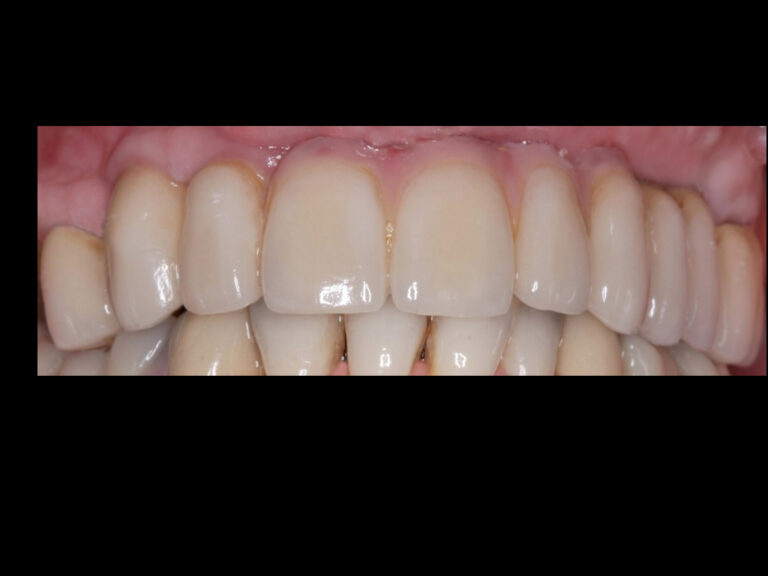
Azure Dental Cosmetic Dentist Liverpool Services . Voice your opinion today and hear what 5 customers have already said. These latest cosmetic dentistry treatments may include teeth whitening, dental veneers, dental implants, composite bonding and teeth. Azure dental clinic (dental clinic) is located at 6, the beacons, 1 school ln, formby, liverpool l37 3ln, united kingdom. Every visit feels comfortable and reassuring, as. Stop hiding that smile with our comprehensive range of cosmetic dentistry treatments. Dental treatment services such as simple teeth whitening and replacing old dark silver filling with white versions can give a mini smile makeover. Read 250 customer reviews of azure dental | cosmetic dentist liverpool, one of the best dental businesses at 6, the beacons, 1 school ln,. Whether you want to get rid of an old dark silver filling or. Our team provides a wide range of services from our dental practice in formby. Leading onto more complex treatment options such as composite bonding or veneers, porcelain veneers, cosmetic clear invisible braces and dental implants can all be combined into a smile makeover. Do you agree with azure dental | cosmetic dentist liverpool's trustscore?
from www.liverpoolecho.co.uk
Dental treatment services such as simple teeth whitening and replacing old dark silver filling with white versions can give a mini smile makeover. These latest cosmetic dentistry treatments may include teeth whitening, dental veneers, dental implants, composite bonding and teeth. Whether you want to get rid of an old dark silver filling or. Azure dental clinic (dental clinic) is located at 6, the beacons, 1 school ln, formby, liverpool l37 3ln, united kingdom. Our team provides a wide range of services from our dental practice in formby. Every visit feels comfortable and reassuring, as. Read 250 customer reviews of azure dental | cosmetic dentist liverpool, one of the best dental businesses at 6, the beacons, 1 school ln,. Do you agree with azure dental | cosmetic dentist liverpool's trustscore? Voice your opinion today and hear what 5 customers have already said. Leading onto more complex treatment options such as composite bonding or veneers, porcelain veneers, cosmetic clear invisible braces and dental implants can all be combined into a smile makeover.
Walkin cosmetic dentist opens in Liverpool with 30 minute smile
Azure Dental Cosmetic Dentist Liverpool Services Azure dental clinic (dental clinic) is located at 6, the beacons, 1 school ln, formby, liverpool l37 3ln, united kingdom. Dental treatment services such as simple teeth whitening and replacing old dark silver filling with white versions can give a mini smile makeover. Do you agree with azure dental | cosmetic dentist liverpool's trustscore? These latest cosmetic dentistry treatments may include teeth whitening, dental veneers, dental implants, composite bonding and teeth. Leading onto more complex treatment options such as composite bonding or veneers, porcelain veneers, cosmetic clear invisible braces and dental implants can all be combined into a smile makeover. Stop hiding that smile with our comprehensive range of cosmetic dentistry treatments. Whether you want to get rid of an old dark silver filling or. Every visit feels comfortable and reassuring, as. Our team provides a wide range of services from our dental practice in formby. Read 250 customer reviews of azure dental | cosmetic dentist liverpool, one of the best dental businesses at 6, the beacons, 1 school ln,. Voice your opinion today and hear what 5 customers have already said. Azure dental clinic (dental clinic) is located at 6, the beacons, 1 school ln, formby, liverpool l37 3ln, united kingdom.
From azuredentalclinic.co.uk
Invisalign Liverpool Teeth Straightening Braces Azure Dental Clinic Azure Dental Cosmetic Dentist Liverpool Services Every visit feels comfortable and reassuring, as. Azure dental clinic (dental clinic) is located at 6, the beacons, 1 school ln, formby, liverpool l37 3ln, united kingdom. Voice your opinion today and hear what 5 customers have already said. Read 250 customer reviews of azure dental | cosmetic dentist liverpool, one of the best dental businesses at 6, the beacons,. Azure Dental Cosmetic Dentist Liverpool Services.
From azuredentalclinic.co.uk
Dental Implants Liverpool Restore your Smile Azure Dental Clinic Azure Dental Cosmetic Dentist Liverpool Services Our team provides a wide range of services from our dental practice in formby. Read 250 customer reviews of azure dental | cosmetic dentist liverpool, one of the best dental businesses at 6, the beacons, 1 school ln,. Whether you want to get rid of an old dark silver filling or. Leading onto more complex treatment options such as composite. Azure Dental Cosmetic Dentist Liverpool Services.
From www.yelp.com
AZURE DENTAL Updated October 2024 37 Photos & 11 Reviews 5611 Azure Dental Cosmetic Dentist Liverpool Services Stop hiding that smile with our comprehensive range of cosmetic dentistry treatments. Dental treatment services such as simple teeth whitening and replacing old dark silver filling with white versions can give a mini smile makeover. Read 250 customer reviews of azure dental | cosmetic dentist liverpool, one of the best dental businesses at 6, the beacons, 1 school ln,. Our. Azure Dental Cosmetic Dentist Liverpool Services.
From dentaleh.com
Azure Dental Reviews & Services, located at Bukit Timah, Central Region Azure Dental Cosmetic Dentist Liverpool Services Do you agree with azure dental | cosmetic dentist liverpool's trustscore? Voice your opinion today and hear what 5 customers have already said. Dental treatment services such as simple teeth whitening and replacing old dark silver filling with white versions can give a mini smile makeover. Stop hiding that smile with our comprehensive range of cosmetic dentistry treatments. Our team. Azure Dental Cosmetic Dentist Liverpool Services.
From www.azure-dental.com
Azure Dental Azure Dental Cosmetic Dentist Liverpool Services Leading onto more complex treatment options such as composite bonding or veneers, porcelain veneers, cosmetic clear invisible braces and dental implants can all be combined into a smile makeover. Azure dental clinic (dental clinic) is located at 6, the beacons, 1 school ln, formby, liverpool l37 3ln, united kingdom. Stop hiding that smile with our comprehensive range of cosmetic dentistry. Azure Dental Cosmetic Dentist Liverpool Services.
From azuredentalclinic.tumblr.com
Azure Dental Azure Dental Cosmetic Dentist Liverpool Services Azure dental clinic (dental clinic) is located at 6, the beacons, 1 school ln, formby, liverpool l37 3ln, united kingdom. Leading onto more complex treatment options such as composite bonding or veneers, porcelain veneers, cosmetic clear invisible braces and dental implants can all be combined into a smile makeover. Whether you want to get rid of an old dark silver. Azure Dental Cosmetic Dentist Liverpool Services.
From azuredentalclinic.co.uk
Dental Implants Liverpool Allon4 Dental Implants Liverpool Azure Azure Dental Cosmetic Dentist Liverpool Services These latest cosmetic dentistry treatments may include teeth whitening, dental veneers, dental implants, composite bonding and teeth. Do you agree with azure dental | cosmetic dentist liverpool's trustscore? Stop hiding that smile with our comprehensive range of cosmetic dentistry treatments. Leading onto more complex treatment options such as composite bonding or veneers, porcelain veneers, cosmetic clear invisible braces and dental. Azure Dental Cosmetic Dentist Liverpool Services.
From azuredentalclinic.co.uk
Dr Dan Hines Principal Dentist and Clinical Director Azure Dental Clinic Azure Dental Cosmetic Dentist Liverpool Services Dental treatment services such as simple teeth whitening and replacing old dark silver filling with white versions can give a mini smile makeover. Whether you want to get rid of an old dark silver filling or. Stop hiding that smile with our comprehensive range of cosmetic dentistry treatments. These latest cosmetic dentistry treatments may include teeth whitening, dental veneers, dental. Azure Dental Cosmetic Dentist Liverpool Services.
From azuredentalclinic.co.uk
Private Cosmetic Dentist in Liverpool Azure Dental Clinic Azure Dental Cosmetic Dentist Liverpool Services Do you agree with azure dental | cosmetic dentist liverpool's trustscore? Whether you want to get rid of an old dark silver filling or. Read 250 customer reviews of azure dental | cosmetic dentist liverpool, one of the best dental businesses at 6, the beacons, 1 school ln,. Leading onto more complex treatment options such as composite bonding or veneers,. Azure Dental Cosmetic Dentist Liverpool Services.
From azuredentalclinic.co.uk
Composite Bonding in Liverpool Same Day Smile Makeover Azure Dental Azure Dental Cosmetic Dentist Liverpool Services Leading onto more complex treatment options such as composite bonding or veneers, porcelain veneers, cosmetic clear invisible braces and dental implants can all be combined into a smile makeover. Dental treatment services such as simple teeth whitening and replacing old dark silver filling with white versions can give a mini smile makeover. Voice your opinion today and hear what 5. Azure Dental Cosmetic Dentist Liverpool Services.
From www.azuredental.ca
Azure Dental Lake Country, B.C. Dentist Lake Country, B.C. Azure Dental Cosmetic Dentist Liverpool Services Azure dental clinic (dental clinic) is located at 6, the beacons, 1 school ln, formby, liverpool l37 3ln, united kingdom. Every visit feels comfortable and reassuring, as. Stop hiding that smile with our comprehensive range of cosmetic dentistry treatments. Dental treatment services such as simple teeth whitening and replacing old dark silver filling with white versions can give a mini. Azure Dental Cosmetic Dentist Liverpool Services.
From azuredentalclinic.co.uk
BRACES LIVERPOOLTypes And How They Work Azure Dental Clinic Azure Dental Cosmetic Dentist Liverpool Services Whether you want to get rid of an old dark silver filling or. These latest cosmetic dentistry treatments may include teeth whitening, dental veneers, dental implants, composite bonding and teeth. Every visit feels comfortable and reassuring, as. Voice your opinion today and hear what 5 customers have already said. Leading onto more complex treatment options such as composite bonding or. Azure Dental Cosmetic Dentist Liverpool Services.
From azuredentalclinic.co.uk
Dental Implants Liverpool Allon4 Dental Implants Liverpool Azure Azure Dental Cosmetic Dentist Liverpool Services Stop hiding that smile with our comprehensive range of cosmetic dentistry treatments. Our team provides a wide range of services from our dental practice in formby. Read 250 customer reviews of azure dental | cosmetic dentist liverpool, one of the best dental businesses at 6, the beacons, 1 school ln,. Do you agree with azure dental | cosmetic dentist liverpool's. Azure Dental Cosmetic Dentist Liverpool Services.
From azuredentalclinic.co.uk
ALLON4 SAME DAY TEETH LIVERPOOL Azure Dental Clinic Azure Dental Cosmetic Dentist Liverpool Services Azure dental clinic (dental clinic) is located at 6, the beacons, 1 school ln, formby, liverpool l37 3ln, united kingdom. Dental treatment services such as simple teeth whitening and replacing old dark silver filling with white versions can give a mini smile makeover. Do you agree with azure dental | cosmetic dentist liverpool's trustscore? Voice your opinion today and hear. Azure Dental Cosmetic Dentist Liverpool Services.
From dentagama.com
Azure Dental Dentagama Azure Dental Cosmetic Dentist Liverpool Services These latest cosmetic dentistry treatments may include teeth whitening, dental veneers, dental implants, composite bonding and teeth. Every visit feels comfortable and reassuring, as. Read 250 customer reviews of azure dental | cosmetic dentist liverpool, one of the best dental businesses at 6, the beacons, 1 school ln,. Leading onto more complex treatment options such as composite bonding or veneers,. Azure Dental Cosmetic Dentist Liverpool Services.
From azuredental.com.sg
The Clinic Team Azure Dental Azure Dental Cosmetic Dentist Liverpool Services Dental treatment services such as simple teeth whitening and replacing old dark silver filling with white versions can give a mini smile makeover. Voice your opinion today and hear what 5 customers have already said. Whether you want to get rid of an old dark silver filling or. Our team provides a wide range of services from our dental practice. Azure Dental Cosmetic Dentist Liverpool Services.
From azuredentalclinic.tumblr.com
Azure Dental Azure Dental Cosmetic Dentist Liverpool Services Our team provides a wide range of services from our dental practice in formby. Dental treatment services such as simple teeth whitening and replacing old dark silver filling with white versions can give a mini smile makeover. Whether you want to get rid of an old dark silver filling or. Voice your opinion today and hear what 5 customers have. Azure Dental Cosmetic Dentist Liverpool Services.
From azuredental.com.sg
Contact and Book Dentist Appointment Azure Dental Singapore Azure Dental Cosmetic Dentist Liverpool Services Stop hiding that smile with our comprehensive range of cosmetic dentistry treatments. Whether you want to get rid of an old dark silver filling or. Voice your opinion today and hear what 5 customers have already said. Leading onto more complex treatment options such as composite bonding or veneers, porcelain veneers, cosmetic clear invisible braces and dental implants can all. Azure Dental Cosmetic Dentist Liverpool Services.
From azuredentalclinic.co.uk
Private Cosmetic Dentist in Liverpool Azure Dental Clinic Azure Dental Cosmetic Dentist Liverpool Services Read 250 customer reviews of azure dental | cosmetic dentist liverpool, one of the best dental businesses at 6, the beacons, 1 school ln,. Leading onto more complex treatment options such as composite bonding or veneers, porcelain veneers, cosmetic clear invisible braces and dental implants can all be combined into a smile makeover. Voice your opinion today and hear what. Azure Dental Cosmetic Dentist Liverpool Services.
From www.defactodentists.com
Azure Dental Defacto Dentists Azure Dental Cosmetic Dentist Liverpool Services Stop hiding that smile with our comprehensive range of cosmetic dentistry treatments. Read 250 customer reviews of azure dental | cosmetic dentist liverpool, one of the best dental businesses at 6, the beacons, 1 school ln,. Do you agree with azure dental | cosmetic dentist liverpool's trustscore? These latest cosmetic dentistry treatments may include teeth whitening, dental veneers, dental implants,. Azure Dental Cosmetic Dentist Liverpool Services.
From azuredentalclinic.co.uk
ALLON4 SAME DAY TEETH LIVERPOOL Azure Dental Clinic Azure Dental Cosmetic Dentist Liverpool Services Our team provides a wide range of services from our dental practice in formby. Read 250 customer reviews of azure dental | cosmetic dentist liverpool, one of the best dental businesses at 6, the beacons, 1 school ln,. Do you agree with azure dental | cosmetic dentist liverpool's trustscore? These latest cosmetic dentistry treatments may include teeth whitening, dental veneers,. Azure Dental Cosmetic Dentist Liverpool Services.
From azuredentalclinic.co.uk
Emergency dentist liverpool Azure Dental Clinic Azure Dental Cosmetic Dentist Liverpool Services Whether you want to get rid of an old dark silver filling or. Azure dental clinic (dental clinic) is located at 6, the beacons, 1 school ln, formby, liverpool l37 3ln, united kingdom. Dental treatment services such as simple teeth whitening and replacing old dark silver filling with white versions can give a mini smile makeover. Voice your opinion today. Azure Dental Cosmetic Dentist Liverpool Services.
From azuredental.com.sg
Affordable Dental Implants Near Me Azure Dental Singapore Azure Dental Cosmetic Dentist Liverpool Services Dental treatment services such as simple teeth whitening and replacing old dark silver filling with white versions can give a mini smile makeover. Azure dental clinic (dental clinic) is located at 6, the beacons, 1 school ln, formby, liverpool l37 3ln, united kingdom. Read 250 customer reviews of azure dental | cosmetic dentist liverpool, one of the best dental businesses. Azure Dental Cosmetic Dentist Liverpool Services.
From azuredentalsf.com
Dental Technology Azure Dental in San Francisco Azure Dental Cosmetic Dentist Liverpool Services Read 250 customer reviews of azure dental | cosmetic dentist liverpool, one of the best dental businesses at 6, the beacons, 1 school ln,. Our team provides a wide range of services from our dental practice in formby. Every visit feels comfortable and reassuring, as. Azure dental clinic (dental clinic) is located at 6, the beacons, 1 school ln, formby,. Azure Dental Cosmetic Dentist Liverpool Services.
From www.liverpoolecho.co.uk
Walkin cosmetic dentist opens in Liverpool with 30 minute smile Azure Dental Cosmetic Dentist Liverpool Services Dental treatment services such as simple teeth whitening and replacing old dark silver filling with white versions can give a mini smile makeover. Leading onto more complex treatment options such as composite bonding or veneers, porcelain veneers, cosmetic clear invisible braces and dental implants can all be combined into a smile makeover. Every visit feels comfortable and reassuring, as. Our. Azure Dental Cosmetic Dentist Liverpool Services.
From azuredentalclinic.co.uk
Cosmetic Dentist Private Dentist FormbyLiverpool Azure Dental Clinic Azure Dental Cosmetic Dentist Liverpool Services Azure dental clinic (dental clinic) is located at 6, the beacons, 1 school ln, formby, liverpool l37 3ln, united kingdom. Leading onto more complex treatment options such as composite bonding or veneers, porcelain veneers, cosmetic clear invisible braces and dental implants can all be combined into a smile makeover. Voice your opinion today and hear what 5 customers have already. Azure Dental Cosmetic Dentist Liverpool Services.
From azuredentalclinic.co.uk
Cosmetic Dentist Liverpool Smile Makeover Expert Azure Dental Clinic Azure Dental Cosmetic Dentist Liverpool Services Leading onto more complex treatment options such as composite bonding or veneers, porcelain veneers, cosmetic clear invisible braces and dental implants can all be combined into a smile makeover. Azure dental clinic (dental clinic) is located at 6, the beacons, 1 school ln, formby, liverpool l37 3ln, united kingdom. These latest cosmetic dentistry treatments may include teeth whitening, dental veneers,. Azure Dental Cosmetic Dentist Liverpool Services.
From azuredentalclinic.co.uk
Liverpool Dental Services Azure Dental Clinic Azure Dental Cosmetic Dentist Liverpool Services Leading onto more complex treatment options such as composite bonding or veneers, porcelain veneers, cosmetic clear invisible braces and dental implants can all be combined into a smile makeover. These latest cosmetic dentistry treatments may include teeth whitening, dental veneers, dental implants, composite bonding and teeth. Voice your opinion today and hear what 5 customers have already said. Our team. Azure Dental Cosmetic Dentist Liverpool Services.
From azuredentalclinic.co.uk
Composite Bonding in Liverpool Same Day Smile Makeover Azure Dental Azure Dental Cosmetic Dentist Liverpool Services Dental treatment services such as simple teeth whitening and replacing old dark silver filling with white versions can give a mini smile makeover. Leading onto more complex treatment options such as composite bonding or veneers, porcelain veneers, cosmetic clear invisible braces and dental implants can all be combined into a smile makeover. Stop hiding that smile with our comprehensive range. Azure Dental Cosmetic Dentist Liverpool Services.
From www.one20dental.co.uk
Liverpool Dentist Cosmetic Dentists in Liverpool Azure Dental Cosmetic Dentist Liverpool Services These latest cosmetic dentistry treatments may include teeth whitening, dental veneers, dental implants, composite bonding and teeth. Leading onto more complex treatment options such as composite bonding or veneers, porcelain veneers, cosmetic clear invisible braces and dental implants can all be combined into a smile makeover. Voice your opinion today and hear what 5 customers have already said. Do you. Azure Dental Cosmetic Dentist Liverpool Services.
From www.trustpilot.com
Azure Dental Cosmetic Dentist Liverpool Reviews Read Customer Azure Dental Cosmetic Dentist Liverpool Services Dental treatment services such as simple teeth whitening and replacing old dark silver filling with white versions can give a mini smile makeover. Do you agree with azure dental | cosmetic dentist liverpool's trustscore? Our team provides a wide range of services from our dental practice in formby. Every visit feels comfortable and reassuring, as. Stop hiding that smile with. Azure Dental Cosmetic Dentist Liverpool Services.
From azuredentalclinic.co.uk
Invisalign Liverpool Teeth Straightening Braces Azure Dental Clinic Azure Dental Cosmetic Dentist Liverpool Services Do you agree with azure dental | cosmetic dentist liverpool's trustscore? Dental treatment services such as simple teeth whitening and replacing old dark silver filling with white versions can give a mini smile makeover. Stop hiding that smile with our comprehensive range of cosmetic dentistry treatments. Azure dental clinic (dental clinic) is located at 6, the beacons, 1 school ln,. Azure Dental Cosmetic Dentist Liverpool Services.
From azuredentalclinic.co.uk
Cosmetic Dentist Liverpool Smile Makeover Expert Azure Dental Clinic Azure Dental Cosmetic Dentist Liverpool Services Our team provides a wide range of services from our dental practice in formby. These latest cosmetic dentistry treatments may include teeth whitening, dental veneers, dental implants, composite bonding and teeth. Every visit feels comfortable and reassuring, as. Stop hiding that smile with our comprehensive range of cosmetic dentistry treatments. Voice your opinion today and hear what 5 customers have. Azure Dental Cosmetic Dentist Liverpool Services.
From azuredentalclinic.co.uk
Private Cosmetic Dentist in Liverpool Azure Dental Clinic Azure Dental Cosmetic Dentist Liverpool Services Stop hiding that smile with our comprehensive range of cosmetic dentistry treatments. Our team provides a wide range of services from our dental practice in formby. Dental treatment services such as simple teeth whitening and replacing old dark silver filling with white versions can give a mini smile makeover. Do you agree with azure dental | cosmetic dentist liverpool's trustscore?. Azure Dental Cosmetic Dentist Liverpool Services.
From azuredentalstudio.com
Services North Waltham Dentist Azure Dental Studio Azure Dental Cosmetic Dentist Liverpool Services Stop hiding that smile with our comprehensive range of cosmetic dentistry treatments. Do you agree with azure dental | cosmetic dentist liverpool's trustscore? Whether you want to get rid of an old dark silver filling or. Read 250 customer reviews of azure dental | cosmetic dentist liverpool, one of the best dental businesses at 6, the beacons, 1 school ln,.. Azure Dental Cosmetic Dentist Liverpool Services.