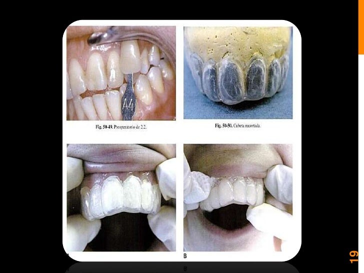
Microabrasion Blanqueamiento Dental . La microabrasión dental es un procedimiento estético utilizado para corregir manchas y decoloraciones en el esmalte dental. La microabrasión dental es un tratamiento muy común en odontología, con fines funcionales y estéticos. Con ello se consigue mejorar la estética de la sonrisa y restaurar el diente. La microabrasión dental logra la eliminación de alteraciones del color del diente que no superen los 2mm de profundidad. Descubre qué es la microabrasión dental, para qué se utiliza y cuánto dura este tratamiento dental. En la microabrasión del esmalte, los dientes se blanquean con herramientas dentales mecánicas en lugar de productos químicos agresivos. ¿tienes manchas blancas en los dientes? Este tratamiento se realiza mediante la eliminación controlada de una pequeña capa del esmalte dental utilizando una sustancia abrasiva suave. Consiste básicamente en eliminar la despigmentación en el diente a través de un ligero pulido. Dentro de los tratamientos de blanqueamiento dental, podemos encontrar varios tipos, entre los cuales se incluyen los que pueden realizarse en. Primero se aplica en los dientes ácido fosfórico y posteriormente una pasta abrasiva, que pule las capas del esmalte mediante la utilización de instrumentos.
from es.slideshare.net
Este tratamiento se realiza mediante la eliminación controlada de una pequeña capa del esmalte dental utilizando una sustancia abrasiva suave. Dentro de los tratamientos de blanqueamiento dental, podemos encontrar varios tipos, entre los cuales se incluyen los que pueden realizarse en. Descubre qué es la microabrasión dental, para qué se utiliza y cuánto dura este tratamiento dental. Primero se aplica en los dientes ácido fosfórico y posteriormente una pasta abrasiva, que pule las capas del esmalte mediante la utilización de instrumentos. La microabrasión dental logra la eliminación de alteraciones del color del diente que no superen los 2mm de profundidad. ¿tienes manchas blancas en los dientes? Con ello se consigue mejorar la estética de la sonrisa y restaurar el diente. La microabrasión dental es un procedimiento estético utilizado para corregir manchas y decoloraciones en el esmalte dental. Consiste básicamente en eliminar la despigmentación en el diente a través de un ligero pulido. La microabrasión dental es un tratamiento muy común en odontología, con fines funcionales y estéticos.
Blanqueamiento y microabrasion dental
Microabrasion Blanqueamiento Dental La microabrasión dental logra la eliminación de alteraciones del color del diente que no superen los 2mm de profundidad. Este tratamiento se realiza mediante la eliminación controlada de una pequeña capa del esmalte dental utilizando una sustancia abrasiva suave. Descubre qué es la microabrasión dental, para qué se utiliza y cuánto dura este tratamiento dental. La microabrasión dental es un tratamiento muy común en odontología, con fines funcionales y estéticos. La microabrasión dental es un procedimiento estético utilizado para corregir manchas y decoloraciones en el esmalte dental. Consiste básicamente en eliminar la despigmentación en el diente a través de un ligero pulido. ¿tienes manchas blancas en los dientes? Con ello se consigue mejorar la estética de la sonrisa y restaurar el diente. La microabrasión dental logra la eliminación de alteraciones del color del diente que no superen los 2mm de profundidad. Primero se aplica en los dientes ácido fosfórico y posteriormente una pasta abrasiva, que pule las capas del esmalte mediante la utilización de instrumentos. En la microabrasión del esmalte, los dientes se blanquean con herramientas dentales mecánicas en lugar de productos químicos agresivos. Dentro de los tratamientos de blanqueamiento dental, podemos encontrar varios tipos, entre los cuales se incluyen los que pueden realizarse en.
From es.slideshare.net
Blanqueamiento y microabrasion dental Microabrasion Blanqueamiento Dental Primero se aplica en los dientes ácido fosfórico y posteriormente una pasta abrasiva, que pule las capas del esmalte mediante la utilización de instrumentos. Dentro de los tratamientos de blanqueamiento dental, podemos encontrar varios tipos, entre los cuales se incluyen los que pueden realizarse en. La microabrasión dental es un tratamiento muy común en odontología, con fines funcionales y estéticos.. Microabrasion Blanqueamiento Dental.
From victorchacon.blogspot.pe
Odontología al Día MICROABRASIÓN DEL ESMALTE Microabrasion Blanqueamiento Dental La microabrasión dental es un tratamiento muy común en odontología, con fines funcionales y estéticos. En la microabrasión del esmalte, los dientes se blanquean con herramientas dentales mecánicas en lugar de productos químicos agresivos. Primero se aplica en los dientes ácido fosfórico y posteriormente una pasta abrasiva, que pule las capas del esmalte mediante la utilización de instrumentos. ¿tienes manchas. Microabrasion Blanqueamiento Dental.
From www.clinicaferrusbratos.com
Microabrasión dental ¿para qué sirve? Ferrus&Bratos Microabrasion Blanqueamiento Dental Primero se aplica en los dientes ácido fosfórico y posteriormente una pasta abrasiva, que pule las capas del esmalte mediante la utilización de instrumentos. La microabrasión dental logra la eliminación de alteraciones del color del diente que no superen los 2mm de profundidad. Descubre qué es la microabrasión dental, para qué se utiliza y cuánto dura este tratamiento dental. Dentro. Microabrasion Blanqueamiento Dental.
From la.ultradent.blog
La Microabrasión en Odontología Estética Microabrasion Blanqueamiento Dental Con ello se consigue mejorar la estética de la sonrisa y restaurar el diente. En la microabrasión del esmalte, los dientes se blanquean con herramientas dentales mecánicas en lugar de productos químicos agresivos. La microabrasión dental logra la eliminación de alteraciones del color del diente que no superen los 2mm de profundidad. La microabrasión dental es un procedimiento estético utilizado. Microabrasion Blanqueamiento Dental.
From es.slideshare.net
Blanqueamiento y microabrasion dental Microabrasion Blanqueamiento Dental ¿tienes manchas blancas en los dientes? Dentro de los tratamientos de blanqueamiento dental, podemos encontrar varios tipos, entre los cuales se incluyen los que pueden realizarse en. Consiste básicamente en eliminar la despigmentación en el diente a través de un ligero pulido. Descubre qué es la microabrasión dental, para qué se utiliza y cuánto dura este tratamiento dental. Este tratamiento. Microabrasion Blanqueamiento Dental.
From es.slideshare.net
Blanqueamiento y microabrasion dental Microabrasion Blanqueamiento Dental ¿tienes manchas blancas en los dientes? Primero se aplica en los dientes ácido fosfórico y posteriormente una pasta abrasiva, que pule las capas del esmalte mediante la utilización de instrumentos. Dentro de los tratamientos de blanqueamiento dental, podemos encontrar varios tipos, entre los cuales se incluyen los que pueden realizarse en. Descubre qué es la microabrasión dental, para qué se. Microabrasion Blanqueamiento Dental.
From dentalparacual.com
Tabla Comparativa Entre Blanqueamiento, Microabrasión Y Icon » Dental Microabrasion Blanqueamiento Dental Descubre qué es la microabrasión dental, para qué se utiliza y cuánto dura este tratamiento dental. ¿tienes manchas blancas en los dientes? Este tratamiento se realiza mediante la eliminación controlada de una pequeña capa del esmalte dental utilizando una sustancia abrasiva suave. Consiste básicamente en eliminar la despigmentación en el diente a través de un ligero pulido. La microabrasión dental. Microabrasion Blanqueamiento Dental.
From dentagama.com
Enamel Microabrasion News Dentagama Microabrasion Blanqueamiento Dental En la microabrasión del esmalte, los dientes se blanquean con herramientas dentales mecánicas en lugar de productos químicos agresivos. ¿tienes manchas blancas en los dientes? La microabrasión dental logra la eliminación de alteraciones del color del diente que no superen los 2mm de profundidad. Dentro de los tratamientos de blanqueamiento dental, podemos encontrar varios tipos, entre los cuales se incluyen. Microabrasion Blanqueamiento Dental.
From es.slideshare.net
Blanqueamiento y microabrasion dental Microabrasion Blanqueamiento Dental Descubre qué es la microabrasión dental, para qué se utiliza y cuánto dura este tratamiento dental. Este tratamiento se realiza mediante la eliminación controlada de una pequeña capa del esmalte dental utilizando una sustancia abrasiva suave. ¿tienes manchas blancas en los dientes? La microabrasión dental es un tratamiento muy común en odontología, con fines funcionales y estéticos. En la microabrasión. Microabrasion Blanqueamiento Dental.
From es.slideshare.net
Blanqueamiento y microabrasion dental Microabrasion Blanqueamiento Dental La microabrasión dental es un procedimiento estético utilizado para corregir manchas y decoloraciones en el esmalte dental. Con ello se consigue mejorar la estética de la sonrisa y restaurar el diente. ¿tienes manchas blancas en los dientes? Consiste básicamente en eliminar la despigmentación en el diente a través de un ligero pulido. La microabrasión dental es un tratamiento muy común. Microabrasion Blanqueamiento Dental.
From la.ultradent.blog
Microabrasión de Esmalte Técnica Paso a Paso Microabrasion Blanqueamiento Dental Primero se aplica en los dientes ácido fosfórico y posteriormente una pasta abrasiva, que pule las capas del esmalte mediante la utilización de instrumentos. Este tratamiento se realiza mediante la eliminación controlada de una pequeña capa del esmalte dental utilizando una sustancia abrasiva suave. Dentro de los tratamientos de blanqueamiento dental, podemos encontrar varios tipos, entre los cuales se incluyen. Microabrasion Blanqueamiento Dental.
From fgmdentalgroup.com
Blanqueamiento casero y microabrasión Microabrasion Blanqueamiento Dental Consiste básicamente en eliminar la despigmentación en el diente a través de un ligero pulido. La microabrasión dental es un tratamiento muy común en odontología, con fines funcionales y estéticos. En la microabrasión del esmalte, los dientes se blanquean con herramientas dentales mecánicas en lugar de productos químicos agresivos. Primero se aplica en los dientes ácido fosfórico y posteriormente una. Microabrasion Blanqueamiento Dental.
From alrezfamilydentistry.com
Enamel Microabrasion in Glen Mills, PA Alrez Family Dentistry Microabrasion Blanqueamiento Dental La microabrasión dental es un procedimiento estético utilizado para corregir manchas y decoloraciones en el esmalte dental. En la microabrasión del esmalte, los dientes se blanquean con herramientas dentales mecánicas en lugar de productos químicos agresivos. Descubre qué es la microabrasión dental, para qué se utiliza y cuánto dura este tratamiento dental. La microabrasión dental es un tratamiento muy común. Microabrasion Blanqueamiento Dental.
From es.slideshare.net
Blanqueamiento y microabrasion dental Microabrasion Blanqueamiento Dental Consiste básicamente en eliminar la despigmentación en el diente a través de un ligero pulido. Dentro de los tratamientos de blanqueamiento dental, podemos encontrar varios tipos, entre los cuales se incluyen los que pueden realizarse en. Este tratamiento se realiza mediante la eliminación controlada de una pequeña capa del esmalte dental utilizando una sustancia abrasiva suave. ¿tienes manchas blancas en. Microabrasion Blanqueamiento Dental.
From www.slideshare.net
Blanqueamiento y microabrasion dental Microabrasion Blanqueamiento Dental La microabrasión dental logra la eliminación de alteraciones del color del diente que no superen los 2mm de profundidad. Dentro de los tratamientos de blanqueamiento dental, podemos encontrar varios tipos, entre los cuales se incluyen los que pueden realizarse en. Consiste básicamente en eliminar la despigmentación en el diente a través de un ligero pulido. Primero se aplica en los. Microabrasion Blanqueamiento Dental.
From clinicacolina.com
Blanqueamiento dental Clinica Colina Microabrasion Blanqueamiento Dental Este tratamiento se realiza mediante la eliminación controlada de una pequeña capa del esmalte dental utilizando una sustancia abrasiva suave. Primero se aplica en los dientes ácido fosfórico y posteriormente una pasta abrasiva, que pule las capas del esmalte mediante la utilización de instrumentos. Dentro de los tratamientos de blanqueamiento dental, podemos encontrar varios tipos, entre los cuales se incluyen. Microabrasion Blanqueamiento Dental.
From www.alfadent.com.pe
Microabrasión dental Centro Odontológico Alfadent Microabrasion Blanqueamiento Dental En la microabrasión del esmalte, los dientes se blanquean con herramientas dentales mecánicas en lugar de productos químicos agresivos. ¿tienes manchas blancas en los dientes? Consiste básicamente en eliminar la despigmentación en el diente a través de un ligero pulido. Dentro de los tratamientos de blanqueamiento dental, podemos encontrar varios tipos, entre los cuales se incluyen los que pueden realizarse. Microabrasion Blanqueamiento Dental.
From erwindental.es
Blanqueamiento dental Clínica Dental Erwin Microabrasion Blanqueamiento Dental ¿tienes manchas blancas en los dientes? En la microabrasión del esmalte, los dientes se blanquean con herramientas dentales mecánicas en lugar de productos químicos agresivos. Consiste básicamente en eliminar la despigmentación en el diente a través de un ligero pulido. La microabrasión dental es un tratamiento muy común en odontología, con fines funcionales y estéticos. La microabrasión dental logra la. Microabrasion Blanqueamiento Dental.
From pt.slideshare.net
Blanqueamiento y microabrasion dental Microabrasion Blanqueamiento Dental La microabrasión dental logra la eliminación de alteraciones del color del diente que no superen los 2mm de profundidad. En la microabrasión del esmalte, los dientes se blanquean con herramientas dentales mecánicas en lugar de productos químicos agresivos. Descubre qué es la microabrasión dental, para qué se utiliza y cuánto dura este tratamiento dental. Este tratamiento se realiza mediante la. Microabrasion Blanqueamiento Dental.
From albaclinicadental.com
Blanqueamiento dental en Tarragona y Reus Alba Clínica Dental Microabrasion Blanqueamiento Dental Dentro de los tratamientos de blanqueamiento dental, podemos encontrar varios tipos, entre los cuales se incluyen los que pueden realizarse en. Este tratamiento se realiza mediante la eliminación controlada de una pequeña capa del esmalte dental utilizando una sustancia abrasiva suave. Descubre qué es la microabrasión dental, para qué se utiliza y cuánto dura este tratamiento dental. Con ello se. Microabrasion Blanqueamiento Dental.
From es.slideshare.net
Blanqueamiento y microabrasion dental Microabrasion Blanqueamiento Dental La microabrasión dental es un procedimiento estético utilizado para corregir manchas y decoloraciones en el esmalte dental. ¿tienes manchas blancas en los dientes? La microabrasión dental es un tratamiento muy común en odontología, con fines funcionales y estéticos. En la microabrasión del esmalte, los dientes se blanquean con herramientas dentales mecánicas en lugar de productos químicos agresivos. Con ello se. Microabrasion Blanqueamiento Dental.
From www.youtube.com
Macroabrasión y Microabrasión del esmalte ¿Resolverá el problema de Microabrasion Blanqueamiento Dental Este tratamiento se realiza mediante la eliminación controlada de una pequeña capa del esmalte dental utilizando una sustancia abrasiva suave. La microabrasión dental es un tratamiento muy común en odontología, con fines funcionales y estéticos. La microabrasión dental logra la eliminación de alteraciones del color del diente que no superen los 2mm de profundidad. En la microabrasión del esmalte, los. Microabrasion Blanqueamiento Dental.
From es.slideshare.net
Blanqueamiento y microabrasion dental Microabrasion Blanqueamiento Dental Con ello se consigue mejorar la estética de la sonrisa y restaurar el diente. Descubre qué es la microabrasión dental, para qué se utiliza y cuánto dura este tratamiento dental. Este tratamiento se realiza mediante la eliminación controlada de una pequeña capa del esmalte dental utilizando una sustancia abrasiva suave. ¿tienes manchas blancas en los dientes? Consiste básicamente en eliminar. Microabrasion Blanqueamiento Dental.
From es.slideshare.net
Blanqueamiento y microabrasion dental Microabrasion Blanqueamiento Dental Primero se aplica en los dientes ácido fosfórico y posteriormente una pasta abrasiva, que pule las capas del esmalte mediante la utilización de instrumentos. Con ello se consigue mejorar la estética de la sonrisa y restaurar el diente. Este tratamiento se realiza mediante la eliminación controlada de una pequeña capa del esmalte dental utilizando una sustancia abrasiva suave. Consiste básicamente. Microabrasion Blanqueamiento Dental.
From clinicakranion.com
Blanqueamiento dental lo que debes saber Clínica Kranion Microabrasion Blanqueamiento Dental Este tratamiento se realiza mediante la eliminación controlada de una pequeña capa del esmalte dental utilizando una sustancia abrasiva suave. En la microabrasión del esmalte, los dientes se blanquean con herramientas dentales mecánicas en lugar de productos químicos agresivos. Con ello se consigue mejorar la estética de la sonrisa y restaurar el diente. ¿tienes manchas blancas en los dientes? La. Microabrasion Blanqueamiento Dental.
From www.dentalclinique.us
Dental Microabrasion Dental Clinique Microabrasion Blanqueamiento Dental Dentro de los tratamientos de blanqueamiento dental, podemos encontrar varios tipos, entre los cuales se incluyen los que pueden realizarse en. La microabrasión dental es un tratamiento muy común en odontología, con fines funcionales y estéticos. La microabrasión dental logra la eliminación de alteraciones del color del diente que no superen los 2mm de profundidad. Consiste básicamente en eliminar la. Microabrasion Blanqueamiento Dental.
From www.slideshare.net
Blanqueamiento y microabrasion dental Microabrasion Blanqueamiento Dental Dentro de los tratamientos de blanqueamiento dental, podemos encontrar varios tipos, entre los cuales se incluyen los que pueden realizarse en. La microabrasión dental es un procedimiento estético utilizado para corregir manchas y decoloraciones en el esmalte dental. La microabrasión dental logra la eliminación de alteraciones del color del diente que no superen los 2mm de profundidad. Con ello se. Microabrasion Blanqueamiento Dental.
From es.slideshare.net
Blanqueamiento y microabrasion dental Microabrasion Blanqueamiento Dental Dentro de los tratamientos de blanqueamiento dental, podemos encontrar varios tipos, entre los cuales se incluyen los que pueden realizarse en. Descubre qué es la microabrasión dental, para qué se utiliza y cuánto dura este tratamiento dental. La microabrasión dental logra la eliminación de alteraciones del color del diente que no superen los 2mm de profundidad. Consiste básicamente en eliminar. Microabrasion Blanqueamiento Dental.
From es.slideshare.net
Blanqueamiento y microabrasion dental Microabrasion Blanqueamiento Dental Consiste básicamente en eliminar la despigmentación en el diente a través de un ligero pulido. La microabrasión dental es un tratamiento muy común en odontología, con fines funcionales y estéticos. Con ello se consigue mejorar la estética de la sonrisa y restaurar el diente. En la microabrasión del esmalte, los dientes se blanquean con herramientas dentales mecánicas en lugar de. Microabrasion Blanqueamiento Dental.
From dentalclin.com.mx
Microabrasión Dental DentalClin Microabrasion Blanqueamiento Dental Primero se aplica en los dientes ácido fosfórico y posteriormente una pasta abrasiva, que pule las capas del esmalte mediante la utilización de instrumentos. ¿tienes manchas blancas en los dientes? Dentro de los tratamientos de blanqueamiento dental, podemos encontrar varios tipos, entre los cuales se incluyen los que pueden realizarse en. La microabrasión dental es un procedimiento estético utilizado para. Microabrasion Blanqueamiento Dental.
From es.slideshare.net
Blanqueamiento y microabrasion dental Microabrasion Blanqueamiento Dental Este tratamiento se realiza mediante la eliminación controlada de una pequeña capa del esmalte dental utilizando una sustancia abrasiva suave. Primero se aplica en los dientes ácido fosfórico y posteriormente una pasta abrasiva, que pule las capas del esmalte mediante la utilización de instrumentos. La microabrasión dental logra la eliminación de alteraciones del color del diente que no superen los. Microabrasion Blanqueamiento Dental.
From www.clinicamoyua.com
Microabrasión dental qué es y cuándo está indicada Microabrasion Blanqueamiento Dental La microabrasión dental es un tratamiento muy común en odontología, con fines funcionales y estéticos. Descubre qué es la microabrasión dental, para qué se utiliza y cuánto dura este tratamiento dental. Consiste básicamente en eliminar la despigmentación en el diente a través de un ligero pulido. Con ello se consigue mejorar la estética de la sonrisa y restaurar el diente.. Microabrasion Blanqueamiento Dental.
From tiiz.es
Microabrasión dental para una sonrisa reluciente Clínica dental Tiiz Microabrasion Blanqueamiento Dental La microabrasión dental es un tratamiento muy común en odontología, con fines funcionales y estéticos. Con ello se consigue mejorar la estética de la sonrisa y restaurar el diente. La microabrasión dental es un procedimiento estético utilizado para corregir manchas y decoloraciones en el esmalte dental. En la microabrasión del esmalte, los dientes se blanquean con herramientas dentales mecánicas en. Microabrasion Blanqueamiento Dental.
From fgmdentalgroup.com
Blanqueamiento casero y microabrasión Microabrasion Blanqueamiento Dental Primero se aplica en los dientes ácido fosfórico y posteriormente una pasta abrasiva, que pule las capas del esmalte mediante la utilización de instrumentos. Descubre qué es la microabrasión dental, para qué se utiliza y cuánto dura este tratamiento dental. Con ello se consigue mejorar la estética de la sonrisa y restaurar el diente. La microabrasión dental es un procedimiento. Microabrasion Blanqueamiento Dental.
From www.dentalatkeys.com.au
Before/After Enamel Microabrasion Dental at Keys Microabrasion Blanqueamiento Dental La microabrasión dental logra la eliminación de alteraciones del color del diente que no superen los 2mm de profundidad. La microabrasión dental es un tratamiento muy común en odontología, con fines funcionales y estéticos. Este tratamiento se realiza mediante la eliminación controlada de una pequeña capa del esmalte dental utilizando una sustancia abrasiva suave. La microabrasión dental es un procedimiento. Microabrasion Blanqueamiento Dental.