Anesthesia Pulmonary Oedema . Several risk factors have been. negative pressure pulmonary edema (nppe) is a dangerous clinical. Several risk factors have been. before making the diagnosis of negative pressure pulmonary edema (nppe), other causes of pulmonary edema must be considered, particularly those. pulmonary edema increasingly is recognized as a perioperative complication affecting outcome. Postoperative pulmonary complications (ppc) are the most common medium term complications after major surgery 1 and have a. the causes of pulmonary oedema are cardiac failure, fluid overload, airway obstruction, acid aspiration, gas. pulmonary edema increasingly is recognized as a perioperative complication affecting outcome.
from www.slideserve.com
pulmonary edema increasingly is recognized as a perioperative complication affecting outcome. Postoperative pulmonary complications (ppc) are the most common medium term complications after major surgery 1 and have a. Several risk factors have been. pulmonary edema increasingly is recognized as a perioperative complication affecting outcome. Several risk factors have been. negative pressure pulmonary edema (nppe) is a dangerous clinical. the causes of pulmonary oedema are cardiac failure, fluid overload, airway obstruction, acid aspiration, gas. before making the diagnosis of negative pressure pulmonary edema (nppe), other causes of pulmonary edema must be considered, particularly those.
PPT Acute Pulmonary Edema During Emergence from Anesthesia PowerPoint
Anesthesia Pulmonary Oedema negative pressure pulmonary edema (nppe) is a dangerous clinical. pulmonary edema increasingly is recognized as a perioperative complication affecting outcome. pulmonary edema increasingly is recognized as a perioperative complication affecting outcome. Postoperative pulmonary complications (ppc) are the most common medium term complications after major surgery 1 and have a. Several risk factors have been. the causes of pulmonary oedema are cardiac failure, fluid overload, airway obstruction, acid aspiration, gas. before making the diagnosis of negative pressure pulmonary edema (nppe), other causes of pulmonary edema must be considered, particularly those. negative pressure pulmonary edema (nppe) is a dangerous clinical. Several risk factors have been.
From calgaryguide.ucalgary.ca
Negative Pressure Pulmonary Edema Pathophysiology Calgary Guide Anesthesia Pulmonary Oedema Postoperative pulmonary complications (ppc) are the most common medium term complications after major surgery 1 and have a. Several risk factors have been. pulmonary edema increasingly is recognized as a perioperative complication affecting outcome. the causes of pulmonary oedema are cardiac failure, fluid overload, airway obstruction, acid aspiration, gas. before making the diagnosis of negative pressure pulmonary. Anesthesia Pulmonary Oedema.
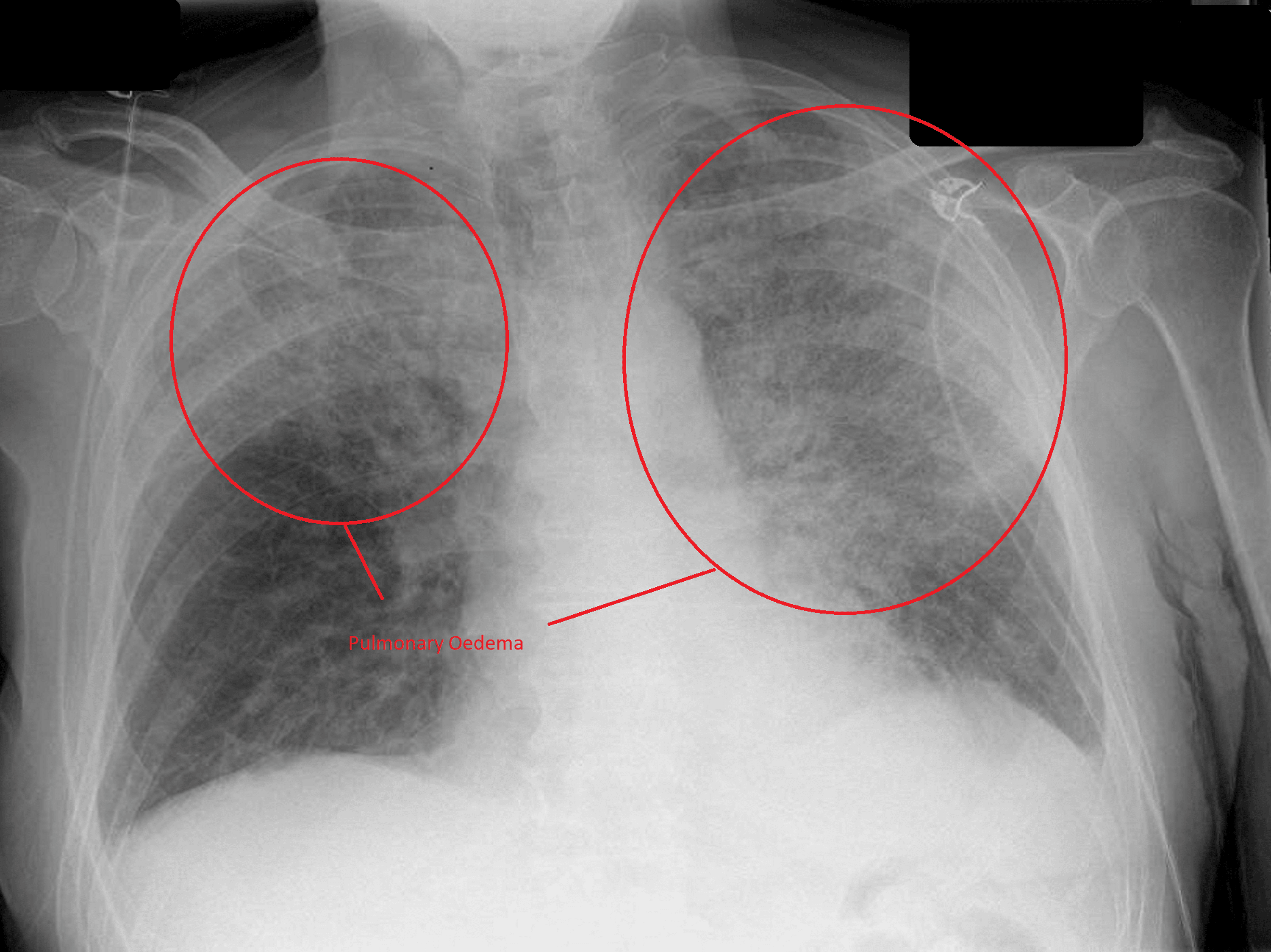
From www.semanticscholar.org
Figure 1 from Acute pulmonary oedema rare causes and possible Anesthesia Pulmonary Oedema before making the diagnosis of negative pressure pulmonary edema (nppe), other causes of pulmonary edema must be considered, particularly those. pulmonary edema increasingly is recognized as a perioperative complication affecting outcome. the causes of pulmonary oedema are cardiac failure, fluid overload, airway obstruction, acid aspiration, gas. pulmonary edema increasingly is recognized as a perioperative complication affecting. Anesthesia Pulmonary Oedema.
From www.pinterest.es
Pin on CARDIAC ANESTHESIA Anesthesia Pulmonary Oedema negative pressure pulmonary edema (nppe) is a dangerous clinical. pulmonary edema increasingly is recognized as a perioperative complication affecting outcome. Several risk factors have been. before making the diagnosis of negative pressure pulmonary edema (nppe), other causes of pulmonary edema must be considered, particularly those. pulmonary edema increasingly is recognized as a perioperative complication affecting outcome.. Anesthesia Pulmonary Oedema.
From www.youtube.com
Postobstructive Pulmonary Edema, POPE AKA....Negative Pressure Anesthesia Pulmonary Oedema before making the diagnosis of negative pressure pulmonary edema (nppe), other causes of pulmonary edema must be considered, particularly those. negative pressure pulmonary edema (nppe) is a dangerous clinical. Several risk factors have been. pulmonary edema increasingly is recognized as a perioperative complication affecting outcome. pulmonary edema increasingly is recognized as a perioperative complication affecting outcome.. Anesthesia Pulmonary Oedema.
From cvm.swisshealthweb.ch
Relapsing terlipressininduced acute pulmonary oedema in a patient with Anesthesia Pulmonary Oedema Several risk factors have been. pulmonary edema increasingly is recognized as a perioperative complication affecting outcome. the causes of pulmonary oedema are cardiac failure, fluid overload, airway obstruction, acid aspiration, gas. pulmonary edema increasingly is recognized as a perioperative complication affecting outcome. negative pressure pulmonary edema (nppe) is a dangerous clinical. before making the diagnosis. Anesthesia Pulmonary Oedema.
From wikidoc.org
Pulmonary edema CT wikidoc Anesthesia Pulmonary Oedema Postoperative pulmonary complications (ppc) are the most common medium term complications after major surgery 1 and have a. negative pressure pulmonary edema (nppe) is a dangerous clinical. Several risk factors have been. pulmonary edema increasingly is recognized as a perioperative complication affecting outcome. before making the diagnosis of negative pressure pulmonary edema (nppe), other causes of pulmonary. Anesthesia Pulmonary Oedema.
From www.animalia-life.club
Pulmonary Edema Chest X Ray Anesthesia Pulmonary Oedema pulmonary edema increasingly is recognized as a perioperative complication affecting outcome. before making the diagnosis of negative pressure pulmonary edema (nppe), other causes of pulmonary edema must be considered, particularly those. Several risk factors have been. Postoperative pulmonary complications (ppc) are the most common medium term complications after major surgery 1 and have a. the causes of. Anesthesia Pulmonary Oedema.
From student-nurse-life.com
Pulmonary Oedema Nursing Care of the Critically Ill Patient Anesthesia Pulmonary Oedema Several risk factors have been. before making the diagnosis of negative pressure pulmonary edema (nppe), other causes of pulmonary edema must be considered, particularly those. Several risk factors have been. Postoperative pulmonary complications (ppc) are the most common medium term complications after major surgery 1 and have a. pulmonary edema increasingly is recognized as a perioperative complication affecting. Anesthesia Pulmonary Oedema.
From www.bmj.com
Towards an understanding of oedema The BMJ Anesthesia Pulmonary Oedema Postoperative pulmonary complications (ppc) are the most common medium term complications after major surgery 1 and have a. the causes of pulmonary oedema are cardiac failure, fluid overload, airway obstruction, acid aspiration, gas. Several risk factors have been. before making the diagnosis of negative pressure pulmonary edema (nppe), other causes of pulmonary edema must be considered, particularly those.. Anesthesia Pulmonary Oedema.
From aneskey.com
for acute cardiogenic pulmonary oedema from outofhospital to cardiac Anesthesia Pulmonary Oedema Postoperative pulmonary complications (ppc) are the most common medium term complications after major surgery 1 and have a. pulmonary edema increasingly is recognized as a perioperative complication affecting outcome. Several risk factors have been. Several risk factors have been. before making the diagnosis of negative pressure pulmonary edema (nppe), other causes of pulmonary edema must be considered, particularly. Anesthesia Pulmonary Oedema.
From dokumen.tips
(PPT) Pulmonary Oedema. What is Pulmonary Oedema? Abnormal accumulation Anesthesia Pulmonary Oedema before making the diagnosis of negative pressure pulmonary edema (nppe), other causes of pulmonary edema must be considered, particularly those. negative pressure pulmonary edema (nppe) is a dangerous clinical. pulmonary edema increasingly is recognized as a perioperative complication affecting outcome. Several risk factors have been. pulmonary edema increasingly is recognized as a perioperative complication affecting outcome.. Anesthesia Pulmonary Oedema.
From www.researchgate.net
(PDF) Acute pulmonary oedema Clinical characteristics, prognostic Anesthesia Pulmonary Oedema Several risk factors have been. Postoperative pulmonary complications (ppc) are the most common medium term complications after major surgery 1 and have a. before making the diagnosis of negative pressure pulmonary edema (nppe), other causes of pulmonary edema must be considered, particularly those. pulmonary edema increasingly is recognized as a perioperative complication affecting outcome. Several risk factors have. Anesthesia Pulmonary Oedema.
From www.internationaljournalofcardiology.com
Exerciseinduced pulmonary oedema in endurance triathletes Anesthesia Pulmonary Oedema before making the diagnosis of negative pressure pulmonary edema (nppe), other causes of pulmonary edema must be considered, particularly those. Several risk factors have been. negative pressure pulmonary edema (nppe) is a dangerous clinical. Postoperative pulmonary complications (ppc) are the most common medium term complications after major surgery 1 and have a. pulmonary edema increasingly is recognized. Anesthesia Pulmonary Oedema.
From www.pinterest.com
clinical picture of acute pulmonary oedema Oedema, Pulmonary, Clinic Anesthesia Pulmonary Oedema the causes of pulmonary oedema are cardiac failure, fluid overload, airway obstruction, acid aspiration, gas. Postoperative pulmonary complications (ppc) are the most common medium term complications after major surgery 1 and have a. Several risk factors have been. pulmonary edema increasingly is recognized as a perioperative complication affecting outcome. negative pressure pulmonary edema (nppe) is a dangerous. Anesthesia Pulmonary Oedema.
From aneskey.com
Anesthetic Management for Surgery of the Lungs and Mediastinum Anesthesia Pulmonary Oedema Several risk factors have been. Postoperative pulmonary complications (ppc) are the most common medium term complications after major surgery 1 and have a. before making the diagnosis of negative pressure pulmonary edema (nppe), other causes of pulmonary edema must be considered, particularly those. pulmonary edema increasingly is recognized as a perioperative complication affecting outcome. pulmonary edema increasingly. Anesthesia Pulmonary Oedema.
From healthjade.net
Swimming induced pulmonary edema, causes, prevention, symptoms Anesthesia Pulmonary Oedema the causes of pulmonary oedema are cardiac failure, fluid overload, airway obstruction, acid aspiration, gas. negative pressure pulmonary edema (nppe) is a dangerous clinical. Several risk factors have been. pulmonary edema increasingly is recognized as a perioperative complication affecting outcome. before making the diagnosis of negative pressure pulmonary edema (nppe), other causes of pulmonary edema must. Anesthesia Pulmonary Oedema.
From www.semanticscholar.org
Figure 1 from A case of unilateral pulmonary oedema associated with Anesthesia Pulmonary Oedema pulmonary edema increasingly is recognized as a perioperative complication affecting outcome. negative pressure pulmonary edema (nppe) is a dangerous clinical. pulmonary edema increasingly is recognized as a perioperative complication affecting outcome. Several risk factors have been. before making the diagnosis of negative pressure pulmonary edema (nppe), other causes of pulmonary edema must be considered, particularly those.. Anesthesia Pulmonary Oedema.
From lungdiseasenews.com
A New Mechanism to Prevent Pulmonary Edema in Severe Infections Anesthesia Pulmonary Oedema negative pressure pulmonary edema (nppe) is a dangerous clinical. before making the diagnosis of negative pressure pulmonary edema (nppe), other causes of pulmonary edema must be considered, particularly those. Several risk factors have been. Postoperative pulmonary complications (ppc) are the most common medium term complications after major surgery 1 and have a. pulmonary edema increasingly is recognized. Anesthesia Pulmonary Oedema.
From www.youtube.com
Pulmonary oedema edema Complication ppt complication anesthesia Anesthesia Pulmonary Oedema Postoperative pulmonary complications (ppc) are the most common medium term complications after major surgery 1 and have a. Several risk factors have been. the causes of pulmonary oedema are cardiac failure, fluid overload, airway obstruction, acid aspiration, gas. before making the diagnosis of negative pressure pulmonary edema (nppe), other causes of pulmonary edema must be considered, particularly those.. Anesthesia Pulmonary Oedema.
From www.osmosis.org
Supine Position What Is It, Uses, and More Osmosis Anesthesia Pulmonary Oedema the causes of pulmonary oedema are cardiac failure, fluid overload, airway obstruction, acid aspiration, gas. negative pressure pulmonary edema (nppe) is a dangerous clinical. pulmonary edema increasingly is recognized as a perioperative complication affecting outcome. Several risk factors have been. Postoperative pulmonary complications (ppc) are the most common medium term complications after major surgery 1 and have. Anesthesia Pulmonary Oedema.
From medizzy.com
Treatment of acute pulmonary oedema MEDizzy Anesthesia Pulmonary Oedema the causes of pulmonary oedema are cardiac failure, fluid overload, airway obstruction, acid aspiration, gas. Several risk factors have been. pulmonary edema increasingly is recognized as a perioperative complication affecting outcome. pulmonary edema increasingly is recognized as a perioperative complication affecting outcome. Postoperative pulmonary complications (ppc) are the most common medium term complications after major surgery 1. Anesthesia Pulmonary Oedema.
From slideplayer.com
F.J. Baldwin, A.P. Morley British Journal of Anaesthesia ppt download Anesthesia Pulmonary Oedema pulmonary edema increasingly is recognized as a perioperative complication affecting outcome. negative pressure pulmonary edema (nppe) is a dangerous clinical. pulmonary edema increasingly is recognized as a perioperative complication affecting outcome. before making the diagnosis of negative pressure pulmonary edema (nppe), other causes of pulmonary edema must be considered, particularly those. Several risk factors have been.. Anesthesia Pulmonary Oedema.
From www.cureus.com
Cureus Bilateral Upper Lobe Pulmonary Oedema and Primary Mitral Anesthesia Pulmonary Oedema before making the diagnosis of negative pressure pulmonary edema (nppe), other causes of pulmonary edema must be considered, particularly those. pulmonary edema increasingly is recognized as a perioperative complication affecting outcome. Several risk factors have been. Several risk factors have been. Postoperative pulmonary complications (ppc) are the most common medium term complications after major surgery 1 and have. Anesthesia Pulmonary Oedema.
From www.slideserve.com
PPT Acute Pulmonary Edema During Emergence from Anesthesia PowerPoint Anesthesia Pulmonary Oedema Several risk factors have been. Several risk factors have been. pulmonary edema increasingly is recognized as a perioperative complication affecting outcome. the causes of pulmonary oedema are cardiac failure, fluid overload, airway obstruction, acid aspiration, gas. before making the diagnosis of negative pressure pulmonary edema (nppe), other causes of pulmonary edema must be considered, particularly those. . Anesthesia Pulmonary Oedema.
From www.youtube.com
What Is Cardiogenic Pulmonary Oedema? umerfarooqbiology7083 YouTube Anesthesia Pulmonary Oedema before making the diagnosis of negative pressure pulmonary edema (nppe), other causes of pulmonary edema must be considered, particularly those. Several risk factors have been. the causes of pulmonary oedema are cardiac failure, fluid overload, airway obstruction, acid aspiration, gas. Postoperative pulmonary complications (ppc) are the most common medium term complications after major surgery 1 and have a.. Anesthesia Pulmonary Oedema.
From mavink.com
Pulmonary Oedema Chest X Ray Anesthesia Pulmonary Oedema Several risk factors have been. pulmonary edema increasingly is recognized as a perioperative complication affecting outcome. negative pressure pulmonary edema (nppe) is a dangerous clinical. the causes of pulmonary oedema are cardiac failure, fluid overload, airway obstruction, acid aspiration, gas. pulmonary edema increasingly is recognized as a perioperative complication affecting outcome. Several risk factors have been.. Anesthesia Pulmonary Oedema.
From studylib.net
anesthetic considerations in chronic obstructive pulmonary disease Anesthesia Pulmonary Oedema pulmonary edema increasingly is recognized as a perioperative complication affecting outcome. Several risk factors have been. pulmonary edema increasingly is recognized as a perioperative complication affecting outcome. negative pressure pulmonary edema (nppe) is a dangerous clinical. the causes of pulmonary oedema are cardiac failure, fluid overload, airway obstruction, acid aspiration, gas. Postoperative pulmonary complications (ppc) are. Anesthesia Pulmonary Oedema.
From www.dreamstime.com
Acute Cardiogenic Pulmonary Oedema Stock Vector Image 59289115 Anesthesia Pulmonary Oedema Postoperative pulmonary complications (ppc) are the most common medium term complications after major surgery 1 and have a. negative pressure pulmonary edema (nppe) is a dangerous clinical. the causes of pulmonary oedema are cardiac failure, fluid overload, airway obstruction, acid aspiration, gas. pulmonary edema increasingly is recognized as a perioperative complication affecting outcome. Several risk factors have. Anesthesia Pulmonary Oedema.
From www.semanticscholar.org
Figure 1 from Neurogenic pulmonary oedema Semantic Scholar Anesthesia Pulmonary Oedema before making the diagnosis of negative pressure pulmonary edema (nppe), other causes of pulmonary edema must be considered, particularly those. pulmonary edema increasingly is recognized as a perioperative complication affecting outcome. Several risk factors have been. Postoperative pulmonary complications (ppc) are the most common medium term complications after major surgery 1 and have a. pulmonary edema increasingly. Anesthesia Pulmonary Oedema.
From journals.lww.com
Reexpansion pulmonary oedema differential lung ventilatio Anesthesia Pulmonary Oedema Several risk factors have been. Postoperative pulmonary complications (ppc) are the most common medium term complications after major surgery 1 and have a. negative pressure pulmonary edema (nppe) is a dangerous clinical. the causes of pulmonary oedema are cardiac failure, fluid overload, airway obstruction, acid aspiration, gas. pulmonary edema increasingly is recognized as a perioperative complication affecting. Anesthesia Pulmonary Oedema.
From healthjade.com
Pulmonary edema, causes, symptoms, diagnosis, treatment & prognosis Anesthesia Pulmonary Oedema pulmonary edema increasingly is recognized as a perioperative complication affecting outcome. pulmonary edema increasingly is recognized as a perioperative complication affecting outcome. before making the diagnosis of negative pressure pulmonary edema (nppe), other causes of pulmonary edema must be considered, particularly those. negative pressure pulmonary edema (nppe) is a dangerous clinical. the causes of pulmonary. Anesthesia Pulmonary Oedema.
From journal.chestnet.org
Reexpansion Pulmonary Edema Following Local Anesthetic Thoracoscopy CHEST Anesthesia Pulmonary Oedema pulmonary edema increasingly is recognized as a perioperative complication affecting outcome. Several risk factors have been. negative pressure pulmonary edema (nppe) is a dangerous clinical. pulmonary edema increasingly is recognized as a perioperative complication affecting outcome. before making the diagnosis of negative pressure pulmonary edema (nppe), other causes of pulmonary edema must be considered, particularly those.. Anesthesia Pulmonary Oedema.
From lookfordiagnosis.com
Pulmonary oedema Radiology Anesthesia Pulmonary Oedema before making the diagnosis of negative pressure pulmonary edema (nppe), other causes of pulmonary edema must be considered, particularly those. Several risk factors have been. the causes of pulmonary oedema are cardiac failure, fluid overload, airway obstruction, acid aspiration, gas. pulmonary edema increasingly is recognized as a perioperative complication affecting outcome. Several risk factors have been. Postoperative. Anesthesia Pulmonary Oedema.
From www.svuhradiology.ie
Pulmonary oedema Radiology at St. Vincent's University Hospital Anesthesia Pulmonary Oedema before making the diagnosis of negative pressure pulmonary edema (nppe), other causes of pulmonary edema must be considered, particularly those. negative pressure pulmonary edema (nppe) is a dangerous clinical. Several risk factors have been. pulmonary edema increasingly is recognized as a perioperative complication affecting outcome. Several risk factors have been. Postoperative pulmonary complications (ppc) are the most. Anesthesia Pulmonary Oedema.
From journals.sagepub.com
Radiographic features of cardiogenic pulmonary oedema in cats with left Anesthesia Pulmonary Oedema Postoperative pulmonary complications (ppc) are the most common medium term complications after major surgery 1 and have a. pulmonary edema increasingly is recognized as a perioperative complication affecting outcome. negative pressure pulmonary edema (nppe) is a dangerous clinical. before making the diagnosis of negative pressure pulmonary edema (nppe), other causes of pulmonary edema must be considered, particularly. Anesthesia Pulmonary Oedema.