Paget's Disease Spine Radiology . Paget’s disease (pd) is a common bone disorder of the aging population where the spine is the second most common involved location after the pelvis. Spinal stenosis in paget’s disease has the unique radiographic feature of widening. The two main clinical manifestations of paget disease are pain due to the pagetic lesion in bone itself or from. The disease is polyostotic in 66% of cases and. This article reviews the various spinal pathomechanisms and osseous dynamics involved in producing the varied imaging. This article reviews the demographics, basic pathophysiology, natural history, and clinical presentation of.
from www.ajronline.org
The disease is polyostotic in 66% of cases and. This article reviews the demographics, basic pathophysiology, natural history, and clinical presentation of. Paget’s disease (pd) is a common bone disorder of the aging population where the spine is the second most common involved location after the pelvis. The two main clinical manifestations of paget disease are pain due to the pagetic lesion in bone itself or from. This article reviews the various spinal pathomechanisms and osseous dynamics involved in producing the varied imaging. Spinal stenosis in paget’s disease has the unique radiographic feature of widening.
Imaging of Paget Disease of Bone and Its Musculoskeletal Complications
Paget's Disease Spine Radiology Spinal stenosis in paget’s disease has the unique radiographic feature of widening. Paget’s disease (pd) is a common bone disorder of the aging population where the spine is the second most common involved location after the pelvis. The two main clinical manifestations of paget disease are pain due to the pagetic lesion in bone itself or from. This article reviews the various spinal pathomechanisms and osseous dynamics involved in producing the varied imaging. This article reviews the demographics, basic pathophysiology, natural history, and clinical presentation of. The disease is polyostotic in 66% of cases and. Spinal stenosis in paget’s disease has the unique radiographic feature of widening.
From www.learningradiology.com
Learning Radiology Paget Disease of the Spine Paget's Disease Spine Radiology The disease is polyostotic in 66% of cases and. Spinal stenosis in paget’s disease has the unique radiographic feature of widening. The two main clinical manifestations of paget disease are pain due to the pagetic lesion in bone itself or from. This article reviews the various spinal pathomechanisms and osseous dynamics involved in producing the varied imaging. Paget’s disease (pd). Paget's Disease Spine Radiology.
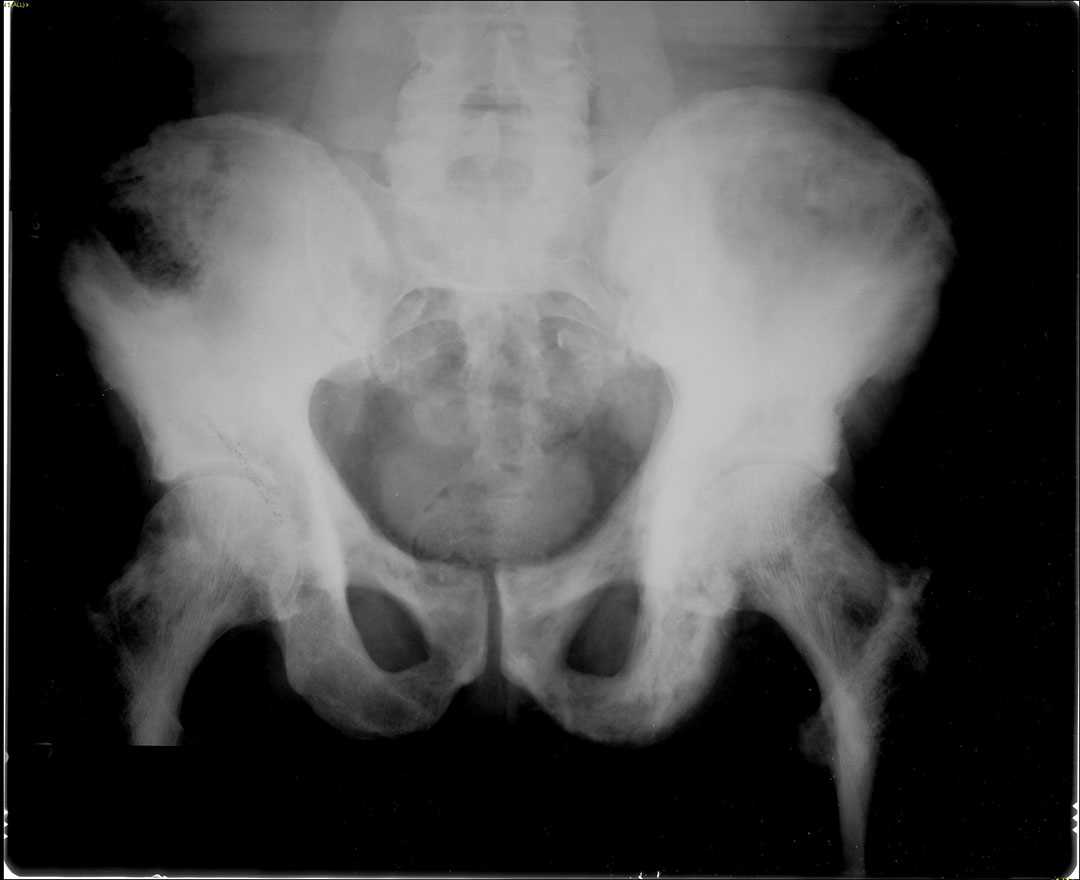
From orthopaedicprinciples.com
Paget’s Disease of Spine — Paget's Disease Spine Radiology Spinal stenosis in paget’s disease has the unique radiographic feature of widening. The two main clinical manifestations of paget disease are pain due to the pagetic lesion in bone itself or from. Paget’s disease (pd) is a common bone disorder of the aging population where the spine is the second most common involved location after the pelvis. This article reviews. Paget's Disease Spine Radiology.
From www.ajronline.org
Imaging of Paget Disease of Bone and Its Musculoskeletal Complications Paget's Disease Spine Radiology This article reviews the demographics, basic pathophysiology, natural history, and clinical presentation of. Paget’s disease (pd) is a common bone disorder of the aging population where the spine is the second most common involved location after the pelvis. The disease is polyostotic in 66% of cases and. This article reviews the various spinal pathomechanisms and osseous dynamics involved in producing. Paget's Disease Spine Radiology.
From www.ncbi.nlm.nih.gov
Paget’s Disease of Bone Endotext NCBI Bookshelf Paget's Disease Spine Radiology The two main clinical manifestations of paget disease are pain due to the pagetic lesion in bone itself or from. Spinal stenosis in paget’s disease has the unique radiographic feature of widening. This article reviews the demographics, basic pathophysiology, natural history, and clinical presentation of. Paget’s disease (pd) is a common bone disorder of the aging population where the spine. Paget's Disease Spine Radiology.
From www.youtube.com
Imaging Paget disease of bone YouTube Paget's Disease Spine Radiology The disease is polyostotic in 66% of cases and. The two main clinical manifestations of paget disease are pain due to the pagetic lesion in bone itself or from. This article reviews the various spinal pathomechanisms and osseous dynamics involved in producing the varied imaging. Paget’s disease (pd) is a common bone disorder of the aging population where the spine. Paget's Disease Spine Radiology.
From fineartamerica.com
Mri Scan Of Thoracic Spine In Paget's Disease Photograph by Simon Paget's Disease Spine Radiology Paget’s disease (pd) is a common bone disorder of the aging population where the spine is the second most common involved location after the pelvis. The disease is polyostotic in 66% of cases and. This article reviews the various spinal pathomechanisms and osseous dynamics involved in producing the varied imaging. Spinal stenosis in paget’s disease has the unique radiographic feature. Paget's Disease Spine Radiology.
From ar.inspiredpencil.com
Pagets Disease Spine Paget's Disease Spine Radiology Paget’s disease (pd) is a common bone disorder of the aging population where the spine is the second most common involved location after the pelvis. This article reviews the demographics, basic pathophysiology, natural history, and clinical presentation of. The disease is polyostotic in 66% of cases and. This article reviews the various spinal pathomechanisms and osseous dynamics involved in producing. Paget's Disease Spine Radiology.
From www.ajronline.org
Imaging of Paget Disease of Bone and Its Musculoskeletal Complications Paget's Disease Spine Radiology Paget’s disease (pd) is a common bone disorder of the aging population where the spine is the second most common involved location after the pelvis. Spinal stenosis in paget’s disease has the unique radiographic feature of widening. The disease is polyostotic in 66% of cases and. The two main clinical manifestations of paget disease are pain due to the pagetic. Paget's Disease Spine Radiology.
From link.springer.com
MR Imaging Findings of Paget’s Disease of the Spine SpringerLink Paget's Disease Spine Radiology The disease is polyostotic in 66% of cases and. Spinal stenosis in paget’s disease has the unique radiographic feature of widening. This article reviews the various spinal pathomechanisms and osseous dynamics involved in producing the varied imaging. This article reviews the demographics, basic pathophysiology, natural history, and clinical presentation of. Paget’s disease (pd) is a common bone disorder of the. Paget's Disease Spine Radiology.
From www.ajronline.org
Imaging of Paget Disease of Bone and Its Musculoskeletal Complications Paget's Disease Spine Radiology The two main clinical manifestations of paget disease are pain due to the pagetic lesion in bone itself or from. Paget’s disease (pd) is a common bone disorder of the aging population where the spine is the second most common involved location after the pelvis. This article reviews the demographics, basic pathophysiology, natural history, and clinical presentation of. This article. Paget's Disease Spine Radiology.
From www.ctisus.com
Paget's Disease of the Lumbar Spine on Xray X Rays Case Studies Paget's Disease Spine Radiology Spinal stenosis in paget’s disease has the unique radiographic feature of widening. The two main clinical manifestations of paget disease are pain due to the pagetic lesion in bone itself or from. This article reviews the various spinal pathomechanisms and osseous dynamics involved in producing the varied imaging. This article reviews the demographics, basic pathophysiology, natural history, and clinical presentation. Paget's Disease Spine Radiology.
From www.researchgate.net
Mixed lytic and blastic Paget disease of the spine simulating malignant Paget's Disease Spine Radiology Spinal stenosis in paget’s disease has the unique radiographic feature of widening. The disease is polyostotic in 66% of cases and. The two main clinical manifestations of paget disease are pain due to the pagetic lesion in bone itself or from. This article reviews the various spinal pathomechanisms and osseous dynamics involved in producing the varied imaging. This article reviews. Paget's Disease Spine Radiology.
From www.youtube.com
Paget Disease of Bone radiology doctor bones YouTube Paget's Disease Spine Radiology Spinal stenosis in paget’s disease has the unique radiographic feature of widening. The two main clinical manifestations of paget disease are pain due to the pagetic lesion in bone itself or from. The disease is polyostotic in 66% of cases and. This article reviews the various spinal pathomechanisms and osseous dynamics involved in producing the varied imaging. This article reviews. Paget's Disease Spine Radiology.
From www.sciencephoto.com
Paget's disease of bone, Xray Stock Image C021/3140 Science Paget's Disease Spine Radiology This article reviews the demographics, basic pathophysiology, natural history, and clinical presentation of. This article reviews the various spinal pathomechanisms and osseous dynamics involved in producing the varied imaging. The two main clinical manifestations of paget disease are pain due to the pagetic lesion in bone itself or from. The disease is polyostotic in 66% of cases and. Paget’s disease. Paget's Disease Spine Radiology.
From www.indianradiology.com
Paget's Disease of Bone Sumer's Radiology Blog Paget's Disease Spine Radiology Paget’s disease (pd) is a common bone disorder of the aging population where the spine is the second most common involved location after the pelvis. The two main clinical manifestations of paget disease are pain due to the pagetic lesion in bone itself or from. Spinal stenosis in paget’s disease has the unique radiographic feature of widening. The disease is. Paget's Disease Spine Radiology.
From www.ajronline.org
Imaging of Paget Disease of Bone and Its Musculoskeletal Complications Paget's Disease Spine Radiology This article reviews the demographics, basic pathophysiology, natural history, and clinical presentation of. Paget’s disease (pd) is a common bone disorder of the aging population where the spine is the second most common involved location after the pelvis. This article reviews the various spinal pathomechanisms and osseous dynamics involved in producing the varied imaging. Spinal stenosis in paget’s disease has. Paget's Disease Spine Radiology.
From sumerdoc.blogspot.com
Paget's Disease of Bone Sumer's Radiology Blog Paget's Disease Spine Radiology Spinal stenosis in paget’s disease has the unique radiographic feature of widening. Paget’s disease (pd) is a common bone disorder of the aging population where the spine is the second most common involved location after the pelvis. This article reviews the demographics, basic pathophysiology, natural history, and clinical presentation of. The two main clinical manifestations of paget disease are pain. Paget's Disease Spine Radiology.
From musculoskeletalkey.com
Paget’s Disease of Bone and Complicating Paget’s Disease Paget's Disease Spine Radiology The two main clinical manifestations of paget disease are pain due to the pagetic lesion in bone itself or from. This article reviews the demographics, basic pathophysiology, natural history, and clinical presentation of. The disease is polyostotic in 66% of cases and. This article reviews the various spinal pathomechanisms and osseous dynamics involved in producing the varied imaging. Spinal stenosis. Paget's Disease Spine Radiology.
From radiopaedia.org
Vertebral Paget disease with picture frame appearance Image Paget's Disease Spine Radiology This article reviews the various spinal pathomechanisms and osseous dynamics involved in producing the varied imaging. The two main clinical manifestations of paget disease are pain due to the pagetic lesion in bone itself or from. This article reviews the demographics, basic pathophysiology, natural history, and clinical presentation of. Spinal stenosis in paget’s disease has the unique radiographic feature of. Paget's Disease Spine Radiology.
From orthoinfo.aaos.org
Paget's Disease of Bone Symptoms and Treatment OrthoInfo AAOS Paget's Disease Spine Radiology The disease is polyostotic in 66% of cases and. Spinal stenosis in paget’s disease has the unique radiographic feature of widening. Paget’s disease (pd) is a common bone disorder of the aging population where the spine is the second most common involved location after the pelvis. This article reviews the demographics, basic pathophysiology, natural history, and clinical presentation of. This. Paget's Disease Spine Radiology.
From link.springer.com
The spine in Paget’s disease SpringerLink Paget's Disease Spine Radiology This article reviews the demographics, basic pathophysiology, natural history, and clinical presentation of. Spinal stenosis in paget’s disease has the unique radiographic feature of widening. The disease is polyostotic in 66% of cases and. This article reviews the various spinal pathomechanisms and osseous dynamics involved in producing the varied imaging. The two main clinical manifestations of paget disease are pain. Paget's Disease Spine Radiology.
From radfacts.blogspot.com
Radshare PAGET'S DISEASE Paget's Disease Spine Radiology This article reviews the various spinal pathomechanisms and osseous dynamics involved in producing the varied imaging. Paget’s disease (pd) is a common bone disorder of the aging population where the spine is the second most common involved location after the pelvis. The disease is polyostotic in 66% of cases and. Spinal stenosis in paget’s disease has the unique radiographic feature. Paget's Disease Spine Radiology.
From link.springer.com
MR Imaging Findings of Paget’s Disease of the Spine SpringerLink Paget's Disease Spine Radiology Spinal stenosis in paget’s disease has the unique radiographic feature of widening. This article reviews the demographics, basic pathophysiology, natural history, and clinical presentation of. The two main clinical manifestations of paget disease are pain due to the pagetic lesion in bone itself or from. Paget’s disease (pd) is a common bone disorder of the aging population where the spine. Paget's Disease Spine Radiology.
From www.pinterest.com
Cotton wool appearance of bone Radiology Reference Article Paget's Disease Spine Radiology The two main clinical manifestations of paget disease are pain due to the pagetic lesion in bone itself or from. This article reviews the various spinal pathomechanisms and osseous dynamics involved in producing the varied imaging. This article reviews the demographics, basic pathophysiology, natural history, and clinical presentation of. Spinal stenosis in paget’s disease has the unique radiographic feature of. Paget's Disease Spine Radiology.
From www.ajronline.org
Imaging of Paget Disease of Bone and Its Musculoskeletal Complications Paget's Disease Spine Radiology The two main clinical manifestations of paget disease are pain due to the pagetic lesion in bone itself or from. This article reviews the demographics, basic pathophysiology, natural history, and clinical presentation of. The disease is polyostotic in 66% of cases and. Paget’s disease (pd) is a common bone disorder of the aging population where the spine is the second. Paget's Disease Spine Radiology.
From www.accessmedicinenetwork.com
Paget Disease AccessMedicine Network Paget's Disease Spine Radiology This article reviews the various spinal pathomechanisms and osseous dynamics involved in producing the varied imaging. This article reviews the demographics, basic pathophysiology, natural history, and clinical presentation of. Paget’s disease (pd) is a common bone disorder of the aging population where the spine is the second most common involved location after the pelvis. The disease is polyostotic in 66%. Paget's Disease Spine Radiology.
From ar.inspiredpencil.com
Pagets Disease Spine Paget's Disease Spine Radiology Spinal stenosis in paget’s disease has the unique radiographic feature of widening. The disease is polyostotic in 66% of cases and. This article reviews the demographics, basic pathophysiology, natural history, and clinical presentation of. Paget’s disease (pd) is a common bone disorder of the aging population where the spine is the second most common involved location after the pelvis. This. Paget's Disease Spine Radiology.
From radfacts.blogspot.com
Radshare PAGET'S DISEASE Paget's Disease Spine Radiology Spinal stenosis in paget’s disease has the unique radiographic feature of widening. The two main clinical manifestations of paget disease are pain due to the pagetic lesion in bone itself or from. This article reviews the various spinal pathomechanisms and osseous dynamics involved in producing the varied imaging. This article reviews the demographics, basic pathophysiology, natural history, and clinical presentation. Paget's Disease Spine Radiology.
From link.springer.com
MR Imaging Findings of Paget’s Disease of the Spine SpringerLink Paget's Disease Spine Radiology This article reviews the demographics, basic pathophysiology, natural history, and clinical presentation of. The disease is polyostotic in 66% of cases and. The two main clinical manifestations of paget disease are pain due to the pagetic lesion in bone itself or from. This article reviews the various spinal pathomechanisms and osseous dynamics involved in producing the varied imaging. Spinal stenosis. Paget's Disease Spine Radiology.
From www.sciencephoto.com
Hips in Paget's disease, CT scan Stock Image C029/9912 Science Paget's Disease Spine Radiology The disease is polyostotic in 66% of cases and. This article reviews the various spinal pathomechanisms and osseous dynamics involved in producing the varied imaging. Spinal stenosis in paget’s disease has the unique radiographic feature of widening. Paget’s disease (pd) is a common bone disorder of the aging population where the spine is the second most common involved location after. Paget's Disease Spine Radiology.
From www.wikidoc.org
Pott's disease CT wikidoc Paget's Disease Spine Radiology Paget’s disease (pd) is a common bone disorder of the aging population where the spine is the second most common involved location after the pelvis. The two main clinical manifestations of paget disease are pain due to the pagetic lesion in bone itself or from. This article reviews the various spinal pathomechanisms and osseous dynamics involved in producing the varied. Paget's Disease Spine Radiology.
From www.ajronline.org
Imaging of Paget Disease of Bone and Its Musculoskeletal Complications Paget's Disease Spine Radiology Paget’s disease (pd) is a common bone disorder of the aging population where the spine is the second most common involved location after the pelvis. The disease is polyostotic in 66% of cases and. The two main clinical manifestations of paget disease are pain due to the pagetic lesion in bone itself or from. This article reviews the various spinal. Paget's Disease Spine Radiology.
From www.ncbi.nlm.nih.gov
Paget’s Disease of Bone Endotext NCBI Bookshelf Paget's Disease Spine Radiology Spinal stenosis in paget’s disease has the unique radiographic feature of widening. The disease is polyostotic in 66% of cases and. The two main clinical manifestations of paget disease are pain due to the pagetic lesion in bone itself or from. This article reviews the various spinal pathomechanisms and osseous dynamics involved in producing the varied imaging. This article reviews. Paget's Disease Spine Radiology.
From radiopaedia.org
Paget disease of the scapula Image Paget's Disease Spine Radiology Paget’s disease (pd) is a common bone disorder of the aging population where the spine is the second most common involved location after the pelvis. This article reviews the demographics, basic pathophysiology, natural history, and clinical presentation of. This article reviews the various spinal pathomechanisms and osseous dynamics involved in producing the varied imaging. The disease is polyostotic in 66%. Paget's Disease Spine Radiology.
From www.ctisus.com
Paget's Disease X Rays Case Studies CTisus CT Scanning Paget's Disease Spine Radiology Spinal stenosis in paget’s disease has the unique radiographic feature of widening. The disease is polyostotic in 66% of cases and. The two main clinical manifestations of paget disease are pain due to the pagetic lesion in bone itself or from. This article reviews the various spinal pathomechanisms and osseous dynamics involved in producing the varied imaging. This article reviews. Paget's Disease Spine Radiology.