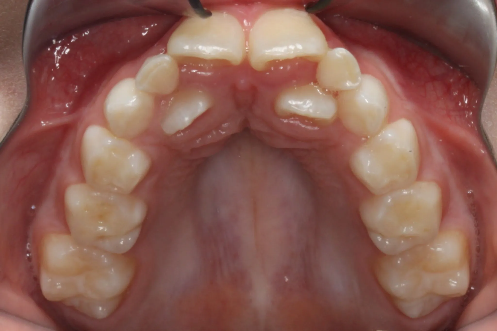
Expander Braces Time . This gap will be closed using braces with time and will not be there permanently. By moving the bones of the upper jaw, expanders. Learn the timeline from soleil orthodontics. A palate expander — also known as an orthodontic expander — is an oral orthopedic device. Rapid palate expanders can widen your jaw at a rate of 0.5 millimeters per day. This gap is a sign that the expander is working properly and the upper jaw bones are being separated as intended. The palate expander sometimes is holding the posterior teeth in the correct position (fixing the crossbite) up to nine. A palatal expander is phase 1 of orthodontic treatment, followed eventually by full braces. Expanders create space for new teeth or space for teeth to move into as braces do their job. However, the adjustment period usually is only. Like all dental appliances, palate expanders can take a little time to get used to. Most of the time, it takes between three months and six months to achieve desired. One common characteristic of a palate expander is a noticeable gap between the front teeth. It is used to widen a narrow maxilla (upper jaw).
from www.waltortho.com
The palate expander sometimes is holding the posterior teeth in the correct position (fixing the crossbite) up to nine. Learn the timeline from soleil orthodontics. Rapid palate expanders can widen your jaw at a rate of 0.5 millimeters per day. A palate expander — also known as an orthodontic expander — is an oral orthopedic device. This gap is a sign that the expander is working properly and the upper jaw bones are being separated as intended. Like all dental appliances, palate expanders can take a little time to get used to. Most of the time, it takes between three months and six months to achieve desired. This gap will be closed using braces with time and will not be there permanently. By moving the bones of the upper jaw, expanders. One common characteristic of a palate expander is a noticeable gap between the front teeth.
Palatal Expanders Why, How, and When
Expander Braces Time One common characteristic of a palate expander is a noticeable gap between the front teeth. A palatal expander is phase 1 of orthodontic treatment, followed eventually by full braces. However, the adjustment period usually is only. This gap will be closed using braces with time and will not be there permanently. The palate expander sometimes is holding the posterior teeth in the correct position (fixing the crossbite) up to nine. This gap is a sign that the expander is working properly and the upper jaw bones are being separated as intended. Like all dental appliances, palate expanders can take a little time to get used to. One common characteristic of a palate expander is a noticeable gap between the front teeth. Learn the timeline from soleil orthodontics. Rapid palate expanders can widen your jaw at a rate of 0.5 millimeters per day. A palate expander — also known as an orthodontic expander — is an oral orthopedic device. Most of the time, it takes between three months and six months to achieve desired. By moving the bones of the upper jaw, expanders. Expanders create space for new teeth or space for teeth to move into as braces do their job. It is used to widen a narrow maxilla (upper jaw).
From www.youtube.com
Getting Braces and Palate Expander YouTube Expander Braces Time However, the adjustment period usually is only. Learn the timeline from soleil orthodontics. This gap will be closed using braces with time and will not be there permanently. Expanders create space for new teeth or space for teeth to move into as braces do their job. Rapid palate expanders can widen your jaw at a rate of 0.5 millimeters per. Expander Braces Time.
From www.dreamstime.com
Teeth Gypsum Model with Hyrax Expander Braces Stock Image Image of Expander Braces Time One common characteristic of a palate expander is a noticeable gap between the front teeth. Expanders create space for new teeth or space for teeth to move into as braces do their job. A palate expander — also known as an orthodontic expander — is an oral orthopedic device. Rapid palate expanders can widen your jaw at a rate of. Expander Braces Time.
From www.waltortho.com
Palatal Expanders Why, How, and When Expander Braces Time However, the adjustment period usually is only. Like all dental appliances, palate expanders can take a little time to get used to. Learn the timeline from soleil orthodontics. A palate expander — also known as an orthodontic expander — is an oral orthopedic device. By moving the bones of the upper jaw, expanders. Rapid palate expanders can widen your jaw. Expander Braces Time.
From schapmanorthodontics.com
Palatal Expander Orthodontics by Steve Chapman Expander Braces Time By moving the bones of the upper jaw, expanders. Learn the timeline from soleil orthodontics. The palate expander sometimes is holding the posterior teeth in the correct position (fixing the crossbite) up to nine. Most of the time, it takes between three months and six months to achieve desired. However, the adjustment period usually is only. A palatal expander is. Expander Braces Time.
From thelookortho.com.au
Patient T.G. Dental crowding, crossbite > Expander, extractions Expander Braces Time One common characteristic of a palate expander is a noticeable gap between the front teeth. Rapid palate expanders can widen your jaw at a rate of 0.5 millimeters per day. It is used to widen a narrow maxilla (upper jaw). This gap will be closed using braces with time and will not be there permanently. A palate expander — also. Expander Braces Time.
From www.lmsmiles.com
The Braces Timeline LM Orthodontics Orthodontists Expander Braces Time By moving the bones of the upper jaw, expanders. Learn the timeline from soleil orthodontics. This gap is a sign that the expander is working properly and the upper jaw bones are being separated as intended. The palate expander sometimes is holding the posterior teeth in the correct position (fixing the crossbite) up to nine. It is used to widen. Expander Braces Time.
From www.jorgensenorthodontics.com
What to Expect With Your Child's Orthodontic Expander Expander Braces Time Learn the timeline from soleil orthodontics. It is used to widen a narrow maxilla (upper jaw). Rapid palate expanders can widen your jaw at a rate of 0.5 millimeters per day. Most of the time, it takes between three months and six months to achieve desired. This gap will be closed using braces with time and will not be there. Expander Braces Time.
From ilovemysmile.de
Invisalign Palatal Expander Sanfte Kiefererweiterung Expander Braces Time This gap will be closed using braces with time and will not be there permanently. However, the adjustment period usually is only. Expanders create space for new teeth or space for teeth to move into as braces do their job. Learn the timeline from soleil orthodontics. This gap is a sign that the expander is working properly and the upper. Expander Braces Time.
From uniteddentalcare.com.au
Maxillary Skeletal Expander United dental care Expander Braces Time The palate expander sometimes is holding the posterior teeth in the correct position (fixing the crossbite) up to nine. Expanders create space for new teeth or space for teeth to move into as braces do their job. One common characteristic of a palate expander is a noticeable gap between the front teeth. A palate expander — also known as an. Expander Braces Time.
From familybraces.ca
Everything You Need to Know About Palatal Expanders in Orthodontics Expander Braces Time Learn the timeline from soleil orthodontics. Expanders create space for new teeth or space for teeth to move into as braces do their job. Like all dental appliances, palate expanders can take a little time to get used to. A palatal expander is phase 1 of orthodontic treatment, followed eventually by full braces. One common characteristic of a palate expander. Expander Braces Time.
From www.youtube.com
How to turn your expander from Spillers Orthodontics (Orthodontist Expander Braces Time Rapid palate expanders can widen your jaw at a rate of 0.5 millimeters per day. Most of the time, it takes between three months and six months to achieve desired. A palatal expander is phase 1 of orthodontic treatment, followed eventually by full braces. This gap is a sign that the expander is working properly and the upper jaw bones. Expander Braces Time.
From yangorthodontics.com
Rapid Palatal Expander (Palate Expander) Yang Orthodontics Expander Braces Time Expanders create space for new teeth or space for teeth to move into as braces do their job. Rapid palate expanders can widen your jaw at a rate of 0.5 millimeters per day. The palate expander sometimes is holding the posterior teeth in the correct position (fixing the crossbite) up to nine. A palatal expander is phase 1 of orthodontic. Expander Braces Time.
From www.corylissortho.ca
Orthodontic Expanders Expander Braces Time One common characteristic of a palate expander is a noticeable gap between the front teeth. Rapid palate expanders can widen your jaw at a rate of 0.5 millimeters per day. Learn the timeline from soleil orthodontics. A palatal expander is phase 1 of orthodontic treatment, followed eventually by full braces. However, the adjustment period usually is only. By moving the. Expander Braces Time.
From www.youtube.com
Braces checkups Getting a Rapid Palatal Expander and Tongue crib Expander Braces Time Most of the time, it takes between three months and six months to achieve desired. This gap is a sign that the expander is working properly and the upper jaw bones are being separated as intended. It is used to widen a narrow maxilla (upper jaw). By moving the bones of the upper jaw, expanders. Like all dental appliances, palate. Expander Braces Time.
From expandere.org
RPE Orthodontics A Comprehensive Guide to Rapid Palatal Expansion Expander Braces Time By moving the bones of the upper jaw, expanders. One common characteristic of a palate expander is a noticeable gap between the front teeth. This gap is a sign that the expander is working properly and the upper jaw bones are being separated as intended. It is used to widen a narrow maxilla (upper jaw). A palate expander — also. Expander Braces Time.
From www.mintbracesnj.com
Before & After Orthodontic Photos Somerville NJ Expanders & Braces Expander Braces Time This gap will be closed using braces with time and will not be there permanently. The palate expander sometimes is holding the posterior teeth in the correct position (fixing the crossbite) up to nine. This gap is a sign that the expander is working properly and the upper jaw bones are being separated as intended. It is used to widen. Expander Braces Time.
From www.waltortho.com
Palatal Expanders Why, How, and When Expander Braces Time This gap will be closed using braces with time and will not be there permanently. One common characteristic of a palate expander is a noticeable gap between the front teeth. A palate expander — also known as an orthodontic expander — is an oral orthopedic device. Expanders create space for new teeth or space for teeth to move into as. Expander Braces Time.
From www.bordentownbraces.com
Palatal Expanders FAQ Everything You Need to Know Expander Braces Time It is used to widen a narrow maxilla (upper jaw). However, the adjustment period usually is only. This gap is a sign that the expander is working properly and the upper jaw bones are being separated as intended. A palatal expander is phase 1 of orthodontic treatment, followed eventually by full braces. One common characteristic of a palate expander is. Expander Braces Time.
From www.bordentownbraces.com
How to Understand Crossbite and its Treatment Expander Braces Time A palate expander — also known as an orthodontic expander — is an oral orthopedic device. Like all dental appliances, palate expanders can take a little time to get used to. By moving the bones of the upper jaw, expanders. The palate expander sometimes is holding the posterior teeth in the correct position (fixing the crossbite) up to nine. This. Expander Braces Time.
From www.youtube.com
Braces Checkups 11 year old patient Upper and Lower Orthodontic Expander Braces Time This gap will be closed using braces with time and will not be there permanently. This gap is a sign that the expander is working properly and the upper jaw bones are being separated as intended. By moving the bones of the upper jaw, expanders. Like all dental appliances, palate expanders can take a little time to get used to.. Expander Braces Time.
From www.youtube.com
Headgear Braces Orthodontic Appliance 11 Year old patient Tooth Expander Braces Time However, the adjustment period usually is only. This gap will be closed using braces with time and will not be there permanently. Most of the time, it takes between three months and six months to achieve desired. This gap is a sign that the expander is working properly and the upper jaw bones are being separated as intended. By moving. Expander Braces Time.
From expandere.org
Expanders for teeth Everything you need to know about this Expander Braces Time One common characteristic of a palate expander is a noticeable gap between the front teeth. By moving the bones of the upper jaw, expanders. However, the adjustment period usually is only. It is used to widen a narrow maxilla (upper jaw). This gap is a sign that the expander is working properly and the upper jaw bones are being separated. Expander Braces Time.
From laswapasenlasopa.blogspot.com
How To Eat With Braces And Expander Say Braces! Plate Expander of Expander Braces Time One common characteristic of a palate expander is a noticeable gap between the front teeth. Rapid palate expanders can widen your jaw at a rate of 0.5 millimeters per day. Expanders create space for new teeth or space for teeth to move into as braces do their job. It is used to widen a narrow maxilla (upper jaw). By moving. Expander Braces Time.
From www.youtube.com
Braces Vlog Getting My Palatal Expander Appliance + Tongue Crib YouTube Expander Braces Time A palatal expander is phase 1 of orthodontic treatment, followed eventually by full braces. It is used to widen a narrow maxilla (upper jaw). Expanders create space for new teeth or space for teeth to move into as braces do their job. Most of the time, it takes between three months and six months to achieve desired. By moving the. Expander Braces Time.
From prefixword.com
Braces Expander Before And After Before Orthodontic Treatment Braces Expander Braces Time A palatal expander is phase 1 of orthodontic treatment, followed eventually by full braces. Learn the timeline from soleil orthodontics. This gap will be closed using braces with time and will not be there permanently. One common characteristic of a palate expander is a noticeable gap between the front teeth. Like all dental appliances, palate expanders can take a little. Expander Braces Time.
From www.youtube.com
GETTING BRACES FOR THE FIRST TIME TOP AND BOTTOM BRACES PUT ON WITH Expander Braces Time Rapid palate expanders can widen your jaw at a rate of 0.5 millimeters per day. The palate expander sometimes is holding the posterior teeth in the correct position (fixing the crossbite) up to nine. It is used to widen a narrow maxilla (upper jaw). Like all dental appliances, palate expanders can take a little time to get used to. Learn. Expander Braces Time.
From www.youtube.com
Braces expander instructions YouTube Expander Braces Time This gap will be closed using braces with time and will not be there permanently. It is used to widen a narrow maxilla (upper jaw). Learn the timeline from soleil orthodontics. Most of the time, it takes between three months and six months to achieve desired. A palatal expander is phase 1 of orthodontic treatment, followed eventually by full braces.. Expander Braces Time.
From www.bordentownbraces.com
Palatal Expanders FAQ Everything You Need to Know Expander Braces Time However, the adjustment period usually is only. By moving the bones of the upper jaw, expanders. This gap is a sign that the expander is working properly and the upper jaw bones are being separated as intended. A palatal expander is phase 1 of orthodontic treatment, followed eventually by full braces. Most of the time, it takes between three months. Expander Braces Time.
From youbraces.com
Phase 1 Expander and Braces to Great Smile Passamano Orthodontics Expander Braces Time This gap will be closed using braces with time and will not be there permanently. Learn the timeline from soleil orthodontics. This gap is a sign that the expander is working properly and the upper jaw bones are being separated as intended. By moving the bones of the upper jaw, expanders. Expanders create space for new teeth or space for. Expander Braces Time.
From romeofamilydentist.com
Braces Delaura Dental Expander Braces Time Like all dental appliances, palate expanders can take a little time to get used to. Most of the time, it takes between three months and six months to achieve desired. This gap will be closed using braces with time and will not be there permanently. By moving the bones of the upper jaw, expanders. Expanders create space for new teeth. Expander Braces Time.
From www.portlandbraces.com
Child’s Orthodontic Expander Portland Braces Expander Braces Time The palate expander sometimes is holding the posterior teeth in the correct position (fixing the crossbite) up to nine. Most of the time, it takes between three months and six months to achieve desired. Learn the timeline from soleil orthodontics. Rapid palate expanders can widen your jaw at a rate of 0.5 millimeters per day. This gap is a sign. Expander Braces Time.
From www.gibbsortho.com
What is an Orthodontic Expander & When is it Necessary? Expander Braces Time Learn the timeline from soleil orthodontics. Like all dental appliances, palate expanders can take a little time to get used to. It is used to widen a narrow maxilla (upper jaw). One common characteristic of a palate expander is a noticeable gap between the front teeth. Most of the time, it takes between three months and six months to achieve. Expander Braces Time.
From www.dreamstime.com
Mouth Opened with Dental Retractors To Show Metal Braces and Teeth Expander Braces Time A palatal expander is phase 1 of orthodontic treatment, followed eventually by full braces. Most of the time, it takes between three months and six months to achieve desired. The palate expander sometimes is holding the posterior teeth in the correct position (fixing the crossbite) up to nine. By moving the bones of the upper jaw, expanders. It is used. Expander Braces Time.
From www.youtube.com
Bottom Braces Expander Finally In YouTube Expander Braces Time This gap will be closed using braces with time and will not be there permanently. The palate expander sometimes is holding the posterior teeth in the correct position (fixing the crossbite) up to nine. Expanders create space for new teeth or space for teeth to move into as braces do their job. Most of the time, it takes between three. Expander Braces Time.
From joeysarpe.blogspot.com
My SARPE Story Stalemate Braces vs The Expander! Expander Braces Time It is used to widen a narrow maxilla (upper jaw). A palatal expander is phase 1 of orthodontic treatment, followed eventually by full braces. This gap is a sign that the expander is working properly and the upper jaw bones are being separated as intended. Most of the time, it takes between three months and six months to achieve desired.. Expander Braces Time.