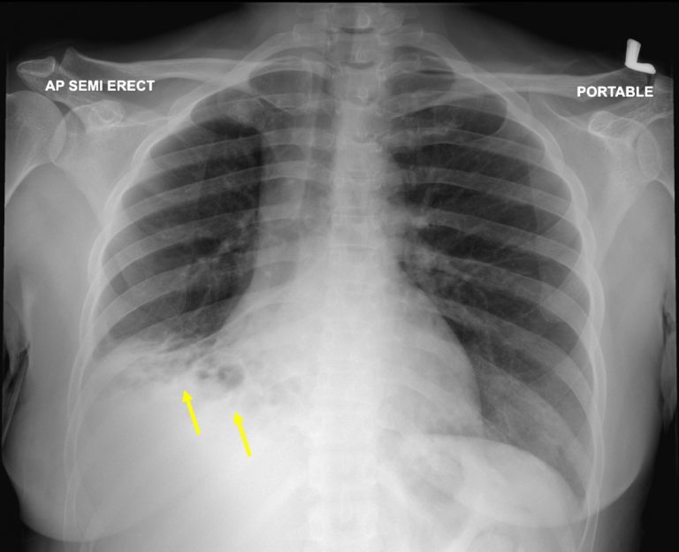
Bronchiectasis Chest X Ray Radiopaedia . chest radiography is usually the initial study performed in suspected bronchiectasis. the diagnosis of bronchiectasis requires the presence of clinical symptoms as well as characteristic radiographic features on. diagnosis of bronchiectasis is usually made using chest computed tomography (ct) scan, the current gold standard method. Findings include bronchial diameter exceeding that of the adjacent pulmonary artery and lack of normal tapering of terminal bronchioles as they course toward the lung periphery. A bronchiectatic airway can show abnormal widening and thickening of its airway wall. patients may have symptoms such as cough, dyspnea, chest pain, or expectoration of plugs or casts.
from radiologykey.com
chest radiography is usually the initial study performed in suspected bronchiectasis. diagnosis of bronchiectasis is usually made using chest computed tomography (ct) scan, the current gold standard method. A bronchiectatic airway can show abnormal widening and thickening of its airway wall. patients may have symptoms such as cough, dyspnea, chest pain, or expectoration of plugs or casts. Findings include bronchial diameter exceeding that of the adjacent pulmonary artery and lack of normal tapering of terminal bronchioles as they course toward the lung periphery. the diagnosis of bronchiectasis requires the presence of clinical symptoms as well as characteristic radiographic features on.
Bronchiectasis and Other Bronchial Abnormalities Radiology Key
Bronchiectasis Chest X Ray Radiopaedia diagnosis of bronchiectasis is usually made using chest computed tomography (ct) scan, the current gold standard method. Findings include bronchial diameter exceeding that of the adjacent pulmonary artery and lack of normal tapering of terminal bronchioles as they course toward the lung periphery. the diagnosis of bronchiectasis requires the presence of clinical symptoms as well as characteristic radiographic features on. patients may have symptoms such as cough, dyspnea, chest pain, or expectoration of plugs or casts. A bronchiectatic airway can show abnormal widening and thickening of its airway wall. chest radiography is usually the initial study performed in suspected bronchiectasis. diagnosis of bronchiectasis is usually made using chest computed tomography (ct) scan, the current gold standard method.
From radiopaedia.org
Traction bronchiectasis Image Bronchiectasis Chest X Ray Radiopaedia A bronchiectatic airway can show abnormal widening and thickening of its airway wall. patients may have symptoms such as cough, dyspnea, chest pain, or expectoration of plugs or casts. Findings include bronchial diameter exceeding that of the adjacent pulmonary artery and lack of normal tapering of terminal bronchioles as they course toward the lung periphery. diagnosis of bronchiectasis. Bronchiectasis Chest X Ray Radiopaedia.
From www.wikidoc.org
Bronchiectasis chest x ray wikidoc Bronchiectasis Chest X Ray Radiopaedia A bronchiectatic airway can show abnormal widening and thickening of its airway wall. the diagnosis of bronchiectasis requires the presence of clinical symptoms as well as characteristic radiographic features on. patients may have symptoms such as cough, dyspnea, chest pain, or expectoration of plugs or casts. diagnosis of bronchiectasis is usually made using chest computed tomography (ct). Bronchiectasis Chest X Ray Radiopaedia.
From mavink.com
Bronchiectasis Chest X Ray Bronchiectasis Chest X Ray Radiopaedia chest radiography is usually the initial study performed in suspected bronchiectasis. Findings include bronchial diameter exceeding that of the adjacent pulmonary artery and lack of normal tapering of terminal bronchioles as they course toward the lung periphery. the diagnosis of bronchiectasis requires the presence of clinical symptoms as well as characteristic radiographic features on. patients may have. Bronchiectasis Chest X Ray Radiopaedia.
From mavink.com
Bronchiectasis Chest X Ray Bronchiectasis Chest X Ray Radiopaedia the diagnosis of bronchiectasis requires the presence of clinical symptoms as well as characteristic radiographic features on. patients may have symptoms such as cough, dyspnea, chest pain, or expectoration of plugs or casts. Findings include bronchial diameter exceeding that of the adjacent pulmonary artery and lack of normal tapering of terminal bronchioles as they course toward the lung. Bronchiectasis Chest X Ray Radiopaedia.
From radiopaedia.org
Cystic bronchiectasis Image Bronchiectasis Chest X Ray Radiopaedia A bronchiectatic airway can show abnormal widening and thickening of its airway wall. Findings include bronchial diameter exceeding that of the adjacent pulmonary artery and lack of normal tapering of terminal bronchioles as they course toward the lung periphery. chest radiography is usually the initial study performed in suspected bronchiectasis. patients may have symptoms such as cough, dyspnea,. Bronchiectasis Chest X Ray Radiopaedia.
From www.imagingpathways.health.wa.gov.au
Bronchiectasis Bronchiectasis Chest X Ray Radiopaedia chest radiography is usually the initial study performed in suspected bronchiectasis. A bronchiectatic airway can show abnormal widening and thickening of its airway wall. diagnosis of bronchiectasis is usually made using chest computed tomography (ct) scan, the current gold standard method. the diagnosis of bronchiectasis requires the presence of clinical symptoms as well as characteristic radiographic features. Bronchiectasis Chest X Ray Radiopaedia.
From lungs.thecommonvein.net
088Lu COPD Bronchiectasis Lungs Bronchiectasis Chest X Ray Radiopaedia patients may have symptoms such as cough, dyspnea, chest pain, or expectoration of plugs or casts. diagnosis of bronchiectasis is usually made using chest computed tomography (ct) scan, the current gold standard method. chest radiography is usually the initial study performed in suspected bronchiectasis. Findings include bronchial diameter exceeding that of the adjacent pulmonary artery and lack. Bronchiectasis Chest X Ray Radiopaedia.
From openi.nlm.nih.gov
Chest radiograph shows central bronchiectasis (arrow) i Openi Bronchiectasis Chest X Ray Radiopaedia Findings include bronchial diameter exceeding that of the adjacent pulmonary artery and lack of normal tapering of terminal bronchioles as they course toward the lung periphery. A bronchiectatic airway can show abnormal widening and thickening of its airway wall. chest radiography is usually the initial study performed in suspected bronchiectasis. diagnosis of bronchiectasis is usually made using chest. Bronchiectasis Chest X Ray Radiopaedia.
From www.vinmec.com
Bronchiectasis on xray Vinmec Bronchiectasis Chest X Ray Radiopaedia Findings include bronchial diameter exceeding that of the adjacent pulmonary artery and lack of normal tapering of terminal bronchioles as they course toward the lung periphery. the diagnosis of bronchiectasis requires the presence of clinical symptoms as well as characteristic radiographic features on. diagnosis of bronchiectasis is usually made using chest computed tomography (ct) scan, the current gold. Bronchiectasis Chest X Ray Radiopaedia.
From radiologykey.com
Bronchiectasis and Other Bronchial Abnormalities Radiology Key Bronchiectasis Chest X Ray Radiopaedia chest radiography is usually the initial study performed in suspected bronchiectasis. diagnosis of bronchiectasis is usually made using chest computed tomography (ct) scan, the current gold standard method. the diagnosis of bronchiectasis requires the presence of clinical symptoms as well as characteristic radiographic features on. patients may have symptoms such as cough, dyspnea, chest pain, or. Bronchiectasis Chest X Ray Radiopaedia.
From www.youtube.com
Chest xray Bronchiectasis on CT and Chest xray YouTube Bronchiectasis Chest X Ray Radiopaedia A bronchiectatic airway can show abnormal widening and thickening of its airway wall. the diagnosis of bronchiectasis requires the presence of clinical symptoms as well as characteristic radiographic features on. chest radiography is usually the initial study performed in suspected bronchiectasis. patients may have symptoms such as cough, dyspnea, chest pain, or expectoration of plugs or casts.. Bronchiectasis Chest X Ray Radiopaedia.
From www.researchgate.net
Chest xray of the patient showing bilateral bronchiectasis with cyst Bronchiectasis Chest X Ray Radiopaedia diagnosis of bronchiectasis is usually made using chest computed tomography (ct) scan, the current gold standard method. A bronchiectatic airway can show abnormal widening and thickening of its airway wall. the diagnosis of bronchiectasis requires the presence of clinical symptoms as well as characteristic radiographic features on. Findings include bronchial diameter exceeding that of the adjacent pulmonary artery. Bronchiectasis Chest X Ray Radiopaedia.
From medizzy.com
CT Findings in Bronchiectasis MEDizzy Bronchiectasis Chest X Ray Radiopaedia A bronchiectatic airway can show abnormal widening and thickening of its airway wall. the diagnosis of bronchiectasis requires the presence of clinical symptoms as well as characteristic radiographic features on. Findings include bronchial diameter exceeding that of the adjacent pulmonary artery and lack of normal tapering of terminal bronchioles as they course toward the lung periphery. diagnosis of. Bronchiectasis Chest X Ray Radiopaedia.
From bronchiectasis.com.au
Radiology Bronchiectasis Bronchiectasis Chest X Ray Radiopaedia Findings include bronchial diameter exceeding that of the adjacent pulmonary artery and lack of normal tapering of terminal bronchioles as they course toward the lung periphery. patients may have symptoms such as cough, dyspnea, chest pain, or expectoration of plugs or casts. diagnosis of bronchiectasis is usually made using chest computed tomography (ct) scan, the current gold standard. Bronchiectasis Chest X Ray Radiopaedia.
From radiopaedia.org
Image Bronchiectasis Chest X Ray Radiopaedia Findings include bronchial diameter exceeding that of the adjacent pulmonary artery and lack of normal tapering of terminal bronchioles as they course toward the lung periphery. A bronchiectatic airway can show abnormal widening and thickening of its airway wall. chest radiography is usually the initial study performed in suspected bronchiectasis. patients may have symptoms such as cough, dyspnea,. Bronchiectasis Chest X Ray Radiopaedia.
From www.dreamstime.com
Bronchiectasis . Xray Chest Show Multiple Lung Bleb and Cyst Due To Bronchiectasis Chest X Ray Radiopaedia patients may have symptoms such as cough, dyspnea, chest pain, or expectoration of plugs or casts. Findings include bronchial diameter exceeding that of the adjacent pulmonary artery and lack of normal tapering of terminal bronchioles as they course toward the lung periphery. diagnosis of bronchiectasis is usually made using chest computed tomography (ct) scan, the current gold standard. Bronchiectasis Chest X Ray Radiopaedia.
From radiopaedia.org
Image Bronchiectasis Chest X Ray Radiopaedia diagnosis of bronchiectasis is usually made using chest computed tomography (ct) scan, the current gold standard method. A bronchiectatic airway can show abnormal widening and thickening of its airway wall. patients may have symptoms such as cough, dyspnea, chest pain, or expectoration of plugs or casts. the diagnosis of bronchiectasis requires the presence of clinical symptoms as. Bronchiectasis Chest X Ray Radiopaedia.
From bronchiectasis.com.au
Radiology Bronchiectasis Bronchiectasis Chest X Ray Radiopaedia Findings include bronchial diameter exceeding that of the adjacent pulmonary artery and lack of normal tapering of terminal bronchioles as they course toward the lung periphery. A bronchiectatic airway can show abnormal widening and thickening of its airway wall. diagnosis of bronchiectasis is usually made using chest computed tomography (ct) scan, the current gold standard method. patients may. Bronchiectasis Chest X Ray Radiopaedia.
From www.vrogue.co
Chest X Ray Bronchiectasis On Ct And Chest X Ray Yout vrogue.co Bronchiectasis Chest X Ray Radiopaedia Findings include bronchial diameter exceeding that of the adjacent pulmonary artery and lack of normal tapering of terminal bronchioles as they course toward the lung periphery. patients may have symptoms such as cough, dyspnea, chest pain, or expectoration of plugs or casts. chest radiography is usually the initial study performed in suspected bronchiectasis. A bronchiectatic airway can show. Bronchiectasis Chest X Ray Radiopaedia.
From www.sciencephoto.com
Bronchiectasis, Xray Stock Image C037/1495 Science Photo Library Bronchiectasis Chest X Ray Radiopaedia Findings include bronchial diameter exceeding that of the adjacent pulmonary artery and lack of normal tapering of terminal bronchioles as they course toward the lung periphery. the diagnosis of bronchiectasis requires the presence of clinical symptoms as well as characteristic radiographic features on. A bronchiectatic airway can show abnormal widening and thickening of its airway wall. patients may. Bronchiectasis Chest X Ray Radiopaedia.
From bronchiectasis.com.au
Radiology Bronchiectasis Bronchiectasis Chest X Ray Radiopaedia the diagnosis of bronchiectasis requires the presence of clinical symptoms as well as characteristic radiographic features on. Findings include bronchial diameter exceeding that of the adjacent pulmonary artery and lack of normal tapering of terminal bronchioles as they course toward the lung periphery. patients may have symptoms such as cough, dyspnea, chest pain, or expectoration of plugs or. Bronchiectasis Chest X Ray Radiopaedia.
From mavink.com
Bronchiectasis Chest X Ray Bronchiectasis Chest X Ray Radiopaedia diagnosis of bronchiectasis is usually made using chest computed tomography (ct) scan, the current gold standard method. Findings include bronchial diameter exceeding that of the adjacent pulmonary artery and lack of normal tapering of terminal bronchioles as they course toward the lung periphery. A bronchiectatic airway can show abnormal widening and thickening of its airway wall. the diagnosis. Bronchiectasis Chest X Ray Radiopaedia.
From radiopaedia.org
Image Bronchiectasis Chest X Ray Radiopaedia diagnosis of bronchiectasis is usually made using chest computed tomography (ct) scan, the current gold standard method. Findings include bronchial diameter exceeding that of the adjacent pulmonary artery and lack of normal tapering of terminal bronchioles as they course toward the lung periphery. the diagnosis of bronchiectasis requires the presence of clinical symptoms as well as characteristic radiographic. Bronchiectasis Chest X Ray Radiopaedia.
From www.ctisus.com
Cystic Bronchiectasis on Chest Xray X Rays Case Studies CTisus CT Bronchiectasis Chest X Ray Radiopaedia chest radiography is usually the initial study performed in suspected bronchiectasis. diagnosis of bronchiectasis is usually made using chest computed tomography (ct) scan, the current gold standard method. Findings include bronchial diameter exceeding that of the adjacent pulmonary artery and lack of normal tapering of terminal bronchioles as they course toward the lung periphery. A bronchiectatic airway can. Bronchiectasis Chest X Ray Radiopaedia.
From www.svuhradiology.ie
Bronchiectasis CXR and CT Radiology at St. Vincent's University Bronchiectasis Chest X Ray Radiopaedia the diagnosis of bronchiectasis requires the presence of clinical symptoms as well as characteristic radiographic features on. A bronchiectatic airway can show abnormal widening and thickening of its airway wall. diagnosis of bronchiectasis is usually made using chest computed tomography (ct) scan, the current gold standard method. Findings include bronchial diameter exceeding that of the adjacent pulmonary artery. Bronchiectasis Chest X Ray Radiopaedia.
From www.sciencephoto.com
Bronchiectasis, Xray Stock Image F034/1362 Science Photo Library Bronchiectasis Chest X Ray Radiopaedia chest radiography is usually the initial study performed in suspected bronchiectasis. patients may have symptoms such as cough, dyspnea, chest pain, or expectoration of plugs or casts. A bronchiectatic airway can show abnormal widening and thickening of its airway wall. the diagnosis of bronchiectasis requires the presence of clinical symptoms as well as characteristic radiographic features on.. Bronchiectasis Chest X Ray Radiopaedia.
From bronchiectasis.com.au
Radiology Bronchiectasis Bronchiectasis Chest X Ray Radiopaedia diagnosis of bronchiectasis is usually made using chest computed tomography (ct) scan, the current gold standard method. the diagnosis of bronchiectasis requires the presence of clinical symptoms as well as characteristic radiographic features on. A bronchiectatic airway can show abnormal widening and thickening of its airway wall. Findings include bronchial diameter exceeding that of the adjacent pulmonary artery. Bronchiectasis Chest X Ray Radiopaedia.
From rad-log.blogspot.com
Bronchiectasis X RAY features Bronchiectasis Chest X Ray Radiopaedia patients may have symptoms such as cough, dyspnea, chest pain, or expectoration of plugs or casts. diagnosis of bronchiectasis is usually made using chest computed tomography (ct) scan, the current gold standard method. Findings include bronchial diameter exceeding that of the adjacent pulmonary artery and lack of normal tapering of terminal bronchioles as they course toward the lung. Bronchiectasis Chest X Ray Radiopaedia.
From bronchiectasis.com.au
Radiology Bronchiectasis Bronchiectasis Chest X Ray Radiopaedia the diagnosis of bronchiectasis requires the presence of clinical symptoms as well as characteristic radiographic features on. A bronchiectatic airway can show abnormal widening and thickening of its airway wall. diagnosis of bronchiectasis is usually made using chest computed tomography (ct) scan, the current gold standard method. Findings include bronchial diameter exceeding that of the adjacent pulmonary artery. Bronchiectasis Chest X Ray Radiopaedia.
From radiologykey.com
Bronchiectasis and Other Bronchial Abnormalities Radiology Key Bronchiectasis Chest X Ray Radiopaedia patients may have symptoms such as cough, dyspnea, chest pain, or expectoration of plugs or casts. A bronchiectatic airway can show abnormal widening and thickening of its airway wall. chest radiography is usually the initial study performed in suspected bronchiectasis. diagnosis of bronchiectasis is usually made using chest computed tomography (ct) scan, the current gold standard method.. Bronchiectasis Chest X Ray Radiopaedia.
From onradiology.blogspot.com
ON RADIOLOGY Bronchiectasis in HighResolution CT Bronchiectasis Chest X Ray Radiopaedia A bronchiectatic airway can show abnormal widening and thickening of its airway wall. the diagnosis of bronchiectasis requires the presence of clinical symptoms as well as characteristic radiographic features on. patients may have symptoms such as cough, dyspnea, chest pain, or expectoration of plugs or casts. chest radiography is usually the initial study performed in suspected bronchiectasis.. Bronchiectasis Chest X Ray Radiopaedia.
From mavink.com
Bronchiectasis On Ct Scan Bronchiectasis Chest X Ray Radiopaedia chest radiography is usually the initial study performed in suspected bronchiectasis. A bronchiectatic airway can show abnormal widening and thickening of its airway wall. Findings include bronchial diameter exceeding that of the adjacent pulmonary artery and lack of normal tapering of terminal bronchioles as they course toward the lung periphery. diagnosis of bronchiectasis is usually made using chest. Bronchiectasis Chest X Ray Radiopaedia.
From radiologycases.my
Foreign body induced bronchiectasis Radiology Cases Bronchiectasis Chest X Ray Radiopaedia the diagnosis of bronchiectasis requires the presence of clinical symptoms as well as characteristic radiographic features on. diagnosis of bronchiectasis is usually made using chest computed tomography (ct) scan, the current gold standard method. patients may have symptoms such as cough, dyspnea, chest pain, or expectoration of plugs or casts. Findings include bronchial diameter exceeding that of. Bronchiectasis Chest X Ray Radiopaedia.
From mavink.com
Bronchiectasis Chest X Ray Bronchiectasis Chest X Ray Radiopaedia the diagnosis of bronchiectasis requires the presence of clinical symptoms as well as characteristic radiographic features on. chest radiography is usually the initial study performed in suspected bronchiectasis. diagnosis of bronchiectasis is usually made using chest computed tomography (ct) scan, the current gold standard method. Findings include bronchial diameter exceeding that of the adjacent pulmonary artery and. Bronchiectasis Chest X Ray Radiopaedia.
From www.pinterest.co.uk
Bronchiectasis Human body anatomy, Radiology, Pulmonology Bronchiectasis Chest X Ray Radiopaedia patients may have symptoms such as cough, dyspnea, chest pain, or expectoration of plugs or casts. the diagnosis of bronchiectasis requires the presence of clinical symptoms as well as characteristic radiographic features on. A bronchiectatic airway can show abnormal widening and thickening of its airway wall. chest radiography is usually the initial study performed in suspected bronchiectasis.. Bronchiectasis Chest X Ray Radiopaedia.