Maxillary Sinus Osteoma Radiology . Symptomatic osteomas require surgical intervention. — for small, asymptomatic osteomas, especially if restrained within the margins of the paranasal sinuses, regular. main treatment option for sphenoid and ethmoid sinus and other symptomatic osteomas are surgical resection. osteomas are often discovered incidentally during radiologic imaging of the head or sinuses for other reasons, since osteomas frequently do not cause. — maxillary sinus osteomas are benign osteogenic lesions.
from www.neuroradiologycases.com
Symptomatic osteomas require surgical intervention. — maxillary sinus osteomas are benign osteogenic lesions. main treatment option for sphenoid and ethmoid sinus and other symptomatic osteomas are surgical resection. osteomas are often discovered incidentally during radiologic imaging of the head or sinuses for other reasons, since osteomas frequently do not cause. — for small, asymptomatic osteomas, especially if restrained within the margins of the paranasal sinuses, regular.
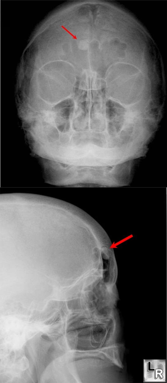
Dr Balaji Anvekar FRCR Paranasal sinus osteoma CT
Maxillary Sinus Osteoma Radiology osteomas are often discovered incidentally during radiologic imaging of the head or sinuses for other reasons, since osteomas frequently do not cause. Symptomatic osteomas require surgical intervention. main treatment option for sphenoid and ethmoid sinus and other symptomatic osteomas are surgical resection. osteomas are often discovered incidentally during radiologic imaging of the head or sinuses for other reasons, since osteomas frequently do not cause. — maxillary sinus osteomas are benign osteogenic lesions. — for small, asymptomatic osteomas, especially if restrained within the margins of the paranasal sinuses, regular.
From www.mdpi.com
Surgeries Free FullText Endoscopic Excision of Rare Large Maxillary Sinus Osteoma A Case Maxillary Sinus Osteoma Radiology — for small, asymptomatic osteomas, especially if restrained within the margins of the paranasal sinuses, regular. Symptomatic osteomas require surgical intervention. main treatment option for sphenoid and ethmoid sinus and other symptomatic osteomas are surgical resection. osteomas are often discovered incidentally during radiologic imaging of the head or sinuses for other reasons, since osteomas frequently do not. Maxillary Sinus Osteoma Radiology.
From www.wjgnet.com
Imaging appearance of bone tumors of the maxillofacial region Maxillary Sinus Osteoma Radiology osteomas are often discovered incidentally during radiologic imaging of the head or sinuses for other reasons, since osteomas frequently do not cause. Symptomatic osteomas require surgical intervention. — for small, asymptomatic osteomas, especially if restrained within the margins of the paranasal sinuses, regular. — maxillary sinus osteomas are benign osteogenic lesions. main treatment option for sphenoid. Maxillary Sinus Osteoma Radiology.
From atlas.mudr.org
Radiology case Osteoma of frontal sinus Maxillary Sinus Osteoma Radiology osteomas are often discovered incidentally during radiologic imaging of the head or sinuses for other reasons, since osteomas frequently do not cause. main treatment option for sphenoid and ethmoid sinus and other symptomatic osteomas are surgical resection. Symptomatic osteomas require surgical intervention. — for small, asymptomatic osteomas, especially if restrained within the margins of the paranasal sinuses,. Maxillary Sinus Osteoma Radiology.
From www.neuroradiologycases.com
Dr Balaji Anvekar FRCR Paranasal sinus osteoma CT Maxillary Sinus Osteoma Radiology main treatment option for sphenoid and ethmoid sinus and other symptomatic osteomas are surgical resection. osteomas are often discovered incidentally during radiologic imaging of the head or sinuses for other reasons, since osteomas frequently do not cause. — maxillary sinus osteomas are benign osteogenic lesions. — for small, asymptomatic osteomas, especially if restrained within the margins. Maxillary Sinus Osteoma Radiology.
From www.researchgate.net
Osteoma. (a) Axial CT shows a large osteoma with groundglass... Download Scientific Diagram Maxillary Sinus Osteoma Radiology osteomas are often discovered incidentally during radiologic imaging of the head or sinuses for other reasons, since osteomas frequently do not cause. — maxillary sinus osteomas are benign osteogenic lesions. Symptomatic osteomas require surgical intervention. — for small, asymptomatic osteomas, especially if restrained within the margins of the paranasal sinuses, regular. main treatment option for sphenoid. Maxillary Sinus Osteoma Radiology.
From www.oooojournal.net
Panoramic radiography is of limited value in the evaluation of maxillary sinus disease Oral Maxillary Sinus Osteoma Radiology Symptomatic osteomas require surgical intervention. — for small, asymptomatic osteomas, especially if restrained within the margins of the paranasal sinuses, regular. osteomas are often discovered incidentally during radiologic imaging of the head or sinuses for other reasons, since osteomas frequently do not cause. — maxillary sinus osteomas are benign osteogenic lesions. main treatment option for sphenoid. Maxillary Sinus Osteoma Radiology.
From www.mdpi.com
JCM Free FullText Craniofacial Osteomas From Diagnosis to Therapy Maxillary Sinus Osteoma Radiology — for small, asymptomatic osteomas, especially if restrained within the margins of the paranasal sinuses, regular. — maxillary sinus osteomas are benign osteogenic lesions. osteomas are often discovered incidentally during radiologic imaging of the head or sinuses for other reasons, since osteomas frequently do not cause. main treatment option for sphenoid and ethmoid sinus and other. Maxillary Sinus Osteoma Radiology.
From www.semanticscholar.org
Figure 1 from Maxillary Sinus Osteoma A Rare Cause of Headache Semantic Scholar Maxillary Sinus Osteoma Radiology — maxillary sinus osteomas are benign osteogenic lesions. osteomas are often discovered incidentally during radiologic imaging of the head or sinuses for other reasons, since osteomas frequently do not cause. — for small, asymptomatic osteomas, especially if restrained within the margins of the paranasal sinuses, regular. main treatment option for sphenoid and ethmoid sinus and other. Maxillary Sinus Osteoma Radiology.
From radiologykey.com
Benign and Malignant Osteogenic Tumors of Bone Radiology Key Maxillary Sinus Osteoma Radiology osteomas are often discovered incidentally during radiologic imaging of the head or sinuses for other reasons, since osteomas frequently do not cause. Symptomatic osteomas require surgical intervention. — maxillary sinus osteomas are benign osteogenic lesions. main treatment option for sphenoid and ethmoid sinus and other symptomatic osteomas are surgical resection. — for small, asymptomatic osteomas, especially. Maxillary Sinus Osteoma Radiology.
From www.mdpi.com
Surgeries Free FullText Endoscopic Excision of Rare Large Maxillary Sinus Osteoma A Case Maxillary Sinus Osteoma Radiology Symptomatic osteomas require surgical intervention. — maxillary sinus osteomas are benign osteogenic lesions. main treatment option for sphenoid and ethmoid sinus and other symptomatic osteomas are surgical resection. — for small, asymptomatic osteomas, especially if restrained within the margins of the paranasal sinuses, regular. osteomas are often discovered incidentally during radiologic imaging of the head or. Maxillary Sinus Osteoma Radiology.
From www.researchgate.net
Axial view of the CT scan of the paranasal sinus showing the osteoma of... Download Scientific Maxillary Sinus Osteoma Radiology main treatment option for sphenoid and ethmoid sinus and other symptomatic osteomas are surgical resection. — maxillary sinus osteomas are benign osteogenic lesions. — for small, asymptomatic osteomas, especially if restrained within the margins of the paranasal sinuses, regular. osteomas are often discovered incidentally during radiologic imaging of the head or sinuses for other reasons, since. Maxillary Sinus Osteoma Radiology.
From www.newyorkentspecialist.com
What are Osteomas? Isaac Namdar, MD Maxillary Sinus Osteoma Radiology Symptomatic osteomas require surgical intervention. osteomas are often discovered incidentally during radiologic imaging of the head or sinuses for other reasons, since osteomas frequently do not cause. main treatment option for sphenoid and ethmoid sinus and other symptomatic osteomas are surgical resection. — for small, asymptomatic osteomas, especially if restrained within the margins of the paranasal sinuses,. Maxillary Sinus Osteoma Radiology.
From www.semanticscholar.org
Figure 2 from Osteoma of maxillary sinus case report. Semantic Scholar Maxillary Sinus Osteoma Radiology Symptomatic osteomas require surgical intervention. osteomas are often discovered incidentally during radiologic imaging of the head or sinuses for other reasons, since osteomas frequently do not cause. — for small, asymptomatic osteomas, especially if restrained within the margins of the paranasal sinuses, regular. — maxillary sinus osteomas are benign osteogenic lesions. main treatment option for sphenoid. Maxillary Sinus Osteoma Radiology.
From radiopaedia.org
Image Maxillary Sinus Osteoma Radiology Symptomatic osteomas require surgical intervention. — maxillary sinus osteomas are benign osteogenic lesions. osteomas are often discovered incidentally during radiologic imaging of the head or sinuses for other reasons, since osteomas frequently do not cause. — for small, asymptomatic osteomas, especially if restrained within the margins of the paranasal sinuses, regular. main treatment option for sphenoid. Maxillary Sinus Osteoma Radiology.
From www.researchgate.net
Coronal view of the CT scan of the paranasal sinus showing the osteoma... Download Scientific Maxillary Sinus Osteoma Radiology — maxillary sinus osteomas are benign osteogenic lesions. osteomas are often discovered incidentally during radiologic imaging of the head or sinuses for other reasons, since osteomas frequently do not cause. main treatment option for sphenoid and ethmoid sinus and other symptomatic osteomas are surgical resection. Symptomatic osteomas require surgical intervention. — for small, asymptomatic osteomas, especially. Maxillary Sinus Osteoma Radiology.
From pubs.rsna.org
The Preoperative Sinus CT Avoiding a “CLOSE” Call with Surgical Complications Radiology Maxillary Sinus Osteoma Radiology main treatment option for sphenoid and ethmoid sinus and other symptomatic osteomas are surgical resection. Symptomatic osteomas require surgical intervention. — for small, asymptomatic osteomas, especially if restrained within the margins of the paranasal sinuses, regular. osteomas are often discovered incidentally during radiologic imaging of the head or sinuses for other reasons, since osteomas frequently do not. Maxillary Sinus Osteoma Radiology.
From www.cureus.com
Cureus A Case of Giant Ethmoid Sinus Osteoma Maxillary Sinus Osteoma Radiology main treatment option for sphenoid and ethmoid sinus and other symptomatic osteomas are surgical resection. — for small, asymptomatic osteomas, especially if restrained within the margins of the paranasal sinuses, regular. Symptomatic osteomas require surgical intervention. — maxillary sinus osteomas are benign osteogenic lesions. osteomas are often discovered incidentally during radiologic imaging of the head or. Maxillary Sinus Osteoma Radiology.
From www.scienceopen.com
Maxillary sinus osteoma two cases and review of the literature ScienceOpen Maxillary Sinus Osteoma Radiology Symptomatic osteomas require surgical intervention. main treatment option for sphenoid and ethmoid sinus and other symptomatic osteomas are surgical resection. — maxillary sinus osteomas are benign osteogenic lesions. — for small, asymptomatic osteomas, especially if restrained within the margins of the paranasal sinuses, regular. osteomas are often discovered incidentally during radiologic imaging of the head or. Maxillary Sinus Osteoma Radiology.
From www.pinterest.com
Maxillary sinusitis Radiology Case Radiology, Radiology imaging, Sinusitis Maxillary Sinus Osteoma Radiology — for small, asymptomatic osteomas, especially if restrained within the margins of the paranasal sinuses, regular. osteomas are often discovered incidentally during radiologic imaging of the head or sinuses for other reasons, since osteomas frequently do not cause. — maxillary sinus osteomas are benign osteogenic lesions. Symptomatic osteomas require surgical intervention. main treatment option for sphenoid. Maxillary Sinus Osteoma Radiology.
From www.researchgate.net
(PDF) A case of a large osteoma containing maxillary mucosa in the maxillary sinus Maxillary Sinus Osteoma Radiology — maxillary sinus osteomas are benign osteogenic lesions. Symptomatic osteomas require surgical intervention. — for small, asymptomatic osteomas, especially if restrained within the margins of the paranasal sinuses, regular. osteomas are often discovered incidentally during radiologic imaging of the head or sinuses for other reasons, since osteomas frequently do not cause. main treatment option for sphenoid. Maxillary Sinus Osteoma Radiology.
From www.bjorl.org
Giant frontoethmoidal osteoma selection of an optimal surgical procedure Brazilian Journal Maxillary Sinus Osteoma Radiology — maxillary sinus osteomas are benign osteogenic lesions. main treatment option for sphenoid and ethmoid sinus and other symptomatic osteomas are surgical resection. Symptomatic osteomas require surgical intervention. osteomas are often discovered incidentally during radiologic imaging of the head or sinuses for other reasons, since osteomas frequently do not cause. — for small, asymptomatic osteomas, especially. Maxillary Sinus Osteoma Radiology.
From www.bmj.com
Frontal sinus osteoma an unusual cause of proptosis The BMJ Maxillary Sinus Osteoma Radiology — for small, asymptomatic osteomas, especially if restrained within the margins of the paranasal sinuses, regular. osteomas are often discovered incidentally during radiologic imaging of the head or sinuses for other reasons, since osteomas frequently do not cause. Symptomatic osteomas require surgical intervention. — maxillary sinus osteomas are benign osteogenic lesions. main treatment option for sphenoid. Maxillary Sinus Osteoma Radiology.
From www.learningradiology.com
Osteoma,frontal,sinus,mandible,polyposis,gardner's,gardener's,syndrome Maxillary Sinus Osteoma Radiology — maxillary sinus osteomas are benign osteogenic lesions. — for small, asymptomatic osteomas, especially if restrained within the margins of the paranasal sinuses, regular. Symptomatic osteomas require surgical intervention. osteomas are often discovered incidentally during radiologic imaging of the head or sinuses for other reasons, since osteomas frequently do not cause. main treatment option for sphenoid. Maxillary Sinus Osteoma Radiology.
From www.wikidoc.org
Osteoma CT wikidoc Maxillary Sinus Osteoma Radiology — for small, asymptomatic osteomas, especially if restrained within the margins of the paranasal sinuses, regular. — maxillary sinus osteomas are benign osteogenic lesions. osteomas are often discovered incidentally during radiologic imaging of the head or sinuses for other reasons, since osteomas frequently do not cause. Symptomatic osteomas require surgical intervention. main treatment option for sphenoid. Maxillary Sinus Osteoma Radiology.
From medtube.net
Accessory Maxillary Sinus Ostium [CT scan] • Picture • Maxillary Sinus Osteoma Radiology — maxillary sinus osteomas are benign osteogenic lesions. Symptomatic osteomas require surgical intervention. — for small, asymptomatic osteomas, especially if restrained within the margins of the paranasal sinuses, regular. osteomas are often discovered incidentally during radiologic imaging of the head or sinuses for other reasons, since osteomas frequently do not cause. main treatment option for sphenoid. Maxillary Sinus Osteoma Radiology.
From atlas.mudr.org
Radiology case Dentigenous cyst in maxillary sinus, VE Maxillary Sinus Osteoma Radiology main treatment option for sphenoid and ethmoid sinus and other symptomatic osteomas are surgical resection. — for small, asymptomatic osteomas, especially if restrained within the margins of the paranasal sinuses, regular. Symptomatic osteomas require surgical intervention. — maxillary sinus osteomas are benign osteogenic lesions. osteomas are often discovered incidentally during radiologic imaging of the head or. Maxillary Sinus Osteoma Radiology.
From manju-imagingxpert.blogspot.com
Radiodiagnosis Imaging is AmazingInteresting cases Ivory Osteoma Maxillary Sinus Osteoma Radiology main treatment option for sphenoid and ethmoid sinus and other symptomatic osteomas are surgical resection. — maxillary sinus osteomas are benign osteogenic lesions. Symptomatic osteomas require surgical intervention. — for small, asymptomatic osteomas, especially if restrained within the margins of the paranasal sinuses, regular. osteomas are often discovered incidentally during radiologic imaging of the head or. Maxillary Sinus Osteoma Radiology.
From www.cambridge.org
Growth of a frontal sinus osteoma The Journal of Laryngology & Otology Cambridge Core Maxillary Sinus Osteoma Radiology — for small, asymptomatic osteomas, especially if restrained within the margins of the paranasal sinuses, regular. osteomas are often discovered incidentally during radiologic imaging of the head or sinuses for other reasons, since osteomas frequently do not cause. main treatment option for sphenoid and ethmoid sinus and other symptomatic osteomas are surgical resection. Symptomatic osteomas require surgical. Maxillary Sinus Osteoma Radiology.
From www.scienceopen.com
Maxillary sinus osteoma two cases and review of the literature ScienceOpen Maxillary Sinus Osteoma Radiology Symptomatic osteomas require surgical intervention. osteomas are often discovered incidentally during radiologic imaging of the head or sinuses for other reasons, since osteomas frequently do not cause. — maxillary sinus osteomas are benign osteogenic lesions. — for small, asymptomatic osteomas, especially if restrained within the margins of the paranasal sinuses, regular. main treatment option for sphenoid. Maxillary Sinus Osteoma Radiology.
From med.stanford.edu
Osteoma Skull Base Surgery Stanford Medicine Maxillary Sinus Osteoma Radiology main treatment option for sphenoid and ethmoid sinus and other symptomatic osteomas are surgical resection. osteomas are often discovered incidentally during radiologic imaging of the head or sinuses for other reasons, since osteomas frequently do not cause. — maxillary sinus osteomas are benign osteogenic lesions. Symptomatic osteomas require surgical intervention. — for small, asymptomatic osteomas, especially. Maxillary Sinus Osteoma Radiology.
From radiopaedia.org
Image Maxillary Sinus Osteoma Radiology osteomas are often discovered incidentally during radiologic imaging of the head or sinuses for other reasons, since osteomas frequently do not cause. — for small, asymptomatic osteomas, especially if restrained within the margins of the paranasal sinuses, regular. Symptomatic osteomas require surgical intervention. main treatment option for sphenoid and ethmoid sinus and other symptomatic osteomas are surgical. Maxillary Sinus Osteoma Radiology.
From mungfali.com
Maxillary Sinus Cyst MRI Maxillary Sinus Osteoma Radiology — maxillary sinus osteomas are benign osteogenic lesions. Symptomatic osteomas require surgical intervention. main treatment option for sphenoid and ethmoid sinus and other symptomatic osteomas are surgical resection. osteomas are often discovered incidentally during radiologic imaging of the head or sinuses for other reasons, since osteomas frequently do not cause. — for small, asymptomatic osteomas, especially. Maxillary Sinus Osteoma Radiology.
From www.atlas.mudr.org
Radiology case Polyp of the right maxillary sinus Maxillary Sinus Osteoma Radiology osteomas are often discovered incidentally during radiologic imaging of the head or sinuses for other reasons, since osteomas frequently do not cause. — for small, asymptomatic osteomas, especially if restrained within the margins of the paranasal sinuses, regular. Symptomatic osteomas require surgical intervention. main treatment option for sphenoid and ethmoid sinus and other symptomatic osteomas are surgical. Maxillary Sinus Osteoma Radiology.
From www.jem-journal.com
Mandibular Osteoid Osteoma Journal of Emergency Medicine Maxillary Sinus Osteoma Radiology — maxillary sinus osteomas are benign osteogenic lesions. — for small, asymptomatic osteomas, especially if restrained within the margins of the paranasal sinuses, regular. osteomas are often discovered incidentally during radiologic imaging of the head or sinuses for other reasons, since osteomas frequently do not cause. Symptomatic osteomas require surgical intervention. main treatment option for sphenoid. Maxillary Sinus Osteoma Radiology.
From www.researchgate.net
CT images of a patient with a left frontoethmoidal osteoma associated... Download Scientific Maxillary Sinus Osteoma Radiology Symptomatic osteomas require surgical intervention. — for small, asymptomatic osteomas, especially if restrained within the margins of the paranasal sinuses, regular. — maxillary sinus osteomas are benign osteogenic lesions. main treatment option for sphenoid and ethmoid sinus and other symptomatic osteomas are surgical resection. osteomas are often discovered incidentally during radiologic imaging of the head or. Maxillary Sinus Osteoma Radiology.