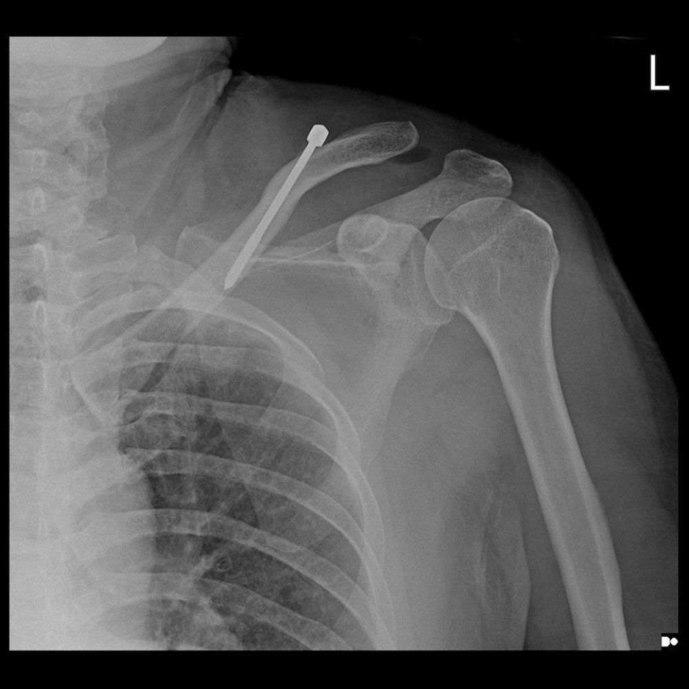
Clavicle Pin Fixation . Intramedullary devices, plates, and external. The purpose of this article is to demonstrate our technique of intramedullary (im) fixation of a midshaft clavicle fracture. An alternative to the current gold standard in operative treatment of displaced midshaft clavicle fractures (dmcf) using plate osteosynthesis, is internal fixation by means of intramedullary fixation devices. Operative fixation for acute displaced midshaft clavicle fractures provides improved functional outcomes and patient satisfaction over nonoperative treatment. Midshaft clavicle fractures are common traumatic injuries caused by a direct impact to the shoulder girdle and is most commonly seen in young, active adults.
from www.cureus.com
Intramedullary devices, plates, and external. Midshaft clavicle fractures are common traumatic injuries caused by a direct impact to the shoulder girdle and is most commonly seen in young, active adults. An alternative to the current gold standard in operative treatment of displaced midshaft clavicle fractures (dmcf) using plate osteosynthesis, is internal fixation by means of intramedullary fixation devices. Operative fixation for acute displaced midshaft clavicle fractures provides improved functional outcomes and patient satisfaction over nonoperative treatment. The purpose of this article is to demonstrate our technique of intramedullary (im) fixation of a midshaft clavicle fracture.
Cureus Improved Functional Following Operative Treatment of
Clavicle Pin Fixation Operative fixation for acute displaced midshaft clavicle fractures provides improved functional outcomes and patient satisfaction over nonoperative treatment. Operative fixation for acute displaced midshaft clavicle fractures provides improved functional outcomes and patient satisfaction over nonoperative treatment. Intramedullary devices, plates, and external. An alternative to the current gold standard in operative treatment of displaced midshaft clavicle fractures (dmcf) using plate osteosynthesis, is internal fixation by means of intramedullary fixation devices. The purpose of this article is to demonstrate our technique of intramedullary (im) fixation of a midshaft clavicle fracture. Midshaft clavicle fractures are common traumatic injuries caused by a direct impact to the shoulder girdle and is most commonly seen in young, active adults.
From medapparatus.com
Medical Apparatus Imaging Guide fracture fixation Clavicle Pin Fixation An alternative to the current gold standard in operative treatment of displaced midshaft clavicle fractures (dmcf) using plate osteosynthesis, is internal fixation by means of intramedullary fixation devices. Intramedullary devices, plates, and external. The purpose of this article is to demonstrate our technique of intramedullary (im) fixation of a midshaft clavicle fracture. Midshaft clavicle fractures are common traumatic injuries caused. Clavicle Pin Fixation.
From www.acumed.net
DualTrak Clavicle Screw System Acumed Clavicle Pin Fixation An alternative to the current gold standard in operative treatment of displaced midshaft clavicle fractures (dmcf) using plate osteosynthesis, is internal fixation by means of intramedullary fixation devices. The purpose of this article is to demonstrate our technique of intramedullary (im) fixation of a midshaft clavicle fracture. Intramedullary devices, plates, and external. Midshaft clavicle fractures are common traumatic injuries caused. Clavicle Pin Fixation.
From www.semanticscholar.org
Figure 1 from Surgical Treatment of Unstable Distal Clavicle Fractures Clavicle Pin Fixation An alternative to the current gold standard in operative treatment of displaced midshaft clavicle fractures (dmcf) using plate osteosynthesis, is internal fixation by means of intramedullary fixation devices. Midshaft clavicle fractures are common traumatic injuries caused by a direct impact to the shoulder girdle and is most commonly seen in young, active adults. The purpose of this article is to. Clavicle Pin Fixation.
From www.youtube.com
Clavicle Anatomical Plates Fixation Procedure YouTube Clavicle Pin Fixation Midshaft clavicle fractures are common traumatic injuries caused by a direct impact to the shoulder girdle and is most commonly seen in young, active adults. Intramedullary devices, plates, and external. Operative fixation for acute displaced midshaft clavicle fractures provides improved functional outcomes and patient satisfaction over nonoperative treatment. An alternative to the current gold standard in operative treatment of displaced. Clavicle Pin Fixation.
From www.acumed.net
DualTrak Clavicle Screw System Acumed Clavicle Pin Fixation Midshaft clavicle fractures are common traumatic injuries caused by a direct impact to the shoulder girdle and is most commonly seen in young, active adults. Intramedullary devices, plates, and external. The purpose of this article is to demonstrate our technique of intramedullary (im) fixation of a midshaft clavicle fracture. Operative fixation for acute displaced midshaft clavicle fractures provides improved functional. Clavicle Pin Fixation.
From www.slideshare.net
Fractures of the clavicle Clavicle Pin Fixation Midshaft clavicle fractures are common traumatic injuries caused by a direct impact to the shoulder girdle and is most commonly seen in young, active adults. Intramedullary devices, plates, and external. Operative fixation for acute displaced midshaft clavicle fractures provides improved functional outcomes and patient satisfaction over nonoperative treatment. The purpose of this article is to demonstrate our technique of intramedullary. Clavicle Pin Fixation.
From musculoskeletalkey.com
Open Reduction and Internal Fixation of Clavicle Fractures Clavicle Pin Fixation An alternative to the current gold standard in operative treatment of displaced midshaft clavicle fractures (dmcf) using plate osteosynthesis, is internal fixation by means of intramedullary fixation devices. The purpose of this article is to demonstrate our technique of intramedullary (im) fixation of a midshaft clavicle fracture. Midshaft clavicle fractures are common traumatic injuries caused by a direct impact to. Clavicle Pin Fixation.
From orthoinfo.org
Internal Fixation for Fractures OrthoInfo AAOS Clavicle Pin Fixation The purpose of this article is to demonstrate our technique of intramedullary (im) fixation of a midshaft clavicle fracture. Midshaft clavicle fractures are common traumatic injuries caused by a direct impact to the shoulder girdle and is most commonly seen in young, active adults. Operative fixation for acute displaced midshaft clavicle fractures provides improved functional outcomes and patient satisfaction over. Clavicle Pin Fixation.
From trimedortho.com
Superior Lateral Clavicle Plate Upper Extremity Fixation TriMed Inc. Clavicle Pin Fixation Operative fixation for acute displaced midshaft clavicle fractures provides improved functional outcomes and patient satisfaction over nonoperative treatment. Intramedullary devices, plates, and external. Midshaft clavicle fractures are common traumatic injuries caused by a direct impact to the shoulder girdle and is most commonly seen in young, active adults. The purpose of this article is to demonstrate our technique of intramedullary. Clavicle Pin Fixation.
From www.trialexhibitsinc.com
Surgical Fixation of Right Clavicle TrialQuest Inc. Clavicle Pin Fixation Midshaft clavicle fractures are common traumatic injuries caused by a direct impact to the shoulder girdle and is most commonly seen in young, active adults. Operative fixation for acute displaced midshaft clavicle fractures provides improved functional outcomes and patient satisfaction over nonoperative treatment. Intramedullary devices, plates, and external. The purpose of this article is to demonstrate our technique of intramedullary. Clavicle Pin Fixation.
From www.anserimplants.com
Surgeons The Anser Clavicle Pin Clavicle Pin Fixation An alternative to the current gold standard in operative treatment of displaced midshaft clavicle fractures (dmcf) using plate osteosynthesis, is internal fixation by means of intramedullary fixation devices. Intramedullary devices, plates, and external. Midshaft clavicle fractures are common traumatic injuries caused by a direct impact to the shoulder girdle and is most commonly seen in young, active adults. The purpose. Clavicle Pin Fixation.
From www.semanticscholar.org
Figure 1 from Spinal Canal Migration of a KWire Used for Fixation of a Clavicle Pin Fixation The purpose of this article is to demonstrate our technique of intramedullary (im) fixation of a midshaft clavicle fracture. An alternative to the current gold standard in operative treatment of displaced midshaft clavicle fractures (dmcf) using plate osteosynthesis, is internal fixation by means of intramedullary fixation devices. Operative fixation for acute displaced midshaft clavicle fractures provides improved functional outcomes and. Clavicle Pin Fixation.
From exploreplasticsurgery.com
Technical Strategies Single vs Double Plate Fixation in Clavicle Clavicle Pin Fixation An alternative to the current gold standard in operative treatment of displaced midshaft clavicle fractures (dmcf) using plate osteosynthesis, is internal fixation by means of intramedullary fixation devices. Intramedullary devices, plates, and external. Midshaft clavicle fractures are common traumatic injuries caused by a direct impact to the shoulder girdle and is most commonly seen in young, active adults. Operative fixation. Clavicle Pin Fixation.
From openorthopaedicsjournal.com
Intramedullary Fixation of Diaphyseal Clavicle Fractures Using the Clavicle Pin Fixation Operative fixation for acute displaced midshaft clavicle fractures provides improved functional outcomes and patient satisfaction over nonoperative treatment. Midshaft clavicle fractures are common traumatic injuries caused by a direct impact to the shoulder girdle and is most commonly seen in young, active adults. An alternative to the current gold standard in operative treatment of displaced midshaft clavicle fractures (dmcf) using. Clavicle Pin Fixation.
From www.researchgate.net
(A) A right clavicle comminuted fracture with marked shortening (OTA Clavicle Pin Fixation The purpose of this article is to demonstrate our technique of intramedullary (im) fixation of a midshaft clavicle fracture. Midshaft clavicle fractures are common traumatic injuries caused by a direct impact to the shoulder girdle and is most commonly seen in young, active adults. An alternative to the current gold standard in operative treatment of displaced midshaft clavicle fractures (dmcf). Clavicle Pin Fixation.
From www.acumed.net
Midshaft Clavicle Plate Acumed Clavicle Pin Fixation Operative fixation for acute displaced midshaft clavicle fractures provides improved functional outcomes and patient satisfaction over nonoperative treatment. The purpose of this article is to demonstrate our technique of intramedullary (im) fixation of a midshaft clavicle fracture. An alternative to the current gold standard in operative treatment of displaced midshaft clavicle fractures (dmcf) using plate osteosynthesis, is internal fixation by. Clavicle Pin Fixation.
From www.acumed.net
Clavicle Plating System Acumed Clavicle Pin Fixation Midshaft clavicle fractures are common traumatic injuries caused by a direct impact to the shoulder girdle and is most commonly seen in young, active adults. The purpose of this article is to demonstrate our technique of intramedullary (im) fixation of a midshaft clavicle fracture. Operative fixation for acute displaced midshaft clavicle fractures provides improved functional outcomes and patient satisfaction over. Clavicle Pin Fixation.
From www.shouldersandknees.com
Double Endobutton Technique for Repair of Complete Acromioclavicular Clavicle Pin Fixation Intramedullary devices, plates, and external. Operative fixation for acute displaced midshaft clavicle fractures provides improved functional outcomes and patient satisfaction over nonoperative treatment. Midshaft clavicle fractures are common traumatic injuries caused by a direct impact to the shoulder girdle and is most commonly seen in young, active adults. An alternative to the current gold standard in operative treatment of displaced. Clavicle Pin Fixation.
From www.researchgate.net
(A) The longitudinal incision for open reduction and internal fixation Clavicle Pin Fixation Midshaft clavicle fractures are common traumatic injuries caused by a direct impact to the shoulder girdle and is most commonly seen in young, active adults. The purpose of this article is to demonstrate our technique of intramedullary (im) fixation of a midshaft clavicle fracture. Intramedullary devices, plates, and external. An alternative to the current gold standard in operative treatment of. Clavicle Pin Fixation.
From www.spandidos-publications.com
Comparison of four different internal fixation methods in the treatment Clavicle Pin Fixation Operative fixation for acute displaced midshaft clavicle fractures provides improved functional outcomes and patient satisfaction over nonoperative treatment. An alternative to the current gold standard in operative treatment of displaced midshaft clavicle fractures (dmcf) using plate osteosynthesis, is internal fixation by means of intramedullary fixation devices. The purpose of this article is to demonstrate our technique of intramedullary (im) fixation. Clavicle Pin Fixation.
From www.arthrex.com
Arthrex Clavicle Plates Technique Clavicle Pin Fixation Operative fixation for acute displaced midshaft clavicle fractures provides improved functional outcomes and patient satisfaction over nonoperative treatment. The purpose of this article is to demonstrate our technique of intramedullary (im) fixation of a midshaft clavicle fracture. Intramedullary devices, plates, and external. Midshaft clavicle fractures are common traumatic injuries caused by a direct impact to the shoulder girdle and is. Clavicle Pin Fixation.
From exploreplasticsurgery.com
right clavicle osteotomy fixation postop xray Dr Barry Eppley Clavicle Pin Fixation Operative fixation for acute displaced midshaft clavicle fractures provides improved functional outcomes and patient satisfaction over nonoperative treatment. Midshaft clavicle fractures are common traumatic injuries caused by a direct impact to the shoulder girdle and is most commonly seen in young, active adults. Intramedullary devices, plates, and external. An alternative to the current gold standard in operative treatment of displaced. Clavicle Pin Fixation.
From amjcaserep.com
American Journal of Case Reports Optimizing Treatment for Combined Clavicle Pin Fixation Operative fixation for acute displaced midshaft clavicle fractures provides improved functional outcomes and patient satisfaction over nonoperative treatment. The purpose of this article is to demonstrate our technique of intramedullary (im) fixation of a midshaft clavicle fracture. Midshaft clavicle fractures are common traumatic injuries caused by a direct impact to the shoulder girdle and is most commonly seen in young,. Clavicle Pin Fixation.
From www.researchgate.net
(A) The longitudinal incision for open reduction and internal fixation Clavicle Pin Fixation Midshaft clavicle fractures are common traumatic injuries caused by a direct impact to the shoulder girdle and is most commonly seen in young, active adults. Operative fixation for acute displaced midshaft clavicle fractures provides improved functional outcomes and patient satisfaction over nonoperative treatment. An alternative to the current gold standard in operative treatment of displaced midshaft clavicle fractures (dmcf) using. Clavicle Pin Fixation.
From www.orthobullets.com
Distal Clavicle Fractures Trauma Orthobullets Clavicle Pin Fixation Midshaft clavicle fractures are common traumatic injuries caused by a direct impact to the shoulder girdle and is most commonly seen in young, active adults. Intramedullary devices, plates, and external. The purpose of this article is to demonstrate our technique of intramedullary (im) fixation of a midshaft clavicle fracture. An alternative to the current gold standard in operative treatment of. Clavicle Pin Fixation.
From manhattansportsdoc.com
Clavicle Fracture Repair Broken Collarbone Orthopedic Shoulder Clavicle Pin Fixation Operative fixation for acute displaced midshaft clavicle fractures provides improved functional outcomes and patient satisfaction over nonoperative treatment. Intramedullary devices, plates, and external. An alternative to the current gold standard in operative treatment of displaced midshaft clavicle fractures (dmcf) using plate osteosynthesis, is internal fixation by means of intramedullary fixation devices. Midshaft clavicle fractures are common traumatic injuries caused by. Clavicle Pin Fixation.
From www.jhandsurg.org
Biomechanical Comparison of Contemporary Clavicle Fixation Devices Clavicle Pin Fixation Intramedullary devices, plates, and external. An alternative to the current gold standard in operative treatment of displaced midshaft clavicle fractures (dmcf) using plate osteosynthesis, is internal fixation by means of intramedullary fixation devices. The purpose of this article is to demonstrate our technique of intramedullary (im) fixation of a midshaft clavicle fracture. Operative fixation for acute displaced midshaft clavicle fractures. Clavicle Pin Fixation.
From www.acumed.net
Clavicle Plating System Acumed Clavicle Pin Fixation An alternative to the current gold standard in operative treatment of displaced midshaft clavicle fractures (dmcf) using plate osteosynthesis, is internal fixation by means of intramedullary fixation devices. Midshaft clavicle fractures are common traumatic injuries caused by a direct impact to the shoulder girdle and is most commonly seen in young, active adults. Operative fixation for acute displaced midshaft clavicle. Clavicle Pin Fixation.
From www.jshoulderelbow.org
Complications of intramedullary Hagie pin fixation for acute midshaft Clavicle Pin Fixation An alternative to the current gold standard in operative treatment of displaced midshaft clavicle fractures (dmcf) using plate osteosynthesis, is internal fixation by means of intramedullary fixation devices. The purpose of this article is to demonstrate our technique of intramedullary (im) fixation of a midshaft clavicle fracture. Midshaft clavicle fractures are common traumatic injuries caused by a direct impact to. Clavicle Pin Fixation.
From www.cureus.com
Cureus Surgical Fixation of Clavicle Shaft Fractures Using Superior Clavicle Pin Fixation An alternative to the current gold standard in operative treatment of displaced midshaft clavicle fractures (dmcf) using plate osteosynthesis, is internal fixation by means of intramedullary fixation devices. Midshaft clavicle fractures are common traumatic injuries caused by a direct impact to the shoulder girdle and is most commonly seen in young, active adults. The purpose of this article is to. Clavicle Pin Fixation.
From www.youtube.com
Broken Collarbone Surgery 3D Video (Plates & Screws, Pins, Bone Graft Clavicle Pin Fixation Intramedullary devices, plates, and external. An alternative to the current gold standard in operative treatment of displaced midshaft clavicle fractures (dmcf) using plate osteosynthesis, is internal fixation by means of intramedullary fixation devices. The purpose of this article is to demonstrate our technique of intramedullary (im) fixation of a midshaft clavicle fracture. Midshaft clavicle fractures are common traumatic injuries caused. Clavicle Pin Fixation.
From www.pinterest.com
Pin on Quick Saves Clavicle Pin Fixation Intramedullary devices, plates, and external. The purpose of this article is to demonstrate our technique of intramedullary (im) fixation of a midshaft clavicle fracture. Midshaft clavicle fractures are common traumatic injuries caused by a direct impact to the shoulder girdle and is most commonly seen in young, active adults. An alternative to the current gold standard in operative treatment of. Clavicle Pin Fixation.
From www.cureus.com
Cureus Improved Functional Following Operative Treatment of Clavicle Pin Fixation Intramedullary devices, plates, and external. An alternative to the current gold standard in operative treatment of displaced midshaft clavicle fractures (dmcf) using plate osteosynthesis, is internal fixation by means of intramedullary fixation devices. Midshaft clavicle fractures are common traumatic injuries caused by a direct impact to the shoulder girdle and is most commonly seen in young, active adults. Operative fixation. Clavicle Pin Fixation.
From www.youtube.com
Distal Clavicle Fracture Repair Using Coracoid Fixation YouTube Clavicle Pin Fixation The purpose of this article is to demonstrate our technique of intramedullary (im) fixation of a midshaft clavicle fracture. Intramedullary devices, plates, and external. An alternative to the current gold standard in operative treatment of displaced midshaft clavicle fractures (dmcf) using plate osteosynthesis, is internal fixation by means of intramedullary fixation devices. Operative fixation for acute displaced midshaft clavicle fractures. Clavicle Pin Fixation.
From www.acumed.net
Clavicle Plating System Acumed Clavicle Pin Fixation The purpose of this article is to demonstrate our technique of intramedullary (im) fixation of a midshaft clavicle fracture. Intramedullary devices, plates, and external. Operative fixation for acute displaced midshaft clavicle fractures provides improved functional outcomes and patient satisfaction over nonoperative treatment. An alternative to the current gold standard in operative treatment of displaced midshaft clavicle fractures (dmcf) using plate. Clavicle Pin Fixation.