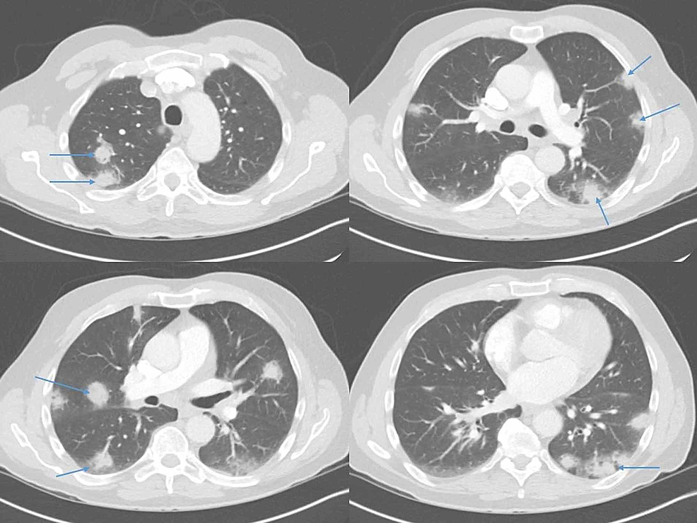
Radiopaedia Histoplasmosis . histoplasmosis is an endemic mycosis caused by histoplasma capsulatum. Pulmonary histoplasmosis is the most. the diagnosis and treatment of pulmonary histoplasmosis, as well as the pathogenesis, clinical manifestations,. the ct findings of pulmonary histoplasmosis are varied and nonspecific. · most infections are subclinical. thoracic (or pulmonary) histoplasmosis refers to pulmonary manifestations from infection with the fungus histoplasma capsulatum. histoplasmosis is a common infection in the central united states and is acquired through inhalation of airborne. histoplasmosis is an endemic mycosis caused by histoplasma capsulatum.
from flickr.com
histoplasmosis is an endemic mycosis caused by histoplasma capsulatum. · most infections are subclinical. thoracic (or pulmonary) histoplasmosis refers to pulmonary manifestations from infection with the fungus histoplasma capsulatum. the diagnosis and treatment of pulmonary histoplasmosis, as well as the pathogenesis, clinical manifestations,. histoplasmosis is an endemic mycosis caused by histoplasma capsulatum. the ct findings of pulmonary histoplasmosis are varied and nonspecific. Pulmonary histoplasmosis is the most. histoplasmosis is a common infection in the central united states and is acquired through inhalation of airborne.
Histoplasmosis Case 159 Intraalveolar edema and fibrinous… Flickr
Radiopaedia Histoplasmosis histoplasmosis is a common infection in the central united states and is acquired through inhalation of airborne. histoplasmosis is an endemic mycosis caused by histoplasma capsulatum. histoplasmosis is an endemic mycosis caused by histoplasma capsulatum. Pulmonary histoplasmosis is the most. · most infections are subclinical. the diagnosis and treatment of pulmonary histoplasmosis, as well as the pathogenesis, clinical manifestations,. histoplasmosis is a common infection in the central united states and is acquired through inhalation of airborne. thoracic (or pulmonary) histoplasmosis refers to pulmonary manifestations from infection with the fungus histoplasma capsulatum. the ct findings of pulmonary histoplasmosis are varied and nonspecific.
From healthjade.net
Histoplasmosis Causes, Symptoms, Diagnosis, Prognosis, Treatment Radiopaedia Histoplasmosis histoplasmosis is an endemic mycosis caused by histoplasma capsulatum. the diagnosis and treatment of pulmonary histoplasmosis, as well as the pathogenesis, clinical manifestations,. the ct findings of pulmonary histoplasmosis are varied and nonspecific. · most infections are subclinical. histoplasmosis is a common infection in the central united states and is acquired through inhalation of airborne. . Radiopaedia Histoplasmosis.
From actagastro.org
Histoplasmosis hepática y peritoneal simulandootra patología Radiopaedia Histoplasmosis histoplasmosis is an endemic mycosis caused by histoplasma capsulatum. Pulmonary histoplasmosis is the most. thoracic (or pulmonary) histoplasmosis refers to pulmonary manifestations from infection with the fungus histoplasma capsulatum. the ct findings of pulmonary histoplasmosis are varied and nonspecific. histoplasmosis is an endemic mycosis caused by histoplasma capsulatum. histoplasmosis is a common infection in the. Radiopaedia Histoplasmosis.
From lungs.thecommonvein.net
007Lu Acute Histoplasmosis Lungs Radiopaedia Histoplasmosis the diagnosis and treatment of pulmonary histoplasmosis, as well as the pathogenesis, clinical manifestations,. histoplasmosis is an endemic mycosis caused by histoplasma capsulatum. histoplasmosis is an endemic mycosis caused by histoplasma capsulatum. Pulmonary histoplasmosis is the most. thoracic (or pulmonary) histoplasmosis refers to pulmonary manifestations from infection with the fungus histoplasma capsulatum. the ct findings. Radiopaedia Histoplasmosis.
From www.flickr.com
Histoplasmosis Macrophages in lymph node containing numero… Flickr Radiopaedia Histoplasmosis Pulmonary histoplasmosis is the most. histoplasmosis is an endemic mycosis caused by histoplasma capsulatum. the diagnosis and treatment of pulmonary histoplasmosis, as well as the pathogenesis, clinical manifestations,. histoplasmosis is a common infection in the central united states and is acquired through inhalation of airborne. · most infections are subclinical. histoplasmosis is an endemic mycosis caused. Radiopaedia Histoplasmosis.
From ar.inspiredpencil.com
Histoplasmosis Lung Radiopaedia Histoplasmosis histoplasmosis is an endemic mycosis caused by histoplasma capsulatum. histoplasmosis is a common infection in the central united states and is acquired through inhalation of airborne. the diagnosis and treatment of pulmonary histoplasmosis, as well as the pathogenesis, clinical manifestations,. Pulmonary histoplasmosis is the most. the ct findings of pulmonary histoplasmosis are varied and nonspecific. . Radiopaedia Histoplasmosis.
From pinterest.com
Histoplasmosis Radiographic Images Pinterest Radiopaedia Histoplasmosis histoplasmosis is an endemic mycosis caused by histoplasma capsulatum. the diagnosis and treatment of pulmonary histoplasmosis, as well as the pathogenesis, clinical manifestations,. the ct findings of pulmonary histoplasmosis are varied and nonspecific. histoplasmosis is an endemic mycosis caused by histoplasma capsulatum. thoracic (or pulmonary) histoplasmosis refers to pulmonary manifestations from infection with the fungus. Radiopaedia Histoplasmosis.
From www.scielo.br
SciELO Brasil Oral manifestation of histoplasmosis on the palate Radiopaedia Histoplasmosis histoplasmosis is an endemic mycosis caused by histoplasma capsulatum. · most infections are subclinical. the ct findings of pulmonary histoplasmosis are varied and nonspecific. Pulmonary histoplasmosis is the most. the diagnosis and treatment of pulmonary histoplasmosis, as well as the pathogenesis, clinical manifestations,. histoplasmosis is an endemic mycosis caused by histoplasma capsulatum. histoplasmosis is a. Radiopaedia Histoplasmosis.
From radiopaedia.org
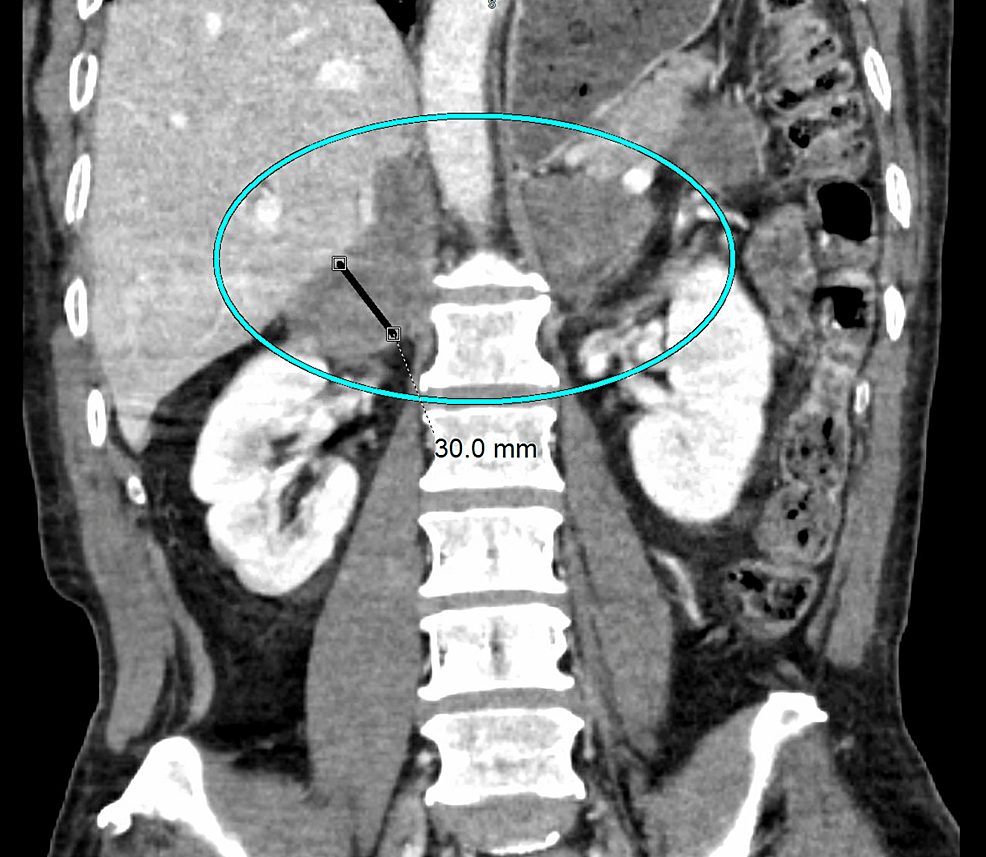
Adrenal histoplasmosis Image Radiopaedia Histoplasmosis histoplasmosis is a common infection in the central united states and is acquired through inhalation of airborne. Pulmonary histoplasmosis is the most. · most infections are subclinical. histoplasmosis is an endemic mycosis caused by histoplasma capsulatum. histoplasmosis is an endemic mycosis caused by histoplasma capsulatum. the ct findings of pulmonary histoplasmosis are varied and nonspecific. . Radiopaedia Histoplasmosis.
From medlineplus.gov
Histoplasmosis MedlinePlus Radiopaedia Histoplasmosis the ct findings of pulmonary histoplasmosis are varied and nonspecific. Pulmonary histoplasmosis is the most. histoplasmosis is an endemic mycosis caused by histoplasma capsulatum. · most infections are subclinical. thoracic (or pulmonary) histoplasmosis refers to pulmonary manifestations from infection with the fungus histoplasma capsulatum. histoplasmosis is an endemic mycosis caused by histoplasma capsulatum. histoplasmosis is. Radiopaedia Histoplasmosis.
From www.mdpi.com
JoF Free FullText Pulmonary Histoplasmosis A Clinical Update Radiopaedia Histoplasmosis thoracic (or pulmonary) histoplasmosis refers to pulmonary manifestations from infection with the fungus histoplasma capsulatum. · most infections are subclinical. histoplasmosis is a common infection in the central united states and is acquired through inhalation of airborne. Pulmonary histoplasmosis is the most. the ct findings of pulmonary histoplasmosis are varied and nonspecific. histoplasmosis is an endemic. Radiopaedia Histoplasmosis.
From ar.inspiredpencil.com
Histoplasmosis Lung Radiopaedia Histoplasmosis histoplasmosis is an endemic mycosis caused by histoplasma capsulatum. the diagnosis and treatment of pulmonary histoplasmosis, as well as the pathogenesis, clinical manifestations,. Pulmonary histoplasmosis is the most. the ct findings of pulmonary histoplasmosis are varied and nonspecific. thoracic (or pulmonary) histoplasmosis refers to pulmonary manifestations from infection with the fungus histoplasma capsulatum. · most infections. Radiopaedia Histoplasmosis.
From pixels.com
Histoplasma Capsulatum, Histoplasmosis Photograph by Science Source Radiopaedia Histoplasmosis histoplasmosis is an endemic mycosis caused by histoplasma capsulatum. · most infections are subclinical. Pulmonary histoplasmosis is the most. histoplasmosis is an endemic mycosis caused by histoplasma capsulatum. thoracic (or pulmonary) histoplasmosis refers to pulmonary manifestations from infection with the fungus histoplasma capsulatum. the ct findings of pulmonary histoplasmosis are varied and nonspecific. histoplasmosis is. Radiopaedia Histoplasmosis.
From www.cureus.com
Unusual Presentation of Disseminated Histoplasmosis in an Radiopaedia Histoplasmosis · most infections are subclinical. thoracic (or pulmonary) histoplasmosis refers to pulmonary manifestations from infection with the fungus histoplasma capsulatum. the ct findings of pulmonary histoplasmosis are varied and nonspecific. the diagnosis and treatment of pulmonary histoplasmosis, as well as the pathogenesis, clinical manifestations,. histoplasmosis is an endemic mycosis caused by histoplasma capsulatum. histoplasmosis is. Radiopaedia Histoplasmosis.
From www.slideserve.com
PPT Histoplasmosis (fungal infection of the lungs) Symptoms, causes Radiopaedia Histoplasmosis histoplasmosis is an endemic mycosis caused by histoplasma capsulatum. Pulmonary histoplasmosis is the most. the ct findings of pulmonary histoplasmosis are varied and nonspecific. the diagnosis and treatment of pulmonary histoplasmosis, as well as the pathogenesis, clinical manifestations,. histoplasmosis is an endemic mycosis caused by histoplasma capsulatum. · most infections are subclinical. thoracic (or pulmonary). Radiopaedia Histoplasmosis.
From www.pinterest.ca
Thoracic histoplasmosis Radiology Reference Article Radiopaedia Histoplasmosis Pulmonary histoplasmosis is the most. the diagnosis and treatment of pulmonary histoplasmosis, as well as the pathogenesis, clinical manifestations,. histoplasmosis is an endemic mycosis caused by histoplasma capsulatum. the ct findings of pulmonary histoplasmosis are varied and nonspecific. histoplasmosis is a common infection in the central united states and is acquired through inhalation of airborne. . Radiopaedia Histoplasmosis.
From www.cureus.com
Cureus Disseminated Histoplasmosis with Concurrent Hairy Cell Leukemia Radiopaedia Histoplasmosis histoplasmosis is an endemic mycosis caused by histoplasma capsulatum. thoracic (or pulmonary) histoplasmosis refers to pulmonary manifestations from infection with the fungus histoplasma capsulatum. · most infections are subclinical. histoplasmosis is a common infection in the central united states and is acquired through inhalation of airborne. histoplasmosis is an endemic mycosis caused by histoplasma capsulatum. . Radiopaedia Histoplasmosis.
From radiopaedia.org
Image Radiopaedia Histoplasmosis thoracic (or pulmonary) histoplasmosis refers to pulmonary manifestations from infection with the fungus histoplasma capsulatum. histoplasmosis is an endemic mycosis caused by histoplasma capsulatum. histoplasmosis is an endemic mycosis caused by histoplasma capsulatum. histoplasmosis is a common infection in the central united states and is acquired through inhalation of airborne. · most infections are subclinical. . Radiopaedia Histoplasmosis.
From www.vrogue.co
Disseminated Pulmonary Histoplasmosis With Multiple C vrogue.co Radiopaedia Histoplasmosis histoplasmosis is an endemic mycosis caused by histoplasma capsulatum. histoplasmosis is an endemic mycosis caused by histoplasma capsulatum. Pulmonary histoplasmosis is the most. · most infections are subclinical. the ct findings of pulmonary histoplasmosis are varied and nonspecific. histoplasmosis is a common infection in the central united states and is acquired through inhalation of airborne. . Radiopaedia Histoplasmosis.
From radiopaedia.org
Image Radiopaedia Histoplasmosis · most infections are subclinical. Pulmonary histoplasmosis is the most. histoplasmosis is an endemic mycosis caused by histoplasma capsulatum. histoplasmosis is a common infection in the central united states and is acquired through inhalation of airborne. histoplasmosis is an endemic mycosis caused by histoplasma capsulatum. the ct findings of pulmonary histoplasmosis are varied and nonspecific. . Radiopaedia Histoplasmosis.
From bds.org.za
Histoplasmosis What You Need To Know Bird Deterrent Specialists Radiopaedia Histoplasmosis the ct findings of pulmonary histoplasmosis are varied and nonspecific. histoplasmosis is an endemic mycosis caused by histoplasma capsulatum. histoplasmosis is a common infection in the central united states and is acquired through inhalation of airborne. Pulmonary histoplasmosis is the most. · most infections are subclinical. the diagnosis and treatment of pulmonary histoplasmosis, as well as. Radiopaedia Histoplasmosis.
From lungs.thecommonvein.net
009Lu Chronic Histoplasmosis Bx Positive Lungs Radiopaedia Histoplasmosis thoracic (or pulmonary) histoplasmosis refers to pulmonary manifestations from infection with the fungus histoplasma capsulatum. Pulmonary histoplasmosis is the most. the ct findings of pulmonary histoplasmosis are varied and nonspecific. histoplasmosis is an endemic mycosis caused by histoplasma capsulatum. the diagnosis and treatment of pulmonary histoplasmosis, as well as the pathogenesis, clinical manifestations,. histoplasmosis is. Radiopaedia Histoplasmosis.
From encyclopedia.pub
Imaging Findings of Lung Nodule or Mass Encyclopedia MDPI Radiopaedia Histoplasmosis Pulmonary histoplasmosis is the most. thoracic (or pulmonary) histoplasmosis refers to pulmonary manifestations from infection with the fungus histoplasma capsulatum. the diagnosis and treatment of pulmonary histoplasmosis, as well as the pathogenesis, clinical manifestations,. the ct findings of pulmonary histoplasmosis are varied and nonspecific. · most infections are subclinical. histoplasmosis is an endemic mycosis caused by. Radiopaedia Histoplasmosis.
From radiopaedia.org
Adrenal histoplasmosis Image Radiopaedia Histoplasmosis histoplasmosis is an endemic mycosis caused by histoplasma capsulatum. the diagnosis and treatment of pulmonary histoplasmosis, as well as the pathogenesis, clinical manifestations,. · most infections are subclinical. Pulmonary histoplasmosis is the most. thoracic (or pulmonary) histoplasmosis refers to pulmonary manifestations from infection with the fungus histoplasma capsulatum. histoplasmosis is an endemic mycosis caused by histoplasma. Radiopaedia Histoplasmosis.
From www.pulmonologyadvisor.com
HistoplasmosisRelated Healthcare Use, Diagnosis, and Treatment in the Radiopaedia Histoplasmosis the ct findings of pulmonary histoplasmosis are varied and nonspecific. · most infections are subclinical. thoracic (or pulmonary) histoplasmosis refers to pulmonary manifestations from infection with the fungus histoplasma capsulatum. the diagnosis and treatment of pulmonary histoplasmosis, as well as the pathogenesis, clinical manifestations,. histoplasmosis is an endemic mycosis caused by histoplasma capsulatum. histoplasmosis is. Radiopaedia Histoplasmosis.
From radiopaedia.org
Adrenal histoplasmosis Image Radiopaedia Histoplasmosis thoracic (or pulmonary) histoplasmosis refers to pulmonary manifestations from infection with the fungus histoplasma capsulatum. · most infections are subclinical. the diagnosis and treatment of pulmonary histoplasmosis, as well as the pathogenesis, clinical manifestations,. histoplasmosis is an endemic mycosis caused by histoplasma capsulatum. histoplasmosis is an endemic mycosis caused by histoplasma capsulatum. the ct findings. Radiopaedia Histoplasmosis.
From healthjade.com
Histoplasmosis Causes, Symptoms, Diagnosis, Prognosis, Treatment Radiopaedia Histoplasmosis histoplasmosis is a common infection in the central united states and is acquired through inhalation of airborne. the ct findings of pulmonary histoplasmosis are varied and nonspecific. · most infections are subclinical. Pulmonary histoplasmosis is the most. thoracic (or pulmonary) histoplasmosis refers to pulmonary manifestations from infection with the fungus histoplasma capsulatum. histoplasmosis is an endemic. Radiopaedia Histoplasmosis.
From imagebank.hematology.org
Disseminated histoplasmosis with bone marrow infiltration and secondary Radiopaedia Histoplasmosis the diagnosis and treatment of pulmonary histoplasmosis, as well as the pathogenesis, clinical manifestations,. · most infections are subclinical. thoracic (or pulmonary) histoplasmosis refers to pulmonary manifestations from infection with the fungus histoplasma capsulatum. histoplasmosis is an endemic mycosis caused by histoplasma capsulatum. Pulmonary histoplasmosis is the most. histoplasmosis is a common infection in the central. Radiopaedia Histoplasmosis.
From espanol.libretexts.org
15.14A Histoplasmosis LibreTexts Español Radiopaedia Histoplasmosis the ct findings of pulmonary histoplasmosis are varied and nonspecific. histoplasmosis is an endemic mycosis caused by histoplasma capsulatum. · most infections are subclinical. histoplasmosis is a common infection in the central united states and is acquired through inhalation of airborne. the diagnosis and treatment of pulmonary histoplasmosis, as well as the pathogenesis, clinical manifestations,. Pulmonary. Radiopaedia Histoplasmosis.
From flickr.com
Histoplasmosis Case 159 Intraalveolar edema and fibrinous… Flickr Radiopaedia Histoplasmosis the diagnosis and treatment of pulmonary histoplasmosis, as well as the pathogenesis, clinical manifestations,. thoracic (or pulmonary) histoplasmosis refers to pulmonary manifestations from infection with the fungus histoplasma capsulatum. the ct findings of pulmonary histoplasmosis are varied and nonspecific. histoplasmosis is an endemic mycosis caused by histoplasma capsulatum. Pulmonary histoplasmosis is the most. histoplasmosis is. Radiopaedia Histoplasmosis.
From bds.org.za
Histoplasmosis What You Need To Know Bird Deterrent Specialists Radiopaedia Histoplasmosis · most infections are subclinical. histoplasmosis is a common infection in the central united states and is acquired through inhalation of airborne. the ct findings of pulmonary histoplasmosis are varied and nonspecific. thoracic (or pulmonary) histoplasmosis refers to pulmonary manifestations from infection with the fungus histoplasma capsulatum. histoplasmosis is an endemic mycosis caused by histoplasma capsulatum.. Radiopaedia Histoplasmosis.
From www.alamy.com
Histoplasmosis x ray hires stock photography and images Alamy Radiopaedia Histoplasmosis histoplasmosis is an endemic mycosis caused by histoplasma capsulatum. Pulmonary histoplasmosis is the most. histoplasmosis is a common infection in the central united states and is acquired through inhalation of airborne. the diagnosis and treatment of pulmonary histoplasmosis, as well as the pathogenesis, clinical manifestations,. thoracic (or pulmonary) histoplasmosis refers to pulmonary manifestations from infection with. Radiopaedia Histoplasmosis.
From www.cureus.com
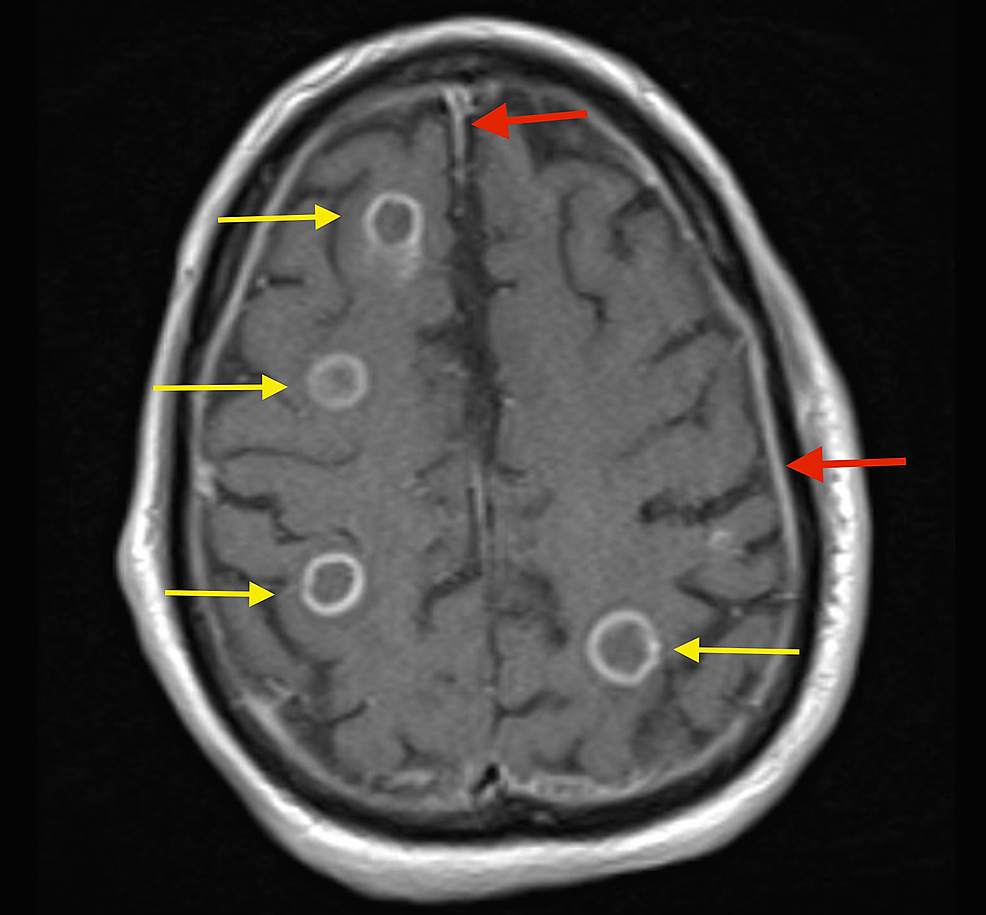
Cureus Disseminated Central Nervous System Histoplasmosis A Case Report Radiopaedia Histoplasmosis thoracic (or pulmonary) histoplasmosis refers to pulmonary manifestations from infection with the fungus histoplasma capsulatum. histoplasmosis is an endemic mycosis caused by histoplasma capsulatum. histoplasmosis is an endemic mycosis caused by histoplasma capsulatum. the ct findings of pulmonary histoplasmosis are varied and nonspecific. the diagnosis and treatment of pulmonary histoplasmosis, as well as the pathogenesis,. Radiopaedia Histoplasmosis.
From radiopaedia.org
Image Radiopaedia Histoplasmosis histoplasmosis is an endemic mycosis caused by histoplasma capsulatum. Pulmonary histoplasmosis is the most. histoplasmosis is an endemic mycosis caused by histoplasma capsulatum. the ct findings of pulmonary histoplasmosis are varied and nonspecific. thoracic (or pulmonary) histoplasmosis refers to pulmonary manifestations from infection with the fungus histoplasma capsulatum. histoplasmosis is a common infection in the. Radiopaedia Histoplasmosis.
From archneur.jamanetwork.com
Isolated Central Nervous System Histoplasmosis Presenting With Ischemic Radiopaedia Histoplasmosis histoplasmosis is an endemic mycosis caused by histoplasma capsulatum. the diagnosis and treatment of pulmonary histoplasmosis, as well as the pathogenesis, clinical manifestations,. the ct findings of pulmonary histoplasmosis are varied and nonspecific. thoracic (or pulmonary) histoplasmosis refers to pulmonary manifestations from infection with the fungus histoplasma capsulatum. Pulmonary histoplasmosis is the most. histoplasmosis is. Radiopaedia Histoplasmosis.
From www.cancertherapyadvisor.com
Histoplasmosis Cancer Therapy Advisor Radiopaedia Histoplasmosis histoplasmosis is an endemic mycosis caused by histoplasma capsulatum. histoplasmosis is an endemic mycosis caused by histoplasma capsulatum. · most infections are subclinical. thoracic (or pulmonary) histoplasmosis refers to pulmonary manifestations from infection with the fungus histoplasma capsulatum. the ct findings of pulmonary histoplasmosis are varied and nonspecific. histoplasmosis is a common infection in the. Radiopaedia Histoplasmosis.