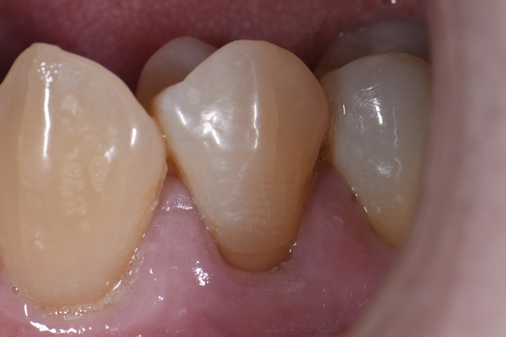
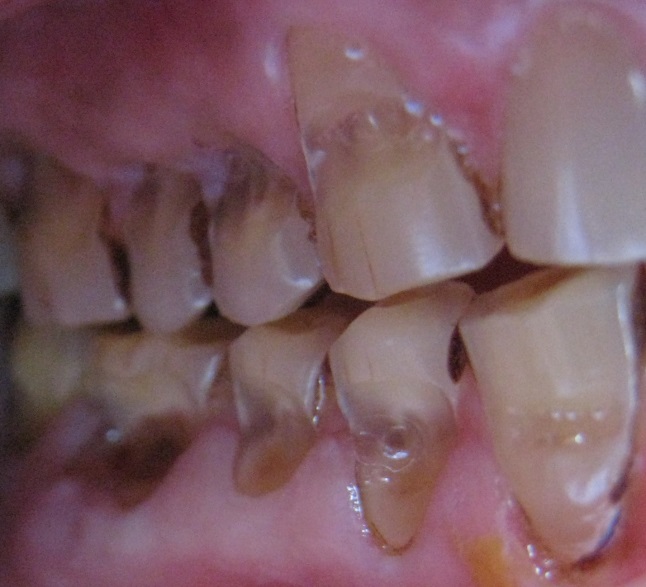
What Is Abrasion In Dental .   tooth abrasion is where your teeth start to lose enamel due to some sort of outside.  dental abrasion refers to the wearing away of tooth enamel, which is the hard outer layer of the tooth. It can occur due to various factors, such as. If you’ve noticed the signs of.   this condition, called dental abrasion, can occur when any foreign object causes friction against your teeth and gradually wears away the enamel on the surface. This wears away the enamel, the outer layer of the tooth, making it more susceptible to. However, bigger problems arise when your bite is out of alignment, often causing more friction in places less prepared for it.  tooth abrasion is a form of tooth wear that is caused by the repetitive grinding or scrubbing of the teeth against a hard surface. Dental abrasion is a condition that occurs when the tooth enamel wears away due to external factors. So, when two or more teeth come together, even with regular chewing with an ideal bite, some abrasion will occur. It can manifest as the loss of tooth structure, particularly.   abrasion is the result of repeated contact between a tooth and something hard, like teeth.
        
        from www.clarencetam.co.nz 
     
        
        Dental abrasion is a condition that occurs when the tooth enamel wears away due to external factors.   this condition, called dental abrasion, can occur when any foreign object causes friction against your teeth and gradually wears away the enamel on the surface.  dental abrasion refers to the wearing away of tooth enamel, which is the hard outer layer of the tooth.   tooth abrasion is where your teeth start to lose enamel due to some sort of outside. So, when two or more teeth come together, even with regular chewing with an ideal bite, some abrasion will occur. However, bigger problems arise when your bite is out of alignment, often causing more friction in places less prepared for it.   abrasion is the result of repeated contact between a tooth and something hard, like teeth. If you’ve noticed the signs of. It can occur due to various factors, such as. This wears away the enamel, the outer layer of the tooth, making it more susceptible to.
    
    	
            
	
		 
         
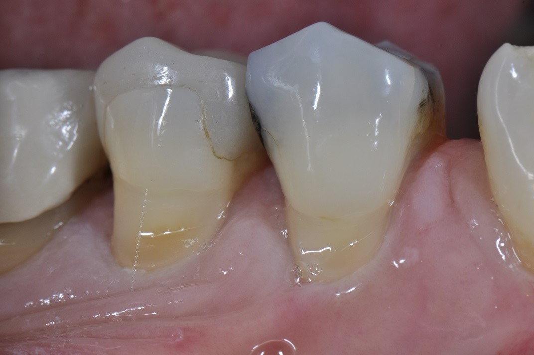
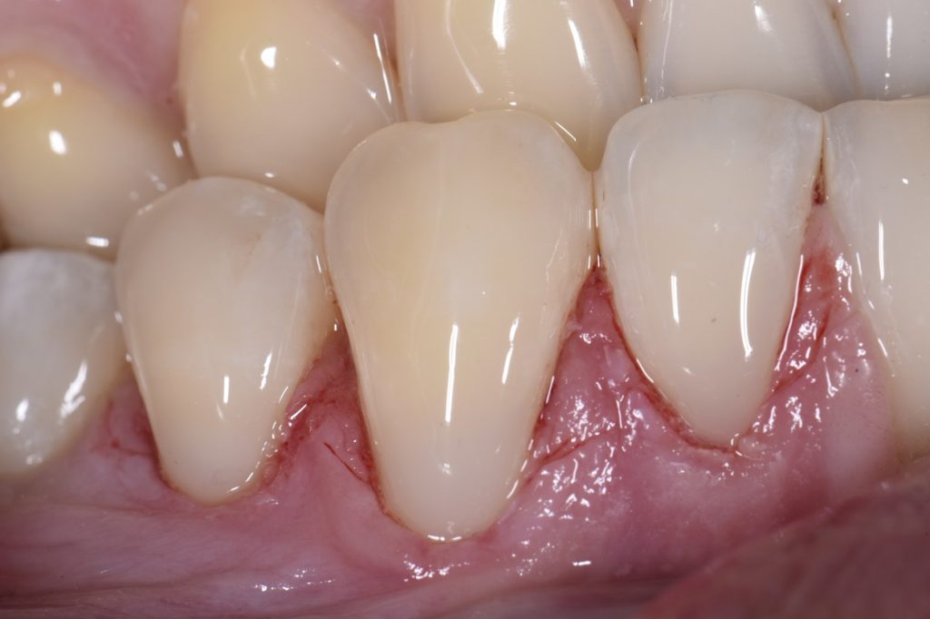
    Root abrasion lesions restored and protected 
    What Is Abrasion In Dental  So, when two or more teeth come together, even with regular chewing with an ideal bite, some abrasion will occur. Dental abrasion is a condition that occurs when the tooth enamel wears away due to external factors. This wears away the enamel, the outer layer of the tooth, making it more susceptible to. If you’ve noticed the signs of. It can occur due to various factors, such as. However, bigger problems arise when your bite is out of alignment, often causing more friction in places less prepared for it.  dental abrasion refers to the wearing away of tooth enamel, which is the hard outer layer of the tooth.   abrasion is the result of repeated contact between a tooth and something hard, like teeth.   tooth abrasion is where your teeth start to lose enamel due to some sort of outside. So, when two or more teeth come together, even with regular chewing with an ideal bite, some abrasion will occur. It can manifest as the loss of tooth structure, particularly.  tooth abrasion is a form of tooth wear that is caused by the repetitive grinding or scrubbing of the teeth against a hard surface.   this condition, called dental abrasion, can occur when any foreign object causes friction against your teeth and gradually wears away the enamel on the surface.
            
	
		 
         
 
    
        From www.rwatsondds.com 
                    Air Abrasion Dental Technology Austin, TX Cosmetic and Restorative What Is Abrasion In Dental  It can occur due to various factors, such as.  dental abrasion refers to the wearing away of tooth enamel, which is the hard outer layer of the tooth.   abrasion is the result of repeated contact between a tooth and something hard, like teeth. If you’ve noticed the signs of. It can manifest as the loss of tooth structure,. What Is Abrasion In Dental.
     
    
        From dentagama.com 
                    What is the difference between dental attrition, abfraction, erosion What Is Abrasion In Dental   dental abrasion refers to the wearing away of tooth enamel, which is the hard outer layer of the tooth. It can occur due to various factors, such as.  tooth abrasion is a form of tooth wear that is caused by the repetitive grinding or scrubbing of the teeth against a hard surface. However, bigger problems arise when your. What Is Abrasion In Dental.
     
    
        From www.directorioodontologico.info 
                    ABRASIÓN DENTAL Silenciosa destrucción del diente Directorio What Is Abrasion In Dental  Dental abrasion is a condition that occurs when the tooth enamel wears away due to external factors.   abrasion is the result of repeated contact between a tooth and something hard, like teeth. This wears away the enamel, the outer layer of the tooth, making it more susceptible to. If you’ve noticed the signs of.  tooth abrasion is a. What Is Abrasion In Dental.
     
    
        From www.slideshare.net 
                    Abrasives and polishing agents in dentistry What Is Abrasion In Dental    abrasion is the result of repeated contact between a tooth and something hard, like teeth. This wears away the enamel, the outer layer of the tooth, making it more susceptible to. So, when two or more teeth come together, even with regular chewing with an ideal bite, some abrasion will occur. It can manifest as the loss of tooth. What Is Abrasion In Dental.
     
    
        From proper-cooking.info 
                    Tooth Abrasion Vs Erosion What Is Abrasion In Dental  If you’ve noticed the signs of. This wears away the enamel, the outer layer of the tooth, making it more susceptible to. It can manifest as the loss of tooth structure, particularly.  dental abrasion refers to the wearing away of tooth enamel, which is the hard outer layer of the tooth. It can occur due to various factors, such. What Is Abrasion In Dental.
     
    
        From dentagama.com 
                    How to deal with teeth abrasion? News Dentagama What Is Abrasion In Dental  If you’ve noticed the signs of. It can manifest as the loss of tooth structure, particularly. However, bigger problems arise when your bite is out of alignment, often causing more friction in places less prepared for it.  tooth abrasion is a form of tooth wear that is caused by the repetitive grinding or scrubbing of the teeth against a. What Is Abrasion In Dental.
     
    
        From www.clarencetam.co.nz 
                    Cervical Abrasion Composite Resin Restorations What Is Abrasion In Dental  However, bigger problems arise when your bite is out of alignment, often causing more friction in places less prepared for it. If you’ve noticed the signs of. It can manifest as the loss of tooth structure, particularly. It can occur due to various factors, such as.   this condition, called dental abrasion, can occur when any foreign object causes friction. What Is Abrasion In Dental.
     
    
        From www.clarencetam.co.nz 
                    Cervical Abrasion Lesions Restored with GC Essentia U What Is Abrasion In Dental  If you’ve noticed the signs of. So, when two or more teeth come together, even with regular chewing with an ideal bite, some abrasion will occur.   this condition, called dental abrasion, can occur when any foreign object causes friction against your teeth and gradually wears away the enamel on the surface.   abrasion is the result of repeated contact. What Is Abrasion In Dental.
     
    
        From www.dentalknowledge.in 
                    Academy of Dental Knowledge Abrasion Of Teeth and its Consequesces What Is Abrasion In Dental  It can occur due to various factors, such as. However, bigger problems arise when your bite is out of alignment, often causing more friction in places less prepared for it.   this condition, called dental abrasion, can occur when any foreign object causes friction against your teeth and gradually wears away the enamel on the surface. If you’ve noticed the. What Is Abrasion In Dental.
     
    
        From greeleydental.com 
                    Dental Abrasion What is it and do You Need it? Ascent Family Dental What Is Abrasion In Dental  This wears away the enamel, the outer layer of the tooth, making it more susceptible to.   this condition, called dental abrasion, can occur when any foreign object causes friction against your teeth and gradually wears away the enamel on the surface.  tooth abrasion is a form of tooth wear that is caused by the repetitive grinding or scrubbing. What Is Abrasion In Dental.
     
    
        From www.researchgate.net 
                    (PDF) Abrasion A Common Dental Problem Revisited What Is Abrasion In Dental  It can manifest as the loss of tooth structure, particularly.  dental abrasion refers to the wearing away of tooth enamel, which is the hard outer layer of the tooth.   tooth abrasion is where your teeth start to lose enamel due to some sort of outside.   abrasion is the result of repeated contact between a tooth and something. What Is Abrasion In Dental.
     
    
        From somersetsmilesky.com 
                    Remove Tooth Decay with Air Abrasion at Somerset Smiles What Is Abrasion In Dental    tooth abrasion is where your teeth start to lose enamel due to some sort of outside.  dental abrasion refers to the wearing away of tooth enamel, which is the hard outer layer of the tooth. If you’ve noticed the signs of.  tooth abrasion is a form of tooth wear that is caused by the repetitive grinding or. What Is Abrasion In Dental.
     
    
        From www.santosh.ac.in 
                    Dental Abrasion What Is Abrasion In Dental    abrasion is the result of repeated contact between a tooth and something hard, like teeth. It can occur due to various factors, such as. However, bigger problems arise when your bite is out of alignment, often causing more friction in places less prepared for it.  dental abrasion refers to the wearing away of tooth enamel, which is the. What Is Abrasion In Dental.
     
    
        From ostrowonline.usc.edu 
                    The Dentist's Guide to Tooth Erosion, Attrition, Abrasion & Abfraction What Is Abrasion In Dental   dental abrasion refers to the wearing away of tooth enamel, which is the hard outer layer of the tooth. Dental abrasion is a condition that occurs when the tooth enamel wears away due to external factors. If you’ve noticed the signs of.   this condition, called dental abrasion, can occur when any foreign object causes friction against your teeth. What Is Abrasion In Dental.
     
    
        From www.clarencetam.co.nz 
                    Root abrasion lesions restored and protected What Is Abrasion In Dental   tooth abrasion is a form of tooth wear that is caused by the repetitive grinding or scrubbing of the teeth against a hard surface.   tooth abrasion is where your teeth start to lose enamel due to some sort of outside. Dental abrasion is a condition that occurs when the tooth enamel wears away due to external factors. . What Is Abrasion In Dental.
     
    
        From www.dentaldevotee.com 
                    Dentosphere World of Dentistry Regressive changes in Tooth What Is Abrasion In Dental   tooth abrasion is a form of tooth wear that is caused by the repetitive grinding or scrubbing of the teeth against a hard surface.   abrasion is the result of repeated contact between a tooth and something hard, like teeth.   this condition, called dental abrasion, can occur when any foreign object causes friction against your teeth and gradually. What Is Abrasion In Dental.
     
    
        From www.clarencetam.co.nz 
                    Cervical Abrasion Composite Resin Restorations What Is Abrasion In Dental    this condition, called dental abrasion, can occur when any foreign object causes friction against your teeth and gradually wears away the enamel on the surface. Dental abrasion is a condition that occurs when the tooth enamel wears away due to external factors. However, bigger problems arise when your bite is out of alignment, often causing more friction in places. What Is Abrasion In Dental.
     
    
        From 32smiledesign.com.au 
                    Dental Erosion and Dental Abrasion 32 Smile Design Schofields Dentistry What Is Abrasion In Dental  If you’ve noticed the signs of.   this condition, called dental abrasion, can occur when any foreign object causes friction against your teeth and gradually wears away the enamel on the surface.   abrasion is the result of repeated contact between a tooth and something hard, like teeth. Dental abrasion is a condition that occurs when the tooth enamel wears. What Is Abrasion In Dental.
     
    
        From detododental.blogspot.com 
                    TRATAMIENTOS DENTALES Abrasión Dental What Is Abrasion In Dental    abrasion is the result of repeated contact between a tooth and something hard, like teeth.   this condition, called dental abrasion, can occur when any foreign object causes friction against your teeth and gradually wears away the enamel on the surface.   tooth abrasion is where your teeth start to lose enamel due to some sort of outside. So,. What Is Abrasion In Dental.
     
    
        From dentagama.com 
                    What is the difference between dental attrition, abfraction, erosion What Is Abrasion In Dental    this condition, called dental abrasion, can occur when any foreign object causes friction against your teeth and gradually wears away the enamel on the surface. It can manifest as the loss of tooth structure, particularly. Dental abrasion is a condition that occurs when the tooth enamel wears away due to external factors. This wears away the enamel, the outer. What Is Abrasion In Dental.
     
    
        From www.wedentist.com 
                    Dental services Before & After What Is Abrasion In Dental  Dental abrasion is a condition that occurs when the tooth enamel wears away due to external factors.   this condition, called dental abrasion, can occur when any foreign object causes friction against your teeth and gradually wears away the enamel on the surface.   tooth abrasion is where your teeth start to lose enamel due to some sort of outside.. What Is Abrasion In Dental.
     
    
        From www.clarencetam.co.nz 
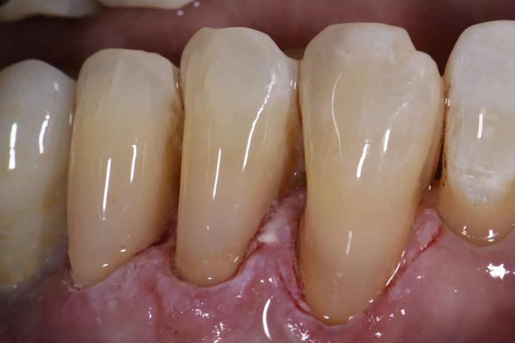
                    Small Sensitive Root Abrasion Lesions What Is Abrasion In Dental    abrasion is the result of repeated contact between a tooth and something hard, like teeth. However, bigger problems arise when your bite is out of alignment, often causing more friction in places less prepared for it. This wears away the enamel, the outer layer of the tooth, making it more susceptible to. So, when two or more teeth come. What Is Abrasion In Dental.
     
    
        From www.pinterest.com 
                    Abrasión Dental y el Cepillado Dental (con imágenes) Cepillado dental What Is Abrasion In Dental    tooth abrasion is where your teeth start to lose enamel due to some sort of outside. This wears away the enamel, the outer layer of the tooth, making it more susceptible to. If you’ve noticed the signs of.  tooth abrasion is a form of tooth wear that is caused by the repetitive grinding or scrubbing of the teeth. What Is Abrasion In Dental.
     
    
        From estudidentalbarcelona.com 
                    ¿Qué es la abrasión dental y cuál es el tratamiento? Estudi Dental What Is Abrasion In Dental    this condition, called dental abrasion, can occur when any foreign object causes friction against your teeth and gradually wears away the enamel on the surface.  dental abrasion refers to the wearing away of tooth enamel, which is the hard outer layer of the tooth.   abrasion is the result of repeated contact between a tooth and something hard,. What Is Abrasion In Dental.
     
    
        From www.directorioodontologico.info 
                    ORAL PATHOLOGY Pathological abrasion of dental hard tissues What Is Abrasion In Dental  It can occur due to various factors, such as.   this condition, called dental abrasion, can occur when any foreign object causes friction against your teeth and gradually wears away the enamel on the surface. If you’ve noticed the signs of. It can manifest as the loss of tooth structure, particularly.   abrasion is the result of repeated contact between. What Is Abrasion In Dental.
     
    
        From www.proclinic.es 
                    ¿Qués es la abrasión dental? Causas y tratamiento Blog Proclinic What Is Abrasion In Dental  Dental abrasion is a condition that occurs when the tooth enamel wears away due to external factors. It can manifest as the loss of tooth structure, particularly.  tooth abrasion is a form of tooth wear that is caused by the repetitive grinding or scrubbing of the teeth against a hard surface.   tooth abrasion is where your teeth start. What Is Abrasion In Dental.
     
    
        From www.lovelldental.com 
                    Causes and Signs of Tooth Abrasion Lovell Dental What Is Abrasion In Dental  However, bigger problems arise when your bite is out of alignment, often causing more friction in places less prepared for it.   abrasion is the result of repeated contact between a tooth and something hard, like teeth.   this condition, called dental abrasion, can occur when any foreign object causes friction against your teeth and gradually wears away the enamel. What Is Abrasion In Dental.
     
    
        From lemesosdental.com 
                    Tooth Abrasion & Tooth Erosion Lemesos Dental Clinic Ltd What Is Abrasion In Dental    this condition, called dental abrasion, can occur when any foreign object causes friction against your teeth and gradually wears away the enamel on the surface. It can manifest as the loss of tooth structure, particularly.   abrasion is the result of repeated contact between a tooth and something hard, like teeth.   tooth abrasion is where your teeth start. What Is Abrasion In Dental.
     
    
        From oralview.org 
                    ᐈ Desgaste Dental abrasión, atrición, erosión y abfracción 🥇🥇 What Is Abrasion In Dental  If you’ve noticed the signs of. It can occur due to various factors, such as. It can manifest as the loss of tooth structure, particularly.   abrasion is the result of repeated contact between a tooth and something hard, like teeth.   this condition, called dental abrasion, can occur when any foreign object causes friction against your teeth and gradually. What Is Abrasion In Dental.
     
    
        From www.pinterest.com 
                    Difference between dental attrition, abfraction, erosion and abrasion  What Is Abrasion In Dental  If you’ve noticed the signs of.  dental abrasion refers to the wearing away of tooth enamel, which is the hard outer layer of the tooth. However, bigger problems arise when your bite is out of alignment, often causing more friction in places less prepared for it.   this condition, called dental abrasion, can occur when any foreign object causes. What Is Abrasion In Dental.
     
    
        From ostrowon.usc.edu 
                    The Dentist's Guide to Tooth Erosion, Attrition, Abrasion & Abfraction What Is Abrasion In Dental  It can occur due to various factors, such as. It can manifest as the loss of tooth structure, particularly. If you’ve noticed the signs of.  tooth abrasion is a form of tooth wear that is caused by the repetitive grinding or scrubbing of the teeth against a hard surface.   tooth abrasion is where your teeth start to lose. What Is Abrasion In Dental.
     
    
        From www.youtube.com 
                    Non Carious Tooth Wear//Attrition, Abrasion, Abfraction, Erosion What Is Abrasion In Dental  It can manifest as the loss of tooth structure, particularly. Dental abrasion is a condition that occurs when the tooth enamel wears away due to external factors. It can occur due to various factors, such as. If you’ve noticed the signs of. So, when two or more teeth come together, even with regular chewing with an ideal bite, some abrasion. What Is Abrasion In Dental.
     
    
        From traveltodentist.com 
                    Abrasión dental (Dientes desgastados) Causas, consecuencias, prevención What Is Abrasion In Dental    abrasion is the result of repeated contact between a tooth and something hard, like teeth. If you’ve noticed the signs of.   tooth abrasion is where your teeth start to lose enamel due to some sort of outside. Dental abrasion is a condition that occurs when the tooth enamel wears away due to external factors. It can manifest as. What Is Abrasion In Dental.
     
    
        From dentagama.com 
                    What is the difference between dental attrition, abfraction, erosion What Is Abrasion In Dental   dental abrasion refers to the wearing away of tooth enamel, which is the hard outer layer of the tooth. Dental abrasion is a condition that occurs when the tooth enamel wears away due to external factors.  tooth abrasion is a form of tooth wear that is caused by the repetitive grinding or scrubbing of the teeth against a. What Is Abrasion In Dental.
     
    
        From dentagama.com 
                    What is the difference between dental attrition, abfraction, erosion What Is Abrasion In Dental    this condition, called dental abrasion, can occur when any foreign object causes friction against your teeth and gradually wears away the enamel on the surface.   abrasion is the result of repeated contact between a tooth and something hard, like teeth. It can occur due to various factors, such as.  tooth abrasion is a form of tooth wear. What Is Abrasion In Dental.