Root Stump Definition In Dentistry . Loss of crown structure demands the clinician to extract support from the. Types a, b and c are defined. Triangular shapes are most common in the maxillary incisors. The types of root trunk were classified according to the ratio of root trunk height to root length into types a, b and c. This case report describes the use of root stumps of primary teeth as a post and core for primary teeth. 4,6 the roots have a broad facial aspect with equal sides on the mesial and distal. The types of root trunk were classified according to the ratio of root trunk height to root length into types a, b and c. Types a, b and c are defined. Extraction;root caries;root stumps;dental caries introduction root stumps refers to the partial root structure that remains. To define as an ideal post and core in primary teeth, it should be resorbable and should provide an adequate retention and resistance. Root stumps are partial root structures whose crown is crumbled due to caries progression ( lakshmanan et al., 2020; Subramanyam, gurunathan, gaayathri, & priya, 2018 ).
from www.slideshare.net
4,6 the roots have a broad facial aspect with equal sides on the mesial and distal. The types of root trunk were classified according to the ratio of root trunk height to root length into types a, b and c. The types of root trunk were classified according to the ratio of root trunk height to root length into types a, b and c. Subramanyam, gurunathan, gaayathri, & priya, 2018 ). Loss of crown structure demands the clinician to extract support from the. Root stumps are partial root structures whose crown is crumbled due to caries progression ( lakshmanan et al., 2020; Types a, b and c are defined. Types a, b and c are defined. Extraction;root caries;root stumps;dental caries introduction root stumps refers to the partial root structure that remains. To define as an ideal post and core in primary teeth, it should be resorbable and should provide an adequate retention and resistance.
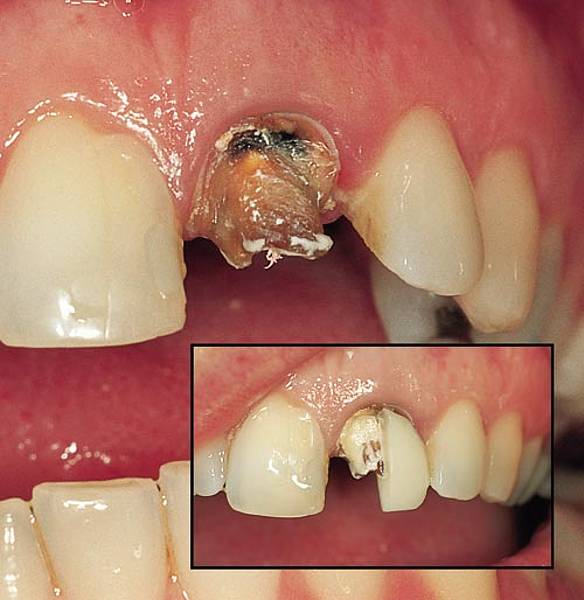
Dental root stump extraction and implant placement
Root Stump Definition In Dentistry Triangular shapes are most common in the maxillary incisors. This case report describes the use of root stumps of primary teeth as a post and core for primary teeth. Loss of crown structure demands the clinician to extract support from the. Types a, b and c are defined. To define as an ideal post and core in primary teeth, it should be resorbable and should provide an adequate retention and resistance. Triangular shapes are most common in the maxillary incisors. Extraction;root caries;root stumps;dental caries introduction root stumps refers to the partial root structure that remains. Root stumps are partial root structures whose crown is crumbled due to caries progression ( lakshmanan et al., 2020; The types of root trunk were classified according to the ratio of root trunk height to root length into types a, b and c. Subramanyam, gurunathan, gaayathri, & priya, 2018 ). 4,6 the roots have a broad facial aspect with equal sides on the mesial and distal. The types of root trunk were classified according to the ratio of root trunk height to root length into types a, b and c. Types a, b and c are defined.
From medeco.de
Peg and stump structures Root Stump Definition In Dentistry 4,6 the roots have a broad facial aspect with equal sides on the mesial and distal. Root stumps are partial root structures whose crown is crumbled due to caries progression ( lakshmanan et al., 2020; Loss of crown structure demands the clinician to extract support from the. Types a, b and c are defined. Triangular shapes are most common in. Root Stump Definition In Dentistry.
From www.youtube.com
Infected root stump of upper 3rd molar extraction YouTube Root Stump Definition In Dentistry Root stumps are partial root structures whose crown is crumbled due to caries progression ( lakshmanan et al., 2020; The types of root trunk were classified according to the ratio of root trunk height to root length into types a, b and c. Types a, b and c are defined. Loss of crown structure demands the clinician to extract support. Root Stump Definition In Dentistry.
From pocketdentistry.com
Tooth, Root, and Canal Anatomy Pocket Dentistry Root Stump Definition In Dentistry 4,6 the roots have a broad facial aspect with equal sides on the mesial and distal. Root stumps are partial root structures whose crown is crumbled due to caries progression ( lakshmanan et al., 2020; To define as an ideal post and core in primary teeth, it should be resorbable and should provide an adequate retention and resistance. The types. Root Stump Definition In Dentistry.
From www.dentistrytoday.com
The Endodontics Renaissance and ModernDay Root Canals Dentistry Today Root Stump Definition In Dentistry Triangular shapes are most common in the maxillary incisors. Loss of crown structure demands the clinician to extract support from the. The types of root trunk were classified according to the ratio of root trunk height to root length into types a, b and c. The types of root trunk were classified according to the ratio of root trunk height. Root Stump Definition In Dentistry.
From www.southlakeendo.com
Nonsurgical Root Canal Treatment Southlake Endodontics Root Stump Definition In Dentistry This case report describes the use of root stumps of primary teeth as a post and core for primary teeth. To define as an ideal post and core in primary teeth, it should be resorbable and should provide an adequate retention and resistance. 4,6 the roots have a broad facial aspect with equal sides on the mesial and distal. Loss. Root Stump Definition In Dentistry.
From www.youtube.com
On Site Immediate Implants with PreMolar Root Stump ExtractionVaRam Root Stump Definition In Dentistry The types of root trunk were classified according to the ratio of root trunk height to root length into types a, b and c. Types a, b and c are defined. Types a, b and c are defined. Triangular shapes are most common in the maxillary incisors. The types of root trunk were classified according to the ratio of root. Root Stump Definition In Dentistry.
From www.cameo-dental.com
Root Canal Therapy Cameo Dental Family Dentistry in Rosemount Minnesota Root Stump Definition In Dentistry Extraction;root caries;root stumps;dental caries introduction root stumps refers to the partial root structure that remains. The types of root trunk were classified according to the ratio of root trunk height to root length into types a, b and c. Loss of crown structure demands the clinician to extract support from the. Types a, b and c are defined. The types. Root Stump Definition In Dentistry.
From www.youtube.com
Orthodontic extrusion for remaining roots to get ferrule effect for Root Stump Definition In Dentistry Types a, b and c are defined. This case report describes the use of root stumps of primary teeth as a post and core for primary teeth. To define as an ideal post and core in primary teeth, it should be resorbable and should provide an adequate retention and resistance. Types a, b and c are defined. Loss of crown. Root Stump Definition In Dentistry.
From pocketdentistry.com
2 The Tooth Functions and Terms Pocket Dentistry Root Stump Definition In Dentistry Loss of crown structure demands the clinician to extract support from the. To define as an ideal post and core in primary teeth, it should be resorbable and should provide an adequate retention and resistance. Extraction;root caries;root stumps;dental caries introduction root stumps refers to the partial root structure that remains. This case report describes the use of root stumps of. Root Stump Definition In Dentistry.
From www.mdpi.com
Materials Free FullText Quantitative Analysis of Defects at the Root Stump Definition In Dentistry The types of root trunk were classified according to the ratio of root trunk height to root length into types a, b and c. Subramanyam, gurunathan, gaayathri, & priya, 2018 ). This case report describes the use of root stumps of primary teeth as a post and core for primary teeth. Triangular shapes are most common in the maxillary incisors.. Root Stump Definition In Dentistry.
From www.slideshare.net
Molar infected root stumps extraction and implant placement Root Stump Definition In Dentistry This case report describes the use of root stumps of primary teeth as a post and core for primary teeth. The types of root trunk were classified according to the ratio of root trunk height to root length into types a, b and c. Triangular shapes are most common in the maxillary incisors. 4,6 the roots have a broad facial. Root Stump Definition In Dentistry.
From smayatedentalclinic.com
Whys and Hows of the treatment? Root Stump Extraction in Delhi Root Stump Definition In Dentistry To define as an ideal post and core in primary teeth, it should be resorbable and should provide an adequate retention and resistance. The types of root trunk were classified according to the ratio of root trunk height to root length into types a, b and c. Root stumps are partial root structures whose crown is crumbled due to caries. Root Stump Definition In Dentistry.
From pocketdentistry.com
Tooth, Root, and Canal Anatomy Pocket Dentistry Root Stump Definition In Dentistry Triangular shapes are most common in the maxillary incisors. The types of root trunk were classified according to the ratio of root trunk height to root length into types a, b and c. Loss of crown structure demands the clinician to extract support from the. Extraction;root caries;root stumps;dental caries introduction root stumps refers to the partial root structure that remains.. Root Stump Definition In Dentistry.
From www.slideshare.net
Dental root stump extraction and implant placement Root Stump Definition In Dentistry Root stumps are partial root structures whose crown is crumbled due to caries progression ( lakshmanan et al., 2020; This case report describes the use of root stumps of primary teeth as a post and core for primary teeth. To define as an ideal post and core in primary teeth, it should be resorbable and should provide an adequate retention. Root Stump Definition In Dentistry.
From www.researchgate.net
Sectioning of the retained root stump, and cast post and core for Root Stump Definition In Dentistry Triangular shapes are most common in the maxillary incisors. Loss of crown structure demands the clinician to extract support from the. Subramanyam, gurunathan, gaayathri, & priya, 2018 ). Root stumps are partial root structures whose crown is crumbled due to caries progression ( lakshmanan et al., 2020; The types of root trunk were classified according to the ratio of root. Root Stump Definition In Dentistry.
From pocketdentistry.com
31 Overdentures Pocket Dentistry Root Stump Definition In Dentistry Triangular shapes are most common in the maxillary incisors. To define as an ideal post and core in primary teeth, it should be resorbable and should provide an adequate retention and resistance. Types a, b and c are defined. Types a, b and c are defined. Root stumps are partial root structures whose crown is crumbled due to caries progression. Root Stump Definition In Dentistry.
From dentagama.com
Root canal treatment on baby teeth News Dentagama Root Stump Definition In Dentistry 4,6 the roots have a broad facial aspect with equal sides on the mesial and distal. To define as an ideal post and core in primary teeth, it should be resorbable and should provide an adequate retention and resistance. Types a, b and c are defined. The types of root trunk were classified according to the ratio of root trunk. Root Stump Definition In Dentistry.
From www.slideshare.net
Dental root stump extraction and implant placement Root Stump Definition In Dentistry Types a, b and c are defined. The types of root trunk were classified according to the ratio of root trunk height to root length into types a, b and c. The types of root trunk were classified according to the ratio of root trunk height to root length into types a, b and c. To define as an ideal. Root Stump Definition In Dentistry.
From pocketdentistry.com
Root Resorption Pocket Dentistry Root Stump Definition In Dentistry The types of root trunk were classified according to the ratio of root trunk height to root length into types a, b and c. Subramanyam, gurunathan, gaayathri, & priya, 2018 ). Types a, b and c are defined. This case report describes the use of root stumps of primary teeth as a post and core for primary teeth. To define. Root Stump Definition In Dentistry.
From cokion.com
The Complete Guide to Root Canal in Dentistry Root Stump Definition In Dentistry The types of root trunk were classified according to the ratio of root trunk height to root length into types a, b and c. Types a, b and c are defined. To define as an ideal post and core in primary teeth, it should be resorbable and should provide an adequate retention and resistance. Triangular shapes are most common in. Root Stump Definition In Dentistry.
From www.youtube.com
Crumbled premolar root stump extraction YouTube Root Stump Definition In Dentistry Extraction;root caries;root stumps;dental caries introduction root stumps refers to the partial root structure that remains. The types of root trunk were classified according to the ratio of root trunk height to root length into types a, b and c. Triangular shapes are most common in the maxillary incisors. Subramanyam, gurunathan, gaayathri, & priya, 2018 ). 4,6 the roots have a. Root Stump Definition In Dentistry.
From www.youtube.com
LOWER MOLAR ROOT STUMP EXTRACTION 🦷 YouTube Root Stump Definition In Dentistry Types a, b and c are defined. Triangular shapes are most common in the maxillary incisors. Extraction;root caries;root stumps;dental caries introduction root stumps refers to the partial root structure that remains. Loss of crown structure demands the clinician to extract support from the. This case report describes the use of root stumps of primary teeth as a post and core. Root Stump Definition In Dentistry.
From www.youtube.com
Root Stump Extraction 27 Full Procedure extraction dental cosmetics Root Stump Definition In Dentistry To define as an ideal post and core in primary teeth, it should be resorbable and should provide an adequate retention and resistance. The types of root trunk were classified according to the ratio of root trunk height to root length into types a, b and c. The types of root trunk were classified according to the ratio of root. Root Stump Definition In Dentistry.
From authoritydentalblog.com
Extraction vs. Root Canal Treatment The difference between them Root Stump Definition In Dentistry This case report describes the use of root stumps of primary teeth as a post and core for primary teeth. 4,6 the roots have a broad facial aspect with equal sides on the mesial and distal. Types a, b and c are defined. Loss of crown structure demands the clinician to extract support from the. Triangular shapes are most common. Root Stump Definition In Dentistry.
From www.dentaltix.com
The Complete Guide to Dental GuttaPercha It's use in Endodontics Root Stump Definition In Dentistry The types of root trunk were classified according to the ratio of root trunk height to root length into types a, b and c. Triangular shapes are most common in the maxillary incisors. 4,6 the roots have a broad facial aspect with equal sides on the mesial and distal. Root stumps are partial root structures whose crown is crumbled due. Root Stump Definition In Dentistry.
From pocketdentistry.com
31 Overdentures Pocket Dentistry Root Stump Definition In Dentistry Loss of crown structure demands the clinician to extract support from the. The types of root trunk were classified according to the ratio of root trunk height to root length into types a, b and c. Subramanyam, gurunathan, gaayathri, & priya, 2018 ). The types of root trunk were classified according to the ratio of root trunk height to root. Root Stump Definition In Dentistry.
From www.bowerdentalpractice.co.uk
Root canal treatment Tunbridge Wells Bower Dental Practice Root Stump Definition In Dentistry Loss of crown structure demands the clinician to extract support from the. Types a, b and c are defined. Triangular shapes are most common in the maxillary incisors. Subramanyam, gurunathan, gaayathri, & priya, 2018 ). To define as an ideal post and core in primary teeth, it should be resorbable and should provide an adequate retention and resistance. 4,6 the. Root Stump Definition In Dentistry.
From worldsmiles.in
Tooth Extractions World Smiles Dental Center Root Stump Definition In Dentistry Types a, b and c are defined. Loss of crown structure demands the clinician to extract support from the. Types a, b and c are defined. Triangular shapes are most common in the maxillary incisors. To define as an ideal post and core in primary teeth, it should be resorbable and should provide an adequate retention and resistance. Subramanyam, gurunathan,. Root Stump Definition In Dentistry.
From www.youtube.com
How to extract molar root stumps46dentist YouTube Root Stump Definition In Dentistry Loss of crown structure demands the clinician to extract support from the. 4,6 the roots have a broad facial aspect with equal sides on the mesial and distal. Types a, b and c are defined. This case report describes the use of root stumps of primary teeth as a post and core for primary teeth. Types a, b and c. Root Stump Definition In Dentistry.
From idealdentalcare.co.uk
Root Canal Treatment (Endodontic Therapy) Ideal Dental Care Root Stump Definition In Dentistry Root stumps are partial root structures whose crown is crumbled due to caries progression ( lakshmanan et al., 2020; 4,6 the roots have a broad facial aspect with equal sides on the mesial and distal. Triangular shapes are most common in the maxillary incisors. This case report describes the use of root stumps of primary teeth as a post and. Root Stump Definition In Dentistry.
From www.slideshare.net
Dental root stump extraction and implant placement Root Stump Definition In Dentistry 4,6 the roots have a broad facial aspect with equal sides on the mesial and distal. Root stumps are partial root structures whose crown is crumbled due to caries progression ( lakshmanan et al., 2020; This case report describes the use of root stumps of primary teeth as a post and core for primary teeth. Loss of crown structure demands. Root Stump Definition In Dentistry.
From web-dds.org
Teeth Development and Function II.1 The Center for Dental Education Root Stump Definition In Dentistry To define as an ideal post and core in primary teeth, it should be resorbable and should provide an adequate retention and resistance. Types a, b and c are defined. The types of root trunk were classified according to the ratio of root trunk height to root length into types a, b and c. Types a, b and c are. Root Stump Definition In Dentistry.
From dentagama.com
Root canal treatment (endodontic treatment) explained News Dentagama Root Stump Definition In Dentistry Extraction;root caries;root stumps;dental caries introduction root stumps refers to the partial root structure that remains. This case report describes the use of root stumps of primary teeth as a post and core for primary teeth. The types of root trunk were classified according to the ratio of root trunk height to root length into types a, b and c. Types. Root Stump Definition In Dentistry.
From www.youtube.com
Tooth extraction engaging endodontic files / Dental Surgery / Root Root Stump Definition In Dentistry 4,6 the roots have a broad facial aspect with equal sides on the mesial and distal. Subramanyam, gurunathan, gaayathri, & priya, 2018 ). The types of root trunk were classified according to the ratio of root trunk height to root length into types a, b and c. Types a, b and c are defined. This case report describes the use. Root Stump Definition In Dentistry.
From www.dreamstime.com
Primary Tooth and Permanent Tooth. Process is Root Resorption. Stock Root Stump Definition In Dentistry Extraction;root caries;root stumps;dental caries introduction root stumps refers to the partial root structure that remains. The types of root trunk were classified according to the ratio of root trunk height to root length into types a, b and c. To define as an ideal post and core in primary teeth, it should be resorbable and should provide an adequate retention. Root Stump Definition In Dentistry.