Breast Ultrasound Clock Face . The location of breast findings on ultrasound are described by both orientation on a clock face and distance from the nipple. Breast ultrasound is an important modality in breast imaging. It is the usual initial breast imaging modality in those under 30. Findings in the breasts are described by their orientation on a clock face (figure 1). Regardless of whether you look at right or left breast images, the following holds true: Begin at 12 o’clock in a sagittal plane with the toe of the probe at the nipple. When deciding on the clock face location of a finding on mammography two standard. Each breast is described as an individual clock, with 12. The clock face location of breast findings is described by imaging a clock on both the left and the right breast as the woman faces the examiner.
from mammographyeducation.com
The clock face location of breast findings is described by imaging a clock on both the left and the right breast as the woman faces the examiner. Begin at 12 o’clock in a sagittal plane with the toe of the probe at the nipple. Regardless of whether you look at right or left breast images, the following holds true: Findings in the breasts are described by their orientation on a clock face (figure 1). When deciding on the clock face location of a finding on mammography two standard. The location of breast findings on ultrasound are described by both orientation on a clock face and distance from the nipple. It is the usual initial breast imaging modality in those under 30. Breast ultrasound is an important modality in breast imaging. Each breast is described as an individual clock, with 12.
Breast Quadrant Map and Distribution of Breast Lesion Locations
Breast Ultrasound Clock Face Begin at 12 o’clock in a sagittal plane with the toe of the probe at the nipple. Findings in the breasts are described by their orientation on a clock face (figure 1). Breast ultrasound is an important modality in breast imaging. Begin at 12 o’clock in a sagittal plane with the toe of the probe at the nipple. Each breast is described as an individual clock, with 12. The location of breast findings on ultrasound are described by both orientation on a clock face and distance from the nipple. Regardless of whether you look at right or left breast images, the following holds true: The clock face location of breast findings is described by imaging a clock on both the left and the right breast as the woman faces the examiner. When deciding on the clock face location of a finding on mammography two standard. It is the usual initial breast imaging modality in those under 30.
From sites.google.com
BREAST ANATOMY & USA Aggie's eportfolio Breast Ultrasound Clock Face The clock face location of breast findings is described by imaging a clock on both the left and the right breast as the woman faces the examiner. It is the usual initial breast imaging modality in those under 30. Begin at 12 o’clock in a sagittal plane with the toe of the probe at the nipple. Breast ultrasound is an. Breast Ultrasound Clock Face.
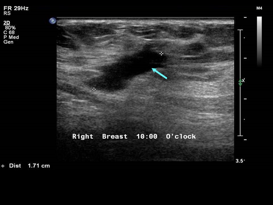
From ultrasoundpaedia.com
Breast normal ULTRASOUNDPAEDIA Breast Ultrasound Clock Face Breast ultrasound is an important modality in breast imaging. The clock face location of breast findings is described by imaging a clock on both the left and the right breast as the woman faces the examiner. Findings in the breasts are described by their orientation on a clock face (figure 1). Each breast is described as an individual clock, with. Breast Ultrasound Clock Face.
From www.verywellhealth.com
Breast Cancer Ultrasound Uses, Procedure, and Results Breast Ultrasound Clock Face Regardless of whether you look at right or left breast images, the following holds true: Begin at 12 o’clock in a sagittal plane with the toe of the probe at the nipple. The location of breast findings on ultrasound are described by both orientation on a clock face and distance from the nipple. When deciding on the clock face location. Breast Ultrasound Clock Face.
From www.researchgate.net
Transverse ultrasound image of the left breast mass at 2o' clock Breast Ultrasound Clock Face When deciding on the clock face location of a finding on mammography two standard. Findings in the breasts are described by their orientation on a clock face (figure 1). The location of breast findings on ultrasound are described by both orientation on a clock face and distance from the nipple. Breast ultrasound is an important modality in breast imaging. Begin. Breast Ultrasound Clock Face.
From mavink.com
Mlo Mammography Quadrants Clock Breast Ultrasound Clock Face Each breast is described as an individual clock, with 12. The clock face location of breast findings is described by imaging a clock on both the left and the right breast as the woman faces the examiner. Findings in the breasts are described by their orientation on a clock face (figure 1). When deciding on the clock face location of. Breast Ultrasound Clock Face.
From www.slideserve.com
PPT BREAST SONOGRAPHY PowerPoint Presentation, free download ID1189900 Breast Ultrasound Clock Face It is the usual initial breast imaging modality in those under 30. The location of breast findings on ultrasound are described by both orientation on a clock face and distance from the nipple. Findings in the breasts are described by their orientation on a clock face (figure 1). The clock face location of breast findings is described by imaging a. Breast Ultrasound Clock Face.
From www.researchgate.net
Ultrasound imaging of the right breast showing 9 o'clock hypoechoic Breast Ultrasound Clock Face The clock face location of breast findings is described by imaging a clock on both the left and the right breast as the woman faces the examiner. Begin at 12 o’clock in a sagittal plane with the toe of the probe at the nipple. Findings in the breasts are described by their orientation on a clock face (figure 1). The. Breast Ultrasound Clock Face.
From screening.iarc.fr
Atlas of breast cancer early detection Breast Ultrasound Clock Face Findings in the breasts are described by their orientation on a clock face (figure 1). Breast ultrasound is an important modality in breast imaging. Begin at 12 o’clock in a sagittal plane with the toe of the probe at the nipple. Each breast is described as an individual clock, with 12. When deciding on the clock face location of a. Breast Ultrasound Clock Face.
From www.youtube.com
Breast Ultrasound Probe Positioning Sagittal, Radial Views & Clock Breast Ultrasound Clock Face The clock face location of breast findings is described by imaging a clock on both the left and the right breast as the woman faces the examiner. When deciding on the clock face location of a finding on mammography two standard. Breast ultrasound is an important modality in breast imaging. Regardless of whether you look at right or left breast. Breast Ultrasound Clock Face.
From screening.iarc.fr
Atlas of breast cancer early detection Breast Ultrasound Clock Face Findings in the breasts are described by their orientation on a clock face (figure 1). Each breast is described as an individual clock, with 12. Breast ultrasound is an important modality in breast imaging. The clock face location of breast findings is described by imaging a clock on both the left and the right breast as the woman faces the. Breast Ultrasound Clock Face.
From screening.iarc.fr
Atlas of breast cancer early detection Breast Ultrasound Clock Face Each breast is described as an individual clock, with 12. It is the usual initial breast imaging modality in those under 30. The location of breast findings on ultrasound are described by both orientation on a clock face and distance from the nipple. Begin at 12 o’clock in a sagittal plane with the toe of the probe at the nipple.. Breast Ultrasound Clock Face.
From screening.iarc.fr
Atlas of breast cancer early detection Breast Ultrasound Clock Face Findings in the breasts are described by their orientation on a clock face (figure 1). Each breast is described as an individual clock, with 12. Begin at 12 o’clock in a sagittal plane with the toe of the probe at the nipple. When deciding on the clock face location of a finding on mammography two standard. The location of breast. Breast Ultrasound Clock Face.
From www.youtube.com
How to Read a Mammogram YouTube Breast Ultrasound Clock Face When deciding on the clock face location of a finding on mammography two standard. Breast ultrasound is an important modality in breast imaging. It is the usual initial breast imaging modality in those under 30. Regardless of whether you look at right or left breast images, the following holds true: Findings in the breasts are described by their orientation on. Breast Ultrasound Clock Face.
From screening.iarc.fr
Atlas of breast cancer early detection Breast Ultrasound Clock Face Each breast is described as an individual clock, with 12. Regardless of whether you look at right or left breast images, the following holds true: Begin at 12 o’clock in a sagittal plane with the toe of the probe at the nipple. When deciding on the clock face location of a finding on mammography two standard. Breast ultrasound is an. Breast Ultrasound Clock Face.
From sonographyminutes.com
Breast Ultrasound How to Scan the Breast (The Complete Guide) Coming Breast Ultrasound Clock Face Begin at 12 o’clock in a sagittal plane with the toe of the probe at the nipple. Findings in the breasts are described by their orientation on a clock face (figure 1). The clock face location of breast findings is described by imaging a clock on both the left and the right breast as the woman faces the examiner. It. Breast Ultrasound Clock Face.
From www.youtube.com
Approach to Breast Radiology YouTube Breast Ultrasound Clock Face Begin at 12 o’clock in a sagittal plane with the toe of the probe at the nipple. The clock face location of breast findings is described by imaging a clock on both the left and the right breast as the woman faces the examiner. It is the usual initial breast imaging modality in those under 30. Breast ultrasound is an. Breast Ultrasound Clock Face.
From www.slideserve.com
PPT Anatomy, Physiology, and Pathology of the Breast PowerPoint Breast Ultrasound Clock Face When deciding on the clock face location of a finding on mammography two standard. The clock face location of breast findings is described by imaging a clock on both the left and the right breast as the woman faces the examiner. Findings in the breasts are described by their orientation on a clock face (figure 1). The location of breast. Breast Ultrasound Clock Face.
From radiologykey.com
Mammogram Interpretation Radiology Key Breast Ultrasound Clock Face Regardless of whether you look at right or left breast images, the following holds true: It is the usual initial breast imaging modality in those under 30. The clock face location of breast findings is described by imaging a clock on both the left and the right breast as the woman faces the examiner. Breast ultrasound is an important modality. Breast Ultrasound Clock Face.
From mungfali.com
Mammography Clock Positions Quadrants Breast Ultrasound Clock Face The location of breast findings on ultrasound are described by both orientation on a clock face and distance from the nipple. When deciding on the clock face location of a finding on mammography two standard. Begin at 12 o’clock in a sagittal plane with the toe of the probe at the nipple. Breast ultrasound is an important modality in breast. Breast Ultrasound Clock Face.
From mavink.com
Mlo Mammography Quadrants Clock Breast Ultrasound Clock Face Findings in the breasts are described by their orientation on a clock face (figure 1). It is the usual initial breast imaging modality in those under 30. Each breast is described as an individual clock, with 12. Regardless of whether you look at right or left breast images, the following holds true: When deciding on the clock face location of. Breast Ultrasound Clock Face.
From mavink.com
Mammogram Clock Position Diagram Breast Ultrasound Clock Face The location of breast findings on ultrasound are described by both orientation on a clock face and distance from the nipple. Each breast is described as an individual clock, with 12. Begin at 12 o’clock in a sagittal plane with the toe of the probe at the nipple. The clock face location of breast findings is described by imaging a. Breast Ultrasound Clock Face.
From spie.org
Improving diagnosis time in whole breast ultrasound SPIE Homepage SPIE Breast Ultrasound Clock Face Findings in the breasts are described by their orientation on a clock face (figure 1). When deciding on the clock face location of a finding on mammography two standard. Breast ultrasound is an important modality in breast imaging. The clock face location of breast findings is described by imaging a clock on both the left and the right breast as. Breast Ultrasound Clock Face.
From mbaheblogjpdzpn.blogspot.com
Where is 10 o'clock position on breast 258089Where is 9 o'clock left Breast Ultrasound Clock Face When deciding on the clock face location of a finding on mammography two standard. The location of breast findings on ultrasound are described by both orientation on a clock face and distance from the nipple. Findings in the breasts are described by their orientation on a clock face (figure 1). Breast ultrasound is an important modality in breast imaging. The. Breast Ultrasound Clock Face.
From www.youtube.com
Breast Multiple Fibroadenomas Positioning according to Breast Clock Breast Ultrasound Clock Face Findings in the breasts are described by their orientation on a clock face (figure 1). Regardless of whether you look at right or left breast images, the following holds true: Breast ultrasound is an important modality in breast imaging. Begin at 12 o’clock in a sagittal plane with the toe of the probe at the nipple. It is the usual. Breast Ultrasound Clock Face.
From screening.iarc.fr
Atlas of breast cancer early detection Breast Ultrasound Clock Face Findings in the breasts are described by their orientation on a clock face (figure 1). It is the usual initial breast imaging modality in those under 30. Breast ultrasound is an important modality in breast imaging. When deciding on the clock face location of a finding on mammography two standard. Regardless of whether you look at right or left breast. Breast Ultrasound Clock Face.
From www.mdpi.com
Diagnostics Free FullText Diagnostic Efficacy across Dense and Non Breast Ultrasound Clock Face It is the usual initial breast imaging modality in those under 30. When deciding on the clock face location of a finding on mammography two standard. Breast ultrasound is an important modality in breast imaging. Begin at 12 o’clock in a sagittal plane with the toe of the probe at the nipple. The location of breast findings on ultrasound are. Breast Ultrasound Clock Face.
From mavink.com
Mlo Mammography Quadrants Clock Breast Ultrasound Clock Face Breast ultrasound is an important modality in breast imaging. When deciding on the clock face location of a finding on mammography two standard. It is the usual initial breast imaging modality in those under 30. Regardless of whether you look at right or left breast images, the following holds true: Each breast is described as an individual clock, with 12.. Breast Ultrasound Clock Face.
From www.radiologictechnology.org
Breast Ultrasound Breast Ultrasound Clock Face Begin at 12 o’clock in a sagittal plane with the toe of the probe at the nipple. The clock face location of breast findings is described by imaging a clock on both the left and the right breast as the woman faces the examiner. When deciding on the clock face location of a finding on mammography two standard. Breast ultrasound. Breast Ultrasound Clock Face.
From mavink.com
Mammography Clock Positions Breast Ultrasound Clock Face Begin at 12 o’clock in a sagittal plane with the toe of the probe at the nipple. Each breast is described as an individual clock, with 12. The location of breast findings on ultrasound are described by both orientation on a clock face and distance from the nipple. Findings in the breasts are described by their orientation on a clock. Breast Ultrasound Clock Face.
From mungfali.com
MLO Mammography Quadrants Clock Breast Ultrasound Clock Face Each breast is described as an individual clock, with 12. Breast ultrasound is an important modality in breast imaging. Regardless of whether you look at right or left breast images, the following holds true: When deciding on the clock face location of a finding on mammography two standard. The location of breast findings on ultrasound are described by both orientation. Breast Ultrasound Clock Face.
From mammographyeducation.com
Breast Quadrant Map and Distribution of Breast Lesion Locations Breast Ultrasound Clock Face Findings in the breasts are described by their orientation on a clock face (figure 1). The clock face location of breast findings is described by imaging a clock on both the left and the right breast as the woman faces the examiner. It is the usual initial breast imaging modality in those under 30. The location of breast findings on. Breast Ultrasound Clock Face.
From mungfali.com
Mammogram Clock Diagram Breast Ultrasound Clock Face When deciding on the clock face location of a finding on mammography two standard. It is the usual initial breast imaging modality in those under 30. Each breast is described as an individual clock, with 12. Begin at 12 o’clock in a sagittal plane with the toe of the probe at the nipple. The clock face location of breast findings. Breast Ultrasound Clock Face.
From www.uclahealth.org
Basics of Breast Ultrasound Radiology UCLA Health Breast Ultrasound Clock Face Regardless of whether you look at right or left breast images, the following holds true: Begin at 12 o’clock in a sagittal plane with the toe of the probe at the nipple. When deciding on the clock face location of a finding on mammography two standard. Each breast is described as an individual clock, with 12. The location of breast. Breast Ultrasound Clock Face.
From www.uclahealth.org
Basics of Breast Ultrasound Radiology UCLA Health Breast Ultrasound Clock Face Regardless of whether you look at right or left breast images, the following holds true: Breast ultrasound is an important modality in breast imaging. Each breast is described as an individual clock, with 12. When deciding on the clock face location of a finding on mammography two standard. It is the usual initial breast imaging modality in those under 30.. Breast Ultrasound Clock Face.
From mavink.com
Mlo Mammography Quadrants Clock Breast Ultrasound Clock Face Breast ultrasound is an important modality in breast imaging. Begin at 12 o’clock in a sagittal plane with the toe of the probe at the nipple. The location of breast findings on ultrasound are described by both orientation on a clock face and distance from the nipple. The clock face location of breast findings is described by imaging a clock. Breast Ultrasound Clock Face.