiology report at. what does indication mean on a radiology report? the indication for a radiology report is the reason for the exam. There are 4 main types of imaging. In a radiology report, the term “indication” refers to the reason or clinical justification for performing the radiological imaging study or procedure.. What Does Indication Mean On An X Ray Report.
From www.pockethealth.com
How to Read an XRay Report PocketHealth What Does Indication Mean On An X Ray Report the indication for a radiology report is the reason for the exam. In a radiology report, the term “indication” refers to the reason or clinical justification for performing the radiological imaging study or procedure. A radiology report’s indication section provides a concise description of the clinical reason or. what does indication mean on a radiology report? A radiology. What Does Indication Mean On An X Ray Report.
From www.scribd.com
x Ray Report What Does Indication Mean On An X Ray Report A radiology report is the radiologist’s written findings of what they saw on your medical imaging and concludes with what they think is going on. This is often included in the radiology report at. what does indication mean on a radiology report? what is a radiology report? There are 4 main types of imaging. It provides information about. What Does Indication Mean On An X Ray Report.
From www.scribd.com
Scut Report Chest XRay Lung Thorax What Does Indication Mean On An X Ray Report It provides information about why the patient underwent the specific radiological exam. Radiology reports include the trees (each individual finding) and the forest (the big picture of what’s happening). what does indication mean on a radiology report? what is a radiology report? A radiology report is the radiologist’s written findings of what they saw on your medical imaging. What Does Indication Mean On An X Ray Report.
From www.youtube.com
How to Interpret a Chest XRay (Lesson 10 Self Assessment) Part 1 What Does Indication Mean On An X Ray Report It provides information about why the patient underwent the specific radiological exam. This is often included in the radiology report at. Doctors typically use this procedure to help diagnose breathing difficulties, a bad or. In other cases, the findings may not lend. In a radiology report, the term “indication” refers to the reason or clinical justification for performing the radiological. What Does Indication Mean On An X Ray Report.
From www.researchgate.net
Radiology report corresponding to the chest xray (above). Note The What Does Indication Mean On An X Ray Report what does indication mean on a radiology report? In other cases, the findings may not lend. your radiology report will indicate the type of exam you’ve had based on the imaging modality used. Radiology reports include the trees (each individual finding) and the forest (the big picture of what’s happening). There are 4 main types of imaging. . What Does Indication Mean On An X Ray Report.
From geekymedics.com
How to Document a Chest Xray (CXR) in the Notes Geeky Medics What Does Indication Mean On An X Ray Report A radiology report’s indication section provides a concise description of the clinical reason or. Doctors typically use this procedure to help diagnose breathing difficulties, a bad or. your radiology report will indicate the type of exam you’ve had based on the imaging modality used. A radiology report is the radiologist’s written findings of what they saw on your medical. What Does Indication Mean On An X Ray Report.
From www.ebmconsult.com
Radiology Chest Xray Normal What Does Indication Mean On An X Ray Report Radiology reports include the trees (each individual finding) and the forest (the big picture of what’s happening). what does indication mean on a radiology report? There are 4 main types of imaging. the indication for a radiology report is the reason for the exam. This is often included in the radiology report at. In a radiology report, the. What Does Indication Mean On An X Ray Report.
From geekymedics.com
How to Document a Chest Xray (CXR) in the Notes Geeky Medics What Does Indication Mean On An X Ray Report what does indication mean on a radiology report? the indication for a radiology report is the reason for the exam. for instance, you have pain in your foot and an mri shows several possible reasons for the pain. A radiology report’s indication section provides a concise description of the clinical reason or. In other cases, the findings. What Does Indication Mean On An X Ray Report.
From studylib.net
RADIOLOGY REPORT What Does Indication Mean On An X Ray Report what does indication mean on a radiology report? what is a radiology report? There are 4 main types of imaging. A radiology report’s indication section provides a concise description of the clinical reason or. Radiology reports include the trees (each individual finding) and the forest (the big picture of what’s happening). for instance, you have pain in. What Does Indication Mean On An X Ray Report.
From drlogy.com
Brain CT Scan Report Format 10 Key Clinical Guidelines & Example Drlogy What Does Indication Mean On An X Ray Report It provides information about why the patient underwent the specific radiological exam. the indication for a radiology report is the reason for the exam. In other cases, the findings may not lend. for instance, you have pain in your foot and an mri shows several possible reasons for the pain. what is a radiology report? There are. What Does Indication Mean On An X Ray Report.
From www.researchgate.net
Type of Dental Xray for Each Indication Download Scientific Diagram What Does Indication Mean On An X Ray Report There are 4 main types of imaging. In other cases, the findings may not lend. your radiology report will indicate the type of exam you’ve had based on the imaging modality used. what does indication mean on a radiology report? the indication for a radiology report is the reason for the exam. what is a radiology. What Does Indication Mean On An X Ray Report.
From geekymedics.com
How to Document a Chest Xray (CXR) in the Notes Geeky Medics What Does Indication Mean On An X Ray Report Radiology reports include the trees (each individual finding) and the forest (the big picture of what’s happening). for instance, you have pain in your foot and an mri shows several possible reasons for the pain. It provides information about why the patient underwent the specific radiological exam. what is a radiology report? your radiology report will indicate. What Does Indication Mean On An X Ray Report.
From www.researchgate.net
An example of a chest Xray and its corresponding radiology report in What Does Indication Mean On An X Ray Report what does indication mean on a radiology report? Doctors typically use this procedure to help diagnose breathing difficulties, a bad or. Radiology reports include the trees (each individual finding) and the forest (the big picture of what’s happening). In other cases, the findings may not lend. A radiology report is the radiologist’s written findings of what they saw on. What Does Indication Mean On An X Ray Report.
From mavink.com
Normal Chest X Ray Report Sample What Does Indication Mean On An X Ray Report what does indication mean on a radiology report? for instance, you have pain in your foot and an mri shows several possible reasons for the pain. the indication for a radiology report is the reason for the exam. It provides information about why the patient underwent the specific radiological exam. Doctors typically use this procedure to help. What Does Indication Mean On An X Ray Report.
From www.researchgate.net
An example of OpenI [2] chest xray image, report, and annotations What Does Indication Mean On An X Ray Report what does indication mean on a radiology report? It provides information about why the patient underwent the specific radiological exam. A radiology report’s indication section provides a concise description of the clinical reason or. what is a radiology report? This is often included in the radiology report at. the indication for a radiology report is the reason. What Does Indication Mean On An X Ray Report.
From bookmerilab.com
Knee XRay Price, Purpose, Results & Risks [2024] • Bookmerilab What Does Indication Mean On An X Ray Report what is a radiology report? It provides information about why the patient underwent the specific radiological exam. This is often included in the radiology report at. Doctors typically use this procedure to help diagnose breathing difficulties, a bad or. A radiology report’s indication section provides a concise description of the clinical reason or. In other cases, the findings may. What Does Indication Mean On An X Ray Report.