Accessory Organ Parotid Gland . The parotid gland is the largest salivary gland. Click now to learn more about its anatomy, innervation, histology, and clinical aspects at kenhub! The parotid gland extends from the posterior border of the ramus of the mandible to the upper portion of the sternocleidomastoid muscle in the neck. Explore the accessory parotid gland's structure, blood supply and clinical correlates on our informative page. Protrusion of the parotid gland anteriorly over the anterior edge of the ramus of the mandible and continuity with the main gland. The accessory parotid gland is a collection of salivary tissue separate from the main parotid gland. Three pairs of major salivary glands (parotid, submandibular, and sublingual glands) and numerous smaller ones secrete saliva into the. The accessory parotid gland is an accessory lobe near the parotid duct on the masseter.
from www.pinterest.com.mx
The accessory parotid gland is a collection of salivary tissue separate from the main parotid gland. Click now to learn more about its anatomy, innervation, histology, and clinical aspects at kenhub! The parotid gland is the largest salivary gland. Protrusion of the parotid gland anteriorly over the anterior edge of the ramus of the mandible and continuity with the main gland. Explore the accessory parotid gland's structure, blood supply and clinical correlates on our informative page. The parotid gland extends from the posterior border of the ramus of the mandible to the upper portion of the sternocleidomastoid muscle in the neck. The accessory parotid gland is an accessory lobe near the parotid duct on the masseter. Three pairs of major salivary glands (parotid, submandibular, and sublingual glands) and numerous smaller ones secrete saliva into the.
Instant Anatomy Head and Neck Parotid region
Accessory Organ Parotid Gland Explore the accessory parotid gland's structure, blood supply and clinical correlates on our informative page. Explore the accessory parotid gland's structure, blood supply and clinical correlates on our informative page. The accessory parotid gland is an accessory lobe near the parotid duct on the masseter. Click now to learn more about its anatomy, innervation, histology, and clinical aspects at kenhub! The parotid gland is the largest salivary gland. The parotid gland extends from the posterior border of the ramus of the mandible to the upper portion of the sternocleidomastoid muscle in the neck. The accessory parotid gland is a collection of salivary tissue separate from the main parotid gland. Protrusion of the parotid gland anteriorly over the anterior edge of the ramus of the mandible and continuity with the main gland. Three pairs of major salivary glands (parotid, submandibular, and sublingual glands) and numerous smaller ones secrete saliva into the.
From www.slideserve.com
PPT Accessory Digestive Organs PowerPoint Presentation, free download Accessory Organ Parotid Gland The parotid gland is the largest salivary gland. Three pairs of major salivary glands (parotid, submandibular, and sublingual glands) and numerous smaller ones secrete saliva into the. The accessory parotid gland is a collection of salivary tissue separate from the main parotid gland. The accessory parotid gland is an accessory lobe near the parotid duct on the masseter. The parotid. Accessory Organ Parotid Gland.
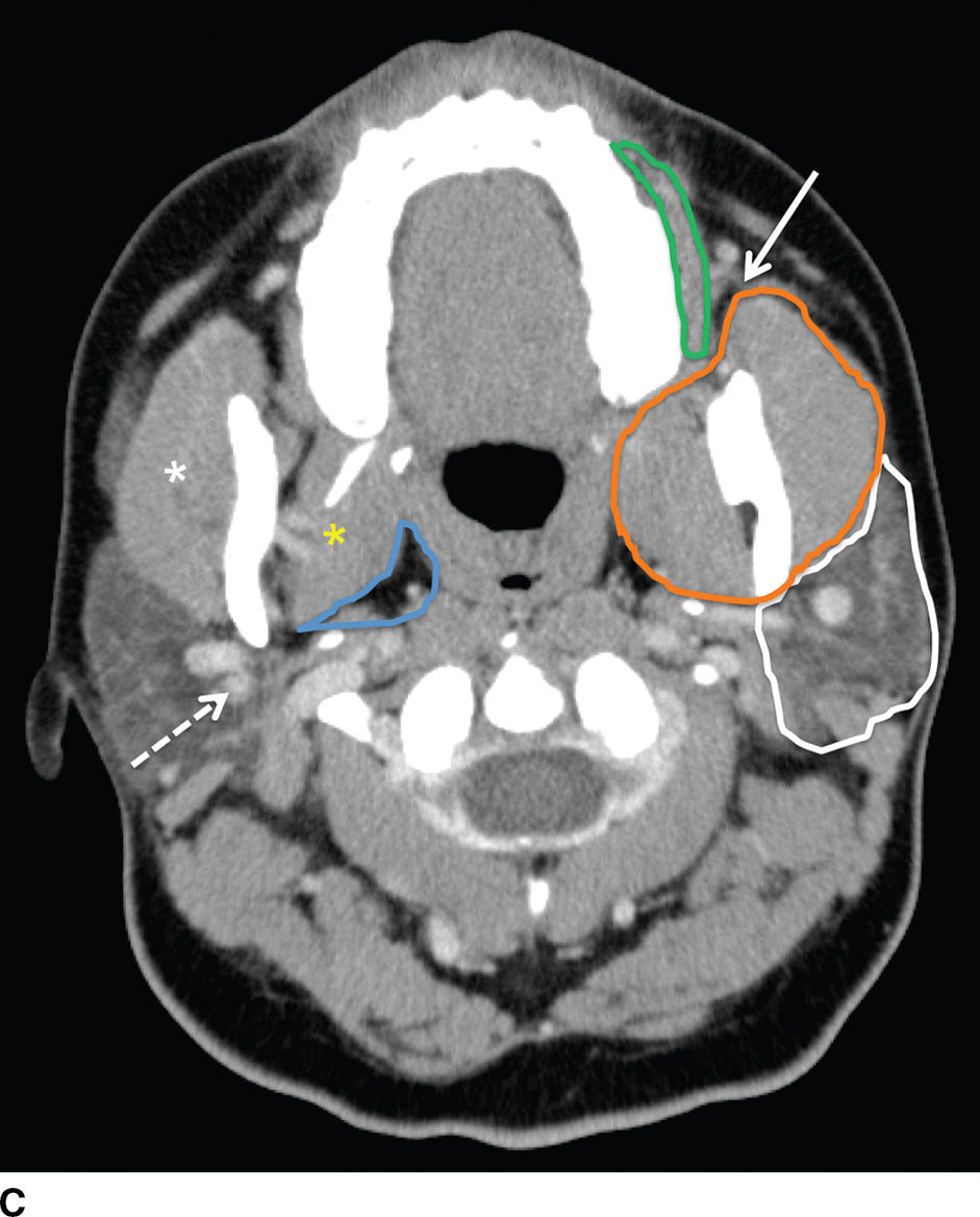
From www.frontiersin.org
Frontiers Contouring the accessory parotid gland and major parotid Accessory Organ Parotid Gland The parotid gland is the largest salivary gland. Protrusion of the parotid gland anteriorly over the anterior edge of the ramus of the mandible and continuity with the main gland. The parotid gland extends from the posterior border of the ramus of the mandible to the upper portion of the sternocleidomastoid muscle in the neck. The accessory parotid gland is. Accessory Organ Parotid Gland.
From www.slideserve.com
PPT Anatomy& innervations of parotid,Submandibular &Sublingual Glands Accessory Organ Parotid Gland The parotid gland is the largest salivary gland. The accessory parotid gland is an accessory lobe near the parotid duct on the masseter. The accessory parotid gland is a collection of salivary tissue separate from the main parotid gland. Click now to learn more about its anatomy, innervation, histology, and clinical aspects at kenhub! Three pairs of major salivary glands. Accessory Organ Parotid Gland.
From www.youtube.com
Functions Of The Salivary Glands Structure Of The Salivary Glands Accessory Organ Parotid Gland Three pairs of major salivary glands (parotid, submandibular, and sublingual glands) and numerous smaller ones secrete saliva into the. The parotid gland extends from the posterior border of the ramus of the mandible to the upper portion of the sternocleidomastoid muscle in the neck. The parotid gland is the largest salivary gland. Protrusion of the parotid gland anteriorly over the. Accessory Organ Parotid Gland.
From www.youtube.com
Parotid Gland Parotid mould or Bed Parts Relations Blood supply Accessory Organ Parotid Gland Click now to learn more about its anatomy, innervation, histology, and clinical aspects at kenhub! The accessory parotid gland is an accessory lobe near the parotid duct on the masseter. Three pairs of major salivary glands (parotid, submandibular, and sublingual glands) and numerous smaller ones secrete saliva into the. The parotid gland extends from the posterior border of the ramus. Accessory Organ Parotid Gland.
From www.aiophotoz.com
Parotid Salivary Gland The Structure Of The Parotid Salivary Gland Accessory Organ Parotid Gland Explore the accessory parotid gland's structure, blood supply and clinical correlates on our informative page. The parotid gland is the largest salivary gland. Protrusion of the parotid gland anteriorly over the anterior edge of the ramus of the mandible and continuity with the main gland. Three pairs of major salivary glands (parotid, submandibular, and sublingual glands) and numerous smaller ones. Accessory Organ Parotid Gland.
From www.pinterest.com
Accessory organs of digestion include the Liver, Gall bladder, Pancreas Accessory Organ Parotid Gland Protrusion of the parotid gland anteriorly over the anterior edge of the ramus of the mandible and continuity with the main gland. The accessory parotid gland is a collection of salivary tissue separate from the main parotid gland. The accessory parotid gland is an accessory lobe near the parotid duct on the masseter. Three pairs of major salivary glands (parotid,. Accessory Organ Parotid Gland.
From www.frontiersin.org
Frontiers Contouring the accessory parotid gland and major parotid Accessory Organ Parotid Gland Explore the accessory parotid gland's structure, blood supply and clinical correlates on our informative page. The accessory parotid gland is an accessory lobe near the parotid duct on the masseter. Click now to learn more about its anatomy, innervation, histology, and clinical aspects at kenhub! The parotid gland extends from the posterior border of the ramus of the mandible to. Accessory Organ Parotid Gland.
From www.aiophotoz.com
Parotid Gland Anatomy Ct Images and Photos finder Accessory Organ Parotid Gland Protrusion of the parotid gland anteriorly over the anterior edge of the ramus of the mandible and continuity with the main gland. Three pairs of major salivary glands (parotid, submandibular, and sublingual glands) and numerous smaller ones secrete saliva into the. The accessory parotid gland is an accessory lobe near the parotid duct on the masseter. The parotid gland is. Accessory Organ Parotid Gland.
From www.youtube.com
Human Physiology Accessory Organs Salivary Glands YouTube Accessory Organ Parotid Gland The parotid gland extends from the posterior border of the ramus of the mandible to the upper portion of the sternocleidomastoid muscle in the neck. Three pairs of major salivary glands (parotid, submandibular, and sublingual glands) and numerous smaller ones secrete saliva into the. Click now to learn more about its anatomy, innervation, histology, and clinical aspects at kenhub! The. Accessory Organ Parotid Gland.
From www.elsevier.com
Accessory Parotid Gland Complete Anatomy Accessory Organ Parotid Gland Click now to learn more about its anatomy, innervation, histology, and clinical aspects at kenhub! Explore the accessory parotid gland's structure, blood supply and clinical correlates on our informative page. The accessory parotid gland is an accessory lobe near the parotid duct on the masseter. Three pairs of major salivary glands (parotid, submandibular, and sublingual glands) and numerous smaller ones. Accessory Organ Parotid Gland.
From www.frontiersin.org
Frontiers Contouring the accessory parotid gland and major parotid Accessory Organ Parotid Gland Three pairs of major salivary glands (parotid, submandibular, and sublingual glands) and numerous smaller ones secrete saliva into the. Protrusion of the parotid gland anteriorly over the anterior edge of the ramus of the mandible and continuity with the main gland. Click now to learn more about its anatomy, innervation, histology, and clinical aspects at kenhub! The accessory parotid gland. Accessory Organ Parotid Gland.
From anatomy.app
Salivary glands Encyclopedia Anatomy.app Learn anatomy 3D Accessory Organ Parotid Gland The accessory parotid gland is a collection of salivary tissue separate from the main parotid gland. Protrusion of the parotid gland anteriorly over the anterior edge of the ramus of the mandible and continuity with the main gland. The parotid gland extends from the posterior border of the ramus of the mandible to the upper portion of the sternocleidomastoid muscle. Accessory Organ Parotid Gland.
From www.pinterest.com.mx
Instant Anatomy Head and Neck Parotid region Accessory Organ Parotid Gland The parotid gland is the largest salivary gland. Click now to learn more about its anatomy, innervation, histology, and clinical aspects at kenhub! The accessory parotid gland is a collection of salivary tissue separate from the main parotid gland. Three pairs of major salivary glands (parotid, submandibular, and sublingual glands) and numerous smaller ones secrete saliva into the. The accessory. Accessory Organ Parotid Gland.
From www.bartleby.com
Answered 1. Correctly identify all organs… bartleby Accessory Organ Parotid Gland Explore the accessory parotid gland's structure, blood supply and clinical correlates on our informative page. The parotid gland is the largest salivary gland. The accessory parotid gland is a collection of salivary tissue separate from the main parotid gland. The accessory parotid gland is an accessory lobe near the parotid duct on the masseter. Three pairs of major salivary glands. Accessory Organ Parotid Gland.
From anatomy.app
Salivary glands Encyclopedia Anatomy.app Learn anatomy 3D Accessory Organ Parotid Gland The accessory parotid gland is a collection of salivary tissue separate from the main parotid gland. Explore the accessory parotid gland's structure, blood supply and clinical correlates on our informative page. Click now to learn more about its anatomy, innervation, histology, and clinical aspects at kenhub! Three pairs of major salivary glands (parotid, submandibular, and sublingual glands) and numerous smaller. Accessory Organ Parotid Gland.
From www.cancercarespecialtiesmena.com
1157pxDiagram_of_the_parotid_gland_before_surgery_to_remove_a_tumour Accessory Organ Parotid Gland The parotid gland extends from the posterior border of the ramus of the mandible to the upper portion of the sternocleidomastoid muscle in the neck. The accessory parotid gland is a collection of salivary tissue separate from the main parotid gland. The accessory parotid gland is an accessory lobe near the parotid duct on the masseter. Click now to learn. Accessory Organ Parotid Gland.
From www.anatomyqa.com
Parotid Gland Anatomy QA Accessory Organ Parotid Gland Click now to learn more about its anatomy, innervation, histology, and clinical aspects at kenhub! Explore the accessory parotid gland's structure, blood supply and clinical correlates on our informative page. The parotid gland extends from the posterior border of the ramus of the mandible to the upper portion of the sternocleidomastoid muscle in the neck. Protrusion of the parotid gland. Accessory Organ Parotid Gland.
From www.slideserve.com
PPT PAROTID GLAND PowerPoint Presentation, free download ID9686699 Accessory Organ Parotid Gland Protrusion of the parotid gland anteriorly over the anterior edge of the ramus of the mandible and continuity with the main gland. The parotid gland extends from the posterior border of the ramus of the mandible to the upper portion of the sternocleidomastoid muscle in the neck. Explore the accessory parotid gland's structure, blood supply and clinical correlates on our. Accessory Organ Parotid Gland.
From teachmeanatomy.info
The Parotid Gland Position Vasculature Innervation TeachMeAnatomy Accessory Organ Parotid Gland Three pairs of major salivary glands (parotid, submandibular, and sublingual glands) and numerous smaller ones secrete saliva into the. The parotid gland extends from the posterior border of the ramus of the mandible to the upper portion of the sternocleidomastoid muscle in the neck. The accessory parotid gland is an accessory lobe near the parotid duct on the masseter. The. Accessory Organ Parotid Gland.
From www.artandsciencegraphics.com
Medical Images Art & Science Graphics Accessory Organ Parotid Gland Click now to learn more about its anatomy, innervation, histology, and clinical aspects at kenhub! Explore the accessory parotid gland's structure, blood supply and clinical correlates on our informative page. The accessory parotid gland is an accessory lobe near the parotid duct on the masseter. Three pairs of major salivary glands (parotid, submandibular, and sublingual glands) and numerous smaller ones. Accessory Organ Parotid Gland.
From www.researchgate.net
(PDF) Contouring the accessory parotid gland and major parotid glands Accessory Organ Parotid Gland Click now to learn more about its anatomy, innervation, histology, and clinical aspects at kenhub! The parotid gland is the largest salivary gland. The parotid gland extends from the posterior border of the ramus of the mandible to the upper portion of the sternocleidomastoid muscle in the neck. Explore the accessory parotid gland's structure, blood supply and clinical correlates on. Accessory Organ Parotid Gland.
From www.frontiersin.org
Frontiers Contouring the accessory parotid gland and major parotid Accessory Organ Parotid Gland Three pairs of major salivary glands (parotid, submandibular, and sublingual glands) and numerous smaller ones secrete saliva into the. Explore the accessory parotid gland's structure, blood supply and clinical correlates on our informative page. The accessory parotid gland is an accessory lobe near the parotid duct on the masseter. Protrusion of the parotid gland anteriorly over the anterior edge of. Accessory Organ Parotid Gland.
From www.slideserve.com
PPT A Digestive Journey “a trip through the donut hole” PowerPoint Accessory Organ Parotid Gland Click now to learn more about its anatomy, innervation, histology, and clinical aspects at kenhub! Protrusion of the parotid gland anteriorly over the anterior edge of the ramus of the mandible and continuity with the main gland. The parotid gland is the largest salivary gland. Explore the accessory parotid gland's structure, blood supply and clinical correlates on our informative page.. Accessory Organ Parotid Gland.
From anatomy.app
Accessory parotid gland Salivary glands Head and Neck Anatomy.app Accessory Organ Parotid Gland The accessory parotid gland is a collection of salivary tissue separate from the main parotid gland. Protrusion of the parotid gland anteriorly over the anterior edge of the ramus of the mandible and continuity with the main gland. Explore the accessory parotid gland's structure, blood supply and clinical correlates on our informative page. Click now to learn more about its. Accessory Organ Parotid Gland.
From courses.lumenlearning.com
3.1 Digestion at a Glance Nutrition Flexbook Accessory Organ Parotid Gland Click now to learn more about its anatomy, innervation, histology, and clinical aspects at kenhub! Explore the accessory parotid gland's structure, blood supply and clinical correlates on our informative page. The accessory parotid gland is an accessory lobe near the parotid duct on the masseter. The accessory parotid gland is a collection of salivary tissue separate from the main parotid. Accessory Organ Parotid Gland.
From www.researchgate.net
A representative example of an accessory parotid gland. A softtissue Accessory Organ Parotid Gland Three pairs of major salivary glands (parotid, submandibular, and sublingual glands) and numerous smaller ones secrete saliva into the. Protrusion of the parotid gland anteriorly over the anterior edge of the ramus of the mandible and continuity with the main gland. The parotid gland extends from the posterior border of the ramus of the mandible to the upper portion of. Accessory Organ Parotid Gland.
From www.slideserve.com
PPT Chapter 14 Digestive System PowerPoint Presentation, free Accessory Organ Parotid Gland The accessory parotid gland is an accessory lobe near the parotid duct on the masseter. Explore the accessory parotid gland's structure, blood supply and clinical correlates on our informative page. Three pairs of major salivary glands (parotid, submandibular, and sublingual glands) and numerous smaller ones secrete saliva into the. The accessory parotid gland is a collection of salivary tissue separate. Accessory Organ Parotid Gland.
From www.researchgate.net
The three major paired salivary glands include the parotid Accessory Organ Parotid Gland Click now to learn more about its anatomy, innervation, histology, and clinical aspects at kenhub! The accessory parotid gland is a collection of salivary tissue separate from the main parotid gland. Three pairs of major salivary glands (parotid, submandibular, and sublingual glands) and numerous smaller ones secrete saliva into the. The accessory parotid gland is an accessory lobe near the. Accessory Organ Parotid Gland.
From anatomyqa.com
Parotid Gland , Anatomy QA Accessory Organ Parotid Gland The parotid gland is the largest salivary gland. Three pairs of major salivary glands (parotid, submandibular, and sublingual glands) and numerous smaller ones secrete saliva into the. Protrusion of the parotid gland anteriorly over the anterior edge of the ramus of the mandible and continuity with the main gland. Click now to learn more about its anatomy, innervation, histology, and. Accessory Organ Parotid Gland.
From www.frontiersin.org
Frontiers Contouring the accessory parotid gland and major parotid Accessory Organ Parotid Gland The parotid gland is the largest salivary gland. The parotid gland extends from the posterior border of the ramus of the mandible to the upper portion of the sternocleidomastoid muscle in the neck. Explore the accessory parotid gland's structure, blood supply and clinical correlates on our informative page. The accessory parotid gland is a collection of salivary tissue separate from. Accessory Organ Parotid Gland.
From www.pinterest.com
Pin on Best Specialist Surgeon and Doctors in Gurgaon India Accessory Organ Parotid Gland Explore the accessory parotid gland's structure, blood supply and clinical correlates on our informative page. Click now to learn more about its anatomy, innervation, histology, and clinical aspects at kenhub! The accessory parotid gland is an accessory lobe near the parotid duct on the masseter. Protrusion of the parotid gland anteriorly over the anterior edge of the ramus of the. Accessory Organ Parotid Gland.
From www.anatomyatlases.org
From Toldt, 1919. Accessory Organ Parotid Gland The parotid gland is the largest salivary gland. Three pairs of major salivary glands (parotid, submandibular, and sublingual glands) and numerous smaller ones secrete saliva into the. Click now to learn more about its anatomy, innervation, histology, and clinical aspects at kenhub! Protrusion of the parotid gland anteriorly over the anterior edge of the ramus of the mandible and continuity. Accessory Organ Parotid Gland.
From www.visiblebody.com
Accessory Organs Digestive Anatomy Accessory Organ Parotid Gland Explore the accessory parotid gland's structure, blood supply and clinical correlates on our informative page. The parotid gland is the largest salivary gland. Three pairs of major salivary glands (parotid, submandibular, and sublingual glands) and numerous smaller ones secrete saliva into the. The parotid gland extends from the posterior border of the ramus of the mandible to the upper portion. Accessory Organ Parotid Gland.
From www.studocu.com
Salivary gland anatomy Parotid glands serous secretion 2 Accessory Organ Parotid Gland The accessory parotid gland is an accessory lobe near the parotid duct on the masseter. The parotid gland is the largest salivary gland. Three pairs of major salivary glands (parotid, submandibular, and sublingual glands) and numerous smaller ones secrete saliva into the. Click now to learn more about its anatomy, innervation, histology, and clinical aspects at kenhub! Explore the accessory. Accessory Organ Parotid Gland.