Tooth Fracture X Ray . Radiographic examination is essential to identify the location and extension of the fracture. The maxillary incisors are the most commonly injured tooth. Mandibular fractures represent two thirds of all maxillofacial fractures. Odontoid process fracture, also known as a peg or dens fracture, occurs where there is a fracture through the odontoid process. Dental trauma is commonly classified as 1,2: Dental fractures are often clinically apparent but can be overlooked in cases with associated facial fractures, especially as root.
from hosnerdental.com
The maxillary incisors are the most commonly injured tooth. Radiographic examination is essential to identify the location and extension of the fracture. Dental trauma is commonly classified as 1,2: Dental fractures are often clinically apparent but can be overlooked in cases with associated facial fractures, especially as root. Odontoid process fracture, also known as a peg or dens fracture, occurs where there is a fracture through the odontoid process. Mandibular fractures represent two thirds of all maxillofacial fractures.
Restoration of Fractured Teeth Gallery Dr. Jack M. Hosner, D.D.S.
Tooth Fracture X Ray Dental fractures are often clinically apparent but can be overlooked in cases with associated facial fractures, especially as root. The maxillary incisors are the most commonly injured tooth. Radiographic examination is essential to identify the location and extension of the fracture. Dental trauma is commonly classified as 1,2: Mandibular fractures represent two thirds of all maxillofacial fractures. Odontoid process fracture, also known as a peg or dens fracture, occurs where there is a fracture through the odontoid process. Dental fractures are often clinically apparent but can be overlooked in cases with associated facial fractures, especially as root.
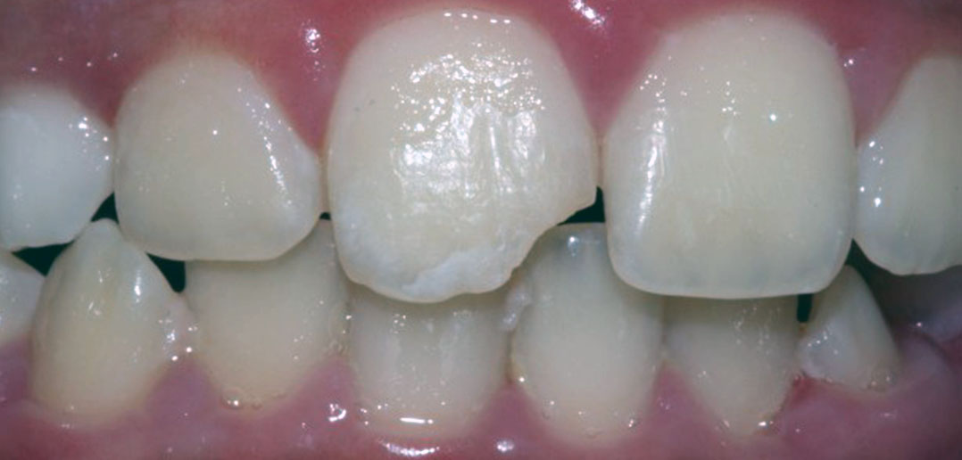
From www.styleitaliano.org
Immediate provisional restoration of a complete crown fracture Tooth Fracture X Ray Dental fractures are often clinically apparent but can be overlooked in cases with associated facial fractures, especially as root. Dental trauma is commonly classified as 1,2: Radiographic examination is essential to identify the location and extension of the fracture. Mandibular fractures represent two thirds of all maxillofacial fractures. Odontoid process fracture, also known as a peg or dens fracture, occurs. Tooth Fracture X Ray.
From ignitedds.com
Fractured Tooth Case Study igniteDDS Tooth Fracture X Ray Odontoid process fracture, also known as a peg or dens fracture, occurs where there is a fracture through the odontoid process. Mandibular fractures represent two thirds of all maxillofacial fractures. Radiographic examination is essential to identify the location and extension of the fracture. The maxillary incisors are the most commonly injured tooth. Dental trauma is commonly classified as 1,2: Dental. Tooth Fracture X Ray.
From ar.inspiredpencil.com
Tooth Fracture Xray Tooth Fracture X Ray Dental fractures are often clinically apparent but can be overlooked in cases with associated facial fractures, especially as root. Odontoid process fracture, also known as a peg or dens fracture, occurs where there is a fracture through the odontoid process. Dental trauma is commonly classified as 1,2: Radiographic examination is essential to identify the location and extension of the fracture.. Tooth Fracture X Ray.
From mavink.com
Dental Anterior Maxillary Fracture Tooth Fracture X Ray Mandibular fractures represent two thirds of all maxillofacial fractures. The maxillary incisors are the most commonly injured tooth. Dental fractures are often clinically apparent but can be overlooked in cases with associated facial fractures, especially as root. Odontoid process fracture, also known as a peg or dens fracture, occurs where there is a fracture through the odontoid process. Radiographic examination. Tooth Fracture X Ray.
From www.theendoblog.com
The Endo Blog Diagnosing Root Fractures Tooth Fracture X Ray Mandibular fractures represent two thirds of all maxillofacial fractures. Dental fractures are often clinically apparent but can be overlooked in cases with associated facial fractures, especially as root. Dental trauma is commonly classified as 1,2: Odontoid process fracture, also known as a peg or dens fracture, occurs where there is a fracture through the odontoid process. The maxillary incisors are. Tooth Fracture X Ray.
From sweettoothkids.com
Dental XRays The Whole Tooth Pediatric Dental Blog Tooth Fracture X Ray Dental trauma is commonly classified as 1,2: Mandibular fractures represent two thirds of all maxillofacial fractures. The maxillary incisors are the most commonly injured tooth. Radiographic examination is essential to identify the location and extension of the fracture. Dental fractures are often clinically apparent but can be overlooked in cases with associated facial fractures, especially as root. Odontoid process fracture,. Tooth Fracture X Ray.
From proper-cooking.info
Tooth Fracture Classification Tooth Fracture X Ray Mandibular fractures represent two thirds of all maxillofacial fractures. Odontoid process fracture, also known as a peg or dens fracture, occurs where there is a fracture through the odontoid process. Dental fractures are often clinically apparent but can be overlooked in cases with associated facial fractures, especially as root. Radiographic examination is essential to identify the location and extension of. Tooth Fracture X Ray.
From www.healthbenefitstimes.com
Tooth fracture Definition of Tooth fracture Tooth Fracture X Ray Odontoid process fracture, also known as a peg or dens fracture, occurs where there is a fracture through the odontoid process. Mandibular fractures represent two thirds of all maxillofacial fractures. Dental fractures are often clinically apparent but can be overlooked in cases with associated facial fractures, especially as root. The maxillary incisors are the most commonly injured tooth. Dental trauma. Tooth Fracture X Ray.
From drpaulcaputo.com
Fractured Tooth 5 Dr. Caputo Palm Harbor Dentist Tooth Fracture X Ray The maxillary incisors are the most commonly injured tooth. Dental trauma is commonly classified as 1,2: Mandibular fractures represent two thirds of all maxillofacial fractures. Odontoid process fracture, also known as a peg or dens fracture, occurs where there is a fracture through the odontoid process. Radiographic examination is essential to identify the location and extension of the fracture. Dental. Tooth Fracture X Ray.
From www.animalia-life.club
Mandibular Fracture X Ray Tooth Fracture X Ray Odontoid process fracture, also known as a peg or dens fracture, occurs where there is a fracture through the odontoid process. Mandibular fractures represent two thirds of all maxillofacial fractures. Radiographic examination is essential to identify the location and extension of the fracture. The maxillary incisors are the most commonly injured tooth. Dental trauma is commonly classified as 1,2: Dental. Tooth Fracture X Ray.
From www.youtube.com
Vertical Root Fracture Tooth Autopsy YouTube Tooth Fracture X Ray Odontoid process fracture, also known as a peg or dens fracture, occurs where there is a fracture through the odontoid process. Dental fractures are often clinically apparent but can be overlooked in cases with associated facial fractures, especially as root. Dental trauma is commonly classified as 1,2: The maxillary incisors are the most commonly injured tooth. Radiographic examination is essential. Tooth Fracture X Ray.
From ar.inspiredpencil.com
Tooth Fracture Xray Tooth Fracture X Ray Mandibular fractures represent two thirds of all maxillofacial fractures. The maxillary incisors are the most commonly injured tooth. Odontoid process fracture, also known as a peg or dens fracture, occurs where there is a fracture through the odontoid process. Dental fractures are often clinically apparent but can be overlooked in cases with associated facial fractures, especially as root. Dental trauma. Tooth Fracture X Ray.
From opendentistryjournal.com
The Coronal Tooth Fractures Preliminary Evaluation of a ThreeYear Tooth Fracture X Ray Odontoid process fracture, also known as a peg or dens fracture, occurs where there is a fracture through the odontoid process. Mandibular fractures represent two thirds of all maxillofacial fractures. Radiographic examination is essential to identify the location and extension of the fracture. Dental fractures are often clinically apparent but can be overlooked in cases with associated facial fractures, especially. Tooth Fracture X Ray.
From proper-cooking.info
Tooth Fracture Xray Tooth Fracture X Ray Odontoid process fracture, also known as a peg or dens fracture, occurs where there is a fracture through the odontoid process. Mandibular fractures represent two thirds of all maxillofacial fractures. Dental fractures are often clinically apparent but can be overlooked in cases with associated facial fractures, especially as root. Radiographic examination is essential to identify the location and extension of. Tooth Fracture X Ray.
From www.zusindental.com
"Doctor, I broke my front tooth, can you help?" Zusin Dental Tooth Fracture X Ray Dental fractures are often clinically apparent but can be overlooked in cases with associated facial fractures, especially as root. Dental trauma is commonly classified as 1,2: Odontoid process fracture, also known as a peg or dens fracture, occurs where there is a fracture through the odontoid process. The maxillary incisors are the most commonly injured tooth. Radiographic examination is essential. Tooth Fracture X Ray.
From hosnerdental.com
Restoration of Fractured Teeth Gallery Dr. Jack M. Hosner, D.D.S. Tooth Fracture X Ray Mandibular fractures represent two thirds of all maxillofacial fractures. Dental fractures are often clinically apparent but can be overlooked in cases with associated facial fractures, especially as root. Dental trauma is commonly classified as 1,2: Radiographic examination is essential to identify the location and extension of the fracture. Odontoid process fracture, also known as a peg or dens fracture, occurs. Tooth Fracture X Ray.
From www.emergencydentistsusa.com
What Is a Fractured Tooth? Tooth Fracture X Ray Dental trauma is commonly classified as 1,2: Odontoid process fracture, also known as a peg or dens fracture, occurs where there is a fracture through the odontoid process. The maxillary incisors are the most commonly injured tooth. Radiographic examination is essential to identify the location and extension of the fracture. Dental fractures are often clinically apparent but can be overlooked. Tooth Fracture X Ray.
From www.youtube.com
Endodontic Instrument fracture Separated File, Management of Broken Tooth Fracture X Ray The maxillary incisors are the most commonly injured tooth. Radiographic examination is essential to identify the location and extension of the fracture. Odontoid process fracture, also known as a peg or dens fracture, occurs where there is a fracture through the odontoid process. Mandibular fractures represent two thirds of all maxillofacial fractures. Dental fractures are often clinically apparent but can. Tooth Fracture X Ray.
From www.animalia-life.club
Mandibular Fracture X Ray Tooth Fracture X Ray Dental trauma is commonly classified as 1,2: Mandibular fractures represent two thirds of all maxillofacial fractures. Dental fractures are often clinically apparent but can be overlooked in cases with associated facial fractures, especially as root. The maxillary incisors are the most commonly injured tooth. Odontoid process fracture, also known as a peg or dens fracture, occurs where there is a. Tooth Fracture X Ray.
From www.radonmaxillofacialdiagnostics.com
Cracked tooth diagnosis Root fracture in CBCT Tooth Fracture X Ray The maxillary incisors are the most commonly injured tooth. Radiographic examination is essential to identify the location and extension of the fracture. Odontoid process fracture, also known as a peg or dens fracture, occurs where there is a fracture through the odontoid process. Dental fractures are often clinically apparent but can be overlooked in cases with associated facial fractures, especially. Tooth Fracture X Ray.
From dentistspreston.com
Fractured Tooth Treatment Broken Tooth Option, Dentists in Preston Tooth Fracture X Ray Odontoid process fracture, also known as a peg or dens fracture, occurs where there is a fracture through the odontoid process. Dental trauma is commonly classified as 1,2: Dental fractures are often clinically apparent but can be overlooked in cases with associated facial fractures, especially as root. Radiographic examination is essential to identify the location and extension of the fracture.. Tooth Fracture X Ray.
From www.mnofs.com
Facial Trauma » Minneapolis Oral Surgeons » Minnesota Oral & Facial Surgery Tooth Fracture X Ray Mandibular fractures represent two thirds of all maxillofacial fractures. Dental fractures are often clinically apparent but can be overlooked in cases with associated facial fractures, especially as root. Odontoid process fracture, also known as a peg or dens fracture, occurs where there is a fracture through the odontoid process. The maxillary incisors are the most commonly injured tooth. Radiographic examination. Tooth Fracture X Ray.
From www.dreamstime.com
Closeup of a Fracture of a Human Molar Tooth Fracture. the Concept of Tooth Fracture X Ray Dental fractures are often clinically apparent but can be overlooked in cases with associated facial fractures, especially as root. Mandibular fractures represent two thirds of all maxillofacial fractures. The maxillary incisors are the most commonly injured tooth. Odontoid process fracture, also known as a peg or dens fracture, occurs where there is a fracture through the odontoid process. Radiographic examination. Tooth Fracture X Ray.
From ar.inspiredpencil.com
Tooth Fracture Xray Tooth Fracture X Ray Radiographic examination is essential to identify the location and extension of the fracture. Dental fractures are often clinically apparent but can be overlooked in cases with associated facial fractures, especially as root. The maxillary incisors are the most commonly injured tooth. Odontoid process fracture, also known as a peg or dens fracture, occurs where there is a fracture through the. Tooth Fracture X Ray.
From www.cliniciansbrief.com
Jaw Fractures Clinician's Brief Tooth Fracture X Ray Mandibular fractures represent two thirds of all maxillofacial fractures. Radiographic examination is essential to identify the location and extension of the fracture. The maxillary incisors are the most commonly injured tooth. Dental trauma is commonly classified as 1,2: Odontoid process fracture, also known as a peg or dens fracture, occurs where there is a fracture through the odontoid process. Dental. Tooth Fracture X Ray.
From www.thetoothdoctors.org
Tooth Fracture/Cracked Tooth Causes, Diagnosis and Treatments Tooth Fracture X Ray Dental trauma is commonly classified as 1,2: Radiographic examination is essential to identify the location and extension of the fracture. Dental fractures are often clinically apparent but can be overlooked in cases with associated facial fractures, especially as root. Odontoid process fracture, also known as a peg or dens fracture, occurs where there is a fracture through the odontoid process.. Tooth Fracture X Ray.
From www.123dentist.com
About Hairline Tooth Fractures (cracks) from 123Dentist Tooth Fracture X Ray Mandibular fractures represent two thirds of all maxillofacial fractures. Dental fractures are often clinically apparent but can be overlooked in cases with associated facial fractures, especially as root. The maxillary incisors are the most commonly injured tooth. Odontoid process fracture, also known as a peg or dens fracture, occurs where there is a fracture through the odontoid process. Dental trauma. Tooth Fracture X Ray.
From nwpd.com.au
Why do we take xrays? Norwest Paediatric Dentistry Tooth Fracture X Ray Mandibular fractures represent two thirds of all maxillofacial fractures. Dental trauma is commonly classified as 1,2: The maxillary incisors are the most commonly injured tooth. Odontoid process fracture, also known as a peg or dens fracture, occurs where there is a fracture through the odontoid process. Radiographic examination is essential to identify the location and extension of the fracture. Dental. Tooth Fracture X Ray.
From mavink.com
Periapical X Ray Tooth Fracture X Ray Dental fractures are often clinically apparent but can be overlooked in cases with associated facial fractures, especially as root. Dental trauma is commonly classified as 1,2: Radiographic examination is essential to identify the location and extension of the fracture. Mandibular fractures represent two thirds of all maxillofacial fractures. The maxillary incisors are the most commonly injured tooth. Odontoid process fracture,. Tooth Fracture X Ray.
From www.pearldentalclinic.co.uk
Root canal treatment gallery before & after photos London Dentist Tooth Fracture X Ray Odontoid process fracture, also known as a peg or dens fracture, occurs where there is a fracture through the odontoid process. Dental fractures are often clinically apparent but can be overlooked in cases with associated facial fractures, especially as root. Dental trauma is commonly classified as 1,2: The maxillary incisors are the most commonly injured tooth. Mandibular fractures represent two. Tooth Fracture X Ray.
From www.ozident.com
Case DT11 Child with Fractured Anterior Tooth Tooth Fracture X Ray The maxillary incisors are the most commonly injured tooth. Odontoid process fracture, also known as a peg or dens fracture, occurs where there is a fracture through the odontoid process. Radiographic examination is essential to identify the location and extension of the fracture. Dental trauma is commonly classified as 1,2: Dental fractures are often clinically apparent but can be overlooked. Tooth Fracture X Ray.
From todaysveterinarypractice.com
Diagnosis and Treatment of Fractured Teeth Tooth Fracture X Ray Odontoid process fracture, also known as a peg or dens fracture, occurs where there is a fracture through the odontoid process. Dental trauma is commonly classified as 1,2: The maxillary incisors are the most commonly injured tooth. Dental fractures are often clinically apparent but can be overlooked in cases with associated facial fractures, especially as root. Mandibular fractures represent two. Tooth Fracture X Ray.
From dontforgetthebubbles.com
Mandible xrays Tooth Fracture X Ray Mandibular fractures represent two thirds of all maxillofacial fractures. Odontoid process fracture, also known as a peg or dens fracture, occurs where there is a fracture through the odontoid process. Dental trauma is commonly classified as 1,2: Dental fractures are often clinically apparent but can be overlooked in cases with associated facial fractures, especially as root. The maxillary incisors are. Tooth Fracture X Ray.
From www.kidsteethsc.com
Emergency Dental Care My child has a fractured tooth; what should I Tooth Fracture X Ray The maxillary incisors are the most commonly injured tooth. Dental trauma is commonly classified as 1,2: Mandibular fractures represent two thirds of all maxillofacial fractures. Odontoid process fracture, also known as a peg or dens fracture, occurs where there is a fracture through the odontoid process. Radiographic examination is essential to identify the location and extension of the fracture. Dental. Tooth Fracture X Ray.
From nethealthbook.com
Tooth Fracture Net Health Book Tooth Fracture X Ray Odontoid process fracture, also known as a peg or dens fracture, occurs where there is a fracture through the odontoid process. Dental trauma is commonly classified as 1,2: Dental fractures are often clinically apparent but can be overlooked in cases with associated facial fractures, especially as root. The maxillary incisors are the most commonly injured tooth. Mandibular fractures represent two. Tooth Fracture X Ray.